CNS tumor seen in Von Hippel Lindau syndrome is:
A patient presents with headaches, palpitations, hypertension, and urine VMA positivity. The biopsy findings are shown in the image. Which of the following statements is correct?

Which of the following is the most common cause of a mixed cystic and solid suprasellar mass seen on cranial MR scan of a 10-year-old child:
Which of the following is the most common tumor of the brain?
Which of the following tumors shows a radiological sign called "pneumosinus dilatans"?
Which of the following is the most frequent primary malignant tumor of the CNS?
The most common intracranial tumor in children is –
A 10 year old child presented with headache, vomiting, gait instability and diplopia. On examination he had papilledema and gait ataxia. The most probable diagnosis is –
Investigation of choice for leptomeningeal carcinomatosis:
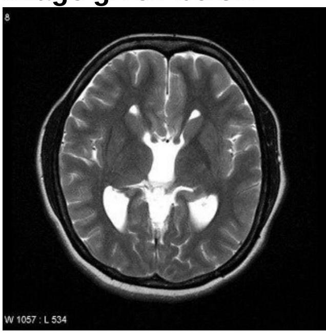
Identify the condition based on the provided image.

Explanation: ***Cerebellar hemangioblastoma*** - **Cerebellar hemangioblastomas** are characteristic CNS tumors associated with **Von Hippel-Lindau syndrome** due to mutations in the VHL gene [1]. - Patients typically present with symptoms related to raised **intracranial pressure** or focal neurological deficits depending on the tumor's size and location. *Meningioma* - Meningiomas are **benign tumors** arising from the meninges and are generally not a primary feature of **Von Hippel-Lindau syndrome** [1]. - They are more commonly associated with **Neurofibromatosis type 2** if linked to a genetic syndrome [1]. *Glioma* - Gliomas, which include astrocytomas, oligodendrogliomas, and ependymomas, are a diverse group of brain tumors that are not typically or specifically linked to **Von Hippel-Lindau syndrome** [1]. - While central nervous system tumors, they lack the specific association seen with **hemangioblastomas** in VHL. *CNS lymphoma* - **CNS lymphoma** is primarily associated with **immunocompromised states**, such as HIV/AIDS, or occurs as a primary brain tumor in older adults [1]. - It has no known direct association with **Von Hippel-Lindau syndrome** [1]. **References:** [1] Cross SS. Underwood's Pathology: A Clinical Approach. 6th ed. Common Clinical Manifestations Of Central And Peripheral Nervous System Disease, pp. 724-728.
Explanation: ***Associated with MEN 2A*** - The clinical presentation (headaches, palpitations, hypertension) and positive **urine VMA (vanillylmandelic acid)** strongly suggest a **pheochromocytoma**. - Pheochromocytomas are tumors of the adrenal medulla that secrete catecholamines and are frequently associated with **Multiple Endocrine Neoplasia Type 2A (MEN 2A)**, along with medullary thyroid carcinoma and primary hyperparathyroidism. *Mostly malignant* - Pheochromocytomas are generally benign, with approximately **10% being malignant** ("rule of 10s"). - Malignancy is difficult to predict based on histology alone and is usually defined by the presence of **metastases**. *Mostly in children* - While pheochromocytomas can occur at any age, they are **more common in adults**, typically between 30 and 50 years old. - When they do occur in children, they are more often bilateral, extra-adrenal, or associated with genetic syndromes. *Mostly bilateral* - The majority of pheochromocytomas (approximately **90%**) are **unilateral**. - Bilateral pheochromocytomas are often seen in genetic syndromes such as **MEN 2**, von Hippel-Lindau disease, and neurofibromatosis type 1.
Explanation: ***Craniopharyngioma*** * **Craniopharyngiomas** are the most common cause of a mixed cystic and solid suprasellar mass in children, often presenting with calcifications. * These tumors typically arise from Rathke's pouch remnants and can cause symptoms related to **pituitary dysfunction** and **visual field defects**. *Optic chiasma glioma* * **Optic chiasma gliomas** usually present as solid masses, although they can sometimes have cystic components. * They are more commonly associated with **Neurofibromatosis type 1** and primarily cause visual symptoms. *Pituitary Adenoma* * **Pituitary adenomas** are rare in children and typically present as purely solid masses, although cystic degeneration can occur. * They are more common in adults and often cause symptoms of **hormonal overproduction** or hypopituitarism. *Germinoma* * **Germinomas** are usually solid and homogenously enhancing tumors, sometimes with small cystic areas. * They are frequently located in the **pineal region** or suprasellar region and can cause hydrocephalus or endocrine dysfunction.
Explanation: ***Cerebral metastasis*** - **Cerebral metastases** are the most common type of brain tumor overall, significantly outnumbering all primary brain tumors combined [1]. - They originate from cancers elsewhere in the body (most commonly **lung, breast, melanoma, renal, and colorectal carcinomas**) and spread to the brain via the bloodstream [1]. - Metastases typically occur at the **gray-white matter junction** and are often **multiple**. *Meningioma* - **Meningiomas** are the most common *primary* **benign** brain tumors, originating from arachnoid cap cells of the meninges [2]. - They account for ~30% of primary intracranial tumors but are still less frequent than metastatic brain tumors overall. - More common in **middle-aged females** and typically slow-growing [2]. *Glioma* - **Gliomas** are common *primary* **malignant** brain tumors, arising from glial cells (astrocytes, oligodendrocytes, or ependymal cells) [3]. - **Glioblastoma** is the most common primary malignant brain tumor in adults, but all gliomas combined are still less common than metastatic brain lesions overall. *Pituitary adenoma* - **Pituitary adenomas** are common benign tumors of the sellar region, accounting for ~10-15% of intracranial tumors. - While frequent among primary tumors, they are less common than metastatic brain lesions overall. **References:** [1] Kumar V, Abbas AK, et al.. Robbins and Cotran Pathologic Basis of Disease. 9th ed. The Central Nervous System, pp. 1317-1318. [2] Kumar V, Abbas AK, et al.. Robbins and Cotran Pathologic Basis of Disease. 9th ed. The Central Nervous System, pp. 1316-1317. [3] Cross SS. Underwood's Pathology: A Clinical Approach. 6th ed. Common Clinical Manifestations Of Central And Peripheral Nervous System Disease, pp. 725-726.
Explanation: ***Meningiomas*** - **Pneumosinus dilatans** is a radiological finding characterized by an abnormal enlargement of a paranasal sinus or mastoid air cells without cortical bone destruction or hyperostosis. - Meningiomas, particularly those located near the **skull base** or paranasal sinuses, are classically associated with this phenomenon due to chronic pressure and possible osteoblastic stimulation. *Ependymomas* - These are typically **intracranial** or **intraspinal tumors** arising from ependymal cells lining the ventricles and central canal. - They are not associated with **pneumosinus dilatans** as they do not typically interact with paranasal sinuses. *Medulloblastomas* - These are highly malignant embryonal tumors found in the **cerebellum** of children. - They do not cause **pneumosinus dilatans** due to their posterior fossa location and aggressive growth pattern. *Hemangioblastomas* - These are benign, highly vascular tumors typically found in the **cerebellum**, **brainstem**, or **spinal cord**, often associated with **von Hippel-Lindau disease**. - They do not lead to **pneumosinus dilatans** as their location and growth characteristics do not involve the paranasal sinuses.
Explanation: ***Glioblastoma multiforme*** - **Glioblastoma multiforme (GBM)** is the most common and aggressive primary malignant brain tumor in adults [1]. - It is a **grade IV astrocytoma**, characterized by rapid growth, necrosis, and microvascular proliferation [1]. *Oligodendroglioma* - **Oligodendrogliomas** are primary glial tumors but are less common than GBM. - They typically have a more indolent course than GBM and are often characterized by **IDH mutations** and **1p/19q co-deletion**. *Medulloblastoma* - **Medulloblastoma** is the most common malignant brain tumor in children, but it is rare in adults [2]. - It arises in the **cerebellum** and is a type of embryonal tumor [2]. *Meningioma* - **Meningiomas** are the most common primary brain tumors overall, but they are typically **benign** and originate from the meninges. - While they can be symptomatic due to compression, they are not primarily malignant in the way GBM is. **References:** [1] Kumar V, Abbas AK, et al.. Robbins and Cotran Pathologic Basis of Disease. 9th ed. The Central Nervous System, pp. 1308-1310. [2] Cross SS. Underwood's Pathology: A Clinical Approach. 6th ed. Common Clinical Manifestations Of Central And Peripheral Nervous System Disease, pp. 725-726.
Explanation: ***Glioma*** - **Gliomas** are the most common type of intracranial tumor in children, accounting for approximately **50-60%** of all pediatric brain tumors. This broad category includes tumors like astrocytomas (e.g., **pilocytic astrocytoma**), ependymomas, and brainstem gliomas. - The most common subtype of glioma in children is the **pilocytic astrocytoma**, which often arises in the cerebellum or optic pathway. - Other common gliomas include **ependymomas** (arising in the ventricular system) and **diffuse brainstem gliomas**. *Meningioma* - **Meningiomas** are tumors arising from the meninges, the membranes surrounding the brain and spinal cord, and are **rare** in children. - These tumors are typically seen in **middle-aged to older adults**, and their occurrence in pediatric populations is uncommon, accounting for less than **2%** of pediatric brain tumors. *Lymphangioma* - A **lymphangioma** is a benign malformation of the lymphatic system, most commonly found in the **head and neck region** (e.g., cystic hygroma), not within the brain parenchyma. - It is a tumor of lymphatic vessels and is **not an intracranial brain tumor** in the typical sense. *Medulloblastoma* - **Medulloblastoma** is the most common **malignant** brain tumor in children and the most common **posterior fossa tumor** in the pediatric population. - However, when considering **all intracranial tumors** (both benign and malignant), **gliomas as a category** are more common overall than medulloblastomas alone. - Medulloblastomas arise from the cerebellum and account for approximately **15-20%** of pediatric brain tumors.
Explanation: ***Midline posterior fossa tumour*** - The combination of **headache, vomiting, papilledema (signs of increased intracranial pressure)**, **gait instability, and ataxia** strongly suggests a **midline posterior fossa tumor** in a child. These tumors often obstruct CSF flow, leading to hydrocephalus and cerebellar symptoms. - Common tumors in this location in children include **medulloblastoma** and **pilocytic astrocytoma**, which frequently present with these symptoms due to their proximity to the **fourth ventricle** and **cerebellum**. *Suprasellar tumour* - **Suprasellar tumors** typically present with **visual field deficits** (e.g., bitemporal hemianopia) due to compression of the optic chiasm, and/or **endocrine dysfunction** (e.g., growth delay, diabetes insipidus). - While they can cause hydrocephalus and increased intracranial pressure if large, the prominent **gait instability and ataxia** point away from a primary suprasellar lesion as the most likely cause. *Hydrocephalus* - **Hydrocephalus** itself explains the **increased intracranial pressure (headache, vomiting, papilledema)** and sometimes **gait instability (ataxia)**. - However, hydrocephalus is usually a *consequence* of an underlying obstruction, and in a child presenting acutely with cerebellar dysfunction, a **tumor blocking CSF flow in the posterior fossa** is the most probable underlying cause, not hydrocephalus as the primary diagnosis. *Brain stem tumour* - **Brain stem tumors** typically cause **cranial nerve deficits** (e.g., facial weakness, dysphagia), **long tract signs (hemiparesis)**, and often **multiple types of ataxia**, alongside signs of increased intracranial pressure if they obstruct CSF flow. - While gait instability and diplopia can occur, the overall picture of prominent **gait ataxia** and papilledema without other focal cranial nerve signs makes a primary midline posterior fossa tumor compressing the cerebellum and fourth ventricle more likely.
Explanation: ***Gd enhanced MRI*** - **Gadolinium-enhanced MRI** is the investigation of choice for **leptomeningeal carcinomatosis** as it can visualize the subtle nodular or linear enhancement along the leptomeninges, indicating tumor dissemination. - It offers superior **soft tissue contrast** and spatial resolution compared to CT, enabling detection of small lesions and accurate mapping of disease extent. *CT scan* - A **CT scan** has limited sensitivity for detecting leptomeningeal involvement due to poor contrast resolution of soft tissues and the dura/arachnoid spaces. - It might show hydrocephalus or large tumor deposits, but subtle leptomeningeal enhancement is often missed. *SPECT* - **Single photon emission computed tomography (SPECT)** is primarily used for functional imaging and is not the investigation of choice for anatomical visualization of leptomeningeal carcinomatosis. - Its resolution is too low to detect the fine structural changes associated with leptomeningeal spread. *PET* - **Positron emission tomography (PET)**, often combined with CT, identifies metabolically active tumor cells and can detect diffuse metastatic disease. - While useful for overall cancer staging and identifying primary lesions, it is less effective than gadolinium-enhanced MRI for directly visualizing the morphology and enhancement patterns of leptomeningeal carcinomatosis due to limited spatial resolution in the CSF spaces.
Explanation: ***Callosal dysgenesis*** - The image shows **colpocephaly**, characterized by **dilatation of the posterior horns** of the lateral ventricles and narrowing of the anterior horns. This is a classic MRI finding in callosal dysgenesis. - The absence or partial formation of the **corpus callosum** leads to a high-riding third ventricle and parallel lateral ventricles, which are often visualized alongside colpocephaly. *Dandy-Walker syndrome* - Characterized by a **cystic dilatation of the fourth ventricle** that fills the posterior fossa, leading to an upward displacement of the tentorium. - This condition involves agenesis or hypoplasia of the **cerebellar vermis**, which is not depicted in this image. *Aicardi syndrome* - Aicardi syndrome is characterized by the triad of **agenesis of the corpus callosum**, **chorioretinal lacunae**, and **infantile spasms**. - While it includes agenesis of the corpus callosum, the image alone does not provide evidence of the ocular or seizure components of Aicardi syndrome. *Septo-optic dysplasia* - This condition is defined by the **triad of optic nerve hypoplasia**, **pituitary hormone abnormalities**, and **midline brain defects**, specifically hypoplasia or absence of the septum pellucidum. - The image does not show features specific to optic nerve hypoplasia or the typical midline cysts or absent septum pellucidum characteristic of septo-optic dysplasia.
Get full access to all questions, explanations, and performance tracking.
Start For Free