What is the most common bone fractured in children?
All of the following are true regarding congenital dislocation of the hip except which of the following?
Which of the following movements is typically restricted in Perthes disease?
The first primary ossification centre to appear of the carpal bones is
Which of the following is NOT a common fracture in children?
A 10-year-old obese boy was referred to the emergency department with a history of hip pain. He was observed to be limping and complained of severe pain. Which of the following investigations is least appropriate for this condition?
Investigation of choice for the diagnosis of congenital hypertrophic pyloric stenosis is:
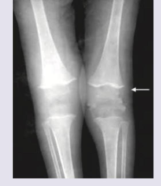
The X-ray of the patient shows?

Earliest investigation for diagnosis of Ankylosing spondylitis:
Fallen fragment sign is a feature of what?
Explanation: ***Fracture of the clavicle*** - The clavicle is the **most commonly fractured bone in children**, especially during falls onto an outstretched hand or direct trauma. - Its subcutaneous location and an **S-shape** make it prone to injury. *Fracture of the distal radius* - While common, especially in older children or adolescents, **distal radius fractures** are not as frequent as clavicle fractures across all pediatric age groups. - These fractures often result from a **fall onto an outstretched hand** (FOOSH). *Fracture of the supracondylar humerus* - **Supracondylar humerus fractures** are common in children, particularly between ages 5 and 7 years, usually due to falls. - However, they are associated with more potential complications (like **nerve or vascular injury**) but are less common overall than clavicle fractures. *Fracture of the radius/ulna* - **Fractures of the midshaft radius and/or ulna** are common in children but often require more significant trauma compared to clavicle fractures. - These often present as **greenstick or torus fractures** in younger children.
Explanation: ***It is always bilateral*** - **Congenital dislocation of the hip (CDH)** is more commonly **unilateral**, with a predilection for the left hip. - While it can be bilateral, stating it is *always* bilateral is incorrect. - **Bilateral CDH** occurs in only about 20% of cases. *Asymmetric thigh folds may be seen* - **Asymmetric thigh folds** are a common soft sign of **developmental dysplasia of the hip (DDH)**, though they can also be seen in normal infants. - This asymmetry is due to the femoral head's abnormal position, leading to unequal skin fold distribution on the affected side. *Galeazzi sign and Ortolani's test may be positive* - The **Galeazzi sign** (also known as the Allis sign) indicates limb length discrepancy, often seen in unilateral hip dislocation when the knees are flexed. - **Ortolani's test** is a specific maneuver used to reduce a dislocated hip, producing a characteristic *clunk* as the femoral head re-enters the acetabulum. *Oligohydramnios is a known risk factor for congenital dislocation of the hip* - **Oligohydramnios** (decreased amniotic fluid) is a well-established risk factor for CDH due to restricted fetal movement and abnormal intrauterine positioning. - Other risk factors include **breech presentation**, **female sex**, **firstborn child**, and **family history**. - **Polyhydramnios** (excess amniotic fluid) is NOT associated with increased risk of CDH.
Explanation: ***Abduction & internal rotation*** - **Perthes disease** affects the femoral head, leading to pain and stiffness that most commonly restricts **abduction** and **internal rotation** of the hip. - This restriction is an early and consistent clinical finding, often accompanied by a ** Trendelenburg gait** due to gluteal muscle weakness or pain avoidance. *Abduction & external rotation* - While abduction can be restricted, a primary restriction in **external rotation** is less typical in early Perthes disease. - Reduced external rotation is more characteristic of conditions like **slipped capital femoral epiphysis (SCFE)**, especially in older children. *Adduction & internal rotation* - **Adduction** is generally preserved or even increased in Perthes disease as the hip seeks a position of comfort due to pain, making it an unlikely primary restriction. - While internal rotation is restricted, the combination with adduction restriction is not the classical presentation. *Adduction & external rotation* - Neither **adduction** nor **external rotation** are typically the primary hip movements restricted in Perthes disease. - Restriction in adduction is rare, and external rotation is often compensatory or less affected than internal rotation.
Explanation: The first primary ossification centre to appear of the carpal bones is ***Capitate*** - The **capitate** is the first carpal bone to show an ossification center, typically appearing around **1-3 months of age**. [1] - This early ossification is an important marker in assessing **bone age** in children. *Scaphoid* - The **scaphoid** ossifies later than the capitate, usually between **4 and 6 years of age**. - Its ossification center is often **bi-lobed** and can be confused with a fracture on X-ray if not recognized. *Triquetral* - The **triquetral** ossification center generally appears between **2 and 4 years of age**. - This makes it a mid-range ossifier among the carpal bones, not the first. *Pisiform* - The **pisiform** is typically the last carpal bone to ossify, with its center appearing between **8 and 12 years of age**. - Its delayed ossification makes it a useful indicator for assessing **skeletal maturity** in older children and adolescents.
Explanation: ***Fracture of hand*** - While hand fractures can occur in children, they are generally **less common** compared to fractures of the long bones, especially those of the **upper extremity**, due to the types of activities and falls children typically experience. - The small bones of the hand are often better protected or less frequently exposed to severe direct trauma in routine childhood activities that lead to fractures elsewhere. *Lateral condyle humerus* - This is a common and often challenging fracture in children, particularly affecting those aged 6-10 years. - It usually results from a fall on an **outstretched hand**, with the elbow in extension. *Supracondylar humerus* - This is one of the **most common elbow fractures** in children and is typically due to a fall on an **outstretched hand** with the elbow extended or hyperextended. - Its significance lies in the potential for neurovascular complications due to its proximity to vital structures. *Radius-ulna fracture* - **Forearm fractures** involving the radius, ulna, or both are extremely common in children, often resulting from falls onto an **outstretched hand**. - The **distal radius** is a particularly frequent site of fracture in this age group.
Explanation: ***USG of hip*** - An **ultrasound (USG)** of the hip is generally not the primary imaging modality for diagnosing conditions like **slipped capital femoral epiphysis (SCFE)**, which is suggested by the patient's presentation. - While USG can detect effusions or synovitis, it provides poor visualization of bony structures and the physeal plate, which are crucial for diagnosing SCFE. *X-ray of the hip* - **X-rays** (AP and frog-leg lateral views) are the **initial and most important imaging study** for diagnosing SCFE. - They effectively visualize the **epiphyseal displacement** relative to the metaphysis and are sufficient for diagnosis in most cases. *MRI of the hip* - **MRI** is highly sensitive for detecting early or subtle SCFE, especially when X-rays are inconclusive. - It can evaluate the **physeal edema**, chondral changes, and avascular necrosis, providing more detailed information than X-rays. *CT scan of hip* - A **CT scan** provides excellent bony detail and can precisely assess the **degree of physeal slip** and femoral head deformity. - It may be used for surgical planning, especially in complex cases or when the slip is difficult to assess with X-rays.
Explanation: ***USG*** - **Ultrasound** is the preferred initial imaging modality due to its non-invasiveness, lack of radiation, and high accuracy in visualizing the thickened pyloric muscle. - The classic ultrasound findings include a **pyloric muscle thickness** of ≥ 4 mm and a **pyloric channel length** of ≥ 14 mm. *Barium meal* - While a barium meal can show findings like the "string sign" or "shoulder sign," it involves **radiation exposure** and is generally considered a second-line investigation. - Its diagnostic accuracy is good, but it is less convenient and riskier than ultrasound for this condition. *Barium meal follow through* - This procedure tracks barium through the entire gastrointestinal tract, which is **excessive and unnecessary** for diagnosing pyloric stenosis, which is a localized obstruction. - It also involves significant **radiation exposure** and a prolonged examination time. *CT scan with contrast* - A **CT scan** involves significant **radiation exposure** and is not typically used for diagnosing congenital hypertrophic pyloric stenosis. - It is also less sensitive than ultrasound for visualizing the specific soft tissue changes in the pyloric muscle.
Explanation: ***Scurvy*** - The X-ray images display classical findings of scurvy, including a **dense metaphyseal line** (white line of Frankel), **lucent zone beneath the metaphysis** (Trümmerfeld zone), and **epiphyseal separation** due to capillary fragility. - The findings are particularly evident at the distal ends of the femur and proximal tibia, consistent with **subperiosteal hemorrhages** and impaired osteoid formation characteristic of **vitamin C deficiency**. *Rickets* - Rickets is characterized by **widening, cupping, and fraying of the metaphyses**, often accompanied by **growth plate widening** and bowing of long bones due to defective mineralization of bone matrix. - These features are not the predominant findings in the provided X-rays, which show distinct abnormalities related to hemorrhage and bone fragility. *Hemarthrosis* - Hemarthrosis refers to bleeding into a joint space, often characterized by **joint effusions** and possibly **bone erosions** if chronic, typically seen in conditions like hemophilia. - While subperiosteal hemorrhages are present in scurvy, the X-ray findings are broader than just intra-articular bleeding and include specific metaphyseal changes. *Sun burst appearance* - A "sunburst appearance" is a classic radiographic finding often associated with aggressive **bone tumors** like **osteosarcoma**, indicating **spiculated periosteal reaction** extending perpendicularly from the bone cortex. - This pattern is absent in the provided X-rays, which show signs of metabolic bone disease rather than a primary bone tumor.
Explanation: ***MRI STIR sequence*** - An **MRI STIR (Short Tau Inversion Recovery) sequence** is highly sensitive for detecting early inflammatory changes in the **sacroiliac joints** and spine, such as **bone marrow edema**, which is a hallmark of early ankylosing spondylitis. - It can identify disease activity and structural changes *before* they are visible on conventional X-rays, making it the earliest diagnostic tool. *CT scan* - While a **CT scan** provides excellent detailed images of bone, it is not as sensitive as MRI for detecting early inflammatory changes like **bone marrow edema** in the sacroiliac joints. - It involves significant **radiation exposure** and is typically used for more advanced structural assessment rather than early diagnosis. *Bone scan* - A **bone scan** (scintigraphy) shows areas of increased bone turnover but is **not specific** for ankylosing spondylitis and has lower spatial resolution compared to MRI. - It can indicate inflammation or increased metabolic activity but cannot differentiate specific causes or provide detailed anatomical information as effectively as MRI. *X-ray* - **X-rays** are often the initial imaging modality due to their accessibility, but they only show **structural changes** (like erosions, sclerosis, or fusion) in the sacroiliac joints and spine at a later stage of the disease. - Early inflammatory changes, such as **bone marrow edema**, are typically not visible on plain radiographs, leading to a delay in diagnosis compared to MRI.
Explanation: ***Simple bone cyst*** - The **fallen fragment sign** is pathognomonic for a **simple bone cyst (SBC)**, occurring when a fragment of cortical bone breaks off and falls to the dependent portion of the cyst cavity. - This sign is visible on **radiographs** and indicates a **fluid-filled cavity**, as bone fragments would not fall in a solid tumor. *Aneurysmal bone cyst* - While also a **benign osteolytic lesion**, an aneurysmal bone cyst (ABC) is characterized by **blood-filled spaces** and does not typically exhibit the fallen fragment sign. - ABCs are often **expansile** and may show **fluid-fluid levels** on MRI, but not free-floating bone fragments. *Giant cell tumor* - This is an **aggressive, often benign** bone tumor characterized by **multinucleated giant cells** and typically affects the **epiphysis** of long bones in young adults. - Giant cell tumors are **solid lesions** and do not contain fluid-filled cavities where bone fragments could fall. *Fibrous dysplasia* - Fibrous dysplasia is a **developmental anomaly** where normal bone is replaced by **fibrous tissue and immature bone**. - Radiographically, it often presents with a **"ground-glass" appearance** and cortical thinning, but it is a solid lesion and does not feature the fallen fragment sign.
Get full access to all questions, explanations, and performance tracking.
Start For Free