Interosseous membrane ossification is characteristic of _____.
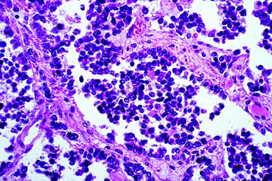
What type of rhabdomyosarcoma is shown in the given image? _____

What type of rhabdomyosarcoma is shown in the given image? _____

Tennis racket cells in light microscopy seen in _____
Osteoclasts may tunnel and dissect centrally along bony trabeculae resulting in railroad track appearance, also called as _____, seen in hyperparathyroidism
_____ is characterized by eburnation (polishing) of the subchondral bone
X-linked osteopetrosis which occurs due to _____ gene mutation is also known as anhidrotic ectodermal dysplasia
_____ is a disorder that is characterized by abnormal hardening of bone and an elevation in bone density, seen in conditions such as Renal osteodystrophy and Fluorosis
_____ is a bone tumor that is associated with t(11;22) translocation
_____ may occur due to carbonic anhydrase II mutations, which leads to loss of the acidic environment necessary for bone resorption
Bone Development and Growth
Flashcards
Fracture Healing
Flashcards
Osteomyelitis and Infectious Diseases
Flashcards
Metabolic Bone Diseases
Flashcards
Bone Tumors and Tumor-like Lesions
Flashcards
Joints and Rheumatologic Diseases
Flashcards
Soft Tissue Tumors
Flashcards
Muscular Dystrophies and Myopathies
Flashcards
Diseases of Tendons and Fascia
Flashcards
Pathology of Orthopedic Implants
Flashcards
These Bone and Soft Tissue Pathology flashcards are designed for NEET-PG Pathology preparation, using active recall to help you retain high-yield concepts, clinical correlations, and commonly tested facts. Each card prompts you to retrieve information from memory rather than passively reviewing notes, which research shows leads to significantly better exam performance.
The 99 cards in this deck cover the most important topics in Bone and Soft Tissue Pathology, including key mechanisms, diagnostic criteria, treatment protocols, and clinical pearls that frequently appear in NEET-PG examinations. Cards are organised by chapter so you can focus on specific areas or work through the entire topic systematically.
For personalised spaced repetition scheduling that adapts to your performance, unlimited flashcards, and detailed progress analytics, download the Oncourse app.
Get full access to all flashcards, spaced repetition, and progress tracking.
Start For Free