A laborer's younger child is brought to the OPD with a swollen belly and dull face. He has been fed rice water (rice milk) in his diet mostly. On investigations, the child is found to have low serum protein and low albumin. What is the probable diagnosis?
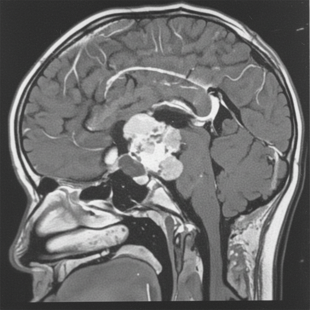
A 12-year-old boy presents with symptoms of headaches, visual disturbances, and growth retardation. An MRI scan is performed, and the image provided shows a cystic mass with both solid and calcified components in the suprasellar region, extending into the third ventricle. Based on the clinical presentation and MRI findings, what is the most likely diagnosis?

A baby was playing unattended and suddenly developed respiratory distress. Based on the X-ray provided, where is the foreign object most likely located?

A 10-year-old male presents with generalized edema. His cholesterol level is $238 \mathrm{mg} / \mathrm{dl}$, urine protein is $3+$, and stool microscopy shows fat in the stool. What is the most likely diagnosis?
In a child with a height-for-age Z-score of less than -2 standard deviations (SD), what is the most likely cause?
A child presents with rachitic changes in the limbs that are not responding to Vitamin D supplementation. Investigations reveal the following results: - Calcium: $9.5 \mathrm{mg} / \mathrm{dl}$ - Phosphorus: $1.6 \mathrm{mg} / \mathrm{dl}$ - Alkaline phosphatase (ALP): 814 IU - Serum PTH: $24.2 \mathrm{pg} / \mathrm{ml}$ - Serum electrolytes, creatinine, and blood gases: Normal. What is the most likely diagnosis?
An anganwadi teacher measures the weight and height of a 4-year-old child and finds that the child's height-for-age is below the normal percentile. What does this finding indicate?
A 16-month-old child weighing 8 kg is assessed using a growth chart. The child's weight falls between the median (standard) and minus 2 standard deviations ( -2 SD ). What should be the next step in the management of this child?
A 4-month-old African-American infant is brought to the pediatrician for a well-baby check up. He was born at term through a normal vaginal delivery and has been well since. His 4-year old brother has sickle-cell disease. He is exclusively breastfed and receives vitamin D supplements. His immunizations are up-to-date. He appears healthy. His length is at the 70th percentile and weight is at the 75th percentile. Cardiopulmonary examination is normal. His mother has heard reports of sudden infant death syndrome (SIDS) being common in his age group and would like to hear more information about it. Which of the following is the most important recommendation to prevent this condition?
A 6-year-old boy is brought to the emergency department with a mild fever for the past week. He has also had generalized weakness and fatigue for the past month. He has been complaining of diffuse pain in his legs and arms. He has a history of Down syndrome with surgical repair of a congenital atrial septal defect as an infant. His temperature is 38.0° C (100.4° F), pulse is 85/min, respirations are 16/min, and blood pressure is 90/60 mm Hg. He has enlarged cervical lymph nodes bilaterally that are nontender to palpation. He is uncooperative for the rest of the examination. Laboratory studies show: Hemoglobin 10.2 g/dL Hematocrit 30.0% Leukocyte count 50,000/mm3 Platelet count 20,000/mm3 Serum Sodium 136 mEq/L Potassium 4.7 mEq/L Chloride 102 mEq/L Bicarbonate 25 mEq/L Urea nitrogen 18 mg/dL Creatinine 1.1 mg/dL Total bilirubin 0.9 mg/dL AST 30 U/L ALT 46 U/L Which of the following is most likely to confirm the diagnosis?
Explanation: ***Kwashiorkor*** - The symptoms of a **swollen belly** (due to **edema** from low albumin), **dull face**, and a diet primarily of **rice water** (low in protein) are classic signs of Kwashiorkor. - Kwashiorkor is a form of severe protein-energy malnutrition characterized by **protein deficiency** that is greater than the calorie deficit, leading to **hypoalbuminemia** and fluid retention. - The **dietary history** of rice water (carbohydrate-rich but protein-poor) is the key distinguishing feature. *Kawasaki disease* - This is an **acute vasculitis** primarily affecting young children, presenting with fever, rash, conjunctivitis, mouth changes, and lymphadenopathy. - It does not involve a swollen belly or dull face as primary symptoms, nor is it linked to dietary protein deficiency. *Marasmus* - Marasmus is a form of severe malnutrition characterized by an **overall deficiency of calories** and nutrients, resulting in severe **wasting** of muscle and fat. - While it involves low weight and energy deficit, the prominent **edema** (swollen belly) seen in this case points away from marasmus. *Indian childhood cirrhosis* - This is a rare, **fatal liver disease** in young children, often characterized by jaundice, hepatosplenomegaly, and liver failure. - It is not primarily caused by protein deficiency and its symptoms are distinct from the presentation described. *Nephrotic syndrome* - While nephrotic syndrome also presents with **hypoalbuminemia and edema**, it would show **proteinuria** (>3.5 g/day), hyperlipidemia, and lipiduria on urinalysis. - The **dietary history** and absence of urinary findings distinguish kwashiorkor from nephrotic syndrome.
Explanation: ***Craniopharyngioma*** - This tumor is classically described as having **cystic** and **solid components** with **calcification**, which is evident in the provided MRI image. Its location in the **suprasellar region** and extension into the **third ventricle** are also typical. - The clinical presentation of **headaches**, **visual disturbances** (due to compression of the optic chiasm), and **growth retardation** (due to hypothalamic-pituitary axis dysfunction) in a 12-year-old boy is highly suggestive of a craniopharyngioma, which commonly affects children and young adults. *Germinoma* - While germinomas can occur in the suprasellar region and cause similar endocrine and visual symptoms, they typically appear as **solid, homogeneously enhancing masses** on MRI and are less commonly cystic and calcified. - They are more common in adolescence and are highly sensitive to radiation therapy, but their imaging characteristics differ from the described lesion. *Meningioma* - Meningiomas typically arise from the **arachnoid mater** and are usually **solid, extra-axial masses** that often have a **dural tail sign** on MRI. - They are less common in children, and while they can calcify, their characteristic imaging features (extra-axial, dural attachment) are not consistent with the described suprasellar, intra-axial cystic mass. *Pituitary adenoma* - Pituitary adenomas originate from the **pituitary gland** and are usually located within the sella turcica, extending superiorly. While they can be cystic, **calcification is rare**, and they are more commonly solid and homogeneously enhancing. - Although they can cause visual disturbances and hormonal imbalances, the prominent cystic-solid appearance with calcification and clear suprasellar origin extending into the third ventricle makes craniopharyngioma a more likely diagnosis in this age group and imaging. *Optic glioma* - Optic gliomas (pilocytic astrocytomas) are common **suprasellar tumors in children**, especially those with neurofibromatosis type 1, and can cause visual disturbances and endocrine dysfunction. - However, they typically appear as **solid, fusiform masses** involving the optic nerve or chiasm with **homogeneous enhancement** and rarely show the characteristic cystic-solid architecture with prominent calcification seen in craniopharyngiomas.
Explanation: ***Esophagus*** - The frontal X-ray shows a **coin-shaped foreign body** that is oriented in the **coronal plane** (flat face visible), which is characteristic of an object lodged in the esophagus. - The foreign body is located in the **upper mediastinum**, directly in the known anatomical path of the esophagus, causing respiratory distress due to **extrinsic compression** of the trachea or aspiration. *Trachea* - Foreign bodies in the trachea, especially flat objects like coins, typically orient themselves in the **sagittal plane** (on edge) due to the C-shaped cartilaginous rings. - While tracheal foreign bodies can cause respiratory distress, the orientation on the image is inconsistent with a tracheal location. *Right main bronchus* - The **right main bronchus** is the most common site for aspirated foreign bodies in children due to its wider diameter and more vertical orientation. - However, foreign bodies in the bronchus would typically show air trapping or atelectasis on chest X-ray, and the location and orientation of this object in the upper mediastinum are not consistent with bronchial placement. *Gastrointestinal tract* - The foreign body is located in the **chest cavity**, well above the stomach and intestines. - If a foreign body reaches the gastrointestinal tract, it would typically be beyond the esophagus and would not usually cause acute respiratory distress. *Below diaphragm* - The diaphragm separates the chest cavity from the abdominal cavity. The foreign body is clearly visible within the **chest cavity**, high up in the mediastinum. - A foreign body below the diaphragm in the gastrointestinal tract would not result in the appearance or the acute respiratory distress described without other symptoms.
Explanation: ***Nephrotic syndrome*** - **Nephrotic syndrome** is characterized by **generalized edema**, **massive proteinuria** (3+ in urine protein), and **hyperlipidemia** (elevated cholesterol). - **Fat in the stool** (steatorrhea) can be an associated finding due to malabsorption or metabolic derangements, though not a primary diagnostic criterion for nephrotic syndrome. - This is the **syndrome** that encompasses the entire clinical presentation. *Minimal change disease* - **Minimal change disease** is the **most common etiology** of nephrotic syndrome in children (accounting for ~80% of cases in this age group). - While this child likely has minimal change disease as the underlying cause, the question asks for the **syndrome/diagnosis** based on the clinical presentation, which is **nephrotic syndrome**. - Minimal change disease is the pathologic diagnosis that would be confirmed on **renal biopsy**. *Nephritic syndrome* - **Nephritic syndrome** typically presents with **hematuria**, **hypertension**, **azotemia**, and mild to moderate proteinuria, rather than massive proteinuria and generalized edema. - It is characterized by inflammation of the glomeruli, often leading to a decrease in **glomerular filtration rate (GFR)**. *Goodpasture syndrome* - **Goodpasture syndrome** is an autoimmune disease characterized by **rapidly progressive glomerulonephritis** and **pulmonary hemorrhage**. - While it causes renal involvement, its distinct feature is the presence of **anti-glomerular basement membrane (GBM) antibodies**, and the clinical picture does not align with the given symptoms. *Urine infection* - A **urine infection** (urinary tract infection) typically presents with dysuria, frequency, urgency, and sometimes fever, with positive urine cultures and pyuria. - It does not explain the presence of **generalized edema**, **hyperlipidemia**, or **massive proteinuria**.
Explanation: ***Chronic malnutrition*** - A **height-for-age Z-score of less than -2 SD** is a key indicator for **stunting**, which is primarily caused by prolonged periods of **inadequate nutrition** and/or recurrent infections. - This reflects **long-term nutritional deprivation** impacting linear growth, rather than recent or acute issues. *No malnutrition* - A Z-score below -2 SD for height-for-age is a critical threshold indicating **significant growth faltering**, making the absence of malnutrition highly unlikely. - This measurement directly reflects that the child's height is significantly below the expected range for their age, signifying a nutritional problem. *Acute malnutrition* - **Acute malnutrition** is typically assessed by **weight-for-height Z-score** (wasting) or Mid-Upper Arm Circumference (MUAC). - While acute malnutrition impairs growth, a low height-for-age Z-score specifically points to a problem of **longer duration (chronic)** rather than immediate weight loss. *Recent infection* - While **recent infections** can lead to temporary weight loss and affect appetite, they typically do not cause a **pronounced and sustained reduction in height-for-age** (stunting) unless they are recurrent or chronic, contributing to overall chronic malnutrition. - A single, recent infection is more likely to impact **weight-for-height** acutely. *Genetic short stature* - While **genetic factors** can influence height, a height-for-age Z-score of less than -2 SD in the context of population-based assessment typically indicates **pathological growth failure** due to chronic malnutrition. - Genetic short stature typically maintains **proportional growth** with consistent growth velocity, whereas stunting shows **growth faltering** over time.
Explanation: ***Hypophosphatemic rickets*** - The combination of **rachitic changes** not responding to Vitamin D, **low serum phosphorus (1.6 mg/dl)**, and **normal calcium and PTH levels** strongly points to hypophosphatemic rickets, a condition characterized by impaired renal phosphate reabsorption. - The **elevated alkaline phosphatase** indicates increased bone turnover as the body tries to mineralize bone despite phosphate deficiency. *Vitamin D-dependent rickets type 2* - This condition involves resistance to **1,25-dihydroxyvitamin D**, leading to **hypocalcemia** and elevated PTH, none of which are present here. - It would also typically show an inadequate response to Vitamin D, but the primary biochemical derangement is different. *Vitamin D-dependent rickets type 1* - This type is caused by a defect in **1-alpha-hydroxylase**, leading to an inability to convert 25-hydroxyvitamin D to its active form, resulting in **hypocalcemia** and elevated PTH, which are not observed. - It would also show a poor response to standard Vitamin D supplementation. *Vitamin D deficiency rickets* - This is the most common form of rickets caused by inadequate Vitamin D intake or synthesis, presenting with **hypocalcemia**, **elevated PTH**, and **low phosphorus**. - However, it typically responds well to Vitamin D supplementation, unlike the presentation here, and would show elevated PTH levels. *Chronic renal failure* - Chronic renal failure would present with **elevated creatinine**, and typically leads to **secondary hyperparathyroidism** (elevated PTH), **hyperphosphatemia**, and metabolic acidosis, none of which are suggested by the provided lab results. - The serum electrolytes, creatinine, and blood gases are explicitly stated as normal.
Explanation: ***Chronic malnutrition*** - **Height-for-age** is an indicator used to assess **long-term nutritional status**, meaning a deficit suggests chronic nutritional problems. - A child with low height-for-age is considered **stunted**, which is a hallmark of chronic malnutrition resulting from prolonged inadequate nutrient intake. - Since the question only mentions **height-for-age being low** without mentioning weight-for-height, this indicates **chronic malnutrition alone** (stunting). *No malnutrition* - A finding of **height below the normal percentile** is a direct indicator of poor growth, which contradicts the concept of no malnutrition. - This measurement tool is specifically designed to identify nutritional deficiencies. *Acute malnutrition* - **Acute malnutrition** is typically assessed using **weight-for-height** or **mid-upper arm circumference (MUAC)**, indicating recent and rapid weight loss. - A child with acute malnutrition is often referred to as **wasted**, which is different from being stunted. *Recent malnutrition* - While all malnutrition has a "recent" onset at some point, **height-for-age** reflects a cumulative effect over time, not just recent deprivation. - For assessing recent nutritional issues, **weight-for-height** or **weight-for-age** would be more appropriate indicators. *Acute and chronic malnutrition* - This condition (also called **wasted and stunted**) occurs when a child has both **low weight-for-height** (acute/wasting) AND **low height-for-age** (chronic/stunting). - The question states only that **height-for-age is below normal**, with no mention of weight-for-height status, so we cannot diagnose acute malnutrition component. - This would require assessment of both anthropometric indicators.
Explanation: ***Reassure the mother that the child is within normal nutritional status.*** - According to WHO growth standards, a child's weight between the **median and -2 SD** falls within the **normal range**. - Weight-for-age between +2 SD and -2 SD is considered **normal nutritional status**. - The appropriate management is to **reassure the parents**, provide anticipatory guidance on nutrition, and continue **routine growth monitoring**. - No specific nutritional intervention is required unless there are other clinical concerns. *Identify mild malnutrition and initiate home-based nutritional support.* - **Mild malnutrition (underweight)** is defined as weight-for-age between **-2 SD and -3 SD**, not between median and -2 SD. - This child's weight is **above -2 SD**, placing them in the normal range, so this intervention is not indicated. *Recognize moderate malnutrition and provide feeding education to the mother.* - **Moderate malnutrition** is indicated when a child's weight falls between **-2 SD and -3 SD**. - This child's weight is **above -2 SD** and therefore does not meet criteria for moderate malnutrition. *Diagnose severe malnutrition and refer to a Nutritional Rehabilitation center.* - **Severe acute malnutrition (SAM)** is diagnosed when weight-for-height is **below -3 SD**, or when there is visible severe wasting or bilateral pitting edema. - This child's weight is well above the threshold for severe malnutrition. *Initiate therapeutic feeding with ready-to-use therapeutic food (RUTF).* - **RUTF** is reserved for children with **severe acute malnutrition** requiring therapeutic nutritional rehabilitation. - This child has normal nutritional status and does not require therapeutic feeding products.
Explanation: ***Have the baby sleep in supine position*** - The "Back to Sleep" campaign significantly reduced **SIDS incidence** by advocating for placing infants on their backs for sleep. - Sleeping in the **supine position** ensures an open airway and reduces the risk of suffocation or rebreathing exhaled air. *Use soft bedding and pillows for the baby* - **Soft bedding**, pillows, and bumpers increase the risk of suffocation and rebreathing exhaled air, which are risk factors for SIDS. - The sleeping surface should be **firm and clear** of all soft objects for infant safety. *Make sure that no one smokes around the baby* - Exposure to **secondhand smoke** is a known risk factor for SIDS; however, it is not the most important immediate recommendation regarding sleep position. - While crucial for overall infant health, addressing the **sleep environment** directly impacts airway safety. *Cardiorespiratory monitoring of the baby at home* - **Home cardiorespiratory monitoring** is generally reserved for infants at high risk for apnea or other specific medical conditions, not as a blanket recommendation for SIDS prevention in healthy infants. - It is not a primary preventative measure for SIDS in the general population of healthy infants. *Have the baby sleep with the parent* - **Co-sleeping (bed-sharing)** with parents increases the risk of SIDS due to potential suffocation, entrapment, or overlaying by parents. - The recommendation is for infants to **sleep in the same room** as the parents but in their own separate safe sleep space (crib or bassinet).
Explanation: ***Bone marrow biopsy*** - The patient's symptoms (fever, fatigue, diffuse bone pain, lymphadenopathy) combined with **marked leukocytosis (WBC 50,000/mm³), anemia, and severe thrombocytopenia** are highly suggestive of **acute leukemia**. - Children with **Down syndrome have a 10-20 times increased risk** of developing acute leukemia, particularly acute lymphoblastic leukemia (ALL) and acute megakaryoblastic leukemia (AMKL). - A **bone marrow biopsy** is the definitive diagnostic test for leukemia, as it allows for morphological, immunophenotypic, and cytogenetic analysis of bone marrow cells to confirm the diagnosis and classify the specific type of leukemia. *Serum protein electrophoresis* - This test is primarily used for diagnosing **plasma cell disorders** like multiple myeloma or monoclonal gammopathy, which are not suggested by the patient's presentation or laboratory findings. - While leukemias can rarely present with abnormal protein production, it is not the initial or most appropriate diagnostic step for suspected leukemia. *Blood culture* - A blood culture is used to identify **bacterial or fungal infections** in the bloodstream. While the patient has a mild fever and could have an infection, the persistent symptoms (weeks to a month), generalized bone pain, and particularly the marked leukocytosis with severe thrombocytopenia and anemia are characteristic of hematologic malignancy rather than simple infection. - Although ruling out infection may be important (especially in the context of potential neutropenia if blasts predominate), it would not confirm the underlying hematologic malignancy indicated by the lab results. *Echocardiography* - **Echocardiography** evaluates the structure and function of the heart. The patient has a history of repaired atrial septal defect, but there are no current cardiac symptoms or signs (e.g., murmurs, signs of heart failure) that necessitate an echocardiogram for the presenting complaints. - This test would not help in diagnosing the suspected hematologic condition. *Monospot test* - The **Monospot test** is used to diagnose infectious mononucleosis, typically caused by the Epstein-Barr virus (EBV). While some symptoms (fever, fatigue, lymphadenopathy) can overlap, the marked leukocytosis (likely with circulating blasts), severe thrombocytopenia, and diffuse bone pain are not characteristic of mononucleosis. - Infectious mononucleosis typically presents with **atypical lymphocytosis**, not the marked leukocytosis with severe thrombocytopenia seen in this case.
Explanation: ***Positive hydrogen breath test*** - The patient's symptoms of **abdominal discomfort** and **increased flatulence** after consuming milk and cheese are highly suggestive of **lactose intolerance**. - A **hydrogen breath test** measures hydrogen in the breath after consuming lactose; in lactose intolerance, **undigested lactose** in the colon is fermented by bacteria, producing hydrogen gas that is absorbed and exhaled. *Positive technetium 99 scan* - A **Technetium-99m labeled red blood cell scan** is used to detect **gastrointestinal bleeding**, which is not indicated by the patient's symptoms. - This test is typically performed when there is suspicion of active bleeding, such as in cases of **melena** or **hematochezia**. *Abnormal small bowel biopsy* - A small bowel biopsy is primarily used to diagnose conditions like **celiac disease** (villous atrophy) or **Crohn's disease**, which present with different symptoms, often including **malabsorption** and severe diarrhea. - While lactose intolerance can be confirmed by measuring lactase activity in a biopsy, it is not the primary or least invasive diagnostic method. *Abnormal abdominal ultrasound* - An **abdominal ultrasound** is often used to visualize organs and detect issues like **gallstones**, **appendicitis**, or structural abnormalities. - It would not directly diagnose lactose intolerance, as the condition is related to an **enzymatic deficiency**, not a structural abnormality visible on ultrasound. *Negative hydrogen breath test* - A **negative hydrogen breath test** would indicate that the patient is **not lactose intolerant**, as it would show a minimal increase in hydrogen levels after lactose ingestion. - This contradicts the patient's clear history of symptoms specifically associated with dairy consumption.
Explanation: ***Neglect*** - The parents' failure to provide adequate supervision, medical care (missed vaccines, no physician visits), and basic needs (appears dirty, thin, small for age) for the intellectually disabled child despite being able to do so, constitutes **neglect**. - Their refusal to come to the ED and leaving him unattended further supports the diagnosis of **neglect**. *Psychological abuse* - This involves behaviors that harm a child's **self-worth** or **emotional well-being**, such as constant criticism, threats, or terrorizing. - While emotional harm may be present due to neglect, the primary and most comprehensive description of the actions is neglect of basic needs and care. *Factitious disorder* - This is a mental disorder where an individual fakes or induces illness in themselves or someone else (often a child, known as **Factitious Disorder Imposed on Another**) for attention or sympathy. - The scenario describes a failure of care rather than a deliberate fabrication or induction of illness. *Physical abuse* - This involves causing **physical harm** to a child, such as hitting, burning, or shaking. The large bruise on the hip is a sign of injury, but the *cause* is being struck by a car, not direct parental physical harm. - While a bruise is present, the overall pattern of parental behavior points to a failure to protect and care rather than direct infliction of injury by the parents on the child. *Sexual abuse* - This involves any sexual act or exploitation of a child by an adult. - There are **no indicators** in the provided scenario to suggest sexual abuse.
Explanation: ***Reassurance*** - The manifestations described are **physiological newborn findings** due to maternal hormone withdrawal and hyperpigmentation, requiring no intervention. - **Vaginal discharge and mild bleeding** are common in female infants due to declining maternal estrogen levels, while **Mongolian spots** (gray-blue patches) are benign pigmented lesions. *Ceftriaxone and doxycycline therapy* - This combination is used to treat **gonorrhea and chlamydia coinfection**, but the mother was already treated and the infant shows no signs of active infection. - The vaginal discharge is physiological, and there are no other symptoms to suggest a sexually transmitted infection in the infant. *Ceftriaxone therapy* - Ceftriaxone is used to treat **gonococcal infections**, but the maternal infection was previously treated, and the infant's symptoms are physiologic. - Administering antibiotics without clear signs of infection is inappropriate and can lead to **antibiotic resistance**. *Leuprolide therapy* - Leuprolide is a **GnRH agonist** used to treat **precocious puberty**, which is not indicated here as the breast buds and vaginal discharge are physiological. - The infant's symptoms are a normal response to changes in maternal hormones, not an endocrine disorder. *Fluconazole therapy* - Fluconazole is an **antifungal medication** used to treat **candidiasis**, which is not indicated in this case as the vaginal discharge is odorless and not suggestive of a fungal infection. - The infant's symptoms are physiological and not indicative of an infectious process requiring antifungal treatment.
Explanation: ***Cystic fibrosis*** - Patients with **cystic fibrosis** have a defect in the **CFTR channel**, which leads to abnormal chloride and water transport, resulting in highly concentrated sweat. - This excessive loss of **sodium chloride** can rapidly lead to **dehydration** and electrolyte imbalances (hyponatremia, hypochloremia) in hot weather, increasing morbidity. *Cerebral palsy* - While children with **cerebral palsy** may have difficulty with mobility and thermal regulation, their primary challenge in hot weather is generally not unique physiological vulnerability to heat. - Their morbidity would be related to other **comorbidities**, not a direct physiological challenge with heat. *Asthma* - **Asthma** can be exacerbated by hot, humid air or air pollution, but it does not directly lead to unique electrolyte imbalances or rapid dehydration from heat exposure itself. - The morbidity relates to **respiratory distress** rather than a primary issue with fluid and electrolyte balance in heat. *Tay-Sachs disease* - **Tay-Sachs disease** is a progressive neurodegenerative disorder with no direct physiological vulnerability to hot weather different from other children. - Morbidity is related to progressive neurological deterioration, not heat intolerance or **electrolyte disturbances**. *Down syndrome* - Children with **Down syndrome** may have cardiac or respiratory issues, and some may have decreased sweating capacity, but they do not typically undergo extreme **electrolyte loss** through sweat like those with cystic fibrosis. - While heat exposure should be managed carefully, their risk of heat-related morbidity is secondary to their general health challenges rather than a specific defect in sweat composition.
Explanation: ***Notify Child Protective Services*** - The combination of a **spiral fracture** in a young child and a **healing rib fracture** is highly suggestive of **non-accidental trauma/child abuse**, especially given the inconsistent history provided by the parents. - Physicians have a legal and ethical obligation to report suspected child abuse to **Child Protective Services (CPS)** for investigation and protection of the child. *Contact brother for clarification* - While gathering more information is generally helpful, relying solely on the brother's clarification is insufficient, as he may also be involved or unwilling to disclose the truth. - The immediate priority in suspected child abuse is ensuring the child's safety and initiating a formal investigation through the proper channels. *Hospitalize the boy for further evaluation* - Hospitalization for further evaluation might be considered after reporting to CPS, especially if there are concerns about the child's immediate safety or medical stability, but it is not the *most appropriate first step* in addressing the suspicion of abuse. - The primary concern is protecting the child from potential ongoing harm, which requires the involvement of CPS. *Arrange for surgical treatment* - While the fractures may eventually require treatment, prioritizing surgical intervention over addressing the potential abuse would be inappropriate. - The immediate and most critical step is to investigate the cause of the injuries through official channels to prevent future harm. *Screen for defective type I collagen* - Conditions like **osteogenesis imperfecta**, which involve defective type I collagen, can cause recurrent fractures, but the specific pattern of injuries (spiral fracture, healing rib fracture) and the inconsistent history are far more indicative of abuse than a genetic disorder in this context. - Screening for a genetic condition would be considered after ruling out abuse, or if there were other signs suggestive of a genetic bone disorder (e.g., blue sclera, dentinogenesis imperfecta).
Explanation: ***Simulating intercourse*** - **Simulating intercourse** is an **age-inappropriate sexually aggressive behavior** that is highly suggestive of sexual abuse in a three-year-old. - This behavior indicates the child has witnessed or experienced sexual acts beyond normal curiosity. *Asking questions about reproduction* - Children naturally develop **curiosity about the human body** and reproduction as they grow. - While it can be a sign of increased awareness, by itself, it does not suggest sexual abuse. *Looking at another child's body parts while playing "doctor"* - **Childhood play**, including "doctor," often involves exploring body parts in a natural, curious way. - This is a common and typical developmental behavior and does not automatically signify abuse without other concerning signs. *Cross-dressing* - **Cross-dressing** is often related to a child's **exploration of identity** and gender roles, which is a normal developmental process. - It is not indicative of sexual abuse as it's separate from sexual acts. *Masturbation* - **Masturbation** is a common and **normal self-exploratory behavior** in children from a very young age. - It is part of typical development and does not, in itself, suggest sexual abuse.
Explanation: ***Hot baths that are too long, or too frequent, can dry out the skin.*** - The rash described (confluent, erythematous patches and plaques with tiny vesicles and scaling) on a 4-week-old, along with a history of an older sibling with similar symptoms, is highly suggestive of **atopic dermatitis** (eczema). - Frequent, prolonged hot baths **strip the skin of its natural oils**, exacerbating skin dryness and disrupting the skin barrier, a known trigger for atopic dermatitis flares in infants. - Given the mother's history of bathing twice daily, counseling about appropriate bathing frequency is the most relevant management advice. *Usually, scabs with a distinctive yellow, gold, or brown crust are seen.* - **Yellow, gold, or brown crusts** are characteristic of **impetigo**, a bacterial skin infection, not typically seen as the primary presentation of atopic dermatitis. - While eczema can become secondarily infected with bacteria (impetiginization), these crusts are not the defining feature of uncomplicated eczema. *This condition is usually seen on the scalp, face, ears, and neck.* - While this describes the typical distribution of **seborrheic dermatitis** (cradle cap) in infants, atopic dermatitis in young infants commonly affects the **face (especially cheeks) and extensor surfaces**. - In this case, the presentation on the lower back and abdomen, while somewhat atypical, is consistent with atopic dermatitis, especially given the family history and identified trigger factor. *You can expect blisters, fever and large areas of skin that peel or fall away.* - The description of **blisters, fever, and large areas of peeling skin** is characteristic of severe conditions like **Stevens-Johnson syndrome (SJS)** or **Toxic Epidermal Necrolysis (TEN)**, which are much more severe and life-threatening. - The rash described in this patient does not indicate such a severe systemic reaction and is consistent with uncomplicated infantile atopic dermatitis. *This condition is caused by the herpes simplex virus.* - The herpes simplex virus causes **herpes simplex** infections, which manifest as clustered vesicles on an erythematous base (e.g., eczema herpeticum when it complicates atopic dermatitis). - **Atopic dermatitis** is a chronic inflammatory skin condition with genetic predisposition and environmental triggers, not a primary viral infection.
Explanation: ***Severe protein malnutrition*** - The constellation of **pitting edema**, **protuberant abdomen** (due to ascites), **hypopigmentation** and **desquamation** of skin, and general indifference in a child from Africa strongly points to **kwashiorkor**, a form of severe protein malnutrition. - **Hepatomegaly** can occur due to fatty liver changes caused by impaired triglyceride transport from the liver, which is dependent on adequate protein synthesis. *Vitamin A deficiency* - Primarily causes **ocular symptoms** like night blindness (**nyctalopia**) and conjunctival xerosis. - While it can impair immune function and contribute to growth failure, it does not typically cause the prominent edema, skin changes, or hepatomegaly seen in this case. *Total caloric deprivation* - This typically leads to **marasmus**, characterized by severe wasting and a "skin and bones" appearance due to depletion of both fat and muscle stores. - **Edema** is generally absent in marasmus, which distinguishes it from kwashiorkor. *Secondary protein-energy malnutrition* - This type of malnutrition results from **underlying diseases** (e.g., chronic infections, malabsorption) rather than primary dietary insufficiency. - While the symptoms could overlap, given the child's origin from Africa, **primary dietary deficiency** is a more direct and common cause for these specific signs. *Hypothyroidism* - Characterized by **growth retardation**, **constipation**, **lethargy**, and **cold intolerance**. - While some features like indifference and growth stunting might overlap, hypothyroidism does not typically cause **pitting edema**, severe skin abnormalities, or the specific type of hepatomegaly observed here.
Explanation: ***Infantile seborrheic dermatitis*** - This condition commonly presents in infants with **erythematous plaques and greasy, yellowish scales** on the scalp (**cradle cap**) and sometimes extending to the ears, face, and diaper area. - The onset usually occurs in the first few months of life, and it is typically **self-limiting** and resolves spontaneously. *Tinea capitis* - This is a **fungal infection** of the scalp, presenting with **scaly patches, alopecia, and sometimes pustules**; it is less likely to present with shiny, greasy scales. - It often causes **pruritus** and can lead to lymphadenopathy, which are not described in this case. *Pityriasis amiantacea* - Characterized by **thick, silvery or yellowish scales** that tightly adhere to the hair shafts, binding them together. - While it involves scales on the scalp, the scales in this condition are typically **dry and tightly adherent**, differentiating it from the greasy scales seen in seborrheic dermatitis. *Atopic dermatitis* - Typically presents with **erythematous, itchy, and dry skin lesions** (eczema), often with excoriations due to scratching. - While it can affect the scalp, the characteristic **greasy, yellowish scales** described are not typical of atopic dermatitis. *Langerhans cell histiocytosis* - This is a rare disorder that can present with **seborrheic dermatitis-like rash** but is often accompanied by other systemic symptoms like **fever, lymphadenopathy, hepatosplenomegaly**, or bone lesions. - The patient's otherwise healthy state and normal blood counts make this diagnosis less likely.
Explanation: ***Says mama or dada*** - The infant is at roughly **9–10 months** based on developmental milestones like crawling, banging cubes, developing pincer grasp, and stranger anxiety. - At this age, saying **"mama" or "dada" specifically** (not just babbling) is a common and expected **emerging language milestone**. - This represents a NEW skill being acquired at this developmental stage. *Follows one-step commands* - Following one-step commands, especially without gestures, is typically a milestone achieved later, around **12–15 months** of age. - The infant's current stage of development, particularly concerning language acquisition, indicates they are not yet at this level of comprehension. *Enjoys peek-a-boo* - While infants at **9–10 months** do enjoy peek-a-boo, this is not a NEW or emerging skill at this age. - Peek-a-boo is typically enjoyed starting around **6–9 months** and represents an **already established** skill by this developmental stage. - The question asks for "additional skills expected" at this age, and "mama/dada" is the emerging milestone, whereas peek-a-boo enjoyment is already well-developed. *Gives objects to others* - **Giving objects to others** as a communicative gesture or to share is a more complex social milestone, typically emerging around **12–15 months** of age. - This action requires a greater understanding of social interaction and reciprocity than what's expected for this infant's current stage. *Knows 3–6 words* - Knowing and using **multiple specific words** (3-6 words) is a language milestone typically reached closer to **12–15 months**. - At 9–10 months, the infant is just beginning to say specific words like "mama" or "dada", indicating an earlier stage of vocabulary development.
Explanation: ***Maternal estrogen withdrawal*** - Vaginal bleeding in a newborn, accompanied by **white vaginal discharge**, **enlarged breasts**, and **swollen labia**, are classic signs of **neonatal hormonal withdrawal**. - During pregnancy, **maternal estrogens** cross the placenta, stimulating the fetal uterus and mammary glands; after birth, the sudden withdrawal of these hormones causes a transient, benign response. *Genitourinary infection* - While infections can cause vaginal discharge, **vaginal bleeding** in a neonate is not typically a primary symptom, and the other signs like **breast enlargement** are not associated with infection. - The patient exhibits no signs of infection such as fever, irritability, or poor feeding, and her vital signs are within normal limits for a newborn. *Yolk sac tumor* - A yolk sac tumor (endodermal sinus tumor) is a **malignant germ cell tumor** that can cause vaginal bleeding, but it is typically associated with a **mass**, and usually presents later in infancy or childhood. - This diagnosis would not explain the other findings, such as **enlarged breasts** or **white vaginal discharge**, which point to a hormonal cause. *External trauma* - **External trauma** could cause vaginal bleeding, but it would not explain the presence of **white vaginal discharge**, **enlarged breasts**, or **swollen labia**. - There is no history or physical evidence of trauma, and the bleeding is described as new-onset without any preceding injury. *Congenital adrenal hyperplasia* - **Congenital adrenal hyperplasia (CAH)** due to **21-hydroxylase deficiency** can cause **ambiguous genitalia** in female newborns and electrolyte abnormalities. - However, it does not typically cause vaginal bleeding or breast enlargement, and the physical exam findings of swollen labia in this context are a normal physiological response to maternal hormones, not virilization.
Explanation: ***Reassurance*** - The murmur described is a **Still's murmur**, a common **innocent murmur** in children, characterized by its systolic nature, vibratory quality, and decrease in intensity with standing. - Given the patient's anecdotally normal activity level, normal vital signs, absence of other cardiac symptoms, and the characteristics of the murmur, it is most likely benign, requiring no further workup. *Electrocardiogram* - An **ECG** is typically performed to evaluate electrical activity of the heart and detect arrhythmias or hypertrophy. - For a suspected innocent murmur in an asymptomatic child with normal vital signs, an **ECG is not the most appropriate first step**, especially if the murmur disappears with standing. *Echocardiogram* - An **echocardiogram** is used to visualize the heart's structure and function. - It would be indicated if the murmur had features suggestive of a **pathological cause**, such as being diastolic, loud, associated with symptoms (e.g., cyanosis, poor feeding, dyspnea), or other abnormal findings on physical exam, none of which are present here. *Chest radiograph* - A **chest radiograph** would visualize the size and shape of the heart and great vessels, as well as the lungs. - It is **not a primary diagnostic tool for murmurs** and would be most useful in cases of suspected heart failure or significant cardiomegaly, neither of which are suggested by this presentation. *Complete blood count* - A **CBC** measures blood components and is useful for detecting anemia, infection, or other hematologic abnormalities. - It has **no relevance** to the initial assessment or workup of a cardiac murmur unless other systemic symptoms are present.
Explanation: ***Audiology evaluation*** - The boy's limited vocabulary ("mama" only) and babbling, despite being 18 months old, are **red flags for language delay**, indicating a potential underlying hearing impairment. - A comprehensive audiology evaluation is crucial to **rule out hearing loss** as a cause for delayed language development. *Speech therapy* - While speech therapy may be indicated for language delay, it is typically initiated **after hearing loss has been ruled out** or addressed, as hearing is fundamental to speech acquisition. - Early intervention for hearing loss can significantly improve language outcomes, making it a **priority over immediate speech therapy**. *Genetic testing* - There is no indication for genetic testing at this time, as the boy presents with **isolated language delay** without other physical anomalies, dysmorphic features, or a family history of genetic disorders. - Genetic testing is usually pursued when there are broader developmental concerns or specific genetic syndromes are suspected. *Cover-uncover test* - This test is used to assess for **strabismus (ocular misalignment)**. The boy's presentation does not describe any visual concerns or suspected strabismus. - A cover-uncover test is not relevant to evaluating language delay or potential hearing issues. *Cranial imaging* - Cranial imaging (e.g., MRI or CT of the brain) is usually reserved for cases with **focal neurological deficits**, concerns for intracranial pathology, or global developmental delays suggesting a structural brain anomaly, none of which are present here. - It would be an **overly aggressive and unwarranted** first step for isolated language delay.
Explanation: ***α-fetoprotein*** - The patient's presentation with **recurrent falls**, **delayed development**, **spontaneous fractures**, **gait abnormalities** and **oculocutaneous telangiectasias (red eyes with dilated, tortuous conjunctival blood vessels)** is highly suggestive of **Ataxia-Telangiectasia**. - **Ataxia-Telangiectasia** is an autosomal recessive disorder characterized by **immunodeficiency**, **cerebellar ataxia**, and **telangiectasias**. Patients with Ataxia-Telangiectasia typically have **elevated α-fetoprotein (AFP)** levels, which is a key diagnostic marker. *Immunoglobulin A (IgA)* - Patients with **Ataxia-Telangiectasia** often present with **immunodeficiency** especially involving **IgA deficiency**. Therefore, IgA levels would be **decreased** or normal, not elevated. - This **IgA deficiency** contributes to recurrent **sinopulmonary infections**, such as the unremitting cough and antibiotic use mentioned. *Random blood glucose* - While patients with **Ataxia-Telangiectasia** can develop **insulin resistance** and **diabetes mellitus** later in life, the immediate presentation does not specifically point to hyperglycemia, and it is not a primary diagnostic marker for the condition itself. - The patient's current symptoms are more indicative of the primary neurological and immunological aspects of Ataxia-Telangiectasia. *Serum calcium* - The patient has a history of **spontaneous falls** and a **femoral neck fracture**, which could suggest **bone fragility**. However, serum calcium levels are not typically elevated in Ataxia-Telangiectasia. - The history of calcium supplementation suggests a concern for low calcium, but this is unlikely to exceed the normal range in this context. *Lymphocytes* - Patients with **Ataxia-Telangiectasia** often exhibit **lymphopenia**, particularly of **T-lymphocytes**, contributing to their **immunodeficiency**. - Therefore, lymphocyte counts would likely be **decreased** or normal, not elevated.
Explanation: ***t(9;22)*** - The **t(9;22) translocation**, also known as the **Philadelphia chromosome**, is associated with a poor prognosis in pediatric ALL due to its resistance to conventional chemotherapy. - This translocation forms the **BCR-ABL1 fusion gene**, which leads to constitutive tyrosine kinase activity, promoting cell proliferation and survival of leukemic cells. *Trisomy 4* - **Trisomy 4** is generally considered a favorable prognostic indicator in ALL, often associated with a better response to treatment and improved survival rates. - It is part of the "good risk" cytogenetic abnormalities often seen in B-ALL. *t(12;21)* - The **t(12;21) translocation** involving the TEL-AML1 (ETV6-RUNX1) fusion gene is one of the most common genetic abnormalities in pediatric B-ALL and is associated with a **favorable prognosis**. - Patients with this translocation generally respond well to standard chemotherapy regimens. *Hyperdiploidy* - **Hyperdiploidy**, defined as having more than 50 chromosomes, especially in the range of 51-65, is typically associated with a **favorable prognosis** in childhood ALL. - It is often seen in younger children and is linked to good treatment outcomes. *Trisomy 10* - Similar to other trisomies like trisomy 4 and 17, **trisomy 10** is generally considered a **favorable prognostic marker** in pediatric ALL. - It contributes to the overall hyperdiploid state, which is associated with better treatment responses.
Explanation: ***Diet modification*** - The child's symptoms of **diarrhea** and **bloating** worsening after consuming **dairy products** and **ice cream** are classic signs of **lactose intolerance**. - The first-line therapy for lactose intolerance involves **reducing or eliminating lactose-containing foods** from the diet. *Omeprazole* - **Omeprazole** is a **proton pump inhibitor (PPI)** used to reduce stomach acid production. - It is indicated for conditions like **gastroesophageal reflux disease (GERD)** or peptic ulcers, which are not suggested by the child's symptoms. *Cholestyramine* - **Cholestyramine** is a **bile acid sequestrant** used to lower cholesterol and treat **bile acid malabsorption**, which typically presents with chronic watery diarrhea. - While it can cause diarrhea as a side effect, it would not be the primary therapy for symptoms related to dairy consumption. *Metoclopramide* - **Metoclopramide** is a **prokinetic agent** that increases gastrointestinal motility. - It is used to treat **nausea, vomiting**, and **gastroparesis**, which are not the presenting complaints in this case. *Pancreatic lipase supplement* - **Pancreatic lipase supplements** are used to treat **exocrine pancreatic insufficiency**, where the pancreas does not produce enough enzymes to digest fats, proteins, and carbohydrates. - This condition involves **steatorrhea** (fatty stools) and malabsorption of all macronutrients, which differs from the dairy-specific symptoms described.
Explanation: ***Unintentional injury, malignant neoplasms, congenital anomalies*** - **Unintentional injuries** (accidents, including motor vehicle crashes, drowning, falls) are the **leading cause of death** in children aged 5-9 years in the United States. - **Malignant neoplasms** (cancer) are the **second leading cause** of death in this age group. - **Congenital anomalies** (birth defects) are the **third leading cause** of death for children aged 5-9. *Malignant neoplasms, heart disease, unintentional injury* - While this option includes the correct causes, the order is incorrect—**unintentional injury** is the leading cause, not third. - **Heart disease** is not among the top three causes of death in this age group. *Heart disease, malignant neoplasms, chronic lower respiratory disease* - **Heart disease** and **chronic lower respiratory disease** are not leading causes of death in healthy school-aged children. - This option misses **unintentional injury**, which is the number one cause. *Unintentional injury, suicide, malignant neoplasms* - While **unintentional injury** is correctly identified as the leading cause, **suicide** is not among the top three causes for children aged 5-9. - Suicide becomes more prevalent in older adolescents (ages 10-14 and especially 15-19), but is rare in the 5-9 age group. *Unintentional injury, congenital anomalies, homicide* - While **unintentional injury** is correctly first, the order of subsequent causes is incorrect. - **Malignant neoplasms** (cancer) rank second, before congenital anomalies. - **Homicide**, while a significant concern, is not consistently among the top three causes for this age group in recent CDC data.
Explanation: ***Breastfeeding*** - **Hepatitis C is not a contraindication** to breastfeeding, as there is no evidence of vertical transmission through breast milk. - The partner's history of **recurrent cold sores (HSV) does not affect** breastfeeding recommendations; maternal HSV is only a contraindication if there are **active herpetic lesions on the breast**. - Breastfeeding provides numerous benefits for both the **mother and infant**, including enhanced immunity and bonding. *Cow's milk* - **Cow's milk is not recommended for infants under one year** due to its high protein and mineral content, which can strain immature kidneys. - It also has a **low iron content** and lacks the necessary balance of fats, carbohydrates, and nutrients for optimal infant growth and development. *Donated breast milk* - While donated breast milk can be an option in certain situations, such as premature infants or those with specific medical conditions, it is **not the primary recommendation** when the mother's own milk is available and safe. - **Screening processes** are in place for donated milk, but it may not offer the same immunological benefits as direct breastfeeding from the mother. *Goat's milk* - **Goat's milk is not suitable for infants** because it also has a high mineral content and is low in iron, folate, and vitamins C and D. - It can lead to **nutritional deficiencies** and an increased risk of gastrointestinal issues in newborns. *Soy formula* - **Soy formula is generally reserved for infants with specific medical needs**, such as galactosemia or documented cow's milk protein allergy that cannot be managed otherwise. - It does not offer the same **immunological and developmental advantages** as breast milk.
Explanation: ***Laxatives and stool softeners*** - The patient's presentation of infrequent, hard, pellet-like stools, **toilet training non-compliance**, and a shallow anal tear is classic for **functional constipation** in a child. - Initial treatment focuses on **disimpaction** (if impacted) and subsequent maintenance with **stool softeners** (e.g., polyethylene glycol) and laxatives to ensure regular, soft bowel movements and prevent re-accumulation. *Sigmoidoscopy and biopsy* - This procedure is typically reserved for diagnosing conditions like **Hirschsprung disease**, which is characterized by the absence of ganglion cells and usually presents with constipation from birth, delayed meconium passage, and often a failure to thrive. - The patient's history of normal birth weight, delayed onset of severe constipation, and **shallow anal tear** (indicating painful defecation leading to stool retention) makes Hirschsprung disease less likely as a primary diagnosis requiring biopsy. *Colonoscopy* - Colonoscopy is an invasive procedure generally not indicated for the **initial management of functional constipation** in children. - It would be considered only if there were alarming symptoms such as **hematochezia**, severe weight loss, abnormal abdominal exam findings, or a failure to respond to conventional therapy, none of which are present here. *Fiber supplementation* - While fiber is an important component of a healthy diet and can help prevent constipation, **fiber alone may not be sufficient** for a child with established chronic constipation producing hard, pellet-like stools and an anal tear. - Too much fiber without adequate fluid intake can sometimes worsen constipation, and this patient first needs their hard stools softened and regular bowel movements established chemically. *Proctoscopy* - A proctoscopy allows for visual inspection of the rectum and anal canal but is primarily used for diagnosing conditions like **hemorrhoids**, anal fissures (which are evident here by physical exam), or sometimes to assess for rectal strictures. - It would not be the **primary treatment** for the underlying constipation and associated stool retention, although it could be part of a diagnostic workup if other more serious conditions were suspected.
Explanation: ***Pseudohypertrophy of the calf muscles*** - The patient's presentation with **Gowers' sign**, progressive muscle weakness, and a family history suggestive of X-linked inheritance (maternal uncle affected) strongly indicates **Duchenne muscular dystrophy (DMD)**. - **Pseudohypertrophy** of the calves is a classic sign of DMD, caused by the replacement of degenerated muscle fibers with fat and connective tissue. *Early contractures at multiple joints* - While **contractures** do occur in DMD, they typically develop later in the disease progression, often after significant muscle wasting has occurred. - The initial presentation is usually dominated by proximal muscle weakness and difficulty with motor tasks. *Inability to release grasp after handshake* - This symptom, known as **myotonia**, is characteristic of **myotonic dystrophy**, not Duchenne muscular dystrophy. - Myotonia involves delayed relaxation of muscles after contraction. *Rash over shoulders and anterior chest* - A rash over the shoulders and anterior chest, particularly in a "V-neck" distribution, is a feature of **dermatomyositis**. - This autoimmune condition is characterized by both muscle weakness and classic dermatological findings, which are not described in this patient. *Inverted champagne bottle legs* - **Inverted champagne bottle legs** (peroneal muscular atrophy) are a characteristic finding in **Charcot-Marie-Tooth disease**, a group of inherited peripheral neuropathies. - This involves atrophy of the distal leg muscles, leading to a distinctive leg shape, and is not typical of DMD.
Explanation: ***Iodine deficiency*** - The patient's presentation with **lethargy**, **shorter stature**, **increased weight**, **coarse facial features**, a **large protruding tongue (macroglossia)**, and an **umbilical hernia** are classic signs of **congenital hypothyroidism**. - **Iodine deficiency** during pregnancy is an important preventable cause of congenital hypothyroidism, as iodine is essential for thyroid hormone synthesis. - The lack of **prenatal care** in this case suggests possible maternal iodine deficiency, which would impair fetal thyroid hormone production critical for normal neurological development, explaining the risk of **lasting mental retardation** despite postnatal treatment. - While **thyroid dysgenesis** (absent or underdeveloped thyroid gland) is the most common cause of congenital hypothyroidism in developed countries, it is not among the answer choices. Of the options provided, iodine deficiency is the only established cause of congenital hypothyroidism. *Genetic microdeletion* - While genetic microdeletions can cause developmental disorders (e.g., DiGeorge syndrome with 22q11.2 deletion, Prader-Willi syndrome), they present with specific syndromic features that do not match this presentation. - Microdeletions are not a recognized cause of primary congenital hypothyroidism. *Congenital infection* - Congenital infections (TORCH: Toxoplasmosis, Other, Rubella, CMV, HSV) can lead to developmental problems but typically present with **microcephaly**, **hepatosplenomegaly**, **chorioretinitis**, **intracranial calcifications**, or **rashes**. - The classic hypothyroid features like **macroglossia** and **umbilical hernia** are not typical of congenital infections. - Congenital infections do not cause primary thyroid dysfunction. *Lysosomal defect* - Lysosomal storage diseases (e.g., Hurler syndrome, Hunter syndrome) can cause coarse facial features and developmental delay, but they present with **progressive** symptoms, **skeletal dysplasias**, **corneal clouding**, **hepatosplenomegaly**, and **cardiac valvular disease**. - These conditions do not respond to thyroid hormone replacement therapy. - The clinical picture here is consistent with hypothyroidism, not a lysosomal storage disorder. *Chromosomal trisomy* - **Trisomy 21 (Down syndrome)** features hypotonia, characteristic facial features (flat facies, upslanting palpebral fissures, epicanthal folds), single palmar crease, and cardiac defects. - While children with Down syndrome have **increased risk** of developing hypothyroidism, trisomy 21 itself does not cause congenital hypothyroidism; rather, it's an associated condition. - The patient's specific features (macroglossia, umbilical hernia, coarse facies) in a 3-month-old with no other syndromic features point to **primary hypothyroidism** rather than a chromosomal disorder.
Explanation: ***Diffuse axonal damage*** - The combination of **lethargy**, vomiting, **bulging fontanelle**, and **retinal hemorrhages** in an infant, especially with unexplained healing fractures, is highly suggestive of **abusive head trauma (shaken baby syndrome)**. - Diffuse axonal injury (DAI) is a common and severe consequence of abusive head trauma due to the shearing forces from acceleration-deceleration movements, leading to widespread brain damage. *Vitamin deficiency* - While vitamin deficiencies can cause various neurological symptoms, they typically do not present with the acute constellation of **retinal hemorrhages**, **bulging fontanelle**, and **healing fractures** seen in this case. - The symptoms are more indicative of acute injury rather than chronic nutritional deficit. *Type I collagen synthesis defect* - This description is characteristic of **osteogenesis imperfecta**, a genetic disorder causing **brittle bones** and frequent fractures, but it does not account for the **retinal hemorrhages** or the **acute neurological symptoms** like a bulging fontanelle. - The history of gradual neurological decline (irritability, lethargy) and acute intracranial signs are not typical for a collagen defect. *Bacterial infection* - While **bacterial meningitis** can cause fever, lethargy, vomiting, and a **bulging fontanelle**, it typically presents with a higher fever, possible neck stiffness, and often a higher **leukocyte count** with left shift. - The presence of **retinal hemorrhages** and **healing bone fractures** makes infection a less likely primary explanation for all findings. *Mass in the posterior fossa* - A posterior fossa mass could explain the vomiting and bulging fontanelle due to increased intracranial pressure, but it would not typically cause **bilateral retinal hemorrhages** or **healing fractures** in the absence of trauma. - The rapid onset of severe neurological symptoms along with the other signs points away from a slowly growing mass.
Explanation: ***Abdominal ultrasound*** - An abdominal ultrasound is the **next best diagnostic test** for this patient, as the clinical presentation (sudden onset of severe, intermittent abdominal pain, bilious vomiting, **currant jelly stool**, and a palpable **sausage-shaped mass in the right lower quadrant**) is highly suggestive of **intussusception**. - Ultrasound is **non-invasive**, provides real-time imaging, and can confirm the diagnosis by visualizing the characteristic **"target sign" or "donut sign"**, indicating one segment of the bowel telescoping into another. *Peripheral blood culture* - A peripheral blood culture would be considered if there were strong signs of **sepsis or bacteremia**, such as fever, lethargy, or other systemic inflammatory responses, which are not the primary concern here. - While infection could cause abdominal pain, the classic signs of intussusception (currant jelly stool, palpable mass) point away from an initial bacterial infection requiring blood cultures. *Exploratory laparotomy* - Exploratory laparotomy is a surgical procedure and would be considered an **intervention or treatment**, not the initial diagnostic test, especially when less invasive options are available. - It is typically reserved for cases where non-invasive diagnostics are inconclusive or when there are signs of **perforation or peritonitis** requiring immediate surgical intervention. *Kidney, ureter, bladder radiograph* - A KUB radiograph might show signs of obstruction like dilated bowel loops or absence of gas in the colon, but it is **not definitive for intussusception** and has low sensitivity for diagnosing it. - It would not provide the detailed soft tissue visualization necessary to confirm the telescoping of the bowel that an ultrasound would. *Complete blood count with differential* - A CBC with differential would provide information about the patient's **hemoglobin, white blood cell count**, and platelet count, which can indicate infection or anemia. - While it may show elevated white blood cells in response to inflammation or ischemia, it is a **non-specific test** and would not definitively diagnose intussusception.
Explanation: ***Supplement his diet with iron and vitamin D*** - This 5-month-old infant, exclusively breastfed, requires **iron supplementation** because maternal iron stores are depleted by 4-6 months, and breast milk is a poor source of iron. Additionally, **Vitamin D supplementation** is crucial for all exclusively breastfed infants to prevent rickets. - The presence of mild **conjunctival pallor** further suggests possible iron deficiency. *Add cow's milk to his diet* - **Cow's milk** should not be introduced before 12 months of age as it contains high protein and mineral content that can stress an infant's immature kidneys and can lead to **gastrointestinal bleeding**, insufficient iron absorption, and **iron-deficiency anemia**. - It also has a low iron content and lacks the essential fatty acids necessary for proper infant development. *Supplement his diet with formula* - While formula contains iron and vitamin D, the mother reports that the baby is feeding well and appears satisfied, with appropriate weight gain (20th to 25th percentile) and frequent wet diapers, indicating **adequate nutrition from breast milk alone**. - **Exclusive breastfeeding** is recommended for the first 6 months of life when feasible, and there is no clear indication that breast milk alone is insufficient for overall caloric and macronutrient needs here yet. *No changes are necessary to his diet* - This is incorrect because, despite adequate breastfeeding, **exclusive breastfed infants** like this one require supplementation with **iron and vitamin D** to meet their micronutrient needs. - The mild conjunctival pallor also suggests a potential, or impending, deficiency that warrants intervention. *Add pureed foods to his diet* - The current recommendations suggest introducing solid foods, including pureed foods, around **6 months of age**, when the infant shows signs of developmental readiness. - While the infant is close to 6 months, introducing solids at 5 months is typically not necessary if growth is appropriate and specific micronutrient deficiencies (like iron and vitamin D) can be addressed through supplementation.
Explanation: ***Obtain a complete skeletal survey to detect other bony injuries and report child abuse case.*** - This patient's presentation with a **femur fracture** from a seemingly minor fall onto a carpeted floor, combined with observable **bruising in different stages of healing** (green = older) and the child's **withdrawn behavior**, strongly suggests **non-accidental trauma (child abuse)**. - A **skeletal survey** is crucial to identify other occult fractures or signs of previous abuse in children under 5 years with suspected abuse. - **Mandatory reporting** to child protective services is legally required when child abuse is suspected. - Classic red flags include: **inconsistent mechanism of injury**, femur fractures in non-ambulatory/young children, **bruises of different ages**, and **behavioral changes**. *Check copper levels.* - **Menkes disease** (copper deficiency) can cause bone fragility, metaphyseal spurring, and pathologic fractures, but this is a **rare X-linked genetic disorder** that typically presents in infancy with neurologic deterioration and characteristic "kinky hair." - Does not explain the **bruising pattern** and **behavioral findings** suggestive of abuse. - This would be a consideration only after ruling out abuse. *Run a serum venereal disease research laboratory (VDRL) test.* - **Congenital syphilis** can manifest as **osteochondritis** and **periostitis** (particularly affecting long bones), but typically presents in early infancy with other features like hepatosplenomegaly, rash, snuffles, and saddle nose deformity. - An isolated femur fracture with bruising in a 3-year-old without other stigmata of syphilis makes this diagnosis unlikely. - There are no other features to suggest syphilitic infection in this patient. *Collagen biochemical testing* - **Osteogenesis imperfecta** causes **brittle bones** due to type I collagen defects, leading to **recurrent fractures** with minimal trauma. - However, this condition typically presents with a **family history**, **blue sclerae**, **early hearing loss**, and **dentinogenesis imperfecta** in some cases. - The presence of **bruising of different ages** and the child's **fearful, withdrawn behavior** point more strongly to abuse than a genetic collagen disorder. - Collagen testing may be considered later if skeletal survey reveals findings consistent with a bone disorder. *Check vitamin D levels.* - **Vitamin D deficiency** causes **rickets** in children, characterized by **bowing of legs**, **widening of wrists and ankles**, **rachitic rosary**, and **delayed closure of fontanelles**. - While rickets can predispose to fractures due to weakened bones, the patient's age, the specific clinical presentation, and particularly the **bruising** and **behavioral findings** make child abuse a far more immediate concern than nutritional deficiency. - Vitamin D testing could be performed as part of a comprehensive metabolic bone workup if indicated after the abuse evaluation.
Explanation: ***Fanconi anemia*** - This condition presents with **short stature**, bone abnormalities (pectus carinatum, prominent costochondral junctions, short thumbs, bow legs), **pancytopenia** (anemia with macrocytosis, thrombocytopenia), and **skin pigmentary changes** (hyperpigmented and hypopigmented patches). - The abnormal lab findings like **hypokalemia**, **hypophosphatemia**, **metabolic acidosis** with **renal glucose excretion**, and low urine pH can be attributed to **renal tubular dysfunction**, a known feature of Fanconi anemia. *Rickets* - While rickets shares some skeletal deformities like **pectus carinatum** and **bow legs**, it primarily involves **vitamin D deficiency** leading to impaired bone mineralization. - Rickets typically does not explain the **pancytopenia**, **skin pigmentary changes**, or the **renal tubular dysfunction** (hypokalemia, glucose in urine) seen in this patient. *Diamond-Blackfan anemia* - This condition is characterized by **pure red cell aplasia**, leading to anemia, but it generally spares other cell lines, unlike the **pancytopenia** observed here (low platelets). - It does not account for the extensive and diverse range of **skeletal abnormalities**, **skin pigmentary changes**, or **renal tubular dysfunction**. *Renal tubular acidosis type 1* - This condition can explain the **metabolic acidosis** (low pH, low HCO3-) and **hypokalemia**, and may contribute to **short stature** due to chronic acidosis. - However, it does not explain the **pancytopenia** (low hemoglobin and platelets), the **macrocytic anemia**, the **skin pigmentary changes**, or the specific **skeletal abnormalities** like short thumbs and pectus carinatum. *Neurofibromatosis type 1* - This genetic disorder is characterized by **café-au-lait spots**, neurofibromas, and often **axillary or inguinal freckling**. - It does not present with **pancytopenia**, **renal tubular dysfunction**, or the specific congenital **skeletal anomalies** (short thumbs, pectus carinatum) seen in this patient.
Explanation: ***X-linked dominant*** - The clinical presentation of a previously thriving girl with **developmental regression**, **loss of acquired skills**, **hand-wringing stereotypies**, and **loss of eye contact** is highly suggestive of **Rett syndrome**. - Rett syndrome is a classic example of an **X-linked dominant** disorder, primarily affecting girls due to its severe, often lethal, impact in males. *Autosomal dominant* - While some neurodevelopmental disorders are autosomal dominant, the specific constellation of symptoms, particularly the **hand-wringing stereotypies** and almost exclusive occurrence in girls with typical male lethality, is not characteristic of typical autosomal dominant inheritance. - Autosomal dominant disorders affect males and females equally, and severe forms would typically present with a clearer family history or variable expressivity in both sexes. *Chromosomal trisomy* - Chromosomal trisomies, such as Trisomy 21 (**Down syndrome**), typically present with congenital anomalies and global developmental delay evident from early infancy, rather than a period of normal development followed by significant regression. - They also have distinct physical features not described in this case, and while some developmental plateaus can occur, the rapid regression of learned skills and specific motor stereotypies are less characteristic. *X-linked recessive* - **X-linked recessive** disorders predominantly affect males (e.g., Duchenne muscular dystrophy, fragile X syndrome), with females usually being carriers and often asymptomatic or having milder symptoms. - The severe, progressive nature of the neurological regression and the almost exclusive manifestation in girls with Rett syndrome argue against an X-linked recessive inheritance pattern. *Autosomal recessive* - **Autosomal recessive** disorders affect males and females equally and often involve metabolic or storage disorders that can cause developmental regression (e.g., Tay-Sachs disease, lysosomal storage disorders). - However, the specific **hand-wringing movements** and the high prevalence in females with Rett syndrome are not typical features of most autosomal recessive neurodegenerative conditions, which often have different ages of onset and specific neurological findings.
Explanation: ***Frontal bossing*** - A gain of function mutation in the **FGFR3 gene** is characteristic of **achondroplasia**, which is a common cause of short stature. - **Frontal bossing** (prominent forehead) and midface hypoplasia are classical craniofacial features seen in individuals with achondroplasia. *Absent collar bones* - **Absent or hypoplastic clavicles** (collar bones) are a hallmark feature of **cleidocranial dysostosis**, a genetic disorder caused by mutations in the *RUNX2* gene, not typically associated with FGFR3 mutations. - This condition also presents with delayed closure of fontanelles and dental anomalies, which are not suggested by the patient's presentation. *Long extremities* - Patients with achondroplasia characteristically have **rhizomelic short stature**, meaning the **proximal limbs** (femur and humerus) are disproportionately shorter than the trunk, leading to short extremities overall, not long ones. - Long extremities are characteristic of conditions like **Marfan syndrome**, which has distinct genetic and clinical features. *Blue sclerae* - **Blue sclerae** are a common finding in **osteogenesis imperfecta**, a genetic disorder characterized by bone fragility due to defects in type I collagen synthesis. - This condition is not caused by FGFR3 mutations and typically presents with recurrent fractures and other connective tissue abnormalities. *Small genitalia* - **Micropenis** (small genitalia) can be associated with various endocrine disorders, such as **hypogonadism** or congenital adrenal hyperplasia, or certain genetic syndromes. - It is not a characteristic feature of achondroplasia or FGFR3-related skeletal dysplasias.
Explanation: ***Leydig cell tumor*** - The presence of a **right-sided testicular mass** along with signs of **precocious puberty** (acne, facial hair, tall/muscular build) in a 10-year-old boy is highly suggestive of a **Leydig cell tumor**. - These tumors produce **androgens**, leading to premature secondary sexual characteristics and an accelerated growth spurt. *Normal development in the setting of obesity* - While obesity can sometimes be associated with earlier puberty in girls, it is less directly linked to the specific combination of **unilateral testicular mass** and precocious pubertal signs in boys. - The presence of a **testicular mass** makes "normal development" an unlikely explanation. *Pituitary adenoma* - A pituitary adenoma could cause **precocious puberty** via increased gonadotropin release, but it would not explain the **unilateral testicular mass**. - Such an adenoma would typically present with more generalized signs of increased hormone production without a palpable testicular mass. *Precocious puberty* - This patient *does* exhibit signs of **precocious puberty**, but it describes the *symptom complex* rather than the specific underlying cause. - The question asks for the **most likely underlying diagnosis**, and a Leydig cell tumor is a specific cause that fits all presented findings, including the testicular mass. *Sertoli cell tumor* - Sertoli cell tumors can occur in children and may present as a **testicular mass**, but they are often associated with **feminizing effects** (e.g., gynecomastia) due to estrogen production, which is not seen here. - While some can produce androgens, Leydig cell tumors are more classically associated with the robust virilization observed in this case.
Explanation: ***Oral prednisone*** - This patient's presentation with **edema**, **proteinuria** without hematuria, and a history of a recent **upper respiratory infection** is classic for **minimal change disease (MCD)**. MCD is the most common cause of nephrotic syndrome in children. - **Corticosteroids**, such as oral prednisone, are the cornerstone of treatment for MCD, leading to remission in over 90% of cases. *Plasmapheresis* - **Plasmapheresis** is a blood purification procedure used in conditions like **Goodpasture's syndrome**, **myasthenia gravis**, or severe cases of **glomerulonephritis** not responsive to other therapies. - It is not indicated as a primary treatment for **minimal change disease** given its high response rate to corticosteroids. *Oral azathioprine* - **Azathioprine** is an **immunosuppressant** used in some autoimmune diseases or as a steroid-sparing agent in steroid-dependent or frequently relapsing nephrotic syndrome. - It is typically not used as first-line therapy for the initial presentation of **minimal change disease**. *No treatment is required* - This patient is exhibiting symptoms of **nephrotic syndrome**, including significant edema and proteinuria, which can lead to complications such as **infections**, **thromboembolism**, and **renal failure**. - Without treatment, the condition will likely worsen and can lead to severe complications; therefore, treatment is most definitely required. *Intravenous cyclophosphamide* - **Cyclophosphamide** is a potent **immunosuppressive agent** reserved for patients with **steroid-resistant** or **frequently relapsing minimal change disease**, or other forms of severe glomerulonephritis. - It is not the initial treatment of choice for **first-presentation minimal change disease** due to its significant side effects.
Explanation: ***Continue breastfeeding*** - A 4-day-old newborn losing less than 7% of birth weight, with good feeding frequency, adequate wet diapers, and normal physical examination findings, is considered typical for **physiological weight loss** in breastfed infants. - The infant's current weight of 2830g is within the expected range, as healthy full-term newborns may lose up to 7-10% of their birth weight in the first few days, and his weight loss is only about 5%. *Add rice based cereal* - **Solid foods**, including rice cereal, should not be introduced before 4-6 months of age due to the immaturity of the infant's digestive system and potential for choking. - Introducing solids too early can interfere with nutrient absorption from breast milk and increase the risk of allergies. *Add cow milk based formula* - Supplementing with formula is unnecessary in a healthy, breastfed infant exhibiting normal physiological weight loss and adequate feeding cues. - Early introduction of formula can interfere with **successful breastfeeding establishment** and alter the infant's gut microbiome. *Serum creatinine and urea nitrogen* - These tests are used to assess **renal function** and are not indicated here, as the infant shows no signs of renal impairment (e.g., adequate urine output, moist mucous membranes). - The physical examination findings and feeding pattern suggest a healthy newborn, not one requiring investigation for kidney issues. *Switch to soy-based formula* - Switching to any formula is unwarranted given the normal weight loss and breastfeeding progress, and specifically, soy-based formula is not routinely recommended for healthy infants. - Soy formula is often reserved for infants with **cow's milk protein allergy** or **galactosemia**, neither of which is suggested by this clinical picture.
Explanation: ***5*** - The APGAR score is calculated based on five criteria: **Appearance**, **Pulse**, **Grimace**, **Activity**, and **Respiration**. - This baby's score is calculated as follows: **Appearance** (pale all over) = 0, **Pulse** (120/min) = 2, **Grimace** (some flexion of extremities with stimulation) = 1, **Activity** (arms and legs flexed without active motion) = 1, and **Respiration** (irregular) = 1. - Total score: 0 + 2 + 1 + 1 + 1 = **5 points** - A score of 5 indicates **moderate neonatal compromise** requiring close monitoring and possible intervention. *4* - A score of 4 would indicate more severe compromise, such as absent respirations (0 points) rather than irregular respirations (1 point). - This baby has irregular respirations present, which earns 1 point, not 0 points. *6* - A score of 6 would require improvement in at least one category, such as **acrocyanosis** (blue extremities but pink body = 1 point for appearance) instead of pallor throughout. - This baby's complete pallor limits the score to 5. *7* - A score of 7 or higher is generally considered reassuring and indicates a **healthy transition** from intrauterine to extrauterine life. - This baby's concerning signs, including **complete pallor**, **irregular respirations**, and **poor muscle tone**, are inconsistent with a score of 7. *3* - A score of 3 would indicate severe depression with findings such as **heart rate less than 100 bpm**, completely absent reflexes, or flaccid muscle tone. - This baby has a reassuring pulse of 120/min (2 points), some reflex response (1 point), and some muscle tone (1 point), making the total score higher than 3.
Explanation: ***Pulsatile GnRH release*** - The combination of **precocious puberty** (Tanner stage 3 breasts, sparse axillary hair, vaginal bleeding at age 7), **insulin resistance** (serum glucose 189 mg/dL in a 7-year-old, high BMI), and a **positive leuprolide stimulation test** (increase in LH) points to central precocious puberty driven by pulsatile GnRH release. - **Obesity** can contribute to earlier onset of puberty, and the elevated LH response to leuprolide confirms a gonadotropin-dependent (central) cause. *Overproduction of adrenal cortisol* - **Adrenal cortisol overproduction** (Cushing's syndrome) would typically present with central obesity, moon facies, striae, and possibly virilization, rather than the specific pubertal signs and GnRH-dependent LH response seen here. - While it can cause some metabolic derangements, it does not directly lead to **gonadotropin-dependent precocious puberty**. *Ectopic hormone production* - **Ectopic hormone production** (e.g., from an ovarian tumor or adrenal tumor) would typically cause gonadotropin-independent precocious puberty, meaning the leuprolide test would likely show no or minimal LH response. - Given the patient's **positive leuprolide test**, ectopic production is less likely as the primary cause of her puberty. *Compensatory hyperinsulinemia* - While the patient's elevated glucose and high BMI suggest **insulin resistance** leading to compensatory hyperinsulinemia, this is a metabolic consequence often associated with obesity and earlier puberty, not the primary underlying cause of the precocious puberty itself. - It would not explain the **pulsatile GnRH release** or the positive leuprolide test. *Deficiency of thyroid hormones* - **Hypothyroidism** can cause delayed puberty, not precocious puberty. In rare cases, severe, long-standing hypothyroidism can lead to precocious puberty (Van Wyk-Grumbach syndrome), but this is typically associated with very high TSH and enlarged pituitary, and not the primary symptoms presented. - The patient's clinical picture and the **positive leuprolide test** do not align with thyroid deficiency as the underlying cause.
Explanation: ***Decreased functional residual capacity*** - A **lecithin-sphingomyelin (L/S) ratio of 0.7** indicates significant **fetal lung immaturity**, as a ratio less than 1.5-2.0 suggests inadequate surfactant production. - Inadequate surfactant leads to **alveolar collapse**, reducing the amount of air remaining in the lungs after normal exhalation (**functional residual capacity**), and increasing the risk of **respiratory distress syndrome (RDS)**. *Increased lung compliance* - **Lung compliance** is typically **decreased** in newborns with **respiratory distress syndrome** due to collapsed alveoli and stiff lungs from surfactant deficiency. - Surfactant's role is to reduce surface tension, thereby increasing compliance and preventing alveolar collapse. *Increased diffusion capacity for carbon monoxide* - **Diffusion capacity** would be **reduced** due to thickened alveolar membranes, decreased surface area for gas exchange, and increased shunting from atelectasis in immature lungs. - **Respiratory distress syndrome** impairs gas exchange, including the diffusion of gases like carbon monoxide. *Decreased right ventricular afterload* - **Pulmonary hypertension** and **increased right ventricular afterload** are common in newborns with severe respiratory distress due to **hypoxia** and **acidosis** causing pulmonary vasoconstriction. - This can lead to persistent **fetal circulation** if the pulmonary vascular resistance remains high, resulting in right-to-left shunting. *Increased anatomical dead space* - **Anatomical dead space** relates to the conducting airways and is generally **fixed** for a given lung size and development. It is not directly increased by surfactant deficiency. - The primary issue with **surfactant deficiency** is alveolar collapse, which affects **alveolar dead space** (where gas exchange should occur but doesn't), rather than anatomical dead space.
Explanation: ***Sunken anterior fontanelle*** - The child presents with signs of **moderate dehydration**, including a 1-day history of diarrhea and fever, restlessness, cool extremities, tachycardia (pulse 150/min), and delayed capillary refill of 2-3 seconds (normal is <2 seconds). - A **sunken fontanelle** is a classic sign of moderate to severe dehydration in infants. While the anterior fontanelle typically closes between 9-18 months (mean ~14 months), at 13 months it is often still open and would be sunken in the setting of significant dehydration. - Other signs of dehydration present include tachycardia, cool extremities, and delayed capillary refill, all consistent with intravascular volume depletion. *Hyperkalemia* - **Hyperkalemia** is typically associated with conditions like **renal failure** or certain metabolic derangements, which are not suggested by the clinical picture. - This child is more likely to develop **hypokalemia** due to gastrointestinal fluid losses from diarrhea and vomiting, as potassium is lost in these fluids. *Kussmaul breathing* - **Kussmaul breathing** is deep, labored breathing associated with severe metabolic acidosis, characteristic of conditions like **diabetic ketoacidosis**. - While severe dehydration can lead to metabolic acidosis (from lactic acidosis and bicarbonate loss), this child's respiratory rate of 30/min is elevated but not showing the characteristic deep, labored pattern of Kussmaul respirations. *Increased serum bicarbonate levels* - **Increased serum bicarbonate levels** would indicate metabolic alkalosis, which is not expected with severe diarrhea. - The child is likely experiencing **metabolic acidosis** due to bicarbonate loss through diarrhea, poor perfusion leading to lactic acid production, and ketosis from poor oral intake. This would result in **decreased serum bicarbonate**. *Retinal hemorrhages* - **Retinal hemorrhages** are highly suggestive of **abusive head trauma (shaken baby syndrome)**, which is not indicated by the clinical history provided. - The child's symptoms are fully explained by acute gastroenteritis leading to dehydration and a febrile seizure, with no other signs suggesting trauma.
Explanation: ***Bronchopulmonary dysplasia*** - This infant's history of **prematurity** (1450g), prolonged mechanical ventilation, and high oxygen requirement for 3 weeks, followed by persistent respiratory distress, wheezing, and characteristic chest X-ray findings (atelectasis, granular densities, hyperinflation), is classic for **bronchopulmonary dysplasia (BPD)**. - BPD is a chronic lung disease of infancy, primarily affecting premature neonates who have been exposed to **prolonged oxygen therapy** and **mechanical ventilation**, leading to inflammation and abnormal lung development. *Meconium aspiration syndrome* - **Meconium aspiration syndrome** occurs when a fetus inhales meconium into the lungs, typically seen in term or post-term infants, not in a *preterm* infant who has been hospitalized for weeks. - Symptoms usually present *at birth* and involve severe respiratory distress, often with barrel chest and coarse crackles, but not typically a chronic condition developing weeks after initial stabilization. *Bronchiolitis obliterans* - **Bronchiolitis obliterans** is a rare, severe obstructive lung disease characterized by fibrous obliteration of the small airways, often following a severe respiratory infection or exposure to toxins. - While it can cause wheezing and respiratory distress, the history of *prematurity, prolonged ventilation*, and onset *weeks after birth with specific X-ray findings* is more indicative of BPD. *Neonatal pneumonia* - **Neonatal pneumonia** would typically present with acute respiratory distress, fever (though neonates can be *hypothermic*), and signs of infection, often within the first days or week of life. - While the infant is having respiratory distress, the *chronic nature*, history of *prolonged ventilation*, and absence of clear acute infectious signs make pneumonia less likely as the primary diagnosis. *Pulmonary hypoplasia* - **Pulmonary hypoplasia** is an *underdevelopment* of the lungs, usually diagnosed *in utero* or immediately *at birth*, often associated with conditions like congenital diaphragmatic hernia or prolonged oligohydramnios. - The infant's initial stabilization and subsequent development of chronic lung issues weeks later do not align with a condition involving primary underdevelopment of lung tissue.
Explanation: ***Reassurance of parents*** - A **weight loss of 8.3%** (300g from 3.6kg) is within the expected range for a 7-day-old exclusively breastfed infant, which can be up to 7-10% in the first week. - The infant's normal physical exam, good urine output, and lack of other symptoms suggest **adequate feeding** and overall well-being. *Evaluation of the mother for malnutrition* - The mother's nutritional status is not directly indicative of the infant's weight loss within the normal physiological range in this scenario. - There is no information to suggest the mother is malnourished or that it would directly impact the quality or quantity of breast milk to cause pathological weight loss. *Admission of the infant in the NICU to treat with empiric intravenous antibiotics* - This is an overly aggressive intervention as there are **no signs or symptoms of infection** (e.g., fever, lethargy, poor feeding) and the infant appears well. - Empiric antibiotics are not warranted in an otherwise healthy, full-term infant with normal physiological weight loss. *Emphasize the need to clothe the infant warmly to prevent hypothermia* - The infant's **vital signs are normal**, indicating no hypothermia, and there is no clinical evidence to support this as a primary concern. - While maintaining warmth is important, it is not the next best step for addressing this specific presentation of physiological weight loss. *Supplementation of breastfeeding with an appropriate infant formula* - Supplementation is typically not needed for physiological weight loss in an otherwise healthy, exclusively breastfed infant with **adequate urine output** and no signs of dehydration. - Encouraging continued exclusive breastfeeding and providing support for proper latch and feeding techniques would be more appropriate if there were concerns about inadequate milk intake.
Explanation: ***Focal impaired awareness seizure*** - This patient's symptoms, including **staring**, **automatisms** (lip smacking, hand clasping), **impaired awareness**, and **post-ictal confusion** lasting 15 minutes, are classic for a focal impaired awareness seizure (formerly called complex partial seizure). - The episodes originate from a **focal area** of the brain and cause alteration in consciousness with motor automatisms, consistent with the 2017 ILAE classification. - The prolonged post-ictal confusion and duration of 1-2 minutes help distinguish this from absence seizures. *Absence seizure* - Absence seizures are characterized by **brief, sudden lapses of consciousness** (typically 5-10 seconds) with staring and **abrupt return to baseline** without post-ictal confusion. - They usually do not involve complex automatisms like lip smacking or hand clasping, nor do they result in prolonged confusion. - More common in younger children (4-8 years) but episodes are much shorter. *Simple partial seizure* - A simple partial seizure (now called focal aware seizure) involves **focal neurological symptoms** without any impairment of consciousness or awareness. - The patient would be fully aware and able to respond during the entire episode, which is not the case here given the impaired responsiveness. *Generalized tonic-clonic seizure* - Generalized tonic-clonic seizures involve loss of consciousness with **tonic (stiffening)** and **clonic (jerking)** phases affecting the entire body. - While they do cause significant post-ictal confusion, the absence of generalized motor activity (convulsions) makes this diagnosis unlikely. - The patient maintains eyes open and has subtle automatisms rather than violent shaking movements. *Syncopal episodes* - **Syncope** is a temporary loss of consciousness due to reduced blood flow to the brain, usually triggered by specific events (e.g., pain, dehydration) with rapid and complete recovery. - The **automatisms**, preserved eyes-open state, prolonged post-ictal confusion, and lack of precipitating factors are all inconsistent with syncope. - Syncopal episodes typically last seconds, not 1-2 minutes.
Explanation: ***Vitamin K and Vitamin D*** - All newborns should receive a prophylactic dose of **Vitamin K** to prevent **Vitamin K Deficiency Bleeding (VKDB)**, as placental transfer is poor and breast milk contains low levels. - Breastfed infants, especially those exclusively breastfed, require **Vitamin D** supplementation (400 IU daily) to prevent **rickets**, as breast milk Vitamin D levels are often insufficient. *Vitamin B6* - While essential for development, **Vitamin B6** supplementation is not routinely recommended for all healthy newborns, especially those exclusively breastfed by a healthy mother. - Deficiency in newborns is rare and typically associated with specific metabolic disorders or maternal malnutrition, which are not suggested here. *Vitamin K* - While **Vitamin K** is critically important for all newborns, it is only one of the essential vitamins needed for breastfed infants. - Exclusive breastfeeding also necessitates **Vitamin D** supplementation, making this option incomplete. *Folic acid* - **Folic acid** (Vitamin B9) is crucial during pregnancy for preventing neural tube defects and is found in adequate amounts in breast milk for a healthy full-term infant. - Routine supplementation of folic acid is not recommended for healthy newborns, as deficiency is rare. *Vitamin D* - While **Vitamin D** supplementation is essential for exclusively breastfed infants, this option is incomplete as it misses the critical need for **Vitamin K** prophylaxis at birth. - Both vitamins are critical for newborn health in this scenario.
Explanation: ***Leydig cell tumor*** - The boy's **precocious puberty** symptoms, including increased facial/axillary hair and an enlarged penis and testicle, are consistent with excessive **androgen production**. - **Leydig cells** are the primary source of testosterone in the testes, and a tumor can cause autonomous androgen secretion, leading to virilization. *Sertoli cell tumor* - While Sertoli cell tumors can occur in children, they more commonly present with **feminization** due to estrogen production, such as gynecomastia, or with a palpable mass. - They are less likely to cause precocious virilization; this patient's enlarged testicle and penis with marked virilization are more characteristic of testosterone-secreting tumors. *Seminoma* - **Seminomas** are malignant germ cell tumors that typically affect adult males aged 30-50 and are rare in young children. - They are unlikely to cause precocious puberty symptoms as directly as a Leydig cell tumor; they often present as a painless testicular mass and may produce **hCG** or **AFP** in some cases. *Lymphoma* - Testicular lymphoma is a rare form of non-Hodgkin lymphoma, primarily affecting older men, and is exceedingly rare in children. - It does not typically cause **endocrine symptoms** like precocious puberty; it would present as a rapidly growing testicular mass. *Choriocarcinoma* - **Choriocarcinomas** are aggressive germ cell tumors that produce high levels of **human chorionic gonadotropin (hCG)**. - While hCG can stimulate Leydig cells to produce testosterone and cause precocious puberty, the serum hCG concentration in this patient is within the reference range, making choriocarcinoma unlikely.
Explanation: ***Thelarche*** - **Thelarche** refers to the initial development of breast buds, which is the defining characteristic of **Tanner stage 2** breast development. - This stage indicates the beginning of puberty, marked by a slight elevation of the breast and papilla, forming a small mound. *Pubarche* - **Pubarche** refers to the appearance of **pubic hair**, which is typically seen in **Tanner stage 2** for pubic hair development, but not breast development. - While girls often experience pubarche around the same time as thelarche, the term specifically describes pubic hair growth, not breast development. *Adrenarche* - **Adrenarche** is the maturation of the adrenal cortex, leading to increased production of adrenal androgens and typically precedes the physical changes of puberty. - It refers to the biochemical process of adrenal androgen secretion, not a specific physical sign of **Tanner stage 2** development. *Menarche* - **Menarche** is the first menstrual period, which occurs much later in puberty, typically after a significant progression through **Tanner stages 2-4**. - This event signifies reproductive maturity and is not present at the initial stage of breast budding. *Coarse pubic hair* - The presence of **coarse pubic hair** indicates a more advanced stage of pubic hair development, typically **Tanner stage 3 or 4**, as hair becomes darker and coarser. - **Tanner stage 2** pubic hair is usually sparse, long, straight, and lightly pigmented.
Explanation: ***X-ray of the hand and wrist*** - An **X-ray of the hand and wrist** is used to determine **bone age**, which is crucial for evaluating short stature by comparing skeletal maturity to chronological age. - In a 14-year-old girl with short stature and delayed puberty (Tanner stage 2, no menarche), a **delayed bone age** would suggest a constitutional growth delay, which is a common cause of short stature. *Measurement of serum thyroid-stimulating hormone concentration* - While **hypothyroidism** can cause short stature and delayed puberty, there are no other clinical signs (e.g., fatigue, weight gain, cold intolerance) to strongly suggest this diagnosis in this patient. - A TSH measurement would typically be considered after initial screening tests, or if other symptoms are present. *Measurement of serum insulin-like growth factor concentration* - **Insulin-like growth factor 1 (IGF-1)** is used to screen for **growth hormone deficiency**, but this is usually evaluated after bone age assessment. - Growth hormone deficiency is less likely without other symptoms or a clear growth curve deceleration. *Genetic karyotyping* - **Genetic karyotyping** is indicated if **Turner syndrome** (XO karyotype) is suspected, which could cause short stature and primary amenorrhea. - However, the patient's normal birth length and lack of characteristic dysmorphic features make it a less immediate first step compared to bone age assessment. *MRI of the brain* - An **MRI of the brain** would be considered if there was suspicion of a **pituitary or hypothalamic tumor** causing growth hormone deficiency or delayed puberty. - There are no specific neurological symptoms or signs of increased intracranial pressure to warrant a brain MRI as the initial diagnostic step in this case.
Explanation: ***Trial of bronchodilator (albuterol)*** - The patient's history of **eczema**, recurrent respiratory symptoms (coughing, nasal congestion, wheezing), and the finding of **scattered wheezes** on examination strongly suggest **asthma**. A trial of a **short-acting bronchodilator** like albuterol is the most appropriate initial step to confirm the diagnosis and provide symptomatic relief. - If the wheezing and other respiratory symptoms improve significantly with albuterol, it further supports a diagnosis of **asthma**, which is a common condition in children with a history of atopy. *Throat culture* - A throat culture is used to diagnose **bacterial pharyngitis** (e.g., Group A Streptococcus), which presents with throat pain, fever, and often lacks the prominent wheezing seen in this patient. - The patient's primary symptoms, especially the intermittent wheezing, are not typical for a bacterial throat infection. *Skin prick testing* - **Skin prick testing** is used to identify specific **allergens** that might trigger asthmatic symptoms. While allergies are often associated with asthma, this test is usually performed *after* a diagnosis of asthma has been established and initial management strategies have been implemented. - It is not the most appropriate *initial* step to address acute or subacute respiratory symptoms with wheezing. *Flow cytometry for B cells* - **Flow cytometry for B cells** is typically used to investigate conditions like **immunodeficiencies** or **lymphoproliferative disorders**. - Although the patient has a history of recurrent infections, his infections have been relatively mild (URI, one AOM) and resolved, making a severe B cell deficiency less likely to be the primary cause of his current wheezing. *Dihydrorhodamine 123 test* - The **dihydrorhodamine (DHR) 123 test** is used to diagnose **chronic granulomatous disease (CGD)**, a rare **primary immunodeficiency** characterized by recurrent, severe bacterial and fungal infections. - The patient's history of infections is not severe or unusual enough to warrant immediate testing for CGD, and his predominant symptom of wheezing is not a primary manifestation of CGD.
Explanation: **Hemodialysis** * This patient's presentation is consistent with **Hemolytic Uremic Syndrome (HUS)**, characterized by microangiopathic hemolytic anemia, thrombocytopenia, and acute kidney injury. * The presence of severe **acute kidney injury (BUN 43 mg/dL, Creatinine 2.9 mg/dL)** and **metabolic acidosis (pH 7.0)** indicates a need for urgent renal replacement therapy, making hemodialysis the most appropriate next step to manage these life-threatening complications. *Levofloxacin therapy* * Antibiotic therapy with **fluoroquinolones** is generally not recommended in typical HUS (often associated with Shiga toxin-producing E. coli) as it can potentially worsen the disease by increasing toxin release. * There is no indication of an active bacterial infection requiring levofloxacin, and empirical antibiotic use without culture results is not appropriate for HUS management. *Platelet transfusion* * Platelet transfusions are typically **contraindicated** in HUS if the platelet count is above 10,000-20,000/mm³ or if there is no active severe bleeding, as they can exacerbate microvascular thrombosis. * The patient's platelet count is 38,000/mm³, and while low, there's no mention of active severe bleeding, making routine platelet transfusion potentially harmful. *Red blood cell transfusions* * While the patient has severe anemia (Hb 8 g/dL), red blood cell transfusions are a **supportive measure** to manage anemia and are often required in HUS. * However, managing the life-threatening renal failure and acidosis through hemodialysis takes precedence over immediate red blood cell transfusion as the most appropriate *next step* in overall management. *Plasmapheresis* * Plasmapheresis is primarily used in **atypical HUS (aHUS)** and thrombotic thrombocytopenic purpura (TTP), which are distinct from typical HUS caused by Shiga toxin-producing E. coli. * For typical HUS, which is likely given the antecedent gastrointestinal illness and the age of the patient, plasmapheresis has **not been shown to be universally beneficial** and is generally not the first-line treatment.
Explanation: ***Reassurance*** - The patient's presentation is classic for **growing pains**, characterized by bilateral, diffuse, deep leg pain, often worse at night and improving with activity or during the day. - The absence of fever, joint swelling, erythema, tenderness, or gait abnormalities, along with normal physical examination findings, supports this benign diagnosis. *X-ray of the knees* - This symptom complex is a **diagnosis of exclusion**; imaging studies like X-rays are typically normal and not indicated unless there are focal pain, limping, or other concerning signs. - An X-ray would not show any abnormalities related to growing pains and would expose the child to unnecessary radiation. *Send ESR and CRP* - **Inflammatory markers** (ESR, CRP) are used to detect conditions like arthritis, osteomyelitis, or malignancy, which would cause systemic symptoms (e.g., fever, fatigue) or localized inflammatory signs. - In growing pains, these markers are typically normal, and ordering them without other clinical indications is unnecessary. *MRI of the knees* - An MRI is highly sensitive for detecting bone and soft tissue pathologies but is generally not indicated for the typical presentation of growing pains. - It would be considered if there were signs of **osteomyelitis**, **tumors**, or specific internal derangement of the joint, none of which are present here. *Lower extremity venous ultrasound* - This test is used to evaluate for **deep vein thrombosis (DVT)**, which typically presents with unilateral leg swelling, warmth, and tenderness. - The patient's symptoms are bilateral, diffuse, and lack any signs of vascular compromise, making a venous ultrasound inappropriate.
Explanation: ***Reassurance and follow-up*** - The description of a slowly growing, red, soft, blanching lesion on the scalp, first noticed at 3 months of age, is highly suggestive of an **infantile hemangioma**. - Most infantile hemangiomas are **benign** and **self-involuting**, especially small, solitary lesions in low-risk areas like the scalp vertex, and thus primarily require reassurance and monitoring for spontaneous regression. *Laser ablation* - **Laser therapy** is typically reserved for superficial hemangiomas that are ulcerated or located in sensitive areas (e.g., face, eyelids) where they may impair function or cause significant cosmetic concerns, which is not the case here. - It works by targeting the hemoglobin within the blood vessels, but its effectiveness for deeper or larger hemangiomas is limited. *Oral propranolol* - **Oral propranolol** is the first-line treatment for problematic infantile hemangiomas, such as those that are ulcerated, rapidly growing, large, or located in areas that threaten vital functions (e.g., airway, vision) or cause significant disfigurement. - This lesion, being small and isolated on the scalp, does not meet the criteria for systemic therapy, and initiation of propranolol carries risks of **hypoglycemia** and **bradycardia**. *Topical clobetasol* - **Topical corticosteroids** like clobetasol can be used for very superficial or small hemangiomas that are not responding to observation or as an adjunct therapy, but their efficacy for deeper or more proliferative lesions is limited. - Systemic absorption can also occur, leading to potential side effects like **skin atrophy** and **adrenal suppression**. *Intralesional bevacizumab* - **Bevacizumab** is an anti-VEGF monoclonal antibody, typically used in oncology and occasionally in severe, refractory vascular anomalies. - Its use for infantile hemangiomas is generally limited to **life-threatening** or **sight-threatening cavernous hemangiomas** that are unresponsive to other first-line treatments, and it is not a routine first-line or second-line option for uncomplicated lesions.
Explanation: ***Observe for 6 hours in the ED and refrain from contact sports for one week*** - This patient experienced a brief period of **confusion, headache, dizziness**, and **nausea** immediately after a head injury, which are symptoms consistent with a **mild traumatic brain injury (mTBI)** or **concussion**. - Although his symptoms have resolved at presentation, observation in the ED for a few hours is prudent to ensure no delayed onset of more severe symptoms, and he should **refrain from contact sports** for at least one week as part of concussion management. *Discharge without activity restrictions* - Discharging without activity restrictions is unsafe given the initial symptoms of **confusion** and the potential for delayed symptom presentation or complications from a concussion. - Concussion management requires a period of **physical and cognitive rest** to allow the brain to heal and prevent **second impact syndrome**. *Discharge and refrain from all physical activity for one week* - While refraining from all physical activity for one week is part of concussion management, discharging immediately without any observation period after initial neurological symptoms could be risky. - An observation period allows for monitoring of any **worsening neurological signs** or symptoms that might indicate a more serious injury. *Administer prophylactic levetiracetam and observe for 24 hours* - **Prophylactic anticonvulsants** like levetiracetam are typically not recommended for routine management of **mild traumatic brain injury** or concussion. - Their use is generally reserved for patients with more severe injuries, evolving conditions, or those who have had **seizures post-trauma**. *Administer prophylactic phenytoin and observe for 24 hours* - Similar to levetiracetam, **phenytoin** is an anticonvulsant and its prophylactic use is not indicated for **mild head injuries** or concussions. - Anticonvulsant prophylaxis is associated with potential side effects and is reserved for specific high-risk scenarios, such as **severe TBI** or **penetrating head trauma**.
Explanation: ***Educating the parents about autism spectrum disorder*** - The child exhibits several **red flags for autism spectrum disorder (ASD)**, including **lack of eye contact, delayed speech, repetitive behaviors** (stacking blocks, becoming upset when routine is disrupted), and **self-injurious behavior** (biting elbows). - Since this is the child's **first medical visit**, the parents are unaware of these concerns. The physician's first step should be to **educate the parents** about ASD to initiate further evaluation and early intervention. - While a **formal diagnosis** requires more extensive evaluation (including developmental screening tools like M-CHAT-R and comprehensive assessment), educating the parents is crucial for obtaining their consent and cooperation for subsequent steps, which would include referral to a developmental specialist and early intervention services. *Risperidone* - **Risperidone** is an atypical antipsychotic medication sometimes used to manage severe **irritability** or **aggressiveness** in children with ASD, but it is not a first-line treatment for initial diagnosis or typical symptoms. - Administering medication without a formal diagnosis, comprehensive behavioral management plan, and parental understanding is premature and inappropriate. *Restructuring of the home environment* - While **environmental modifications** can be beneficial for children with ASD, suggesting this as the first step without a clear diagnosis or parental understanding of specific needs is insufficient. - The priority is to establish a diagnosis through proper evaluation and then tailor interventions, which may include home modifications in conjunction with other therapies like applied behavior analysis (ABA). *Fluoxetine* - **Fluoxetine** is a selective serotonin reuptake inhibitor (SSRI) used for anxiety, depression, and obsessive-compulsive disorder. It may be used in ASD to address **comorbid anxiety** or **repetitive behaviors**, but it is not a primary diagnostic tool or initial treatment. - Like risperidone, prescribing medication without a proper diagnosis and understanding of the child's specific psychiatric needs is not the appropriate first step. *Hearing exam* - Although **hearing impairment** can cause **delayed speech** and affect social interaction, the child's other symptoms, such as **lack of eye contact, repetitive behaviors, and self-injurious actions**, are not typical of isolated hearing loss. - While a hearing exam might be part of a comprehensive developmental workup later (as hearing and vision screening are standard in evaluating developmental delays), addressing the more pervasive signs suggestive of ASD takes precedence in the initial discussion with parents.
Explanation: ***Transient synovitis*** - This is the most likely diagnosis given the **recent viral illness**, acute onset of hip pain and limp, and **normal inflammatory markers** (WBC, ESR). Ultrasound showing **increased joint fluid** further supports this benign, self-limiting condition. - The hip being held in **abduction and external rotation** is a common compensatory posture to maximize joint space and minimize pain in transient synovitis. *Osteomyelitis* - This would typically present with **fever**, significant systemic symptoms, and **elevated inflammatory markers** (ESR, CRP), which are absent here. - Imaging might show bone changes, and the child would likely be **unable to bear weight** due to severe pain. *Slipped capital femoral epiphysis* - SCFE typically affects **adolescents** (obese males) and presents with chronic, progressive pain. - X-rays would show a **displacement of the femoral head** from the femoral neck, which is not noted in this case. *Developmental dysplasia of the hip* - This is a condition usually diagnosed in **infancy or early childhood** through screening and clinical examination (e.g., Ortolani and Barlow maneuvers), often requiring early intervention. - It would not typically present acutely in a 6-year-old with a recent viral prodrome and normal X-rays. *Legg-Calve-Perthes disease* - This condition involves **avascular necrosis of the femoral head** and typically presents in children between **4 and 8 years old** with a **chronic limp** and hip pain, often worsening over weeks to months. - X-rays would show characteristic changes in the femoral head (e.g., fragmentation, flattening), which are absent in this case.
Explanation: ***Elongated and thickened pylorus on abdominal ultrasound*** - The classic presentation of **hypertrophic pyloric stenosis** includes **nonbilious projectile vomiting** in an infant, often with an **epigastric olive-shaped mass**. - **Abdominal ultrasound** is the diagnostic study of choice for pyloric stenosis and will reveal a **thickened and elongated pylorus**. *Dilated colon segment on abdominal x-ray* - This finding is more consistent with **Hirschsprung disease**, which typically presents with **constipation**, **abdominal distention**, and **failure to pass meconium**, not recurrent nonbilious vomiting. - The clinical picture provided points away from a distal bowel obstruction. *Double bubble sign on abdominal x-ray* - The **double bubble sign** on an abdominal x-ray is characteristic of a **duodenal obstruction**, such as **duodenal atresia** or **annular pancreas**, and usually presents with **bilious vomiting** shortly after birth. - The described vomiting is nonbilious, making this less likely. *High serum 17-hydroxyprogesterone concentration* - A high serum **17-hydroxyprogesterone** concentration is indicative of **congenital adrenal hyperplasia (CAH)**, which can present with **salt-wasting crises** and **vomiting** but typically involves **electrolyte abnormalities** and hormonal symptoms, not an epigastric mass. - The nonbilious vomiting and palpable mass are not typical for CAH. *Corkscrew sign on upper gastrointestinal contrast series* - The **corkscrew sign** on an upper GI series is pathognomonic for **midgut volvulus**, which presents with **bilious vomiting**, **abdominal pain**, and signs of **peritonitis** or **sepsis**. - The vomiting in this case is explicitly stated as nonbilious, ruling out malrotation with volvulus.
Explanation: ***Reassurance*** - Neonatal breast enlargement and galactorrhea (**"witch's milk"**) are common, benign findings caused by **maternal hormones** (estrogen and prolactin) transferred across the placenta during pregnancy. - This condition is typically self-limiting and resolves spontaneously within a few weeks as maternal hormones clear from the infant's system, requiring no intervention. *Breast biopsy* - A breast biopsy is an **invasive procedure** that is not indicated for a benign, self-limiting condition like neonatal gynecomastia and galactorrhea. - This procedure carries risks of **infection, scarring**, and potential emotional distress for parents, and should be reserved for suspicious lesions in older children or adults. *Mammography* - Mammography involves **radiation exposure** and is not an appropriate diagnostic tool for a newborn with physiological breast enlargement. - Its utility is primarily in evaluating breast tissue in **adults** for potential malignancy or other structural abnormalities. *Chromosomal analysis* - Chromosomal analysis is used to diagnose **genetic conditions** (e.g., Klinefelter syndrome) and is not indicated for isolated, transient breast enlargement and galactorrhea in an otherwise healthy neonate. - This investigation would be considered if there were **other dysmorphic features**, developmental delays, or persistent endocrine abnormalities. *Serum gonadotropin measurement* - Measuring serum gonadotropin levels (LH, FSH) is generally used to evaluate **precocious puberty** or **hypogonadism** in older children or adolescents. - In a newborn with physiological breast enlargement due to maternal hormones, these levels would likely be within a normal range for age or transiently elevated without indicating underlying pathology.
Explanation: ***Prematurity*** - **Cerebral palsy (CP)** is characterized by **delayed motor milestones**, **abnormal muscle tone (spasticity)**, **hyperreflexia**, and **persistent primitive reflexes** beyond the expected age. - **Prematurity** (especially birth before 32 weeks' gestation) is the **most common risk factor** for CP overall, accounting for approximately 40-50% of cases. - The developing brain of premature infants is particularly vulnerable to periventricular leukomalacia (PVL) and intraventricular hemorrhage (IVH), which can lead to various CP subtypes. - While this patient's **early hand preference** and **asymmetric crawling** suggest hemiplegic CP (often associated with stroke), the question asks for the most common risk factor **epidemiologically**, not the most likely cause in this specific case. *Intrauterine growth restriction* - While **IUGR** can be associated with developmental delays and is a risk factor for CP, it is less common than prematurity as the primary risk factor. - IUGR alone without complications (like prematurity or hypoxia) accounts for a smaller proportion of CP cases. *Perinatal hypoxic injury* - **Perinatal hypoxic-ischemic encephalopathy (HIE)** can cause CP, especially severe cases resulting in basal ganglia or watershed area damage. - However, with modern obstetric monitoring and intervention, severe perinatal hypoxia accounts for only ~10% of CP cases—less common than prematurity. *Multiparity* - **Multiparity** (having multiple previous births) is generally not considered a direct or common risk factor for cerebral palsy. - Any slight associations are typically due to confounding factors like increased risk of preterm birth in subsequent pregnancies, rather than multiparity itself. *Stroke* - **Perinatal stroke** can cause CP, typically presenting as **hemiplegic CP** with early hand preference and asymmetric motor findings—features seen in this patient. - While stroke is a significant cause of hemiplegic CP specifically, it accounts for a smaller proportion of overall CP cases compared to prematurity, which causes various CP subtypes and is more prevalent.
Explanation: ***Immune-mediated destruction of pancreatic beta cells*** - The diagnosis of **Type 1 Diabetes Mellitus (T1DM)** is strongly supported by the patient's age (10 years old), rapid onset of symptoms (frequent vomiting, abdominal pain, weakness, polydipsia, polyuria), **random plasma glucose of 420 mg/dL**, elevated **serum beta-hydroxybutyrate** (indicating **diabetic ketoacidosis**), and specifically, the **positive antiglutamic acid decarboxylase (GAD) antibodies** and **undetectable fasting C-peptide**. - **Antiglutamic acid decarboxylase (GAD) antibodies** are a common marker for autoimmune destruction of **pancreatic beta cells**, which leads to **absolute insulin deficiency**. **C-peptide** is a byproduct of insulin synthesis; its absence indicates the pancreas is not producing insulin. *Insulin resistance* - **Insulin resistance** is characteristic of **Type 2 Diabetes Mellitus (T2DM)**, which typically presents in older individuals, often with **obesity**, and is not associated with **positive GAD antibodies** or **undetectable C-peptide**. - In **insulin resistance**, the body produces insulin, often in high amounts initially, but the cells do not respond effectively, leading to hyperglycemia. *Starvation* - While **starvation** can lead to **ketogenesis** and signs like weakness, it would typically result in **hypoglycemia** or normal glucose levels, not profound hyperglycemia (420 mg/dL). - The presence of **polydipsia**, **polyuria**, and positive **GAD antibodies** rules out starvation as the primary cause. *Defective synthesis or release of arginine vasopressin* - This describes **diabetes insipidus**, a condition characterized by **polyuria** and **polydipsia** due to impaired water reabsorption by the kidneys. - However, **diabetes insipidus** is not associated with **hyperglycemia**, **ketosis**, or **positive GAD antibodies** and therefore does not fit the overall clinical picture. *Salicylate poisoning* - **Salicylate poisoning** can cause metabolic acidosis (often with a respiratory alkalosis component), vomiting, and altered mental status. - However, it does not explain the profound **hyperglycemia** and is not associated with **positive GAD antibodies** or undetectable **C-peptide**.
Explanation: ***Microcytic anemia*** - Exclusively breastfed infants are at risk for **iron deficiency anemia** because breast milk contains low levels of iron (~0.3 mg/L), and newborn iron stores are typically depleted by **4-6 months of age**. - At 4 months, iron stores are beginning to deplete, and iron supplementation is typically initiated around this time; without supplementation, the infant is at greatest risk for developing **microcytic anemia** due to impaired hemoglobin synthesis. - Iron deficiency causes red blood cells to be small (microcytic) and pale (hypochromic). *Intracranial bleed* - An intracranial bleed in an otherwise healthy infant is most commonly associated with **vitamin K deficiency bleeding (VKDB)**. - However, the infant received **standard treatment** at birth, which includes vitamin K prophylaxis (typically 1 mg IM), making this highly unlikely. *Rickets* - Rickets is caused by **vitamin D deficiency**, leading to impaired bone mineralization. - While breast milk is deficient in vitamin D, the **AAP recommends vitamin D supplementation (400 IU/day)** for all breastfed infants starting shortly after birth, which is part of standard care and would prevent rickets. - No bone abnormalities are noted on examination. *Scaly dermatitis* - Scaly dermatitis, such as **seborrheic dermatitis (cradle cap)**, is common and physiological in infants but is not directly linked to a specific nutritional deficiency from exclusive breastfeeding. - Severe, generalized scaly dermatitis could indicate **zinc deficiency** or **essential fatty acid deficiency**, but this is rare in otherwise healthy, exclusively breastfed term infants. *Peripheral neuropathy* - Peripheral neuropathy in infants can be caused by genetic, metabolic, or toxic conditions. - It is **not** a common complication associated with exclusive breastfeeding in an otherwise healthy term infant.
Explanation: ***Methylphenidate*** - The patient exhibits core symptoms of **ADHD** (hyperactivity, impulsivity, and inattention) for at least 6 months, across multiple settings, and causing significant impairment. **Methylphenidate** is a **first-line stimulant medication** for treating ADHD. - As a **stimulant**, methylphenidate increases levels of **dopamine** and **norepinephrine** in the brain, improving focus and reducing hyperactivity. *Clonidine* - **Clonidine** is an **alpha-2 adrenergic agonist** that can be used to treat ADHD, particularly for managing **hyperactivity, impulsivity, and tics**. - It is typically considered a **second-line agent** or an adjunct therapy when stimulants are not effective or are contraindicated. *Guanfacine* - **Guanfacine** is another **alpha-2 adrenergic agonist** often used for ADHD, especially for children who cannot tolerate stimulants or have significant **hyperactivity/impulsivity**. - Like clonidine, it is generally considered a **non-stimulant alternative** but not typically the first-line choice over stimulants. *Atomoxetine* - **Atomoxetine** is a **norepinephrine reuptake inhibitor** and a non-stimulant medication for ADHD. - It is a **first-line non-stimulant option** but stimulants like methylphenidate are generally preferred as first-line due to their higher efficacy and faster onset of action. *Haloperidol* - **Haloperidol** is a **first-generation antipsychotic** primarily used to treat **psychotic disorders** like schizophrenia, severe agitation, and Tourette's syndrome. - It is **not indicated** for the treatment of ADHD and would be inappropriate given the patient's symptoms.
Explanation: ***Cystic fibrosis*** - The constellation of **poor growth**, **chronic cough**, **respiratory distress** in the neonatal period needing ventilation, **recurrent infections** (otitis media), and classic gastrointestinal symptoms of **greasy, foul-smelling stools** and **failure to thrive** is highly suggestive of cystic fibrosis. - The gastrointestinal symptoms are due to **pancreatic exocrine insufficiency**, where thick mucus blocks pancreatic ducts, preventing digestive enzymes from reaching the intestine, leading to **malabsorption of fats** and fat-soluble vitamins. *Celiac disease* - While celiac disease also presents with **malabsorption** and **failure to thrive**, it typically manifests after the introduction of **gluten-containing foods**, usually around 6-12 months of age. - It does not explain the early **respiratory issues** or the recurrent infections seen in this patient. *Shwachman-Diamond syndrome* - This syndrome presents with **pancreatic exocrine insufficiency** and **bone marrow dysfunction** (neutropenia leading to recurrent infections), which could explain some symptoms. - However, it typically lacks the prominent **respiratory findings** and chronic cough that are a hallmark of cystic fibrosis. *Cow's milk protein allergy* - This allergy often causes **vomiting, loose stools, and poor growth**, especially after formula feeding. - However, it does not account for the **chronic cough**, **respiratory distress at birth**, or the **greasy, foul-smelling nature of the stools**, which points more specifically to fat malabsorption. *Giardiasis* - This parasitic infection can cause **diarrhea, abdominal cramps, and malabsorption**, leading to **poor growth**, especially in children in daycare settings. - It would not explain the **neonatal respiratory distress**, **chronic cough**, or recurrent upper respiratory infections described in the patient.
Explanation: ***Osgood-Schlatter disease*** - This condition presents with **gradual onset of pain below the kneecap**, worsened by activities involving quadriceps contraction like **jumping** and **climbing stairs** in a young, active adolescent. - Pain on **resisted knee extension** and a history of growth spurts in highly active adolescents (basketball player) are classic features, pointing to stress on the **tibial tubercle apophysis**. *Prepatellar bursitis* - Characterized by **inflammation of the prepatellar bursa**, located directly **over the kneecap**, not below it. - Typical causes include **direct trauma** or prolonged kneeling, leading to localized swelling and tenderness over the patella itself. *Meniscal tear* - Often results from a **sudden twisting injury** to the knee, causing immediate pain, swelling, and sometimes mechanical symptoms like **locking or clicking**. - The pain is usually localized to the **joint line** and is not typically exacerbated by resisted knee extension in the absence of a pre-existing tear. *Patellofemoral syndrome* - Also known as "runner's knee," this condition causes **anterior knee pain**, often described as a **dull ache behind or around the kneecap**. - While it can be worsened by activity, the pain is usually **diffuse** rather than localized immediately below the kneecap, and typically does not involve distinct tenderness at the tibial tubercle. *Shearing injury of the anterior cruciate ligament (ACL)* - An **ACL injury** typically results from a **sudden, forceful hyperextension or twisting injury**, often with an audible "pop," leading to immediate pain, swelling, and instability. - This patient's **gradual onset of pain** with full range of motion against resistance and without a specific injury mechanism makes an ACL shearing injury unlikely.
Explanation: ***Nasogastric decompression and total parenteral nutrition*** - The patient's symptoms (abdominal pain, nausea, vomiting, distended and tender upper abdomen, gastric distention on CT) following a motor vehicle accident, especially with an adult seatbelt, suggest a **duodenal hematoma**. This injury commonly occurs from compression of the duodenum against the spine and causes a partial or complete obstruction. - **Nasogastric decompression** is crucial to relieve gastric distention and prevent further vomiting, while **total parenteral nutrition (TPN)** provides adequate nutritional support during the healing process, as oral intake will be restricted for several days to weeks. Most duodenal hematomas resolve with conservative management. *Focused assessment with sonography for trauma* - While FAST is a rapid screening tool for the detection of **free fluid** in the abdomen after trauma, the CT scan already confirmed gastric distention without mentioning significant free fluid or other major organ injury requiring immediate surgical intervention. - FAST would be most useful in identifying conditions like **hemoperitoneum** or **pericardial effusion**, which are not the primary concern given the patient's presentation and CT findings indicating an obstructive process. *Emergent laparotomy* - **Emergent laparotomy** is typically reserved for signs of **unstable vital signs**, **peritoneal signs** (e.g., rigid abdomen, rebound tenderness), or evidence of **bowel perforation** or significant intra-abdominal bleeding not responsive to resuscitation. - The patient's vital signs are relatively stable, and there are no clear indications of bowel perforation or massive internal hemorrhage that would warrant immediate surgical exploration. *Esophagogastroduodenoscopy* - **Esophagogastroduodenoscopy (EGD)** is an invasive procedure that could risk further injury to an already compromised or swollen duodenum, especially in the presence of a hematoma causing obstruction. - EGD is primarily used for diagnosing mucosal lesions, ulcers, or sources of upper GI bleeding, not for the initial management of a suspected duodenal hematoma causing obstruction after trauma. *Oral rehydration therapy and early refeeding* - The patient has significant abdominal pain, nausea, vomiting, and gastric distention, indicating a **mechanical obstruction** in the duodenum. - Attempting **oral rehydration** and early refeeding would likely worsen the patient's symptoms and could lead to further complications like aspiration, as the gastric outlet is obstructed.
Explanation: ***Ibuprofen*** - This presentation (recent viral illness, **afebrile**, hip pain, unremarkable X-ray, normal inflammatory markers) is highly suggestive of **transient synovitis**, a self-limiting inflammatory condition of the hip. - Management of **transient synovitis** primarily involves supportive care with **NSAIDs** like ibuprofen for pain and inflammation. *Vancomycin and piperacillin-tazobactam* - This aggressive **antibiotic regimen** is indicated for suspected **septic arthritis**, which is less likely given the **normal temperature**, normal CRP, and gradual onset of symptoms. - **Septic arthritis** typically presents with more acute onset, higher fever, and elevated inflammatory markers. *Arthrocentesis* - **Arthrocentesis** (joint aspiration) is crucial for differentiating **septic arthritis** from other causes of hip pain in children by analyzing synovial fluid. - However, given the clinical picture (afebrile, gradual onset, normal CRP, unremarkable X-ray), the likelihood of septic arthritis is low, making arthrocentesis not the immediate next step. *MRI* - An **MRI** would be useful in cases where the diagnosis is unclear or to rule out other conditions like **osteomyelitis** or **Perthes disease**. - Given the classic presentation of **transient synovitis**, an MRI is generally not the initial step in management unless symptoms persist or worsen despite conservative treatment. *Prednisone* - **Corticosteroids** like prednisone are used for inflammatory conditions, but they are generally reserved for more severe or chronic inflammatory arthropathies. - For **transient synovitis**, **NSAIDs** are usually sufficient, and corticosteroids are not typically indicated as a first-line treatment.
Explanation: ***He should start vitamin D supplementation.*** - **Exclusively breastfed** infants, regardless of maternal vitamin D intake, require **vitamin D supplementation** due to insufficient amounts in breast milk. - The recommended daily dose is **400 IU** starting from the first few days of life, to prevent **rickets** and promote bone health. - **African American infants** have an additional risk factor due to increased skin melanin content, which reduces cutaneous vitamin D synthesis from sunlight exposure. *He should be sleeping more.* - A 3-month-old infant typically sleeps between **14-17 hours per day**, with **waking periods to feed** and interact. - The case description does not indicate any concerns with the child's sleep patterns, and **developmental milestones** like lifting his head and smiling are being met. *He should have his serum lead level checked to screen for lead intoxication.* - **Lead screening** is not routinely recommended for all infants unless specific **risk factors** are present, such as living in an older home with lead paint, or having siblings with elevated lead levels. - There are no reported risk factors for lead exposure in this patient's history. *He should start rice cereal.* - Introduction of solid foods, such as rice cereal, is typically recommended around **6 months of age**, when the infant shows signs of **developmental readiness**. - These signs include **head control**, sitting with support, and showing interest in food. *He needs a 3rd hepatitis B vaccine.* - The **third dose of the hepatitis B vaccine** is typically administered between **6 and 18 months of age**. - At 3 months old, the infant is not yet due for his third dose.
Explanation: --- ***Focal impaired awareness seizure*** - The patient's **staring, facial grimacing, unresponsiveness**, and subsequent **confusion and lethargy** are characteristic of a **focal impaired awareness seizure** (previously termed complex partial seizure). - The **"muddy taste" pre-episode** is an **aura**, indicating a focal onset from a specific brain region (likely temporal lobe), and the **hand gestures** during an episode represent **automatisms**, commonly seen in focal seizures affecting the temporal lobe. - **Impaired awareness** during the episode (unresponsiveness to family) and **post-ictal confusion** are hallmark features of this seizure type. *Generalized tonic-clonic seizures* - **Generalized tonic-clonic seizures** involve a loss of consciousness followed by widespread tonic (stiffening) and clonic (jerking) movements of all limbs, which are not described here. - While post-ictal confusion can occur, the **focal onset symptoms** (aura, automatisms) and absence of the characteristic bilateral motor phases differentiate this from a generalized tonic-clonic seizure. *Atonic seizure* - **Atonic seizures** are characterized by a sudden, brief loss of muscle tone, leading to a "drop attack," which is not consistent with the described staring, grimacing, and automatisms. - These are brief (seconds), not lasting several minutes, and lack the complex motor behaviors or auras observed in this case. *Myoclonic seizure* - **Myoclonic seizures** present as sudden, brief, shock-like jerks of a muscle or muscle group, typically without significant loss of consciousness. - The prolonged duration, complete unresponsiveness, and complex behaviors like grimacing and hand gestures are not typical features of myoclonic seizures. *Breath-holding spell* - **Breath-holding spells** are typically triggered by emotional distress (e.g., anger, fear) in young children (peak age 6-18 months, rarely after age 6) and involve a brief period of crying followed by apnea, cyanosis, and sometimes loss of consciousness. - These episodes are **triggered events** (not spontaneous), do not involve complex automatisms, auras, or prolonged post-episode confusion like those described.
Explanation: ***Radial head subluxation*** - This presentation is classic for **radial head subluxation** (nursemaid's elbow), which typically occurs when a child is pulled or lifted by the hand or wrist, causing the **annular ligament** to slip over the radial head. - The child usually presents with immediate pain, refusal to use the affected arm, and the arm held in a characteristic **flexed and pronated position**. *Proximal ulnar fracture* - A proximal ulnar fracture would typically present with more generalized pain, swelling, and **point tenderness** over the ulna, which are not described. - The mechanism of injury (lifting by arms) is less consistent with an isolated proximal ulnar fracture and more suggestive of a traction injury at the elbow. *Anterior shoulder dislocation* - An anterior shoulder dislocation typically results from a fall or direct blow, not a traction injury to the arm, and the arm would be held in **abduction and external rotation**. - This injury is also much less common in toddlers compared to radial head subluxation. *Supracondylar fracture of the humerus* - A supracondylar fracture usually results from a fall onto an outstretched hand and is associated with significant pain, swelling, and often a **visible deformity** or **neurovascular compromise**. - The specific injury mechanism described does not fit the typical cause of a supracondylar fracture. *Olecranon fracture* - An olecranon fracture usually results from direct trauma or a fall onto the elbow, presenting with localized pain, swelling, and inability to extend the elbow against resistance. - The "lifting by the arms" mechanism is unlikely to cause an olecranon fracture, and the classic presentation of a pronated arm is not characteristic of this injury.
Explanation: ***Continue breastfeeding and advise mother to avoid dairy and soy products*** - The infant's symptoms of **blood-tinged stools** and **mucoid strings**, along with a positive occult blood test, in an otherwise healthy, exclusively breastfed infant point towards **food protein-induced proctocolitis (FPIAP)**. - The most common triggers for FPIAP are **cow's milk protein** and **soy protein** from the maternal diet transmitted through breast milk. The initial management involves the mother eliminating these proteins from her diet. *Perform stool antigen immunoassay* - This test is used to detect specific viral, bacterial, or parasitic antigens in stool, often for conditions like **rotavirus, giardiasis, or C. difficile**. - The infant's clinical presentation with **no fever, vomiting, or diarrhea**, and an otherwise healthy appearance, makes an infectious cause less likely compared to FPIAP. *Perform an air enema on the infant* - An air enema is primarily a diagnostic and therapeutic intervention for **intussusception**, a condition where one segment of the intestine telescopes into another. - Intussusception typically presents with sudden onset of severe, colicky abdominal pain, **"currant jelly" stools**, and often a palpable abdominal mass, none of which are described in this infant. *Assess for IgA (anti‑)tissue transglutaminase antibodies (tTG)* - This test is used to screen for **celiac disease**, an autoimmune disorder triggered by gluten consumption. - Celiac disease typically presents after the introduction of **gluten-containing foods** into the diet, usually around 6-12 months of age, and is characterized by malabsorption symptoms like diarrhea, weight loss, and failure to thrive, which are absent here. *Stop breastfeeding and switch to soy-based formula* - Stopping breastfeeding is generally **not recommended** as breast milk provides numerous benefits. - Switching to a **soy-based formula** may not resolve the issue, as many infants with cow's milk protein allergy also have a **soy protein allergy**. The preferred approach is to eliminate allergens from the maternal diet while continuing breastfeeding.
Explanation: ***Cyclic vomiting syndrome*** - The patient's presentation of recurrent, stereotypical episodes of severe nausea and vomiting with symptom-free intervals and a family history of **migraines** is highly characteristic of **cyclic vomiting syndrome (CVS)**. - **CVS** is often described as a functional gastrointestinal disorder believed to be related to migraine pathophysiology, explaining the neurological symptoms and typical nighttime/early morning onset. *Intussusception* - **Intussusception** typically presents with sudden onset of severe, intermittent abdominal pain, **currant jelly stools** (blood and mucus), and a palpable sausage-shaped mass. - The patient's chronic, episodic vomiting without abdominal pain or bloody stools, and normal physical exam and abdominal radiograph, makes intussusception unlikely. *Intracranial mass* - While an **intracranial mass** can cause vomiting, it typically presents with other neurological symptoms such as **headaches** (often worse in the morning), changes in vision, gait disturbance, or seizures, which are explicitly stated to be absent here. - The episodic nature with complete symptom-free intervals and the strong association with migraines is more indicative of CVS. *Gastroesophageal reflux* - **Gastroesophageal reflux (GERD)** typically involves regular regurgitation of food, heartburn, or chronic cough, not severe, episodic vomiting with discrete symptom-free periods. - While infants can have significant reflux, severe vomiting episodes without other classic GERD symptoms in a 5-year-old would point to other diagnoses. *Reye's syndrome* - **Reye's syndrome** is an acute, life-threatening condition associated with **aspirin use** in children with viral infections, causing encephalopathy and liver damage. - It presents with rapid progression of vomiting, confusion, and lethargy, often following a viral illness, and is not characterized by recurrent, independent episodes over many months with intervening symptom-free periods.
Explanation: ***Reassurance and observation*** - This presentation is classic for an **umbilical hernia** in an infant, characterized by an abdominal bulge that increases with crying and reduces when lying down. Most umbilical hernias in children under **5 years of age** close spontaneously. - Given the patient's age (14 months), small size of the hernia (1 cm), and reducibility, the most appropriate management is **observation**, as surgical correction is typically reserved for larger hernias, symptomatic hernias, or those persisting beyond 4-5 years of age. *CT scan of the abdomen* - A CT scan uses **ionizing radiation** and is generally not indicated for the diagnosis or routine management of uncomplicated umbilical hernias in children. - The diagnosis of an uncomplicated umbilical hernia is primarily **clinical**, based on history and physical examination. *Emergent open repair* - **Emergent repair** is only indicated for complicated hernias, such as those that are **incarcerated** (cannot be reduced) or **strangulated** (compromised blood supply), which present with features like pain, erythema, tenderness, or signs of bowel obstruction. - The patient's hernia is described as **nontender** and **easily reducible**, indicating it is uncomplicated and does not require immediate surgical intervention. *Elective open repair* - **Elective surgical repair** for umbilical hernias is usually considered for children over **4-5 years of age** if the hernia has not resolved spontaneously, or for smaller hernias that are causing symptoms or are cosmetically concerning. - At 14 months, spontaneous closure is still very likely, so surgical intervention is premature. *Abdominal ultrasound* - While ultrasound can visualize an umbilical hernia, it is generally **not necessary** for diagnosis as it is a clinical diagnosis. - It might be used in ambiguous cases or to assess for complications, but it does not change the management in this clear-cut case of an uncomplicated, reducible umbilical hernia.
Explanation: ***Insulin deficiency*** - The combination of **polyuria** (increased frequency of micturition, nocturia), **weight loss**, and **glycosuria (urine glucose 1+)** in a previously healthy child is highly suggestive of **type 1 diabetes mellitus**, caused by insulin deficiency. - While serum electrolytes and osmolality are normal at this stage, the presence of glucose in the urine despite normal renal function indicates that **plasma glucose levels are elevated**, overwhelming the renal threshold for glucose reabsorption (~180 mg/dL). - The **weight loss** occurs due to inability to utilize glucose for energy, leading to catabolism of fat and muscle tissue. *Insulin resistance* - **Insulin resistance** (often seen in type 2 diabetes) is less likely in this **12-year-old boy** with significant weight loss and normal physical examination, without a history of obesity or other risk factors. - While it can cause hyperglycemia and glucosuria, the **rapid weight loss** points away from the typical presentation of insulin resistance, which usually occurs in the context of obesity. *Inadequate ADH secretion* - **Inadequate ADH secretion** (central diabetes insipidus) would lead to polyuria and polydipsia, but the **urine would be very dilute** (low osmolality <300 mOsmol/kg), and there would be **no glucose in the urine**. - The patient's urine osmolality of 620 mOsmol/kg H2O is **elevated** and consistent with osmotic diuresis from glycosuria, not the dilute urine seen in diabetes insipidus. *Elevated thyroxine levels* - **Elevated thyroxine levels** (hyperthyroidism) can cause weight loss and increased urination due to increased metabolic rate, but it would **not cause glycosuria**. - Other common symptoms of hyperthyroidism, such as **tachycardia**, **tremor**, **heat intolerance**, or **goiter**, are absent. *Infection of the urinary tract* - A **urinary tract infection (UTI)** can cause increased frequency of micturition, but it is typically associated with **dysuria**, **hematuria**, or **leukocyte esterase/pyuria** in the urine, all of which are negative in this case. - A UTI would also **not explain the weight loss** or the presence of **glucose in the urine**.
Explanation: ***Rigid bronchoscopy*** - The sudden onset of cough in a 3-year-old following new food introductions, coupled with decreased breath sounds on the right, strongly suggests a **foreign body aspiration**. - **Rigid bronchoscopy** is the definitive and preferred method for both diagnosing and removing airway foreign bodies, especially in children, due to its ability to provide better airway control and allow the use of larger instruments. *Inhaled bronchodilators and oral corticosteroids* - These therapies are indicated for conditions like **asthma** or **bronchiolitis**, which typically present with wheezing and diffuse airway obstruction, not localized decreased breath sounds. - They would not resolve a mechanical obstruction caused by a **foreign body**. *Chest x-ray (CXR)* - A CXR is often the **initial imaging study** in suspected foreign body aspiration, but it is not definitive management. - Many foreign bodies are **radiolucent** and may not be visible, and even if visible, the CXR does not remove the object. *Empiric antibiotic therapy* - This therapy would be considered for a presumed **bacterial infection** (e.g., pneumonia), which usually presents with fever, productive cough, and specific CXR findings, none of which are primarily indicated here. - It would not address a **mechanical airway obstruction**. *Flexible bronchoscopy* - While flexible bronchoscopy can be used for foreign body removal in some cases, **rigid bronchoscopy** is generally preferred in children for its superior airway control, better visualization, and ability to remove larger or more firmly lodged objects with specialized tools. - Flexible scopes are more often used for **diagnostic purposes** or in adults for less emergent situations.
Explanation: ***Observe the patient during a feeding*** - The patient's **weight gain** is insufficient (only 132g in one week, remaining below the 10th percentile), and she has not yet regained her **birth weight** at 15 days of age. This suggests potential issues with milk transfer or intake, despite frequent feeding. - Observing a feeding allows direct evaluation of **latch**, **sucking pattern**, and milk transfer, which is crucial for identifying and addressing the underlying cause of poor weight gain. *Recommend waking the patient to feed* - While waking for feeds can be necessary for newborns struggling with weight gain, it is not the *best initial step* without first assessing the **efficiency** of existing feeds. - The patient's mother already reports frequent feeding, and the priority is to ensure milk intake is adequate when feeding, rather than simply increasing frequency. *Continue current breastfeeding regimen* - Continuing the current regimen is inappropriate given the **insufficient weight gain** and failure to regain birth weight by 15 days. - This suggests the current feeding practices are not meeting the infant's nutritional needs and require intervention. *Supplement breastfeeding with conventional formula* - **Formula supplementation** should be considered only after assessing and attempting to optimize breastfeeding mechanics and milk transfer, as it can interfere with the establishment of maternal milk supply. - It is a more aggressive intervention that may not be necessary if the issue is poor latch or inefficient feeding, which can often be corrected with proper guidance. *Recommend modification of mother’s diet* - The mother's diet is generally **not a primary cause** of insufficient milk supply or poor infant weight gain unless she is severely malnourished, which is not indicated here. - Dietary changes are unlikely to resolve issues related to milk transfer or infant intake efficiency.
Explanation: ***Neuroblastoma*** - This diagnosis is strongly suggested by the combination of **an adrenal mass**, **periorbital ecchymoses** (often called "raccoon eyes" due to orbital metastases), and **bone pain/difficulty walking** (indicating bone marrow involvement). - The **pancytopenia** (low erythrocyte, leukocyte, and platelet counts) further supports widespread bone marrow infiltration by metastatic disease, a common feature of advanced neuroblastoma. *Hepatoblastoma* - This is a primary **liver tumor** that typically presents with an abdominal mass and elevated alpha-fetoprotein. - It does not typically cause periorbital ecchymoses or widespread bone pain/marrow suppression as seen in this patient. *Rhabdomyosarcoma* - This is a **soft tissue sarcoma** that can occur in various locations but does not commonly originate in the adrenal gland or present with the classic periorbital ecchymoses of neuroblastoma. - While it can metastasize, the specific pattern of an adrenal mass with orbital and bone marrow involvement is less typical. *Wilms tumor* - This is a **kidney tumor** (nephroblastoma) that usually presents as a palpable abdominal mass and can sometimes cause hypertension or hematuria. - It originates in the kidney, not the adrenal gland, and does not typically cause periorbital ecchymoses or widespread bone marrow metastasis leading to pancytopenia. *Retinoblastoma* - This is a **malignant tumor of the retina** in the eye, usually presenting with leukocoria (white pupillary reflex) or strabismus. - It does not present with an adrenal mass, leg pain, or periorbital ecchymoses, although genetic predisposition can be associated with other cancers.
Explanation: ***Introduce solid foods and continue vitamin D*** - At **6 months of age**, infants typically show developmental readiness for **solid foods**, such as the ability to sit unsupported and transfer objects, while **breastfeeding** continues to be important. - **Vitamin D supplementation** should continue as it is crucial for bone health and is not adequately supplied by breast milk or early solid foods alone. *Continue vitamin D* - While vitamin D supplementation is important, this option **misses the crucial developmental milestone** of introducing solid foods at 6 months. - At this age, infants' **iron stores** begin to dwindle, and solid foods are needed to provide essential nutrients not sufficiently met by breast milk alone. *Introduce solid foods* - This option correctly identifies the need to introduce solid foods but **fails to mention the continued importance of vitamin D supplementation**. - Breastfed infants require continued **vitamin D supplementation** to prevent **rickets**, as breast milk does not contain sufficient amounts. *Introduce solid foods and add vitamin C* - While **vitamin C** is important, the primary focus at 6 months should be on **iron-rich solid foods** and continued **vitamin D supplementation**. - Breast milk contains adequate vitamin C, and introducing diverse solid foods typically provides enough, making dedicated vitamin C supplementation usually unnecessary unless a deficiency is identified. *Introduce solid food and cow milk* - **Cow's milk** should **not be introduced** as a primary drink before **12 months of age** because it can cause **gastrointestinal bleeding**, **iron-deficiency anemia**, and is difficult for infants to digest. - Introducing cow's milk too early can also interfere with the absorption of essential nutrients from breast milk or formula.
Explanation: ***Referral to physical therapy*** - The infant presents with a persistent head turn and tilt, consistent with **congenital muscular torticollis**, which is often associated with breech presentation. **Physical therapy** is the primary treatment to stretch the sternocleidomastoid muscle and improve range of motion. - The minor bruising on the sternocleidomastoid could be due to parental attempts to reposition the head and the recent fall, but the underlying issue of torticollis requires therapeutic intervention. *Neck radiograph* - While a neck radiograph might be considered if **skeletal abnormalities** are suspected, the clinical presentation strongly suggests muscular torticollis, not a spinal bone issue. - There are no red flags for **osseous cervical spine anomalies** such as neurological deficits, significant trauma, or suspicion of congenital vertebral malformations, making this initial step less appropriate. *Direct laryngoscopy* - This procedure is used to examine the **larynx and vocal cords** and is irrelevant to the presented symptoms of head turn and tilt. - There is no mention of **stridor, dysphagia, or respiratory distress** that would warrant a direct laryngoscopy. *Reassurance and follow-up in one month* - Although torticollis can sometimes resolve spontaneously, the persistent nature of the head turn, parental concern, and potential for **developmental delays** if left untreated make simple reassurance inappropriate. - Delaying intervention could lead to **facial asymmetry, plagiocephaly**, or impaired motor development. *Referral to ophthalmology* - Ocular abnormalities can cause a compensatory head turn (**ocular torticollis**), however, the patient's eyes are described as normal, and he is able to focus, making a primary ophthalmological problem unlikely. - The presence of bruising over the sternocleidomastoid points more towards a **musculoskeletal origin** rather than ocular.
Explanation: ***Repeat urine dipstick in 1 year*** - The initial 1+ protein on a random dipstick with a normal early morning protein/creatinine ratio (0.2, which is ≤0.2) is consistent with **benign orthostatic (postural) proteinuria** in an otherwise healthy adolescent. - **Orthostatic proteinuria** is a common, benign finding in adolescents where protein appears in upright position but resolves when supine (hence the trace protein in early morning sample). - Given the patient is asymptomatic, has normal vital signs, no edema, and a normal protein/creatinine ratio, this represents a benign condition requiring only monitoring with annual urine dipstick to ensure no progression. - The family history of nephrotic syndrome in his brother does not change management in this asymptomatic patient with normal findings. *Anti-nuclear antibody level* - An **ANA level** is used to screen for **systemic lupus erythematosus** (SLE) and other autoimmune diseases that can cause glomerulonephritis. - The patient has no symptoms or signs (e.g., rash, joint pain, serositis, hematuria) suggestive of an autoimmune condition, and the normal protein/creatinine ratio makes significant renal pathology unlikely. *Measure serum creatinine and urea nitrogen* - This would be appropriate if there was evidence of **renal dysfunction**, such as persistent abnormal proteinuria (protein/creatinine ratio >0.2), elevated blood pressure, or other signs of kidney disease. - The patient has normal blood pressure, no edema, and a normal protein/creatinine ratio indicating no impaired kidney function. *24-hour urine protein collection* - A **24-hour urine collection** is indicated when there is sustained, significant proteinuria that needs quantification (e.g., to confirm nephrotic syndrome with >3.5 g/day or to monitor chronic kidney disease). - The patient's normal protein/creatinine ratio (0.2) already provides adequate quantification and confirms the initial 1+ protein was transient orthostatic proteinuria, making 24-hour collection unnecessary. *Lipid profile* - A **lipid profile** is typically ordered in cases of suspected or confirmed **nephrotic syndrome**, as dyslipidemia is a common complication. - This patient does not have nephrotic syndrome, which requires proteinuria >3.5 g/day (protein/creatinine ratio >3.5), hypoalbuminemia, edema, and hyperlipidemia—none of which are present.
Explanation: ***Continue current breastfeeding regimen*** - The infant's **urination and stooling patterns** are appropriate for his age, indicating adequate hydration and milk intake. - While the infant experienced a **physiologic weight loss**, his current weight is still within a healthy percentile, and he is showing signs of recovery. *Increase frequency of breastfeeding* - The infant is already feeding every two hours for 30 minutes, which is an **appropriate frequency and duration** for a 5-day-old. - Increasing the frequency further without clear signs of inadequate intake could lead to **maternal fatigue** and an inability to sustain the regimen long-term. *Supplement breastfeeding with conventional formula* - Supplementation with formula is typically reserved for cases where there is **insufficient milk transfer or production**, significant weight loss, or dehydration. - This infant's **normal voiding, stooling, and improving weight** do not indicate a need for formula supplementation at this time, which could interfere with establishing exclusive breastfeeding. *Offer stored breastmilk between feedings* - Offering stored breastmilk between feedings would effectively treat the stored milk as a **supplement**, which is not indicated given the current reassuring signs. - Overfeeding could potentially lead to **gastrointestinal discomfort** or interfere with the infant's natural hunger cues and the establishment of an efficient breastfeeding relationship. *Modification of the mother’s diet* - A mother's diet rarely influences the **composition or quantity of breast milk** to an extent that would address concerns like inadequate infant weight gain in a healthy, full-term infant. - There is no indication that the mother's diet is causing any issues with the infant's feeding or tolerance based on the provided information.
Explanation: ***Increase nighttime sleep hours*** - The patient's pattern of going to bed at midnight and waking at 7 AM on school days, along with sleeping in late on weekends, suggests a **chronic sleep deficit** accumulated during the week. Adolescents typically require 8-10 hours of sleep per night. - The excessive daytime sleepiness and declining school performance are strong indicators of insufficient sleep, and **prioritizing more sleep during school nights** is the most direct intervention. *Take melatonin before bedtime* - Melatonin supplements are typically used for **sleep-onset insomnia** or **circadian rhythm disorders**, neither of which is clearly indicated here. - There is no evidence presented of difficulty falling asleep; rather, the issue appears to be insufficient duration of sleep due to **late bedtime schedules**. *Avoid snacks before bedtime* - While heavy meals before bedtime can disrupt sleep, this patient reports having only a **light snack**, which is unlikely to be the primary cause of his significant daytime sleepiness. - There is no mention of indigestion or gastrointestinal discomfort after the snack that would point to this as a problem. *Decrease exercise intensity* - Regular exercise generally **improves sleep quality**, and there's no indication that the patient's exercise routine is negatively impacting his sleep. - While very intense exercise too close to bedtime can be disruptive for some, exercise itself is generally beneficial for sleep and overall health; therefore, reducing it would not be a primary recommendation. *Take a nap in the afternoon* - While naps can temporarily alleviate daytime sleepiness, they can also **disrupt nighttime sleep patterns** by reducing sleep drive. - Napping would be treating the symptom rather than the root cause, which is a **chronic lack of sufficient nighttime sleep**.
Explanation: ***Rett syndrome*** - This presentation of a 4-year-old girl with previously met milestones, followed by **regression in language** (verbalizing in grunts), **loss of purposeful hand movements** (flapping hands), **gait abnormalities**, and **scoliosis**, is highly characteristic of Rett syndrome. - Rett syndrome is a **neurodevelopmental disorder** found almost exclusively in girls caused by a mutation in the **MECP2 gene**, which typically manifests between 6 and 18 months of age with a period of normal development followed by regression. *Autistic spectrum disorder* - While autism involves **social and communication deficits** and **repetitive behaviors**, it typically presents earlier and does not usually involve a distinct period of **normal development followed by severe regression** in purposeful hand use and gait. - The specific pattern of regression, especially the loss of purposeful hand movements, is more indicative of Rett syndrome than autism. *Tourette syndrome* - Tourette syndrome is characterized by **multiple motor tics** and **one or more vocal tics**, which can wax and wane. - It does not typically involve the **profound developmental regression** in language, purposeful hand movements, and gait that this patient is experiencing. *Cerebral palsy* - Cerebral palsy is a group of **permanent movement disorders** that appear in early childhood, but it is caused by **non-progressive brain damage** or abnormal development, often prenatal or perinatal. - It does not involve a period of **normal development followed by regression** of acquired skills, which is a hallmark feature in this case. *Phenylketonuria* - **Phenylketonuria (PKU)** is a metabolic disorder that can cause **intellectual disability**, seizures, and behavioral problems if untreated. - However, it is usually screened for at birth, and prompt dietary intervention can prevent severe neurological damage; it does not typically present with the specific pattern of **developmental regression** seen here, particularly with respect to purposeful hand movements and gait.
Explanation: ***Constitutional growth delay*** - This condition is characterized by **delayed bone age**, normal growth velocity initially followed by a deceleration, and an eventual **catch-up growth spurt** leading to normal adult height. The patient's history of being shorter than peers but growing at the same rate, followed by a recent slow down, and a bone age of 11 years (compared to his chronological age of 14) strongly indicates this. - The absence of other symptoms, **unremarkable lab workup** (including TSH), and the fact that he was previously growing at the same rate as peers further supports constitutional growth delay, which is often linked to a family history of delayed puberty, even if the mother's history is negative and the father's is unknown. *Hypothyroidism* - **Hypothyroidism** would typically present with symptoms such as fatigue, weight gain, constipation, and cold intolerance, none of which are mentioned in the patient's history. - The **unremarkable TSH** level rules out hypothyroidism as the cause of growth delay in this case. *Familial short stature* - In **familial short stature**, children typically grow along a short but otherwise normal percentile curve, and their bone age would typically match their chronological age. - The patient's growth deceleration and significantly **delayed bone age** are inconsistent with familial short stature. *Growth hormone deficiency* - **Growth hormone deficiency** often presents with a significant deceleration of growth velocity and very short stature for age, but usually the bone age delay is more pronounced or proportional to the chronological age. - While low height is present, the **otherwise healthy appearance** and absence of other metabolic or health issues make constitutional growth delay more likely, especially with the provided bone age and normal lab results. *Celiac disease* - **Celiac disease** can cause growth delay, but it would typically be accompanied by gastrointestinal symptoms such as abdominal pain, diarrhea, or malabsorption-related issues like weight loss or anemia. - This patient is **asymptomatic** and has a normal weight for his height percentiles, which makes celiac disease an unlikely diagnosis.
Explanation: ***Precocious puberty*** - The constellation of **Parinaud syndrome** (impaired upward gaze, nystagmus, eyelid retraction, and pupillary abnormalities) combined with symptoms of **increased intracranial pressure** (headache, blurred vision, weight loss, difficulty sleeping) in a child points to a **pineal tumor**, specifically a **germinoma**. - Pineal germinomas are known to secrete **human chorionic gonadotropin (hCG)**, which can cross-react with LH receptors, leading to stimulation of **testosterone production** and subsequent **precocious puberty** in boys. *Diabetes insipidus* - While diabetes insipidus can be associated with suprasellar tumors, it's less commonly a direct sequela of a **pineal germinoma** itself compared to precocious puberty, although mass effect on the hypothalamus could potentially lead to it. - The primary symptoms described are classic for **Parinaud syndrome** and increased intracranial pressure, not specific signs of diabetes insipidus (e.g., polyuria, polydipsia). *Blindness* - **Vision loss or blindness** can occur due to long-standing **papilledema** from increased intracranial pressure, or direct compression of the **optic chiasm** or **optic nerves** by a large tumor. - While a possible serious complication, **precocious puberty** is a more specific and direct endocrinological sequela linked to the hormonal activity of a pineal germinoma in boys. *Subarachnoid hemorrhage* - Although any intracranial tumor can potentially bleed, a **subarachnoid hemorrhage** typically presents with a sudden onset of **"thunderclap" headache**, stiff neck, and altered consciousness. - The patient's symptoms have been evolving over 3 months, which is inconsistent with the acute presentation of a subarachnoid hemorrhage. *Diabetic ketoacidosis* - **Diabetic ketoacidosis (DKA)** is a severe complication of **type 1 diabetes mellitus**, characterized by hyperglycemia, metabolic acidosis, and ketonemia. - There are no clinical signs or symptoms in this presentation (e.g., polyuria, polydipsia, Kussmaul respirations, fruity breath) to suggest uncontrolled diabetes or DKA, and it is not a direct sequela of a pineal tumor.
Explanation: ***Defective growth plate mineralization*** - The patient's symptoms, including **delayed walking**, **frontal bossing**, **widened wrists**, **bowed legs** (bent legs), and **rachitic rosary** (beading of the ribs), are classic signs of **rickets**. - **Rickets** is caused by a deficiency of vitamin D, leading to impaired mineralization of the cartilage and newly formed bone at the growth plates, resulting in soft and weak bones. The prolonged **exclusive breastfeeding** in this case, without vitamin D supplementation, increases the risk. *Deficiency of osteoclasts to reabsorb bone* - This describes conditions like **osteopetrosis** (Albers-Schonberg disease), which typically presents with **dense, brittle bones**, prone to fractures, and often associated with **bone marrow failure**. - While osteopetrosis can cause skeletal deformities and delayed milestones, the specific findings of widened wrists, bowed legs, and rachitic rosary are not characteristic of osteopetrosis, which involves increased bone density. *Osteoid proliferation in the subperiosteal bone* - This is a feature of conditions like **secondary hyperparathyroidism** or some bone tumors, which do not typically present with the widespread skeletal deformities and growth plate abnormalities seen in rickets. - While it can lead to bone pain and fragility, it does not explain the characteristic signs of rickets, such as widened growth plates and bone softening. *Defect in type I collagen* - A defect in type I collagen is characteristic of **osteogenesis imperfecta**, a genetic disorder leading to **brittle bones** that are prone to frequent fractures. - Patients with osteogenesis imperfecta often have **blue sclerae** and **dentinogenesis imperfecta** (which can cause dental issues, but not specifically enamel erosion and caries in the manner described), but not the specific rickets-like skeletal deformities. *Mutation of fibroblast growth factor receptor 3* - A mutation in **fibroblast growth factor receptor 3 (FGFR3)** causes **achondroplasia**, the most common form of dwarfism. - Achondroplasia is characterized by **short limbs**, a **normal trunk size**, and a **large head with frontal bossing**, but it does not cause the specific skeletal findings of widely spaced growth plates, bowed legs, and rachitic rosary associated with defective mineralization.
Explanation: ***Slipped capital femoral epiphysis*** - The patient's **obesity** (BMI 39.1 kg/m^2, 99th percentile for weight) is a significant risk factor for **slipped capital femoral epiphysis (SCFE)**, especially during periods of rapid growth. - SCFE presents with hip, groin, thigh, or knee pain and a limp, often requiring emergency surgical intervention to prevent further slippage and complications like avascular necrosis. *Constitutional growth delay* - This condition is characterized by **short stature** and delayed puberty, usually with a family history of delayed growth spurts. - While it involves growth, it does not explain the patient's obesity or increased risk of musculoskeletal complications associated with it. *Precocious puberty* - Precocious puberty is defined by the onset of secondary sexual characteristics before age 8 in girls or age 9 in boys. - While obesity can be a risk factor for earlier puberty, it is not the most immediate or likely outcome given the clinical scenario, and there are no signs of puberty mentioned. *Hypertension* - The patient's blood pressure (122/88 mmHg) is elevated for an 8-year-old and indicative of **hypertension**, a common comorbidity of obesity. - However, while present, hypertension is a *current finding* and comorbidity, not a *future outcome* in the same immediate risk category as SCFE for an obese child of this age. *Atherosclerotic heart disease* - While obesity in childhood increases the long-term risk of **atherosclerotic heart disease**, this is a chronic process that develops over many years, typically manifesting in adulthood. - It is a long-term consequence rather than the *most likely immediate outcome* during childhood, unlike conditions directly precipitated by childhood obesity.
Explanation: ***Audiology testing*** - Before initiating any therapy for speech delay, it is crucial to rule out **hearing impairment**, as **undiagnosed hearing loss** is the most common organic cause of speech and language difficulties in children. - **Standard practice guidelines** (AAP) recommend hearing assessment as the **first diagnostic step** in evaluating any child with speech or language delay. - While other developmental aspects seem intact, the inability to use simple sentences at age 4 and speech that is "frequently not understood by strangers" strongly suggests the need to assess the child's ability to **receive auditory information**. *Referral to speech therapist* - While a **speech therapist referral** is highly appropriate for a child with significant speech delay, it should typically follow an assessment to rule out underlying organic causes like **hearing loss**. - Without addressing potential hearing impairment, speech therapy may be less effective or miss the root cause of the communication difficulty. *Evaluate response to methylphenidate* - **Methylphenidate** is a stimulant medication used primarily for **attention-deficit/hyperactivity disorder (ADHD)**. - There is no indication of ADHD symptoms in this child (e.g., inattention, hyperactivity, impulsivity), and it is not a treatment for **primary speech delay**. *Psychiatric evaluation* - The child's ability to respond to his name, make eye contact, and enjoy social interaction with family and peers makes a **primary psychiatric disorder** (like autism spectrum disorder) less likely to be the sole cause of the speech delay. - Such an evaluation would typically be considered if **social communication deficits**, repetitive behaviors, or restricted interests were prominent. *Thyroid-stimulating hormone* - **Hypothyroidism** can cause developmental delays, including speech delay. - However, the child's normal physical appearance, height, and weight make **congenital or acquired hypothyroidism** less likely to be the primary cause of his isolated speech delay.
Explanation: ***Cyclopentolate eye drops bilaterally*** - The patient exhibits signs of **strabismus** (eye crossing, asymmetric corneal light reflection, lateral movement of the right eye when the left is covered), which can lead to **amblyopia** if not corrected. - **Cyclopentolate** eye drops cause **cycloplegia** (paralysis of the ciliary muscle) and **mydriasis** (pupil dilation), which are essential for a thorough ophthalmologic examination to determine the underlying cause and full extent of the strabismus, especially **refractive errors**. *Measurement of intraocular pressure* - While important in some ocular conditions, there are no signs or symptoms (e.g., pain, tearing, buphthalmos) suggestive of **glaucoma** in this patient. - This measurement would not be the initial or most appropriate step for evaluating strabismus. *Patching of the right eye* - **Patching** is a treatment for **amblyopia** (lazy eye) to force the weaker eye to work harder, but it is typically initiated *after* a complete ophthalmologic evaluation to determine the cause of strabismus and the presence/severity of amblyopia. - Applying a patch without a proper diagnosis, especially concerning refractive errors, could prevent a full evaluation and delay appropriate management. *Urgent surgery* - While surgery can be a treatment for strabismus, it is rarely urgent and is typically considered after other, less invasive interventions (like glasses or patching) have been tried or after a thorough evaluation reveals a significant deviation that is not amenable to conservative management. - It's not the initial step in a 6-month-old. *Reassurance and follow-up* - Although some forms of strabismus can be intermittent or resolve spontaneously, the presence of an **asymmetric corneal light reflection** and **deviation on cover test** suggests true strabismus that requires intervention to prevent **amblyopia**. - Delaying evaluation and intervention in an infant can lead to permanent vision loss in the affected eye.
Explanation: ***Seborrheic dermatitis*** - This presentation of **crusty, greasy, yellow, scaly patches** on the scalp in an otherwise healthy infant is classic for **seborrheic dermatitis**, often called "cradle cap." - It results from overactive **sebaceous glands** stimulated by maternal androgens, leading to excessive oil production and inflammation. *Group B streptococcal colonization* - While Group B Streptococcus (GBS) can cause serious infections in neonates, its colonization typically presents without skin lesions or with more severe systemic symptoms. - **GBS colonization** is usually asymptomatic and would not manifest as greasy, scaly patches on the scalp. *Impetigo* - **Impetigo** is a bacterial skin infection characterized by **honey-colored crusted lesions** or bullae, often seen around the nose and mouth or on extremities. - It typically presents with **pruritus** and is caused by *Staphylococcus aureus* or *Streptococcus pyogenes*, differing from the greasy scales seen here. *Chickenpox* - **Chickenpox (varicella)** is a viral infection causing an itchy rash with characteristic **vesicles** that progress to crusts, often starting on the trunk and spreading. - The rash is typically widespread and highly pruritic, unlike the localized, greasy scalp patches described. *Atopic dermatitis* - **Atopic dermatitis (eczema)** typically presents as **erythematous, intensely itchy plaques** that can be dry and scaly, often in flexural areas like elbows and knees in older children. - While it can affect the scalp, it is usually more inflamed, pruritic, and less greasy than seborrheic dermatitis, and is often associated with a family history of **atopy**.
Explanation: ***Hypertrophic pyloric stenosis*** - The classic presentation includes **projectile non-bilious vomiting** in a 2-8 week old infant, a **palpable olive-shaped mass** in the epigastrium, and signs of **dehydration** (sunken fontanelles, dry mucous membranes). - Exposure to **erythromycin** in early infancy is a recognized risk factor for developing pyloric stenosis due to its effect on gastrointestinal motility. *Milk-protein allergy* - Typically presents with symptoms like **bloody stools**, **diarrhea**, or **eczema**, rather than forceful projectile non-bilious vomiting. - A palpable epigastric mass is not a feature of milk-protein allergy. *Gastroesophageal reflux* - While common in infants, GERD usually involves effortless spitting up or vomiting that is **not projectile** and generally **does not lead to significant dehydration** or a palpable mass. - Symptoms tend to improve with age and positioning, unlike the progressive worsening seen here. *Intussusception* - Characterized by sudden onset of **crampy abdominal pain**, **currant jelly stools** (blood and mucus), and a sausage-shaped mass, usually in the right upper quadrant. - The vomiting is typically **bilious** due to bowel obstruction, and it occurs later in presentation. *Midgut volvulus* - This is an acute surgical emergency presenting with sudden onset of **bilious vomiting** and signs of **intestinal obstruction**. - It is associated with **malrotation** and can rapidly lead to bowel ischemia, which is a more severe and sudden presentation than described.
Explanation: ***Polygenic*** - This patient's presentation of **abdominal pain**, **vomiting**, **fatigue**, **weight loss**, **polydipsia**, **polyuria**, **dry mucous membranes**, **decreased skin turgor**, **hyperventilation with fruity odor**, **hyperglycemia**, and **ketoaciduria** is consistent with **diabetic ketoacidosis (DKA)**, a common initial manifestation of **type 1 diabetes mellitus (T1DM)**. - **Type 1 diabetes** is a complex disorder with a **polygenic inheritance pattern**, meaning multiple genes contribute to its susceptibility (including **HLA-DR3**, **HLA-DR4**, and others), often interacting with environmental factors. *Autosomal recessive* - **Autosomal recessive** inheritance typically involves a single gene defect where an individual must inherit two copies of the mutated gene (one from each parent) to express the condition. - Conditions like **cystic fibrosis** or **sickle cell anemia** follow this pattern, which is not characteristic of type 1 diabetes. *Imprinted* - **Genomic imprinting** refers to gene expression that is dependent on the parent of origin, where only one allele (either maternal or paternal) is expressed. - Disorders like **Prader-Willi** or **Angelman syndrome** are examples of imprinting genetic defects, which do not apply to type 1 diabetes. *X-linked recessive* - **X-linked recessive** inheritance involves genes located on the X chromosome, primarily affecting males, and females are often asymptomatic carriers. - Conditions such as **Duchenne muscular dystrophy** and **hemophilia** follow this pattern, which is inconsistent with the epidemiology of type 1 diabetes. *Mitochondrial* - **Mitochondrial inheritance** involves genes located in the mitochondria, which are exclusively inherited from the mother. - These disorders typically affect organs with high energy demands, such as muscles and the brain; while diabetes can be a feature of some mitochondrial disorders (e.g., Pearson syndrome), it is not the primary inheritance pattern for typical type 1 diabetes.
Explanation: ***Perform transurethral catheterization*** - The child presents with symptoms suggestive of a **urinary tract infection (UTI)**, including irritability, poor feeding, strong-smelling urine, **pink-colored urine (hematuria)**, and abdominal pain. The combination of these findings in an acutely ill infant strongly indicates UTI with possible hemorrhagic cystitis. - Given his age and inability to cooperate for a clean-catch sample, **transurethral catheterization** is the most reliable method to obtain an uncontaminated urine sample for culture and urinalysis in an acutely ill infant. - This method provides a **sterile urine sample**, essential for accurate diagnosis (confirming pyuria, bacteriuria, and hematuria) and guiding appropriate treatment, as contamination rates are high with other collection methods in this age group. *Obtain clean catch urine sample* - While a clean catch urine sample is ideal for older children and adults, it is often **not feasible or reliable** in a 1-year-old due to difficulty in obtaining an uncontaminated specimen. - Contamination rates for clean catch samples in infants can be very high, leading to **false positive results** and unnecessary antibiotic treatment. *Perform renal ultrasound* - A renal ultrasound is useful for identifying **structural abnormalities** in the urinary tract, which may predispose a child to UTIs. However, it is an imaging study, **not a diagnostic tool for acute infection**, and should be performed after a confirmed diagnosis of UTI, especially in recurrent cases. - Imaging should be considered after the initial management step of **diagnosing the UTI** with a sterile urine sample, to investigate underlying causes. *Administer cefixime* - Administering antibiotics like cefixime is the treatment for a UTI, but it should only be done **after obtaining a urine sample for culture**. Starting antibiotics empirically without a confirmed diagnosis may lead to **antibiotic resistance** and makes it difficult to ascertain the causative organism if symptoms persist. - The priority in this acute setting is to first **confirm the diagnosis of UTI** with a reliable urine culture, then choose appropriate antimicrobial therapy based on sensitivity or local resistance patterns. *Perform voiding cystourethrogram* - A **voiding cystourethrogram (VCUG)** is primarily used to diagnose **vesicoureteral reflux (VUR)**, a condition where urine flows backward from the bladder into the ureters. This is an advanced imaging study typically reserved for children with recurrent UTIs or those with a confirmed UTI and abnormal renal ultrasound findings, to investigate for reflux. - It involves radiation exposure and catheterization and is **not an initial diagnostic step** for an acute UTI in a child who has not yet undergone initial workup. The immediate priority is to obtain a sterile urine sample to diagnose the current infection.
Explanation: ***Spontaneous bacterial peritonitis caused by Streptococcus pneumoniae*** - The patient has **nephrotic syndrome** with **significant ascites**, which creates an ideal environment for **spontaneous bacterial peritonitis (SBP)**. - In **pediatric nephrotic syndrome**, there is increased susceptibility to **encapsulated bacteria** due to urinary loss of **immunoglobulins** and **opsonins**, particularly affecting defenses against **Streptococcus pneumoniae**. - **Streptococcus pneumoniae** is the **most common causative organism** for peritonitis and other infections in children with nephrotic syndrome, especially in those with ascites. - The presence of **gross ascites** significantly increases infection risk, making this a critical complication to monitor and treat promptly. *Prophylactic anticoagulation is indicated due to the risk of thromboembolism* - While **nephrotic syndrome** does create a **hypercoagulable state** through urinary loss of antithrombin III, protein C, and protein S, **routine prophylactic anticoagulation is NOT standard practice in pediatric nephrotic syndrome**. - In children, the actual incidence of **thromboembolic events** is **much lower** than in adults with nephrotic syndrome. - Anticoagulation in pediatric patients is typically reserved for **documented thrombosis** or very high-risk situations (severe hypoalbuminemia <1.5 g/dL with additional risk factors, prolonged immobilization), not as routine prophylaxis. *Acute renal failure due to intrinsic renal failure* - The patient's **serum creatinine is normal (0.4 mg/dL)**, indicating **preserved renal function**. - The urinalysis shows only **fatty casts** (characteristic of nephrotic syndrome), without **RBC casts** or significant cellular elements that would suggest **intrinsic renal injury**. - The ultrasound confirms **normal kidney morphology**, making acute intrinsic renal failure unlikely at this presentation. *Microcytic hypochromic anemia responding poorly to oral iron therapy* - **Microcytic hypochromic anemia** is typically associated with **iron deficiency** or thalassemia, neither of which is a characteristic complication of **nephrotic syndrome**. - While patients with nephrotic syndrome may develop anemia, it is typically **normocytic normochromic** (anemia of chronic disease) or related to transferrin loss, not the microcytic hypochromic pattern described. - This is not a primary or expected complication of nephrotic syndrome in children. *Urinary loss of calcium leading to hypocalcemia* - **Nephrotic syndrome** leads to urinary loss of **vitamin D-binding protein**, which reduces bioavailable **25-hydroxyvitamin D** and can affect calcium metabolism indirectly. - However, **direct urinary calcium loss causing symptomatic hypocalcemia** is not a primary complication of nephrotic syndrome. - Total serum calcium may be low due to **hypoalbuminemia** (reduced protein-bound calcium), but **ionized calcium** typically remains normal, so true hypocalcemia requiring treatment is uncommon.
Explanation: ***The absence of testicular enlargement by age of 14 years*** - The first reliable sign of male puberty is an increase in **testicular volume**, typically occurring by age 14. - Absence of this by age 14 years indicates **delayed puberty** in males. *The absence of an adult type of pubic hair distribution by age of 16 years* - While pubic hair development is a sign of puberty, **adult-type distribution** (Tanner stage 5) by age 16 is normal for many. - The definition of delayed puberty in males is typically based on the **absence of any secondary sexual characteristics** by age 14, or more specifically, testicular enlargement. *The absence of linear growth acceleration by age of 13 years* - The pubertal **growth spurt** typically occurs later in puberty, often around 13-14 years in males, following testicular enlargement. - Its absence by age 13 might suggest early delay, but **testicular enlargement** is the primary diagnostic criterion. *Presence of gynecomastia at age of 15 years* - **Gynecomastia** can be a normal, transient finding during puberty due to temporary estrogen-androgen imbalance, not necessarily indicative of delayed puberty. - Its presence doesn't rule out delayed puberty but isn't a direct sign of delay itself. *The absence of penile enlargement by age of 12 years* - **Penile enlargement** typically occurs after testicular enlargement. - The absence of this by age 12 is less specific than **testicular enlargement by age 14** for defining delayed puberty.
Explanation: ***Minimal change disease*** - This patient presents with **generalized edema**, **heavy proteinuria** (4+ protein with fatty casts), and **hypoalbuminemia** (< 2.5 g/dL), classic findings of **nephrotic syndrome**. - **Minimal change disease** is the most common cause of nephrotic syndrome in children, typically presenting between 2 and 6 years of age, matching the patient's age and clinical picture. *Acute glomerulonephritis* - This condition is typically characterized by **hematuria**, **hypertension**, and **mild proteinuria**, often following a streptococcal infection. - The patient's presentation with **massive proteinuria** and absence of hematuria or significant hypertension makes acute glomerulonephritis less likely. *Congestive heart failure* - While CHF can cause edema, it is usually accompanied by signs of **cardiac dysfunction** such as tachycardia, tachypnea, and an enlarged heart on imaging, which are not described. - The primary cause of edema in CHF is **fluid overload** due to impaired cardiac output, not massive proteinuria and hypoalbuminemia as seen here. *Kwashiorkor* - This is a form of **severe protein malnutrition** leading to edema and abdominal distension, often seen in regions with food scarcity. - The clinical context does not suggest malnutrition, and the presence of **heavy proteinuria** points to a renal pathology rather than a primary nutritional deficiency. *Protein-losing enteropathy* - This condition involves excessive protein loss through the **gastrointestinal tract**, leading to hypoalbuminemia and edema. - However, it typically presents with **diarrhea** and malabsorption symptoms, which are not reported in this patient.
Explanation: ***Thyroid dysgenesis*** - The constellation of **poor feeding**, **lethargy**, a **raspy cry**, **scleral icterus**, **enlarged tongue**, **abdominal distension**, **umbilical hernia**, and **decreased muscle tone** in a newborn is highly suggestive of **congenital hypothyroidism**. - **Thyroid dysgenesis** is the most common cause of congenital hypothyroidism, which leads to inadequate thyroid hormone production and consequent developmental and metabolic abnormalities. *α-L-iduronidase deficiency* - This is associated with **Hurler syndrome** (a mucopolysaccharidosis), presenting with coarse facial features, corneal clouding, hepatosplenomegaly, and skeletal deformities but generally not with early neonatal signs like those described. - While it can cause an enlarged tongue and abdominal distension, the **raspy cry** and **prolonged jaundice** are more indicative of hypothyroidism rather than Hurler syndrome at this very early stage. *Chromosome 11p alteration* - This genetic alteration is associated with **Beckwith-Wiedemann syndrome**, characterized by omphalocele, macroglossia, and hemihypertrophy. - While **macroglossia (enlarged tongue)** and **abdominal wall defects (umbilical hernia)** are present, the overall clinical picture, especially the **lethargy**, **poor feeding**, **raspy cry**, **jaundice**, and **hypotonia**, is not typical of Beckwith-Wiedemann syndrome which often presents with overgrowth. *Acid maltase deficiency* - Also known as **Pompe disease** (glycogen storage disease type II), it primarily affects muscle function, causing severe **hypotonia**, **cardiomyopathy**, and **feeding difficulties**. - While **hypotonia** and **feeding difficulties** are present, the combination of **raspy cry**, **prolonged jaundice**, and particularly **enlarged tongue with umbilical hernia** are less characteristic of Pompe disease compared to congenital hypothyroidism. *Trisomy 21* - **Down syndrome** is associated with cardiac defects, characteristic facial features, hypotonia, and intellectual disability. - While **hypotonia** and an **enlarged tongue** can be seen in Down syndrome, **prolonged jaundice**, **raspy cry**, and these specific growth parameters in combination are more classic for congenital hypothyroidism.
Explanation: ***Iron deficiency anemia*** - Preterm infants have **lower iron stores** at birth due to reduced placental transfer in the third trimester. - Their rapid growth rate and exclusive breastfeeding (breast milk has low iron content) further increase their risk of **iron deficiency anemia**. *Hemorrhage* - While preterm infants are at higher risk for certain hemorrhages (e.g., intraventricular hemorrhage), this typically occurs in the **immediate neonatal period** and risk significantly decreases by 2 months of age. - Hemorrhage is not a common long-term complication unique to a 2-month-old preterm infant without additional risk factors. *Scurvy* - Scurvy is caused by **vitamin C deficiency**, which is typically not a concern in breastfed infants as breast milk provides adequate vitamin C. - The primary deficiency risk addressed by supplementation in breastfed infants is vitamin D, not vitamin C. *Subacute combined degeneration* - This condition is caused by **vitamin B12 deficiency**, leading to demyelination of the spinal cord. - While possible in infants of vegan mothers, it is unlikely in a breastfed infant without specific dietary restrictions in the mother. *Intussusception* - Intussusception is a condition where one segment of the intestine telescopes into another, usually occurring between **3 months and 3 years of age**. - It is not specifically linked to prematurity or low birth weight as an increased long-term risk.
Explanation: ***Fine motor: Delayed | Gross motor: Normal | Language: Normal | Social skills: Delayed*** - The child can copy a line (expected at 3 years) and climb stairs and pedal a tricycle (expected for a 3-year-old), indicating **normal gross motor skills**. However, difficulty using a spoon and putting on shoes/socks suggests **delayed fine motor skills**. - Speaking in 2- to 3-word sentences understood by most (expected for 2-3 years) indicates **normal language development**. Being selfish and throwing tantrums (normal for 2-3 years) but not tolerating separation (suggests earlier developmental stage for separation anxiety) point to **delayed social skills**. *Fine motor: Normal | Gross motor: Normal | Language: Delayed | Social skills: Delayed* - This option incorrectly assesses fine motor skills as normal when the child struggles with tasks like using a spoon and dressing herself. - While language and social skills are correctly identified as delayed, the overall assessment of fine motor makes this option incorrect. *Fine motor: Delayed | Gross motor: Delayed | Language: Normal | Social skills: Normal* - This option incorrectly assesses gross motor skills as delayed, despite the child's ability to climb stairs and pedal a tricycle, which are age-appropriate. - It also incorrectly assesses social skills as normal, overlooking the persistent separation anxiety and aggressive social play for her age. *Fine motor: Normal | Gross motor: Delayed | Language: Normal | Social skills: Delayed* - This option incorrectly describes fine motor skills as normal and gross motor skills as delayed. - Her ability to pedal a tricycle and climb stairs indicates age-appropriate gross motor development, while her difficulty with a spoon suggests delayed fine motor skills. *Fine motor: Normal | Gross motor: Delayed | Language: Delayed | Social skills: Normal* - This option incorrectly states that both fine motor and gross motor skills are affected and also mischaracterizes social skills as normal. - The child's language development is within the normal range for a 3-year-old, and her social behavior, particularly the separation anxiety, indicates a delay.
Explanation: ***Intellectual disability*** - The boy's **IQ of 65** falls below the diagnostic threshold of 70 for intellectual disability, and he exhibits **adaptive deficits** in fine motor skills (difficulty eating and dressing) and **developmental delays**. - His **microcephaly (occipitofrontal circumference less than 3rd percentile)** is also associated with certain forms of intellectual disability, further supporting this diagnosis. *Attention deficit hyperactivity disorder* - This condition is characterized by **inattention, hyperactivity, and impulsivity**, none of which are prominently described in the boy's presentation (he listens quietly and engages in normal conversation). - While academic difficulties might occur, **significant adaptive and intellectual delays** as described are not typical primary features of ADHD. *Autism* - Autism spectrum disorder involves persistent deficits in **social communication and interaction** and **restricted, repetitive patterns of behavior, interests, or activities**. - The boy's ability to engage in "normal social conversation" and play with classmates, along with an absence of repetitive behaviors or restricted interests, makes autism less likely. *Obsessive-compulsive disorder* - OCD is characterized by the presence of **obsessions (recurrent, persistent thoughts, urges, or images)** and/or **compulsions (repetitive behaviors or mental acts)**. - The boy's symptoms do not include any mention of obsessions or compulsions. *Tic disorder* - Tic disorders involve **sudden, rapid, recurrent, nonrhythmic motor movements or vocalizations**. - There is no mention of tics in the boy's presentation, making this diagnosis unlikely.
Explanation: ***Duchenne muscular dystrophy*** - The description of a 4-year-old boy with frequent falls and the depicted movements to get up from the floor (Gowers' sign) are classic presentations of **Duchenne muscular dystrophy (DMD)**. - DMD is an **X-linked recessive disorder** characterized by progressive muscle weakness due to the absence of **dystrophin**. *Cerebral palsy* - **Cerebral palsy** is a group of permanent movement disorders that appear in early childhood and is caused by **abnormal brain development or damage**. - While it can manifest with gait abnormalities and falls, it typically involves **spasticity**, ataxia, or dyskinesia, and does not specifically present with Gowers' sign from progressive muscle weakness. *Lambert-Eaton syndrome* - **Lambert-Eaton Myasthenic Syndrome (LEMS)** is an **autoimmune disorder** affecting the neuromuscular junction, leading to weakness that *improves* with repetitive muscle use. - It most commonly affects adults, often in association with **small cell lung cancer**, and is characterized by proximal muscle weakness, not typically in a young child with this specific presentation. *Friedreich ataxia* - **Friedreich ataxia** is an **autosomal recessive neurodegenerative disease** that primarily affects the nervous system and heart. - It presents with progressive gait and limb ataxia, dysarthria, and scoliosis, but not with **Gowers' sign** due to primary muscle weakness, which is specific to muscular dystrophies. *Guillain-Barré syndrome* - **Guillain-Barré syndrome (GBS)** is an acute, typically **post-infectious, autoimmune neuropathy** causing rapid onset of weakness, often ascending paralysis. - It is an acute condition, not a chronic progressive disorder presenting in early childhood with Gowers' sign.
Explanation: ***Work hypertrophy*** - The patient's presentation is consistent with **hereditary spherocytosis**, characterized by **hemolytic anemia**, jaundice, and **splenomegaly**. - **Work hypertrophy** of the spleen's red pulp occurs due to its increased function in removing abnormal, rigid spherocytes from circulation, leading to its enlargement. *Metabolite accumulation* - This typically occurs in **lysosomal storage diseases** where defective enzymes lead to the buildup of specific metabolites within splenic macrophages. - Conditions like **Gaucher disease** or **Niemann-Pick disease** cause splenomegaly through this mechanism, but do not present with spherocytes and hemolytic anemia. *Neoplastic infiltration* - This type of splenomegaly results from the infiltration of the spleen by **malignant cells**, such as in **leukemias** or **lymphomas**. - While neoplastic infiltration can cause anemia, it is generally associated with different peripheral smear findings and systemic symptoms, not hereditary spherocytosis. *Reticuloendothelial hyperplasia* - While related to increased splenic activity, **reticuloendothelial hyperplasia** is a broader term encompassing the proliferation of macrophages and other immune cells in response to chronic infections or certain immune disorders. - In hemolytic anemia, the primary driver of splenic enlargement is the excessive workload of removing red blood cells, which is best described as **work hypertrophy**. *Extramedullary hematopoiesis* - This refers to blood cell production occurring outside the bone marrow, often in the spleen or liver, as a compensatory mechanism in severe **bone marrow failure** or chronic hemolytic states. - While it can contribute to splenomegaly in some chronic hemolytic anemias (e.g., thalassemia major), the primary cause of splenomegaly in hereditary spherocytosis is the *increased destruction* of abnormal RBCs by the spleen.
Explanation: ***Reassurance and follow-up*** - This presents a **superficial infantile hemangioma** (strawberry nevus), a benign vascular tumor appearing shortly after birth - Key features include: red lesion, blanches with pressure, progressive growth during first months of life, soft consistency - Most infantile hemangiomas are **self-resolving** with spontaneous involution typically beginning after 1 year of age - **Observation and reassurance** are appropriate for uncomplicated lesions without functional impairment or significant cosmetic concern - Proliferative phase lasts approximately 6-12 months, followed by gradual involution over several years *Intralesional bevacizumab* - Bevacizumab is an anti-VEGF monoclonal antibody used for certain cancers and macular degeneration - Not a standard treatment for typical infantile hemangiomas - Would only be considered in complex cases unresponsive to first-line therapies *Systemic griseofulvin* - Griseofulvin is an oral antifungal medication for dermatophyte infections of hair, skin, and nails - The lesion's characteristics (red, vascular, blanching) are inconsistent with fungal infection - Sister's fungal foot infection is a **red herring** and not relevant to this patient's diagnosis *Topical ketoconazole* - Ketoconazole is an antifungal agent for superficial fungal infections like tinea capitis or seborrheic dermatitis - The lesion blanches with pressure (indicating vascular nature), ruling out fungal etiology - Not appropriate despite family history of fungal infection *Laser ablation* - Pulsed dye laser may be used for hemangiomas that are ulcerated, in critical locations, or causing functional impairment - Generally reserved for **complicated or resistant cases**, not first-line management - This uncomplicated lesion is expected to resolve spontaneously without intervention
Explanation: ***McCune-Albright syndrome*** - This syndrome presents with the classic triad of **precocious puberty**, **polyostotic fibrous dysplasia** (leading to recurrent fractures), and **café-au-lait spots**. The patient's pubic hair, enlarged breast glands, history of fractures, and hyperpigmented macules fit this description. - It is caused by a **somatic activating mutation** in the *GNAS* gene, leading to overproduction of hormones. *Osteogenesis imperfecta* - This condition is characterized by **brittle bones** and recurrent fractures, but it is typically associated with **blue sclerae**, **hearing loss**, and **dentinogenesis imperfecta**. - It does not cause **precocious puberty** or **pigmented skin lesions**. *Congenital adrenal hyperplasia* - Patients typically present with **virilization** (e.g., precocious pubic hair), but it would also cause **clitoromegaly** and **hyperpigmentation of the genitalia**, along with electrolyte abnormalities depending on the enzyme deficiency. - It is not associated with **recurrent fractures** or **café-au-lait spots**. *Tuberous sclerosis* - This neurocutaneous disorder is characterized by **seizures**, **intellectual disability**, and various skin lesions such as **ash-leaf spots**, **facial angiofibromas**, and **Shagreen patches**. - It does not present with **precocious puberty**, **recurrent fractures**, or the specific type of **hyperpigmented macules** described. *Neurofibromatosis type I* - This condition is associated with numerous **café-au-lait spots** (usually smooth-bordered), **neurofibromas**, axillary and inguinal freckling, and Lisch nodules. - It does not typically cause **precocious puberty** or **recurrent fractures** from fibrous dysplasia.
Explanation: ***Ichthyosis vulgaris*** - This condition is characterized by **dry, scaling skin** that often appears in childhood (around age 5) and progressively worsens, fitting the patient's history. - It is caused by a **mutation in the filaggrin gene**, leading to impaired skin barrier function and increased transepidermal water loss. *Atopic dermatitis* - While it presents with **dry skin and can be severe**, it is typically characterized by **eczematous lesions** (red, inflamed, itchy patches) and a history of allergies or asthma. - The patient describes "dry, scaling skin" without mentioning significant itching or inflammation often seen in atopic dermatitis. *Seborrheic dermatitis* - This condition presents with **greasy, yellowish scales** on areas rich in sebaceous glands, such as the scalp, face, and chest. - It does not typically manifest as widespread dry, scaling skin that progressively worsens throughout childhood. *Miliaria* - Also known as **heat rash** or prickly heat, miliaria results from blocked sweat ducts and manifests as small, itchy bumps or blisters, often in humid conditions. - It is an acute condition and does not present as chronic, progressively worsening dry, scaling skin. *Psoriasis* - Psoriasis typically presents with **well-demarcated, erythematous plaques** covered with silvery scales, often on extensor surfaces like elbows and knees. - While it involves scaling, the description of "dry, scaling skin" that progressively worsens from childhood fits ichthyosis more precisely than the characteristic plaques of psoriasis.
Explanation: ***Builds a tower of 6 cubes*** - At 2 years old, children typically develop fine motor skills enabling them to stack **6 to 7 cubes** to build a tower, demonstrating good hand-eye coordination. - This milestone aligns well with the described cognitive development, such as following multi-step commands and early language acquisition. *Hops on one foot* - **Hopping on one foot** is a gross motor skill usually achieved later, typically around **4 years of age**. - A 2-year-old child is more likely to be developing skills like running, jumping with two feet, or walking up and down stairs. *Engages in role-playing* - While toddlers engage in **imitative play**, true imaginative **role-playing** with complex scenarios and multiple characters typically develops later, around **3 years of age or older**. - At 2, play is often more focused on mimicking observed actions. *Separates easily from parents* - At 2 years old, many children are still experiencing **separation anxiety**, especially in unfamiliar situations. - **Easy separation** from parents is a milestone typically achieved later as children develop more independence and social confidence, often closer to 3 or 4 years of age. *Pedals a tricycle* - **Pedaling a tricycle** requires coordinated gross motor skills, balance, and cognitive understanding that are typically developed around **3 years of age**. - A 2-year-old may be able to sit on a tricycle and push with their feet, but not yet pedal efficiently.
Explanation: ***Measure baseline estradiol levels and perform pelvic ultrasound*** - This patient presents with **precocious puberty** (breast development and pubic hair at age 3). The **low LH response** (<5 IU/L) to GnRH stimulation confirms **peripheral (gonadotropin-independent) precocious puberty**. - In peripheral precocious puberty, sex hormones are produced **autonomously** (independent of pituitary control), which **suppresses** the hypothalamic-pituitary-gonadal axis through negative feedback. - The next step is to **identify the source** of autonomous sex hormone production. **Measuring estradiol levels** confirms elevated estrogen, and **pelvic ultrasound** evaluates for ovarian causes such as **ovarian cysts** or **tumors** (e.g., granulosa cell tumor), which are common causes of peripheral precocious puberty in girls. - Other causes to consider include **McCune-Albright syndrome** (café-au-lait spots, polyostotic fibrous dysplasia) or exogenous estrogen exposure. *Measure FSH levels to evaluate pituitary function* - Measuring FSH is **not helpful** in this clinical context because the low LH response to GnRH stimulation **already indicates** that the pituitary is suppressed. - In peripheral precocious puberty, both LH and FSH are **suppressed** due to negative feedback from peripherally produced sex hormones. Measuring FSH would simply confirm what we already know - that the pituitary axis is not activated. - The priority is to find the **source** of the sex hormones, not to further characterize pituitary suppression. *Perform leuprolide stimulation test to measure testosterone* - Leuprolide is a **GnRH agonist** used to evaluate **central precocious puberty**, where the HPG axis is prematurely activated. - This test is **not indicated** for peripheral precocious puberty, which has already been confirmed by the low LH response. - Additionally, measuring testosterone would not be useful in a female patient presenting with estrogenic signs (breast development). *Calculate LH:FSH ratio from previous GnRH test* - The **LH:FSH ratio** is useful in diagnosing **central precocious puberty**, where an LH-predominant response (LH:FSH ratio >0.6-1.0) is characteristic. - Since the LH response is already **low** (<5 IU/L), confirming peripheral precocious puberty, this ratio would not provide diagnostic value. - The focus should be on investigating the **peripheral source** of sex hormones. *Repeat GnRH stimulation test to confirm LH response* - Repeating the GnRH stimulation test is **unnecessary** when the initial test provides clear results. - The low LH response (<5 IU/L) definitively indicates peripheral precocious puberty, and repeating the test would only delay appropriate diagnostic workup for the underlying cause.
Explanation: **Exocrine pancreatic insufficiency** - The patient's presentation with **failure to thrive**, **bulky, floating stools** (suggestive of **steatorrhea**), abdominal distension, and recurrent sinusitis points strongly towards **cystic fibrosis**. - **Cystic fibrosis** is a genetic disorder causing thick, viscous secretions that obstruct exocrine ducts, most notably in the **pancreas** (leading to malabsorption) and respiratory tract (recurrent infections). *Impaired intestinal amino acid transport* - This condition is typically associated with specific genetic disorders like **Hartnup disease** or **cystinuria**, which primarily affect amino acid absorption without the widespread symptoms seen here. - While it can contribute to nutritional deficiencies, it does not explain the **respiratory symptoms** or the characteristic **fat malabsorption** implied by floating stools. *Mucosal damage from excessive gastric acid* - This might suggest conditions like **Zollinger-Ellison syndrome** or severe GERD, which can cause malabsorption due to inactivation of pancreatic enzymes or damage to the small intestine. - However, it does not account for the **recurrent sinusitis** or the specific type of malabsorption (steatorrhea) typically associated with pancreatic insufficiency. *Intestinal inflammatory reaction to gluten* - This describes **celiac disease**, which presents with **malabsorption**, abdominal distension, and failure to thrive. - However, **celiac disease** is not typically associated with **recurrent sinusitis** or the early-onset, severe growth failure and pulmonary issues often seen in cystic fibrosis. *Small intestine bacterial overgrowth* - SIBO can cause **malabsorption**, abdominal distension, and failure to thrive, but it does not directly lead to **recurrent sinusitis**. - While SIBO can be a complication of other malabsorptive conditions, it is not the primary underlying cause suggested by the comprehensive clinical picture, especially the respiratory component.
Explanation: ***Eruption of mandibular incisors*** - The patient's age (6 months), **drooling**, and **irritability** strongly suggest **teething**, which commonly involves the eruption of the mandibular incisors. - Teething pain and discomfort can be relieved by pacifiers or cuddling, consistent with the patient's presentation. *The rooting reflex* - The **rooting reflex** is a primitive reflex typically present at birth and usually disappears by **4 months of age**; this patient is 6 months old. - Its presence would not explain the current symptoms of irritability and drooling. *Crying on frontal sinus palpation* - **Frontal sinuses** are typically underdeveloped or absent in infants and children until later ages (around 6-10 years old), so their palpation is not clinically relevant in a 6-month-old. - Crying on palpation would only be significant if the sinuses were developed and inflamed, which is unlikely and not indicated by other symptoms. *Closure of the anterior fontanel* - The **anterior fontanel** typically remains open until **12-18 months of age**, allowing for brain growth; abnormal closure at 6 months would be a concerning finding but is not indicated by the drooling and irritability. - Premature closure of the fontanel is usually associated with microcephaly or other cranial abnormalities, not teething symptoms. *Erythema and fluctuance of the submandibular area* - **Erythema** and **fluctuance** in the submandibular area suggest an **infection or abscess**, which would likely be accompanied by fever and other signs of systemic illness not present in this patient. - While teething can cause local inflammation, it does not typically lead to a submandibular abscess without other contributing factors.
Explanation: ***Reassurance*** - The presented symptoms (inconsolable crying lasting hours, resolving spontaneously, in a healthy infant with normal examination) are classic for **infant colic**. Infant colic is a self-limiting condition, and reassurance of the parents is the most appropriate management. - The "rule of threes" for colic includes crying for more than **3 hours a day**, for more than **3 days a week**, for longer than **3 weeks** in an otherwise healthy and well-fed infant. *Administer simethicone* - **Simethicone** is an anti-foaming agent proposed to reduce gas, but studies have not consistently shown it to be effective in treating infant colic. - While generally considered safe, it is not the first-line or most effective intervention for colic. *Perform lumbar puncture* - A **lumbar puncture** is an invasive procedure indicated when there is suspicion of serious CNS infection (e.g., meningitis), which is not supported by the clinical picture here. - The infant is afebrile, well-appearing apart from crying, and has a normal physical examination, making a lumbar puncture unnecessary and potentially harmful. *Administer pantoprazole* - **Pantoprazole** (a proton pump inhibitor) is used to reduce stomach acid in conditions like gastroesophageal reflux disease (GERD). - While GERD can cause crying in infants, the description of crying as "unprovoked" and resolving spontaneously, coupled with normal weight gain and examination, makes GERD less likely and PPI administration unwarranted. *Recommend the use of Gripe water* - **Gripe water** is a combination of herbal remedies (e.g., ginger, fennel, chamomile) and bicarbonate, marketed for colic and gas. - Its efficacy is not scientifically proven, and some formulations may contain alcohol or sugar, making it an unrecommended and potentially unsafe option.
Explanation: ***Remove and prevent the child from exposure to the source of lead*** - The patient's presentation with **hearing loss**, developmental delay (only using two-syllable words), and anemia with **basophilic stippling** and **microcytic hypochromic anemia** strongly suggests **lead poisoning**. The history of living in an old home in Flint, Michigan further supports this, as older homes and the Flint water crisis are known sources of lead exposure. - The most crucial step in managing lead poisoning is to **eliminate the source of lead exposure** to prevent further accumulation and toxicity. *Multivitamins with iron supplementation* - While the patient has **anemia**, the peripheral smear findings of **basophilic stippling** and family history of residence in Flint, Michigan point towards lead intoxication as the underlying cause, not simple iron deficiency. - Iron supplementation alone would not address the **neurotoxic effects** of lead or the root cause of the anemia. *Chelation therapy if the blood lead level is more than 25 µg/dL* - **Chelation therapy** is indicated for significantly elevated blood lead levels, typically above 45 µg/dL, and sometimes considered between 25-44 µg/dL depending on symptoms and clinical context. - However, the **most important initial step** is still to remove the source of lead exposure, as chelation without source removal is less effective and may lead to re-exposure and continued toxicity. *Blood transfusion* - The patient has a **hemoglobin of 9.9 gm%**, which, while anemic, is not critically low enough to warrant immediate blood transfusion unless there are signs of severe symptomatic anemia or hemodynamic instability. - Addressing the **underlying cause (lead poisoning)** and providing supportive care is prioritized over transfusion for this level of anemia. *Treatment for hookworm* - Although hookworm can cause **iron deficiency anemia**, the patient's normal **serum ferritin (150 ng/ml)** and absence of other signs like eosinophilia make hookworm an unlikely cause of her anemia. - The presence of **basophilic stippling** and the history of potential lead exposure strongly point away from hookworm as the primary diagnosis.
Explanation: ***Tanner stage 2*** - The presence of **minimal pubic hair** and **slightly elevated breasts and papillae with enlarged areolas** are characteristic signs of **Tanner stage 2** breast and pubic hair development, respectively. - This stage marks the **earliest physical changes of puberty** in girls, typically starting between ages 8 and 13. *Tanner stage 5* - This stage represents **adult-like development**, with mature breast contour where only the papilla projects (areola recesses to breast contour), and pubic hair extending to the medial thighs. - The patient's presentation clearly indicates she is in an earlier stage of pubertal development. *Tanner stage 1* - This stage describes a **prepubertal state** with no visible breast development (flat chest) and no pubic hair. - This patient already shows clear signs of breast and pubic hair development. *Tanner stage 3* - **Tanner stage 3** involves further enlargement of the breasts and areola, with no separation of the contours, and darker, coarser, and more curled pubic hair covering the mons pubis. - The patient's description of "slightly elevated with enlargement of the areolas" is less advanced than stage 3. *Tanner stage 4* - In **Tanner stage 4**, the areola and papilla form a secondary mound projecting above the rest of the breast, and pubic hair is adult-like but does not extend to the thighs. - This stage is more advanced than the findings described, lacking the specific "secondary mound" of the areola.
Explanation: ***Cerebral edema*** - **Cerebral edema** is a severe and potentially fatal complication of **diabetic ketoacidosis (DKA)** treatment, particularly in children. - It results from a rapid decrease in serum osmolality during treatment, causing water to shift into brain cells. *Intrinsic kidney injury* - While dehydration in DKA can lead to **prerenal acute kidney injury**, **intrinsic kidney injury** is less common as an acute risk directly from DKA treatment in the first 24 hours. - Initial fluid resuscitation often improves renal perfusion, reducing the risk of intrinsic damage unless other predisposing factors are present. *Cognitive impairment* - Cognitive impairment after DKA is more commonly observed in the long term, potentially due to recurrent episodes or severe DKA with cerebral edema. - It is not the most immediate and highest risk acute complication in the short-term (next 24 hours). *Hyperkalemia* - Patients with DKA typically present with **hyperkalemia** due to acidosis and insulin deficiency, which resolves with insulin therapy as potassium shifts back into cells. - The more immediate risk during treatment, especially after initial fluid resuscitation and insulin, is **hypokalemia**, not hyperkalemia, due to the intracellular shift of potassium. *Deep venous thrombosis* - **Dehydration** and **hyperviscosity** associated with DKA can increase the risk of **thrombosis**, but **deep venous thrombosis** is not the highest or most immediate acute risk in the next 24 hours. - **Cerebral edema** is a more specific and life-threatening complication directly related to the treatment of DKA in children.
Explanation: ***No tests are needed*** - The **whitish, non-purulent vaginal discharge** and **moderate mammary enlargement** in a 3-day-old female are normal physiological responses to the withdrawal of maternal hormones after birth. - These transient estrogenic effects typically resolve within the first few weeks of life and require no intervention. *Order a karyotype* - A **karyotype** is indicated when there are ambiguous genitalia or other signs suggestive of a chromosomal abnormality, which are not present here. - The infant's physical exam is otherwise unremarkable, and her presentation is consistent with normal newborn physiology. *Begin a workup for 21-hydroxylase deficiency* - **21-hydroxylase deficiency** is the most common cause of **congenital adrenal hyperplasia (CAH)**, presenting in females with **virilization** (e.g., clitoromegaly, labial fusion), which is not described. - This condition also presents with **salt-wasting crises** or precocious puberty, none of which are evident in this stable infant. *Begin a workup for 11 beta-hydroxylase deficiency* - **11-beta-hydroxylase deficiency** is another form of CAH that, like 21-hydroxylase deficiency, causes **virilization** in females. - It also leads to **hypertension** due to increased deoxycorticosterone, a symptom not mentioned in this normotensive newborn. *Begin a workup for 17 alpha-hydroxylase deficiency* - **17-alpha-hydroxylase deficiency** presents differently, typically causing **lack of pubertal development** and **hypertension** due to mineralocorticoid excess. - In females, it can result in an **XY genotype with female external genitalia** due to impaired androgen synthesis, which is not suggested by the normal female external genitalia described.
Explanation: ***Osgood-Schlatter disease*** - This condition is characterized by **tibial tuberosity swelling** and pain, worsened by activity, in **adolescent males** undergoing rapid growth spurts. - It results from repetitive stress and microtrauma where the **patellar tendon** inserts into the immature **tibial tuberosity**, causing inflammation and bone fragmentation. *Ewing sarcoma* - This is a rare, malignant bone tumor that would present with more severe, persistent pain, often with a **palpable soft tissue mass** and systemic symptoms like fever and weight loss. - It would typically appear as a **lytic lesion** with an **"onion skin" periosteal reaction** on radiographs, not just bilateral tuberosity swelling in an otherwise healthy child. *Paget disease* - This chronic bone disorder primarily affects individuals over 50 years old and involves **abnormal bone remodeling**, leading to enlarged and weakened bones. - It typically doesn't present with isolated tibial tuberosity swelling in adolescents and would involve widespread bone abnormalities. *Osteopetrosis* - This rare genetic disorder is characterized by **abnormally dense bones** due to defective osteoclast function, leading to marrow abnormalities and increased fracture risk. - It would present with diffuse skeletal density, bone fragility, and neurological complications, not localized tibial swelling in an otherwise healthy teenager. *Osteitis fibrosa cystica* - This is a bone pathology associated with **severe hyperparathyroidism**, leading to increased osteoclastic activity, bone resorption, and replacement with fibrous tissue and cysts. - It would manifest with diffuse bone pain, fractures, and elevated parathyroid hormone levels, which are not described in this patient.
Explanation: ***Noncontrast computed tomography of head*** - The combination of **lethargy**, decreased oral intake, irritability, and **bilateral retinal hemorrhages** in an infant strongly suggests **abusive head trauma (shaken baby syndrome)**, requiring urgent neuroimaging to assess for intracranial hemorrhage. - A **noncontrast CT of the head** is the immediate and most appropriate investigation to identify acute intracranial bleeds, such as subdural or subarachnoid hemorrhages, which are common in abusive head trauma. *Bone marrow aspiration* - This procedure is primarily used to diagnose **hematologic malignancies** (e.g., leukemia) or certain storage disorders. - It is not indicated as a first-line investigation for lethargy and retinal hemorrhages, as these symptoms do not specifically point to a bone marrow pathology. *Peripheral blood smear* - A peripheral blood smear is useful for evaluating **anemia**, **thrombocytopenia**, or abnormal cells in the circulation. - While it can help assess for underlying blood disorders, it will not directly diagnose or localize the cause of the suspected intracranial injury. *Lumbar puncture* - A lumbar puncture is used to analyze **cerebrospinal fluid (CSF)**, primarily to diagnose infections like meningitis or encephalitis, or certain inflammatory conditions. - Performing a lumbar puncture in suspected abusive head trauma can be dangerous if there is significant intracranial pressure or a mass lesion, making neuroimaging a necessary prerequisite. *Hemoglobin electrophoresis* - This test is used to detect **hemoglobinopathies** like sickle cell disease or thalassemia. - While useful in specific contexts, there are no symptoms or signs in this case to suggest a hemoglobin disorder.
Explanation: ***65%*** - The patient's presentation of symptoms suggests **moderate persistent asthma**. This is characterized by daily symptoms, nighttime awakenings more than once a week but not nightly, and significant limitation in activity where playing causes struggles. - In moderate persistent asthma, the **peak expiratory flow rate (PEFR)** or forced expiratory volume in 1 second (FEV1) is typically between **60% and 80%** of the predicted value. Therefore, 65% falls within this range. *55%* - A PEFR of 55% would indicate **severe persistent asthma**, which is characterized by continual symptoms throughout the day, frequent nighttime awakenings (often nightly), and extreme limitations in physical activity. - While the patient's asthma is worsening, it does not yet meet the criteria for severe, as he can still perform routine activities without difficulty. *90%* - A PEFR of 90% would be consistent with **intermittent asthma** or **mild persistent asthma** that is very well controlled. - The patient's symptoms, including daily inhaler use, nighttime awakenings, and activity limitations, clearly indicate that his asthma is not well-controlled and is more than mild. *40%* - A PEFR of 40% would suggest an **acute severe asthma exacerbation** or **very severe persistent asthma**. - The patient's symptoms describe increasing frequency and severity, but not an acute, life-threatening exacerbation or such profound chronic lung function impairment. *85%* - A PEFR of 85% would typically be seen in **mild persistent asthma** or intermittent asthma, where symptoms are less frequent and less severe. - The patient's current symptoms, including daily inhaler use and inability to play without significant struggles, are indicative of moderate asthma that is not well controlled.
Explanation: ***Preterm birth*** - The combination of **abnormal crawling**, **inability to sit without support**, **scissoring posture**, **spasticity**, and **periventricular white matter scarring** (periventricular leukomalacia, PVL) are classic signs of **spastic cerebral palsy**. - **Preterm birth** is the most significant risk factor for **PVL** and the subsequent development of spastic cerebral palsy, particularly spastic diplegia. - The **periventricular white matter** in preterm infants (especially <34 weeks, but also late preterm at 34-37 weeks) is highly vulnerable to ischemic injury due to immature vascular development and susceptibility to hypoxic-ischemic insults during the perinatal period. - This infant was born at **36 weeks (late preterm)**, which is a known risk factor for PVL and cerebral palsy. *Antenatal injury* - While brain injury can occur in the antenatal period, the specific finding of **periventricular leukomalacia** is most characteristically associated with **prematurity** and perinatal/early postnatal events rather than purely antenatal injury. - The term "antenatal injury" is too vague and doesn't capture the specific pathophysiology of PVL, which occurs around the time of birth in vulnerable preterm infants. *Genetic defect* - While some forms of cerebral palsy can have a genetic component, the clinical picture here, especially the MRI findings of **periventricular leukomalacia**, strongly points to an acquired brain injury rather than a primary genetic defect. - Genetic conditions typically present with more widespread or specific neurodevelopmental abnormalities, often without the focal periventricular white matter scarring seen in PVL. *Postnatal head trauma* - **Postnatal head trauma** would typically present with a history of injury and more acute neurological deficits or focal lesions on imaging (e.g., subdural hematoma, contusions), rather than the characteristic **periventricular white matter scarring** observed here. - The presentation is consistent with a developmental disorder from perinatal brain injury, not an acute traumatic event from infancy. *Intrapartum asphyxia* - **Intrapartum asphyxia** (hypoxic-ischemic encephalopathy) in term infants characteristically leads to damage in the **deep grey matter** (e.g., basal ganglia, thalamus) and cortex, not primarily **periventricular white matter** as seen here. - The MRI findings of **periventricular leukomalacia** are pathognomonic for **prematurity-related injury**, not term asphyxia.
Explanation: ***Growth hormone therapy*** - This patient's constellation of symptoms, including **obesity**, **short stature**, developmental delay (**1-step instructions, 2-word sentences at age 5**), **cryptorchidism**, and **bone fractures**, is highly suggestive of **Prader-Willi syndrome (PWS).** - **Growth hormone therapy** is the most appropriate next step and is crucial for improving growth, body composition, muscle strength, and bone density in patients with Prader-Willi syndrome. - Growth hormone therapy should be initiated in early childhood and has been shown to significantly improve height, lean body mass, and motor development in PWS patients. - **Note:** While PWS is associated with hypogonadism, testosterone replacement is not initiated at age 5; it is typically reserved for adolescent males approaching puberty. *Levothyroxine* - While **coarse, dry skin** can suggest **hypothyroidism**, the overall clinical picture, including developmental delay, cryptorchidism, hyperphagia with obesity, and short stature, is classic for **Prader-Willi syndrome** rather than primary hypothyroidism. - There are no other clear signs of hypothyroidism such as bradycardia, lethargy, or significant goiter. *Fluoxetine* - **Fluoxetine** is an SSRI that may be used for behavioral issues like hyperphagia, compulsive behaviors, or anxiety often seen in Prader-Willi syndrome, but it does **not address the underlying hormonal deficiencies** or growth failure. - Behavioral management and psychiatric medications are adjunctive but secondary to addressing the growth and metabolic issues with hormone therapy. *Laparoscopic gastric banding* - This is a surgical option for severe, refractory obesity, but it is **not appropriate for a 5-year-old child**, especially not as a first-line treatment for obesity in Prader-Willi syndrome. - The **underlying hormonal and metabolic issues** must be addressed first with growth hormone therapy and dietary management, and such invasive bariatric procedures carry significant risks and are not indicated in young children. *Octreotide* - **Octreotide** is a somatostatin analog used to inhibit growth hormone secretion in conditions like acromegaly or to manage symptoms of neuroendocrine tumors. - In Prader-Willi syndrome, the issue is **growth hormone deficiency**, not excess, making octreotide contraindicated as it would worsen the growth failure.
Explanation: ***Inpatient observation*** - A **nondepressed linear skull fracture** with mild separation and persistent symptoms (headache, agitation) after head trauma warrants **inpatient observation**. - This allows for close neurological monitoring for potential complications like **intracranial hemorrhage** or worsening of symptoms. *Contact child protective services* - The history of falling off a bike, a visible bruise, and a fracture consistent with trauma does not suggest **child abuse**. - There are no other suspicious signs or inconsistencies in the mother's account to raise immediate concerns about neglect or abuse. *CT angiography* - **CT angiography** is used to evaluate the cerebral vasculature and is not indicated in this case, as there is no evidence of vascular injury or dissection. - The primary concern here is the potential for **intracranial bleeding** or evolving neurological compromise, which is best monitored with serial neurological exams and potentially repeat noncontrast CT scans. *Discharge home* - The presence of a **skull fracture**, even if linear and nondepressed, combined with persistent symptoms like headache and agitation makes immediate discharge home unsafe. - There is an increased risk of **epidural hematoma** or other delayed complications that require professional medical monitoring. *MRI of the brain* - **MRI** is more sensitive for detecting subtle brain parenchymal injuries but is not the initial or primary imaging modality for acute head trauma, especially in a child who may require sedation. - An **MRI** would be considered if there were persistent or evolving neurological deficits despite a normal or stable CT scan, or if there is concern for specific soft tissue or white matter injuries that CT cannot adequately assess.
Explanation: ***Fatty casts*** - The patient's symptoms of **periorbital edema**, **pitting edema of lower extremities**, and **frothy urine** are classic for **nephrotic syndrome**, characterized by massive **proteinuria** (>3.5 g/day), **hypoalbuminemia**, **hyperlipidemia**, and **edema**. - **Fatty casts** (also called **oval fat bodies** when in tubular cells) are **pathognomonic for nephrotic syndrome** and result from hyperlipidemia and lipiduria associated with severe proteinuria. - In a **6-year-old child**, the most common cause of nephrotic syndrome is **minimal change disease**. *WBC casts* - **WBC casts** indicate **renal parenchymal inflammation** or **infection**, such as **pyelonephritis**, **acute interstitial nephritis**, or **tubulointerstitial disease**. - These are not characteristic findings in **nephrotic syndrome**, which primarily affects the **glomerular filtration barrier** leading to protein loss rather than inflammatory cell infiltration. *Hyaline casts* - **Hyaline casts** are composed of **Tamm-Horsfall protein** and can be found in **normal urine**, especially with **dehydration**, **exercise**, or **concentrated urine**. - They are **non-specific** and do not indicate significant kidney pathology or nephrotic syndrome. *RBC casts* - **RBC casts** are characteristic of **glomerulonephritis** and **nephritic syndrome** (such as **post-streptococcal glomerulonephritis**), where patients present with **hematuria**, **hypertension**, **mild edema**, and **oliguria**. - While this patient had a **sore throat 12 days ago** (typical timing for post-streptococcal disease), his clinical presentation is clearly **nephrotic** (massive edema, frothy urine, normal blood pressure) rather than **nephritic**, making RBC casts unlikely. - The **frothy urine** indicates significant **proteinuria**, not hematuria. *Muddy brown casts* - **Muddy brown casts** (granular casts with epithelial cell debris) are highly suggestive of **acute tubular necrosis (ATN)**, typically resulting from **ischemic** or **nephrotoxic injury**. - This patient's presentation with **gradual onset edema** and **frothy urine** points to a **glomerular disorder** (nephrotic syndrome), not **acute tubular injury**.
Explanation: ***Exocrine pancreatic insufficiency*** - The constellation of **failure to thrive**, **bulky, foul-smelling, floating stools** (suggesting **steatorrhea**), recurrent **sinusitis**, and **recurrent respiratory symptoms** (snoring, expiratory crackles) is highly indicative of **cystic fibrosis**, whose primary cause of malabsorption is **exocrine pancreatic insufficiency**. - **Cystic fibrosis** leads to thick, viscous secretions that obstruct pancreatic ducts, preventing digestive enzymes from reaching the small intestine and causing **malabsorption of fats and fat-soluble vitamins**. *T. whippelii infiltration of intestinal villi* - This describes **Whipple's disease**, which typically affects **middle-aged men** and presents with malabsorption, arthralgia, and neurological symptoms. - It is rare in children and usually presents with symptoms like diarrhea and weight loss, but not commonly with the **recurrent respiratory infections** and **pancreatic insufficiency** seen here. *Impaired intestinal amino acid transport* - This typically refers to conditions like **Hartnup disease**, which involves defective transport of neutral amino acids and can lead to **pellagra-like symptoms** (dermatitis, diarrhea, dementia) due to niacin deficiency. - This condition does not explain the **steatorrhea**, **recurrent sinusitis**, or **respiratory symptoms** found in the patient. *Small intestine bacterial overgrowth* - While **SIBO** can cause malabsorption, **abdominal distention**, and loose stools, it does not typically cause **recurrent sinusitis** or the classic **bulky, foul-smelling, floating stools associated with pancreatic insufficiency**. - SIBO is also not a primary cause of **failure to thrive** in a global sense, but rather a secondary complication. *Intestinal inflammatory reaction to gluten* - This describes **celiac disease**, which presents with **malabsorption**, **abdominal distention**, **failure to thrive**, and **anemia** (pale conjunctivae). - However, celiac disease does not typically cause **recurrent sinusitis** or the **respiratory symptoms** (snoring, crackles) that are prominent in this patient's presentation.
Explanation: ***Osgood-Schlatter disease*** - Characterized by **tenderness at the tibial tuberosity** and occurs in active adolescents, emphasizing the connection with sports. - Often accompanied by **knee pain during activities** like running and climbing stairs, which aligns with the patient's symptoms. *Patellar tendonitis* - Usually presents with **anterior knee pain** that worsens with jumping or running, but lacks tenderness at the **tibial tuberosity**. - More common in older adolescents or adults, particularly those engaged in sports that involve **jumping**. *Tibial plateau fracture* - Would typically present with **swelling, significant pain**, and possible instability, particularly after trauma, unlike this patient's ongoing symptoms. - Not typically associated with **tenderness at the tibial tuberosity**, which is a classic finding in Osgood-Schlatter disease. *Patellofemoral pain syndrome* - Main symptom includes pain around the **kneecap** during activities, but rarely highlights **tenderness at the tibial tuberosity**. - Often associated with **malalignment** or muscle weakness rather than a specific bony tenderness. *Pes anserine bursitis* - Symptoms include pain on the **medial aspect of the knee**, often with tenderness over the site of the bursa rather than the **tibial tuberosity**. - Typically more common in middle-aged adults than in active adolescents.
Explanation: ***Loss of purposeful use of her hands*** - The constellation of symptoms—**normal development up to 6 months**, followed by **developmental regression** (loss of playfulness, poor social interaction, poor eye contact), **deceleration in head circumference**, **hypotonia**, and **repetitive hand-wringing motions**—is highly suggestive of **Rett syndrome**. - A hallmark feature of Rett syndrome is the **loss of purposeful hand skills**, which typically occurs between 1 to 4 years of age, replaced by characteristic hand stereotypies like wringing or clapping. *Hemiparesis* - **Hemiparesis** is characterized by weakness on one side of the body and is not a typical feature of Rett syndrome. - While some neurological issues occur, unilateral weakness is more indicative of focal neurological injury rather than this diffuse neurodevelopmental disorder. *Intention tremor* - **Intention tremor** is a type of dyskinesia that worsens during voluntary movement and is often associated with cerebellar dysfunction. - While motor difficulties are prominent in Rett syndrome, **ataxia** and **apraxia** are more characteristic than a predominant intention tremor. *Absence seizures* - **Absence seizures** involve brief, sudden lapses of consciousness and are a type of generalized epilepsy. - Although seizures are common in Rett syndrome, **generalized tonic-clonic seizures** or **focal seizures** are more frequently observed than isolated absence seizures. *Sensorineural deafness* - **Sensorineural deafness** implies damage to the inner ear or auditory nerve, resulting in permanent hearing loss. - While communication difficulties are significant in Rett syndrome, they are due to speech apraxia and cognitive impairment, not primary hearing loss.
Explanation: ***Increased RDW and TIBC*** - The patient presents with **conjunctival pallor**, fatigue, and snoring, falling in the 15th percentile for height and 70th for weight, suggesting **iron deficiency anemia**. Anemia would cause an **increased red cell distribution width (RDW)** as red blood cells vary in size, and **increased total iron-binding capacity (TIBC)** as the body tries to maximize iron absorption. - While other signs of mild anemia like glossitis or pica are not explicitly mentioned, the combination of symptoms and the common prevalence of **iron-deficiency anemia** in children due to inadequate dietary intake or rapid growth phases supports this finding. Prolonged milk intake can inhibit iron absorption. *Decreased IGF levels* - **Insulin-like growth factor (IGF) levels** are primarily associated with growth hormone deficiency or severe malnutrition, which is not strongly indicated here. The patient's height is at the 15th percentile, which is *small*, but within the normal range, and his weight is at the 70th percentile, indicating he is not severely malnourished. - While fatigue and small stature can be associated with growth disorders, the overall presentation with pallor points more distinctly towards an alternative diagnosis like **anemia** rather than growth hormone axis dysfunction. *Decreased oxygen saturation when the patient sleeps* - The patient's snoring could suggest **sleep-disordered breathing** or **sleep apnea**, leading to decreased oxygen saturation during sleep. - However, based on the *conjunctival pallor*, fatigue, and growth concerns, **iron deficiency anemia** is a more prominent diagnosis, and while sleep apnea is possible, direct evidence of desaturation is not provided. *Increased MCV* - An **increased MCV (macrocytic anemia)** is characteristic of deficiencies in **vitamin B12** or **folate**. - The patient's symptoms, particularly conjunctival pallor and fatigue, are more consistent with a **microcytic anemia** (decreased MCV), often caused by **iron deficiency**, rather than a macrocytic one. *Decreased vitamin D level* - While **fatigue** can be a symptom of **vitamin D deficiency**, the more prominent findings of **conjunctival pallor** and height/weight percentiles are less directly indicative of this specific deficiency as the primary diagnosis. - The patient's diet includes milk and fruit, which are typically fortified or contain vitamin D, making a severe deficiency less likely to be the primary cause of his symptoms, though a mild deficiency cannot be ruled out without specific lab results.
Explanation: ***Legg-Calve-Perthes disease*** - The presentation of an 8-year-old boy with a **painless limp** that has been present for 6 months, along with **decreased range of motion of the left hip**, is highly suggestive of Legg-Calve-Perthes disease. - This condition involves **avascular necrosis of the femoral head** and typically affects children between ages 4 and 10, often presenting with a chronic limp and hip pain (or referred knee pain) without acute trauma. *Developmental dysplasia of the hip* - This condition is usually diagnosed in **infancy or early childhood** due to hip instability or asymmetry. - It is unlikely to present as an insidious limp at age 8 without prior diagnosis. *Pelvic fracture* - A pelvic fracture would typically present with **acute pain** and a clear history of **trauma**, which is not described in this patient. - The absence of significant tenderness, erythema, edema, or warmth also argues against an acute injury. *Viral-induced synovitis* - Viral-induced (or transient) synovitis is usually an **acute condition** characterized by pain, limp, and often a recent viral illness, but symptoms generally resolve within a few weeks. - A 6-month history of limping is too prolonged for transient synovitis. *Slipped capital femoral epiphysis* - Slipped capital femoral epiphysis (SCFE) typically occurs in **adolescent children** (often overweight) during growth spurts, usually between ages 10 and 16. - While it can cause a limp and hip pain, the patient's age (8 years old) and healthy BMI make SCFE less likely.
Explanation: ***McCune-Albright syndrome*** - This syndrome is characterized by the classic triad of **peripheral precocious puberty**, **café-au-lait spots**, and **polyostotic fibrous dysplasia**. - The key diagnostic finding is **lack of LH response to GnRH agonist stimulation**, indicating **peripheral (GnRH-independent) precocious puberty** caused by activating mutations in the GNAS1 gene, leading to autonomous ovarian estrogen production. - The presentation of **isolated peripheral precocious puberty** with breast development, pubic/axillary hair, and advanced bone age (10 years in a 7-year-old) in the absence of a palpable ovarian mass is most consistent with McCune-Albright syndrome. - While café-au-lait spots and fibrous dysplasia are not mentioned in the stem, **not all features of the triad need to be present simultaneously**, and precocious puberty may be the presenting feature. *Ovarian fibroma* - Ovarian fibromas are **non-functional benign tumors** that do not produce hormones and therefore do not cause precocious puberty or estrogenic effects. - They typically occur in older women and present with pelvic symptoms or as incidental findings, not with endocrine abnormalities. *Congenital adrenal hyperplasia* - CAH causes excessive **androgen production**, leading to **virilization** (clitoromegaly, hirsutism, acne) rather than estrogenic effects. - While CAH can cause pubic/axillary hair and advanced bone age, it would **not cause breast development** and would typically present with **ambiguous genitalia or clitoromegaly**, which are absent in this patient. *Hypothalamic glioma* - Hypothalamic lesions cause **central (GnRH-dependent) precocious puberty** by premature activation of the hypothalamic-pituitary-gonadal axis. - In central precocious puberty, there would be a **robust increase in LH levels** following GnRH agonist administration, which is **not seen in this patient**. - The lack of LH response rules out any central cause of precocious puberty. *Granulosa cell tumor* - Granulosa cell tumors are **estrogen-secreting ovarian tumors** that can cause peripheral precocious puberty with breast development and advanced bone age. - However, these tumors typically present as a **palpable pelvic or abdominal mass** on examination, which is not described in this case. - They are also extremely rare in prepubertal girls and would more commonly be detected on imaging or physical exam before causing advanced pubertal changes.
Explanation: ***Brain magnetic resonance imaging (MRI)*** - The constellation of **precocious puberty** (breast development, pubic and axillary hair, advanced bone age) and **elevated FSH and LH levels** in a 6-year-old girl indicates central precocious puberty, which is often caused by a CNS lesion. - **Brain MRI is the gold standard imaging** to rule out **hypothalamic hamartomas**, **gliomas**, **craniopharyngiomas**, or other structural abnormalities of the **hypothalamic-pituitary axis**. - MRI provides superior soft tissue resolution without radiation exposure, making it the preferred modality in children. *Pelvic ultrasound* - A pelvic ultrasound is primarily used to evaluate **gonadal tumors** or cysts in cases of **peripheral precocious puberty**, where FSH and LH levels would be suppressed. - Given the elevated FSH and LH, the puberty is central (gonadotropin-dependent), making CNS imaging more appropriate than ovarian imaging. *Estrogen levels* - While estrogen levels would certainly be elevated in this patient, measuring them would confirm sexual precocity but would not differentiate between **central** and **peripheral precocious puberty**. - The **elevated FSH and LH levels** already indicate active gonadal stimulation, making direct estrogen measurement less informative for pinpointing the etiology. *17-hydroxyprogesterone levels* - Elevated 17-hydroxyprogesterone levels are indicative of **congenital adrenal hyperplasia (CAH)**, particularly the 21-hydroxylase deficiency. - CAH typically causes signs of **virilization** (e.g., clitoromegaly) but not breast development, and would not cause elevated FSH and LH levels. *Dehydroepiandrosterone sulfate levels* - Elevated DHEAS levels suggest an **adrenal source of androgens**, which could contribute to **pubic and axillary hair growth** (adrenarche). - However, DHEAS elevation alone would not explain the **breast development** and **elevated gonadotropins**, which point towards central precocious puberty.
Explanation: ***Reassurance*** - The blue-brown patches are most consistent with **Mongolian spots (congenital dermal melanocytosis)**, which are benign, flat, and typically resolve spontaneously. The presence since birth, characteristic location (lumbosacral region, buttocks), and non-tender nature are classic findings. - Given the features, the infant's health, and appropriate development, **reassurance** to the guardian is the best next step, as no medical intervention or further diagnostic work-up is usually needed for these benign lesions. *Radiographic skeletal survey* - A **radiographic skeletal survey** is indicated when there are concerns for **child abuse** (e.g., fractures, periosteal reactions) or certain genetic conditions, especially when cutaneous findings are atypical or suggest a syndrome. - In this case, the skin lesions are characteristic of benign Mongolian spots, and there are no other signs of abuse (e.g., pain, swelling, ecchymoses) or developmental delays that would warrant a skeletal survey. *Skin biopsy* - A **skin biopsy** is typically performed to definitively diagnose skin conditions when the clinical presentation is atypical, when there's concern for malignancy, or when inflammatory conditions need differentiation. - Mongolian spots have a characteristic appearance that usually does not require a biopsy for diagnosis; it would be an **unnecessary invasive procedure** for a benign condition. *Inform child protective services* - **Child protective services (CPS)** should be informed if there is a **reasonable suspicion of child abuse or neglect**. While the child is currently in protective services due to a prior history, the current skin findings are benign Mongolian spots and do not themselves indicate new abuse. - Informing CPS again based solely on these benign birthmarks would be inappropriate and potentially burdensome without additional signs of harm. *Topical hydrocortisone cream* - **Topical hydrocortisone cream** is a low-potency corticosteroid used to treat inflammatory skin conditions like eczema or dermatitis, reducing redness, itching, and swelling. - Mongolian spots are **pigmentary lesions**, not inflammatory. Therefore, corticosteroids would be ineffective and unnecessary for their treatment.
Explanation: ***Topical emollient*** - The infant presents with symptoms highly suggestive of **atopic dermatitis** (**eczema**), including a pruritic rash, characteristic distribution (face and extensor surfaces), dry scaly patches, and a family history of atopy (father with **asthma**). - **Emollients** are crucial for restoring the skin barrier, reducing dryness, and alleviating pruritus, serving as the first-line and foundational treatment for atopic dermatitis. *Oral acyclovir* - **Acyclovir** is an antiviral medication used to treat herpes simplex virus infections, such as **eczema herpeticum**. - There is no indication of a viral infection (e.g., vesicles, fever, signs of disseminated infection) in this case to warrant antiviral therapy. *Oral vitamin A* - **Vitamin A** deficiency can cause dry skin and hyperkeratosis, but it is not the primary cause of widespread eczematous rash in a well-nourished infant. - There is no evidence suggesting **vitamin A deficiency** in this patient, and supplementation is not a treatment for atopic dermatitis. *Tar-containing shampoo* - **Tar-containing shampoos** are primarily used for scalp conditions like **seborrheic dermatitis** or **psoriasis**, to help reduce scaling and inflammation. - The rash is generalized on the face and extensor surfaces, not limited to the scalp, and the infant's condition is more consistent with atopic dermatitis than these other conditions. *Topical coal tar* - **Topical coal tar** preparations are sometimes used in chronic, lichenified atopic dermatitis or psoriasis due to their anti-inflammatory and antiproliferative effects. - However, they can be irritating, stain clothing, and are generally not the first-line treatment for a 5-month-old infant with widespread acute eczema; emollients and often topical corticosteroids are preferred initially.
Explanation: ***Infantile colic*** - This infant meets the clinical criteria for infantile colic with **paroxysmal crying episodes** (20-30 minutes, up to 4 times daily = 80-120 minutes/day) that are **difficult to console** and have a characteristic **evening predominance**. - Key diagnostic features present: occurs in an otherwise **healthy, thriving infant** (normal growth, feeding, and physical exam), crying is **difficult to console** (only calms in infant swing), and episodes **cluster in the early evening** - all hallmark features of colic. - While the strict Wessel criteria specify "at least 3 hours per day," the **Rome IV criteria** emphasize the paroxysmal, inconsolable nature and characteristic timing pattern, which this infant clearly demonstrates. - Colic typically begins around **2-3 weeks of age**, peaks at **6 weeks**, and resolves by **3-4 months** in most infants. *Normal infant crying* - Normal infant crying is typically **easily consolable** with routine soothing measures (feeding, diaper change, holding). - This infant's crying is **difficult to console** (parents tried multiple methods, only responds to infant swing) and has the characteristic **evening clustering** seen in colic, not normal crying patterns. - The paroxysmal nature and predictable timing (before feeds, early evening) suggest a pathological pattern beyond normal crying. *Milk protein allergy* - Would typically present with **bloody or mucousy stools**, eczema, vomiting, or poor weight gain. - This infant has normal **seedy yellow stools** (typical for breastfed babies), excellent weight gain (70th percentile), and no skin or GI manifestations of allergy. *Constipation* - Characterized by **infrequent, hard stools** (less than once per day in exclusively breastfed infants). - This infant passes **4-5 loose, seedy yellow stools per day**, which is completely normal for an exclusively breastfed 1-month-old. *Gastroesophageal reflux disease* - Would typically present with **frequent spitting up or vomiting**, irritability during/after feeds, arching, or poor weight gain. - This infant has **no reported vomiting**, feeds well for 30 minutes at each session, and has **excellent weight gain** (70th percentile), making GERD unlikely.
Explanation: ***Duchenne muscular dystrophy*** - The patient's presentation with **delayed walking**, **progressive muscle weakness** (manifesting as difficulty getting up from the floor, i.e., **Gowers' sign**), and the genetic finding of a **significant dystrophin gene deletion** are classic for Duchenne muscular dystrophy (DMD). - DMD is caused by **out-of-frame deletions** or mutations that result in the **complete absence of functional dystrophin protein**, leading to severe, early-onset muscle weakness. - DMD is an **X-linked recessive** condition, explaining the maternal family history of similar symptoms in boys, as only males are typically affected. *Limb-girdle muscular dystrophy* - This group of disorders also causes progressive muscle weakness, primarily affecting the **proximal muscles** of the shoulders and hips. - However, these are caused by mutations in genes **other than dystrophin**, and the **specific dystrophin gene deletion** found in this patient points definitively to DMD rather than limb-girdle muscular dystrophy. *Becker muscular dystrophy* - Becker muscular dystrophy (BMD) is also caused by mutations in the **dystrophin gene**, but typically involves **in-frame deletions** that produce a **shortened but partially functional** dystrophin protein. - The **significant deletion** described in this case, combined with the **severe, early-onset presentation** (weakness at age 3, delayed walking), indicates complete loss of dystrophin function characteristic of DMD, not the milder BMD which typically presents later (age 5-15) with slower progression. *Myotonic muscular dystrophy* - This condition is characterized by **myotonia** (delayed muscle relaxation) and a multisystemic presentation, often including **facial weakness**, **cataracts**, and cardiac conduction abnormalities. - It is caused by a **trinucleotide repeat expansion**, not a dystrophin gene deletion, and none of the key features of myotonic dystrophy are described in this patient's presentation. *Emery-Dreifuss muscular dystrophy* - Emery-Dreifuss muscular dystrophy (EDMD) is characterized by a classic triad of **early contractures** (elbows, ankles, neck), **progressive muscle weakness** (especially in the humeroperoneal distribution), and **cardiac involvement** (e.g., conduction defects). - While some forms of EDMD can involve genes related to the dystrophin-associated protein complex, the **dystrophin gene deletion** itself is specific to DMD/BMD, and this patient lacks the characteristic early contractures and cardiac findings of EDMD.
Explanation: ***Aortic insufficiency*** - The patient's features, including **short stature**, **low-set hairline**, **widely spaced nipples**, **high-arched palate**, and **hand edema**, are classic for **Turner syndrome (45,XO)**. - Individuals with Turner syndrome are at significantly increased risk of **cardiovascular anomalies**, particularly **bicuspid aortic valve** and **coarctation of the aorta**, which can both lead to **aortic insufficiency** and hypertension. *Precocious puberty* - **Precocious puberty** involves the premature onset of puberty, which is not suggested by the patient's **Tanner stage 1 breast development**, indicating **absent breast development**. - Girls with Turner syndrome typically experience **delayed or absent puberty** due to gonadal dysgenesis and **ovarian failure**. *Acute lymphoblastic leukemia* - While chromosomal abnormalities can increase cancer risk, there is no strong, direct association between **Turner syndrome** and an increased risk of **acute lymphoblastic leukemia (ALL)** specifically. - The presenting symptoms do not point towards hematological malignancy, which would involve signs like **fatigue**, **bruising**, or **recurrent infections**. *Ectopia lentis* - **Ectopia lentis**, or displaced lens, is a hallmark feature of conditions like **Marfan syndrome** and **homocystinuria**, not typically associated with Turner syndrome. - There are no other features of connective tissue disorders presented in the patient's clinical picture. *Renal cell carcinoma* - While individuals with Turner syndrome can have a higher incidence of **renal anomalies**, such as **horseshoe kidney** or **duplex collecting systems**, there is no specific increased risk of **renal cell carcinoma** directly linked to the syndrome. - The high blood pressure in this patient is more attributable to **cardiovascular defects** like coarctation of the aorta.
Explanation: ***Temporal lobe spikes on EEG*** - The description of staring spells, lip smacking, post-ictal confusion, and the duration of 1-2 minutes are highly suggestive of **temporal lobe epilepsy**, specifically **focal seizures with impaired awareness**. - **EEG** is the gold standard for diagnosing epilepsy and would likely show characteristic **epileptiform discharges** or spikes originating from the temporal lobe. *Defiant behavior towards figures of authority* - This symptom is suggestive of oppositional defiant disorder or conduct disorder, which are **behavioral disorders** and not typically associated with the described seizure activity. - While a child with epilepsy might experience behavioral changes, isolated defiant behavior is not the primary expected finding for the described episodes. *Conductive hearing loss on audiometry* - Conductive hearing loss is a result of problems in the outer or middle ear and would be suggested by a history of **recurrent otitis media** or other ear pathology. - Although the patient had otitis media previously, his current symptoms of "daydreaming" and lip smacking are neurological, not indicative of hearing impairment. *Impairment in communication and social interaction* - This constellation of symptoms, along with repetitive behaviors, is characteristic of **autism spectrum disorder**. - The described episodes are acute, paroxysmal events with a distinct post-ictal phase, making a developmental disorder less likely to be the primary finding for these specific occurrences. *Normal neurodevelopment* - While the patient's past medical history is otherwise unremarkable, the presence of these "daydreaming" or staring spells with associated motor phenomena (lip smacking) and post-ictal confusion indicates an **abnormal neurological event** (seizure). - Therefore, further evaluation would likely reveal an underlying neurological abnormality rather than completely normal neurodevelopment.
Explanation: ***Leuprolide therapy*** - This patient presents with **central precocious puberty** (CPP), indicated by elevated **basal LH and FSH levels** in the context of advanced bone age, Tanner stage 3 pubic hair, and Tanner stage 2 testicular development at a young age. - **Leuprolide** is a GnRH analog that, when given continuously, downregulates the pituitary's GnRH receptors, suppressing gonadotropin release and halting pubertal progression. This is the appropriate treatment for CPP. *Testicular ultrasound* - While useful for evaluating testicular size and consistency, it is typically performed when there is suspicion of **peripheral precocious puberty** (e.g., Leydig cell tumor) with low LH/FSH or significant testicular asymmetry, which is not the primary presentation here. - The elevated basal LH and FSH values indicate a **central origin** of puberty, making a testicular ultrasound less immediately relevant as a *next step* compared to directly addressing the central hormonal drive. *Cortisol supplementation* - This would be indicated for conditions causing **adrenal insufficiency**, such as **congenital adrenal hyperplasia (CAH)** with salt-wasting or Addison's disease. - CAH typically presents with virilization and advanced bone age but would show **low LH/FSH** (due to peripheral androgen excess) and elevated adrenal androgens (e.g., DHEA-S, 17-hydroxyprogesterone), which are not described. *Radiation therapy* - This is a treatment for **malignant tumors**, often used in cases of brain tumors. - The MRI of the brain showed **no abnormalities**, ruling out a pituitary or hypothalamic tumor as the cause of CPP in this case, thus making radiation therapy inappropriate. *Observation* - **Observation** alone is inappropriate given the significant **advancement of bone age** (10 years in a 7-year-old) and clear signs of central precocious puberty. - Untreated CPP can lead to **compromised adult height potential** due to premature epiphyseal fusion and psychosocial issues, necessitating intervention.
Explanation: ***8*** - The assessment breaks down as: **Appearance** (pink body with blue extremities/acrocyanosis) = 1 point; **Pulse** (128 bpm, >100) = 2 points; **Grimace** (crying vigorously in response to discomfort) = 2 points; **Activity** (slight movement but remains largely flexed) = 1 point; **Respiration** (crying vigorously) = 2 points. Total = **8**. - An APGAR score of 8-10 is considered **normal** and indicates a healthy newborn with only minor deductions (in this case, acrocyanosis which is common and benign). *7* - A score of 7 would require one fewer point, such as only 1 point for **Respiration** (weak cry or slow breathing) instead of 2 points. - The infant's **vigorous crying** clearly merits 2 points for respiration, not 1, making a score of 7 incorrect. *9* - A score of 9 would require either fully pink appearance (2 points for Appearance) or active movement against resistance (2 points for Activity). - The infant's **acrocyanosis** (blue extremities) limits Appearance to 1 point, and **limited activity** (largely flexed with only slight movement) prevents a score of 9. *5* - A score of 5 suggests moderate distress with significantly lower scores across multiple categories. - The infant's strong pulse (2 points), vigorous crying (2 points each for Grimace and Respiration), and reasonable activity contradict an APGAR score of 5. *6* - A score of 6 would imply lower scores in at least two categories compared to the given findings. - The infant's excellent cardiovascular (pulse 128 bpm = 2 points) and respiratory status (vigorous cry = 2 points) make a score of 6 too low.
Explanation: ***Medulloblastoma*** - The constellation of **early morning headaches**, **nausea/vomiting**, **papilledema** (swelling of the optic disc), **ataxia** (difficulty walking, broad-based gait, impaired tandem gait), and **cranial nerve palsy** (esotropia from abducens nerve dysfunction) in a young child strongly indicates increased intracranial pressure secondary to a posterior fossa tumor. **Medulloblastoma** is the most common malignant posterior fossa tumor in children. - The location in the **cerebellum** explains the gait abnormalities (ataxia), and its rapid growth often leads to **hydrocephalus** and raised ICP symptoms. *Schwannoma* - **Schwannomas** typically arise from cranial nerves (most commonly the vestibular nerve, causing acoustic neuromas) and are rare in children. - They tend to be **slow-growing** and usually present with localized symptoms like hearing loss or facial nerve weakness, rather than diffuse signs of increased ICP and ataxia. *Optic glioma* - **Optic gliomas** arise from the optic nerve and primarily cause **vision loss**, proptosis, and strabismus. - While they can cause hydrocephalus if large and compressive, they typically do not cause pronounced cerebellar signs like ataxia, and primary presentation with early morning headaches and vomiting would be less common than vision issues. *Meningioma* - **Meningiomas** are typically **benign tumors** arising from the meninges that are rare in children and usually occur in older adults. - They are slow-growing and often present with focal neurological deficits related to their location, but they are an improbable diagnosis given the age and constellation of rapidly developing symptoms of increased ICP and cerebellar dysfunction. *Hemangioblastoma* - **Hemangioblastomas** are vascular tumors, often associated with **von Hippel-Lindau disease**, and are typically found in the cerebellum, brainstem, or spinal cord. - While they can cause cerebellar symptoms and increased ICP, they are more commonly seen in **adults** and are much rarer than medulloblastomas in children of this age.
Explanation: ***Kallmann syndrome*** - This patient's presentation with **anosmia/hyposmia** (implied by poor hygiene and lack of awareness of body odor), **delayed puberty** (Tanner stage 1 at 15 years old, small testicular volume), and a history of **cryptorchidism** and **cleft palate** is highly suggestive of Kallmann syndrome. - Kallmann syndrome is a form of **congenital hypogonadotropic hypogonadism** characterized by a deficiency in **GnRH** migration and function, leading to impaired sexual development and a lack of olfactory bulb development. *Constitutional delay of puberty* - While constitutional delay also presents with delayed puberty, it typically does **not include associated congenital anomalies** like cryptorchidism or cleft palate, nor does it present with features suggestive of anosmia. - Children with constitutional delay often have a family history of delayed puberty, and their **growth deceleration** is usually less pronounced and still follows a growth curve. *Hyperprolactinemia* - **Hyperprolactinemia** causes hypogonadism by inhibiting GnRH, leading to delayed puberty, but it is not associated with **anosmia**, **cryptorchidism**, or **cleft palate**. - It would typically be investigated if central nervous system symptoms like **headaches** or **visual field defects** were present, or in the context of certain medications. *Hypothyroidism* - **Hypothyroidism** can cause delayed puberty and growth deceleration, but it is not associated with **anosmia**, **cryptorchidism**, or **cleft palate**. - Other classic symptoms of hypothyroidism, such as **fatigue, weight gain, cold intolerance, and constipation**, are not mentioned. *Primary hypogonadism* - **Primary hypogonadism** (e.g., Klinefelter syndrome) would present with elevated gonadotropins (LH and FSH) due to testicular failure, unlike the hypogonadotropic hypogonadism seen in Kallmann syndrome. - While cryptorchidism can lead to primary hypogonadism, the additional features of **anosmia/hyposmia** and **cleft palate** point specifically to Kallmann syndrome.
Explanation: ***Skeletal survey in 2 weeks*** - A repeat **skeletal survey in 2 weeks** is the most appropriate next step in suspected child abuse cases with an initial normal survey, as it allows for the detection of **healing fractures** that may not be apparent immediately after injury. - New bone formation and callus development around a fracture site become radiographically visible after approximately 7 to 14 days, improving the detection rate of subtle or undisplaced fractures. *Bedside ultrasonography* - While **ultrasonography** can detect acute fractures, especially in cartilage and non-ossified bones, its utility in a comprehensive assessment for multiple non-displaced rib fractures as part of a child abuse workup is limited. - It is highly **operator-dependent** and may not provide the full skeletal overview required in suspected child abuse. *Magnetic resonance imaging* - **MRI** is excellent for evaluating soft tissue injuries, bone marrow edema, and non-ossified cartilaginous structures. However, it is not the primary imaging modality for detecting acute or subacute fractures of ossified bone and requires **sedation** in infants, making it less practical for routine skeletal screening. - The **high cost** and limited availability of MRI also make it less suitable as a first-line diagnostic tool for rib fractures in this context. *Babygram* - A **babygram** is a single large radiograph of an infant's entire body, often used to rapidly assess for gross developmental anomalies or immediate concerns. - It provides **less detailed imaging** of individual bones compared to a standard skeletal survey and is insufficient for reliably detecting subtle or non-displaced rib fractures. *Chest computed tomography scan* - A **chest CT scan** is highly sensitive for detecting acute rib fractures, even subtle ones. However, it exposes the infant to **significant radiation** and is usually reserved for specific clinical indications, such as suspected internal organ injury, rather than as a primary screening tool for rib fractures in child abuse in an otherwise stable patient. - It does not provide a comprehensive view of the entire skeleton, which is crucial for identifying other potential abuse-related injuries elsewhere.
Explanation: ***Tuberous sclerosis*** - The combination of **abdominal mass/tenderness** (suggesting **renal angiomyolipoma**), **pink urine** (indicating **hematuria**), **seizures**, developmental/behavioral issues (poor school performance), **hypopigmented macules** (ash-leaf spots), and a **raised plaque of rough, dimpled skin** (shagreen patch) is highly characteristic of tuberous sclerosis. - Tuberous sclerosis is a **neurocutaneous disorder** with highly variable manifestations, including **benign tumors** in many organs (e.g., brain, kidneys, heart, skin, lungs). *Von Hippel–Lindau disease* - This is an **autosomal dominant disorder** characterized by **hemangioblastomas** of the retina, cerebellum, and spinal cord; **renal cell carcinoma**; and **pheochromocytomas**. - While it can cause renal masses and hematuria, the absence of cutaneous findings like ash-leaf spots and shagreen patches, and the specific history of seizures and developmental issues, make it less likely. *Sturge-Weber syndrome* - Characterized by a **port-wine stain** (facial cutaneous angioma), **leptomeningeal angioma** (leading to seizures, intellectual disability), and **ocular involvement** (glaucoma). - The patient does not present with a port-wine stain or the specific neurologic findings associated with leptomeningeal angiomas. *Neurofibromatosis type 1* - Characterized by **café-au-lait spots**, **axillary/groin freckling**, **neurofibromas**, **Lisch nodules** (iris hamartomas), and optic pathway gliomas. - While seizures can occur, the presence of ash-leaf spots and a shagreen patch, along with significant renal involvement (angiomyolipoma/hematuria), are not typical features of NF1. *Neurofibromatosis type 2* - Primarily involves **bilateral vestibular schwannomas**, leading to hearing loss, tinnitus, and balance problems. - Cutaneous manifestations are typically limited to a few café-au-lait spots and subcutaneous neurofibromas, which do not match this patient's diverse skin lesions.
Explanation: ***Vitamin D deficiency*** - The clinical presentation (delayed growth, weakness, **bowing of legs**, **reduced proximal muscle strength**, **subcostal grooving**, and protruded abdomen) coupled with the X-ray image showing widened growth plates and cupping/fraying of metaphyses are classic signs of **rickets** due to **vitamin D deficiency**. - Longstanding inadequate nutrition in a displaced child strongly suggests nutritional deficiencies, including vitamin D, which is crucial for **calcium and phosphate absorption** and bone mineralization. *Low-calorie intake* - While low-calorie intake can contribute to delayed growth and weakness, it does not specifically explain the characteristic skeletal deformities like bowed legs or the X-ray findings seen in this patient. - **Overall malnutrition** contributes to the patient's poor health but does not directly cause rickets. *Insufficient protein consumption* - Insufficient protein consumption leads to conditions like **kwashiorkor** (edema, apathy, skin lesions) or **marasmus** (severe wasting), which differ from the bone deformities observed. - While protein is essential for growth, its deficiency does not directly cause the *specific* bone mineralization defects seen in rickets. *Defective collagen synthesis* - Defective collagen synthesis is seen in conditions like **osteogenesis imperfecta**, characterized by **brittle bones** and recurrent fractures, often with blue sclerae and hearing loss. - This patient's symptoms and radiographic findings are not consistent with a primary collagen synthesis defect. *Osteoclast hyperactivity* - Osteoclast hyperactivity leads to excessive bone resorption and conditions like **osteoporosis**, characterized by reduced bone density and increased fracture risk. - This mechanism would not explain the failure of bone *mineralization* and disorganized growth plates typical of rickets.
Explanation: ***Absence seizure*** - This presentation, characterized by brief (30-60 seconds) episodes of **staring spells**, unresponsiveness, and lip-smacking or **eyelid fluttering** (blinking), is classic for absence seizures. - The **electroencephalogram (EEG)** finding of generalized **3-Hz spike-and-wave discharges** is pathognomonic for absence seizures. *Benign focal epilepsy* - This typically presents with **focal motor or sensory symptoms**, often involving the face or limbs, and may occur during sleep. - The EEG in benign focal epilepsy would show **focal spikes**, not generalized 3-Hz spike-and-wave discharges. *Febrile seizure* - Febrile seizures are generalized convulsions that occur in children usually between 6 months and 5 years of age, associated with a **fever**, which is absent in this case. - The semiology of a febrile seizure is typically a tonic-clonic event, not brief staring spells. *Hearing deficits* - While a child with hearing deficits might appear unresponsive, they would not exhibit the characteristic **episodes of staring and blinking** described, nor would an EEG show epileptiform activity. - Hearing impairment would typically lead to difficulty with language development or specific responses to auditory cues, not sudden, transient unresponsiveness. *Juvenile myoclonic epilepsy* - This condition is characterized by **myoclonic jerks**, especially in the morning, and often develops in adolescence. - While it can include generalized tonic-clonic seizures and absence seizures, the primary feature in juvenile myoclonic epilepsy is the **myoclonic jerks**, which are not described here.
Explanation: ***MRI of the brain*** - The elevated **GnRH-stimulated LH levels** confirm **central precocious puberty**, indicating premature activation of the hypothalamic-pituitary-gonadal axis. - In children under 8 years, any signs of **central precocious puberty** warrant an **MRI of the brain** to rule out an underlying central nervous system lesion, such as a **hypothalamic hamartoma** or tumor. *Anastrozole therapy* - **Anastrozole** is an **aromatase inhibitor** used to treat **peripheral precocious puberty** (e.g., in cases of McCune-Albright syndrome) or to slow bone age advancement in some cases of central precocious puberty, but it does not address the underlying central cause. - Given the elevated LH response to GnRH, this is a case of true central precocious puberty, making anastrozole an inappropriate first-line treatment. *Leuprolide therapy* - **Leuprolide therapy** (a **GnRH analog**) is the mainstay of treatment for **central precocious puberty** to halt puberty progression and preserve adult height potential. - However, before initiating therapy, an underlying cause (e.g., CNS tumor) must be ruled out with an **MRI of the brain**, especially in a young child. *Ultrasound of the pelvis* - A **pelvic ultrasound** is useful for assessing ovarian and uterine size and for ruling out **ovarian tumors** or **cysts** which could cause **peripheral precocious puberty**. - However, the **GnRH stimulation test** confirming elevated LH makes **central precocious puberty** the likely diagnosis, so a brain MRI to evaluate the central trigger is more critical at this stage. *Reassurance and follow-up* - The combination of **enlarged breast buds**, **coarse pubic hair**, and significantly **advanced bone age** (10 years in a 6-year-old) indicates true precocious puberty, not benign premature thelarche or adrenarche. - Her elevated **GnRH-stimulated LH levels** confirms true precocious puberty, requiring further investigation and intervention, not just reassurance.
Explanation: ***GnRH stimulation test*** - This patient presents with signs of **precocious puberty** (vaginal bleeding, enlarged breasts, pubic hair, advanced bone age) but a **low basal LH level**. A **GnRH stimulation test** is crucial to differentiate between **central (gonadotropin-dependent)** and **peripheral (gonadotropin-independent)** precocious puberty. - A significant rise in LH after GnRH administration indicates **central precocious puberty**, while a lack of significant response suggests **peripheral precocious puberty**. *Serum dehydroepiandrosterone level* - **DHEA** is a precursor to androgens and its elevation might indicate **adrenal causes** of precocious puberty (e.g., congenital adrenal hyperplasia, adrenal tumor). - However, the prominent signs of **breast development** and **vaginal bleeding** point more towards estrogen production, making a GnRH stimulation test a more direct and comprehensive initial step to evaluate the source of puberty. *Reassurance and follow-up* - Reassurance is inappropriate given the presence of **vaginal bleeding** and signs of **accelerated skeletal maturation** (bone age of 11 years at chronological age 7). - These findings warrant further investigation to determine the underlying cause and initiate appropriate management to prevent complications like **compromised adult height**. *Ultrasound of the pelvis* - A **pelvic ultrasound** would be useful to evaluate for ovarian cysts or tumors, which can cause **peripheral precocious puberty**. - However, the GnRH stimulation test is a **more critical first step** to determine whether the puberty is central or peripheral before focusing on specific peripheral etiologies. *MRI of the brain* - An **MRI of the brain** is indicated if **central precocious puberty** is confirmed by the GnRH stimulation test, especially in a young child, to rule out **hypothalamic or pituitary tumors** or other CNS lesions. - Doing an MRI of the brain before establishing the type of precocious puberty (central vs. peripheral) is **premature** as it is only indicated for central causes.
Explanation: ***Chronic benign neutropenia*** - The child presents with isolated neutropenia, normal growth and development, and a healthy appearance, all consistent with **chronic benign neutropenia**. - **Normal bone marrow** with trilineage maturation and 95% cellularity further supports this diagnosis, ruling out malignant or severe bone marrow disorders. *Chronic lymphoblastic leukemia* - This condition involves an increase in **abnormal lymphocytes**, which is not seen here; the child has isolated neutropenia and normal lymphocyte percentages. - Would typically present with symptoms related to bone marrow failure, such as anemia, thrombocytopenia, and lymphadenopathy, none of which are present. *Aplastic anemia* - Characterized by **pancytopenia** (low counts of red blood cells, white blood cells, and platelets) due to bone marrow failure. - The child's hemoglobin and platelet counts are normal, making aplastic anemia unlikely. *Sepsis* - Sepsis would present with overt signs of infection, such as **fever, poor feeding, lethargy, and hemodynamic instability**, which are absent in this healthy-appearing child. - While sepsis can cause neutropenia, the child's overall healthy status and normal vital signs rule against an active septic process. *Acute lymphoblastic leukemia* - Typically involves an overproduction of **immature lymphocytes (blasts)** in the bone marrow and peripheral blood, leading to pancytopenia or specific cytopenias. - The bone marrow biopsy showed normal cellularity and maturation with no abnormal markers, making acute lymphoblastic leukemia highly improbable.
Explanation: ***Administer IV 0.9% NaCl and replace electrolytes*** - The patient exhibits signs of **dehydration** (dry mucous membranes, irritability) and **hypochloremic metabolic alkalosis** (low Na+ 133, K+ 3.4, Cl- 92) secondary to persistent vomiting. - The clinical presentation strongly suggests **pyloric stenosis** (progressive non-bilious vomiting, palpable epigastric mass, hungry after vomiting), but the patient's **electrolyte imbalances and dehydration must be corrected before any surgical intervention** to minimize operative risks. - The paradoxical aciduria (decreased urine pH) occurs because severe volume depletion triggers aldosterone secretion, leading to preferential H+ excretion over HCO3- despite metabolic alkalosis. *Measure serum cortisol levels* - While adrenal insufficiency can cause vomiting and electrolyte abnormalities, the specific presentation of **non-bilious vomiting** with an **epigastric mass** and **hunger after vomiting** strongly points to **pyloric stenosis**. - There are no other clear signs of adrenal insufficiency such as **hyperpigmentation**, **significant hypoglycemia**, or **hyperkalemia** that would make this the immediate priority over correcting dehydration and electrolytes. *Perform upper GI endoscopy* - Upper GI endoscopy is primarily used to visualize the upper digestive tract for conditions like **esophagitis**, **gastritis**, or **ulcers**. - It is not the initial diagnostic test for **pyloric stenosis**; an **abdominal ultrasound** is preferred for confirming the diagnosis (showing pyloric wall thickness >3mm and channel length >15mm). - Correcting the patient's severe dehydration and electrolyte imbalances takes precedence over diagnostic procedures. *Perform emergency pyloromyotomy* - Although pyloric stenosis is strongly suspected and **pyloromyotomy** is the definitive treatment, it is an elective surgical procedure. - The patient is currently **dehydrated** with **electrolyte abnormalities** (hypochloremic, hypokalemic metabolic alkalosis), which must be corrected *before* surgery to minimize anesthetic and surgical risks and improve outcomes. - Pyloric stenosis is **not a surgical emergency**; stabilization always precedes surgery. *Obtain CT scan of the abdomen with contrast* - A CT scan uses **ionizing radiation** and **contrast agents**, which are generally avoided in infants unless absolutely necessary. - An **abdominal ultrasound** is the diagnostic study of choice for **pyloric stenosis** due to its non-invasiveness, lack of radiation exposure, and effectiveness in identifying the characteristic hypertrophied pylorus ("olive" or "target sign").
Explanation: ***Retinal hemorrhages*** - The CT scan shows **subdural hematomas** (arrows) in an infant, which, along with a seizure and a history inconsistent with the injury severity ("fell while he was running"), are highly indicative of **abusive head trauma (shaken baby syndrome)**. - **Retinal hemorrhages** are present in 60-80% of abusive head trauma cases and are a strong indicator of non-accidental injury in infants. *Slipped capital femoral epiphysis* - This condition is typically seen in **adolescents** and involves the displacement of the femoral head from the femoral neck. - It is **not associated with head trauma** or seizures and is unrelated to the CT findings of subdural hematomas. *Intact bridging veins* - The presence of **subdural hematomas** on the CT scan indicates that the **bridging veins have been torn**, leading to bleeding in the subdural space. - Therefore, the bridging veins are **not intact** in this scenario. *Rupture of middle meningeal artery* - Rupture of the middle meningeal artery typically causes an **epidural hematoma**, which is characterized by a **lenticular (lens-shaped)** collection of blood that does not cross suture lines. - The CT scan image shows a **crescent-shaped collection** of blood (subdural hematoma) that crosses suture lines. *Microcephaly* - **Microcephaly** is defined as a head circumference significantly smaller than average for the infant's age and sex, indicating poor brain development. - While head trauma can sometimes lead to developmental issues, microcephaly is **not an acute finding** directly associated with the immediate presentation of subdural hematomas from abusive head trauma.
Explanation: ***Ultrasound of the abdomen*** - **Ultrasound** is the appropriate initial imaging step in a pediatric patient with suspected appendicitis or other causes of right lower quadrant pain, given its **non-invasive nature** and **lack of radiation exposure**. - It can effectively visualize the **appendix**, evaluate for inflammation, and rule out other etiologies such as ovarian pathology or mesenteric adenitis. *X-ray of the abdomen* - An **abdominal X-ray** has limited utility in diagnosing appendicitis as it **cannot visualize the appendix** or directly assess inflammation. - While it can identify findings like **fecaliths** (calcified appendicoliths) in some cases, these are not specific for appendicitis and do not provide definitive diagnostic information. *MRI of the abdomen* - **MRI** is an excellent diagnostic tool for appendicitis, especially in pregnant women, due to its **high sensitivity and specificity** and avoidance of ionizing radiation. - However, it is **more expensive** and less readily available in emergency settings compared to ultrasound, making it a secondary option for initial evaluation in children. *CT scan of the abdomen* - A **CT scan** is highly accurate for diagnosing appendicitis due to its detailed anatomical resolution. - It involves **ionizing radiation**, which is a significant concern in pediatric patients, making it a less preferred initial imaging choice compared to ultrasound. *Colonoscopy* - **Colonoscopy** is an **invasive endoscopic procedure** primarily used for direct visualization of the colon and terminal ileum, typically for diagnosing inflammatory bowel disease, polyps, or GI bleeding. - It is **not indicated** as an initial diagnostic step for acute abdominal pain in this clinical context, especially when appendicitis is suspected.
Explanation: ***Lower insulin dosage on days of exercise*** - Exercise increases **insulin sensitivity** and glucose uptake by muscle cells, which can lead to **hypoglycemia** if insulin dosing is not adjusted. - Reducing insulin dosage on exercise days, along with appropriate monitoring, is a common strategy to prevent exercise-induced hypoglycemia in individuals with **type 1 diabetes**. *Limit activity to 20 minutes per day* - There is no medical justification to arbitrarily limit activity to 20 minutes for a well-controlled diabetic patient, especially one who wants to join a soccer team. - **Regular physical activity** is beneficial for overall health and diabetes management, and arbitrary restrictions can be detrimental to a teenager's well-being. *Advise against physical activity* - **Physical activity** is generally encouraged for individuals with type 1 diabetes as it improves **cardiovascular health**, **insulin sensitivity**, and overall well-being. - Advising against it would be counterproductive, especially with an **HbA1c of 6.3%**, indicating good glycemic control and proper management. *Switch from insulin to metformin* - **Metformin** is an oral hypoglycemic agent used primarily for type 2 diabetes by reducing hepatic glucose production and improving insulin sensitivity. - It is **not effective** in type 1 diabetes, where the pancreas fails to produce insulin, making **exogenous insulin** essential for survival. *Increase insulin dosage on days of exercise* - Increasing insulin dosage on exercise days would significantly raise the risk of **hypoglycemia** due to enhanced glucose utilization by muscles. - The standard approach is to **decrease** insulin or increase carbohydrate intake to prevent low blood sugar during and after exercise.
Explanation: ***Correct electrolyte imbalances*** - The patient exhibits classic signs of **pyloric stenosis** (projectile non-bilious vomiting, palpable olive-shaped mass, visible peristalsis, and double-channel sign on barium studies), leading to significant fluid and electrolyte loss, particularly **hypochloremic metabolic alkalosis**. - **Correction of fluid and electrolyte abnormalities** (especially dehydration and hypokalemia) is crucial before surgical intervention to prevent post-operative complications like apnea and cardiac arrhythmias. *Whipple procedure* - The **Whipple procedure** is a complex surgical operation primarily used for pancreatic cancer and other periampullary tumors. - It is completely unrelated to the management of **infantile hypertrophic pyloric stenosis**. *Nasogastric tube feeding* - **Nasogastric tube feeding** would worsen the patient's condition by introducing more fluid into an obstructed stomach, potentially exacerbating vomiting and electrolyte imbalances. - The primary issue is gastric outlet obstruction, not an inability to swallow, so feeding would be counterproductive. *Reassurance and observation* - The infant presents with severe symptoms of dehydration, lethargy, and significant weight loss, indicating a **medical emergency** that requires immediate intervention. - **Reassurance and observation** would be inappropriate and potentially life-threatening given the progressive nature of pyloric stenosis and its associated complications. *Pyloromyotomy* - **Pyloromyotomy** (Ramstedt procedure) is the definitive surgical treatment for hypertrophic pyloric stenosis. - However, it is not the *immediate* best step; **electrolyte imbalances must be corrected first** to stabilize the patient and ensure a safer surgical outcome.
Explanation: ***Stomach*** - The **technetium-99m pertechnetate scan** identifies ectopic **gastric mucosa** because the pertechnetate ion is concentrated by gastric mucosal cells (including mucus-secreting cells and parietal cells) that possess the **sodium-iodide symporter**, which actively transports pertechnetate similar to iodide. - The clinical picture of **painless rectal bleeding** in a young child, along with positive findings in **two locations** on a technetium scan (normal stomach plus ectopic site), is highly suggestive of **Meckel's diverticulum**, which contains ectopic gastric tissue. *Pancreas* - While pancreatic tissue can be ectopic, it does not concentrate **technetium-99m pertechnetate** and would not cause increased activity on the scan. - Ectopic pancreatic tissue is generally **asymptomatic** or may cause symptoms due to local inflammation or obstruction, not typically painless rectal bleeding. *Small intestine* - Normal small intestinal mucosa does not typically demonstrate increased uptake of **technetium-99m pertechnetate**. - While the small intestine is where a **Meckel's diverticulum** is located, it is the ectopic gastric mucosa within the diverticulum that causes the positive scan, not the normal small intestinal cells. *Gallbladder* - The gallbladder primarily stores and concentrates bile and does not contain cells that would concentrate **technetium-99m pertechnetate**. - Conditions affecting the gallbladder, such as **cholecystitis** or **gallstones**, present with different symptoms, typically right upper quadrant pain, fever, and jaundice, not painless bloody stools. *Liver* - The liver is an accessory digestive organ and does not contain **ectopic gastric mucosa** that would lead to increased uptake on a **technetium-99m pertechnetate scan** in the context of bloody stools. - While liver tissue takes up certain radiotracers, it does not specifically concentrate **pertechnetate** in a manner that would explain abnormal activity in two distinct abdominal locations in this scenario.
Explanation: ***Counsel on positioning and thickening feeds*** - The infant's symptoms, including **regurgitation**, **irritability during feeds**, and **dropping weight percentiles**, are indicative of severe gastroesophageal reflux (GER). Initial management should focus on **conservative measures** like positioning modifications (keeping upright after feeds), thickening feeds, and smaller, more frequent feedings. - Given the absence of **hematemesis**, **hematochezia**, or **projectile vomiting**, further invasive diagnostics or medication are not immediately warranted. *Switch to hydrolyzed formula* - This would be considered if there were signs suggestive of a **cow's milk protein allergy**, such as **bloody stools**, **diarrhea**, **eczema**, or a strong family history of allergies, which are all absent in this case. - Allergy is less likely to be the primary cause of isolated severe regurgitation with failure to thrive without other allergic manifestations. *Obtain abdominal ultrasound* - An **abdominal ultrasound** is primarily used to evaluate for conditions like **pyloric stenosis** if there is **projectile vomiting**, an **olive-shaped mass**, or severe dehydration and electrolyte imbalances, none of which are present. - While it can assess for **malrotation or intussusception**, these conditions typically present with more acute, severe symptoms like **bilious vomiting**, abdominal distension, or currant jelly stools, which are not described. *Initiate proton pump inhibitor* - **Proton pump inhibitors (PPIs)** are reserved for infants with confirmed **erosive esophagitis** or severe symptoms unresponsive to lifestyle modifications. - Starting a PPI without first attempting conservative measures or confirming pathological acid reflux is generally not recommended, especially given potential side effects like increased risk of infections. *Provide reassurance* - While **reassurance** is important, it is not the sole appropriate next step. The infant's **dropping weight percentiles** and significant feeding difficulties suggest that this is beyond typical "spitting up" and requires intervention to prevent further impact on growth and comfort. - Simply reassuring the mother would ignore the clinical signs of **failure to thrive** and significant discomfort during feeds.
Explanation: ***Child abuse*** - The combination of **altered mental status**, a **full anterior fontanelle**, **retinal hemorrhages**, and **posterior rib fractures** is classic for abusive head trauma (shaken baby syndrome) and physical abuse. - The parents' inconsistent history (hit head while crawling this morning vs. extensive injuries) raises suspicion, as minor falls typically don't cause such severe injuries or multiple fractures. *Bacterial meningitis* - While **fever**, **lethargy**, and a **full fontanelle** can be seen in meningitis, the presence of **retinal hemorrhages** and **posterior rib fractures** are not typical findings for this diagnosis. - Meningitis primarily affects the central nervous system and would not explain the skeletal or ocular trauma. *Vitamin K deficiency* - This condition primarily manifests with **bleeding diathesis**, such as intracranial hemorrhage or mucosal bleeding, due to impaired coagulation. - It would not cause **posterior rib fractures** or directly lead to the specific pattern of retinal hemorrhages seen without other widespread bleeding. *Unintentional head injury* - A simple fall from crawling would be highly unlikely to cause the severe constellation of injuries observed, including **bilateral retinal hemorrhages**, a **full fontanelle** (indicating increased intracranial pressure), and **posterior rib fractures**. - **Posterior rib fractures** are particularly indicative of non-accidental trauma, as they result from forceful compression of the chest. *Osteogenesis imperfecta* - This is a genetic disorder characterized by **brittle bones** and frequent fractures, which could explain the rib fractures. - However, it would not account for the **retinal hemorrhages**, **full fontanelle**, or the acute neurological decline (lethargy, decreased activity) in this manner.
Explanation: **Oligoarticular juvenile idiopathic arthritis** - The patient's presentation with arthritis in less than five joints (knees, ankle, wrist), morning stiffness, and **anterior uveitis** (eye pain, flare, iris inflammation) is classic for **oligoarticular juvenile idiopathic arthritis (JIA)**. - The **positive antinuclear antibodies (ANA)**, negative rheumatoid factor (RF), and elevated erythrocyte sedimentation rate (ESR) further support this diagnosis. *Enthesitis-related arthritis* - This subtype of JIA typically affects older boys and is characterized by inflammation at the **tendon insertion sites** (enthesitis) and often involves the spine. - While the patient has arthritis, there is no mention of enthesitis, and her age and sex do not fit the typical profile for this subtype. *Acute lymphocytic leukemia* - Although **arthralgia** can occur in acute lymphocytic leukemia due to bone marrow expansion, it is usually accompanied by other systemic symptoms like **fever, pallor, fatigue**, and significant changes in blood counts (e.g., **cytopenias** or **blast cells**), which are not present here. - The patient's blood counts are relatively stable, and the primary issue is joint inflammation and uveitis. *Postinfectious arthritis* - This condition usually presents with acute arthritis following an infection, but it is typically **self-limiting** and resolves within a few weeks to months. - The patient's symptoms have been ongoing for 3 months and include **chronic uveitis**, which is not typical for postinfectious arthritis. *Seronegative polyarticular juvenile idiopathic arthritis* - This subtype involves **five or more joints** within the first 6 months of the disease onset, which is not the case here (only 4 joints are affected). - While it can be ANA positive and RF negative, the number of affected joints differentiates it from oligoarticular JIA.
Explanation: ***Initiate IV fluid resuscitation*** - This infant presents with classic **pyloric stenosis** (non-bilious vomiting, palpable epigastric "olive" mass, progressive feeding intolerance) and clear signs of **dehydration** (sunken fontanelles, lethargy, tachycardia). - **IV fluid resuscitation is the immediate priority** to correct hypovolemia and the characteristic **hypochloremic, hypokalemic metabolic alkalosis** that develops from persistent vomiting. - **Key principle**: "Pyloric stenosis is never a surgical emergency" - metabolic stabilization must precede any intervention, including surgery. - Fluid resuscitation with **normal saline** followed by electrolyte correction is essential before proceeding with diagnostic imaging or definitive surgical management. *Nasogastric decompression* - **NG decompression** is important to decompress the stomach, reduce vomiting, and minimize aspiration risk. - However, it should occur **after or concurrent with IV access establishment**, not before fluid resuscitation in a dehydrated infant. - While helpful, it does not address the life-threatening **hypovolemia and electrolyte abnormalities** that require immediate correction. *Obtain abdominal ultrasound* - **Abdominal ultrasound** is the diagnostic test of choice for pyloric stenosis, showing pyloric muscle thickness >3 mm and channel length >15 mm. - However, in a **clinically dehydrated and hemodynamically unstable infant**, stabilization takes priority over confirmatory imaging. - The diagnosis is already strongly suggested by clinical findings (palpable olive, typical presentation), so imaging can wait until after resuscitation begins. *Upper GI series* - An **upper GI series** can diagnose pyloric stenosis by showing the "string sign" (narrow pyloric channel) or "shoulder sign." - **Ultrasound is preferred** due to higher sensitivity/specificity, no radiation exposure, and faster results. - This test is unnecessary when ultrasound is available and should not delay critical fluid resuscitation. *Surgical consultation for pyloromyotomy* - **Pyloromyotomy** is the definitive surgical treatment for pyloric stenosis with excellent outcomes. - Surgery should **never be performed on a dehydrated, metabolically unstable infant** - this significantly increases perioperative morbidity and mortality. - Typical stabilization requires **24-48 hours** of fluid and electrolyte correction before surgery is appropriate.
Explanation: ***Education and reassurance of the mother*** - The described episodes are classic for **breath-holding spells**, which are benign, self-limited events common in children aged 6 months to 6 years. - The key management involves **reassuring parents** that these spells are not dangerous and providing guidance on how to respond calmly during an episode. *Basic metabolic panel* - A **basic metabolic panel** generally screens for electrolyte imbalances or kidney dysfunction, which are not indicated by the typical presentation of breath-holding spells. - While **iron deficiency anemia** can sometimes exacerbate breath-holding spells, a complete blood count (CBC) would be a more appropriate initial blood test to evaluate for this. *Electroencephalogram* - An **electroencephalogram (EEG)** is used to detect abnormal brain activity associated with seizure disorders. - Although some breath-holding spells can be followed by a brief loss of consciousness, they are generally distinguishable from seizures by the **triggering event (fear/upset)**, cyanosis, and the rapid return to normal. *Echocardiogram* - An **echocardiogram** evaluates the structure and function of the heart. - While cardiac causes of syncope can present with similar symptoms, the clear precipitating factors (fear/upset), cyanosis, and the described pattern of spontaneous recovery make a cardiac origin less likely in this context. *Lung spirometry* - **Lung spirometry** measures lung function and is typically used to diagnose and monitor respiratory conditions like asthma. - The child's transient respiratory arrest is not due to a primary lung or airway problem, but rather a reflex response related to the **autonomic nervous system** during emotional distress.
Explanation: ***Hypogonadism*** - The patient's presentation, including **hyperphagia**, **obesity**, developmental delay, and distinctive facial features (almond-shaped eyes, downturned mouth, poor muscle tone), is highly suggestive of **Prader-Willi Syndrome**. - **Hypogonadism** (undescended testes in males, delayed puberty) is a classic feature of **Prader-Willi Syndrome** due to hypothalamic dysfunction, which also causes the voracious appetite. *Webbed neck* - A **webbed neck** is characteristic of **Turner Syndrome** (45, XO), which affects females and is associated with short stature, but not typically with the hyperphagia and obesity seen here. - The patient is a male, making Turner Syndrome an unlikely diagnosis. *Macroorchidism* - **Macroorchidism** (enlarged testes) is a hallmark feature of **Fragile X Syndrome**, which is associated with intellectual disability and developmental delays. - While fragile X syndrome involves developmental delay, it does not typically present with the extreme hyperphagia, obesity, and specific facial features described in the patient. *Ataxia* - **Ataxia** (lack of voluntary coordination of muscle movements) in conjunction with developmental delays can be seen in various neurological disorders such as **Friedreich's ataxia** or **cerebral palsy**. - This symptom is not a primary or characteristic finding in Prader-Willi Syndrome, and the other described features point away from ataxia as the most likely additional finding. *Hemihyperplasia* - **Hemihyperplasia** (overgrowth of one side of the body) is associated with conditions like **Beckwith-Wiedemann Syndrome**, which also involves macroglossia and an increased risk of tumors. - This finding is not typically associated with the constellation of symptoms (hyperphagia, obesity, intellectual disability, hypotonia) seen in Prader-Willi Syndrome.
Explanation: ***Smiles at her mother*** - The child exhibits developmental milestones consistent with a **2-month-old infant**, such as lifting her chest in a prone position, following objects past the midline, cooing, and gurgling. Social smiling typically emerges around **2 months of age**. - Primitive reflexes like the **Babinski reflex** (big toe curling upward and fanning of other toes) and **stepping reflex** are normally present at this age, supporting the approximate age of 2 months. *Cries when separated from her mother* - This behavior suggests **separation anxiety**, which typically develops much later, usually around **8-9 months of age**. - A 2-month-old infant does not yet have the cognitive understanding or object permanence needed to exhibit true separation anxiety. *Rolls over from her back* - Rolling over from the back to the stomach is usually achieved between **4 and 6 months of age**. - The child in the vignette cannot even roll over from a prone position, indicating she is not yet at the age for rolling from her back. *Responds to calling of own name* - Responding to one's own name is a more advanced auditory and cognitive milestone, generally developing between **6 and 9 months of age**. - At 2 months, infants respond to voices and sounds but do not associate specific words with themselves. *Reaches out for objects* - Purposeful reaching and grasping for objects (palmar grasp) typically develops around **4 to 6 months of age**. - A 2-month-old infant may swat at objects reflexively but does not exhibit coordinated, intentional reaching.
Explanation: ***Child neglect*** - This child's inability to read and complete lack of schooling at age 6 represents **educational neglect**, a failure to provide for basic developmental and educational needs - Educational neglect is a specific subtype of child neglect recognized by child protective services and involves failure to enroll a child in school or provide required special education - The avoidance of eye contact and limited verbal interaction suggest possible **emotional neglect** and lack of appropriate developmental stimulation - The combination of no schooling, developmental delays in social interaction, and removal by CPS strongly indicates **neglect** as the primary form of maltreatment *Sexual abuse* - **Sexual abuse** involves engaging a child in sexual activities, exposure to sexual content, or sexual exploitation - Nothing in the clinical presentation suggests sexual abuse—no concerning physical findings, no behavioral indicators specific to sexual abuse (such as age-inappropriate sexual knowledge or sexualized behavior) *Physical abuse* - **Physical abuse** involves non-accidental physical injury to a child - While the father physically abused the mother, the physical examination of the child is **negative for signs of physical abuse** (no fractures, bruising, or other injuries) - The child's presentation is primarily characterized by developmental and educational deficits, not physical trauma *No abuse* - A 6-year-old who has never attended school and cannot read has clearly experienced a **failure to meet basic educational needs**, which constitutes neglect - The child's behavioral presentation (avoidance of eye contact, limited verbal responses) and the family environment (paternal alcoholism, domestic violence) further indicate an unsafe and neglectful home environment - Removal by child protective services confirms that maltreatment has occurred *Emotional abuse* - While witnessing domestic violence can constitute **emotional abuse**, and the child may have experienced some degree of emotional maltreatment, this is not the **most likely** or primary form of abuse - The most prominent and documentable form of maltreatment is the complete **failure to provide education**, which is specifically categorized as **educational neglect** rather than emotional abuse - Emotional abuse typically involves patterns of behavior that harm a child's emotional development (terrorizing, rejecting, isolating), which may be present but is less clearly documented than the educational neglect
Explanation: ***Reassurance*** - The patient presents with classic symptoms of **growing pains**, characterized by bilateral leg pain that occurs primarily at night, improves with massage, and does not interfere with daily activities or cause physical findings. - Given the benign nature of growing pains and the unremarkable physical examination and laboratory findings, reassurance and symptomatic management (like massage) are the most appropriate next steps. *X-ray of the lower extremities* - This is generally not indicated for typical growing pains as they are a diagnosis of exclusion and do not involve bone abnormalities. - **Radiographs** would only be considered if there were atypical features like unilateral pain, persistent pain, limping, fever, or localized tenderness, which are absent here. *Nafcillin therapy* - Nafcillin is an antibiotic used to treat bacterial infections, particularly those caused by **Staphylococcus aureus**. - There is no indication of a bacterial infection (e.g., fever, localized swelling, redness, elevated inflammatory markers) in this patient, making antibiotic therapy inappropriate. *Antinuclear antibody* - An antinuclear antibody (ANA) test is used to screen for **autoimmune diseases** like systemic lupus erythematosus (SLE) or juvenile idiopathic arthritis. - While the mother has rheumatoid arthritis, the patient's symptoms are inconsistent with an autoimmune condition, lacking joint swelling, morning stiffness, or systemic symptoms, making an ANA screen premature. *Pramipexole therapy* - Pramipexole is primarily used to treat **Parkinson's disease** and **restless legs syndrome (RLS)**. - Although RLS also presents with leg discomfort at night, it typically involves an *unpleasant sensation* and a *compelling urge to move the legs*, which is different from the crampy pain described as growing pains.
Explanation: ***Ethosuximide*** - This patient presents with **childhood absence epilepsy (CAE)**, characterized by brief episodes of "staring into space," unresponsiveness, post-ictal normality, and precipitated by **hyperventilation** (like blowing a pinwheel). The EEG finding of **3-Hz spike-and-wave discharges** is pathognomonic for CAE. - **Ethosuximide** is the first-line and most effective treatment for typical absence seizures, operating by blocking **T-type calcium channels** in thalamic neurons. *Zonisamide* - Zonisamide is a broad-spectrum antiepileptic drug that can be used for various seizure types, including **focal and generalized convulsive seizures**, but it is not the first-line treatment for typical absence seizures. - Its mechanism involves blocking **sodium and calcium channels**, and its efficacy in absence seizures is not as well-established as ethosuximide. *Valproic acid* - Valproic acid is effective for both **absence seizures and generalized tonic-clonic seizures**, particularly when both types occur. - However, due to its potential for more significant side effects, including **hepatotoxicity** and **teratogenicity**, it is generally considered a second-line treatment for uncomplicated CAE, especially in young children. *Lamotrigine* - Lamotrigine is an antiepileptic drug used for various seizure types, including **focal, generalized tonic-clonic**, and some **absence seizures**, but it is not considered first-line for typical absence seizures. - It primarily acts by blocking **voltage-gated sodium channels** and can be used as an add-on therapy or for refractory cases. *Levetiracetam* - Levetiracetam is a broad-spectrum antiepileptic effective for **focal, myoclonic, and generalized tonic-clonic seizures**. - While it can be used for absence seizures, it is generally **less effective** than ethosuximide or valproic acid for typical absence seizure control.
Explanation: ***Ibuprofen and rest*** - This patient's presentation with hip pain after an **upper respiratory infection**, normal physical exam findings except for pain on high-impact activities, and absence of fever, points towards **transient synovitis of the hip**. - **Treatment for transient synovitis** is supportive, involving anti-inflammatory medications like ibuprofen and rest, as it is a self-limiting condition. *Radiography* - While imaging might be considered, **radiographs of the hip** are typically normal in transient synovitis and are primarily used to rule out other more serious conditions like Legg-Calvé-Perthes disease or slipped capital femoral epiphysis, which usually present with more distinct physical exam findings or chronic symptoms. - Given the acute onset, recent viral illness, and mild exam findings, this is not the immediate next step for the most likely diagnosis. *CT scan* - A **CT scan** exposes the patient to radiation and is generally not indicated as a first-line diagnostic tool for transient synovitis due to its low diagnostic yield for this condition and higher cost compared to other modalities. - It would only be considered if there was a strong suspicion of bony pathology not visible on plain radiographs or if surgery was being contemplated. *MRI* - An **MRI** would be highly sensitive for detecting inflammation or effusion in the hip joint, but it is an expensive and time-consuming procedure typically reserved for cases where the diagnosis is unclear or other serious conditions are strongly suspected (e.g., osteomyelitis, avascular necrosis). - It is not necessary for the initial management of suspected transient synovitis, which is a clinical diagnosis. *Aspiration and broad spectrum antibiotics* - **Aspiration of the joint** and treatment with broad-spectrum antibiotics are indicated for **septic arthritis**, which is characterized by fever, significant pain with even gentle passive range of motion, and elevated inflammatory markers. - This patient is afebrile, has only minor pain on physical exam, and has no systemic signs of infection, making septic arthritis highly unlikely.
Explanation: ***Repeat dipstick on a separate occasion*** - An asymptomatic patient with an isolated positive urine dipstick for protein, especially an active adolescent, often experiences **transient proteinuria** due to factors like exercise or stress. - Repeating the dipstick on a separate occasion can help differentiate between transient and persistent proteinuria, with **orthostatic (postural) proteinuria** being a common benign cause in this age group. *Renal ultrasound* - **Renal ultrasound** is typically indicated for evaluating structural abnormalities of the kidneys, hydronephrosis, or in cases of persistent hematuria, recurrent UTIs, or declining renal function. - It is not the initial step for isolated, asymptomatic proteinuria without other concerning symptoms. *Urine culture* - A **urine culture** is performed to diagnose urinary tract infections (UTIs) when symptoms like dysuria, frequency, or fever are present, or if the dipstick shows signs of infection (nitrites, leukocyte esterase). - This patient is asymptomatic, and the primary concern is proteinuria, not infection. *Spot urine-protein-to-creatinine ratio* - The **spot urine protein-to-creatinine ratio** is used to quantify proteinuria, especially after persistent proteinuria has been established, or to monitor known renal disease. - Before quantifying, it's crucial to confirm the proteinuria is persistent and not transient. *24 hour urine collection* - A **24-hour urine collection** is the gold standard for accurately measuring the total amount of protein excreted in a day. - However, it is an inconvenient test and typically reserved for quantifying known persistent proteinuria, not as a first step after an initial positive dipstick in an asymptomatic individual.
Explanation: ***Shearing head injury*** - The combination of **bulging fontanelle**, **retinal hemorrhages**, and **multiple healing rib fractures** in an infant is highly suspicious for **abusive head trauma**, also known as shaken baby syndrome. - **Shearing forces** from rapid acceleration-deceleration cause diffuse axonal injury and tearing of bridging veins, leading to subdural hemorrhage, cerebral edema (manifesting as a bulging fontanelle), and retinal hemorrhages. *Inherited connective tissue disorder* - While some connective tissue disorders can lead to bone fragility, they typically do not explain the triad of **retinal hemorrhages**, **bulging fontanelle**, and **healing rib fractures** simultaneously as a primary presentation of acute neurological distress. - Conditions like **osteogenesis imperfecta** would present with multiple fractures but typically without the acute neurological signs or retinal hemorrhages associated with head trauma. *Malnutrition* - Malnutrition would not cause acute signs of **increased intracranial pressure (bulging fontanelle)** or **retinal hemorrhages**. - While severe malnutrition can weaken bones over time, it does not typically lead to the acute presentation of multiple **healing fractures** along with the specific neurological and ocular findings described. *Epidural hematoma* - An epidural hematoma typically results from a **direct impact** causing a skull fracture and tearing of an artery, leading to a space-occupying lesion. - While it can cause some of the neurological signs (e.g., bulging fontanelle from increased intracranial pressure), it is less likely to produce **bilateral retinal hemorrhages** and **multiple healing rib fractures** as the primary cause of this constellation of findings. *Bleeding from the germinal matrix* - **Germinal matrix hemorrhage** primarily occurs in **premature infants** and is a consequence of immature cerebrovascular development. - It is **rare in full-term, 4-month-old infants** and does not explain the presence of **rib fractures** or the mechanism of injury suggested by the overall clinical picture.
Explanation: ***Multiple injuries in different stages of healing*** - This scenario strongly suggests **child abuse**. The "rash" described is suspicious; it is a **sharply delineated erythema** on the lower extremities up to the umbilicus with sparing of the knees and flexor surfaces, appearing after a hot bath. This pattern is classic for a **scald injury**, which would be considered abuse if inflicted by hot water. - The mother's claim of a sudden rash occurring an hour after a hot bath makes a thermal injury more likely, especially given her recent job loss, dependence on social assistance, and major depressive disorder, all of which are **risk factors for child abuse**. The child's poor eye contact also raises concerns. *Dermatographism* - **Dermatographism** is a form of urticaria where strokes or pressure on the skin cause raised, red lines. - This condition presents as transient wheals and would not align with the described **sharply delineated erythema** in a specific distribution, nor would it be triggered only by a hot bath in this manner. *Ulcers of the oral mucosa* - **Oral ulcers** are common in various systemic conditions (e.g., aphthous stomatitis, viral infections, lupus) but are not directly suggested by a sudden onset of skin erythema after a hot bath. - While some forms of abuse might involve oral injury, the described skin rash is not a typical presentation or associated finding that would lead one to specifically look for oral ulcers. *Malar rash with sparing of the nasolabial folds* - A **malar rash** (butterfly rash) is characteristic of **systemic lupus erythematosus (SLE)**, which the patient's maternal aunt has. However, this rash typically affects the cheeks and bridge of the nose. - The patient's rash is described as **sharply delineated erythema** on the lower extremities up to the umbilicus, with sparing of specific areas, which is inconsistent with the distribution and appearance of a malar rash. *Positive Nikolsky's sign* - **Nikolsky's sign** involves the epidermal detachment upon light friction, indicative of blistering disorders like **pemphigus vulgaris** or **staphylococcal scalded skin syndrome (SSSS)**. - While SSSS can cause widespread erythema and skin peeling, the description of **sharply delineated erythema** on specific body parts after a hot bath is more consistent with a thermal injury than the diffuse blistering and epidermal sloughing seen in SSSS.
Explanation: ***Intravenous hydration with 0.9% normal saline and insulin*** - This patient presents with **diabetic ketoacidosis (DKA)**, characterized by hyperglycemia (glucose 570 mg/dL), metabolic acidosis (pH 7.25, HCO3- 16 mEq/L, ketones positive), and dehydration (dry mucous membranes, increased thirst, weight loss). - Initial management of DKA involves aggressive **volume expansion** with **0.9% normal saline** to restore perfusion and reduce hyperglycemia; subsequently, **insulin infusion** is started to correct hyperglycemia and halt ketogenesis. *Intravenous hydration with 0.45% normal saline and insulin* - While insulin is crucial, **0.45% normal saline (hypotonic saline)** is generally not the initial fluid of choice for DKA due to the risk of exacerbating cerebral edema, especially in children. - **Isotonic saline (0.9% normal saline)** is preferred for initial resuscitation to rapidly restore extracellular fluid volume. *Intravenous hydration with 5% dextrose solution and 0.45% normal saline* - **5% dextrose solution** should only be added to intravenous fluids when the blood glucose level falls to around 200-250 mg/dL, to prevent hypoglycemia while continuing insulin to resolve ketosis. - Administering dextrose initially would worsen the existing severe hyperglycemia. *Intravenous sodium bicarbonate* - **Sodium bicarbonate** is generally not recommended for mild to moderate DKA due to potential risks like cerebral edema and metabolic alkalosis, and potential paradoxical worsening of CNS acidosis. - Bicarbonate therapy is reserved for **severe acidosis (pH < 6.9 or 7.0)** with hemodynamic instability or impaired cardiac contractility, which is not the case here. *Intravenous hydration with 0.9% normal saline and potassium chloride* - While **0.9% normal saline** is appropriate, this option lacks **insulin therapy**, which is essential for treating DKA by halting ketogenesis and correcting hyperglycemia. - Although potassium supplementation will be necessary during DKA treatment (as insulin drives K+ into cells and can cause hypokalemia), the most appropriate **next step** is to initiate both fluid resuscitation and insulin therapy together. - The patient's current potassium level of 5.5 mEq/L is at the upper limit of normal, but reflects total body potassium depletion; potassium should be added to maintenance fluids once adequate urine output is established.
Explanation: ***Basal-bolus insulin*** - This patient presents with **polyuria**, **polydipsia**, **weight loss**, **undetectable C-peptide**, and **severe hyperglycemia (410 mg/dL)**, consistent with **new-onset Type 1 Diabetes Mellitus**. - Critically, the **beta-hydroxybutyrate is negative**, indicating this patient is **NOT in diabetic ketoacidosis (DKA)**. - For new-onset Type 1 diabetes without ketoacidosis, the appropriate initial therapy is **subcutaneous basal-bolus insulin** regimen (long-acting basal insulin plus rapid-acting insulin with meals). - The patient needs rehydration (which can be oral or IV) and insulin initiation, but does not require intensive care with insulin infusion since there is no ketoacidosis. *Intravenous fluids, insulin infusion, and correction of electrolytes* - This is the standard management for **diabetic ketoacidosis (DKA)** or **hyperosmolar hyperglycemic state (HHS)**. - However, this patient has **negative beta-hydroxybutyrate**, ruling out DKA, and therefore does not require insulin infusion. - Insulin infusion is reserved for critically ill patients with ketoacidosis or severe metabolic derangements requiring intensive monitoring. *Metformin* - **Metformin** is an oral hypoglycemic agent used primarily for **Type 2 Diabetes Mellitus**. - It works by reducing hepatic glucose production and improving insulin sensitivity, but is not effective in Type 1 diabetes with absolute insulin deficiency. - The **undetectable C-peptide** confirms this patient has no endogenous insulin production and requires exogenous insulin. *Glimepiride* - **Glimepiride** is a **sulfonylurea** that stimulates insulin release from pancreatic beta cells. - It would not be effective in this patient due to **undetectable C-peptide**, indicating minimal to no functional beta cells. - This medication is used in Type 2 diabetes, not Type 1 diabetes. *Pramlintide* - **Pramlintide** is an **amylin analog** used as adjunctive therapy in Type 1 and Type 2 diabetes to slow gastric emptying and suppress glucagon secretion. - It is not a primary treatment for diabetes and would not address the fundamental issue of insulin deficiency. - It must be used in conjunction with insulin therapy and is not appropriate as initial monotherapy.
Explanation: ***Mitral regurgitation*** - The patient's presentation with **developmental delay**, **relatively large head circumference** (80th percentile), **long narrow face**, **large protruding ears**, and **hyperextensible joints** (thumbs to forearm) is highly suggestive of **fragile X syndrome**. - **Mitral valve prolapse** leading to **mitral regurgitation** is a common cardiac manifestation of fragile X syndrome, occurring in **50-80% of adult males** with the condition, due to **connective tissue dysplasia**. *Type 2 diabetes mellitus* - This condition is primarily associated with **obesity**, **insulin resistance**, and genetic predispositions unrelated to the features presented in this patient. - While fragile X patients may have general health concerns, there is **no specific increased risk** of developing type 2 diabetes mellitus directly linked to the syndrome's pathology. *Acute myeloid leukemia* - There is **no established association** between fragile X syndrome and an increased risk of developing **acute myeloid leukemia**. - AML is a **hematologic malignancy** with different risk factors, such as exposure to certain chemicals or prior chemotherapy. *Aortic dissection* - Aortic dissection is typically associated with conditions affecting **connective tissue** like **Marfan syndrome** or **Ehlers-Danlos syndrome**, or with **hypertension**. - While fragile X syndrome involves connective tissue abnormalities, **aortic dissection is not a typical or significantly increased risk** compared to other connective tissue disorders. *Hyperuricemia* - **Hyperuricemia** is most commonly associated with conditions like **gout**, **kidney disease**, or certain **genetic metabolic disorders** (e.g., Lesch-Nyhan syndrome). - There is **no direct link** between fragile X syndrome and an increased risk of hyperuricemia.
Explanation: ***Decreased total body potassium*** - This is the correct answer. In **diabetic ketoacidosis (DKA)**, patients have **significant total body potassium depletion** due to osmotic diuresis and urinary losses. - **Serum potassium may initially appear normal or even elevated** due to acidosis-induced extracellular shift of potassium from cells. - However, **total body potassium stores are markedly depleted**, and during treatment with insulin and fluids, severe hypokalemia can develop as potassium shifts back intracellularly. *Excess water retention* - The patient's symptoms, including **polydipsia**, **polyuria**, and **dry mucous membranes**, indicate **dehydration**, not excessive water retention. - Her blood pressure of 94/58 mm Hg also suggests **volume depletion**. *Serum glucose concentration > 800 mg/dL* - While the patient has significant hyperglycemia (indicated by glucose in urine), **DKA** typically presents with glucose levels between **250-600 mg/dL**. - Glucose levels >800 mg/dL are more characteristic of **hyperosmolar hyperglycemic state (HHS)**, which is less common in children and usually lacks significant ketosis. *Increased arterial pCO2* - The patient exhibits **Kussmaul respirations** (deep and labored breathing) and an increased respiratory rate (32/min), which are compensatory mechanisms for **metabolic acidosis**. - This compensation leads to **decreased arterial pCO2** as the body tries to blow off CO2 to raise pH. *Increased arterial blood pH* - The symptoms, particularly **Kussmaul respirations** and the presence of **ketones** in the urine, strongly suggest **diabetic ketoacidosis (DKA)**. - DKA is characterized by **severe metabolic acidosis**, meaning the arterial blood pH would be **decreased**, not increased.
Explanation: ***Age-appropriate diet*** - For **mild acute gastroenteritis** without significant dehydration, the latest recommendations advise continuing **age-appropriate feeding** to support nutritional requirements and promote gut recovery. - This approach helps to prevent malnutrition and does not prolong the course of diarrhea. *Plenty of juices and carbonated sodas* - **High sugar content** in juices and sodas can worsen diarrhea due to their **osmotic effect**, drawing more water into the intestine. - These beverages also lack essential **electrolytes** needed for rehydration. *Diluted formula milk* - Diluting formula can lead to **insufficient caloric intake** and nutritional deficiencies, which is generally not recommended for mild gastroenteritis. - Undiluted formula is usually well-tolerated, as most infants with acute gastroenteritis do not develop significant **lactose intolerance**. *Lactose-free diet* - Routine use of **lactose-free diets** is generally not recommended unless there is strong evidence of **secondary lactase deficiency**, which typically presents with increased flatulence, bloating, and worsening diarrhea. - The majority of children with acute gastroenteritis can tolerate their usual milk intake. *BRAT diet* - The **B**ananas, **R**ice, **A**pplesauce, **T**oast (BRAT) diet is **nutritionally restrictive**, providing inadequate protein and fat, which can hinder recovery and growth in infants. - Current guidelines no longer recommend the BRAT diet for acute gastroenteritis.
Explanation: ***Vitamin D*** - **Breast milk** is naturally a **poor source of vitamin D**, making supplementation necessary for breastfed infants to prevent **rickets** and ensure adequate bone development. - While small amounts of vitamin D are present, they are often insufficient to meet the infant's requirements, especially if maternal vitamin D levels are also low. *Whey protein* - **Whey protein** is a major component of breast milk, contributing to its digestibility and providing essential **amino acids** for infant growth. - It is specifically rich in **alpha-lactalbumin**, which has both nutritional and antimicrobial properties. *Lysozymes* - **Lysozymes** are abundant in breast milk and play a crucial role in the infant's innate **immune defense** by breaking down bacterial cell walls. - These enzymes help protect against gastrointestinal infections and contribute to the establishment of healthy gut flora. *Phosphorus* - **Phosphorus** is an essential mineral found in sufficient quantities in **breast milk**, crucial for **bone mineralization**, energy metabolism, and cell function. - Its concentration is carefully regulated to meet the needs of the growing infant without overloading immature kidneys. *Immunoglobulin A* - **Secretory IgA (sIgA)** is the predominant **immunoglobulin** in breast milk, providing passive immunity by coating the infant's intestinal tract and preventing pathogen attachment. - It is crucial for protecting the infant from various infections, especially those affecting the gastrointestinal and respiratory systems.
Explanation: ***I, IV*** - **Splenic sequestration crisis** is common in infants and young children with sickle cell disease because the spleen is still functional and can acutely pool red blood cells, leading to severe anemia and hypovolemic shock. - **Acute chest syndrome** occurs across all ages but is particularly prevalent in pediatric patients, often triggered by infection or vaso-occlusion in the pulmonary vasculature. *III, IV* - While acute chest syndrome (IV) is common in children, **pulmonary hypertension** (III) is typically a complication that develops over decades in adults with sickle cell disease, due to chronic pulmonary vascular damage. - This option incorrectly groups a chronic adult complication with an acute pediatric one, overlooking other more prevalent pediatric issues. *I, II* - **Splenic sequestration** (I) is indeed a pediatric complication, but **avascular necrosis** (II) usually develops over time, making it more common in adolescents and adults due to repetitive micro-infarctions in bone. - This option misses acute chest syndrome, a highly significant and frequent pediatric complication. *I, II, IV* - While Splenic sequestration (I) and Acute Chest Syndrome (IV) are common in pediatric patients, **avascular necrosis** (II) is typically seen in older children, adolescents, and adults. - Including avascular necrosis makes this option less accurate for *younger* pediatric groups, where acute complications dominate. *I, IV, V* - **Splenic sequestration** (I) and **Acute Chest Syndrome** (IV) are indeed pediatric complications, but **nephropathy** (V), including chronic kidney disease and proteinuria, generally develops later in life due to chronic renal ischemia and damage. - This option incorrectly includes a chronic adult complication as a primary pediatric issue.
Explanation: ***Positioning therapy*** - This infant is thriving, as evidenced by her significant weight gain, despite her regurgitation and vomiting. Her examination is also benign. These features make **gastroesophageal reflux (GER)**, a physiological process, the most likely diagnosis. - **Positioning therapy** (e.g., keeping the infant upright during and after feeds) is a first-line, conservative management strategy for GER in infants who are otherwise healthy and gaining weight well. *Upper endoscopy* - **Upper endoscopy** is an invasive procedure and is typically reserved for evaluating patients with suspected complicated gastroesophageal reflux disease (GERD), such as those with **poor weight gain**, **hematemesis**, or **esophagitis**, none of which are seen here. - It would not be the initial step in a thriving infant with symptoms consistent with uncomplicated GER. *Ultrasound of the abdomen* - An **abdominal ultrasound** is primarily used to diagnose **pyloric stenosis** in infants, which typically presents with **projectile, non-bilious vomiting** and **poor weight gain** or weight loss, usually between 3 and 6 weeks of age. - This infant's symptoms are different in character (regurgitation/vomiting 10-15 minutes after feeding, not projectile) and she is gaining weight well, making pyloric stenosis less likely. *Esophageal pH monitoring* - **Esophageal pH monitoring** is used to quantify acid reflux episodes and is typically reserved for infants with atypical symptoms, suspected **complicated GERD**, or those who have failed empirical therapy. - It is not indicated as a primary diagnostic or management step in a healthy, thriving infant with typical GER symptoms. *Pantoprazole therapy* - **Proton pump inhibitors (PPIs)** like pantoprazole are used to treat **GERD** by reducing stomach acid production, especially in cases with evidence of **esophagitis** or significant symptoms impacting growth or comfort. - Given this infant is thriving and has no signs of complications, acid-suppressing medication is not appropriate as the initial management step; conservative measures should be tried first.
Explanation: ***Splenomegaly on ultrasound*** - The clinical picture of **anemia** (Hb 7.1 g/dL), **jaundice** (scleral icterus, total bilirubin 6.4 mg/dL with indirect predominance), **elevated LDH**, and **low haptoglobin** points to **hemolytic anemia**. The high reticulocyte count (11%) indicates a robust bone marrow response to red blood cell destruction. - The history of **swelling of hands and feet** in a 2-year-old child from **Sudan** is highly suggestive of **sickle cell disease** (dactylitis is an early manifestation). In sickle cell disease, the **spleen** is often enlarged due to **red blood cell sequestration** and chronic hemolysis, especially in childhood, before repeated infarctions lead to autosplenectomy. *Low ferritin level in serum* - **Ferritin** is an **acute phase reactant** and a measure of **iron stores**. In chronic hemolytic conditions like sickle cell disease, patients often experience **iron overload** due to repeated transfusions or increased absorption from chronic red cell turnover. - Therefore, a **low ferritin level** is unlikely in this scenario; **elevated ferritin** is more probable. *Hypocellular bone marrow on biopsy* - The **reticulocyte count is 11%**, which is **markedly elevated**. This indicates a **hypercellular bone marrow** that is actively producing red blood cells to compensate for the ongoing hemolysis. - **Hypocellular bone marrow** would be seen in conditions like aplastic anemia, which is characterized by **pancytopenia** and a **low reticulocyte count**. *Anti-erythrocyte antibodies on Coombs test* - The symptoms are consistent with **sickle cell disease**, a **non-immune hemolytic anemia**. - **Anti-erythrocyte antibodies** are found in **autoimmune hemolytic anemia**, where the Coombs test would be positive. This is not suggested by the patient's presentation. *Pale stool on rectal examination* - **Pale stools** (acholic stools) are indicative of **biliary obstruction** or **cholestasis**, where bilirubin is prevented from reaching the intestines and being converted to urobilinogen, which gives stool its brown color. - This patient has **indirect hyperbilirubinemia**, which suggests **increased bilirubin production** from hemolysis, not impaired excretion into the bile duct. **Scleral icterus** is also consistent with hemolysis.
Explanation: ***Seborrheic dermatitis*** - The presentation of **erythematous patches** with **greasy yellow scales** on the scalp and face in an infant is characteristic of **cradle cap**, which is infantile seborrheic dermatitis. - The involvement of the **forehead** and **hairline** further supports this diagnosis, as these are common areas for seborrheic dermatitis in infants. *Erythroderma* - **Erythroderma** (exfoliative dermatitis) is characterized by generalized redness and scaling affecting more than **90% of the body surface area**. - This patient's rash is localized to the scalp and face, which is inconsistent with the diffuse nature of erythroderma. *Atopic dermatitis* - **Atopic dermatitis** typically presents with intensely **pruritic** (itchy) eczematous lesions, which are often dry and red. - While it can affect the face and scalp in infants, the description of **greasy yellow scales** is more characteristic of seborrheic dermatitis, and **pruritus** is not highlighted as a prominent symptom. *Allergic contact dermatitis* - **Allergic contact dermatitis** results from an immune reaction to contact with an allergen, often presenting with **intensely pruritic**, well-demarcated eczematous lesions, sometimes with **vesicles** or **bullae**. - There is no mention of exposure to a new product or an itchy rash in this case, and the appearance with greasy scales is not typical. *Seborrheic keratosis* - **Seborrheic keratoses** are benign epidermal tumors that typically appear as **waxy, 'stuck-on' lesions**, usually in older adults, and are rarely seen in infants. - The description of **erythematous patches** with **greasy scales** in an infant does not fit the characteristics of seborrheic keratoses.
Explanation: ***Impaired erythropoietin production*** - This patient presents with **anemia of prematurity**, indicated by **normocytic, normochromic anemia** with a **low reticulocyte count** in a premature infant. - The primary mechanism for **anemia of prematurity** is a blunted erythropoietin response to early anemia, leading to **impaired red blood cell production**. *Red blood cell membrane defect* - Conditions like **hereditary spherocytosis** or **elliptocytosis** involve red blood cell membrane defects, which typically lead to **hemolytic anemia** with elevated reticulocyte count. - The patient's **low reticulocyte count** and normal LDH (lactate dehydrogenase is a marker of hemolysis) make a primary membrane defect less likely. *Minor blood group incompatibility* - **Minor blood group incompatibilities** (e.g., ABO, Kell, Duffy) typically cause **hemolytic disease of the newborn**, characterized by **elevated reticulocyte count**, **hyperbilirubinemia**, and signs of hemolysis. - The patient exhibits no signs of hemolysis, such as elevated bilirubin or LDH, and has a normal reticulocyte count. *Hemoglobinopathy* - **Hemoglobinopathies** (e.g., sickle cell anemia, thalassemia) involve structural or quantitative defects in hemoglobin, often leading to **microcytic** or **hemolytic anemias** with **elevated reticulocyte counts** or specific red blood cell morphologies. - The patient's **normocytic, normochromic anemia** and absent signs of hemolysis do not fit typical presentations of common hemoglobinopathies at this age. *Congenital infection* - Certain **congenital infections** (e.g., parvovirus B19, congenital syphilis, rubella) can cause anemia by directly suppressing erythropoiesis or causing hemolysis. - While the mother was not immune to rubella, there are no other clinical signs of congenital infection, and the **normocytic, normochromic anemia** with low reticulocytes is more characteristic of anemia of prematurity.
Explanation: ***↑ reticulocyte count*** - An increase in the **reticulocyte count** is the earliest sign of a bone marrow response to iron supplementation. Reticulocytes are immature red blood cells, and their production rapidly increases as the bone marrow utilizes available iron to make new healthy red blood cells. - This typically occurs within **3-7 days** of initiating iron therapy, reflecting effective erythropoiesis before changes in hemoglobin or other red cell indices become apparent. *↓ Mentzer index* - The **Mentzer index** is used to differentiate between iron deficiency anemia and thalassemia trait; it is not a direct measure of treatment response. - A low Mentzer index (MCV/RBC count < 13) suggests thalassemia, while a high index (MCV/RBC count > 13) suggests iron deficiency. This value would not be the first to change post-treatment. *↑ mean corpuscular hemoglobin* - **Mean corpuscular hemoglobin (MCH)** reflects the average amount of hemoglobin in a single red blood cell. While it will eventually increase with successful treatment, this change occurs after the reticulocyte count elevation. - MCH improvement signifies the production of fully hemoglobinized red blood cells, which takes longer than the initial surge in immature red cell release. *Normalization of hemoglobin* - **Hemoglobin levels** will gradually rise and normalize with effective iron therapy, typically over several weeks to months. - This is a later indicator of treatment success, occurring after the initial reticulocytosis. *↓ Anisocytosis* - **Anisocytosis** refers to variation in red blood cell size, measured by **red cell distribution width (RDW)**. In iron deficiency anemia, RDW is typically elevated. - While RDW will eventually decrease as the red blood cell population becomes more uniform with treatment, this change is not the earliest response. The initial production of new red cells can even temporarily increase RDW before it normalizes.
Explanation: ***Intussusception*** - This diagnosis is highly suggested by the classic presentation of a 10-month-old infant with **bilious vomiting**, **abdominal pain** (irritability), and an **abdominal mass** in the periumbilical region, coupled with the surgical finding of one part of the intestine telescoping into an adjacent section. - The sudden onset of symptoms in an otherwise healthy infant, along with **green vomit** (indicating bile) and an acute abdomen, are hallmark signs of this condition. *Pyloric stenosis* - This condition typically presents with **non-bilious projectile vomiting** in infants usually between 3 weeks and 6 months of age, with an **olive-shaped mass** in the epigastrium. - The patient's **bilious vomiting** and the specific finding of intestinal telescoping rule out pyloric stenosis. *Hirschsprung’s disease* - This condition usually presents with **failure to pass meconium** in the neonatal period or chronic constipation and abdominal distension in older infants. - While it involves the intestine, it is a **motility disorder** due to the absence of ganglion cells, not an anatomical telescoping of bowel. *Duodenal atresia* - This is a congenital obstruction of the duodenum, typically diagnosed shortly after birth with **bilious vomiting** and a characteristic "**double bubble**" sign on X-ray. - It would not involve an abdominal mass or the intussusception described. *Meckel’s diverticulum* - This condition is a remnant of the vitelline duct and can present with painless rectal bleeding or, less commonly, intestinal obstruction, **volvulus**, or **intussusception** if it acts as a lead point. - While it can be a rare cause of intussusception, the question directly describes the pathophysiology of intussusception itself rather than a diverticulum causing it.
Explanation: **Hypoxanthine-guanine phosphoribosyltransferase deficiency** - The combination of **developmental delay**, **self-mutilation** (lacerations of lips/tongue, head-hitting, finger wounds), **hyperuricemia** (uric acid 12.3 mg/dL), and **increased muscle tone** are hallmark features of **Lesch-Nyhan syndrome**, caused by deficiency of **hypoxanthine-guanine phosphoribosyltransferase (HGPRT)**. - The elevated **mean corpuscular volume (MCV)** suggests **macrocytic anemia**, which can also be seen in Lesch-Nyhan syndrome due to impaired purine metabolism. *FMR1 gene mutation* - This mutation causes **Fragile X syndrome**, characterized by intellectual disability, developmental delay, and behavioral issues like hyperactivity or autism-like features. - However, **self-mutilation** and **hyperuricemia** are not typical features of Fragile X syndrome. *Branched-chain alpha-ketoacid dehydrogenase complex deficiency* - This deficiency leads to **Maple Syrup Urine Disease (MSUD)**, presenting with poor feeding, lethargy, seizures, and a characteristic maple syrup odor in urine. - The clinical presentation, including the absence of a distinct odor and the presence of self-mutilation and hyperuricemia, does not align with MSUD. *MECP2 gene mutation* - This mutation is associated with **Rett syndrome**, which primarily affects girls, causing a period of normal development followed by regression, loss of purposeful hand movements, and stereotypic hand-wringing. - The patient is a boy, and the specific symptoms described, especially hyperuricemia and severe self-mutilation, are not consistent with Rett syndrome. *Microdeletion of paternal chromosome 15* - This describes the genetic cause of **Prader-Willi syndrome**, characterized by infantile hypotonia, cryptorchidism, developmental delay, and later in childhood, hyperphagia and obesity. - While there is developmental delay, the clinical picture here lacks the characteristic features of Prader-Willi syndrome and includes symptoms (self-mutilation, hyperuricemia) not typically seen in this condition.
Explanation: ***Avascular necrosis of the femoral head*** - The patient's age (7 years), chronic hip pain and limp, and absence of acute systemic symptoms, along with the **classic X-ray findings of fragmentation and increased density of the femoral epiphysis** (as seen in Legg-Calvé-Perthes disease), strongly indicate avascular necrosis of the femoral head. - This condition is characterized by **interruption of the blood supply to the femoral head**, leading to collapse and deformity. *Viral infection* - While a recent viral infection could cause **transient synovitis**, its symptoms are typically acute and resolve much quicker, usually within 1-2 weeks, unlike the 3-week history here. - Furthermore, **transient synovitis** does not lead to the distinct X-ray changes of avascular necrosis. *Bacterial infection of the joint* - A bacterial infection (septic arthritis) would present with more acute and severe symptoms, including **high fever, significant pain, inability to bear weight**, and elevated inflammatory markers (ESR, CRP). - The X-ray findings would typically show **joint effusion and potentially bone destruction** in later stages, not the specific changes seen in avascular necrosis. *Unstable proximal femoral growth plate* - An unstable proximal femoral growth plate is characteristic of **slipped capital femoral epiphysis (SCFE)**, which typically occurs in adolescent, often obese, children (10-16 years old), **not in a 7-year-old child**. - The X-ray would show **posterior and inferior displacement of the femoral epiphysis**, which is different from the fragmentation and increased density seen here. *Immune-mediated synovial inflammation* - Immune-mediated synovial inflammation, such as **juvenile idiopathic arthritis**, typically presents with **morning stiffness, chronic joint swelling**, and can affect multiple joints. - While it can cause a limp and pain, the **distinctive X-ray findings of avascular necrosis** are not characteristic of this condition.
Explanation: **Normal development** - The patient's age (13 years old) and Tanner stage 3 sexual development are consistent with **pubertal gynecomastia**, which is a common and normal finding in adolescent males. - The presentation of a **mildly tender, firm, subareolar mass** in one or both breasts is characteristic of physiological gynecomastia during puberty. *Adverse effect of medication* - While certain medications can cause gynecomastia, **cetirizine (an antihistamine)** is not typically associated with this side effect. - The clinical presentation aligns more strongly with a **physiological process** given the patient's age and pubertal stage. *Invasive ductal carcinoma* - Breast cancer in adolescent males is **extremely rare** and usually presents with hard, irregular, fixed masses, often with skin dimpling or nipple discharge. - The described mass is **mildly tender and subareolar**, which is more typical of benign gynecomastia. *Leydig cell tumor* - Leydig cell tumors can cause gynecomastia due to **increased estrogen production** or increased androgen-to-estrogen conversion. - However, such tumors would typically present with other signs of **precocious puberty** or testicular abnormalities, which are not mentioned here. *Hyperprolactinemia* - High prolactin levels can cause gynecomastia, but they are also associated with **galactorrhea** (nipple discharge), which is not described in this patient. - **Other causes of gynecomastia** are more common in adolescents than hyperprolactinemia.
Explanation: ***Intravenous hydration*** - The patient exhibits signs of **dehydration** (dark yellow urine, decreased voiding, tachycardia, hypotension) and poor growth, necessitating immediate intravenous fluid resuscitation. - This step is critical for stabilizing the patient before further diagnostic tests or definitive treatment for the underlying cause of vomiting. *MRI of the head* - While vomiting can be a sign of neurological issues, there are no other symptoms suggestive of increased **intracranial pressure** such as lethargy, seizures, or bulging fontanelles. - Head imaging is not the immediate priority given the prominent signs of dehydration and lack of neurological red flags. *Pyloromyotomy* - This is the **definitive surgical treatment** for **pyloric stenosis**, which is a suspected diagnosis given the forceful, non-bilious vomiting and age. - However, the patient's dehydration and electrolyte imbalances must be corrected *before* surgery to minimize surgical risks. *Thickening feeds* - Thickening feeds is commonly used for **gastroesophageal reflux**, but the patient's vomiting is described as "forceful" and increasing in frequency, which is more characteristic of an **obstructive** process rather than simple reflux. - This intervention is unlikely to resolve the symptoms and does not address the immediate concern of dehydration. *Abdominal ultrasound* - An **abdominal ultrasound** is the diagnostic test of choice for **pyloric stenosis**, which is highly suspected given the patient's presentation of progressive, forceful, non-bilious vomiting in an infant. - While essential for diagnosis, addressing the patient's immediate and life-threatening dehydration takes precedence over imaging.
Explanation: ***Asymmetric corneal light reflex*** - This finding is **characteristic of strabismus**, where the misalignment of the eyes causes the light reflection to appear in different positions on each cornea. - The premature birth and low birth weight are risk factors for strabismus, and the reported "lazy eye" and misalignment support this diagnosis. *Fundus neovascularization* - **Retinopathy of prematurity (ROP)**, often seen in premature infants, involves abnormal blood vessel growth in the retina, which can lead to vision loss. - While ROP is a complication of prematurity and can cause vision problems, **neovascularization itself is not a direct consequence of strabismus** and is not typically a physical exam finding for strabismus alone. *Bitemporal hemianopsia* - This is a **visual field defect** causing loss of the outer halves of the visual field in both eyes due to a lesion at the optic chiasm. - It is a **neurological sign**, not a direct physical manifestation of ocular misalignment, and would not be expected in a child with isolated strabismus. *Nystagmus* - Nystagmus is an **involuntary, rhythmic oscillation of the eyes**, which can be associated with various neurological conditions or visual impairments. - While some cases of strabismus may be accompanied by nystagmus, it is **not a universal finding** and the description of misaligned eyes points more directly to an asymmetric corneal light reflex. *Increased intraocular pressure* - Elevated intraocular pressure is a hallmark of **glaucoma**, which can lead to optic nerve damage and vision loss. - There is **no direct link between strabismus and increased intraocular pressure** as a primary finding.
Explanation: ***Decreased hemoglobin*** - The patient's **picky eating habits**, combined with consuming **large amounts of whole milk** (low in iron), suggest a high risk for **iron deficiency anemia**. - **Pallor** and **tachycardia** are classic signs of anemia, and a **systolic ejection murmur** can be a functional murmur due to increased cardiac output in anemic states. *Increased Hb S levels* - **Hb S** is characteristic of **sickle cell disease**, typically resulting in symptomatic episodes like **vaso-occlusive crises** and chronic anemia. - The patient's presentation with dietary factors and pallor points more strongly to **nutritional anemia**, not a hemoglobinopathy. *Decreased vitamin B12 levels* - **Vitamin B12 deficiency** can cause megaloblastic anemia, but is usually associated with **neurological symptoms** and is less common at this age due to dietary intake habits. - While prolonged exclusive breastfeeding could lead to B12 deficiency if the mother is deficient, the child was weaned at 6 months, and the symptoms are more consistent with iron deficiency. *Metabolic alkalosis* - **Metabolic alkalosis** was likely present during his previous illness involving **projectile vomiting** due to pyloric stenosis, but this has since been surgically corrected. - His current symptoms of pallor and tachycardia are not indicative of an acid-base imbalance, but rather a circulatory issue like anemia. *Increased lead levels* - **Lead poisoning** can cause anemia and abdominal pain, but the patient's house was built in the 1990s (reducing the risk of lead paint exposure) and he has no history of pica. - While it's a possibility, the specific dietary history of high milk intake and poor solid food consumption makes **iron deficiency anemia** a more direct and probable cause of his symptoms.
Explanation: ***Low-normal FSH, Low-normal LH, Low Estradiol, Normal Prolactin*** - This pattern is characteristic of **constitutional delay of growth and puberty (CDGP)**, where the hypothalamic-pituitary-gonadal (HPG) axis has not yet fully matured, resulting in low-normal gonadotropins and low estradiol. - The key clinical features supporting CDGP include: **delayed bone age** (12 years vs chronologic age 15), **positive family history** of late puberty, normal growth velocity, and absence of pathological findings. - In CDGP, gonadotropins are in the **low-normal or prepubertal range** but will eventually rise spontaneously as the HPG axis matures, distinguishing this from permanent hypogonadotropic hypogonadism. - GnRH stimulation testing would show a pubertal (not prepubertal) response, confirming the functional delay rather than a pathologic deficiency. *Low FSH, Low LH, Low Estradiol, Normal Prolactin* - This pattern suggests **hypogonadotropic hypogonadism**, such as Kallmann syndrome or functional hypothalamic amenorrhea, where gonadotropins are frankly low (not just low-normal). - While this also presents with low estradiol and delayed puberty, patients with hypogonadotropic hypogonadism typically lack the **positive family history** and would not show delayed bone age suggesting growth potential. - The distinction is that in permanent hypogonadotropic hypogonadism, the HPG axis is deficient and will not mature spontaneously without hormonal treatment. *High FSH, High LH, Normal Estradiol, Normal Prolactin* - This combination is inconsistent with delayed puberty, as high gonadotropins indicate **hypergonadotropic hypogonadism** (primary ovarian failure such as Turner syndrome). - Hypergonadotropic hypogonadism presents with **high FSH/LH and low estradiol** (not normal), as the pituitary attempts to stimulate non-responsive ovaries. - This patient's delayed bone age and family history make a physiologic delay (CDGP) much more likely than ovarian failure. *Normal FSH, Normal LH, Normal Estradiol, Normal Prolactin* - **Normal estradiol** at age 15 would indicate that puberty is progressing appropriately, which contradicts this patient's clinical presentation. - The patient has delayed menarche, absent pubic/axillary hair, only Tanner stage 2 breast development, and bone age of 12 years - all indicating **low estradiol** and delayed pubertal progression. - If all hormones were normal, we would expect more advanced pubertal development at this age. *Normal FSH, Normal LH, Low Estradiol, Normal Prolactin* - While low estradiol correctly reflects delayed puberty, describing FSH and LH as fully "normal" is imprecise for CDGP. - In CDGP, gonadotropins are characteristically in the **low-normal or prepubertal range**, not at robust normal adult levels, reflecting the immature but eventually functional HPG axis. - The distinction between "normal" and "low-normal" gonadotropins is clinically important for differentiating constitutional delay from other causes of delayed puberty.
Explanation: ***Immediate endoscopic removal*** - Button battery ingestion in a young child requires **urgent imaging (chest/abdominal X-ray)** to localize the battery, followed by **immediate endoscopic removal if esophageal**. - Button batteries lodged in the **esophagus** pose a significant risk of **esophageal caustic injury, perforation, or stricture formation** due to electrical current generation and leakage of alkaline contents within **2-4 hours**. - Given the recent ingestion and high risk of esophageal lodgment in young children, the most appropriate next step is proceeding directly to **urgent endoscopic evaluation and removal**, as this addresses the time-critical nature of potential esophageal impaction. - Even asymptomatic patients require urgent intervention due to the rapid progression of esophageal injury. *Reassurance and observation for the next 24 hours* - This approach is inappropriate for button battery ingestion due to the rapid and severe damage these batteries can cause to the esophageal mucosa if lodged. - Delayed intervention increases the risk of **perforation, tracheoesophageal fistula formation, and mediastinitis**, which can be life-threatening. - Observation alone is only appropriate for batteries that have passed into the stomach and are small (<20mm) in older children. *Computed tomography (CT) scan to confirm the diagnosis* - While imaging is necessary to localize the battery, **CT scan is not the appropriate initial imaging modality** as it exposes the child to unnecessary radiation and delays treatment. - A simple **chest/abdominal radiograph** can quickly confirm the presence and location of the metallic foreign body, which is the imaging modality of choice. - CT provides no additional benefit over plain radiography for battery localization. *Induce emesis to expel the battery* - Inducing emesis is **absolutely contraindicated** as it can worsen the situation by causing the battery to become lodged more firmly or lead to aspiration. - There is significant risk of re-injury to the esophagus during expulsion and potential for the battery to become stuck in the oropharynx or airway. - This intervention may also delay definitive management. *Induce gastrointestinal motility with metoclopramide to expel the battery* - Pharmacologic induction of gastrointestinal motility is **ineffective and potentially harmful** for managing button battery ingestion. - This approach does not address the immediate danger of esophageal injury and may increase the risk of complications. - Prokinetic agents have no role in the management of ingested foreign bodies, especially button batteries.
Explanation: ***Decrease in serum potassium*** - **Insulin therapy** drives **potassium** into cells, as it stimulates the **Na+/K+ ATPase pump**, leading to a decrease in serum potassium levels. - The initial **hyperkalemia** (potassium 5.8) is due to extracellular fluid shifts and acidosis, which will correct as **DKA** resolves with treatment. *Increase in anion gap* - The presented patient has **diabetic ketoacidosis (DKA)**, which is characterized by a **high anion gap metabolic acidosis** (evidenced by low pH and bicarbonate). - Treatment with **IV fluids and insulin** aims to resolve the ketoacidosis, which would consequently lead to a **decrease** in the **anion gap**, not an increase. *Increase in serum glucose* - The primary goal of **IV fluids and insulin** in **DKA** is to lower the critically high **serum glucose** levels by promoting glucose uptake into cells and inhibiting hepatic glucose production. - Therefore, one would expect a **decrease** in serum glucose, not an increase, as treatment progresses. *Decrease in pH* - The patient's initial pH of 7.14 indicates **acidosis**, a hallmark of **DKA**. - **Insulin therapy** and **fluid resuscitation** will resolve the ketoacidosis, leading to an **increase** in **pH** towards normal, not a further decrease. *Decrease in serum bicarbonate* - The patient already presents with **decreased serum bicarbonate** (17 mEq/L), which is consistent with **metabolic acidosis** due to DKA. - Treatment with **fluids and insulin** will correct the acidosis by reducing ketone production, leading to an **increase** in **serum bicarbonate**, not a further decrease.
Explanation: ***Atopic dermatitis*** - The combination of an **itchy, scaly, erythematous rash** around the eyes and mouth in an infant with a history of **asthma** strongly suggests atopic dermatitis, a condition linked to the **atopic triad**. - **Exacerbating factors** like scratching and the typical facial distribution are common in young children with this condition. *Impetigo* - Impetigo typically presents with **"honey-crusted" lesions** and is caused by bacterial infection, which is not described. - While it can be itchy, the appearance and association with asthma make it less likely. *Bronchiolitis* - Bronchiolitis is a **respiratory infection** primarily affecting infants, characterized by **wheezing** and respiratory distress, not a skin rash around the eyes and mouth. - Although wheezing is present, it's attributed to the patient's asthma history rather than acute bronchiolitis. *Viral conjunctivitis* - Viral conjunctivitis would present with **red eyes**, **gritty sensation**, and often discharge, but typically not a scaly rash around the eyes or mouth. - The patient's conjunctiva are described as clear, ruling out this diagnosis. *Scalded skin syndrome* - Scalded skin syndrome presents with **widespread blistering** and skin peeling, resembling a burn, which is distinct from the localized, erythematous, and scaly rash described. - It is typically a more severe illness, not a localized itchy rash.
Explanation: ***Limit milk intake*** - The patient's presentation and lab results (low Hb, low MCV, low ferritin, high TIBC) are highly indicative of **iron deficiency anemia**. Excessive cow's milk intake (typically >24 oz/day) in infants is a leading cause of iron deficiency through multiple mechanisms: displacing iron-rich foods from the diet, causing occult gastrointestinal blood loss, and impairing iron absorption due to calcium content. - With severe anemia (Hb 6.4 g/dL), **iron supplementation is essential** and should be started immediately (3-6 mg/kg/day elemental iron). However, addressing the underlying **dietary cause** by limiting milk to 16-24 oz/day and encouraging iron-rich foods (meat, fortified cereals) is crucial to prevent recurrence and ensure long-term resolution. - This question tests understanding of the **etiology** of nutritional iron deficiency in toddlers, where excessive milk consumption is the most common preventable cause. *Administer deferoxamine* - **Deferoxamine** is a chelating agent used to treat **iron overload** (hemochromatosis, transfusional iron overload, acute iron poisoning). - This patient has severe iron **deficiency**, so removing iron would be harmful and contraindicated. *Echocardiogram* - An **echocardiogram** evaluates cardiac structure and function, indicated for suspected structural heart disease or pathologic murmurs. - The grade II systolic ejection murmur is likely a **flow murmur** from high cardiac output due to severe anemia. Once anemia is corrected, the murmur should resolve. Echocardiogram is not the priority and would only be considered if the murmur persists after anemia correction. *Measure lead level* - **Lead poisoning** can cause microcytic anemia and should be considered in at-risk children. - However, lead poisoning typically shows **normal or elevated ferritin** (lead causes anemia of chronic disease plus iron dysregulation), whereas this patient has **very low ferritin (6 ng/mL)** and **markedly elevated TIBC (565)**, which are classic for iron deficiency, not lead toxicity. *Iron supplementation* - **Iron supplementation is absolutely necessary** for this patient with severe anemia (Hb 6.4 g/dL) and should be started immediately along with dietary counseling. - However, the question specifically asks for the dietary modification needed **in addition to** iron supplementation to address the **underlying cause**. Without limiting excessive milk intake, iron deficiency will likely recur even with supplementation.
Explanation: ***Enuresis alarm*** - Enuresis alarms have a **90% success rate** and are considered the **most effective long-term treatment** for monosymptomatic enuresis. - While it may take time, an enuresis alarm helps condition the child's brain to recognize a full bladder and wake up to void, establishing a **physiological response**. *Reassurance* - Reassurance alone is insufficient in this case, as enuresis is **persisting despite initial interventions** and causing distress to both the child and mother. - While important for psychological support, it does not address the underlying issue or provide a **definitive treatment strategy**. *Behavioral therapy* - Behavioral therapy has already been attempted, and although it led to some decrease, the **enuresis persists**, indicating a need for a more intensive or different approach. - While foundational, it may not be adequate as a **standalone next step** when basic behavioral interventions have not fully resolved the issue. *DDAVP* - **Desmopressin (DDAVP)** is an antidiuretic hormone analogue that reduces urine production and is effective for short-term control of enuresis. - However, it has a **high relapse rate** (up to 90%) after discontinuation and is generally reserved for situations requiring temporary dryness, such as sleepovers, or as an adjunct therapy. *Oxybutynin* - **Oxybutynin** is an anticholinergic medication used to treat overactive bladder by reducing bladder muscle contractions. - It is typically considered only if there is evidence of **detrusor overactivity** (e.g., urgency, frequent voiding during the day), which is not indicated by the patient's history and normal voiding diary.
Explanation: ***Growth*** - At 1 year of age, a child's **birth weight should triple**, and their **birth length should increase by 50%**. - This child's birth weight was 3061 g (6 lb 12 oz), meaning his expected weight at 1 year should be around **9183 g (20 lb 4 oz)**, but he only weighs **7910 g (17 lb 7 oz)**, indicating **inadequate weight gain** (~1273 g below expected). - This child's birth length was 48 cm (19 in), meaning his expected length at 1 year should be around **72 cm (28 in)**, but he is only **60 cm (24 in)**, indicating **poor linear growth** (12 cm below expected). - Both **weight-for-age and length-for-age are delayed**, making growth the most likely delayed parameter. *Fine motor skills* - The child can **pick up an object between his thumb and index finger**, demonstrating a **pincer grasp**, which is an appropriate fine motor skill for a 12-month-old. - He can also **throw a small ball**, further indicating age-appropriate fine motor development. *Language skills* - The child can say **'mama', 'dada'**, and **'uh-oh'**, which are appropriate first words for a 12-month-old. - He also **waves 'bye-bye'**, showing appropriate receptive and expressive communication. *Gross motor skills* - The child can **walk with one hand held**, which is an expected gross motor milestone for a 12-month-old. - Many 12-month-olds are just beginning to cruise or take their first independent steps. *Social skills* - The child **waves 'bye-bye'** and **cries if left with a stranger alone**, which are age-appropriate demonstrations of **social interaction** and **stranger anxiety**, respectively, for a 12-month-old. - These behaviors indicate typical social and emotional development.
Explanation: ***Focal seizure with impaired awareness*** - The symptoms, including **facial grimacing**, staring, **nonresponsiveness**, and subsequent **amnesia** with a **postictal state**, are characteristic of a focal seizure with impaired awareness. - The preceding "muddy taste" is an **aura**, often indicative of a focal onset seizure involving the **temporal lobe**. - These seizures typically last 1-2 minutes (can extend to 3-4 minutes) and are associated with **automatisms** (repetitive, purposeless movements like hand gestures). *Absence seizures* - Typically involve **brief staring spells** (5-20 seconds) without postictal confusion, and the child usually **does not recall** the episode. - They lack the **complex motor automatisms** (facial grimacing, hand gestures) and significant postictal lethargy seen in this case. - Absence seizures have abrupt onset and termination without an aura. *Myoclonic seizure* - Characterized by **sudden, brief, jerking movements** of a muscle or muscle group, often occurring shortly after waking. - They do not typically involve prolonged staring, nonresponsiveness, **automatisms**, or a postictal state as described. *Focal aware seizure* - Involves focal symptoms without **impairment of consciousness**. The patient would **remain aware** during the episode. - Although an aura (muddy taste) can precede a focal aware seizure, the patient's nonresponsiveness and amnesia indicate impaired awareness, making this diagnosis incorrect. *Breath-holding spell* - Usually occur in response to **pain, fear, or frustration** in young children (6 months to 6 years) and involve a period of breath-holding, often leading to cyanosis or pallor and brief loss of consciousness. - They are not associated with complex motor behaviors, automatisms, auras, or **postictal confusion** like seizures.
Explanation: ***Vitamin D*** - The combination of exclusive breastfeeding, a 2-month-old infant, being of African heritage (darker skin), and living in a high-latitude region like Stockholm, Sweden, significantly increases the risk of **vitamin D deficiency**. Darker skin pigmentation reduces the efficiency of **cutaneous vitamin D synthesis** from sunlight, and insufficient sun exposure in northern latitudes further exacerbates this. - Breast milk is a relatively poor source of **vitamin D**, and infants specifically require supplementation, especially when they have risk factors for deficiency such as being of African descent and living in an area with limited sunshine. *Vitamin E* - **Vitamin E deficiency** in infants is rare and typically seen in premature infants or those with severe malabsorption, neither of which is indicated in this scenario. - While breast milk contains vitamin E, deficiency is not directly linked to geographic location, skin color, or a 2-month-old infant. *Vitamin A* - **Vitamin A deficiency** can be a concern in developing countries, but it is less likely to be the primary concern under these specific circumstances in a 2-month-old exclusively breastfed infant unless the mother herself is severely deficient. - Breast milk usually provides adequate **vitamin A** if the mother's nutritional status is sufficient. *Vitamin C* - **Vitamin C deficiency** (scurvy) is rare in breastfed infants because breast milk typically contains adequate vitamin C if the mother has adequate dietary intake. - Scurvy would be more likely in infants fed with improperly prepared formula or after 6 months if complementary foods lack vitamin C. *Vitamin B1* - **Vitamin B1 (thiamine) deficiency** is uncommon in exclusively breastfed infants in developed countries. - It is often associated with maternal malnutrition in endemic areas or specific genetic disorders, which are not suggested here.
Explanation: **Decreased total body potassium** - Despite **hyperkalemia** on serum labs, patients with **diabetic ketoacidosis (DKA)** often have a **total body potassium deficit** due to increased renal losses and intracellular-to-extracellular shifts. - The combination of polyuria, vomiting, and acidemia all contribute to significant potassium disturbances. *Serum glucose concentration > 600 mg/dL* - A glucose level of **over 600 mg/dL** is more characteristic of **hyperglycemic hyperosmolar state (HHS)**, not typically seen in pediatric DKA. - While DKA involves hyperglycemia, severe dehydration and altered mentation typically occur at lower glucose thresholds in DKA. *Increased total body sodium* - Patients with DKA are typically **hypovolemic and hyponatremic** (even if serum sodium appears normal due to pseudohyponatremia) due to osmotic diuresis caused by hyperglycemia. - There is no mechanism in DKA that would lead to an increase in total body sodium. *Increased arterial pCO2* - The patient's **deep and labored breathing (Kussmaul respirations)** is a compensatory mechanism to **blow off CO2** and correct the metabolic acidosis. - Therefore, arterial pCO2 would be **decreased**, not increased. *Hypervolemia* - **Polyuria** (increased urination) due to osmotic diuresis and poor oral intake typically leads to **hypovolemia and dehydration** in DKA patients. - The patient exhibits signs of dehydration such as dry mucous membranes, increased pulse, and low blood pressure.
Normal growth patterns
Practice Questions
Growth charts and interpretation
Practice Questions
Failure to thrive evaluation
Practice Questions
Short stature workup
Practice Questions
Tall stature evaluation
Practice Questions
Obesity in children
Practice Questions
Nutritional assessment tools
Practice Questions
Puberty stages (Tanner stages)
Practice Questions
Precocious puberty
Practice Questions
Delayed puberty
Practice Questions
Growth hormone disorders
Practice Questions
Impact of chronic disease on growth
Practice Questions
Catch-up growth
Practice Questions
Get full access to all questions, explanations, and performance tracking.
Start For Free