Enter your email to get your 85% OFF code and unlock the full USMLE question bank on the app.
In your peripheral tissues and lungs, carbonic anhydrase works to control the equilibrium between carbon dioxide and carbonic acid in order to maintain proper blood pH. Through which mechanism does carbonic anhydrase exert its influence on reaction kinetics?
A 72-year-old man is brought to the emergency department by his daughter because he was found to have decreased alertness that has gotten progressively worse. Three weeks ago he was diagnosed with an infection and given an antibiotic, though his daughter does not remember what drug was prescribed. His medical history is also significant for benign prostatic hyperplasia and hypertension, for which he was prescribed tamsulosin, a thiazide, and an ACE inhibitor. He has not sustained any trauma recently, and no wounds are apparent. On presentation, he is found to be confused. Labs are obtained with the following results: Serum: Na+: 135 mEq/L BUN: 52 mg/dL Creatinine: 2.1 mg/dL Urine: Osmolality: 548 mOsm/kg Na+: 13 mEq/L Creatinine: 32 mg/dL Which of the following etiologies would be most likely given this patient's presentation?
A 66-year-old man with congestive heart failure presents to the emergency department complaining of worsening shortness of breath. These symptoms have worsened over the last 3 days. He has a blood pressure of 126/85 mm Hg and heart rate of 82/min. Physical examination is notable for bibasilar crackles. A chest X-ray reveals bilateral pulmonary edema. His current medications include metoprolol succinate and captopril. You wish to add an additional medication targeted towards his symptoms. Of the following, which statement is correct regarding loop diuretics?
A 33-year-old male presents to his primary care physician with complaints of headaches and muscle weakness. His physical exam is entirely within normal limits except for a blood pressure of 150/95. Subsequent routine blood lab work showed a sodium level of 146 and potassium level of 3.0. What is the best pharmacological therapy for this patient?
A 64-year-old woman is brought to the emergency department because of a 1-week history of progressive shortness of breath, lower extremity edema, and a 4-kg (9-lb) weight gain. She has ischemic cardiomyopathy and rheumatoid arthritis. Her respirations are 27/min. Examination shows pitting edema of the lower extremities and crackles over both lower lung fields. Therapy is initiated with intravenous furosemide. After 2 hours, urine output is minimal. Concomitant treatment with which of the following drugs is most likely to have contributed to treatment failure?
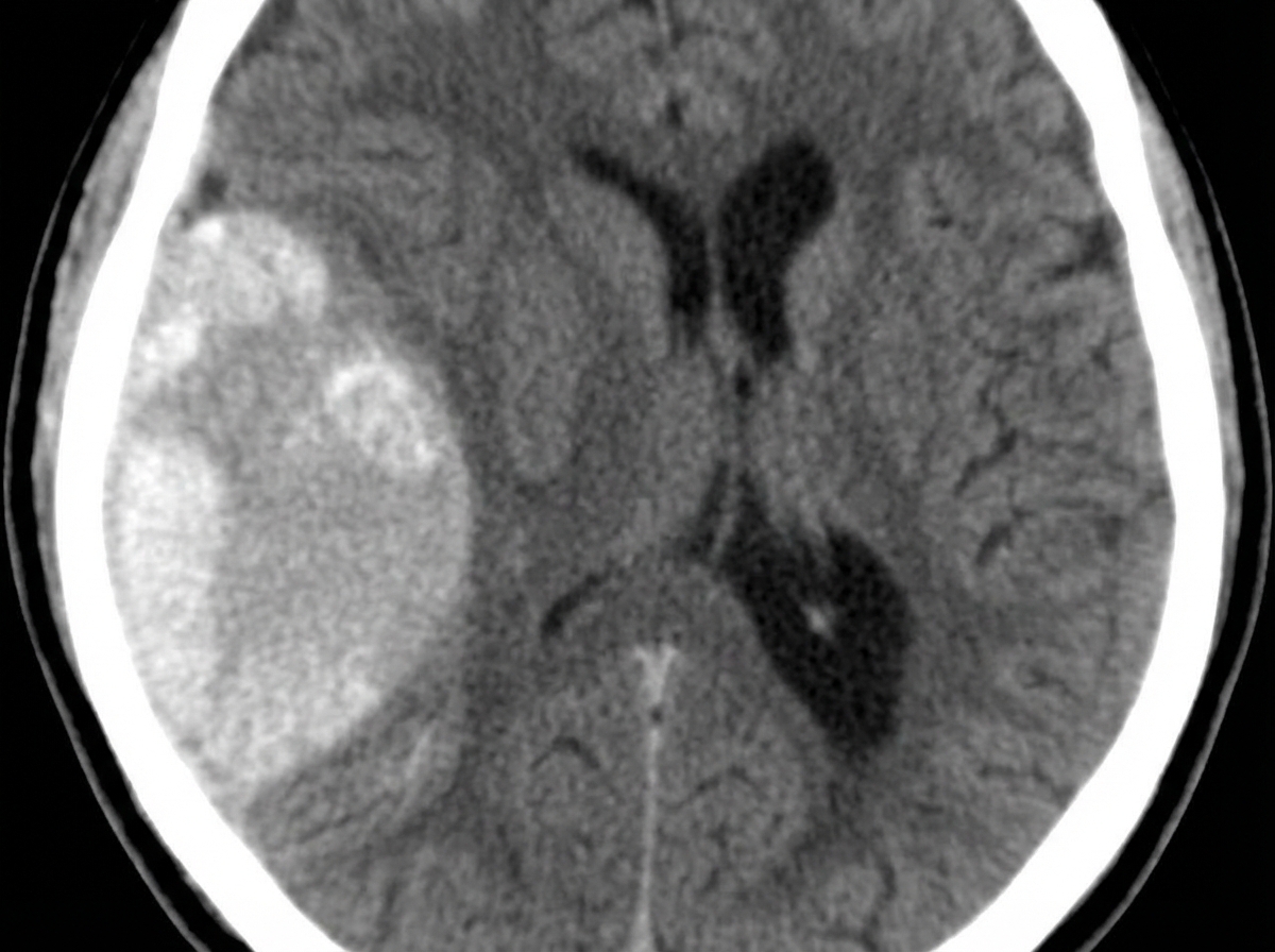
A 23-year-old man presents with a blunt force injury to the head from a baseball bat. He is currently unconscious, although his friends say he was awake and speaking with them en route to the hospital. He has no significant past medical history and takes no current medications. The vital signs include: temperature 37.0°C (98.6°F), blood pressure 165/85 mm Hg, pulse 50/min, and respiratory rate 19/min. On physical examination, there is a blunt force injury to the left temporoparietal region approximately 10.1–12.7 cm (4–5 in) in diameter. There is anisocoria of the left pupil, which is unresponsive to light. The patient is intubated and fluid resuscitation is initiated. A noncontrast computed tomography (CT) scan of the head is acquired and shown in the exhibit (see image). Which of the following is the most appropriate medical treatment for this patient?

A 4-day-old boy is monitored in the well baby nursery. He was born to a G1P1 mother at 36 weeks gestation. The child is doing well, and the mother is recovering from vaginal delivery. On physical exam, there is an arousable infant who is crying vigorously and is mildly cyanotic. A red reflex is noted bilaterally on ophthalmologic exam. The infant's fontanelle is soft, and his sucking reflex is present. A positive Babinski sign is noted on physical exam bilaterally. A continuous murmur is auscultated on cardiac exam. Which of the following would most likely have prevented the abnormal finding in this infant?
A 55-year-old man presents after an episode of severe left ankle pain. The pain has resolved, but he decided to come in for evaluation as he has had pain like this before. He says he has experienced similar episodes of intense pain in the same ankle and his left knee in the past, which he associates with eating copious amounts of fatty food during parties. On one occasion the pain was so excruciating, he went to the emergency room, where an arthrocentesis was performed, revealing needle-shaped negatively birefringent crystals and a high neutrophil count in the synovial fluid. His past medical history is relevant for essential hypertension which is managed with hydrochlorothiazide 20 mg/day. His vital signs are stable, and his body temperature is 36.5°C (97.7°F). Physical examination shows a minimally tender left ankle with full range of motion. Which of the following is the most appropriate long-term treatment in this patient?
A 64-year-old man presents to his physician 6 months after experiencing a myocardial infarction. The patient currently denies any symptoms and is only in for a check up. The patient's past medical history is notable for diabetes (type II), obesity, hypertension and cyclothymia. His current medications are hydrochlorothiazide, metoprolol, metformin, insulin, fluoxetine, and fish oil. On physical exam you note a calm elderly man who is moderately obese and in no current distress. The patient's cardiovascular exam is notable for a S4 heart sound. The patients lab work is below. Serum: Na+: 140 mEq/L Cl-: 100 mEq/L K+: 4.4 mEq/L HCO3-: 23 mEq/L BUN: 20 mg/dL Glucose: 120 mg/dL Creatinine: 1.6 mg/dL Ca2+: 10.1 mg/dL AST: 11 U/L ALT: 9 U/L Cholesterol: 190 mg/dL Triglycerides: 150 mg/dL High density lipoprotein associated cholesterol: 11 mg/dL Low density lipoprotein associated cholesterol: 149 mg/dL The physician updates the patient's medication regimen after this visit. The patient returns 2 weeks later and presents his blood glucose diary to you demonstrating a mean blood glucose of 167 mg/dL. He is also complaining of flushing that occurs occasionally but otherwise is doing well. Which of the following is most likely to alleviate this patient's current symptom?
A 67-year-old man presents to his primary care physician for a decline in his hearing that he noticed over the past week. The patient has a past medical history of hypertension and diabetes mellitus and was recently diagnosed with bladder cancer which is currently appropriately being treated. The patient is a hunter and often goes shooting in his spare time. His recent sick contacts include his grandson who is being treated with amoxicillin for ear pain. Physical exam is notable for decreased hearing bilaterally. The Weber test does not localize to either ear, and the Rinne test demonstrates air conduction is louder than bone conduction. Which of the following is the most likely etiology for this patient's hearing loss?
Get full access to all questions, explanations, and performance tracking.
Scan to download app