This 23-year-old man was involved in a motor vehicle accident. He presents with shortness of breath and chest pain. On examination, there is decreased breath sound on the right side and subcutaneous emphysema. Chest X-ray shows a deep, lucent right costophrenic angle. What is the diagnosis?
"Hour-glass" shape of the chest and "tri-radiate pelvis" are seen radiologically in -
Lower limit of the left crus of the diaphragm is at which vertebral level?
While performing drainage of fluid from the pleural cavity, the needle is introduced through all of the following structures except which one?
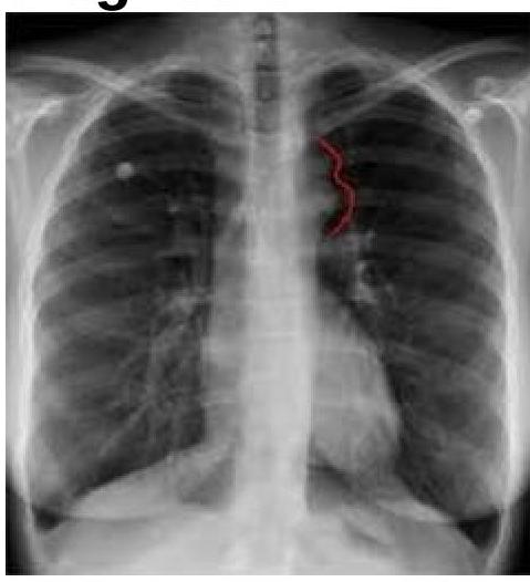
PA view of chest X-ray is given here. What is the diagnosis?

Which airway structure enters the lung at the hilum?
A 10yr old boy with a known case of nephrotic syndrome since 4 years on treatment brought to the pediatric OPD with chief complaint of difficulty in breathing. There is no history of fever. On examination, respiratory system was normal except slightly reduced breath sounds on right infra-axillary region. Paediatrician thinks of pleural effusion. What is next best modality of investigation to detect pleural effusion?
Match the following: A) Caplan syndrome- 1) Found first in coal worker B) Asbestosis- 2) Upper lobe predominance C) Mesothelioma- 3) Involves lower lobe D) Sarcoidosis- 4) Pleural effusion is seen
Carina is situated at which level?
The chest radiograph shown below is from a 25-year-old male patient presenting with hypertension. The image demonstrates bilateral inferior rib notching. What is the most likely diagnosis?

Explanation: ***Pneumothorax*** - The combination of **shortness of breath**, **chest pain**, **decreased breath sounds** on the affected side, **subcutaneous emphysema**, and a **deep, lucent costophrenic angle** on X-ray (sulcus sign) are classic findings for a pneumothorax, where air accumulates in the pleural space. - The "deep sulcus" sign on a supine chest X-ray indicates air collecting in the **costophrenic recess**, a common presentation of pneumothorax in trauma patients. *Cardiac rupture* - **Cardiac rupture** typically presents with signs of **cardiac tamponade** (e.g., muffled heart sounds, hypotension, distended neck veins), which are not described. - While life-threatening, it doesn't cause decreased breath sounds or a deep costophrenic angle on CXR. *Diaphragmatic rupture* - **Diaphragmatic rupture** can cause shortness of breath and chest pain but would typically involve **herniation of abdominal contents** into the chest, which would be visible on X-ray and is not suggested by the "deep sulcus" sign. - Subcutaneous emphysema is also not a primary feature of diaphragmatic rupture. *Aortic dissection* - **Aortic dissection** causes severe, tearing **chest pain** often radiating to the back, and can lead to pulse deficits or neurological symptoms. - It does not typically cause decreased breath sounds, subcutaneous emphysema, or a deep costophrenic angle, but rather abnormalities in the **aortic contour** on imaging.
Explanation: ***Osteomalacia*** - The "hour-glass" shape of the chest is caused by **ricketic rosary** and flaring of the lower ribs, while the "tri-radiate pelvis" is due to inward bending of the acetabula and outward bending of the iliac bones. - These radiological findings are characteristic of **bone demineralization** and softening seen in osteomalacia, which result from impaired bone mineralization due to **vitamin D deficiency** *Myxedema* - Myxedema is severe **hypothyroidism** characterized by skin and subcutaneous tissue swelling, not by specific skeletal deformities like those described. - While it can affect bone metabolism, it does not typically lead to the distinct "hour-glass chest" or "tri-radiate pelvis." *Hyperthyroidism* - **Hyperthyroidism** causes an **increased bone turnover** and can lead to **osteoporosis** over time, increasing fracture risk. - However, it does not manifest with the specific characteristic radiological deformities of the chest and pelvis associated with osteomalacia. *Hyperparathyroidism* - **Hyperparathyroidism** causes **increased bone resorption** leading to subperiosteal bone resorption, "salt and pepper skull," and brown tumors. - While it affects bone structure, it does not produce the specific "hour-glass chest" or "tri-radiate pelvis" deformities characteristic of osteomalacia.
Explanation: Correct: 2nd lumbar - The left crus of the diaphragm arises from the sides of the bodies of the first two lumbar vertebrae (L1 and L2) - Its lower limit is therefore at the level of the second lumbar vertebra (L2) - This is an important anatomical distinction from the right crus Incorrect: 10th dorsal - This level is too high and refers to the general thoracic attachment of the diaphragm - The crura specifically descend into the lumbar region, not the thoracic region - T10 is where the central tendon of the diaphragm is typically located Incorrect: 8th dorsal - This vertebral level is within the mid-thoracic spine and is too superior for the lower limit of the left diaphragmatic crus - The crus attachments are in the lumbar region, much lower than T8 Incorrect: 3rd lumbar - The right crus often extends to the third lumbar vertebra (L3), making this a common source of confusion - The left crus has a more limited extent, typically reaching only to L2 - This option would be correct if the question asked about the right crus instead
Explanation: ***Pulmonary pleura*** - The needle for pleural fluid drainage, or thoracentesis, passes through the **parietal pleura** [1] but not the **pulmonary (visceral) pleura**. - Puncturing the pulmonary pleura would indicate the needle has entered the lung parenchyma, which is an avoidable complication. *Skin* - The **skin** is the outermost layer and the first structure the needle penetrates during a thoracentesis. - It must be sterilized prior to the procedure. *Thoracic fascia* - The needle passes through the **superficial fascia** and then the **deep fascia** covering the intercostal muscles. - These fascial layers provide structural support and enclose the musculature of the thoracic wall. *Intercostal muscles* - The needle traverses the **external**, **internal**, and **innermost intercostal muscles** as it moves deeper into the thoracic cavity. - The neurovascular bundle runs between the internal and innermost intercostals, hence the needle is typically inserted over the superior border of the rib to avoid it [1].
Explanation: ***Right Pneumothorax with left tracheal shift*** - The image shows a large **radiolucency (black area) on the right side** of the chest, indicative of **air in the pleural space**, consistent with a **right-sided pneumothorax**. - The **trachea is shifted towards the left** (away from the pneumothorax), which is the **expected finding** in pneumothorax due to increased pressure in the right pleural space pushing mediastinal structures to the contralateral side. - In pneumothorax, the trachea and mediastinum shift **away from** the affected side due to the pressure effect of air accumulation in the pleural cavity. - This **contralateral tracheal deviation** is a classic radiological sign of pneumothorax and helps confirm the diagnosis. *Right Pneumothorax with right tracheal shift* - While the **right pneumothorax** is correctly identified, the tracheal shift direction is incorrect. - In pneumothorax, the trachea shifts **away from** the affected side (contralateral), not toward it (ipsilateral). - **Ipsilateral tracheal shift** would suggest volume loss (atelectasis) or lung collapse, not pneumothorax alone. *Left Pneumothorax with right tracheal shift* - The pneumothorax is clearly on the **right side**, not the left. - The radiolucency and absent lung markings are visible on the right hemithorax. - A left pneumothorax would show these findings on the left side. *Left Pneumothorax with left tracheal shift* - There is **no pneumothorax on the left side** of the chest. - The left lung shows normal vascular markings and no evidence of pleural air. - This combination would be medically implausible as it suggests pneumothorax with ipsilateral shift.
Explanation: ***Primary/Principal bronchus*** - The **primary/principal bronchus** (main bronchus) is the largest airway structure that enters each lung at the **hilum** [2]. - It then divides into secondary bronchi within the lung lobes. *Secondary bronchus* - **Secondary bronchi** (lobar bronchi) branch off from the primary bronchi *after* the primary bronchus has already entered the lung. - They supply the individual **lobes** of the lung. *Tertiary bronchus* - **Tertiary bronchi** (segmental bronchi) are further divisions of the secondary bronchi. - They supply the **bronchopulmonary segments**, which are smaller functional units within the lung lobes. *Bronchiole* - **Bronchioles** are smaller airway passages that branch from the tertiary bronchi and lack cartilage [1]. - They are located deeper within the lung tissue, well past the hilum.
Explanation: ***USG*** - **Ultrasound** is the **best first-line investigation** for detecting **pleural effusions** in children due to its **non-invasive nature**, lack of radiation exposure, and ability to detect even small effusions (as little as 5-10 mL). - It can effectively differentiate between pleural fluid and other pathologies (e.g., consolidation, masses) and guide aspiration if needed. - **Real-time bedside availability** makes it ideal for pediatric patients. *Lateral view Chest X-ray* - A lateral Chest X-ray only detects pleural effusion if the fluid volume is at least **75-100 mL**, which might miss smaller effusions. - While it can provide additional information about the lungs and mediastinum, it is not as sensitive as ultrasound for detecting small effusions. *Erect Chest X-ray PA view* - An erect Chest X-ray PA view requires a minimum of **200-300 mL of fluid** to blunt the **costophrenic angle**, potentially missing smaller effusions. - It involves **ionizing radiation**, a concern in pediatric patients, and is less sensitive than ultrasound for early detection. *Lateral decubitus view* - A lateral decubitus view is useful for confirming the presence of **free-flowing pleural fluid** and differentiating it from loculated effusions, typically after an initial effusion is suspected. - While sensitive for detecting small effusions (as little as **50 mL**), it is typically performed as a secondary investigation and involves radiation exposure, unlike ultrasound.
Explanation: **A-1, B-4, C-3, D-2** - **Caplan syndrome** was first described in **coal workers** with **rheumatoid arthritis** and progressive massive fibrosis. - **Asbestosis** is often associated with **pleural effusion**, which can be benign or malignant. - **Mesothelioma** typically involves the **lower lobes** of the lungs, specifically the pleura, and is strongly linked to asbestos exposure. - **Sarcoidosis** is characterized by **non-caseating granulomas**, which have a predilection for the **upper lobes** of the lungs. *A-3, B-4, C-2, D-1* - This option incorrectly states that Caplan syndrome involves the lower lobe; **Caplan syndrome** is defined by the presence of large nodules in the lungs of coal workers with rheumatoid arthritis, and their specific lobar distribution is not a defining characteristic. - This option incorrectly states that Mesothelioma has an upper lobe predominance; **Mesothelioma** is a pleural malignancy and typically involves the **lower lobes**, extending along the pleura. *A-4, B-2, C-3, D-1* - This option incorrectly associates Caplan syndrome with pleural effusion; **Caplan syndrome** manifests as rheumatoid nodules in the lungs, not primarily pleural effusion. - This option incorrectly states that Asbestosis has an upper lobe predominance; **Asbestosis** predominantly affects the **lower lobes** of the lungs, causing interstitial fibrosis. *A-2, B-4, C-3, D-1* - This option incorrectly states that Caplan syndrome has an upper lobe predominance; the defining feature of **Caplan syndrome** is the combination of rheumatoid arthritis and pneumoconiosis, not specific lobar involvement. - This option correctly identifies pleural effusion with asbestosis and lower lobe involvement with mesothelioma, but **Caplan syndrome** is not characterized by upper lobe predominance.
Explanation: ***T4*** - The **carina**, the point where the trachea bifurcates into the left and right main bronchi, is most commonly located at the level of the **T4-T5 intervertebral disc** or approximately the **T4-T5 vertebral level**. - Among the given options, **T4** is the most accurate answer as it represents the closest anatomical landmark. - The carina corresponds to the **sternal angle (angle of Louis)** anteriorly, which is at the level of the second costal cartilage. - This anatomical landmark is crucial in clinical procedures like **bronchoscopy**, **endotracheal tube placement**, and radiologic imaging. - Note: The exact level varies slightly with respiration and individual anatomy. *T3* - The **T3 vertebral level** is **superior to the carina** and corresponds to structures in the upper mediastinum. - This level is too high for the tracheal bifurcation. *T9* - The **T9 vertebral level** is significantly **inferior to the carina**, located in the lower thoracic region. - This level corresponds to the **xiphisternal junction** anteriorly. - Important structures at this level include the inferior vena cava passing through the diaphragm (at T8). *T6* - The **T6 vertebral level** is **inferior to the carina**. - While the carina may descend to approximately this level during deep inspiration, the anatomical resting position is higher. - This level is associated with the **xiphoid process** anteriorly.
Explanation: ***Coarctation of Aorta*** - The chest radiograph shows findings consistent with **rib notching**, which is a classic sign of coarctation of the aorta due to increased collateral circulation through intercostal arteries. - The history of **hypertension** in a male patient, especially if presenting at a younger age or with differential blood pressures between upper and lower extremities, strongly suggests coarctation of the aorta. *Tetralogy of Fallot* - Characterized by a **boot-shaped heart** due to right ventricular hypertrophy and pulmonary outflow obstruction. - Would typically present with **cyanosis** and decreased pulmonary vascular markings, not rib notching or isolated hypertension. *Ebstein's Anomaly* - Involves apical displacement of the **tricuspid valve**, leading to atrialization of the right ventricle and severe tricuspid regurgitation. - Chest X-rays often show **severe cardiomegaly** (huge heart due to right atrial enlargement) and decreased pulmonary vascularity, which are not depicted here. *TAPVC* - Total anomalous pulmonary venous connection (TAPVC) involves all pulmonary veins draining into the systemic circulation. - The classic chest X-ray finding for supracardiac TAPVC is a **"snowman" or "figure of 8" sign** due to dilated anomalous vessels and superior vena cava, which is absent in this image.
Get full access to all questions, explanations, and performance tracking.
Start For Free