CT scan of abdomen showing a structure branching within the liver. Identify the structure.

Which of the following is NOT an anterior relation of the right kidney?
Which of the following is not a posterior relation of the right kidney?
"String of beads" appearance on horizontal abdominal view X-ray is suggestive of:
In an ultrasound of the abdomen, which structure is best seen posterior to the stomach?
A child presented with blunt abdominal trauma, the first investigation to be done is -
Identify the condition shown in the plain abdominal radiograph.

Caldwell’s view is used for:
The best view to visualize zygomatic arches is
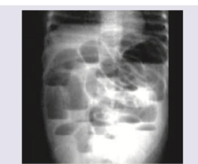
A 28-year-old male patient presents with colicky abdominal pain along with vomiting. X-ray abdomen shows:

Explanation: ***Portal vein*** - The image shows a **branching vessel within the liver parenchyma**. The **portal vein** enters the liver at the porta hepatis and branches extensively to supply the liver with nutrient-rich, deoxygenated blood from the gastrointestinal tract. - On a CT scan, the portal vein and its branches appear as prominent, contrast-filled structures centrally located within the liver, consistent with the identified structure. *Superior Vena Cava* - The **superior vena cava** is located in the **chest**, superior to the diaphragm, and drains blood from the upper body into the right atrium; it does not branch within the liver. - This vessel would not be visible in an abdominal CT slice at this level and does not show intrahepatic branching. *Inferior Vena Cava* - The **inferior vena cava (IVC)** is a large vessel located **posterior to the liver**, collecting deoxygenated blood from the lower body and liver (via hepatic veins) before emptying into the right atrium. - While it is in the abdomen, it does not branch within the liver parenchyma in the same manner as the portal vein; rather, **hepatic veins** drain into it from the liver. *Splenic Vein* - The **splenic vein** runs along the **posterior aspect of the pancreas** and eventually joins with the superior mesenteric vein to form the portal vein outside the liver. - It does not enter or branch within the liver itself; its location is too far posterior and outside the liver to match the structure indicated.
Explanation: ***4th part of duodenum*** - The **4th part of the duodenum** is located to the **left of the vertebral column** and is related to the **left kidney**, not the right kidney. - This segment passes superiorly along the left side of the aorta to become continuous with the jejunum at the duodenojejunal flexure. *Liver* - The **right kidney's superior part** is in direct contact with the **right lobe of the liver**, often separated only by the peritoneum [1]. - This is a significant anterior relation, explaining why liver enlargement can sometimes displace the right kidney. *Hepatic flexure* - The **hepatic flexure** (right colic flexure) of the colon lies immediately inferior to the liver and anterior to the **lower part of the right kidney**. - This anatomical relationship means that the right kidney can be affected by diseases of the colon in this region. *2nd part of duodenum* - The **descending (2nd) part of the duodenum** lies anterior to the **hilum and medial part of the right kidney** [1]. - Its retroperitoneal position places it in close proximity to the renal structures, making it a key anterior relation.
Explanation: ***11th rib*** - The right kidney typically extends from the 12th thoracic vertebra to the 3rd lumbar vertebra, usually covered by the **12th rib**. - The **11th rib** is usually a posterior relation of the **left kidney**, due to the lower position of the right kidney compared to the left kidney. *Diaphragm* - The diaphragm lies **posterior** to both the right and left kidneys, separating them from the pleura and lungs. - This anatomical relationship means that renal procedures or severe kidney infections can sometimes affect the thoracic cavity. *Subcostal nerve* - The **subcostal nerve** (T12) runs inferior to the 12th rib and passes **posterior** to both kidneys. - It provides sensory innervation to the skin and motor innervation to abdominal muscles. *Ilioinguinal nerve* - The **ilioinguinal nerve** (L1) emerges from the lumbar plexus and travels **posterior** to the inferior pole of both kidneys [1]. - It primarily provides sensory innervation to the groin and parts of the external genitalia.
Explanation: ***Small bowel obstruction*** - A "string of beads" appearance on a horizontal abdominal view X-ray refers to small gas bubbles trapped between the valvulae conniventes in a dilated small bowel loop. - This finding is highly suggestive of **complete small bowel obstruction**, particularly when accompanied by multiple air-fluid levels and dilated bowel loops. *Intussusception* - While it causes obstruction, intussusception usually appears as a **target sign** (doughnut sign) on ultrasound or a **meniscus sign** on barium enema, not a string of beads on plain X-ray. - Plain X-rays may show signs of **bowel obstruction**, but the string of beads is not characteristic. *Sigmoid volvulus* - Sigmoid volvulus is characterized by a **dilated loop of colon** forming an inverted U-shape, often described as a **coffee bean sign** or **omega sign**, on plain X-ray. - This involves the large bowel, and the "string of beads" specifically relates to gas in the small bowel. *Large bowel obstruction* - Large bowel obstruction typically presents with a **dilated colon** proximal to the obstruction and a collapsed distal colon, often with absent or minimal gas in the rectum and sigmoid. - While air-fluid levels can be present, the "string of beads" is a specific sign of gas within dilated small bowel loops, distinguishing it from most large bowel obstructions.
Explanation: ***Pancreas*** - The **pancreas** is retroperitoneal and lies transversely across the posterior abdominal wall, making it located directly posterior to the stomach. - In ultrasound, the stomach, when filled with fluid, can act as an acoustic window to visualize the pancreas behind it. *Gallbladder* - The **gallbladder** is typically nestled in a fossa on the inferior surface of the liver, anterior to the duodenum and often anterior or inferior to the stomach [1]. - It is not positioned directly posterior to the stomach, but rather more to the right and inferior [1]. *Spleen* - The **spleen** is located in the left upper quadrant, superior and posterior to the stomach, but typically more lateral and posterior than directly behind it. - While it has a close relationship with the stomach, it is usually not considered "best seen posterior to the stomach" in the same straight-on fashion as the pancreas. *Liver* - The **liver** is primarily located in the right upper quadrant, largely anterior and superior to the stomach. - While a small portion of the left lobe of the liver can be anterior to the stomach, the bulk of the liver is not posterior to it.
Explanation: ***USG*** - An **ultrasound (USG)** is the **first-line imaging investigation** for blunt abdominal trauma in children due to its **non-invasive nature**, lack of radiation exposure, and rapid bedside availability. - **FAST (Focused Assessment with Sonography for Trauma)** effectively identifies the presence of **free fluid** (indicating internal bleeding/hemoperitoneum) and can assess solid organ injuries, particularly the **spleen and liver**. - It is the **preferred initial investigation in hemodynamically stable pediatric patients**. *CT Scan* - A **CT scan** is more sensitive and provides detailed anatomical information but involves significant **radiation exposure**, which is a major concern in children. - It is usually reserved for cases where USG is inconclusive, there is a **high clinical suspicion of severe injury**, or when determining the need for surgical intervention in hemodynamically stable patients. *Complete Hemogram* - A **complete hemogram** assesses blood components like hemoglobin and hematocrit, which are crucial for evaluating blood loss, but it is a **laboratory test, not an imaging investigation**. - While important for initial assessment and serial monitoring, it doesn't provide immediate information about the **location, type, or extent of internal abdominal injuries**. *Abdominal X-ray* - An **abdominal X-ray** has limited utility in blunt abdominal trauma as it is primarily useful for detecting **hollow viscus perforation (free air)** or bony fractures. - It does not effectively visualize soft tissue injuries, fluid collections, or solid organ damage, making it unsuitable as the primary diagnostic tool in blunt abdominal trauma.
Explanation: ***Pancreatic calcification*** - The radiograph displays **multiple, punctate, and amorphous calcifications** clustered in the upper abdomen, characteristic of **chronic pancreatitis**. - These calcifications represent **calcium deposits within the pancreatic ducts and parenchyma**, a hallmark sign of chronic inflammation and damage to the pancreas. *Mesenteric calcification* - **Mesenteric calcifications** are typically more scattered and linear, often following the distribution of blood vessels or lymph nodes within the mesentery, which is not seen here. - They are generally less dense and less granular than the calcifications observed in the image. *Horseshoe kidney* - A **horseshoe kidney** is a congenital anomaly where the kidneys are fused at their lower poles, forming a U-shape, and is typically located lower in the abdomen, often overlying the spine. - This condition presents with the characteristic **renal outlines** and not diffuse calcifications as shown. *Jejunal fecolith* - A **jejunal fecolith** would appear as a singular or a few discrete, dense, and typically rounded or oval radio-opacities within the lumen of the jejunum. - The diffuse, scattered pattern of calcifications displayed in the image is inconsistent with a fecolith, which is usually composed of inspissated fecal material.
Explanation: ***Frontal sinus*** - The Caldwell view is a **posteroanterior (PA) radiographic projection** of the skull, specifically designed to visualize the **frontal sinuses** and anterior ethmoid air cells. - In this view, the X-ray beam is angled at 15-20 degrees caudally to the orbitomeatal line, allowing for good visualization of the frontal sinuses above the orbital structures. *Maxillary sinus* - The **Waters view (occipitomental view)** is primarily used for optimal visualization of the **maxillary sinuses**, providing a clear view free from superimposition of the petrous ridges. - While portions of the maxillary sinuses may be visible on a Caldwell view, it is not the primary or best projection for them. *Ethmoidal sinus* - The Caldwell view offers some visualization of the **anterior ethmoidal air cells**, but the **posterior ethmoidal air cells** are better seen on other views like the **lateral view** or specialized CT scans. - The **lateral view** provides a good overall view of all paranasal sinuses, including the ethmoid, but not with the specific clarity for the anterior ethmoids that Caldwell provides. *Sphenoid sinus* - The **sphenoid sinus** is best visualized on **lateral skull radiographs** or **submentovertex (base) view**, where it can be seen centrally located posterior to the nasal cavity. - The Caldwell view does not provide adequate visualization of the sphenoid sinus due to superimposition of other structures and the anatomical position of the sphenoid sinus deep in the skull base.
Explanation: ***Jug Handle view*** - The **Jug Handle view**, also known as the **submentovertex (SMV) view**, is optimal for visualizing the entire course of both **zygomatic arches**, projecting them free from superimposition by other facial bones. - This projection requires the patient's head to be tilted back so that the central ray passes through the neck and enters the skull vertically, allowing for a clear, unobstructed image of the arches. *Skull PA view* - A **PA (posteroanterior) skull view** primarily demonstrates the frontal bone, orbits, and nasal cavity. - While it shows portions of the zygoma, the **zygomatic arches are often superimposed** by other cranial structures, making detailed assessment difficult. *Orthopantamogram* - An **Orthopantamogram (OPG)** is a panoramic dental X-ray that provides a broad view of the maxilla, mandible, and temporomandibular joints. - It offers a **limited or distorted view of the zygomatic arches**, as its primary purpose is dental assessment, not detailed facial bone evaluation. *Occipito mental view* - The **occipitomental view**, also known as the **Waters' view**, is excellent for visualizing the **maxillary sinuses**, orbits, and nasal bones. - While it shows the **zygomaticomaxillary complex**, it does not provide a true tangential projection of the entire zygomatic arch, which is often partially obscured by other structures.
Explanation: ***Small bowel obstruction*** - The X-ray image shows multiple **dilated loops of small bowel** with **air-fluid levels** and prominent **valvulae conniventes** (herringbone pattern), which are classic signs of small bowel obstruction. - The clinical presentation of **colicky abdominal pain** and **vomiting** is highly consistent with a small bowel obstruction. *Pseudo-obstruction* - Pseudo-obstruction, or Ogilvie's syndrome, primarily affects the **large bowel**, leading to colonic dilation without a mechanical obstruction. - While it can cause abdominal pain and vomiting, the X-ray findings would typically show marked dilation of the colon rather than predominantly small bowel loops. *Cancer colon* - Colon cancer, if it causes obstruction, typically presents as a **large bowel obstruction**, with colonic dilation proximal to the tumor. - While severe cases could lead to cecal dilation and subsequent small bowel obstruction, the primary radiographic findings would focus on the colon. *Paralytic ileus* - Paralytic ileus, or adynamic ileus, involves generalized bowel dilation (both small and large bowel) due to **impaired peristalsis**, without mechanical obstruction. - Although it causes abdominal pain and vomiting, it usually presents with more continuous, less colicky pain, and the X-ray often shows gas in the colon, which is typically absent or minimal in a complete small bowel obstruction.
Get full access to all questions, explanations, and performance tracking.
Start For Free