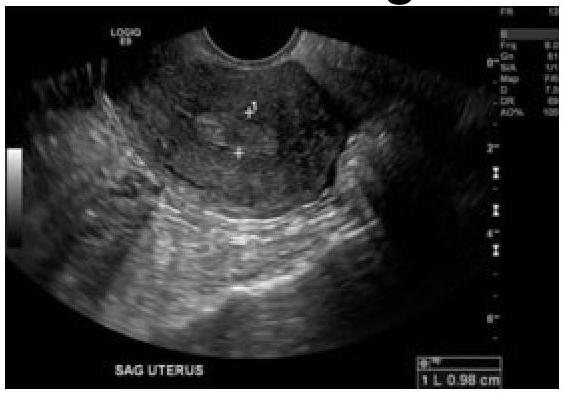
60-year-old female with a history of intermittent bleeding. What is the diagnosis based on the ultrasound image?

What is the most precancerous condition associated with an increased risk of carcinoma of the colon?
Which of the following is NOT a feature of Peutz-Jeghers syndrome?
A 26-year-old male presents to the outpatient department with a discrete thyroid swelling. On neck ultrasound, an isolated cystic swelling of the gland is seen. What is the risk of malignancy associated with this finding?
Which of the following is NOT a risk factor for malignant transformation of an endometrial polyp?
All are true regarding familial adenomatous polyposis except which of the following?
Which of the following statements are true about familial adenomatous polyposis? 1. It is autosomal recessive 2. If not treated, 100% of the cases progress to adenocarcinoma colon. 3. It is associated with a gene mutation in KRAS 4. It is associated with congenital hypertrophy of the retinal pigment epithelium.
A 22 year old young man came with history of occasional bleeding per rectum. On colonoscopy, numerous sessile polyps were seen in descending and sigmoid colon. On family history his elder brother was operated for thyroid malignancy. The young man should be advised:
Colonoscopy is not indicated in which of the following conditions?
A patient with a non-obstructing carcinoma of the sigmoid colon is being prepared for elective resection. To minimize the risk of postoperative infectious complications, what should be included in your planning?
Explanation: ***Endometrial polyp*** - The ultrasound image shows a well-defined, **echogenic focal lesion within the endometrial cavity**, which is characteristic of an endometrial polyp. - In a 60-year-old female with intermittent bleeding, a polyp is a common cause of **postmenopausal bleeding** and is often identified as an intracavitary mass on ultrasound. - Endometrial polyps appear as **focal, hyperechoic or isoechoic masses** with a smooth contour projecting into the endometrial cavity. *Ca endometrium* - **Endometrial carcinoma** typically appears as diffuse endometrial thickening (>4-5 mm in postmenopausal women), irregular endometrial-myometrial interface, or heterogeneous endometrial echoes, often with evidence of myometrial invasion. - While bleeding is a cardinal symptom of endometrial carcinoma, the distinct **focal, well-circumscribed nature** of the lesion on ultrasound is less typical for carcinoma, which tends to be more diffuse and irregular. *Submucosal fibroid* - A **submucosal fibroid** (leiomyoma) is a benign smooth muscle tumor originating from the myometrium that protrudes into the endometrial cavity. - While it can appear as an intracavitary mass and cause abnormal bleeding, fibroids often have a more **heterogeneous or hypoechoic appearance** with posterior acoustic shadowing, compared to the isoechoic to hyperechoic appearance of a polyp. - The feeding vessel sign (blood flow at the base) is more characteristic of polyps than fibroids. *Endometrial hyperplasia* - **Endometrial hyperplasia** presents as **diffuse, uniform endometrial thickening** rather than a focal intracavitary mass. - It typically shows homogeneous increased echogenicity of the entire endometrium without a discrete, well-defined lesion as seen with a polyp. - While it can cause postmenopausal bleeding, the focal nature of the lesion in this case makes hyperplasia less likely.
Explanation: ***Familial polyposis*** - This condition, more accurately known as **Familial Adenomatous Polyposis (FAP)**, is characterized by hundreds to thousands of adenomatous polyps in the colon. [1] - The risk of developing **colorectal carcinoma** in FAP patients approaches 100% by age 30-40 if left untreated, making it the most significant pre-cancerous condition. [1] *Hamartomatous polyps* - These polyps are malformations of normal tissue components, not neoplastic growths, and generally have a **low malignant potential**. - While certain hamartomatous polyposis syndromes (e.g., Peutz-Jeghers syndrome) carry an increased cancer risk, solitary hamartomatous polyps rarely transform into carcinoma. [2] *Juvenile polyps* - These are a type of **hamartomatous polyp** found predominantly in children, often presenting with rectal bleeding. [2] - They are typically benign and have a **very low malignant potential**, especially when solitary. [2] *Hyperplastic polyps* - These are common, small, and usually located in the rectosigmoid colon, composed of well-differentiated epithelial cells with a "saw-tooth" appearance. - They are generally considered **benign** and do not carry a significant risk of malignant transformation. [1] **References:** [1] Kumar V, Abbas AK, et al.. Robbins and Cotran Pathologic Basis of Disease. 9th ed. The Gastrointestinal Tract, pp. 821-822. [2] Kumar V, Abbas AK, et al.. Robbins and Cotran Pathologic Basis of Disease. 9th ed. The Gastrointestinal Tract, pp. 814-815.
Explanation: ***High risk of malignancy*** - Peutz-Jeghers syndrome is primarily associated with **benign hamartomatous polyps**, not a **high risk of malignancy**, which distinguishes it from other syndromes. - Although patients may develop cancers [1], the syndrome itself does not inherently denote a high malignancy risk like other syndromes such as familial adenomatous polyposis. *Autosomal dominant* - This syndrome is indeed **autosomal dominant**, caused by mutations in the STK11 gene. - Families with this condition typically show **vertical transmission**, characteristic of autosomal dominant inheritance. *Hamartomatous polyp* - Individuals with Peutz-Jeghers syndrome develop **hamartomatous polyps**, which are a hallmark feature of the condition [1]. - These polyps can occur in the gastrointestinal tract and are benign lesions rather than adenomatous type seen in other syndromes [1]. *Mucocutaneous pigmentation* - Mucocutaneous pigmentation, such as **freckling around the lips and buccal mucosa**, is a key clinical feature of Peutz-Jeghers syndrome. - This pigmentation usually appears in childhood and is often a distinguishing sign of the syndrome.
Explanation: ***3%*** - **Purely cystic thyroid nodules** (as described in this case with "isolated cystic swelling") have a **very low risk of malignancy**, typically **2-3%** or less. - According to **ATA guidelines** and **TIRADS classification**, purely cystic nodules are considered **low suspicion** lesions. - The cystic nature suggests a **benign process** such as a degenerated adenoma, colloid cyst, or simple cyst. - **Fine needle aspiration (FNA)** may still be considered if the nodule is >2 cm or has any suspicious solid components, but is often not required for purely cystic lesions. *48%* - This percentage is **significantly higher** than the actual malignancy risk for a purely cystic thyroid swelling. - Such a **high risk** would typically be associated with **solid nodules** exhibiting highly suspicious ultrasound features such as: - Microcalcifications - Irregular or spiculated margins - Taller-than-wide shape - Marked hypoechogenicity - Extrathyroidal extension *24%* - This percentage represents a **moderate to high risk** of malignancy, which is **not characteristic** of an isolated purely cystic thyroid swelling. - A risk in this range might be seen with: - **Mixed solid-cystic nodules** with predominantly solid components - Solid nodules with **intermediate suspicious features** on ultrasound *12%* - While lower than 24% or 48%, 12% is still **considerably higher** than the generally accepted malignancy risk for purely cystic thyroid nodules. - This risk level could be plausible for: - **Predominantly cystic nodules** with some eccentric solid components - Solid nodules with **mildly suspicious** features on ultrasound
Explanation: ***Use of oral contraceptives*** - **Oral contraceptives** are not considered a risk factor for malignant transformation of endometrial polyps; in fact, they may be protective against endometrial hyperplasia and cancer. - Their progestin component induces endometrial atrophy, counteracting potential proliferative effects. *Large polyp > 1.5 cm size* - **Larger polyp size**, typically defined as >1.5 cm, is associated with a higher likelihood of malignant transformation. - Larger polyps have a greater chance of containing atypical histology or cancerous foci. *Abnormal uterine bleeding* - **Abnormal uterine bleeding (AUB)**, especially postmenopausal bleeding, is a common symptom of endometrial polyps and also a significant risk factor for malignancy within a polyp. - AUB warrants investigation to rule out endometrial carcinoma, which can arise within a polyp. *Use of tamoxifen* - **Tamoxifen**, a selective estrogen receptor modulator used in breast cancer treatment, has estrogenic effects on the endometrium, increasing the risk of endometrial polyps, hyperplasia, and cancer. - The use of tamoxifen is a well-established risk factor for both the development of polyps and their malignant transformation.
Explanation: ***Autosomal recessive*** - **Familial adenomatous polyposis (FAP)** is inherited in an **autosomal dominant** pattern, not autosomal recessive. - It is caused by a germline mutation in the **APC gene** on chromosome 5q21-q22. *Associated endocrine involvement can be present* - **Gardner syndrome**, a variant of FAP, is associated with **extracolonic manifestations**, including benign osteomas, desmoid tumors, and epidermal cysts, which can be linked to endocrine disturbances [1]. - Other manifestations can include **adrenal adenomas** and **thyroid cancer**, reflecting potential widespread systemic involvement. *Multiple duodenal polyps* - FAP is characterized by the development of numerous **adenomatous polyps** throughout the gastrointestinal tract, especially in the **colon and rectum**. - **Duodenal polyps**, particularly in the periampullary region, are common and can malignant change, requiring regular surveillance [1]. *More > 100 polyps in the colon* - The defining feature of FAP is the presence of **hundreds to thousands of colorectal adenomatous polyps**, often exceeding 100. - These polyps have a nearly **100% risk of malignant transformation** into colorectal cancer if left untreated.
Explanation: ***2 and 4*** - Without treatment, **familial adenomatous polyposis (FAP)** leads to colorectal **adenocarcinoma** in 100% of cases, due to the accumulation of numerous adenomatous polyps throughout the colon. - FAP is strongly associated with **congenital hypertrophy of the retinal pigment epithelium (CHRPE)**, which can be an early diagnostic marker [1]. *None of the options* - This statement is incorrect because FAP does indeed involve the progression to adenocarcinoma and is associated with CHRPE. - The combination of these two true statements makes this option invalid. *1 and 4* - FAP is inherited in an **autosomal dominant** manner, not autosomal recessive [1]. - While statement 4 (association with CHRPE) is true, statement 1 being false makes this option incorrect. *2 and 3* - Although statement 2 (100% progression to adenocarcinoma) is true, statement 3 is incorrect. - FAP is primarily caused by mutations in the **APC gene**, not the KRAS gene [1]. KRAS is more commonly associated with sporadic colorectal cancer progression rather than FAP.
Explanation: ***Prophylactic panproctocolectomy*** - This patient presents with multiple sessile polyps in the descending and sigmoid colon, along with a family history of **thyroid malignancy** in his brother. This constellation of findings is highly suggestive of **Familial Adenomatous Polyposis (FAP)**, specifically **Gardner syndrome**, which is a variant of FAP associated with extracolonic manifestations like thyroid tumors. - Due to the high risk of **colorectal cancer** development in FAP (nearly 100% by age 40 without intervention), **prophylactic panproctocolectomy** is the recommended treatment to prevent progression to malignancy. *Prophylactic anterior resection* - An anterior resection typically involves removing only a segment of the colon, which would be insufficient for a patient with FAP, as polyps can develop throughout the entire colon and rectum. - This procedure would leave a significant portion of the colon at risk for **neoplastic transformation**, necessitating further surgeries or intense surveillance. *Surveillance colonoscopy every 6 months* - While surveillance is crucial in risk assessment, for diagnosed FAP, particularly with symptomatic polyps and a family history suggestive of a syndrome, surveillance alone is inadequate due to the **high and inevitable risk of cancer**. - Delaying definitive surgical intervention would expose the patient to a very high probability of developing **colorectal carcinoma**. *Colonoscopic removal of all polyps* - Given the presence of **numerous sessile polyps**, endoscopic polypectomy would be impractical, incomplete, and would likely miss microscopic or nascent lesions. - This approach offers only temporary management and does not address the underlying genetic predisposition to continuous polyp formation and high malignancy risk.
Explanation: ***Multiple Endocrine Neoplasia type 2B*** - **MEN 2B** is characterized by **medullary thyroid carcinoma**, **pheochromocytoma**, and specific features such as **mucosal neuromas** and a marfanoid habitus, but it does **not involve colonic polyps or an increased risk of colorectal cancer** that would necessitate colonoscopy. - While gastrointestinal manifestations like ganglioneuromatosis may be present, **routine colonoscopy screening** is not indicated in this syndrome as there is no increased colorectal cancer risk. *Familial Adenomatous Polyposis* - **FAP** is an autosomal dominant disorder characterized by the development of hundreds to thousands of **colorectal adenomatous polyps**, which have an almost 100% risk of progressing to **colorectal cancer** if untreated. - **Regular colonoscopic surveillance** and eventual colectomy are essential for managing this condition due to the high malignancy risk. *Hereditary Nonpolyposis Colorectal Cancer* - Also known as **Lynch syndrome**, HNPCC is characterized by an increased risk of **colorectal cancer** and other extra-colonic cancers (e.g., endometrial, ovarian) due to germline mutations in **mismatch repair genes**. - **Colonoscopy is crucial** for early detection and prevention of colorectal cancer in affected individuals, typically starting at age 20-25 years or 2-5 years before the youngest family member was diagnosed. *Peutz-Jeghers Syndrome* - **Peutz-Jeghers Syndrome** is an autosomal dominant condition characterized by **hamartomatous polyps** throughout the gastrointestinal tract and mucocutaneous pigmentation (melanotic macules on lips, oral mucosa, and digits). - These polyps have **malignant potential** with increased risk of gastrointestinal and extra-intestinal cancers (breast, ovarian, pancreatic). - **Regular colonoscopic surveillance** is recommended starting from late teens or early 20s for polyp detection and removal.
Explanation: ***Single preoperative parenteral dose of antibiotic effective against aerobes and anaerobes*** - For **elective colorectal surgery**, a single dose of a **broad-spectrum parenteral antibiotic** administered within 60 minutes prior to incision is the standard of care to reduce surgical site infections. - This approach ensures adequate drug levels in the tissues during the period of potential bacterial contamination and is a cornerstone of modern surgical prophylaxis. - Current guidelines (WHO, SCIP) recommend a single preoperative dose, which may be redosed intraoperatively if the procedure is prolonged beyond 3-4 hours. *Avoidance of oral antibiotics to prevent emergence of Clostridioides difficile* - This is **incorrect**. **Oral antibiotics** (such as neomycin and metronidazole) are routinely used preoperatively in conjunction with mechanical bowel preparation for colorectal surgery to reduce intraluminal bacterial load. - The concern for *Clostridioides difficile* infection is generally low with short-term, targeted prophylactic antibiotic regimens compared to broad-spectrum, prolonged use. - The combination of oral and parenteral antibiotics has been shown to further reduce surgical site infections. *Postoperative administration for 5 to 7 days of parenteral antibiotics* - **Prolonged postoperative antibiotic administration** beyond 24 hours in uncomplicated cases is not recommended as it increases the risk of **antibiotic resistance**, *C. difficile* infection, and adverse drug reactions without additional benefit. - The goal of prophylactic antibiotics is to cover the period of contamination during surgery, not to treat presumed ongoing infection postoperatively. *Postoperative administration for 2 to 4 days of parenteral antibiotics* - While administration for up to 24 hours post-operatively may be considered in some high-risk cases, routine **prolonged postoperative antibiotics** (2-4 days) are unnecessary for most elective colorectal resections. - Evidence suggests that continuing antibiotics beyond the immediate perioperative period does not further reduce the incidence of **surgical site infections** in clean-contaminated surgeries.
Get full access to all questions, explanations, and performance tracking.
Start For Free