Transverse and vertical study of the skeleton can be done in?
All pass through jugular foramen except
An MRI shows 'salt and pepper' appearance of skull. Which bone scan finding would best support Paget's disease?
Match the following: A) Glossopharyngeal nerve B) Spinal accessory nerve C) Facial nerve D) Mandibular nerve 1) Shrugging of shoulder 2) Touch sensation from the posterior one-third of the tongue 3) Chewing 4) Taste from the anterior two-thirds of the tongue
All of the following structures lie outside the cavernous sinus except:
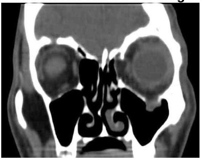
A patient presented with a history of diplopia and restricted eye movements. What is the most likely diagnosis based on the clinical and CT images?

Hinge fracture is seen in
Carina is situated at which level?
Basal skull view (submentovertical view) X-ray is best to visualize which structures?
The best view to visualize zygomatic arches is
Explanation: ***PA ceph*** - A **posteroanterior (PA) cephalometric radiograph** allows for the evaluation of the skeletal structures in both **transverse (width) and vertical (height) dimensions** of the face and skull. - It is particularly useful for assessing **facial symmetry**, transverse discrepancies, and the vertical relationships of the upper and lower jaws. - This is the **gold standard** for evaluating both transverse and vertical skeletal relationships simultaneously. *SMV* - The **submentovertex (SMV)** projection primarily visualizes the **cranial base**, zygomatic arches, and sphenoid sinuses. - It is mainly used for assessing the **width of the cranial base** and specific structural morphology, but does not provide comprehensive transverse and vertical skeletal analysis in the way PA ceph does. *OMV* - The **occipitomental view (OMV)**, also known as **Waters view**, is a standard radiographic projection primarily used for evaluating **paranasal sinuses** and **facial bones**. - While it shows some anteroposterior and limited transverse information, it is **not the primary projection** for comprehensive transverse and vertical skeletal study. - PA ceph is superior for systematic transverse and vertical skeletal assessment. *Lateral Ceph* - A **lateral cephalometric radiograph** primarily provides a two-dimensional view of the skull and facial bones in the **sagittal plane**. - It is excellent for assessing **anteroposterior (AP) and vertical skeletal relationships**, but it **does not show transverse dimensions or asymmetry** since it's a side view.
Explanation: ***Mandibular nerve*** - The **mandibular nerve** (CN V3) exits the skull through the **foramen ovale**, not the jugular foramen. - It is a branch of the **trigeminal nerve** and is responsible for motor innervation to muscles of mastication and sensory innervation to the lower face and mouth. *Glossopharyngeal nerve* - The **glossopharyngeal nerve** (CN IX) is one of the three cranial nerves that exit through the **jugular foramen**. - It provides motor, sensory, and parasympathetic innervation including taste from posterior third of tongue and motor to stylopharyngeus muscle. *Vagus nerve* - The **vagus nerve** (CN X) is one of the major cranial nerves that exits the skull through the **jugular foramen**. - It provides extensive motor, sensory, and parasympathetic innervation to the head, neck, thorax, and abdomen. *Internal jugular vein* - The **internal jugular vein** is formed at the jugular foramen by the continuation of the **sigmoid sinus**, and it exits the skull through this foramen. - It is one of the primary venous drainage pathways for the brain.
Explanation: ***Superscan pattern*** - A **superscan** on a bone scintigraphy signifies widespread, increased radionuclide uptake in the skeleton, often seen in the disseminated form of **Paget's disease**, particularly involving multiple bones. - While "salt and pepper" skull refers to **osteoporosis circumscripta** in Paget's, the superscan on bone scan indicates diffuse metabolic activity consistent with the overall disease process. *Mickey mouse sign* - This sign is typically associated with **fibrous dysplasia** of the skull, not Paget's disease. - It describes a characteristic appearance on scintigraphy due to asymmetric uptake in the skull base, distinct from Paget's. *Photopenic lesions* - **Photopenic** or "cold" lesions on bone scan indicate areas of decreased metabolic activity or bone destruction, such as in some metastases or avascular necrosis. - Paget's disease is characterized by markedly **increased bone turnover**, resulting in areas of increased uptake, not photopenia. *Doughnut sign* - The **doughnut sign** can be seen in various conditions like benign bone cysts or fibrous dysplasia through bone scintigraphy, but it is not characteristic of Paget's disease. - It represents a central area of decreased uptake surrounded by a rim of increased uptake, which differs from the diffuse uptake pattern in Paget's.
Explanation: ***A-2 , B-1 , C-4 , D-3*** - **A) Glossopharyngeal nerve (CN IX)** is responsible for **general sensation and taste from the posterior one-third of the tongue** [1]. (2). - **B) Spinal Accessory nerve (CN XI)** innervates the **sternocleidomastoid** and **trapezius muscles**, which are involved in shrugging the shoulders (1). - **C) Facial nerve (CN VII)** carries **taste sensation from the anterior two-thirds of the tongue** [1] (4) via the chorda tympani. - **D) Mandibular nerve (V3)**, a branch of the trigeminal nerve, innervates the muscles of mastication, enabling **chewing** (3). *A-3 , B-1 , C-4 , D-2* - This option incorrectly associates the **glossopharyngeal nerve** with chewing, which is a function of the mandibular nerve (V3). - It also incorrectly associates the **mandibular nerve** with touch sensation from the posterior one-third of the tongue, which is a function of the glossopharyngeal nerve [1]. *A-2 , B-3 , C-4 , D-1* - This option incorrectly links the **spinal accessory nerve** with chewing; this nerve primarily controls shoulder and neck movements. - It also incorrectly assigns shrugging of the shoulder to the **mandibular nerve** instead of the spinal accessory nerve. *A-4 , B-1 , C-2 , D-3* - This choice incorrectly attributes **taste from the anterior two-thirds of the tongue** to the glossopharyngeal nerve, which supplies the posterior one-third [1]. - It also incorrectly links **touch sensation from the posterior one-third of the tongue** to the facial nerve, which is involved in taste from the anterior two-thirds [1].
Explanation: ***Internal carotid artery*** - The **internal carotid artery** passes directly through the **venous cavity** of the **cavernous sinus**, surrounded by venous blood. - This anatomical relationship is clinically significant, as trauma to the ICA within the sinus can lead to a **carotid-cavernous fistula**. - The ICA and the **abducent nerve (CN VI)** are the only structures that lie freely within the venous blood of the cavernous sinus. *Sphenoidal air sinus* - The **sphenoidal air sinus** is an air-filled cavity located inferior and anterior to the **cavernous sinus**, separated by a thin bony wall. - It is a distinct anatomical structure completely outside the cavernous sinus. *Maxillary nerve* - The **maxillary nerve (V2)** is located in the **lateral wall** of the cavernous sinus, embedded within the dura mater. - Unlike the ICA, it does **not** lie within the venous cavity itself, but rather within the thickness of the lateral wall. - It exits the skull through the **foramen rotundum** to enter the pterygopalatine fossa. - For the purposes of this question, structures in the lateral wall are considered separate from those within the venous space. *Foramen lacerum* - The **foramen lacerum** is an opening in the base of the skull, inferomedial to the **cavernous sinus**. - It is a bony aperture, not a structure within the cavernous sinus itself. - No major structures fully traverse the foramen lacerum as a completed entity in adults; instead, it is largely filled with fibrocartilage.
Explanation: ***Blowout fracture*** - The CT image shows a **fracture of the orbital floor**, with associated **herniation of orbital contents** (fat and inferior rectus muscle) into the maxillary sinus. - This type of fracture commonly causes **diplopia** (due to muscle entrapment) and **restricted eye movements**. *Le Fort fracture* - Le Fort fractures involve the **midface and maxilla** as a whole, typically causing widespread facial instability. - They are classified into three types (I, II, III), none of which are exclusively characterized by an isolated orbital floor fracture with muscle entrapment. *Maxillary fracture* - While an orbital floor fracture involves the maxilla, a "maxillary fracture" is a broad term and does not specifically describe the characteristic features of **orbital content prolapse** and their resulting symptoms. - Isolated maxillary fractures might not cause diplopia or restricted eye movements unless they directly involve the orbit. *Zygomatic fracture* - A zygomatic fracture (either isolated or as part of a zygomaticomaxillary complex fracture) primarily affects the **cheekbone**. - While it can involve the orbital rim, it typically presents with **facial asymmetry**, **numbness** in the infraorbital nerve distribution, and sometimes **trismus**, rather than isolated muscle entrapment causing diplopia, as seen in the image.
Explanation: ***Middle cranial fossa*** - A **hinge fracture** is a term sometimes used to describe a **linear skull fracture** that extends across the floor of the **middle cranial fossa**. - This type of fracture often involves the **temporal bone** and can lead to damage to structures within, such as the facial nerve or auditory ossicles. *Posterior cranial fossa* - Fractures in the **posterior cranial fossa** are usually related to trauma to the back of the head. - While they can be severe and involve the occipital bone, they are not typically referred to as hinge fractures. *Anterior cranial fossa* - Fractures of the **anterior cranial fossa** commonly involve the frontal bone, ethmoid bone, or sphenoid bone. - These fractures can cause **CSF rhinorrhea** or periorbital ecchymosis (raccoon eyes), but the term hinge fracture is not associated with this location. *Vault* - Fractures of the **cranial vault** typically refer to fractures of the flat bones forming the top and sides of the skull. - These can be linear, depressed, or comminuted, but the characteristic "hinge" description specifically applies to the base of the skull, particularly the middle fossa.
Explanation: ***T4*** - The **carina**, the point where the trachea bifurcates into the left and right main bronchi, is most commonly located at the level of the **T4-T5 intervertebral disc** or approximately the **T4-T5 vertebral level**. - Among the given options, **T4** is the most accurate answer as it represents the closest anatomical landmark. - The carina corresponds to the **sternal angle (angle of Louis)** anteriorly, which is at the level of the second costal cartilage. - This anatomical landmark is crucial in clinical procedures like **bronchoscopy**, **endotracheal tube placement**, and radiologic imaging. - Note: The exact level varies slightly with respiration and individual anatomy. *T3* - The **T3 vertebral level** is **superior to the carina** and corresponds to structures in the upper mediastinum. - This level is too high for the tracheal bifurcation. *T9* - The **T9 vertebral level** is significantly **inferior to the carina**, located in the lower thoracic region. - This level corresponds to the **xiphisternal junction** anteriorly. - Important structures at this level include the inferior vena cava passing through the diaphragm (at T8). *T6* - The **T6 vertebral level** is **inferior to the carina**. - While the carina may descend to approximately this level during deep inspiration, the anatomical resting position is higher. - This level is associated with the **xiphoid process** anteriorly.
Explanation: ***Sphenoid sinus*** - The **basal skull view** (submentovertical or SMV view) directs the X-ray beam from below the chin, through the base of the skull, allowing for an optimal profile of the **sphenoid sinus** and its walls. - This view is particularly useful for assessing conditions like **sphenoid sinusitis** or tumors impacting the sphenoid bone. *Ethmoid sinus* - The **ethmoid sinuses** are best visualized in the **Caldwell view** (posteroanterior) and **Waters view** (occipitomental), which provide better detail of the medial orbital walls and ethmoid air cells. - While the SMV view can show some portions, it lacks the clarity and complete visualization of the ethmoid complex compared to other projections. *Frontal sinus* - The **frontal sinuses** are primarily seen in the **Caldwell view** (posteroanterior) and the **lateral view**, which offer a clear representation of their anterior and posterior walls, as well as their superior-inferior extent. - The SMV view projects the frontal sinuses superiorly, making them difficult to evaluate comprehensively due to superimposed structures. *Maxillary sinus* - The **maxillary sinuses** are most clearly demonstrated in the **Waters view** (occipitomental), which projects the petrous ridges below the maxillary sinuses, providing an unobstructed view of their floors and walls. - The SMV view shows the maxillary sinuses, but their detailed evaluation, especially for fluid levels or mucosal thickening, is better achieved with the Waters view.
Explanation: ***Jug Handle view*** - The **Jug Handle view**, also known as the **submentovertex (SMV) view**, is optimal for visualizing the entire course of both **zygomatic arches**, projecting them free from superimposition by other facial bones. - This projection requires the patient's head to be tilted back so that the central ray passes through the neck and enters the skull vertically, allowing for a clear, unobstructed image of the arches. *Skull PA view* - A **PA (posteroanterior) skull view** primarily demonstrates the frontal bone, orbits, and nasal cavity. - While it shows portions of the zygoma, the **zygomatic arches are often superimposed** by other cranial structures, making detailed assessment difficult. *Orthopantamogram* - An **Orthopantamogram (OPG)** is a panoramic dental X-ray that provides a broad view of the maxilla, mandible, and temporomandibular joints. - It offers a **limited or distorted view of the zygomatic arches**, as its primary purpose is dental assessment, not detailed facial bone evaluation. *Occipito mental view* - The **occipitomental view**, also known as the **Waters' view**, is excellent for visualizing the **maxillary sinuses**, orbits, and nasal bones. - While it shows the **zygomaticomaxillary complex**, it does not provide a true tangential projection of the entire zygomatic arch, which is often partially obscured by other structures.
Get full access to all questions, explanations, and performance tracking.
Start For Free