_____ is the typical interictal EEG finding seen in infantile epileptic spasm
Indications for lumbar puncture in a child presenting with a febrile seizure are as follows: No answer _____

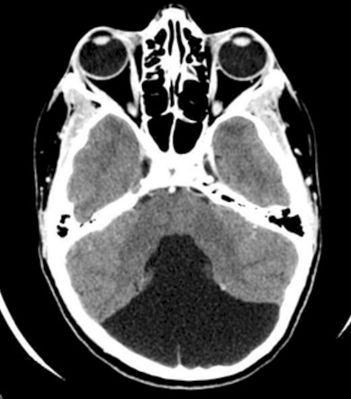
_____ Malformation is associated with bulging fontanelles and macrocephaly.

What congenital disorder can cause this spinal cord lesion? _____
Hint: specific

Dandy-Walker malformation is associated with _____ and spina bifida
_____ classically presents with pseudohypertrophy of calf muscles
SCIWORA is very common in _____ and injuries are most often in the cervical spine
The characteristics of _____ syndrome may be remembered with the mnemonic 'STURGE': S: Sporadic, port-wine StainT: Tram track calcifications (opposing gyri)U: UnilateralR: Retardation (intellectual disability)G: Glaucoma, GNAQ gene E: Epilepsy
Werdnig-Hoffmann disease presents as a "_____" with marked hypotonia and tongue fasciculations
Hallervorden-Spatz Disease is characterised by childhood onset _____ and gait disorder
Seizure Disorders and Epilepsy
Flashcards
Febrile Seizures
Flashcards
Headache Disorders
Flashcards
Cerebral Palsy
Flashcards
Neural Tube Defects
Flashcards
Neuromuscular Disorders
Flashcards
Neurodegenerative Disorders
Flashcards
CNS Infections
Flashcards
Hydrocephalus
Flashcards
Movement Disorders
Flashcards
Traumatic Brain Injury
Flashcards
Neuroimaging in Pediatrics
Flashcards
These Neurology flashcards are designed for NEET-PG Pediatrics preparation, using active recall to help you retain high-yield concepts, clinical correlations, and commonly tested facts. Each card prompts you to retrieve information from memory rather than passively reviewing notes, which research shows leads to significantly better exam performance.
The 54 cards in this deck cover the most important topics in Neurology, including key mechanisms, diagnostic criteria, treatment protocols, and clinical pearls that frequently appear in NEET-PG examinations. Cards are organised by chapter so you can focus on specific areas or work through the entire topic systematically.
For personalised spaced repetition scheduling that adapts to your performance, unlimited flashcards, and detailed progress analytics, download the Oncourse app.
Get full access to all flashcards, spaced repetition, and progress tracking.
Start For Free