Which of the following statements about Pott's spine is false?
Most common type of lesion in Pott's spine:
The most common intracranial tumor in children is –
A 45-year-old female complains of progressive lower limb weakness, spasticity, and urinary hesitancy. MRI shows an intradural enhancing mass lesion in the spinal cord. MOST likely diagnosis is:
What is the earliest X-ray sign observed in spinal tuberculosis?
A middle aged female presents with prolonged history of back pain followed by slowly progressive weakness of both lower limbs, spasticity and recent onset difficulty in micturation. On neurological examination there is evidence of dorsal myelopathy. MRI scan of spine shows a well-defined mid-dorsal intradural homogenous contrast enhancing mass lesion. The likely diagnosis is:
A 40-year-old male presents with a history of headaches, fever, and new-onset seizures. An MRI of the brain is performed, revealing a ring-enhancing lesion with central restricted diffusion on diffusion-weighted imaging (DWI). What is the most likely diagnosis?
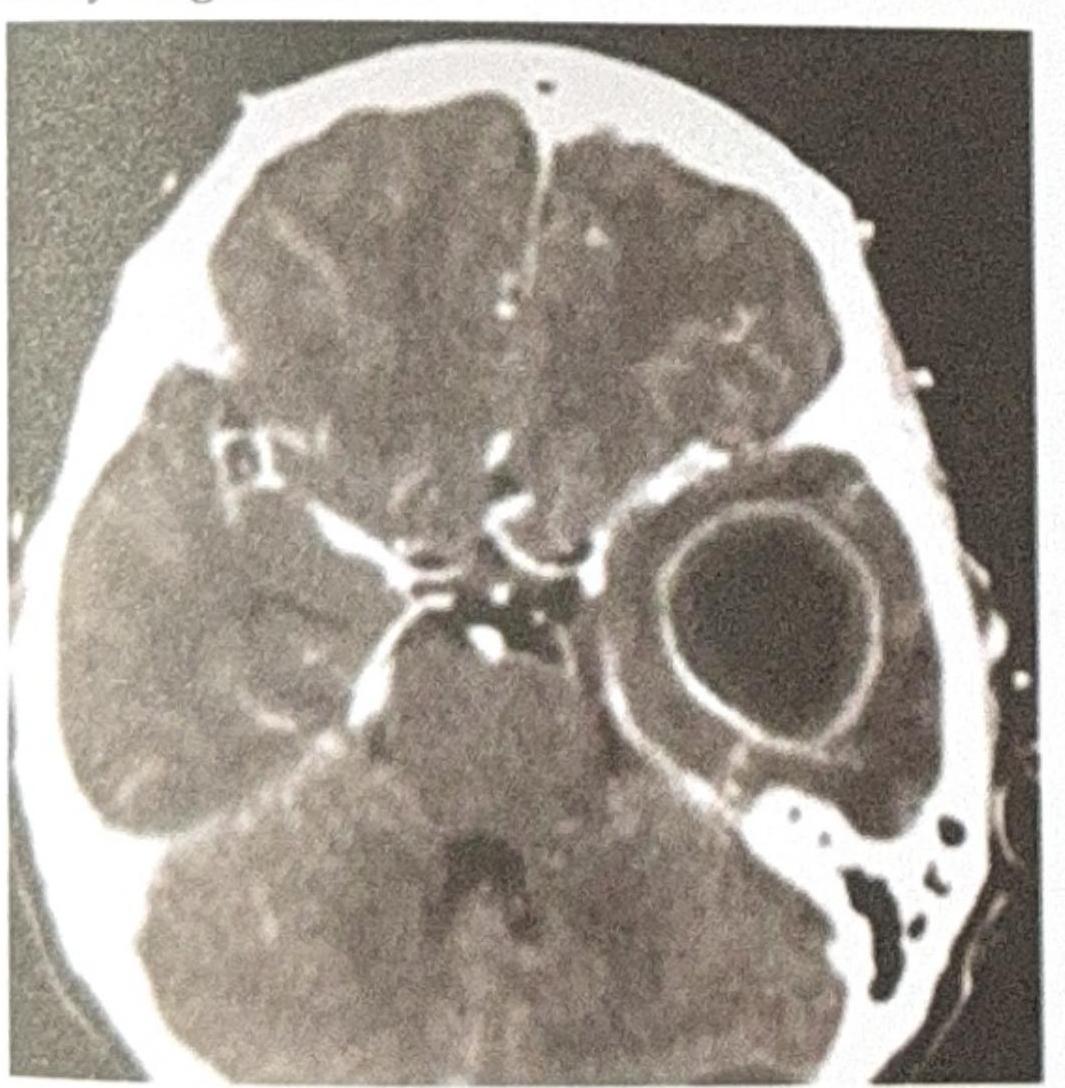
Which of the following conditions is most commonly associated with the "doughnut" sign seen on a brain scan?
A patient presents with ear discharge. The CT image is shown below. Based on the clinical presentation and imaging, what is the most likely diagnosis?

A patient with a history of chronic ear infection now presents with manifestations, including headache and vomiting. A CT brain image is shown. What is the most probable diagnosis?

Explanation: ***Always heals by chemotherapy*** - This statement is false because while **chemotherapy** (anti-tubercular drugs) is the primary treatment for **Pott's disease** (tuberculosis of the spine), healing is not always guaranteed and can sometimes require **surgical intervention** in cases of severe neurological deficit or instability. - The success of treatment depends on early diagnosis, patient compliance, and the severity of the disease, and not all cases resolve completely without residual issues. *Commonest at dorsolumbar junction* - **Pott's spine**, or **vertebral tuberculosis**, most frequently affects the **thoracic** and **lumbar regions**, particularly the **dorsolumbar junction** (T9-L1). - This predilection is attributed to the rich vascular supply and increased mechanical stress in this area. *Back pain is an early symptom* - **Back pain** is often one of the **earliest and most common symptoms** of Pott's spine, due to inflammation and destruction of vertebral bodies. - The pain is typically **localized**, progressive, and may worsen with movement. *There is disc space narrowing on x-ray* - **X-rays** of Pott's spine often show **disc space narrowing** along with vertebral destruction and collapse, differentiating it from pyogenic osteomyelitis where disc spaces might be initially preserved. - This narrowing is a consequence of the tuberculous infection spreading from the vertebral body to the adjacent **intervertebral disc**.
Explanation: ***Paradiscal*** - **Paradiscal lesions** are the most characteristic and common type of lesion in Pott's spine (approximately 50% of cases), preferentially affecting the anterior vertebral body adjacent to the intervertebral disc [1]. - This location is rich in **vascularity**, allowing Mycobacterium tuberculosis to spread more easily and cause significant destruction of the vertebral bodies and discs [1]. - Typically results in **angular kyphosis (gibbus deformity)** due to anterior vertebral collapse. *Posterior* - **Posterior lesions** affect the posterior elements of the vertebrae including the pedicles, laminae, and spinous processes. - This is the **rarest type** of tuberculous spinal involvement. - May present with neurological deficits due to posterior encroachment on the spinal canal. *Central* - A **central lesion** in Pott's spine involves primarily the vertebral body itself, without specific early involvement of the disc space or adjacent vertebrae. - This type is less common than paradiscal lesions and typically leads to **vertebra plana** (flat vertebra) or uniform **compression fracture** rather than angular kyphosis. *Anterior* - **Anterior lesions** affect the front part of the vertebral body and can lead to a wedge-shaped collapse. - While the anterior column is frequently involved, the term "anterior" is less specific than "paradiscal" in describing the most common initial location that characteristically spreads to the intervertebral disc space. **References:** [1] Kumar V, Abbas AK, et al.. Robbins and Cotran Pathologic Basis of Disease. 9th ed. Bones, Joints, and Soft Tissue Tumors, pp. 1197-1198.
Explanation: ***Glioma*** - **Gliomas** are the most common type of intracranial tumor in children, accounting for approximately **50-60%** of all pediatric brain tumors. This broad category includes tumors like astrocytomas (e.g., **pilocytic astrocytoma**), ependymomas, and brainstem gliomas. - The most common subtype of glioma in children is the **pilocytic astrocytoma**, which often arises in the cerebellum or optic pathway. - Other common gliomas include **ependymomas** (arising in the ventricular system) and **diffuse brainstem gliomas**. *Meningioma* - **Meningiomas** are tumors arising from the meninges, the membranes surrounding the brain and spinal cord, and are **rare** in children. - These tumors are typically seen in **middle-aged to older adults**, and their occurrence in pediatric populations is uncommon, accounting for less than **2%** of pediatric brain tumors. *Lymphangioma* - A **lymphangioma** is a benign malformation of the lymphatic system, most commonly found in the **head and neck region** (e.g., cystic hygroma), not within the brain parenchyma. - It is a tumor of lymphatic vessels and is **not an intracranial brain tumor** in the typical sense. *Medulloblastoma* - **Medulloblastoma** is the most common **malignant** brain tumor in children and the most common **posterior fossa tumor** in the pediatric population. - However, when considering **all intracranial tumors** (both benign and malignant), **gliomas as a category** are more common overall than medulloblastomas alone. - Medulloblastomas arise from the cerebellum and account for approximately **15-20%** of pediatric brain tumors.
Explanation: ***Meningioma*** - Intradural enhancing mass lesion in the **spinal cord** with progressive neurological symptoms like **lower limb weakness**, **spasticity**, and **urinary hesitancy** are highly suggestive of a **spinal meningioma**, which is the most common intradural extramedullary tumor in middle-aged females. - Meningiomas are typically **dural-based tumors** that enhance homogeneously with contrast on MRI and cause spinal cord compression. *Intradural lipoma* - Intradural lipomas are typically **non-enhancing** lesions on MRI, composed of fat with high T1 signal intensity. - They are often congenital and may not present with such acute, progressive neurological deficits. - They do not show contrast enhancement. *Neuroepithelial cyst* - Neuroepithelial cysts, such as **arachnoid cysts**, are typically **non-enhancing** and follow cerebrospinal fluid (CSF) signal intensity on MRI. - They rarely present as an enhancing mass and are more likely to be asymptomatic or cause symptoms due to mass effect without enhancement. *Dermoid cyst* - Dermoid cysts are typically **non-enhancing** lesions that contain **fatty components** and other ectodermal derivatives. - While they can cause neurological symptoms due to mass effect, they do not present as an enhancing lesion on MRI. - They show restricted diffusion and may have a chemical meningitis if ruptured.
Explanation: ***Narrowing of disc space*** - This is the **earliest radiographic finding** in spinal tuberculosis on plain X-ray, typically appearing within the first few weeks to months of infection. - Tuberculous spondylitis begins in the **anterior subchondral region** near the vertebral endplates, leading to early involvement of the intervertebral disc. - The infection spreads from the vertebral body to the adjacent disc, causing **disc space narrowing** along with endplate irregularities as initial manifestations. - Unlike pyogenic spondylitis, TB shows **relatively preserved** disc space initially, but narrowing is still the earliest visible change. *Endplate erosion* - **Endplate erosion** occurs concurrently with or shortly after disc space narrowing as the tuberculous infection destroys the subchondral bone. - Both findings appear early in the disease course and are often seen together on X-ray. - This represents active bone destruction at the vertebral margins. *Paravertebral shadow* - The **paravertebral abscess** is a characteristic and important finding in spinal tuberculosis, but it develops **later** in the disease course. - It forms as a secondary phenomenon when the infection spreads beyond the vertebral body, with caseous material and pus collecting along the paravertebral ligaments. - While highly suggestive of TB when present, it is not the earliest radiographic sign. *Gibbus* - A **gibbus deformity** is a **late complication** resulting from vertebral body collapse and subsequent angular kyphosis. - It indicates extensive vertebral destruction and significant structural compromise. - This is a clinical and radiographic sign of advanced disease, not an early finding.
Explanation: ***Spinal meningioma*** - This diagnosis fits the profile of a **middle-aged female** with a **slowly progressive dorsal myelopathy**, including **spasticity** and **urinary dysfunction**, as meningiomas are common in this demographic. - The MRI finding of a **well-defined, mid-dorsal, intradural, homogenous, contrast-enhancing mass** is highly characteristic of a spinal meningioma. *Dermoid cyst* - Dermoid cysts are typically **congenital lesions** and often present earlier in life with symptoms like **tethered cord syndrome** or related cutaneous stigmata. - While intradural, they usually present as **non-enhancing lesions** on MRI, unless there's an associated rupture or inflammatory reaction. *Epidermoid cyst* - Epidermoid cysts are also usually **congenital** and less common in the dorsal spine as primary lesions; their progression is often more indolent with less overt myelopathic signs early on. - On MRI, epidermoid cysts appear as **non-enhancing lesions** with signal characteristics similar to cerebrospinal fluid (CSF), distinguishing them from enhancing masses. *Intradural Lipoma* - Intradural lipomas are typically **congenital spinal lesions** often associated with **dysraphic states** and usually diagnosed in childhood. - They appear as **fat-containing lesions** on MRI, showing characteristic high signal intensity on T1-weighted images and signal suppression on fat-saturated sequences, and generally **do not show significant contrast enhancement**.
Explanation: ***Brain abscess*** - A **ring-enhancing lesion** with **central restricted diffusion** on DWI is highly characteristic of a brain abscess, due to the presence of pus containing densely packed inflammatory cells and bacteria with high viscosity. - The clinical presentation of **headaches, fever**, and **new-onset seizures** is consistent with an infectious process and increased intracranial pressure. - This combination of imaging and clinical features is pathognomonic for pyogenic brain abscess. *Glioblastoma multiforme* - While GBM can present with **ring-enhancing lesions** and seizures, it typically exhibits **facilitated diffusion** (high ADC values) on DWI due to necrotic tumor core, not restricted diffusion. - GBM is a highly infiltrative tumor with extensive **vasogenic edema**. - Fever is uncommon in GBM unless there is secondary infection. *Metastatic brain tumor* - Metastatic lesions can be **ring-enhancing** and cause seizures, but **restricted diffusion** is not typical unless there is acute hemorrhage or superimposed infection. - The presence of **fever** points away from uncomplicated metastasis. - Multiple lesions at the gray-white matter junction are more typical of metastases. *Toxoplasmosis* - Toxoplasmosis in **immunocompromised individuals** (HIV/AIDS with CD4 <100) causes **multiple ring-enhancing lesions** with predilection for basal ganglia. - Restricted diffusion is **not consistently seen** with toxoplasmosis, unlike pyogenic abscesses. - The specific DWI finding of central restricted diffusion makes brain abscess the most definitive diagnosis.
Explanation: ***Brain abscess*** - The **doughnut sign**, characterized by a **ring-enhancing lesion** with a central hypodense core, is highly suggestive of a brain abscess due to central necrosis and peripheral inflammation. - The ring enhancement often appears **thinner and smoother** in abscesses compared to tumors, and there is usually significant surrounding edema. - This sign is most **characteristically and commonly associated** with pyogenic brain abscesses. *Brain metastases* - While brain metastases can also present as **ring-enhancing lesions**, they tend to have a **thicker and more irregular wall** compared to a brain abscess. - They often present with **multiple lesions** and a known primary malignancy, which differentiates them from a solitary abscess. *Glioblastoma multiforme* - **Glioblastoma multiforme (GBM)** typically shows a **thick, irregular, and often nodular ring enhancement** due to areas of necrosis, hypervascularity, and active tumor growth. - Its enhancing rim is generally **thicker and more variable** than that of a typical abscess, and it often invades surrounding brain parenchyma. *Toxoplasmosis* - **Cerebral toxoplasmosis** can present with ring-enhancing lesions, particularly in immunocompromised patients (HIV/AIDS). - Typically shows **multiple lesions** with predilection for basal ganglia and corticomedullary junction. - The "**eccentric target sign**" (eccentric dot within the ring) is more characteristic of toxoplasmosis than the smooth doughnut sign of pyogenic abscess.
Explanation: ***Temporal lobe abscess*** - The CT scan shows a **ring-enhancing lesion** in the **temporal lobe**, which is characteristic of a brain abscess. - **Ear discharge** (otorrhea), particularly from otitis media, is a common predisposing factor for temporal lobe abscesses due to the proximity of the middle ear and mastoid to the temporal lobe. - Otogenic brain abscesses account for a significant proportion of intracranial complications from ear infections, with the temporal lobe being the most common location. *Extradural abscess* - An **extradural abscess** would typically be located between the dura mater and the skull, often presenting as a **lenticular or biconvex collection** displacing the dura and brain, not within the brain parenchyma as seen here. - While ear infections can lead to extradural abscesses, the imaging clearly shows an intraparenchymal lesion. *Cerebellar abscess* - A **cerebellar abscess** would be located in the cerebellum (posterior fossa), which is a different anatomical location from the lesion seen in the image (which is in the supratentorial compartment, consistent with the temporal lobe). - Although ear infections can also lead to cerebellar abscesses, the lesion's position on the CT scan does not correspond to the cerebellum. *Meningitis* - **Meningitis** is an inflammation of the meninges and typically manifests on CT as **leptomeningeal enhancement**, particularly in the sulci and basal cisterns, rather than a discrete, encapsulated mass lesion like an abscess. - While ear discharge can be associated with meningitis, the imaging findings strongly point to an abscess, not diffuse meningeal inflammation.
Explanation: ***Temporal lobe Abscess*** - The CT scan shows a **ring-enhancing lesion** with significant surrounding edema, which is characteristic of a **brain abscess**. - Given the history of a **chronic ear infection**, the temporal lobe is a common site for bacterial spread from the mastoid air cells or middle ear. *Meningitis* - Meningitis involves inflammation of the **meninges** and typically presents with diffuse changes on imaging, such as sulcal effacement or leptomeningeal enhancement, rather than a focal, encapsulated lesion. - While it can cause headache and vomiting, the CT image does not show findings typical of meningitis. *Extradural Abscess* - An extradural (or epidural) abscess is located **between the dura mater and the skull bone**. - It would typically appear as a collection outside the brain parenchyma, potentially causing mass effect but distinct from an intraparenchymal lesion seen in the image. *Cerebral Abscess* - The image does show a **cerebral abscess**, but this option is less specific than "Temporal lobe abscess." - The question asks for the **most probable diagnosis**, and combining the imaging findings with the patient's history of ear infection points to a specific location within the cerebrum.
Get full access to all questions, explanations, and performance tracking.
Start For Free