What is the next best step for a 22-year-old with a hepatic hemangioma on ultrasound?
When a lumbar puncture is performed to sample cerebrospinal fluid, which of the following external landmarks is the most reliable to determine the position of the L4 vertebral spine?
Which of the following statements about the femoral triangle is NOT true?
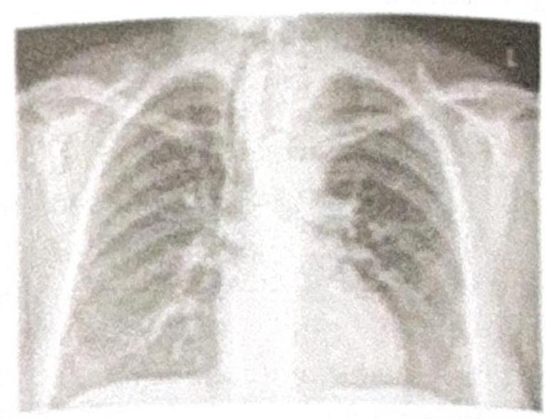
Which of the following procedures would be difficult to perform based on the given Chest X-ray?

Identify the artery labeled as 'X' in the provided angiography anatomy image.

A patient with varicose veins came to the hospital; an intern was on duty. Which test should he perform to assess the competency of deep veins?
All of the following may be acceptable operative approaches to the management of thoracic outlet syndrome, except:
Allen's test is for the patency of:
A patient presents with pneumothorax on chest x-ray. Which of the following is NOT a boundary of the triangle of safety for intercostal chest drain (ICD) insertion?
Which of the following statements about undescended testis is true?
Explanation: ***MRI*** - **Magnetic Resonance Imaging (MRI)** is the most sensitive and specific imaging modality for confirming the diagnosis of a **hepatic hemangioma** due to its characteristic enhancement patterns. - An MRI with contrast (e.g., gadolinium) can definitively distinguish a hemangioma from other **benign or malignant liver lesions**, especially when the ultrasound findings are equivocal. *Angiography* - **Angiography** is an invasive procedure and is typically reserved for cases where **embolization** or surgical resection of a very large or symptomatic hemangioma is being considered. - It is not the initial diagnostic choice for confirming a suspected hemangioma identified on **ultrasound**. *CT* - A **CT scan** with contrast can also characterize a hemangioma, showing peripheral nodular enhancement followed by progressive centripetal fill-in. - However, **MRI** generally offers superior soft tissue contrast and provides more definitive diagnostic features for hemangiomas, particularly in younger patients where radiation exposure from CT is a concern. *Biopsy* - **Biopsy** of a suspected hepatic hemangioma is generally contraindicated due to the risk of **hemorrhage** and is rarely necessary for diagnosis. - Imaging characteristics (especially on MRI) are usually sufficient to confirm the diagnosis without the need for an invasive procedure.
Explanation: ***The iliac crests*** - A line drawn between the **highest points of the iliac crests** on both sides typically intersects the L4 vertebral body or the L4-L5 intervertebral space. - This anatomical landmark provides a **safe entry point** for lumbar puncture, avoiding the spinal cord which usually ends at L1-L2. *The lowest pair of ribs bilaterally* - The lowest pair of ribs (12th ribs) corresponds to the **twelfth thoracic vertebra (T12)**, which is much higher than the desired lumbar puncture site. - Using this landmark would place the needle at a level where the **spinal cord is still present**, posing a significant risk of injury. *The inferior angles of the scapulae* - The inferior angle of the scapula typically corresponds to the **seventh thoracic vertebra (T7)**. - This landmark is also too superior for a safe lumbar puncture and does not accurately localize the lumbar spine. *The posterior superior iliac spines* - The posterior superior iliac spines (PSIS) are located at the level of the **S2 vertebra**, which is too far inferior for a standard lumbar puncture at L4-L5. - While they are important pelvic landmarks, they are not used for determining the L4 vertebral spine in this context.
Explanation: ***Floor is formed by adductor longus*** - The floor of the femoral triangle is actually formed by the **iliopsoas** laterally and the **pectineus** medially. - The **adductor longus** forms part of the medial boundary of the femoral triangle, not its floor. - This is the INCORRECT statement (correct answer for a "NOT true" question). *Contains the femoral vessels* - The femoral triangle is a crucial anatomical space containing the **femoral artery**, **femoral vein**, and **femoral nerve**. - These structures are organized from lateral to medial as nerve, artery, vein (NAVY). *Lateral margin is formed by sartorius* - The **sartorius muscle** forms the lateral boundary of the femoral triangle. - Its medial border defines one of the triangle's sides. *Medial margin is formed by adductor longus* - The **adductor longus** does form the medial boundary of the femoral triangle. - This is anatomically correct along with the inguinal ligament (superior boundary) and sartorius (lateral boundary).
Explanation: ***Tracheostomy*** - The chest X-ray shows the presence of a **large thyroid mass** (appearing as a soft tissue density in the neck and upper mediastinum), which would displace the trachea and obscure anatomical landmarks, making a tracheostomy technically challenging and increasing the risk of complications. - A tracheostomy requires clear access to the anterior tracheal wall, which would be **directly obstructed** by the prominent thyroid hypertrophy visible on the X-ray. - This makes tracheostomy the **most difficult** procedure among the options, with significant risk of bleeding from engorged thyroid vessels and difficulty identifying the trachea. *Laryngeal mask airway insertion* - Laryngeal mask airway (LMA) insertion primarily involves placing a device over the **laryngeal inlet** and is not significantly affected by a mass lower in the neck impacting the trachea. - The LMA is a supraglottic device, and its placement does not require direct access to the trachea itself or the deeper structures of the neck. *Ryle's tube insertion* - Ryle's tube (nasogastric tube) insertion involves passing a tube from the **nose or mouth into the esophagus and stomach**. - This procedure is generally unaffected by a thyroid mass, as it primarily involves the gastrointestinal tract, which is anatomically separate from the trachea in the neck region. *Intubation* - Intubation (endotracheal intubation) involves placing a tube into the **trachea via the mouth or nose**, usually past the vocal cords. - While a large retrosternal thyroid mass can cause tracheal deviation and compression that may complicate intubation, it is generally **less difficult than tracheostomy** in this scenario. - Intubation can often be achieved with experienced anesthesia techniques (videolaryngoscopy, fiberoptic intubation), whereas tracheostomy faces direct surgical field obstruction by the thyroid mass itself. - The primary challenge for intubation is visualization and navigation past the vocal cords, not the direct anatomical obstruction at the surgical site that makes tracheostomy particularly difficult.
Explanation: ***Superior mesenteric artery*** - The image displays a selective angiogram highlighting an artery branching off the **aorta** in the abdominal region and supplying multiple loops of bowel, characteristic of the superior mesenteric artery. - The location and extensive branching pattern supplying various abdominal structures confirm its identity as the **superior mesenteric artery**, which typically arises below the celiac trunk. *Subclavian artery* - The **subclavian artery** is located in the chest and shoulder region, supplying the upper limbs and parts of the head and neck. - Its anatomical location and distribution are distinctly different from the abdominal artery shown in the image. *Celiac trunk* - The **celiac trunk** is an earlier branch off the aorta, typically arising just below the diaphragm, and it branches into the splenic, left gastric, and common hepatic arteries. - The artery labeled 'X' arises lower than where the celiac trunk would typically originate and demonstrates a different branching pattern. *Brachiocephalic trunk* - The **brachiocephalic trunk** (also known as the innominate artery) is a major artery in the upper chest, typically the first branch off the aortic arch. - It supplies blood to the right arm and head, not abdominal organs, making it anatomically incorrect for the artery labeled 'X'.
Explanation: ***Perthes test*** - The Perthes test assesses the **patency and competency of the deep venous system** in the leg by observing changes in superficial varicosities during muscle activity. - If the varicosities diminish or disappear with ambulation and a tourniquet applied to compress superficial veins, it indicates that the **deep veins are competent** and can handle venous return. *Ober test* - The Ober test is used to assess the **tightness of the iliotibial band**, not venous competency. - It involves abducting and extending the hip while the patient lies on their side. *Thomas test* - The Thomas test evaluates for **hip flexion contracture**, especially of the iliopsoas muscle. - It is performed by having the patient lie supine and flexing one hip fully while observing the contralateral leg. *Brodie Trendelenburg test* - The Brodie Trendelenburg test is primarily used to assess the **competency of the valves of the saphenofemoral junction and perforating veins** to distinguish between superficial and deep venous insufficiency. - It involves elevating the leg, applying a tourniquet, and then observing refilling patterns of varicose veins upon standing.
Explanation: ***Thoracoplasty*** - **Thoracoplasty** is a surgical procedure that involves **removing ribs** to *reduce the size of the thoracic cavity*, primarily used for lung collapse therapy in tuberculosis or to manage chronic empyema. - It is **not a treatment for thoracic outlet syndrome (TOS)**, as TOS involves compression of neurovascular structures in the thoracic outlet, not a need for lung volume reduction. *Scalenectomy* - A **scalenectomy**, involving the partial or complete removal of the **anterior and/or middle scalene muscles**, is a common surgical approach for TOS. - These muscles can **compress the brachial plexus** and subclavian artery, and their removal helps decompress the neurovascular bundle. *Excision of a cervical rib* - A **cervical rib** is a congenital anomaly that can **compress the brachial plexus** and subclavian artery, leading to TOS symptoms. - Its surgical **excision is a direct and effective** treatment for TOS caused by this anatomical variant. *First rib resection* - **First rib resection**, performed via various approaches (transaxillary, supraclavicular, infraclavicular), is a **primary surgical treatment for TOS**. - The first rib can **compress the subclavian artery, subclavian vein, or brachial plexus**, and its removal creates more space in the thoracic outlet.
Explanation: ***Radial and ulnar artery*** - **Allen's test** assesses the patency of the **radial** and **ulnar arteries** and the adequacy of collateral circulation to the hand. - It involves occluding both arteries and then releasing one to see if the hand reperfuses, indicating good blood flow. *Vertebral artery* - The **vertebral arteries** supply blood to the posterior part of the brain and are typically assessed through dynamic neurological exams or imaging studies. - Their patency is not evaluated by **Allen's test**. *Subclavian artery* - The **subclavian arteries** supply blood to the head, neck, and upper limbs; their patency is assessed by palpation of pulses and imaging. - **Allen's test** does not directly evaluate the subclavian artery. *Internal carotid artery* - The **internal carotid arteries** supply blood to the anterior and middle parts of the brain. - Their patency is assessed by listening for bruits or through imaging techniques, not **Allen's test**.
Explanation: ***Mid-clavicular line*** - The **mid-clavicular line** is **NOT** a boundary of the triangle of safety; it is a vertical reference line located centrally on the thorax. - The triangle of safety is located in the **mid-axillary region**, not at the mid-clavicular line. - The mid-clavicular line is used for other procedures but is **anterior to the safe zone** for ICD insertion. *Base of axilla* - The **base of the axilla** forms the **superior boundary** of the triangle of safety. - This boundary is typically at the level of the **5th intercostal space** (nipple level in males). - It helps guide ICD insertion away from the **brachial plexus** and axillary vessels. *Lateral border of latissimus dorsi* - The **lateral border of the latissimus dorsi muscle** forms the **posterior boundary** of the triangle of safety. - This landmark ensures the insertion is anterior to major back muscles and avoids injury to the long thoracic nerve. *Lateral edge of pectoralis major* - The **lateral edge of the pectoralis major muscle** forms the **anterior boundary** of the triangle of safety. - This ensures the ICD is inserted lateral to the pectoral muscle, avoiding breast tissue and superficial vessels.
Explanation: ***Increased risk of malignancy*** - Undescended testis is associated with a **3 to 14 times increased risk** of testicular malignancy, particularly **seminoma**. - The risk remains elevated even after orchiopexy, though the procedure allows for **easier surveillance and examination**. - This is one of the **most important clinical features** of cryptorchidism and a key reason for early surgical correction. - Even a **corrected cryptorchid testis** maintains higher cancer risk compared to normally descended testes. *Secondary sexual characteristics are universally normal* - In **unilateral cryptorchidism** (90% of cases), the normally descended contralateral testis produces **adequate testosterone** for normal secondary sexual development. - However, in **bilateral cryptorchidism** or if the descended testis is functionally impaired, **testosterone deficiency** can occur, leading to delayed or abnormal sexual development. - Therefore, secondary sexual characteristics are **not universally normal** in all cases of undescended testis. *Hormonal therapy is effective* - Hormonal therapy with **hCG (human chorionic gonadotropin)** or **GnRH (gonadotropin-releasing hormone)** has **limited and inconsistent effectiveness**. - Success rates are generally **low** (10-30%), particularly for truly undescended testes (as opposed to retractile testes). - **Orchiopexy** (surgical correction) remains the **definitive treatment**, ideally performed between **6-18 months of age** to optimize fertility potential. *More common on the right side* - Undescended testis is actually **slightly more common on the left side** (~55-60%) than the right (~40-45%). - **Bilateral cryptorchidism** occurs in approximately 10-20% of cases. - There is no significant right-sided predilection.
Get full access to all questions, explanations, and performance tracking.
Start For Free