The aortic hiatus is formed by the right and left crura of the diaphragm. Which of the following structures does NOT pass through the aortic hiatus?
Which of the following is an acquired condition?
Most specific cardiac anomaly seen in baby born to Diabetic Mother
Identify the labeling correctly 

Unilateral renal agenesis is associated with:
On USG, a mass was found in the abdomen which was displacing the kidney laterally in a 1-year-old child. What is the most likely diagnosis?
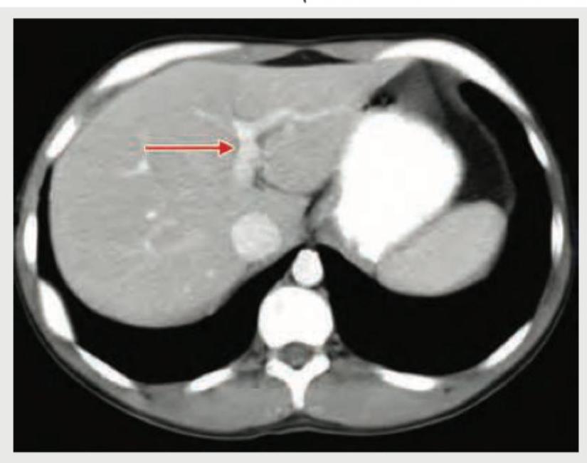
Identify the structure shown in CT abdomen section. (Recent NEET Pattern 2018-19)

The following IVU shows:

A postnatal X-ray of the abdomen of a neonate shows a "double bubble sign". It is seen with:

Investigation of choice for vascular ring around airway:
Explanation: ***Left gastric vein*** - The **left gastric vein** is part of the **portal venous system** and drains into the portal vein. - It **does NOT pass through the diaphragm** via the aortic hiatus or any other diaphragmatic opening. - It has **no anatomical relationship** with the aortic hiatus, making it the best answer to this question. *Thoracic duct* - The **thoracic duct** is the largest lymphatic vessel in the body and **passes through the aortic hiatus** along with the aorta. - It ascends through the aortic hiatus at the **T12 vertebral level** to eventually drain into the left subclavian vein. - It lies posterior to the aorta as it traverses the hiatus. *Left vagus nerve* - The **left vagus nerve** does NOT pass through the aortic hiatus, but it **does pass through the esophageal hiatus** at the T10 level. - It contributes to the **anterior vagal trunk** as it enters the abdomen with the esophagus. - While this structure doesn't pass through the aortic hiatus, it does traverse the diaphragm through a different opening, making it a less definitive answer than the left gastric vein. *Azygos vein* - The **azygos vein** typically **passes through the aortic hiatus** alongside the aorta and thoracic duct. - It may occasionally pass through a separate opening in the right crus of the diaphragm. - It collects deoxygenated blood from the posterior walls of the thorax and abdomen before draining into the superior vena cava.
Explanation: ***Mastitis*** - **Mastitis** is an **inflammatory condition** of the breast, often caused by bacterial infection, particularly common during **lactation** [1]. - It is an **acquired condition** as it develops after birth due to external or internal factors, not present at birth. *Polymastia (supernumerary breasts)* - **Polymastia** is a **congenital condition** where additional breast tissue develops along the **milk line**. - This condition is present at birth and results from *embryological development anomalies*, not acquired later in life. *Polythelia (extra nipples)* - **Polythelia** refers to the presence of **accessory nipples** along the embryonic milk line and is a **congenital anomaly**. - Like polymastia, it is present from birth due to *developmental errors* and is not an acquired condition. *Amastia (absence of breast tissue)* - **Amastia** is a rare **congenital anomaly** characterized by the complete absence of breast tissue, nipple, and areola. - It is a **birth defect**, meaning it is present from birth and not an acquired condition.
Explanation: ***Transposition of Great arteries*** - **Transposition of the great arteries (TGA)** is the most specific congenital heart defect associated with infants born to mothers with **pre-gestational diabetes**. - Poor glycemic control in the first trimester of pregnancy is a significant risk factor for the development of TGA. *Ventricular septal defect* - **Ventricular septal defect (VSD)** is the most common congenital heart defect overall, but it is not specific to diabetic mothers, as its occurrence is common in the general population. - While VSDs can occur in infants of diabetic mothers, they are less characteristic of this population compared to TGA. *Heart blocks* - **Congenital heart blocks** are most commonly associated with **maternal autoimmune diseases**, such as Systemic Lupus Erythematosus (SLE), due to the transplacental transfer of anti-Ro/SSA and anti-La/SSB antibodies. - They are not a specific cardiac anomaly linked to maternal diabetes. *Tetralogy of Fallot* - **Tetralogy of Fallot** is a complex congenital heart defect involving four anomalies, but it is not specifically or disproportionately linked to maternal diabetes compared to other congenital heart defects. - Its etiology is multifactorial, with genetic and environmental factors playing roles.
Explanation: ***A - Ascending aorta, B - Pulmonary trunk, C - Superior vena cava, D - Descending aorta*** - **A** points to the **ascending aorta**, the initial segment of the aorta emerging from the left ventricle. - **B** indicates the **pulmonary trunk**, which originates from the right ventricle and carries deoxygenated blood to the lungs. - **C** correctly identifies the **superior vena cava**, responsible for draining deoxygenated blood from the upper body into the right atrium. - **D** is correctly labeled as the **descending aorta**, the portion of the aorta that descends through the thorax and abdomen. *A - Ascending aorta, B - Superior vena cava, C - Pulmonary trunk, D - Descending aorta* - This option incorrectly identifies **B as superior vena cava** and **C as pulmonary trunk**. B is clearly emerging from the right ventricle, characteristic of the pulmonary trunk, while C is positioned where the superior vena cava would be. - The superior vena cava (C) would be located to the right and anterior to the ascending aorta, while the pulmonary trunk (B) is anterior to the ascending aorta, emerging from the right ventricle. *A - Superior vena cava, B - Pulmonary trunk, C - Ascending aorta, D - Descending aorta* - This option incorrectly labels **A as superior vena cava** and **C as ascending aorta**. A is clearly the large vessel emerging from the left side of the heart, consistent with the ascending aorta. - The ascending aorta (A) would be the largest vessel emerging from the left ventricle, and the superior vena cava (C) would be entering the right atrium. *A - Pulmonary trunk, B - Ascending aorta, C - Superior vena cava, D - Descending aorta* - This option incorrectly identifies **A as pulmonary trunk** and **B as ascending aorta**. A is the large vessel originating from the left ventricle, which is the ascending aorta. - The pulmonary trunk (B) arises from the right ventricle and is usually anterior to the ascending aorta (A). *A - Ascending aorta, B - Pulmonary trunk, C - Descending aorta, D - Superior vena cava* - This option incorrectly swaps **C and D**, labeling C as descending aorta and D as superior vena cava. C is positioned in the superior mediastinum where the superior vena cava enters the right atrium, not in the posterior mediastinum where the descending aorta would be located. - The descending aorta (D) runs posteriorly in the thorax, while the superior vena cava (C) is an anterior structure draining into the right atrium.
Explanation: ***Single umbilical artery*** - **Unilateral renal agenesis** is often associated with other congenital anomalies, including the presence of a **single umbilical artery** (2-vessel cord instead of the normal 3-vessel cord). - Both conditions can be part of **VACTERL association** (Vertebral, Anorectal, Cardiac, Tracheo-Esophageal, Renal, and Limb anomalies). - The **single umbilical artery** is a marker for increased risk of **urogenital and cardiovascular malformations**, which fits with renal agenesis. - Found in approximately **7-10% of cases with renal anomalies**. *Hiatus Hernia* - A **hiatal hernia** is a condition where part of the stomach pushes up through the diaphragm. - Not a recognized or common association with **unilateral renal agenesis**. - While it can be congenital, it arises from different developmental pathways than renal agenesis. *Hypogonadism* - **Hypogonadism** involves reduced function of the gonads and is not directly associated with **renal agenesis**. - Renal agenesis results from problems with the **metanephric blastema** and **ureteric bud** development, not the reproductive axis. *Polycystic disease of pancreas* - **Polycystic disease of the pancreas** is an extremely rare condition and does not have a well-established association with **unilateral renal agenesis**. - This should not be confused with **polycystic kidney disease**, which is a completely different entity.
Explanation: ***Neuroblastoma*** - A retroperitoneal mass displacing the kidney laterally in an infant is highly characteristic of **neuroblastoma**, which originates from neural crest cells in the adrenal gland or sympathetic ganglia. - The key finding is **extrarenal origin** - the mass pushes the kidney aside rather than arising from within it. - Most common extrarenal abdominal mass in children under 2 years. *Wilms' tumor* - This is an **intrarenal mass** that originates within the kidney parenchyma. - Wilms' tumor **expands and distorts the kidney** rather than displacing it laterally from outside. - Most common renal tumor in children (peak age 3-4 years), presenting with abdominal mass, hematuria, and hypertension. *Renal cell carcinoma* - Exceedingly **rare in a 1-year-old child** - primarily an adult malignancy (typically >40 years). - Would be an intrarenal mass, not an extrarenal mass displacing the kidney laterally. *All of the options* - Incorrect because the specific imaging finding of **lateral kidney displacement** indicates an extrarenal origin, which is pathognomonic for neuroblastoma, not the intrarenal tumors listed.
Explanation: ***Portal vein*** - The arrow points to a vessel receiving blood from the splenic and superior mesenteric veins, which is characteristic of the **portal vein** entering the **liver parenchyma**. - The portal vein is typically seen anterior to the **inferior vena cava** and posterior to the **common hepatic artery** at this level. *Inferior vena cava* - The **inferior vena cava (IVC)** is a large, retroperitoneal vessel located posterior to the liver and to the right of the aorta. - The structure indicated by the arrow is clearly within the liver substance, not in the typical position of the IVC. *Splenic vein* - The **splenic vein** runs horizontally behind the body of the pancreas and joins with the superior mesenteric vein to form the portal vein. - The vessel shown is within the liver, distal to the formation of the portal vein. *Superior mesenteric vein* - The **superior mesenteric vein (SMV)** typically runs vertically in the mesentery and joins the splenic vein to form the portal vein. - The indicated structure is within the liver hilum, not in the anatomical location of the SMV.
Explanation: ***Horseshoe kidney*** - The image shows both kidneys are **fused at their lower poles** across the midline, forming a "horseshoe" shape, which is a classic radiographic finding for this condition. - The **calyces and renal pelves are seen medially oriented**, supporting the diagnosis of a horseshoe kidney. *Hydronephrosis* - **Hydronephrosis** would appear as a dilation of the renal pelvis and calyces due to obstruction, which is not the primary finding here. - While a horseshoe kidney can be associated with hydronephrosis due to an abnormal ureteral course, the image clearly depicts the **fused renal parenchyma** rather than just dilation. *Polycystic kidney* - **Polycystic kidneys** are characterized by numerous cysts of varying sizes replacing normal renal parenchyma, which would present as enlarged, multi-cystic kidneys on imaging. - The image does not show multiple cysts replacing the renal tissue but rather a **fused, single-mass structure** in the lower abdomen. *Duplication of collecting system* - **Duplication of the collecting system** involves two ureters draining a single kidney, or a bifid renal pelvis, which would appear as double ureters or collecting systems on an IVU. - This condition does not present with the characteristic **fusion of the renal poles** across the midline as seen in the image.
Explanation: **Duodenal atresia** - The **"double bubble sign"** on an abdominal X-ray is classic for **duodenal atresia**, representing a dilated stomach and a dilated proximal duodenum separated by the pylorus. - This finding indicates a complete obstruction at the level of the duodenum, preventing the passage of gas distally. *Ileal atresia (may show distension throughout the bowel)* - In **ileal atresia**, the obstruction is further down the small bowel, leading to multiple dilated loops of bowel proximal to the atresia. - The X-ray would typically show more widespread **abdominal distension** with multiple air-fluid levels rather than the distinct double bubble. *Pyloric stenosis (typically presents with a single bubble sign)* - **Pyloric stenosis** involves narrowing of the pylorus but not an complete obstruction in the same way as duodenal atresia, leading to gastric outlet obstruction. - While it might show a **distended stomach (single bubble)**, it typically does not obstruct distally enough to create a second prominent bubble in the duodenum. *Esophageal atresia (associated with airless abdomen on X-ray)* - **Esophageal atresia** is an interruption in the continuity of the esophagus, preventing swallowed air from reaching the stomach and intestines. - An abdominal X-ray in this condition would typically show an **airless abdomen** because air cannot pass into the gastrointestinal tract.
Explanation: ***CT*** - **CT angiography (CTA)** is the **investigation of choice** for diagnosing vascular rings due to its ability to provide detailed anatomical visualization of the great vessels and their relationship to the trachea and esophagus. - It offers high spatial resolution, allowing precise identification of the type of vascular anomaly, the degree of **airway and esophageal compression**, and guiding surgical planning. *PET* - **PET scans** are primarily used for assessing **metabolic activity**, particularly in oncology or to evaluate organ function, and do not provide sufficient anatomical detail for vascular rings. - While it can detect metabolically active lesions, it is **not suitable** for visualizing the structural abnormalities of blood vessels and their compressive effects on the airway. *Catheter directed angiography* - **Catheter-directed angiography** is an **invasive procedure** involving radiation and contrast, primarily used for assessing blood flow dynamics, identifying stenosis, or guiding interventions. - While it can visualize vessels, CTA is **less invasive**, provides comparable or superior anatomical detail for vascular rings, and is generally preferred for initial diagnosis. *MRI* - **MRI** can provide good soft tissue contrast and visualize vascular structures without radiation, but it is often **less readily available** and can be more challenging for pediatric patients due to the need for sedation and longer scan times. - For comprehensive anatomical detail including bone and calcifications, and in patients who might struggle with breath-holding, **CT angiography** often offers clearer and more consistent images of complex vascular anatomy.
Get full access to all questions, explanations, and performance tracking.
Start For Free