Referred pain to the inferior angle of the right scapula in acute cholecystitis is known as
A 70-year-old man presents with chest pain, diagnosed with coronary disease, and concurrently detected asymptomatic gallstones on ultrasonography. What is the most appropriate management strategy for gallstones in this patient?
All of the following are risk factors for carcinoma of the gallbladder, EXCEPT -
Which of the following is a complication of gallstones?
32-year-old man presented with fever and pain in upper right hypochondrium after food intake. Investigation of choice?
In a patient presenting with jaundice, the HIDA scan would be most useful for which of the following:
In sepsis due to cholecystitis, which is the initial anatomical structure typically involved?
Regarding laparoscopic cholecystectomy, which of the following statements is correct?
Which of the following statements about Gallbladder carcinoma is true?
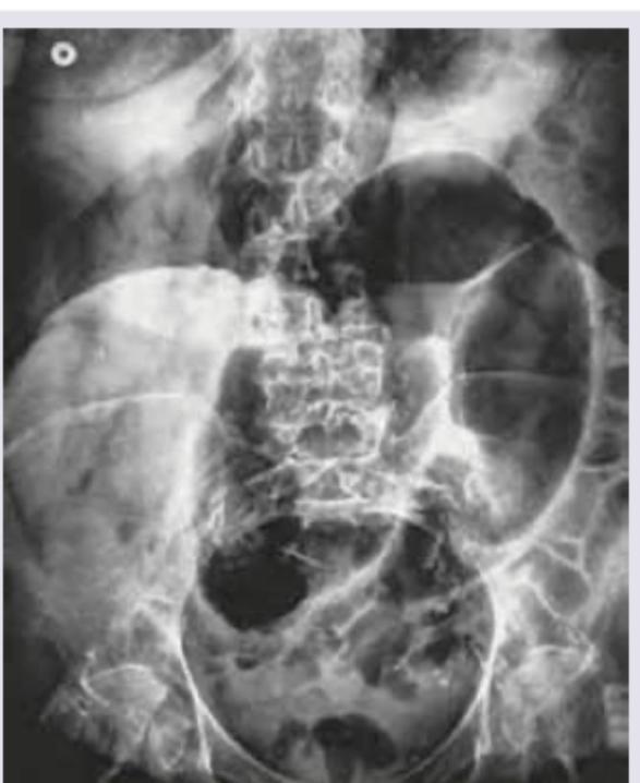
The diagnosis of this patient with left-sided abdominal pain and tyre-like feel of abdomen is?

Explanation: ***Boa's sign*** - This sign is characterized by **referred pain** to the **inferior angle of the right scapula** due to irritation of the **phrenic nerve** (C3-C5 dermatomes) by an inflamed gallbladder [1]. - The pain is typically felt unilaterally on the right side and is a classic presentation in **acute cholecystitis** [1]. *Murphy's sign* - This is a test for acute cholecystitis, characterized by **inspiratory arrest** upon deep palpation of the right upper quadrant under the costal margin [1]. - It indicates **visceral tenderness** of the gallbladder itself, rather than referred pain to the scapula. *Naunyn's sign* - This sign is not a recognized clinical sign associated with acute cholecystitis or referred pain patterns in common medical practice. - There might be confusion with other eponymous signs that are not directly related to gallbladder pathology and referred scapular pain. *Cullen's sign* - This sign refers to **periumbilical ecchymosis** (bruising around the umbilicus). - It is indicative of **retroperitoneal hemorrhage**, such as in acute pancreatitis [2] or ruptured ectopic pregnancy, not acute cholecystitis.
Explanation: ***Conservative management with monitoring*** - Asymptomatic gallstones generally do not require surgical intervention due to the low risk of developing symptoms or complications and the potential risks of surgery in an elderly patient with **coronary artery disease**. - **Monitoring** for the development of symptoms such as biliary colic, cholecystitis, or pancreatitis is the recommended approach. *Open cholecystectomy* - This is a more invasive surgical procedure with a longer recovery time and higher risks compared to laparoscopic cholecystectomy. - It is typically reserved for complex cases or when laparoscopic surgery is contraindicated, neither of which applies to asymptomatic gallstones. *Laparoscopic cholecystectomy* - While this is the standard surgical treatment for **symptomatic gallstones**, it is not indicated for asymptomatic gallstones. - Performing elective surgery in an elderly patient with **coronary artery disease** for an asymptomatic condition would expose them to unnecessary surgical risks. *Oral dissolution agents* - These agents (e.g., **ursodeoxycholic acid**) are primarily effective for dissolving small, cholesterol-rich gallstones. - They have a low success rate, require prolonged treatment, and gallstones often recur after treatment cessation, making them unsuitable for routine management of asymptomatic gallstones.
Explanation: ***Oral contraceptives*** - While **oral contraceptives** can increase the risk of **gallstones**, they are not directly recognized as a specific risk factor for **gallbladder carcinoma**. - The impact of oral contraceptives on gallbladder cancer risk is generally considered to be minor or non-existent compared to established risk factors. *Typhoid carriers* - **Chronic asymptomatic carriers of Salmonella Typhi** have a significantly increased risk of developing **gallbladder carcinoma**, likely due to chronic inflammation and cellular damage. - The bacteria can reside in the gallbladder for years, leading to a persistent inflammatory state and genetic mutations. *Adenomatous gall bladder polyps* - **Adenomatous polyps** in the gallbladder are considered **premalignant lesions**, especially if they are larger than 10 mm, and are associated with an increased risk of progression to adenocarcinoma. - Their presence indicates a need for careful monitoring and often surgical removal due to their malignant potential. *Choledochal cysts* - **Choledochal cysts**, congenital dilations of the bile ducts, are well-established risk factors for **cholangiocarcinoma** (bile duct cancer) and, less commonly, **gallbladder carcinoma**. - The stasis and reflux of bile within these cysts lead to chronic irritation and inflammation, increasing the risk of malignant transformation.
Explanation: ***Cholangitis*** [2] - **Cholangitis** refers to an infection of the **biliary tree**, most commonly caused by obstruction of the bile ducts by gallstones, leading to bacterial overgrowth. [2] - The obstruction (often due to choledocholithiasis) allows bacteria from the duodenum to ascend into the biliary system, causing inflammation and infection. *Hemobilia* - **Hemobilia** is bleeding into the **biliary tract**, typically caused by trauma, iatrogenic injury (e.g., biopsy), or vascular anomalies, not directly from gallstones. - While gallstones can cause inflammation, they do not typically lead to the direct arterial or venous bleeding characteristic of hemobilia. *Acute pancreatitis* [1] - **Acute pancreatitis** can be caused by gallstones if a stone temporarily obstructs the **ampulla of Vater**, blocking both the common bile duct and the pancreatic duct. [1] - However, it's considered a complication of **choledocholithiasis** (gallstones in the common bile duct), not a direct complication of gallstones themselves. *Biliary enteric fistula* [1] - **Biliary enteric fistula** is an abnormal connection between the biliary tree and the gastrointestinal tract, usually caused by chronic inflammation and erosion by a gallstone (e.g., a **gallstone ileus**). [1] - While a direct complication of gallstones, the question asks for *a* complication, and cholangitis is a more immediate and common infectious complication directly arising from biliary obstruction.
Explanation: ***Ultrasound*** - **Ultrasound** is the initial and often definitive investigation for suspected **gallbladder pathology** like cholecystitis, especially given the symptoms of fever and **right upper quadrant pain post-meals**. - It effectively visualizes **gallstones**, gallbladder wall thickening, and **pericholecystic fluid**, which are key indicators of cholecystitis. *CT scan* - A **CT scan** is generally not the first-line investigation for acute cholecystitis due to **radiation exposure** and its **lower sensitivity** for gallstones compared to ultrasound. - While it can identify complications like abscesses or perforations, it is usually reserved for **ambiguous ultrasound findings** or suspected complications. *ERCP (Endoscopic Retrograde Cholangiopancreatography)* - **ERCP** is an **invasive procedure** primarily used therapeutically for the removal of **bile duct stones** or for stent placement in cases of obstruction. - It carries risks of **pancreatitis** and perforation, making it unsuitable as an initial diagnostic tool for simple cholecystitis. *MRCP (Magnetic Resonance Cholangiopancreatography)* - **MRCP** is a **non-invasive imaging technique** that provides detailed images of the **biliary and pancreatic ducts** without radiation, primarily useful for confirming suspected bile duct stones or strictures. - While excellent for ductal anatomy, it is **not typically the first choice** for acute cholecystitis, as ultrasound is quicker, cheaper, and sufficient for initial diagnosis.
Explanation: ***Biliary atresia*** - A **HIDA scan** (hepatobiliary iminodiacetic acid scan) is instrumental in diagnosing biliary atresia by demonstrating the **absence of bile flow** into the duodenum. - In infants with persistent jaundice, the failure of the tracer to appear in the small bowel after a prolonged period strongly suggests this condition, indicating **obstructed or absent bile ducts**. *Cholelithiasis* - While HIDA scans can detect **cystic duct obstruction** in acute cholecystitis, they are less definitive for uncomplicated cholelithiasis (gallstones without acute inflammation). - **Ultrasound** is typically the primary imaging modality for diagnosing gallstones due to its non-invasiveness and ability to visualize stones directly. *Benign biliary disease* - This is a broad category, and while a HIDA scan can assess bile flow, it's not the **primary diagnostic tool** for all benign biliary conditions. - For most benign biliary diseases (e.g., choledocholithiasis without acute cholecystitis), **ultrasound, ERCP, or MRCP** often provide more detailed anatomical information. *Bile duct carcinoma* - A HIDA scan might show **obstructed bile flow** in bile duct carcinoma (cholangiocarcinoma), but it does not provide the detailed anatomical information or staging necessary for diagnosis and treatment planning. - **CT, MRI, MRCP, or ERCP** with biopsy are far more effective for identifying, characterizing, and staging bile duct malignancies.
Explanation: ***Quadrate lobe of liver*** - The **gallbladder fossa** is located on the visceral surface of the liver, directly bordered by the **quadrate lobe** (Couinaud segment IV). - In cases of cholecystitis progressing to sepsis with hepatic involvement, the **quadrate lobe** is the initial anatomical structure affected due to its **direct anatomical contact** with the gallbladder. - Pericholecystic inflammation and abscess formation typically extend first into the quadrate lobe parenchyma before involving other hepatic segments. *Right lobe of liver* - While the gallbladder is anatomically related to the right lobe, the **quadrate lobe** (though functionally part of the left hepatic territory) is the structure in **immediate contact** with the gallbladder fossa. - The right lobe proper (segments V-VIII) may be involved subsequently, but it is not the **initial** site of direct inflammatory spread. *Hepatic portal vein & IVC* - The **hepatic portal vein** and **inferior vena cava (IVC)** are not in direct anatomical contact with the gallbladder. - These vascular structures may be affected in advanced stages through septic thrombophlebitis (**pylephlebitis**) or hematogenous spread, but not as the **initial** anatomical site of local extension. *Left lobe of liver* - The **left lobe** (segments II and III) is anatomically distant from the gallbladder, separated by the falciform ligament and other structures. - It would not be the initial site of direct inflammatory spread from cholecystitis.
Explanation: ***It is associated with higher rate of bile duct injuries than open cholecystectomy*** - **Historically**, laparoscopic cholecystectomy has been associated with a **higher rate of bile duct injuries** (0.4-0.6%) compared to open cholecystectomy (0.1-0.2%), particularly during the **learning curve period** in the 1990s. - Contributing factors include **limited visualization**, **altered anatomy** in acute inflammation, **reliance on 2D imaging**, and **misidentification of anatomic structures**. - Bile duct injuries, such as **common bile duct (CBD) laceration** or **transection**, can lead to significant morbidity. - **Note**: With increased surgeon experience and adoption of the **critical view of safety** technique, these rates have decreased, though the risk remains slightly higher than open surgery in some studies. *It is primarily done for cholecystitis in the third trimester of pregnancy* - **Laparoscopic cholecystectomy** during pregnancy is generally considered safe for symptomatic **gallstone disease**, with the **second trimester** being the optimal time for surgery. - In the **third trimester**, surgical considerations like **increased uterine size**, technical difficulty, and **fetal well-being** make laparoscopic surgery more challenging, and it is usually **deferred until after delivery** unless an emergency. - The primary indication for **cholecystectomy** is symptomatic gallstones or complications like **acute cholecystitis**, not specifically third trimester pregnancy. *It is safer than open cholecystectomy in patients with cardiorespiratory disease* - While **laparoscopic cholecystectomy** is generally associated with **less postoperative pain**, **reduced pulmonary complications**, and **faster recovery**, it involves **pneumoperitoneum** (CO2 insufflation), which increases intra-abdominal pressure. - **Pneumoperitoneum** can cause **decreased venous return**, **increased systemic vascular resistance**, **hypercarbia**, and **decreased lung compliance**, which may stress patients with severe **cardiorespiratory disease**. - The safety profile depends on individual patient factors, severity of cardiorespiratory disease, and anesthetic management. In many cases, the benefits of minimally invasive surgery outweigh the risks, but careful patient selection is essential. *It is contraindicated in acute cholecystitis* - This is **incorrect**. **Laparoscopic cholecystectomy** is the **gold standard treatment** for acute cholecystitis. - **Early laparoscopic cholecystectomy** (within **72 hours** of symptom onset) is preferred as it reduces complications, shortens hospital stay, and has better outcomes compared to delayed surgery. - Acute cholecystitis is an **indication**, not a **contraindication** for laparoscopic approach.
Explanation: ***Gallstones may be a predisposing factor*** - The chronic inflammation and irritation caused by **gallstones (cholelithiasis)** are considered major risk factors for the development of gallbladder carcinoma. - Approximately 70-90% of patients with gallbladder carcinoma also have **cholelithiasis**, suggesting a strong association. *Carries a good prognosis* - Gallbladder carcinoma generally has a **poor prognosis** due to its asymptomatic nature in early stages and aggressive local invasion. - Most cases are diagnosed at an advanced stage, leading to a **low 5-year survival rate**. *Commonly squamous cell carcinoma* - The vast majority of gallbladder carcinomas are **adenocarcinomas** (around 90%), arising from the glandular epithelium. - **Squamous cell carcinoma** is rare, accounting for only a small percentage of cases. *Jaundice is rare* - **Jaundice** is a common symptom in advanced gallbladder carcinoma, often indicating obstruction of the biliary ducts. - It arises when the tumor invades or compresses the **common bile duct**, leading to bilirubin backup.
Explanation: ***Sigmoid volvulus*** - The image shows massively dilated loops of bowel forming an **omega loop** or "inverted U" appearance, characteristic of **sigmoid volvulus**. The "tyre-like feel" upon palpation is consistent with a distended, gas-filled colon. - Clinical presentation with **left-sided abdominal pain** and signs of **large bowel obstruction** further supports this diagnosis, especially with the characteristic radiological findings. *Diverticulitis* - Diverticulitis typically presents with **left lower quadrant pain**, fever, and localized tenderness, but not usually with the massive abdominal distension and "tyre-like" feel seen in major bowel obstruction. - Radiological findings in diverticulitis often include **pericolic fat stranding**, wall thickening, and diverticula, rather than dramatically dilated bowel loops. *Paralytic ileus* - **Paralytic ileus** involves generalized bowel distension due to decreased peristalsis, often affecting both small and large bowel, rather than the localized, massive dilation of a single segment as seen here. - While there is distension, the distinct "inverted U" or omega loop configuration pointing to a specific segment of the bowel causing obstruction is not a feature of paralytic ileus. *Intussusception* - **Intussusception** is more common in children and typically presents with intermittent abdominal pain, vomiting, and "current jelly" stools, not primarily with palpable mass or a "tyre-like" feel on the *sigmoid* colon as described. - Radiologically, intussusception might show a "target sign" on ultrasound or an absence of gas distal to the obstruction, not the massively dilated sigmoid loop seen in the radiograph.
Get full access to all questions, explanations, and performance tracking.
Start For Free