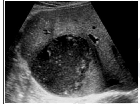
What is the next best step for a 22-year-old with a hepatic hemangioma on ultrasound?
Most common benign tumor of the liver is:
Which of the following statements about cavernous hemangioma is false?
Which of the following is the MOST common risk factor for hepatocellular carcinoma worldwide?
A 35-year-old patient with a history of dysentery for 6 weeks complains of pain in the right upper abdomen. On ultrasound, a hypoechoic hyperdense lesion is seen in the liver. Identify the condition based on the given image?

Which one of the following is not true about hepatocellular carcinoma?
Which of the following is not true about hydatid cysts of the liver?
A woman shows symptoms of massive pulmonary thromboembolism. Based on the gross appearance of the liver autopsy, which of the following statements best characterizes the patient’s condition?

Not a feature of rectosigmoid endometriosis on MRI
Pringle's maneuver is mainly used to control bleeding from which site?
Explanation: ***MRI*** - **Magnetic Resonance Imaging (MRI)** is the most sensitive and specific imaging modality for confirming the diagnosis of a **hepatic hemangioma** due to its characteristic enhancement patterns. - An MRI with contrast (e.g., gadolinium) can definitively distinguish a hemangioma from other **benign or malignant liver lesions**, especially when the ultrasound findings are equivocal. *Angiography* - **Angiography** is an invasive procedure and is typically reserved for cases where **embolization** or surgical resection of a very large or symptomatic hemangioma is being considered. - It is not the initial diagnostic choice for confirming a suspected hemangioma identified on **ultrasound**. *CT* - A **CT scan** with contrast can also characterize a hemangioma, showing peripheral nodular enhancement followed by progressive centripetal fill-in. - However, **MRI** generally offers superior soft tissue contrast and provides more definitive diagnostic features for hemangiomas, particularly in younger patients where radiation exposure from CT is a concern. *Biopsy* - **Biopsy** of a suspected hepatic hemangioma is generally contraindicated due to the risk of **hemorrhage** and is rarely necessary for diagnosis. - Imaging characteristics (especially on MRI) are usually sufficient to confirm the diagnosis without the need for an invasive procedure.
Explanation: ***Hepatic hemangioma*** - **Hepatic hemangiomas** are the **most common benign solid tumors of the liver**, often discovered incidentally [1]. - They are composed of a tangled mass of **blood vessels** and are generally asymptomatic [1]. *Focal nodular hyperplasia (FNH)* - FNH is the **second most common benign liver tumor**, characterized by a central scar on imaging [1]. - While benign, it is less common than hepatic hemangioma [1]. *Hepatic adenoma* - Hepatic adenomas are benign tumors with a higher risk of **hemorrhage** and **malignant transformation** compared to hemangiomas [1], [2]. - Their incidence is linked to oral contraceptive use or anabolic steroid use. *Angiolipoma of the liver* - **Angiomyolipomas** are rare benign tumors, more commonly found in the kidney, and are not the most frequent benign liver tumor. - They are composed of varying amounts of **fat**, **smooth muscle**, and **blood vessels**. **References:** [1] Cross SS. Underwood's Pathology: A Clinical Approach. 6th ed. Common Clinical Problems From Liver And Biliary System Disease, pp. 398-399. [2] Kumar V, Abbas AK, et al.. Robbins and Cotran Pathologic Basis of Disease. 9th ed. Liver and Gallbladder, pp. 874-875.
Explanation: ***Undergo spontaneous regression*** - This statement is **false** because **cavernous hemangiomas** typically do not undergo spontaneous regression. They are persistent lesions. - Spontaneous regression is more characteristic of **capillary hemangiomas** (also known as infantile hemangiomas), especially those occurring in early childhood. *Less infiltrative than capillary hemangioma* - This statement is **true**. Cavernous hemangiomas are generally **well-circumscribed** and less infiltrative than capillary hemangiomas, which can sometimes spread more diffusely. - Their distinct, large vascular channels make them easier to delineate from surrounding tissue. *Intravascular thrombosis and dystrophic calcification are seen commonly* - This statement is **true**. The slow blood flow and large, irregular vascular spaces within cavernous hemangiomas predispose them to **thrombosis**. - Subsequent organization of thrombi and **fibrin deposition** often leads to **dystrophic calcification**, which can be visualized radiographically. *Not associated with VHL disease* - This statement is **true**. **Cavernous hemangiomas** are generally **not associated with von Hippel-Lindau (VHL) disease**. - VHL disease is primarily linked to **hemangioblastomas**, particularly in the CNS and retina, which are distinct from common cavernous hemangiomas.
Explanation: HBV - **Hepatitis B virus (HBV)** infection is the leading cause of **hepatocellular carcinoma (HCC)** globally, especially in regions with high endemicity like Southeast Asia and sub-Saharan Africa. - Chronic HBV infection leads to persistent **inflammation and fibrosis** in the liver, increasing the risk of malignant transformation. HCV - **Hepatitis C virus (HCV)** is a significant risk factor for HCC, particularly in Western countries. - While a major cause of chronic liver disease, its overall global prevalence as a cause of HCC is slightly lower than HBV. Alcohol - **Chronic alcohol consumption** can lead to alcoholic liver disease, cirrhosis, and subsequently increase the risk of HCC. - However, worldwide, chronic viral hepatitis (HBV and HCV) accounts for a larger proportion of HCC cases compared to alcohol-related liver disease. Aflatoxin exposure - **Aflatoxins**, particularly **aflatoxin B1**, are potent liver carcinogens produced by certain fungi (e.g., *Aspergillus flavus*) that contaminate food crops. - While significant in some regions, especially when combined with HBV infection, its global impact as a sole risk factor for HCC is less widespread compared to viral hepatitis.
Explanation: ***Amoebic liver abscess*** - The patient's history of **dysentery** (amoebic colitis) 6 weeks prior strongly points to an amoebic infection, as *Entamoeba histolytica* can spread from the colon to the liver via the portal vein. - The ultrasound finding of a **hypoechoic lesion** in the liver is characteristic of an abscess, and in the context of recent dysentery, it is highly suggestive of an amoebic liver abscess. *Hydatid cyst* - Hydatid cysts are caused by *Echinococcus granulosus* and are typically seen in patients with a history of **sheep herding** or exposure to dogs. - Ultrasound findings often show **daughter cysts** or a "water lily" sign, which are not described here or evident in the image. *Hemangioma* - Hemangiomas are the **most common benign liver tumors** and are typically **hyperechoic** on ultrasound, unlike the hypoechoic lesion described. - They are usually **asymptomatic** and not associated with a history of dysentery or acute pain. *Pyogenic liver abscess* - While a pyogenic liver abscess can present as a hypoechoic lesion on ultrasound and cause pain, it is typically associated with **biliary tract infection**, diverticulitis, or other sources of bacterial infection, not usually dysentery alone. - Pyogenic abscesses are often **multiple** and frequently occur in the setting of conditions like cholangitis or appendicitis.
Explanation: Metastasis occurs late - This statement is **false** because **hepatocellular carcinoma (HCC)** is known to **metastasize early**, often disseminating through the **portal vein** to the lung, bone, and brain [1]. - Early metastasis is a significant factor contributing to the **poor prognosis** of HCC even when the primary tumor is relatively small. *AFP is a marker* - **Alpha-fetoprotein (AFP)** is a widely used **tumor marker** for HCC, particularly in surveillance and diagnosis [1]. - While elevated AFP levels can indicate HCC, they are **not always present** and can also be elevated in other conditions such as hepatitis or cirrhosis. *HBV is a risk factor* - **Hepatitis B virus (HBV)** infection is a **major global risk factor** for developing HCC, especially in endemic regions. - Chronic HBV infection leads to **chronic inflammation** and **fibrosis** in the liver, significantly increasing the risk of malignant transformation. *Common in cirrhosis* - HCC is overwhelmingly common in patients with **cirrhosis**, regardless of its etiology (e.g., chronic hepatitis, alcohol abuse, non-alcoholic fatty liver disease) [1]. - The **regenerative nodules** and chronic inflammation associated with cirrhosis create a fertile ground for the development of **dysplastic foci** and ultimately HCC [1].
Explanation: ***Mostly in left lobe*** - **Hydatid cysts** (Echinococcosis) caused by the parasite **Echinococcus granulosus** are most commonly found in the **right lobe of the liver** (75%), followed by the left lobe (15-20%), and then other sites. - The liver is the **primary site** of involvement in around 75% of cases because it is the **first capillary bed** encountered by the swallowed eggs. *Surgical management is done* - **Surgical removal** is often the definitive treatment for **hydatid cysts**, particularly for large, symptomatic, or complicated cysts. - Procedures can range from **cystectomy** (removal of the cyst wall) to **radical resections** depending on the cyst's location and size. *Conservative treatment is effective in elderly with small cyst* - **Conservative management** or "watch and wait" is a viable option for **asymptomatic, small cysts**, especially in **elderly patients** or those with significant comorbidities where surgery might pose a high risk. - **Antiparasitic medications** like **albendazole** are also used, sometimes alone for smaller cysts, or in conjunction with other treatments. *CT shows pathognomonic ring-like calcification* - **Computed tomography (CT)** scans can show characteristic features such as a **"daughter cyst" formation** within the mother cyst or **ring-like calcification** of the cyst wall, which are highly suggestive of a **hydatid cyst**. - While not universally present, the presence of **calcification** is a strong indicator, though the diagnostic gold standard often involves serology and imaging.
Explanation: ***Colonic adenocarcinoma with metastasis*** - The presence of **massive pulmonary thromboembolism** often indicates **underlying malignancy** [2], particularly with **colonic adenocarcinoma** known to metastasize to the liver [1]. - This condition may present with **liver lesions** at autopsy, consistent with metastatic disease [1], supporting this diagnosis. *Metastasis from PE* - Pulmonary embolism (PE) itself does not typically give rise to **metastatic disease**; instead, it commonly arises from **deep vein thrombosis** (DVT) [2]. - This onfuses the cause of PE with its potential effects, lacking the **specificity** of a primary cancer origin. *Locally invaded hepatocellular carcinoma* - This option indicates a primary liver cancer impacting the liver directly, which would not cause **massive pulmonary thromboembolism** as its primary feature. - While hepatocellular carcinoma can cause some vascular complications, it does not correlate with **colonic adenocarcinoma** or metastatic patterns indicative of PE. *Angiosarcoma* - Though angiosarcoma is a **primary liver tumor**, it is rare and does not typically present with **massive pulmonary embolism** as a hallmark manifestation. - This type of cancer generally has a different clinical picture and distinct risk factors compared to **colonic adenocarcinoma**, making it an **unlikely option** in this context. **References:** [1] Kumar V, Abbas AK, et al.. Robbins and Cotran Pathologic Basis of Disease. 9th ed. Neoplasia, p. 282. [2] Kumar V, Abbas AK, et al.. Robbins and Cotran Pathologic Basis of Disease. 9th ed. The Lung, p. 705.
Explanation: ***T2 hyperintensity*** - Endometriotic implants typically demonstrate **T1 hyperintensity** due to the presence of **hemorrhage** within the ectopic endometrial tissue. - On T2-weighted images, endometriosis usually appears **hypointense** or **isointense** due to the phenomenon of **T2 shading**, caused by chronic hemorrhage and fibrosis. *Mushroom cap sign* - This sign is characteristic of **deep infiltrating endometriosis** affecting the rectosigmoid. - It describes the appearance where the fibrotic endometriotic nodule infiltrates the bowel wall, creating a mushroom-like shape due to the **thickened muscularis propria** and overlying mucosal folds. *Fat stranding* - **Fat stranding** in the perirectal or perisigmoid fat is a common feature of **inflammatory conditions** including endometriosis. - It indicates **reactive inflammation** around the endometriotic implants, often seen in cases of deep infiltrating endometriosis. *Bowel wall thickening* - **Bowel wall thickening** is a frequent finding in rectosigmoid endometriosis due to **fibrotic reaction**, **smooth muscle hypertrophy**, and **edema** caused by the infiltrating endometrial tissue. - This thickening can lead to narrowing of the bowel lumen and obstructive symptoms.
Explanation: ***Liver parenchyma*** - Pringle's maneuver involves **clamping the hepatoduodenal ligament**, which contains the portal triad (hepatic artery, portal vein, and bile duct), to temporarily **reduce blood flow to the liver**. - This maneuver is primarily performed during **liver surgery** to control bleeding from the liver parenchyma itself, allowing for safer resection or repair of liver injuries. *IVC* - Bleeding from the **inferior vena cava (IVC)** is not directly controlled by Pringle's maneuver. The IVC is located posterior to the liver parenchyma and is not part of the hepatoduodenal ligament. - Controlling IVC bleeding typically requires **direct repair** or other specific vascular control techniques, often involving clamps placed directly on the IVC. *Cystic artery* - While the **cystic artery** is a branch of the right hepatic artery (which is occluded during Pringle's maneuver), the maneuver is not *mainly* used to control isolated cystic artery bleeding. - **Cystic artery bleeding** is typically encountered during cholecystectomy and is controlled by ligating or clipping the artery directly, rather than relying on a general liver inflow occlusion. *Hepatic vein* - The **hepatic veins** drain directly into the IVC from the liver parenchyma and are not part of the hepatoduodenal ligament, thus their blood flow is not directly occluded by Pringle's maneuver. - Bleeding from the hepatic veins is a more challenging complication in liver surgery, often requiring **direct compression**, suture repair, or venovenous bypass to manage.
Get full access to all questions, explanations, and performance tracking.
Start For Free