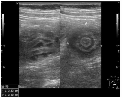
Target sign on USG Abdomen is suggestive of _____.

Contrast enema shows an empty microcolon in case of _____

The given barium enema is suggestive of _____ disease

The given USG shows _____ sign and _____ sign in congenital hypertrophic pyloric stenosis

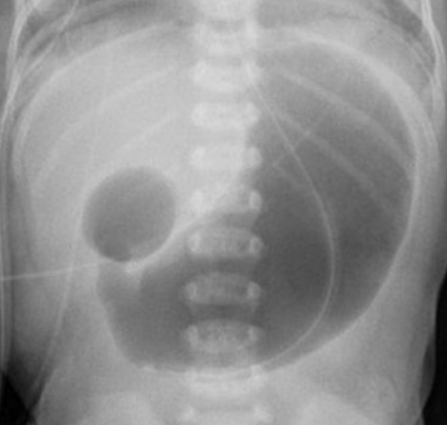
Double bubble sign which is a feature of the _____ atresia.

Buddha sign/Halo sign is suggestive of _____

_____ sign is an ultrasonographic sign seen in boys with posterior urethral valves
_____ sign which is seen in the duplex kidney
_____ appearance is the characteristic finding seen in Barium enema X-ray in a case of intussusception.
Metaphyseal densities (_____) in lead poisoning are due to deposition of Calcium in growth plates
Normal Pediatric Developmental Anatomy
Flashcards
Neonatal Imaging
Flashcards
Pediatric Chest Imaging
Flashcards
Pediatric Abdominal Imaging
Flashcards
Pediatric Musculoskeletal Imaging
Flashcards
Pediatric Neuroradiology
Flashcards
Congenital Heart Disease Imaging
Flashcards
Pediatric Oncology Imaging
Flashcards
Child Abuse Imaging
Flashcards
Pediatric Interventional Radiology
Flashcards
Radiation Protection in Pediatrics
Flashcards
Sedation in Pediatric Imaging
Flashcards
These Pediatric Radiology flashcards are designed for NEET-PG Radiology preparation, using active recall to help you retain high-yield concepts, clinical correlations, and commonly tested facts. Each card prompts you to retrieve information from memory rather than passively reviewing notes, which research shows leads to significantly better exam performance.
The 53 cards in this deck cover the most important topics in Pediatric Radiology, including key mechanisms, diagnostic criteria, treatment protocols, and clinical pearls that frequently appear in NEET-PG examinations. Cards are organised by chapter so you can focus on specific areas or work through the entire topic systematically.
For personalised spaced repetition scheduling that adapts to your performance, unlimited flashcards, and detailed progress analytics, download the Oncourse app.
Get full access to all flashcards, spaced repetition, and progress tracking.
Start For Free