Enter your email to get your 85% OFF code and unlock the full NEET PG question bank on the app.
Soap bubble appearance on X-ray is seen in which bone tumor?
Commonest malignancy of bones is -
Which of the following is not true about osteosarcoma?
A teenager has a progressively increasing soft reddish swelling on his chest. Its histological appearance is given below. Which of the following is the likely diagnosis?

Which statement is incorrect about the pathology of the bone tumor?

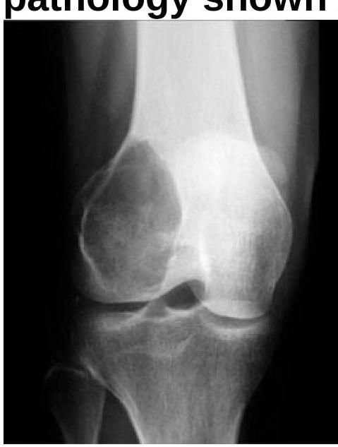
Which bone tumor involves the epiphysis?
True about bone tumor is:
Osteomyelitis can mimic which of the following tumor?
Which of the following is an epiphyseal lesion?
Investigation of choice for lumbar prolapsed disc -
Get full access to all questions, explanations, and performance tracking.
Scan to download app