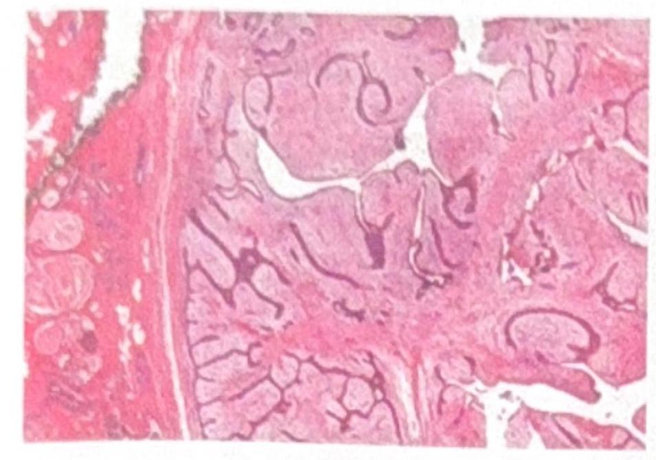
A 40-year-old female presents with an irregular 5 × 6 cm mass in the right breast. Histopathological examination reveals the image shown. What is the most likely diagnosis?

A 45-year-old woman with early-stage breast cancer is discussing treatment options with her surgeon. Which of the following statements regarding breast conservation surgery is NOT true?
Mammography can be best used in?
What is the treatment of choice in desmoid tumors?
A 22 year old woman comes with a non progressive mass in the left breast since 6 months. There are no associated symptoms. Examination shows a mobile mass not attached to the overlying skin or underlying tissue. The possible diagnosis is
A 10 cm tumor is found on the anterior surface of the thigh. What is the most appropriate procedure to obtain a diagnosis?
Which of the following is not a characteristic of malignant lesions?
A 52 year old female underwent MRM (Modified Radical Mastectomy). After few years, she developed lymphedema of the ipsilateral arm. Which of the following malignancies can develop in her arm?
Which of the following is the best indicator of prognosis of soft tissue sarcoma?
A colonic carcinoma involving muscularis propria, with one or two nodes involved with a solitary metastasis in the liver, the TNM stage would be:
Explanation: ***Phyllodes tumor*** - The image demonstrates a characteristic **leaf-like or cleft-like stromal growth pattern** often seen in phyllodes tumors [1]. The stroma is cellular and appears to project into ductal spaces, leading to the formation of slit-like spaces [1]. - Phyllodes tumors are typically **large (5 cm or more)**, firm, and solitary, with a rapid growth rate, consistent with the described 5×6 cm mass [1]. - They show a **biphasic pattern** with both epithelial and stromal components, where the stromal component predominates [1]. *Fibroadenoma* - While fibroadenomas are biphasic like phyllodes tumors, they usually present with a more uniform, less cellular stroma and less pronounced epithelial-stromal clefting [1]. - Fibroadenomas also do not typically grow as large as 5-6 cm with such aggressive stromal patterns in a 40-year-old. - The stroma in fibroadenoma is less cellular and lacks the leaf-like architecture [1]. *Invasive ductal carcinoma* - Invasive ductal carcinoma would show **infiltrating cords, nests, or tubules of malignant epithelial cells** invading through the stroma with associated desmoplasia [2]. - The biphasic leaf-like architecture with stromal fronds protruding into epithelial-lined spaces is not characteristic of carcinoma. - While it can present as a large irregular mass, the histological pattern is distinctly different from the image shown [2]. *Intraductal papilloma* - Intraductal papilloma presents with **arborizing fibrovascular cores lined by epithelial cells** within dilated ducts, typically near the nipple. - They are usually small (a few millimeters to 2-3 cm) and do not typically present as large 5-6 cm masses. - The prominent stromal overgrowth with leaf-like pattern seen in the image is not characteristic of papilloma. **References:** [1] Kumar V, Abbas AK, et al.. Robbins and Cotran Pathologic Basis of Disease. 9th ed. The Breast, pp. 1072-1074. [2] Kumar V, Abbas AK, et al.. Robbins and Cotran Pathologic Basis of Disease. 9th ed. The Breast, pp. 1066-1068.
Explanation: ***Axillary dissection*** - **Axillary dissection is NOT a routine component of breast conservation surgery** for early-stage breast cancer. - In early-stage disease, **sentinel lymph node biopsy (SLNB)** has largely replaced routine axillary dissection as it provides accurate staging with significantly less morbidity. - Axillary dissection is only performed when there is **proven extensive lymph node involvement** or when SLNB shows metastatic disease requiring further assessment. - Therefore, this statement is **NOT true** regarding routine breast conservation surgery. *Wide local excision* - **Wide local excision (lumpectomy)** is the primary surgical component of breast conservation therapy. - It involves removing the cancerous tumor along with a margin of healthy breast tissue to achieve clear margins while preserving the breast. *Sentinel lymph node biopsy* - **SLNB** is a standard procedure performed with breast conservation surgery to assess for regional lymph node metastasis. - It identifies and removes the first few lymph nodes draining the tumor, allowing accurate staging with minimal morbidity. *Post-operative radiotherapy* - **Post-operative radiotherapy** to the preserved breast is a critical and essential component of breast conservation therapy. - It significantly reduces the risk of local recurrence by treating any microscopic tumor cells that may remain after surgery.
Explanation: ***Early breast carcinoma*** - **Mammography** is the gold standard for **early detection of breast carcinoma**, particularly for identifying **microcalcifications** and small masses before they are palpable. - It plays a crucial role in **screening asymptomatic women** to reduce breast cancer mortality. *Mastitis* - **Mastitis** is an **inflammatory condition** of the breast, often associated with infection, which is usually diagnosed clinically. - While mammography might show diffuse **increased density**, it is not the primary diagnostic tool and often has limited value due to inflammatory changes masking pathology. *Fibroadenoma* - **Fibroadenomas** are **benign breast tumors** common in younger women, typically appearing as well-circumscribed masses on mammography. - While mammography can detect them, their characterization often requires **ultrasound** and **biopsy** for definitive diagnosis, as differentiation from malignant lesions can be challenging. *Phylloides tumor* - A **Phylloides tumor** is a rare tumor that can be benign, borderline, or malignant, and it typically presents as a rapidly growing, palpable mass. - Mammography may show a well-defined mass, but **ultrasound** and **core needle biopsy** are essential for accurate diagnosis and distinction from fibroadenomas or malignancy.
Explanation: ***Wide excision*** - For **desmoid tumors**, **complete surgical resection with clear margins** is the primary treatment of choice due to their infiltrative nature and high recurrence rates. - This approach aims to minimize local recurrence and prevent tumor progression, which can impact adjacent structures. *Irradiation* - **Radiation therapy** is typically reserved as an **adjuvant** treatment after surgery or for unresectable tumors, not as a primary standalone treatment. - While it can help reduce recurrence rates, it carries risks of **secondary malignancies** and local tissue damage. *Local excision* - **Local excision** alone is insufficient for desmoid tumors due to their **infiltrative growth pattern** and high propensity for **local recurrence** if positive margins remain. - It often leads to incomplete removal, necessitating further intervention and increasing the risk of tumor progression. *Local excision following radiation* - Combining local excision with initial radiation is not the preferred sequence; **wide surgical excision** is typically performed first. - Radiation might be considered preoperatively in specific cases to **reduce tumor size** or postoperatively for **positive margins**, but starting with local excision after initial radiation is not the standard primary management.
Explanation: ***Fibroadenoma*** - This is the most common benign breast tumor in young women, typically presenting as a **mobile, non-tender, firm mass** with no attachment to surrounding tissues. - The history of a **non-progressive mass** over six months in a 22-year-old woman is highly characteristic of a fibroadenoma. *Cystasarcoma Phylloides* - While it can present as a mobile mass, phyllodes tumors tend to grow **rapidly** and can reach a large size, which contradicts the "non-progressive" nature of the mass described. - Phyllodes tumors often have a **leaf-like architectural pattern** histologically and can be benign, borderline, or malignant. *Scirrhous Carcinoma* - This is a type of invasive ductal carcinoma that typically presents as a **hard, irregular, fixed mass** that is often attached to the skin or underlying tissue, unlike the mobile mass described here. - It is common in older women and often associated with **skin dimpling** or nipple retraction. *Fibroadenosis* - This refers to a group of benign breast changes, often presenting with generalized **lumpiness, pain, or tenderness** that fluctuates with the menstrual cycle, rather than a discrete, solitary mass. - It usually presents as **multiple, diffuse nodules** rather than a single, well-defined mass.
Explanation: ***Incision biopsy*** - An **incision biopsy** is most appropriate for a large tumor (10 cm) to obtain a tissue diagnosis without performing a potentially morbid or disfiguring complete excision upfront. - It involves removing a representative section of the tumor for histopathological analysis, providing adequate tissue for diagnosis, grading, and subtyping. - This allows definitive treatment planning based on confirmed histopathology. *Excision biopsy* - **Excision biopsy** is generally reserved for smaller tumors (typically <3-5 cm) that can be completely resected with acceptable cosmetic and functional outcomes. - Excision of a 10 cm tumor on the thigh would be a significant surgical procedure, potentially causing substantial morbidity, without a prior definitive diagnosis. - Could compromise subsequent definitive surgery if margins are inadequate. *FNAC* - **FNAC (Fine Needle Aspiration Cytology)** provides only cytological diagnosis, which is insufficient for definitive diagnosis, grading, and subtyping of soft tissue tumors, especially sarcomas. - It misses crucial architectural features and tissue patterns needed for accurate classification. - May yield inadequate or non-diagnostic samples from large heterogeneous tumors. *USG* - **USG (Ultrasound)** is an imaging modality, not a tissue diagnosis procedure. - While useful for characterizing mass features (size, location, vascularity, solid vs cystic), it cannot provide histopathological diagnosis. - The question specifically asks for a procedure to "obtain a diagnosis," which requires tissue sampling for microscopic examination.
Explanation: ***Pear-shaped*** - A **pear-shaped** morphology is not a typical characteristic of malignant lesions; they usually present with irregular, ill-defined, or infiltrative shapes [1] - This shape is often associated with benign lesions (e.g., fibroadenoma) or specific types of cysts [2] - Malignant tumors characteristically have **irregular, asymmetric, or spiculated** contours [3] *Absence of encapsulation* - Malignant lesions typically lack a well-defined fibrous capsule, allowing them to **invade surrounding tissues** [1] - This characteristic distinguishes them from most benign tumors, which are often encapsulated [2] - The absence of encapsulation is a hallmark feature of malignant behavior *Ulcerated borders* - Ulceration is a common feature of advanced malignant lesions, indicating rapid growth and tissue destruction [3] - This occurs as the tumor outgrows its blood supply or invades superficial layers, leading to tissue breakdown - Surface ulceration is particularly seen in malignant tumors of skin, GI tract, and mucosal surfaces *Ill-defined borders* - Malignant lesions frequently have **irregular or ill-defined borders** due to their invasive and infiltrative growth patterns [2] - This lack of clear demarcation makes complete surgical removal challenging - On imaging and gross examination, poorly defined margins are a key indicator of malignancy **References:** [1] Kumar V, Abbas AK, et al.. Robbins and Cotran Pathologic Basis of Disease. 9th ed. Neoplasia, pp. 276-278. [2] Kumar V, Abbas AK, et al.. Robbins and Cotran Pathologic Basis of Disease. 9th ed. Neoplasia, p. 280. [3] Cross SS. Underwood's Pathology: A Clinical Approach. 6th ed. (Basic Pathology) introduces the student to key general principles of pathology, both as a medical science and as a clinical activity with a vital role in patient care. Part 2 (Disease Mechanisms) provides fundamental knowledge about the cellular and molecular processes involved in diseases, providing the rationale for their treatment. Part 3 (Systematic Pathology) deals in detail with specific diseases, with emphasis on the clinically important aspects., pp. 204-206.
Explanation: ***Lymphangiosarcoma*** - This is a rare, aggressive **vascular tumor** that can develop in chronically lymphedematous limbs, particularly after **mastectomy** for breast cancer. - The chronic lymphatic obstruction and inflammation are thought to be predisposing factors, leading to the condition known as **Stewart-Treves syndrome**. *Malignant Melanoma* - This cancer arises from **melanocytes** in the skin and is primarily associated with UV radiation exposure or existing nevi, not chronic lymphedema. - While it can occur anywhere on the body, there is no direct causal link between modified radical mastectomy and the development of melanoma in the arm. *Lymphoma* - Lymphoma is a cancer of the **lymphocytes** within the lymphatic system, typically presenting as swollen lymph nodes or B-symptoms. - Although lymphedema involves the lymphatic system, it generally predisposes to angiosarcoma rather than lymphoma in this specific clinical context. *Malignant fibrous histiocytoma* - This is a type of **soft tissue sarcoma** that can occur in various locations, but it is not specifically linked to chronic lymphedema following mastectomy. - While its etiology can be complex, it does not have the well-established association with chronic lymphedema that lymphangiosarcoma does.
Explanation: ***Tumour grade*** - **Tumor grade** quantifies the degree of cellular differentiation, mitotic activity, and necrosis within the tumor, reflecting its aggressive potential. - A **higher tumor grade** is directly associated with a poorer prognosis, increased risk of local recurrence, and distant metastasis in soft tissue sarcomas. *Tumour size* - While larger tumor size (e.g., >5 cm) is generally associated with a worse prognosis, it is primarily a factor in **staging**, not the most critical prognostic indicator. - **Tumor grade** provides more fundamental information about the biological aggressiveness of the tumor cells regardless of their current size. *Nodal metastasis* - **Nodal metastasis** in soft tissue sarcomas is relatively uncommon (less than 5% of cases) compared to carcinomas, and its presence is a significant negative prognostic factor. - However, because it is rare, it doesn't serve as the *primary* indicator for the majority of sarcoma patients, where tumor grade is more universally applicable. *Histological type* - The **histological type** (e.g., liposarcoma, leiomyosarcoma) helps classify the sarcoma, but different subtypes can have a wide range of biological behavior. - While certain types may have a generally better or worse prognosis, the **grade** *within* that histological type is a more precise predictor of individual patient outcomes.
Explanation: ***T2 N1 M1*** **(Correct Answer)** - **T2** indicates the tumor invades the **muscularis propria** in the TNM classification for colorectal cancer. - **N1** signifies involvement of **one to three regional lymph nodes**, which corresponds to "one or two nodes involved" in the question. - **M1** denotes the presence of **distant metastasis**, specifically a "solitary metastasis in the liver" as described. *T1 N2 M1* - **T1** describes a tumor that invades the **submucosa** but not the muscularis propria, which is less advanced than the scenario described. - **N2** would imply involvement of **four or more regional lymph nodes**, contradicting the "one or two nodes involved" stated in the question. *T1 N1 M1* - **T1** indicates invasion into the **submucosa**, not reaching the muscularis propria as specified in the case description. - The **N1** and **M1** components are consistent with the nodal involvement and distant metastasis, but the **T stage** is incorrect. *T2 N2 M1* - While **T2** is correct for invasion into the muscularis propria, **N2** incorrectly implies involvement of **four or more regional lymph nodes**. - The question states "one or two nodes involved," making **N1** the appropriate nodal classification.
Get full access to all questions, explanations, and performance tracking.
Start For Free