A 56-year-old patient developed excruciating chest discomfort in the past 72 hours, relieved by GTN spray. Troponin I is normal, and the ECG shows features of left ventricular hypertrophy (LVH) with T wave flattening. The patient is already on statins, aspirin, and metoprolol 50 mg . What is the next best step in management?
A 78-year-old male with a 35-pack-year smoking history, hyperlipidemia, and peripheral vascular disease is at home eating dinner with his wife when he suddenly has acute onset, crushing chest pain. He lives in a remote rural area, and, by the time the paramedics arrive 30 minutes later, he is pronounced dead. What is the most likely cause of this patient's death?
A 57-year-old man is brought to the emergency department after having chest pain for the last hour. He rates his pain as 8/10, dull in character, and says it is associated with sweating and shortness of breath. He has a history of diabetes and hypercholesterolemia. His current medication list includes amlodipine, aspirin, atorvastatin, insulin, and esomeprazole. He has smoked 2 packs of cigarettes per day for the past 25 years. His blood pressure is 98/66 mm Hg, pulse is 110/min, oxygen saturation is 94% on room air, and BMI is 31.8 kg/m2. His lungs are clear to auscultation. An electrocardiogram (ECG) is shown below. The patient is given 325 mg of oral aspirin and sublingual nitroglycerin. What is the most appropriate next step in the management of this condition?

A 73-year-old woman arrives at the emergency department due to intense central chest pain for 30 minutes this morning. She says the pain was cramping in nature and radiated down her left arm. She has a history of atrial fibrillation and type 2 diabetes mellitus. Her pulse is 98/min, respiratory rate is 19/min, temperature is 36.8°C (98.2°F), and blood pressure is 160/91 mm Hg. Cardiovascular examination shows no abnormalities. ECG is shown below. Which of the following biochemical markers would most likely be elevated and remain elevated for a week after this acute event?

A 55-year-old woman is brought to the emergency department by her husband because of chest pain and a cough productive of blood-tinged sputum that started 1 hour ago. Two days ago, she returned from a trip to China. She has smoked 1 pack of cigarettes daily for 35 years. Her only home medication is oral hormone replacement therapy for postmenopausal hot flashes. Her pulse is 123/min and blood pressure is 91/55 mm Hg. Physical examination shows distended neck veins. An ECG shows sinus tachycardia, a right bundle branch block, and T-wave inversion in leads V5–V6. Despite appropriate lifesaving measures, the patient dies. Examination of the lung on autopsy shows a large, acute thrombus in the right pulmonary artery. Based on the autopsy findings, which of the following is the most likely origin of the thrombus?
A 60-year-old African American gentleman presents to the emergency department with sudden onset "vice-like" chest pain, diaphoresis, and pain radiating to his left shoulder. He has ST elevations on his EKG and elevated cardiac enzymes. Concerning his current pathophysiology, which of the following changes would you expect to see in this patient?
A 56-year-old man comes to the emergency department because of chest pain. The pain occurs intermittently in 5-minute episodes. It is not conclusively brought on by exertion and sometimes occurs at rest. He has a history of hyperlipidemia and takes a high-dose statin daily. His father died of lung cancer at the age of 67 years and his mother has type 2 diabetes. He smokes a pack of cigarettes daily and does not drink alcohol. His temperature is 37°C (98.8°F), pulse is 88/min, and blood pressure is 124/72 mm Hg. Cardiac examination shows no abnormalities. He has no chest wall tenderness and pain is not reproduced with palpation. While waiting for laboratory results, he has another episode of chest pain. During this event, an ECG shows ST elevations in leads II, III, and aVF that are > 1 mm. Thirty minutes later, a new ECG shows no abnormalities. Troponin I level is 0.008 ng/mL (normal value < 0.01 ng/mL). Cardiac angiography is performed and shows a 30% blockage of the proximal right circumflex artery and 10% blockage in the distal left circumflex artery. This patient's condition is most closely associated with which of the following?
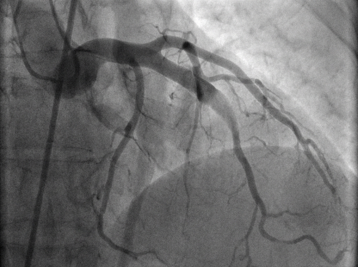
A 54-year-old woman is brought to the emergency department because of a 2-hour history of nausea and retrosternal chest pain. She has a 15-year history of type 2 diabetes mellitus. Her current medications include atorvastatin, metformin, and lisinopril. She is diaphoretic. Her serum troponin level is 3.0 ng/mL (N: < 0.04). She undergoes cardiac catheterization. A photograph of coronary angiography performed prior to percutaneous coronary intervention is shown. An acute infarct associated with the finding on angiography is most likely to manifest with ST elevations in which of the following leads on ECG?

Two days after coronary artery stent placement for a posterior myocardial infarction, a 70-year-old woman complains of difficulty breathing and retrosternal chest pain. She has a history of atrial fibrillation, for which she takes verapamil. Following stent placement, the patient was started on aspirin and clopidogrel. She appears to be in acute distress and is disoriented. Respirations are 22/min. Pulse oximetry on room air shows an oxygen saturation of 80%. Diffuse crackles are heard on auscultation of the chest. The patient is intubated and mechanical ventilation is started. Shortly afterwards, she becomes unresponsive. Heart sounds are inaudible and her carotid pulses are not palpable. The cardiac monitor shows normal sinus rhythm with T-wave inversion. Which of the following is the most appropriate next step in management?
A 57-year-old man presents to his primary care provider because of chest pain for the past 3 weeks. The chest pain occurs after climbing more than 2 flights of stairs or walking for more than 10 minutes. His symptoms remain for an average of 30 minutes despite rest, but they eventually remit. He is obese, has a history of type 2 diabetes mellitus, and has smoked 15–20 cigarettes a day for the past 25 years. His father died from a myocardial infarction at 52 years of age. His vital signs reveal a temperature of 36.7°C (98.0°F), blood pressure of 145/93 mm Hg, and a heart rate of 85/min. The physical examination is unremarkable. Which of the following is consistent with unstable angina?
Explanation: ***Add Clopidogrel*** - The patient presents with **unstable angina** (chest discomfort relieved by GTN, normal troponin, and ECG changes indicative of ischemia) and is already on aspirin, statins, and a beta-blocker. - Adding **clopidogrel** (or another P2Y12 inhibitor) is crucial for **dual antiplatelet therapy (DAPT)**, which is a cornerstone in the management of unstable angina/NSTEMI to prevent further thrombotic events. - This is the **immediate next step** to optimize medical therapy before considering invasive strategies. *LMWH (Low Molecular Weight Heparin)* - While **anticoagulation** is important in acute coronary syndromes and would be appropriate to add, the question asks for the **next best step** given the patient's existing management. - LMWH would typically be added alongside DAPT, but establishing dual antiplatelet therapy takes priority. *Increase beta blocker dose* - The patient is already on metoprolol 50 mg, and while **titrating beta-blockers** is important for symptom control and reducing myocardial oxygen demand, the immediate priority in unstable angina is to address the underlying thrombotic process with DAPT. - Beta-blocker optimization can be done after ensuring adequate antiplatelet therapy. *IV NTG Drip* - **Intravenous nitroglycerin (IV NTG)** is used to relieve ongoing chest pain and reduce preload/afterload, especially in severe or refractory symptoms. - However, the patient's chest discomfort was already **relieved by GTN spray**, indicating that immediate pain control with IV NTG is not the most urgent next step compared to preventing further thrombotic events with DAPT. *Arrange urgent coronary angiography* - While **coronary angiography** is indicated in high-risk unstable angina, the immediate next step is to **optimize medical management** with dual antiplatelet therapy. - Angiography timing depends on risk stratification; in a stable patient already on aspirin, beta-blockers, and statins, adding clopidogrel first ensures optimal antiplatelet coverage before any invasive procedure. - Early invasive strategy (angiography within 24-72 hours) would be appropriate after medical stabilization.
Explanation: ***Ventricular fibrillation*** - This is the most common cause of sudden cardiac death in the setting of acute **myocardial infarction** (MI), especially in the initial hours. - The sudden onset of **crushing chest pain** in a patient with significant cardiac risk factors strongly suggests an acute MI, leading to electrical instability. *Ventricular septum rupture* - A ventricular septum rupture is a mechanical complication of MI that typically occurs **3 to 5 days post-infarction**, not acutely. - It would present with a new **holosystolic murmur** and signs of heart failure (e.g., hypotension, pulmonary edema), symptoms not described here. *Heart block* - While heart blocks can occur during MI, they usually cause **bradycardia** and syncope rather than sudden death from acute crushing chest pain, unless they progress to asystole. - A heart block alone is less likely to be the immediate cause of sudden death in this scenario compared to a severe arrhythmia. *Chordae tendineae rupture* - Chordae tendineae rupture is also a mechanical complication of MI that usually occurs **2 to 7 days post-infarction** and leads to severe **mitral regurgitation**. - It would present with acute pulmonary edema and a new harsh holosystolic murmur, which would develop after the initial chest pain, not as the immediate cause of sudden demise. *Cardiac tamponade* - Cardiac tamponade from a **free wall rupture** is a catastrophic complication that typically occurs 1 to 3 days after MI. - It presents with **Beck's triad** (hypotension, jugular venous distension, muffled heart sounds) and pulsus paradoxus, which are not described in this acute, sudden death scenario.
Explanation: ***Percutaneous coronary intervention*** - The ECG shows significant **ST-segment elevation in leads V2-V6, I, and aVL**, indicating an anterior and lateral ST-elevation myocardial infarction (STEMI). - Given the ongoing chest pain and ECG findings, **emergent percutaneous coronary intervention (PCI)** is the most appropriate next step to restore blood flow and minimize myocardial damage. *Observation* - This patient is experiencing an acute STEMI, which requires immediate and aggressive intervention, not just observation. - Delaying treatment significantly increases the risk of large infarction, heart failure, and death. *Echocardiography* - While echocardiography is useful in evaluating myocardial function and assessing complications after an MI, it is not the immediate priority in a patient with ongoing STEMI. - The focus must be on prompt reperfusion, usually within 90 minutes of first medical contact. *Enoxaparin* - Enoxaparin is an anticoagulant often used in acute coronary syndrome management, including STEMI. - However, it is an adjunctive therapy to reperfusion, and not the definitive next step for someone presenting with an acute STEMI. *Metoprolol* - Beta-blockers like metoprolol can be beneficial in STEMI to reduce myocardial oxygen demand and modify ventricular remodeling. - However, they are typically given after reperfusion therapy is initiated and the patient is hemodynamically stable, especially in the setting of hypotension (98/66 mmHg here).
Explanation: ***Troponin I*** - **Troponin I** is a highly specific cardiac marker that is elevated in myocardial injury and can remain elevated for **up to two weeks** after the event. - Its elevation correlates with the degree of myocardial damage, making it a critical marker for diagnosing **acute coronary syndrome**. *Alanine aminotransferase* - Primarily a liver enzyme, its elevation does not directly indicate myocardial injury and does not remain elevated for **an extended period** in the context of acute chest pain. - Its utility is mainly in **liver function assessment**, not in acute coronary events. *Creatinine-kinase MB* - While it indicates myocardial damage, **CK-MB** typically returns to baseline levels within **48-72 hours** following the acute event, unlike troponin. - It is less specific than troponin for cardiac injury, especially in cases of skeletal muscle injury. *Aspartate transaminase* - Similar to alanine aminotransferase, it is not a **specific marker for myocardial injury** and is elevated in various **hepatic conditions**. - It also does not remain elevated for a sufficient duration to be considered useful in diagnosing myocardial infarction. *Lactate dehydrogenase (LDH)* - Although LDH is released during myocardial injury and remains elevated for **10-14 days** (similar to troponin), it **lacks specificity** for cardiac tissue. - LDH can be elevated in many conditions, including **hemolysis, liver disease, muscle injury, and various malignancies**, making it less reliable for diagnosing acute coronary syndrome. - While historically used as a late marker for MI, **troponin has replaced LDH** due to its superior cardiac specificity.
Explanation: ***Iliac vein*** - The iliac vein is a common source of **deep vein thrombosis (DVT)**, which can embolize to the pulmonary arteries, especially with risk factors like prolonged travel and hormone replacement therapy. This type of thrombus is often large enough to cause significant hemodynamic instability and death, as seen clinically. - The patient's presentation with **chest pain**, **blood-tinged sputum**, **hypotension**, **tachycardia**, **distended neck veins**, and ECG changes (right bundle branch block, T-wave inversion in V5-V6 suggesting **right heart strain**) is classic for a massive pulmonary embolism (PE) originating from a large venous thrombosis, most commonly from the iliofemoral system. *Subclavian vein* - While subclavian vein thrombosis can occur, it's typically associated with **central venous catheters** or **thoracic outlet syndrome**. These risk factors are not mentioned in the patient's history. - Thrombi from this location are a less common cause of **massive pulmonary embolism** compared to lower extremity deep vein thrombosis. *Renal vein* - **Renal vein thrombosis** is usually associated with conditions like nephrotic syndrome, malignancy, or hypercoagulable states, and often presents with flank pain or hematuria. - While it can lead to PE, it's a less common source for a **massive clot** causing acute cardiopulmonary collapse than lower extremity veins. *Great saphenous vein* - The great saphenous vein is part of the **superficial venous system**. Superficial thrombophlebitis is generally a benign condition with a low risk of pulmonary embolism. - When superficial clots do extend into the deep system, they can cause PE, but the primary origin of a massive, fatal PE is typically from the **deep veins**. *Posterior tibial vein* - The posterior tibial vein is a **deep vein**, and thrombosis here can certainly lead to PE. However, it is a smaller vein compared to the iliac veins. - While a posterior tibial vein clot *could* embolize, a **massive pulmonary embolism** resulting in acute death is more frequently caused by larger thrombi from the more proximal, wider deep veins like the iliac or femoral veins.
Explanation: ***Decreased cardiac output; increased systemic vascular resistance*** - The patient's symptoms (chest pain, diaphoresis, ST elevations, elevated cardiac enzymes) are classic for an **acute myocardial infarction (MI)**, which directly impairs the heart's pumping function, leading to **decreased cardiac output**. - In response to decreased cardiac output and reduced tissue perfusion, the body activates the **sympathetic nervous system** and **renin-angiotensin-aldosterone system**, causing **vasoconstriction** and thus **increased systemic vascular resistance** to maintain blood pressure. *No change in cardiac output; decreased venous return* - An acute MI significantly compromises the heart's ability to pump blood, meaning **cardiac output will almost certainly change** (decrease). - While venous return might be affected, it's not the primary compensatory mechanism often leading to **decreased CO** in acute MI, which is largely due to impaired systolic function. *Increased cardiac output; increased systemic vascular resistance* - **Increased cardiac output** is highly unlikely in the context of an acute myocardial infarction because the heart muscle is damaged and unable to pump effectively. - While **increased systemic vascular resistance** occurs as a compensatory mechanism, it's in response to a failed heart, not one that is effectively increasing its output. *Increased cardiac output; decreased systemic vascular resistance* - Both **increased cardiac output** and **decreased systemic vascular resistance** are typically signs of a hyperdynamic state (e.g., sepsis in its early stages) or vasodilation, which is contrary to the pathophysiology of an MI. - An MI causes **cardiac dysfunction** and **compensatory vasoconstriction**, not increased output and vasodilation. *Decreased cardiac output; decreased venous return* - While **decreased cardiac output** is expected, **decreased venous return** is not the primary or most impactful immediate systemic response; the body often tries to maintain venous return initially to optimize filling pressures, although severe MI can eventually lead to overall circulatory collapse. - The more prominent and immediate compensatory mechanism for a failing heart is often **increased systemic vascular resistance** to maintain perfusion pressure.
Explanation: ***Prinzmetal's angina*** - The patient's presentation with **recurrent chest pain at rest**, transient **ST elevations** during pain, normal troponin, and mild coronary artery blockages despite risk factors is classic for **Prinzmetal's (variant) angina**. - This condition is caused by **coronary artery spasm**, leading to temporary myocardial ischemia, which resolves as the spasm relaxes. *Peripheral artery disease* - This condition is caused by **atherosclerosis** affecting arteries outside of the heart, most commonly in the legs, leading to symptoms like **claudication** (leg pain with exertion). - While the patient has risk factors for atherosclerosis, his primary symptoms and ECG findings are not consistent with peripheral artery disease. *Hypertension* - Hypertension is a chronic medical condition characterized by persistently elevated **blood pressure**. - While it is a **risk factor for coronary artery disease**, it does not explain the transient ST elevations and episodes of chest pain at rest seen in this patient. *Type 2 diabetes mellitus* - This is a metabolic disorder characterized by **high blood glucose** due to insulin resistance and/or inadequate insulin production. - While **diabetes is a significant risk factor for cardiovascular disease**, it is the mother's history, not the patient's, and does not directly explain the specific presentation of transient ischemic chest pain. *Stroke* - A stroke occurs when the **blood supply to part of the brain is interrupted or reduced**, depriving brain tissue of oxygen and nutrients. - The patient's symptoms are entirely cardiac in nature (chest pain, ECG changes) and do not suggest a **neurological event** such as a stroke.
Explanation: ***V1–V6*** - The angiography shows a significant occlusion in the **left anterior descending (LAD) artery** - LAD occlusion causes **anterior wall myocardial infarction** - Anterior MI manifests with **ST elevations in precordial leads V1–V6** - This is the classic ECG pattern for LAD territory infarction *V3R–V6R* - These right-sided precordial leads indicate **right ventricular infarction** - RV infarction is associated with **proximal right coronary artery (RCA) occlusion** - Not consistent with the LAD occlusion shown in the angiography *I, aVR* - Lead **aVR ST elevation** (especially >1 mm or greater than V1) suggests **left main coronary artery occlusion** or severe multi-vessel disease - This pattern typically shows widespread ST depression in other leads - Does not specifically indicate isolated LAD occlusion *II, III, and aVF* - ST elevations in these inferior leads indicate **inferior wall myocardial infarction** - Inferior MI is caused by **right coronary artery (RCA)** occlusion (80%) or left circumflex artery (20%) - Not associated with LAD occlusion *V7–V9* - These posterior leads indicate **posterior wall myocardial infarction** - Posterior MI results from **left circumflex artery** or dominant RCA occlusion - Not the primary finding with LAD occlusion
Explanation: ***Chest compressions*** - The patient presents with **pulselessness** despite a **normal sinus rhythm on the monitor** (pulseless electrical activity or PEA). In PEA, the immediate intervention is **high-quality chest compressions** as per ACLS guidelines. - The preceding events (difficulty breathing, chest pain, disorientation, hypoxemia, diffuse crackles, and sudden unresponsiveness with unpalpable pulses) point towards acute cardiovascular collapse likely due to **cardiac tamponade** or other cause of obstructive shock, but the immediate response to pulselessness is compressions. *Synchronized cardioversion* - This is indicated for patients who are **unstable with a perfusing tachyarrhythmia**, such as unstable atrial fibrillation with rapid ventricular response or ventricular tachycardia with a pulse. - The patient has no palpable pulses and exhibits **pulseless electrical activity (PEA)**, not a perfusing tachyarrhythmia, making synchronized cardioversion inappropriate. *Coronary angiography* - This is a diagnostic and interventional procedure used to assess and treat **coronary artery disease** or stent thrombosis. - While post-stent complications are a concern, the patient is in **cardiac arrest (PEA)**, making immediate diagnostic angiography unfeasible and not the priority life-saving intervention. *Unsynchronized cardioversion* - Also known as **defibrillation**, this is indicated for **ventricular fibrillation (VF)** or **pulseless ventricular tachycardia (pVT)**. - The cardiac monitor shows a **normal sinus rhythm**, not VF or pVT, therefore unsynchronized cardioversion is not indicated. *Intravenous epinephrine therapy* - Epinephrine is a **vasopressor** used during cardiac arrest to improve coronary and cerebral perfusion. - While epinephrine is part of the **ACLS algorithm for PEA**, it is given *after* initiating chest compressions, not as the very first step in a pulseless patient.
Explanation: ***Symptoms present for 30 minutes despite rest*** - **Unstable angina** is characterized by chest pain that is new in onset, occurs at rest, or is more severe, prolonged, or frequent than previously experienced. - The persistence of symptoms for **30 minutes despite rest** indicates a more severe and prolonged ischemic event, which is consistent with unstable angina. *Dyspnea on exertion* - While **dyspnea on exertion** can be a symptom of coronary artery disease, it is not specific to unstable angina and can be seen in stable angina or other cardiac/pulmonary conditions. - It describes the nature of the exertion, but not the **severity or duration** of the chest pain episode itself, which is key for unstable angina. *ST segment depression on ECG* - **ST segment depression** indicates myocardial ischemia and can be present in both stable and unstable angina. - It does not, by itself, differentiate between the two, as **unstable angina** is primarily a clinical diagnosis based on the change in symptom pattern. *Rales on auscultation* - **Rales** suggest pulmonary congestion, often seen in **heart failure** or significant myocardial dysfunction. - While severe ischemia can lead to heart failure, rales are not a typical or primary symptom used to define unstable angina. *S3 on auscultation* - An **S3 heart sound** is a sign of ventricular dysfunction and is typically associated with **heart failure**, often indicating increased left ventricular end-diastolic pressure. - Like rales, it's a sign of myocardial damage or stress, but not a defining characteristic of **unstable angina** itself.
Explanation: ***Stroke occurring as result of a mural thrombus*** - A **ventricular aneurysm**, especially after a large anterior MI, creates a region of **stasis** and **dyskinetic wall motion**, predisposing to the formation of a **mural thrombus** inside the ventricle. - Embolization of this **mural thrombus** to the cerebral circulation can lead to an **ischemic stroke**. *Stroke occurring because of a deep venous thrombosis* - **Deep venous thrombosis (DVT)** typically causes a **pulmonary embolism** when dislodged, not a systemic stroke, unless a **patent foramen ovale** or other shunt is present, which is not mentioned here. - While prolonged immobility after an MI can increase DVT risk, it is less likely to directly cause a stroke in this context compared to a mural thrombus. *Ventricular free wall rupture leading to global hypotension* - **Ventricular free wall rupture** is an acute, catastrophic event usually occurring within days to weeks post-MI, causing **cardiac tamponade** and sudden death due to profound hypotension. - The patient's presentation with an aneurysm diagnosed 8 months post-MI and subsequent stroke does not fit the timeline or typical outcome of free wall rupture. *Stroke occurring because of a paradoxical embolus* - A **paradoxical embolus** occurs when a venous thrombus (e.g., from a DVT) crosses from the right side to the left side of the circulation through an intracardiac shunt like a **patent foramen ovale (PFO)**. - While possible, it's a less direct explanation in the presence of a ventricular aneurysm, which is a significant source of systemic thromboembolism. *Rupture of an aneurysm leading to hemorrhagic stroke* - A **ventricular aneurysm** is a weakened, bulging wall of the left ventricle and typically does not rupture to cause a hemorrhagic stroke. Its primary complication is **thrombosis** and subsequent embolism. - A **hemorrhagic stroke** results from bleeding within the brain, usually from ruptured cerebral blood vessels (e.g., due to hypertension or cerebral aneurysm), not from a cardiac ventricular aneurysm.
Explanation: ***Harsh, loud, holosystolic murmur at the lower left sternal border*** - This patient's presentation, including recent **anterior STEMI**, dizziness, lightheadedness, palpitations, hypotension, tachycardia, and **increased oxygen saturation in the pulmonary artery** (oxygen "step-up" indicating a left-to-right shunt), is highly suggestive of **ventricular septal rupture (VSR)**. - VSR is a **mechanical complication** of MI that typically occurs **3-7 days post-infarction** when the necrotic myocardium is weakest. - A **VSR** causes a **harsh, loud, holosystolic murmur** best heard at the **lower left sternal border** due to turbulent blood flow through the septal defect from the left ventricle to the right ventricle. - The left-to-right shunt results in oxygenated blood from the left ventricle mixing with deoxygenated blood in the right ventricle, causing the characteristic oxygen saturation step-up detected by pulmonary artery catheterization. *Widespread ST-segment elevations* - Widespread ST-segment elevations are characteristic of **acute pericarditis**, which typically presents with **pleuritic chest pain** that improves when leaning forward and a **friction rub**, not the hemodynamic compromise described here. - While **Dressler syndrome** (post-MI pericarditis) can occur weeks after MI, the acute hemodynamic instability, left-to-right shunt evidence, and 5-day timeframe point to VSR rather than pericarditis. *Pulseless electrical activity* - **Pulseless electrical activity (PEA)** indicates cardiac arrest with organized electrical activity but no mechanical cardiac output, resulting in an **unpalpable pulse**. - The patient has a documented pulse of **105/min**, which directly contradicts PEA. - A patient in PEA would be unconscious and unable to report symptoms for 2 hours. *Drop of systolic blood pressure by 20 mmHg during inspiration* - A drop in systolic blood pressure >10 mmHg during inspiration (**pulsus paradoxus**) is characteristic of **cardiac tamponade** or severe obstructive airway disease. - While **free wall rupture** leading to tamponade is another mechanical complication post-MI, the **oxygen saturation step-up** in the pulmonary artery is pathognomonic for an **intracardiac shunt** (VSR), not tamponade. - Tamponade would show equalization of diastolic pressures across all chambers, not increased PA oxygen saturation. *Normal findings* - The patient presents with clear evidence of hemodynamic compromise: **hypotension (95/55 mmHg)**, **tachycardia (105/min)**, dizziness, and lightheadedness. - The **oxygen saturation step-up** in the pulmonary artery is an objective abnormal finding indicating an intracardiac left-to-right shunt. - Therefore, normal findings are incompatible with this clinical presentation.
Explanation: ***Unsynchronized cardioversion*** - The ECG shows **ventricular fibrillation (VF)**, characterized by chaotic, irregular electrical activity without distinct QRS complexes, indicating a life-threatening arrhythmia. - In a patient who has lost consciousness due to VF, immediate **defibrillation (unsynchronized cardioversion)** is crucial to restore normal sinus rhythm and prevent sudden cardiac death. - Note: Unsynchronized cardioversion and defibrillation are **synonymous terms** for delivering an unsynchronized shock, with "defibrillation" being the preferred ACLS terminology for VF/pulseless VT. *Administer lidocaine* - While lidocaine is an **antiarrhythmic** used in some ventricular arrhythmias, it is typically administered after initial defibrillation attempts have failed or as an adjunct therapy. - It is not the primary treatment for **unstable ventricular fibrillation**, which requires immediate electrical therapy. *Administer epinephrine* - Epinephrine is a **vasopressor** used during cardiac arrest to improve coronary and cerebral perfusion. - It is administered during **cardiopulmonary resuscitation (CPR)** intervals, usually after initial defibrillation attempts, but not as the first line treatment for VF. *Coronary angiography* - Coronary angiography is an **invasive diagnostic procedure** to visualize coronary arteries and identify blockages, suggested by the patient's symptoms and ST elevation in the initial ECG leads. - However, in the context of **cardiac arrest due to VF**, immediate life-saving interventions take precedence over diagnostic procedures. *Synchronized cardioversion* - **Synchronized cardioversion** delivers an electrical shock timed to the R-wave of the QRS complex to treat **tachyarrhythmias with a pulse** (e.g., ventricular tachycardia, atrial fibrillation with rapid ventricular response). - It is **contraindicated in ventricular fibrillation** because there are no organized QRS complexes to synchronize with, and attempting synchronization can delay life-saving defibrillation.
Explanation: ***Correct: Angiography*** - This patient presenting with **acute chest pain 6 days post-PCI** is at high risk for **stent thrombosis or acute in-stent restenosis**, which represents a life-threatening emergency. - Given the **clinical instability** (severe hypertension 197/118, tachycardia 120/min, diaphoresis) and classic ACS symptoms in the immediate post-PCI period, **urgent coronary angiography** is the best next step in management. - While ECG and troponins are important diagnostic tools, this patient requires **immediate intervention** to evaluate the recent PCI site and potentially perform emergent revascularization. - In the setting of suspected **acute stent thrombosis**, time to reperfusion is critical, and angiography allows both diagnosis and treatment. *Incorrect: Cardiac troponins* - While troponins are essential biomarkers for myocardial injury and should be obtained, they are a **diagnostic test** rather than definitive management. - Waiting for troponin results would delay definitive management in a patient with clear clinical evidence of ACS. - In this high-risk post-PCI patient with active symptoms, management should not wait for biomarker confirmation. *Incorrect: Stress testing* - Stress testing is **absolutely contraindicated** in patients with active chest pain and suspected acute MI. - It could precipitate further myocardial ischemia, arrhythmias, or cardiac arrest. - Stress testing is reserved for risk stratification in stable patients or after ACS has been ruled out. *Incorrect: Creatine kinase-MB* - CK-MB is less sensitive and specific than troponins for myocardial injury, as it can be elevated in skeletal muscle conditions. - It has a shorter elevation window and has largely been replaced by troponins in modern practice. - Like troponins, it would not change the immediate management need in this clinically unstable patient. *Incorrect: Myoglobin* - Myoglobin lacks cardiac specificity (present in both cardiac and skeletal muscle) and has poor diagnostic accuracy for MI. - Its rapid rise and fall make it unreliable, and it generates many false positives. - It has no role in guiding management decisions in suspected ACS.
Explanation: ***Right coronary artery*** - The ECG shows significant **ST elevation in leads II, III, and aVF**, indicating an **inferior wall myocardial infarction**. This region of the heart is typically supplied by the **right coronary artery (RCA)**. - The patient's presentation with **bradycardia (pulse 50/min)**, **hypotension (BP 80/50 mmHg)**, and **nausea/vomiting** is classic for an inferior MI, often due to RCA occlusion compromising blood supply to the **SA and AV nodes** (which are frequently supplied by the RCA). *Left anterior descending artery* - Obstruction of the **LAD** typically causes **ST elevation in anterior leads (V1-V4)**, which is not seen here. - An LAD occlusion would present as an **anterior MI**, usually without the severe bradycardia and hypotension often seen with inferior MIs caused by RCA occlusion. *There is no obstruction* - The patient's symptoms of **sudden onset chest pain, nausea, diaphoresis**, and particularly the **ECG findings of ST elevation** are highly indicative of an **acute myocardial infarction**, which is caused by coronary artery obstruction. - The severe hemodynamic instability (hypotension, bradycardia) further points towards a significant cardiac event due to occlusion. *Left circumflex artery* - **LCx occlusion** usually leads to **lateral wall MI**, characterized by ST elevation in leads **I, aVL, V5, and V6**, which is not the primary pattern observed in this ECG. - While LCx can sometimes supply the inferior wall, the classic inferior pattern seen here is more commonly associated with RCA occlusion. *Left main coronary artery* - **Left main coronary artery** occlusion is a catastrophic event leading to extensive myocardial ischemia and typically presents with widespread ST depressions or elevation in aVR, reflecting global ischemia and often causing **cardiogenic shock** or **sudden cardiac death**. - The ECG pattern here is localized to the inferior leads, making a left main occlusion an unlikely primary cause.
Explanation: ***Administer aspirin 325 mg and transport to percutaneous coronary intervention center*** - This patient presents with symptoms highly suggestive of an acute myocardial infarction (AMI), namely **retrosternal chest pain radiating to the left hand**, unrelieved by nitroglycerin. The ECG would likely confirm **ST-segment elevation myocardial infarction (STEMI)**, necessitating urgent reperfusion. - **Aspirin 325 mg** is the recommended initial dose for suspected AMI due to its **antiplatelet effects**, which help prevent further thrombus formation, and the patient should be transported to a **percutaneous coronary intervention (PCI) center**, as this is the preferred reperfusion strategy for STEMI. *Administer nitroglycerin and transport to percutaneous coronary intervention center* - The patient has already received two doses of sublingual nitroglycerin without improvement, and his **blood pressure is 85/50 mm Hg**, indicating **hypotension**. - Administering further nitroglycerin would be **contraindicated due to hypotension** and unlikely to be effective. *Perform pre-hospital thrombolysis and transport to a percutaneous coronary intervention center* - While pre-hospital thrombolysis can be an option in certain settings, **PCI is the preferred reperfusion strategy for STEMI** if it can be performed within recommended timeframes. Given the option of a PCI center, thrombolysis is secondary. - Additionally, thrombolysis carries **risks of bleeding** and is typically reserved for situations where PCI is not readily available. *Administer aspirin 81 mg and transport to a percutaneous coronary intervention center* - While aspirin is crucial, the initial loading dose for acute coronary syndrome (**ACS**) is typically **325 mg** (or 162 mg chewable) to achieve rapid antiplatelet effect, not 81 mg. - The 81 mg dose is commonly used for **maintenance therapy** or chronic prevention, not for initial acute management. *Perform pre-hospital thrombolysis and transport to emergency department irrespective of percutaneous coronary intervention center presence* - Thrombolysis is generally performed only if a PCI center is not accessible within a specific timeframe; transporting directly to an ED irrespective of PCI capabilities is suboptimal if a PCI center is available. - The goal is **rapid reperfusion**, and direct transport to a PCI center is preferred over thrombolysis if the time to PCI is short.
Explanation: ***Cardiac troponin T*** - **Cardiac troponin T** is a highly sensitive and specific biomarker for **myocardial injury**, making it the most reliable test for rapidly diagnosing acute coronary syndrome or re-infarction. - Its elevation indicates ongoing **myocardial necrosis**, even after a recent MI, and is crucial for guiding immediate management. *Creatine kinase MB* - While CK-MB is used for diagnosing myocardial infarction, its levels can also be elevated in cases of **skeletal muscle injury** or **after cardiac procedures**, reducing its specificity in this context. - CK-MB also has a **shorter window of elevation** compared to troponins, potentially missing later presentations of myocardial injury. *Lactate dehydrogenase* - **LDH** is a relatively **nonspecific marker** that can elevate due to various conditions affecting different organs (e.g., liver disease, hemolysis, renal injury). - Its elevation onset is **slower** and its diagnostic window is longer, making it less suitable for rapid diagnosis of acute myocardial injury. *Copeptin* - **Copeptin** is a marker of **endogenous stress** and is often used in conjunction with troponins to rule out NSTEMI, especially at early presentation. - However, it is not a direct marker of myocardial necrosis itself and is **not as specific** as troponin for diagnosing a re-infarction. *Aspartate aminotransferase* - **AST** is a **nonspecific enzyme** found in various tissues, including the liver, skeletal muscle, and heart. - Elevated AST levels are frequently seen in **liver damage** and are not a primary biomarker for diagnosing acute myocardial infarction or re-infarction.
Explanation: ***Noncontrast head CT*** - A **noncontrast head CT** is the most crucial initial step in managing acute stroke symptoms because it can rapidly rule out an **intracranial hemorrhage**. - Distinguishing between ischemic stroke and hemorrhagic stroke is critical, as the management strategies are vastly different and administering thrombolytics in the presence of hemorrhage can be fatal. *Thrombolytics* - **Thrombolytics** can only be administered after an **intracranial hemorrhage** has been excluded via noncontrast head CT. - Administering thrombolytics without imaging could worsen a hemorrhagic stroke, causing significant harm or death. *CT angiogram* - A **CT angiogram** is used to identify large vessel occlusions in ischemic stroke and is typically performed after a noncontrast CT rules out hemorrhage. - This imaging is crucial for determining eligibility for **endovascular thrombectomy** but is not the very first diagnostic step. *MRI of the head* - An **MRI of the head** is more sensitive for detecting acute ischemic changes but takes longer to perform and is often not readily available in the acute emergency setting. - It is not the initial imaging of choice for ruling out hemorrhage due to its longer acquisition time compared to CT. *Aspirin* - **Aspirin** is indicated for acute ischemic stroke but should only be given after an **intracranial hemorrhage** has been ruled out. - Like thrombolytics, aspirin could exacerbate a hemorrhagic stroke and is thus deferred until initial imaging is complete.
Explanation: **Disruption of an atherosclerotic plaque with a non-occlusive coronary artery thrombus** - This scenario describes **unstable angina (UA)**, characterized by chest pain at rest or with minimal exertion, increased frequency/intensity of angina, or new-onset severe angina. - While troponin is normal and ECG shows no abnormalities, the persistent symptoms and minimal improvement with rest, along with risk factors like **diabetes** and **smoking**, strongly suggest an **unstable coronary lesion** that is not yet fully occlusive. *Atherosclerotic plaque thrombus with complete coronary artery occlusion* - **Complete coronary artery occlusion** typically leads to myocardial infarction (MI), which would manifest with **elevated troponin levels** and often **ECG changes** (e.g., ST elevation or depression). - The patient's normal troponin and ECG rule out an acute MI at this stage. *Stable atherosclerotic plaque with 85% coronary artery occlusion* - **Stable angina** symptoms usually improve promptly with rest and are predictable, occurring only during significant exertion. - The described symptoms, including minimal improvement with rest and 4 hours duration, are not typical of stable angina. *Aortic valve thickening and calcification* - While **aortic stenosis** can cause chest pain and shortness of breath, these symptoms are typically exertional and not usually described as "retrosternal pressure" that minimally improves with rest in this acute context without other signs of flow obstruction. - This condition is unlikely to be the sole cause of these acute, persistent symptoms without findings on initial workup. *Coronary artery occlusion due to transient increase in vascular tone* - **Coronary vasospasm** (Prinzmetal angina) can cause chest pain at rest and transient ECG changes, but it's typically **recurrent** and responds well to **vasodilators**. - This patient's symptoms, combined with risk factors for atherosclerosis and the prolonged nature of the pain, are less indicative of vasospasm as the primary underlying cause.
Explanation: **Papillary muscle rupture leading to reflux of blood into left atrium** - The patient's initial presentation with chest pain, nausea, and elevated cardiac enzymes is consistent with an acute **myocardial infarction (MI)**. The sudden breathlessness, drop in blood pressure, bibasilar crackles (indicating **pulmonary edema**), and a **new holosystolic murmur over the apex** suggest acute **mitral regurgitation**, a common mechanical complication of MI. - **Papillary muscle rupture**, particularly of the posterior medial papillary muscle due to its single blood supply from the posterior descending artery (often involved in inferior MIs), can lead to severe acute mitral regurgitation, causing rapid hemodynamic deterioration and **cardiogenic shock**. *Scarring of mitral valve as a complication of childhood illness* - **Rheumatic heart disease**, typically resulting from childhood illnesses like **streptococcal pharyngitis**, can cause mitral valve scarring (often **mitral stenosis** or chronic regurgitation). However, this would be a pre-existing condition and less likely to cause a sudden, acute decompensation solely on day 5 post-MI. - While it can lead to cardiac issues, the sudden onset of symptoms and their direct association with a recent MI point away from a chronic, pre-existing valvular condition as the primary cause of acute decompensation. *Ballooning of mitral valve into the left atrium* - This describes **mitral valve prolapse (MVP)**, which is usually a chronic, benign condition, though it can cause mitral regurgitation. - Acute, severe mitral regurgitation leading to cardiogenic shock post-MI is more characteristic of structural damage like papillary muscle rupture rather than the typical progression of MVP. *Age-related fibrosis and calcification of the aortic valve* - This describes **aortic stenosis**, a chronic condition characterized by obstruction of blood flow from the left ventricle. - Aortic stenosis typically presents with a **systolic ejection murmur** best heard at the right upper sternal border, radiating to the carotids, and symptoms like angina, syncope, and dyspnea, which are different from the patient's acute presentation of a **holosystolic murmur at the apex** and pulmonary edema. *Aortic root dilation* - **Aortic root dilation** can lead to **aortic regurgitation**, characterized by a **diastolic decrescendo murmur**. - While causes of aortic root dilation can include hypertension, Marfan syndrome, or syphilis, it does not explain a **holosystolic murmur at the apex** or acute mitral regurgitation secondary to an MI.
Explanation: ***Transudation of plasma into the alveoli*** - The patient's presentation with **ST-segment elevation myocardial infarction (STEMI)** followed by rapid onset of **dyspnea** and **frothy sputum** strongly indicates **acute left heart failure** leading to **pulmonary edema**. - In pulmonary edema due to heart failure, increased **hydrostatic pressure** in pulmonary capillaries forces plasma to **transudate** into the interstitial space and then into the alveoli, impairing gas exchange. *Increased permeability of pulmonary vascular endothelial cells* - This mechanism is characteristic of **acute respiratory distress syndrome (ARDS)**, where inflammation causes increased permeability, leading to protein-rich fluid exudation into the alveoli. - While pulmonary edema is present in ARDS, the rapid onset in this case after an MI points towards a **cardiogenic** rather than an inflammatory cause. *Acute obstruction of a pulmonary artery segment* - This describes a **pulmonary embolism**, which typically presents with sudden dyspnea, pleuritic chest pain, and sometimes hemoptysis, but is less likely to cause diffuse frothy sputum or precede ST-segment elevations. - An ECG with ST-segment elevations in leads I, aVL, V5, and V6 indicates a **lateral MI**, not signs consistent with pulmonary artery obstruction. *Bacterial infiltration into the pulmonary parenchyma* - This is the underlying pathophysiology of **bacterial pneumonia**, which usually has a more gradual onset, often with fever, chills, and purulent sputum. - The rapid development of symptoms and the clear association with an acute cardiac event make pneumonia less likely in this scenario. *Localized constriction of the pulmonary vasculature* - Localized pulmonary vasoconstriction can occur in conditions like **pulmonary hypertension** or in response to localized hypoxia, but it does not directly explain sudden onset of dyspnea and frothy sputum in the context of an acute MI leading to pulmonary edema. - This mechanism does not account for the widespread fluid accumulation seen in cardiogenic pulmonary edema.
Explanation: ***Ventricular fibrillation*** - The rapid onset of symptoms, severe chest pain, ST-segment elevation myocardial infarction (STEMI) involving extensive leads (I, aVL, and precordial), and sudden cardiac arrest without pulse or respiration strongly indicate a **malignant arrhythmia**, specifically ventricular fibrillation. - In a STEMI, **ischemia** can rapidly trigger electrical instability in the myocardium, leading to disorganized electrical activity and immediate hemodynamic collapse. *Left ventricular failure* - While a large anterior STEMI could lead to **left ventricular failure**, the patient's immediate collapse and absence of respiration and pulse suggest sudden electrical rather than mechanical failure. - **Left ventricular failure** typically manifests with progressive symptoms like severe dyspnea, pulmonary edema, and cardiogenic shock, which often allows for some period of clinical deterioration before death. *Cardiac free wall rupture* - **Cardiac free wall rupture** is a mechanical complication of MI that usually occurs several days post-infarction, though it can rarely occur acutely. - It typically presents with **sudden severe chest pain**, hypotension, and rapid death due to **cardiac tamponade**, but the immediate timeline and ECG findings of extensive STEMI followed by sudden arrest are more consistent with an electrical event. *Ventricular aneurysm* - A **ventricular aneurysm** is a late complication of an MI, developing weeks to months after the event. - It presents with symptoms like **heart failure**, arrhythmias, or mural thrombus formation, not as an acute cause of death within minutes of symptom onset. *Hemorrhagic stroke* - A **hemorrhagic stroke** would present with sudden neurological deficits, such as severe headache, altered consciousness, and focal neurological signs. - While it can cause sudden death, the prominent chest pain and the ECG findings of widespread ST-segment elevation are indicative of a primary cardiac event.
Explanation: ***Acute ventricular septal rupture complicating myocardial infarction*** - The development of a **harsh pansystolic murmur** at the **left lower sternal border** along with signs of **heart failure** (hypotension, tachycardia, increased JVP) approximately a week after a large anterior MI is highly suggestive of **ventricular septal rupture (VSR)**. - The continued ECG changes (ST elevation with terminal negative T waves) and elevated, though improving, cardiac enzymes are consistent with the ongoing myocardial injury and the complications related to it. *Aortic dissection complicating myocardial infarction* - **Aortic dissection** typically presents with **sudden, severe, tearing chest pain** radiating to the back, which is distinct from the patient's initial presentation. - While it can cause hemodynamic instability, it does not typically produce a **pansystolic murmur** at the left lower sternal border. *A new myocardial infarction (re-infarction)* - While the patient is still experiencing symptoms and some ECG changes, the **prominent new pansystolic murmur** and signs of acute heart failure are more indicative of a **mechanical complication** than simply a new MI. - The cardiac enzyme levels, though still elevated, are trending downwards, which would be inconsistent with a large new infarction. *Acute pericarditis complicating myocardial infarction* - **Acute pericarditis** would typically present with **pleuritic chest pain** that improves when leaning forward and a characteristic **pericardial friction rub**. - It would not explain the **pansystolic murmur** or the sudden hemodynamic deterioration to the same extent as VSR. *Cardiac tamponade complicating myocardial infarction* - **Cardiac tamponade** is characterized by **Beck's triad** (hypotension, JVD, muffled heart sounds) and pulsus paradoxus. While the patient has hypotension and JVD, the presence of a **harsh pansystolic murmur** points away from tamponade and towards a structural defect.
Explanation: **Antiplatelet therapy** - This patient experienced a **transient ischemic attack (TIA)** due to the sudden onset and complete resolution of symptoms. Antiplatelet therapy with **aspirin** or **clopidogrel** is crucial for secondary prevention of stroke in patients with TIA, especially given his multiple vascular risk factors and carotid bruit. - The combination of **hypertension, hyperlipidemia, type 2 diabetes, smoking history, and obesity** significantly increases his risk of recurrent cerebrovascular events, making antiplatelet therapy an immediate and appropriate intervention. *Carotid endarterectomy* - **Carotid endarterectomy** is typically indicated for symptomatic carotid stenosis of **70% or greater** in patients with a TIA or non-disabling stroke, or for asymptomatic stenosis of 60% or greater in selected patients. - This patient's carotid doppler ultrasound showed only **45% stenosis** in the left carotid artery, which is below the threshold for surgical intervention. *Transthoracic echocardiogram* - A **transthoracic echocardiogram (TTE)** may be considered to evaluate for a cardiac source of emboli (e.g., atrial fibrillation, patent foramen ovale, left ventricular thrombus) if the cause of TIA is unclear after initial workup. - Given the presence of a **carotid bruit** and known vascular risk factors, carotid artery disease is the more likely etiology, and antiplatelet therapy is a more urgent initial step. *Carotid artery stenting* - **Carotid artery stenting** is generally reserved for patients with symptomatic carotid stenosis who are at high surgical risk for endarterectomy or have anatomical features that make endarterectomy difficult. - Similar to endarterectomy, the **45% stenosis** in this patient's carotid artery is not severe enough to warrant stenting at this time. *Intravenous alteplase therapy* - **Intravenous alteplase** is indicated for acute ischemic stroke within a specific time window (typically 3-4.5 hours from symptom onset) when there is persistent neurological deficit. - This patient's symptoms have **completely resolved**, indicating a TIA, not an acute ischemic stroke, thus making alteplase therapy inappropriate and potentially harmful.
Explanation: ***Myocardial stunning*** - This refers to a temporary **post-ischemic contractile dysfunction** that persists even after blood flow has been restored following an acute ischemic event. - The return to normal left ventricular function and absence of regional wall motion abnormalities after successful reperfusion indicates that the initial dysfunction was transient and not due to permanent myocardial damage. - Classic timeframe: recovery occurs over **days to weeks** after reperfusion, as seen in this patient (14 days). *Coronary collateral circulation* - This involves the development of alternative pathways for blood supply to the myocardium when the primary coronary arteries are occluded. - While it can mitigate the extent of myocardial injury, it generally doesn't explain the reversal of severe regional wall motion abnormalities and low ejection fraction to normal in such a short period after a complete blockage. *Ventricular remodeling* - This refers to changes in the **size, shape, and function of the ventricles** in response to myocardial injury or chronic pressure/volume overload, often leading to progressive heart failure. - It typically involves *persistent* and *often detrimental* changes, which is contrary to the improvement seen in this patient's echocardiogram. *Myocardial hibernation* - This is a state of **persistently impaired myocardial function at rest** due to **chronic inadequate blood flow** that can improve with revascularization. - Hibernation requires **pre-existing chronic ischemia** with baseline dysfunction prior to intervention, not an acute complete occlusion presenting as STEMI. - This patient had an **acute presentation** with complete blockage and no history suggesting chronic stable ischemia, making stunning (not hibernation) the correct answer. *Reperfusion injury* - This is damage to the myocardial tissue that occurs **after blood flow is restored** to an ischemic area, often involving oxidative stress and inflammation. - While it can worsen myocardial function, it is a complication of reperfusion that causes *additional damage*, not a phenomenon that explains the *recovery* of cardiac function after reperfusion.
Explanation: ***Right coronary artery occlusion*** - The ECG shows significant **ST elevation in inferior leads (II, III, aVF)** and **ST depression in anterior leads (V1-V4)**, which is characteristic of an **inferior wall myocardial infarction**. - **Inferior wall MIs** are typically caused by occlusion of the **right coronary artery (RCA)**. The reciprocal changes (ST depression in anterior leads) support this, indicating involvement of the posterolateral wall often supplied by the RCA. *Coronary vasospasm* - While coronary vasospasm (e.g., in **Prinzmetal angina**) can cause ST elevation, it usually presents with more transient symptoms that resolve with vasodilators, and the ST segment elevations are typically regional but often more widespread or dynamic. - The patient's history of **coronary artery disease (CAD)** and persistent symptoms with elevated troponin point towards a fixed obstruction rather than vasospasm. *Left circumflex artery occlusion* - **Left circumflex artery occlusion** typically causes changes in leads I, aVL, V5, and V6 (high lateral or lateral wall MI), and sometimes posterior leads. - The predominant ST elevation in leads II, III, and aVF is not characteristic of a primary **left circumflex artery occlusion**. *Left anterior descending artery occlusion* - **Left anterior descending (LAD) artery occlusion** usually results in **anterior or anteroseptal MI**, characterized by ST elevation in leads V1-V4 and potentially I and aVL. - The ECG shows ST depression in V1-V4, which are reciprocal changes rather than direct signs of an **LAD occlusion**. *Left main coronary artery occlusion* - **Left main coronary artery occlusion** is a catastrophic event, often presenting with widespread ST depression in multiple leads with ST elevation in aVR (and sometimes V1). - While life-threatening, the ECG pattern here with prominent inferior ST elevation and reciprocal anterior depression is more indicative of an **RCA occlusion** than a left main occlusion.
Explanation: ***Clopidogrel, atenolol, anticoagulation and monitoring*** - The ECG shows **ST depression in multiple leads (II, III, aVF, V3-V6)** and **ST elevation in aVR and V1**, which is highly suggestive of **non-ST elevation myocardial infarction (NSTEMI)** or a **posterior MI/extensive anterior ischemia**. Given the elevated troponin, the patient has an NSTEMI. - Initial management for NSTEMI includes **dual antiplatelet therapy (aspirin and clopidogrel)**, **anticoagulation (e.g., heparin)**, and **beta-blockers (atenolol)**, along with continuous monitoring. *CT scan of the chest with contrast* - A CT scan with contrast would be indicated if **aortic dissection** was suspected, but the classic ECG findings and elevated troponins point away from that diagnosis as the primary concern. - While other causes of chest pain should be considered, the **ECG and troponin elevation** make **acute coronary syndrome (ACS)** the most immediate and critical diagnosis. *Echocardiography* - Echocardiography is useful for assessing **cardiac function, wall motion abnormalities, and valvular disease**, but it is generally not the immediate next step in an NSTEMI after the initial stabilization and medication. - It could be performed later to evaluate for complications such as **ventricular dysfunction** or **valvular issues**. *Fibrinolysis* - **Fibrinolysis** is indicated for **ST-elevation myocardial infarction (STEMI)** when PCI is not readily available, or for other thrombotic events, but not for NSTEMI. - In NSTEMI, the primary treatment strategy includes **antiplatelets, anticoagulants**, and often **early invasive procedures (PCI)**, if indicated by risk stratification. *Oral nifedipine* - **Nifedipine**, a dihydropyridine calcium channel blocker, can be used for hypertension or angina, but it is **not first-line** therapy for **acute coronary syndrome**. - **Beta-blockers like atenolol** are preferred in ACS to reduce myocardial oxygen demand and improve outcomes, whereas nifedipine can sometimes acutely worsen ischemia due to reflex tachycardia.
Explanation: ***Papillary muscle rupture*** - The sudden onset of **dyspnea**, **bibasilar crackles**, and a **new holosystolic murmur** after an acute myocardial infarction (MI) strongly suggests **mitral regurgitation**, often caused by papillary muscle rupture. - This complication typically occurs **3-7 days post-MI** and leads to acute left heart failure, as described by the patient's worsening symptoms in the supine position and pulmonary edema. *Ventricular wall aneurysm* - A ventricular aneurysm is a late complication of MI, typically developing **weeks to months** later, not within 7 days. - While it can cause heart failure and arrhythmias, a **new holosystolic murmur** is not a characteristic finding. *Restrictive pericarditis* - This condition involves the stiffening of the pericardium, leading to impaired ventricular filling, but it is typically a more **chronic process** and is not an acute complication of MI. - The classic physical finding of a new holosystolic murmur with acute dyspnea is not consistent with restrictive pericarditis. *Aortic stenosis* - Aortic stenosis is a chronic valvular disease, usually presenting with a **systolic ejection murmur** best heard at the right upper sternal border, not a holosystolic murmur post-MI. - While it can cause dyspnea, the acute onset following an MI with a new murmur suggests a different etiology. *Arrhythmia* - An arrhythmia can cause dyspnea and heart failure symptoms, but it would not explain the presence of a **new holosystolic murmur**, which indicates a structural cardiac issue. - While common post-MI, the specific constellation of symptoms points to a mechanical complication.
Explanation: ***Coronary artery bypass grafting (CABG)*** - This patient has complex **multivessel coronary artery disease** (LAD and circumflex stenosis) with a **reduced ejection fraction** and a history of multiple comorbidities, making CABG the preferred revascularization strategy for improved outcomes. - CABG offers a more complete revascularization in patients with significant disease burden and reduced left ventricular function, leading to better long-term survival and symptom relief compared to PCI in this population. *Increased beta blocker dosage* - The patient's current heart rate is 52/min, which is already at the lower end of the target range for beta-blocker therapy in cardiac patients, and further increasing the dose could lead to **bradycardia** and worsening symptoms. - While beta-blockers are crucial for managing angina and improving outcomes post-MI, increasing the dose wouldn't address the underlying anatomical severe multi-vessel coronary artery disease. *Angioplasty with stent placement* - Although PCI (angioplasty with stent placement) can be used for coronary stenosis, in patients with **multivessel disease**, **reduced ejection fraction**, and **diabetes mellitus**, CABG generally offers superior long-term results and survival benefits. - The complexity of the lesions (65% LAD, 75% circumflex) in a patient with significant comorbidities and extensive atherosclerotic disease makes PCI a less optimal choice here. *Extended release nitrate therapy* - Nitrates primarily provide **symptomatic relief** by causing vasodilation, but they do not address the severe underlying coronary stenoses or improve long-term outcomes in patients with complex, multivessel disease. - The patient is already on PRN nitroglycerin, and while extended-release nitrates could help with angina, they are not a definitive treatment for significant arterial blockages requiring revascularization. *Heparin* - Heparin is an **anticoagulant** that may be used as part of initial management of acute coronary syndromes, but it provides only temporary stabilization and does not address the **definitive need for revascularization**. - While anticoagulation plays a role in acute management, this patient requires **definitive anatomical correction** of his multivessel disease with significant stenoses, which only surgical or percutaneous revascularization can provide, with CABG being superior given his clinical profile.
Explanation: ***Subendocardial necrosis*** - This patient's presentation with **ST-segment depression** and **elevated troponin T** indicates a **Non-ST-segment Elevation Myocardial Infarction (NSTEMI)**, which typically results from subendocardial ischemia and necrosis. - Subendocardial tissue is most vulnerable to ischemia due to its high oxygen demand and distal location from the coronary arteries, making it the first region to suffer damage when oxygen supply is compromised. *Transmural necrosis* - **Transmural necrosis** is characteristic of a **ST-segment Elevation Myocardial Infarction (STEMI)**, which presents with persistent **ST-segment elevation** on ECG. - This patient's ECG shows **ST-segment depression**, ruling out transmural involvement at the time of presentation. *Incomplete occlusion of a coronary artery* - While an NSTEMI usually involves an **incomplete occlusion** or **critical stenosis** of a coronary artery, the question asks what would be *found* in the patient's heart tissue, not the mechanism. - The direct tissue consequence of incomplete occlusion leading to NSTEMI is **subendocardial necrosis**, which is a more specific answer about the pathological finding. *Coronary artery spasm* - Although **coronary artery spasm (Prinzmetal angina)** can cause chest pain and ECG changes, it typically presents with **transient ST-segment elevation** (not depression) and often resolves spontaneously. - The elevated troponin T indicates myocardial necrosis, which is not typically a feature of uncomplicated coronary artery spasm, and the duration of symptoms (3 hours) suggests a more sustained event than a transient spasm. *Ventricular pseudoaneurysm* - A **ventricular pseudoaneurysm** is a **late complication of myocardial infarction**, typically occurring weeks to months after the acute event, due to rupture of the ventricular free wall contained by pericardium. - Given the 3-hour symptom onset, it is highly unlikely to be present in the acute phase of myocardial infarction.
Explanation: ***Blood urea nitrogen (BUN):Serum creatinine ratio (Cr) < 15:1*** - The patient's presentation with **ST-segment elevation myocardial infarction (STEMI)** followed by low urinary output and **muddy brown casts** strongly indicates **acute tubular necrosis (ATN)**, a form of intrinsic renal failure. - In ATN, **tubular damage** impairs reabsorption of urea more than creatinine, leading to a **BUN:Cr ratio typically less than 15:1**. *Urinary osmolality 900 mOsmol/kg (normal: 500–800 mOsmol/kg)* - A urinary osmolality of 900 mOsmol/kg indicates appropriately concentrated urine, which is characteristic of **prerenal azotemia**, not ATN. - In ATN, the damaged tubules lose their ability to concentrate urine, resulting in **isosthenuric** urine with osmolality typically **< 350 mOsmol/kg** (approaching plasma osmolality). *Urinary osmolality 550 mOsmol/kg (normal: 500–800 mOsmol/kg)* - While 550 mOsmol/kg is within the normal range, it is still **too concentrated for ATN**. - In ATN, damaged tubules cannot effectively concentrate urine, resulting in **urine osmolality < 350 mOsmol/kg** (isosthenuric, similar to plasma osmolality of ~290 mOsmol/kg). - This value of 550 mOsmol/kg suggests preserved concentrating ability, which would be more consistent with prerenal azotemia or normal renal function. *FENa+ < 1%* - A **fractional excretion of sodium (FENa+) less than 1%** indicates good tubular reabsorption of sodium and is characteristic of **prerenal azotemia**, where the kidneys are attempting to conserve volume. - In ATN, the damaged tubules cannot effectively reabsorb sodium, so the **FENa+ is typically greater than 2%**. *Blood urea nitrogen (BUN):Serum creatinine ratio (Cr) > 20:1* - A **BUN:Cr ratio greater than 20:1** is characteristic of **prerenal azotemia**, reflecting decreased renal perfusion causing increased urea reabsorption relative to creatinine. - In ATN, the **tubular damage** leads to inefficient urea reabsorption, keeping the ratio **below 15:1**.
Explanation: **Obtain an ECG and troponin T levels** - The patient presents with acute, progressive **chest pain that is sharp and burning**, along with nausea and shortness of breath, which are classic symptoms of an acute coronary syndrome, especially given her history of **coronary artery disease**, hypertension, diabetes, and prior smoking. - An **ECG** and **troponin T levels** are crucial first steps to evaluate for myocardial ischemia or infarction in this high-risk patient. *Administer IV pantoprazole and schedule endoscopy* - While the patient has a history of gastroesophageal reflux disease (GERD) and her pain is described as "burning," the **acuteness, progression, and associated symptoms** (nausea, shortness of breath) in a patient with significant cardiac risk factors make a GI cause less likely as the primary concern. - Empiric treatment for GERD without first ruling out a life-threatening cardiac event would be inappropriate and potentially dangerous. *Discontinue levothyroxine and obtain fT4 levels* - The patient is taking levothyroxine after a thyroidectomy for medullary thyroid cancer, but there is no immediate indication of thyroid hormone imbalance (e.g., hyperthyroidism causing chest pain) that would warrant discontinuing her medication or rushing fT4 levels as the first step in an acute chest pain presentation. - Her pulse of 64/min is not suggestive of hyperthyroidism, which typically causes tachycardia. *Administer IV levofloxacin and obtain chest radiograph* - While shortness of breath can be a symptom of pneumonia, the **sharp, burning nature of the chest pain**, coupled with the absence of fever (temperature 37.4°C is mild), cough, or abnormal lung sounds (lungs clear to auscultation), makes an acute infection like pneumonia less probable as the primary diagnosis. - Antibiotics and a chest radiograph would be considered after ruling out more immediate life-threatening conditions like acute coronary syndrome. *Obtain urine and plasma metanephrine levels* - The patient has a history of multiple endocrine neoplasia type 2A (MEN2A), which includes medullary thyroid cancer and can be associated with pheochromocytoma (adrenal tumor secreting catecholamines). However, her blood pressure (148/77 mm Hg) is not acutely elevated to crisis levels, and her symptoms are more consistent with cardiac ischemia than a pheochromocytoma crisis. - While metanephrine levels would be important for long-term follow-up of MEN2A, they are not the immediate next step for acute chest pain in a patient with known coronary artery disease.
Explanation: ***Transfuse packed red blood cells*** - The patient has **acute ischemic cardiomyopathy** and a **hemoglobin of 7.8 g/dL**, indicating significant anemia that can exacerbate myocardial ischemia and compromise oxygen delivery. - Given her ongoing angina despite medical therapy and preparation for **coronary artery bypass graft (CABG)**, **transfusing packed red blood cells (PRBCs)** is crucial to rapidly improve oxygen-carrying capacity and stabilize her condition. *Administer intravenous iron* - **Intravenous iron** is used to treat **iron deficiency anemia**, which typically allows for a more gradual increase in hemoglobin. - This patient's anemia is severe and contributing to acute cardiac ischemia, requiring a **rapid increase in hemoglobin** that iron therapy cannot provide. *Treat with erythropoietin* - **Erythropoietin** stimulates red blood cell production over several weeks and is typically used for **chronic anemia**, especially in patients with chronic kidney disease. - It is not suitable for **acute, severe anemia** like in this case, where immediate improvement in oxygen delivery is critical. *Transfuse whole blood* - **Whole blood transfusions** are rarely used in modern medical practice, primarily reserved for massive hemorrhage and hypovolemic shock. - In this scenario, the primary goal is to increase **oxygen-carrying capacity** with minimal volume, making **packed red blood cells** a more appropriate choice. *Observation and supportive care* - The patient is in **acute distress** with ongoing angina despite initial treatments, and severe anemia exacerbates her cardiac condition. - **Observation alone** is insufficient and would likely lead to further cardiac complications and instability, especially with a significant surgery like CABG impending.
Explanation: ***A fully obstructive thrombus at the site of a ruptured, ulcerated atherosclerotic plaque*** - The patient's findings of **acute onset crushing substernal chest pain**, nausea, diaphoresis, elevated heart rate, and an **elevated troponin** are highly suggestive of an **acute myocardial infarction (MI)**. The EKG pattern, showing **ST-segment elevations**, is indicative of a STEMI (ST-elevation MI). - The pathogenesis of a STEMI involves the **rupture of an atherosclerotic plaque**, leading to the formation of a **fully occlusive thrombus** that completely blocks a coronary artery, causing transmural ischemia and myocyte necrosis. *Genetic inheritance of a mutation in β-myosin or troponin expressed in cardiac myocytes* - This description refers to the pathogenesis of **hypertrophic cardiomyopathy**, a genetic disorder characterized by abnormal thickening of the heart muscle. - While it can cause chest pain and arrhythmias, it typically does not present with the acute, crushing chest pain, diaphoresis, and classic EKG changes (ST elevation) seen in an acute MI, nor is elevated troponin as specific for this condition. *A stable atheromatous lesion without overlying thrombus* - A stable atheromatous lesion typically causes **stable angina**, characterized by chest pain that is exertional and relieved by rest or nitroglycerin. - It does not involve acute plaque rupture or thrombus formation, and therefore would not cause the acute symptoms, EKG changes (ST elevation), and significant troponin elevation indicative of an acute MI. *Destruction of the vasa vasorum caused by vasculitic phenomena* - Destruction of the **vasa vasorum** (small blood vessels supplying large arteries) can occur in conditions like **syphilitic aortitis**, leading to aortic aneurysm or dissection. - This mechanism is not directly related to acute coronary artery occlusion and myocardial infarction, and the clinical presentation would be distinct, focusing on aortic rather than myocardial pathology. *A partially occlusive thrombus at the site of a ruptured, ulcerated atherosclerotic plaque* - A partially occlusive thrombus at the site of a ruptured plaque is characteristic of an **unstable angina (UA)** or a **non-ST-elevation myocardial infarction (NSTEMI)**. - While these also involve plaque rupture and thrombus formation, they typically do not present with the **ST-segment elevations** on EKG that indicate a fully occluded coronary artery (STEMI), which is suggested by the patient's EKG.
Explanation: ***Lateral wall of left ventricle, left circumflex coronary artery*** - **ST elevations in leads V5 and V6** are characteristic findings for an **anterolateral or high lateral myocardial infarction**. - These leads correspond to the **lateral wall of the left ventricle**, which is primarily supplied by the **left circumflex coronary artery**. *Left atrium, left main coronary artery* - The **left atrium** is involved in atrial arrhythmias or hypertrophy, but **ST segment changes** on an ECG primarily reflect **ventricular ischemia or infarction**. - While the **left main coronary artery** supplies a large portion of the left ventricle, its occlusion typically presents with more widespread and severe **ST elevations**, potentially affecting multiple lead groups beyond just V5-V6, and often indicates extensive damage. *Inferior wall, right coronary artery* - **Inferior wall infarctions** are indicated by **ST elevations in leads II, III, and aVF** (which are also present in this patient), primarily supplied by the **right coronary artery**. - Although there is an inferior MI, the question specifically asks about the V5-V6 changes, which point to a distinct region. *Interventricular septum, left anterior descending coronary artery* - **ST elevations in V1-V4** are typically associated with an **anterior myocardial infarction**, affecting the **interventricular septum** and anterior wall, often due to occlusion of the **left anterior descending coronary artery**. - The given leads V5-V6 do not primarily represent the interventricular septum. *Right ventricle, right coronary artery* - **Right ventricular infarction** is indicated by **ST elevations in lead V4R** (a right-sided lead) and can accompany inferior infarctions; however, V5-V6 do not specifically represent the right ventricle. - The **right ventricle** is primarily supplied by the **right coronary artery**, not branches of the left coronary system, and RV infarction would require right-sided ECG leads for diagnosis.
Explanation: ***Myocardial stunning*** - This condition is characterized by **transient post-ischemic myocardial dysfunction** that recovers spontaneously, despite the restoration of normal blood flow. The patient's initial decreased left ventricular function and hypokinesia, followed by a return to normal ejection fraction and no hypokinesis after 14 days, is a classic presentation of myocardial stunning after successful reperfusion. - It occurs when the myocardium rapidly recovers normal blood flow after a period of **ischemia**, but the contractile function remains depressed for hours to days or even weeks due to cellular damage incurred during the ischemic event, involving calcium overload and oxidative stress, without actual cell death. *Coronary steal syndrome* - This phenomenon occurs when **vasodilation of collateral vessels** in compromised coronary beds diverts blood flow away from ischemic areas, potentially worsening ischemia. It does not explain the recovery of myocardial function seen after reperfusion. - It is typically observed during conditions that cause maximal coronary vasodilation, such as exercise or administration of certain drugs, leading to **worsening angina** or ischemia, rather than a subsequent improvement in function after an acute event. *Coronary collateral circulation* - This refers to the development of **alternative blood flow pathways** when a major coronary artery is obstructed, providing some blood supply to ischemic regions. While beneficial in mitigating damage during ischemia, it does not explain the initial dysfunction followed by improvement after revascularization. - **Well-developed collaterals** can reduce the size of an infarct and improve outcomes, but they don't cause the phenomenon of transient contractile dysfunction that fully recovers after reperfusion, which is the hallmark of myocardial stunning. *Reperfusion injury* - This describes the **damage to myocardial tissue** that occurs *after* blood flow is restored to an ischemic area, often due to oxidative stress, calcium overload, and inflammation. This can lead to worsening dysfunction or even cell death, which is contrary to the overall recovery observed in the patient. - While it can cause some **transient stunning**, the primary definition of reperfusion injury refers to additional damage, and the patient's complete recovery of left ventricular function suggests stunning rather than persistent injury. *Myocardial hibernation* - This is a state of **chronically depressed myocardial function** due to persistent reduction in coronary blood flow, where the myocardium adapts by reducing its metabolic activity to match the reduced blood supply. It improves upon revascularization. - Unlike stunning, which is an acute post-ischemic event, hibernation is a **chronic adaptation to hypoperfusion**, and the recovery in this patient was more typical of an acute, transient phenomenon following infarction and reperfusion.
Explanation: **_Degree of coronary stenosis (>70%)_** - A **high degree of coronary stenosis**, particularly >70%, significantly **limits blood flow** and oxygen supply to the myocardium, predisposing it to necrosis during periods of increased demand or sustained ischemia. - This fixed obstruction makes the myocardium vulnerable to **ischemic injury** even before plaque rupture or thrombus formation, especially in the context of increased myocardial oxygen demand. *Presence of vulnerable plaque features* - **Vulnerable plaque** features (e.g., large lipid core, thin fibrous cap) predict the **risk of plaque rupture and acute thrombotic occlusion**, which then leads to myocardial infarction, rather than directly predicting myocardial necrosis from existing stenosis. - While significant, these features indicate a **predisposition to future events** rather than current necrosis from a fixed, high-grade stenosis. *ST-segment elevation on ECG* - **ST-segment elevation** on an ECG is a direct indicator of **acute myocardial injury** and ongoing transmural ischemia, suggesting a blockage leading to necrosis. - However, it signifies that necrosis is **already occurring or imminent**, rather than serving as a **predictor of susceptibility** to necrosis in a patient with known chronic stenosis. *Elevated troponin levels* - **Elevated troponin levels** are a **biomarker of myocardial cell death** itself, indicating that necrosis has already happened. - Therefore, troponin is a **diagnostic marker of myocardial necrosis**, not a predictor of its occurrence based on baseline physiological or anatomical factors. *Time to reperfusion therapy* - **Time to reperfusion therapy** is a critical determinant of the **extent of myocardial salvage** and thus the final infarct size, rather than a predictor of the initial likelihood of necrosis. - While shorter times are associated with less necrosis, this factor relates to **intervention effectiveness** rather than the patient's inherent predisposition to developing necrosis from a fixed stenosis.
Explanation: ***Metoprolol and a statin daily. Sublingual nitroglycerin as needed.*** - This patient presents with symptoms consistent with **stable angina** (**chest pain with exertion, relieved by rest**). The recommended medical therapy includes **antiplatelet agents** (aspirin, already prescribed), **beta-blockers** (metoprolol) for symptom control and improved survival post-MI, and **high-intensity statins** for lipid management and plaque stabilization. **Sublingual nitroglycerin** is crucial for acute symptom relief. - Beta-blockers like metoprolol decrease myocardial **oxygen demand** by reducing heart rate and contractility, effectively treating angina. Statins are essential for **atherosclerosis management**. *Clopidogrel and amlodipine daily. Sublingual nitroglycerin as needed.* - While clopidogrel is an **antiplatelet agent**, aspirin is typically the first-line choice for stable angina unless there's an intolerance or compelling reason for dual antiplatelet therapy (e.g., recent stent placement), which is not indicated here. - Amlodipine, a **calcium channel blocker**, can be used for angina but is usually a second-line agent if beta-blockers are contraindicated or insufficient; it doesn't offer the mortality benefit seen with beta-blockers post-MI. *Amlodipine and a statin daily. Sublingual nitroglycerin as needed.* - This regimen includes a **statin** and sublingual nitroglycerin, which are appropriate. However, it uses amlodipine instead of a beta-blocker, which is generally the preferred initial therapy for angina due to its benefits in reducing myocardial oxygen demand and improving outcomes, especially in patients with a history of MI or heart failure. - Beta-blockers provide superior **mortality reduction benefits** in patients with coronary artery disease compared to calcium channel blockers. *Amlodipine daily. Sublingual nitroglycerin as needed.* - This option misses two critical components of comprehensive treatment for stable angina: a **statin** for lipid management and plaque stabilization, and a **beta-blocker** for primary symptom control and long-term cardiac protection. - Relying solely on amlodipine and sublingual nitroglycerin would leave the patient incompletely treated for their underlying **coronary artery disease**. *Metoprolol and ranolazine daily. Sublingual nitroglycerin as needed.* - This option lacks a **statin**, which is a cornerstone of therapy for stable angina to manage atherosclerosis. - While metoprolol is appropriate and ranolazine can be used as an add-on therapy for refractory angina, it's not typically a first-line agent and doesn't replace the need for a statin.
Explanation: ***Thyroid stimulating hormone level (TSH)*** - The patient presents with **palpitations**, **tachycardia (HR 125 bpm)**, and chest tightness, with an ECG showing a **regular narrow-complex tachycardia** consistent with **supraventricular tachycardia (SVT)**. - **Hyperthyroidism** is a critical secondary cause of SVT and atrial arrhythmias that must be ruled out in the initial workup. - **TSH testing** is essential to identify **thyroid dysfunction** as a reversible and treatable cause of the tachyarrhythmia. - Treating the underlying hyperthyroidism can resolve the arrhythmia and prevent recurrence. *Incorrect: Urine metanephrines* - While **pheochromocytoma** can cause palpitations and tachycardia, it typically presents with **paroxysmal hypertension**, **headaches**, and **diaphoresis** (the classic triad). - This patient has **normal blood pressure** and denies diaphoresis, making pheochromocytoma less likely. - TSH is a more appropriate first-line test given the clinical presentation. *Incorrect: Chest x-ray* - A chest X-ray may help evaluate for **structural cardiac or pulmonary abnormalities**, but it does not identify the **underlying cause** of SVT. - It is not specific for diagnosing **metabolic or endocrine triggers** of tachyarrhythmias. *Incorrect: Blood alcohol level* - The patient **denies alcohol use**, making this test unnecessary in the initial evaluation. - Alcohol withdrawal can cause tachycardia, but there is no clinical history suggesting this. *Incorrect: Urine free cortisol level* - **Cushing's syndrome** does not typically present with acute palpitations or SVT as the primary manifestation. - This test is not relevant to the immediate evaluation of **tachyarrhythmia**.
Explanation: ***Defibrillation*** - The ECG shows **ventricular fibrillation (VF)**, characterized by chaotic, disorganized electrical activity with no identifiable QRS complexes and no palpable pulse. VF is a **shockable rhythm**. - According to ACLS guidelines, the immediate management for VF is **unsynchronized defibrillation** along with high-quality chest compressions. - Defibrillation depolarizes the myocardium simultaneously, allowing the sinoatrial node to potentially resume normal electrical activity and restore organized cardiac rhythm. - For refractory VF after initial shocks, epinephrine and antiarrhythmics (amiodarone or lidocaine) are added. *Intravenous epinephrine therapy* - Epinephrine is a vasopressor used in cardiac arrest to increase coronary and cerebral perfusion pressure. - While epinephrine is given during VF arrest, it is administered **after** the initial defibrillation attempts, not as the immediate first step. - Epinephrine is the primary drug for **non-shockable rhythms** (PEA and asystole), but defibrillation takes priority in shockable rhythms like VF. *Intravenous glucagon therapy* - Glucagon is used for severe **hypoglycemia** or **beta-blocker/calcium channel blocker overdose**. - While the patient takes metoprolol (a beta-blocker), the clinical presentation with elevated troponin, chest pain, and VF rhythm clearly indicates an acute cardiac event, not beta-blocker toxicity. - Glucagon has no role in the immediate management of cardiac arrest from VF. *Coronary angiography* - Coronary angiography is indicated for **post-cardiac arrest care** after return of spontaneous circulation (ROSC), especially in patients with suspected acute coronary syndrome. - The patient has elevated troponin suggesting acute MI, making early angiography important **after** successful resuscitation. - However, angiography cannot be performed during active cardiac arrest; immediate defibrillation and CPR are required first. *Intravenous dextrose therapy* - Dextrose is used to treat **hypoglycemia**. - While the patient has diabetes and takes insulin (hypoglycemia risk), the presentation with chest pain, elevated troponin, and VF rhythm indicates acute coronary syndrome with cardiac arrest. - Hypoglycemia does not cause VF; the rhythm is consistent with ischemic cardiac arrest requiring immediate defibrillation.
Explanation: ***Papillary muscle rupture*** - The sudden onset of **shortness of breath** and a **new holosystolic murmur** at the apex, occurring days after an **inferior myocardial infarction** (suggested by T wave inversion in leads II, III, aVF), points strongly to acute severe **mitral regurgitation** due to papillary muscle rupture. - This complication typically leads to **acute heart failure** (crackles, diaphoresis, hypotension, tachycardia) due to the sudden increase in left atrial pressure and volume overload. *Coronary artery dissection* - This complication typically occurs **during or immediately after** the cardiac catheterization procedure, presenting with acute chest pain and signs of myocardial ischemia. - While it can cause MI, it usually wouldn't explain a *delayed* onset of heart failure symptoms with a *new murmur* days later; rather, it would manifest as worsening ischemia or a new MI. *Postmyocardial infarction syndrome* - Also known as **Dressler's syndrome**, this is a **late complication** (weeks to months post-MI) characterized by **pericarditis**, pleuritis, and fever. - It does not typically present with a new, severe holosystolic murmur or acute, severe pulmonary edema as seen in this patient. *Early infarct-associated pericarditis* - This typically presents within **1-3 days post-MI** with pleuritic chest pain and a pericardial friction rub, but usually **without a holosystolic murmur** or significant hemodynamic collapse unless evolving into tamponade. - This patient's symptoms are more indicative of significant valvular pathology acutely affecting cardiac output. *Ventricular septal rupture* - This would also present with a **new holosystolic murmur**, but it would be heard best at the **left sternal border** with a thrill, potentially accompanied by a biventricular failure. - While crackles and hypotension are consistent, the murmur's location at the apex makes papillary muscle rupture (mitral regurgitation) more likely.
Explanation: ***Normal saline bolus*** - This patient presents with symptoms concerning for an inferior wall myocardial infarction (MI) which commonly affects the **right ventricle (RV)**. The ECG shows **ST elevation in leads II, III, and aVF**, confirming an inferior STEMI. Given his **hypotension (100/70 mm Hg)** and **bradycardia (56/min)**, he is likely experiencing RV involvement and is preload-dependent. - A **normal saline bolus** is crucial to increase preload and improve cardiac output, especially in RV infarcts where reduced preload significantly impairs RV function and, consequently, left ventricular filling. *Intravenous atropine* - While the patient has bradycardia, it is secondary to the inferior MI affecting the **right coronary artery**, which often supplies the **AV node**. - Atropine is used for symptomatic bradycardia but a fluid bolus should be prioritized in RV MI with hypotension to restore preload before considering pharmacologic interventions for heart rate. *Intravenous morphine* - Morphine is used for pain relief in acute MI but can cause **vasodilation**, which would worsen this patient's **hypotension**. - In cases of RV infarction, where preload dependence is critical, morphine should be used with extreme caution or avoided due to its potential to further reduce blood pressure. *Phenylephrine infusion* - Phenylephrine is a **pure alpha-agonist** that causes **vasoconstriction** and increases systemic vascular resistance, thereby increasing afterload. - Increasing afterload in the setting of an acute MI, especially one with potential RV involvement and preload dependence, can severely compromise cardiac function and worsen the patient's condition. *Sublingual nitroglycerin* - Nitroglycerin causes **vasodilation**, reducing both preload and afterload. - In a patient with an **inferior wall MI** and **hypotension**, nitroglycerin is contraindicated as it can profoundly reduce preload, leading to a significant drop in blood pressure and worsening shock, especially if the right ventricle is involved.
Explanation: ***Myocardial ischemia*** - The patient's **squeezing chest pain** that **radiates to the jaw and shoulder**, is **exertional**, and lasts for **20 minutes with associated strenuous activity** (moving furniture) strongly suggests myocardial ischemia. The presence of risk factors like **diabetes mellitus** and **hypertension** further supports this diagnosis. - The history of similar symptoms during past activities (playing tennis) indicates a pattern of **stable angina** that has now progressed or re-occurred with an increased intensity/duration, raising suspicion for **unstable angina** or **non-ST elevation myocardial infarction (NSTEMI)**. *Musculoskeletal pain* - While musculoskeletal pain can cause chest discomfort, it is typically **sharp or localized**, often **reproduced with palpation**, and less likely to have the classic **squeezing, radiating pattern** seen here. - The patient's presentation with pain lasting **20 minutes** after exertion, rather than being acute or positional, makes musculoskeletal causes less likely. *GERD* - **Gastroesophageal reflux disease (GERD)** can cause **burning chest pain**, often worse after meals or while lying down, and may be relieved by antacids. - The described **squeezing pain, radiation to the jaw and shoulder**, and clear **exertional trigger** are not typical features of GERD. The absence of association with food or cough also points away from GERD. *Rib fracture* - A rib fracture would cause **localized, sharp pain** that is significantly **worsened by deep breathing, coughing**, or **direct palpation** over the fracture site. - The patient's physical examination revealed **absent chest tenderness** and was not reproducible with palpation, making a rib fracture unlikely. *Anxiety* - **Anxiety-related chest pain** (panic attack) often presents with shortness of breath, palpitations, and tingling sensations, and is typically described as **sharp or stabbing** rather than squeezing. - While anxiety can exacerbate symptoms, the clear **exertional trigger**, **radiating pain**, and significant **cardiovascular risk factors** make a primary diagnosis of myocardial ischemia more probable.
Explanation: ***Rupture of the chordae tendineae*** - The combination of acute dyspnea, frothy sputum (**pulmonary edema**), a new **holosystolic murmur** loudest at the apex, suggestive of **mitral regurgitation**, and high **pulmonary capillary wedge pressure** (PCWP > 18 mmHg indicating pulmonary edema) is classic for papillary muscle or chordae tendineae rupture following an **acute myocardial infarction (MI)**. - Antero-septal Q waves suggest an infarction in an area supplied by the **left anterior descending artery**, which can also affect the **anterolateral papillary muscle** of the mitral valve. *Rupture of the ventricular free wall* - This typically presents as **cardiac tamponade** with hypotension, jugular venous distension, and muffled heart sounds, often leading to rapid hemodynamic collapse and death. - While it can occur post-MI, a new holosystolic murmur and prominent pulmonary edema are not characteristic features. *Postmyocardial infarction syndrome* - Also known as **Dressler syndrome**, this is a **pericarditis** that develops weeks to months after an MI. - It presents with fever, pleuritic chest pain, and pericardial friction rub and would not typically cause acute pulmonary edema or a new holosystolic murmur within 72 hours. *Aortic root dilation* - This condition is not directly linked to an acute MI and typically causes **aortic regurgitation**, which manifests as a **diastolic murmur** (decrescendo early diastolic murmur), not a holosystolic murmur. - While it can cause heart failure, the acute onset post-MI with a new apical holosystolic murmur points away from this diagnosis. *Rupture of the interventricular septum* - This would also present with a new **holosystolic murmur**, but it would be loudest at the **left sternal border** due to a **ventricular septal defect**. - While it can cause pulmonary edema and elevated PCWP, the murmur's location at the apex strongly points towards mitral valve pathology rather than a septal defect.
Explanation: ***Occlusion of the left anterior descending artery with rupture of a papillary muscle*** - The patient presents with symptoms of an **ST-elevation myocardial infarction (STEMI)** (chest pain, ST-segment elevation in V1-V6, anterolateral hypokinesis), complicated by **acute mitral regurgitation** (retrograde flow into the left atrium, diffuse rales, hypotension). This clinical picture is highly suggestive of **papillary muscle rupture**, which can occur as a mechanical complication of an MI. - The **left anterior descending (LAD) artery** supplies the anterolateral wall of the left ventricle and often supplies one of the **papillary muscles** (usually the anterolateral papillary muscle, which has a dual blood supply, but still can be affected). Occlusion of the LAD (leading to extensive anterior and lateral wall infarction, as indicated by ECG leads V1-V6) can compromise the blood supply to a papillary muscle, leading to its dysfunction or rupture and subsequent severe mitral regurgitation. *Ventricular free wall rupture* - This complication typically presents with **acute cardiac tamponade**, evidenced by muffled heart sounds, jugular venous distension, and pulsus paradoxus, which are not described. - While it causes profound hypotension, the characteristic echocardiographic finding would be **pericardial effusion**, not retrograde flow into the left atrium. *Mitral leaflet thickening and fibrosis* - This describes **chronic mitral stenosis** or **regurgitation** due to rheumatic heart disease or degenerative changes, which develops slowly over time. - It does not explain the sudden onset of symptoms, acute myocardial infarction, or the specific ECG and echocardiographic findings observed in this patient. *Occlusion of the left anterior descending artery with interventricular septal rupture* - An **interventricular septal rupture** would present with a **new harsh systolic murmur** (often palpable thrill) at the left sternal border and evidence of left-to-right shunting, which is not mentioned in the patient's presentation. - While it can also lead to heart failure and hypotension post-MI, the echocardiogram specifically noted **retrograde flow into the left atrium**, indicative of mitral regurgitation, not ventricular shunting. *Occlusion of the right coronary artery, with infarction of the conduction system* - Occlusion of the **right coronary artery (RCA)** typically causes inferior and/or posterior wall MIs, with ST-segment elevation in leads II, III, and aVF. The patient's ECG shows ST elevation in V1-V6, indicating an anterior/anterolateral MI, usually supplied by the LAD. - While RCA occlusion can affect the **AV node** and cause bradyarrhythmias, it doesn't explain the described severe mitral regurgitation or the anterolateral hypokinesis.
Explanation: **Fourth heart sound** - The patient's symptoms (chest pain, dyspnea, sweating) and risk factors (diabetes, hypertension, obesity, non-compliance) are highly suggestive of an **acute myocardial infarction (AMI)**. - A **fourth heart sound (S4)**, also known as an atrial gallop, is commonly heard in conditions causing **left ventricular hypertrophy** or **reduced ventricular compliance**, such as uncontrolled hypertension or ischemia due to AMI. *Expiratory wheezes* - **Expiratory wheezes** are typically indicative of **bronchoconstriction** or airway obstruction, as seen in asthma or COPD. - While the patient has dyspnea, there is no direct evidence to suggest an acute pulmonary issue like asthma exacerbation or COPD, and the primary presentation points towards a cardiac event. *Ejection systolic murmur* - An **ejection systolic murmur** is typically associated with conditions like **aortic stenosis** or **hypertrophic cardiomyopathy**. - While these conditions can cause chest pain, the patient's acute presentation with crushing chest pain, dyspnea, and sweating, along with risk factors, is more consistent with AMI rather than a chronic valvular or hypertrophic lesion as the primary finding. *Diminished breath sounds* - **Diminished breath sounds** can be a sign of various pulmonary issues, such as **pneumothorax**, **pleural effusion**, or severe **emphysema**. - While congestive heart failure secondary to an MI could eventually lead to effusions and diminished sounds, it is not the most immediate or characteristic auscultatory finding for an acute cardiac event. *Fixed splitting of the second heart sound* - **Fixed splitting of the second heart sound (S2)** is a classic finding in an **atrial septal defect (ASD)**. - There is no clinical information in the patient's history or presentation to suggest a congenital heart defect.
ACS pathophysiology and classification
Practice Questions
STEMI diagnosis and management
Practice Questions
NSTEMI diagnosis and management
Practice Questions
Unstable angina
Practice Questions
Cardiac biomarkers
Practice Questions
ECG interpretation in ACS
Practice Questions
Reperfusion strategies
Practice Questions
Antiplatelet therapy
Practice Questions
Anticoagulation in ACS
Practice Questions
Complications of MI
Practice Questions
Secondary prevention
Practice Questions
Special populations (elderly, renal dysfunction)
Practice Questions
Risk stratification in ACS
Practice Questions
Get full access to all questions, explanations, and performance tracking.
Start For Free