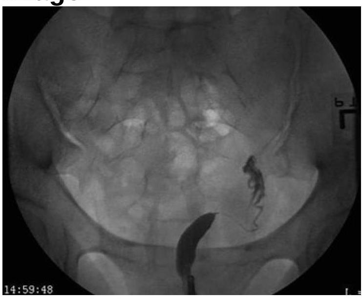
Identify the imaging modality given below.

Based on the provided image, which of the following is the correct diagnosis?

A lady presented with a 4 cm tumor in the left parietal lobe for which she underwent surgery and radiotherapy. After 3 months she presented with headache and vomiting. Which of the following would characterize the lesion in the patient?
Investigation of choice for leptomeningeal carcinomatosis:
Substance used for PET scan is
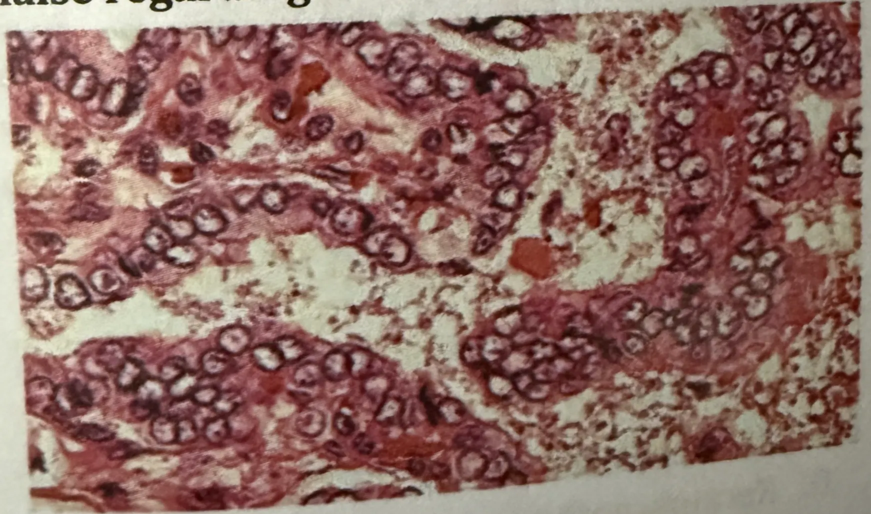
A middle aged male patient presents with painless slow growing neck swelling. On examination, lymph nodes are positive. Surgery is done and biopsy is shown in the image below. Which of the following is false regarding the HPE findings?

Tc-labeled RBCs are used for all except:
What is the preferred treatment for congenital ptosis with poor levator muscle function?
Which of the following liver metastases appear hypoechoic on ultrasound?
Earliest investigation for diagnosis of Ankylosing spondylitis:
Explanation: ***USG*** - The image displays characteristic **gray-scale imaging** with an **echogenic appearance** of tissues, typical of an ultrasound. - Presence of annotations like "10 MHz G 64%" for **frequency and gain**, and "PRC" suggest ultrasound parameters. *Fluoroscopy* - Fluoroscopy provides **real-time X-ray images** and often involves the use of contrast agents, appearing as a dynamic, darker image with high contrast. - The image lacks the distinct bone and air contrast and dynamic motion typical of fluoroscopy. *X-Ray* - X-ray images depict a **static shadowgram** of dense structures like bones as white, and air as black, with sharp delineation. - The image shows a **granular texture** and fluid-filled structures that are characteristic of soft tissue imaging through ultrasound, not X-ray. *MRI* - MRI produces **cross-sectional images** with high soft tissue contrast in multiple planes (axial, sagittal, coronal). - The image shows real-time B-mode ultrasound characteristics with **probe frequency notation**, not the slice-based imaging of MRI.
Explanation: ***Unicornuate Uterus*** - The image distinctly shows **only one fallopian tube and one rudimentary uterine horn** on the right side, indicating a unicornuate uterus. - This malformation results from the **incomplete development of one Müllerian duct**, leading to a single, banana-shaped uterine cavity. *Uterus didelphys* - This condition involves **two completely separate uteri**, each with its own cervix and vagina. - The image does not show evidence of two distinct uterine bodies or cervices. *Bicornuate Uterus* - A bicornuate uterus is characterized by **two uterine horns that fuse caudally**, creating a heart-shaped appearance with a shared cervix. - The image clearly lacks the characteristic heart shape and shows only one functional horn. *Septate uterus* - A septate uterus has a **fibrous or muscular septum** dividing the uterine cavity, while the external uterine contour remains normal. - The image does not show a septum or a normal external uterine contour with an internal division; instead, it presents with a single underdeveloped horn.
Explanation: ***18FDG PET Scan*** - This patient, presenting with new neurological symptoms after **surgery and radiotherapy** for a cerebral tumor, faces a diagnostic dilemma: differentiating between **tumor recurrence** and **radiation necrosis**. - **18FDG PET scans** effectively distinguish between these two conditions because viable tumor cells exhibit high metabolic activity and thus actively take up **fluorodeoxyglucose (FDG)**, while radiation necrosis is metabolically inactive and shows little to no FDG uptake. *Digital subtraction angiography with dual source CT scan* - **Digital subtraction angiography (DSA)** is primarily used to visualize **vascular structures** and is not the modality of choice for differentiating tumor recurrence from radiation necrosis. - A **dual-source CT scan** is useful for rapid imaging and dynamic studies but lacks the metabolic information needed for this specific differentiation. *Gd-enhanced MRI* - While **Gd-enhanced MRI** is excellent for detecting **structural changes** and **blood-brain barrier disruption**, it often cannot definitively differentiate between **tumor recurrence** and **radiation necrosis**. - Both conditions can present with similar **enhancement patterns** on MRI, making differentiation challenging without additional metabolic information. *99Tc-HMPAO SPECT brain* - **99mTc-HMPAO SPECT** measures **regional cerebral blood flow (rCBF)**, which can be altered in both tumors and areas of radiation injury. - However, it does not provide the specific metabolic information (glucose metabolism) needed to reliably distinguish between **viable tumor cells** and **radiation necrosis** as effectively as FDG PET.
Explanation: ***Gd enhanced MRI*** - **Gadolinium-enhanced MRI** is the investigation of choice for **leptomeningeal carcinomatosis** as it can visualize the subtle nodular or linear enhancement along the leptomeninges, indicating tumor dissemination. - It offers superior **soft tissue contrast** and spatial resolution compared to CT, enabling detection of small lesions and accurate mapping of disease extent. *CT scan* - A **CT scan** has limited sensitivity for detecting leptomeningeal involvement due to poor contrast resolution of soft tissues and the dura/arachnoid spaces. - It might show hydrocephalus or large tumor deposits, but subtle leptomeningeal enhancement is often missed. *SPECT* - **Single photon emission computed tomography (SPECT)** is primarily used for functional imaging and is not the investigation of choice for anatomical visualization of leptomeningeal carcinomatosis. - Its resolution is too low to detect the fine structural changes associated with leptomeningeal spread. *PET* - **Positron emission tomography (PET)**, often combined with CT, identifies metabolically active tumor cells and can detect diffuse metastatic disease. - While useful for overall cancer staging and identifying primary lesions, it is less effective than gadolinium-enhanced MRI for directly visualizing the morphology and enhancement patterns of leptomeningeal carcinomatosis due to limited spatial resolution in the CSF spaces.
Explanation: ***18F-FDG*** - **18F-FDG (Fluorodeoxyglucose)** is a glucose analog labeled with a **positron-emitting radioisotope**, fluorine-18 (18F). - It is the most commonly used radiotracer in PET scans, as it accumulates in cells with high metabolic activity, particularly **cancer cells** and activated brain cells. *Gadolinium* - **Gadolinium** is a paramagnetic contrast agent primarily used in **MRI scans** to enhance the visualization of blood vessels and abnormal tissues. - It does not emit positrons and is therefore not suitable for PET imaging. *Gastrografin* - **Gastrografin** is an oral, water-soluble contrast agent containing **iodine**, typically used in **X-rays** and **CT scans** of the gastrointestinal tract. - It is not a radioactive tracer and has no application in PET imaging. *Iodine* - **Iodine** in various forms can be used as a contrast agent in **X-rays** and **CT scans**, or as a radioactive isotope (e.g., **I-131**) for **thyroid imaging** and treatment. - While some isotopes of iodine are radioactive, they are not typically used for PET imaging, which relies on positron emission.
Explanation: ***Fine needle aspiration cytology (FNAC) is not diagnostic*** - FNAC can often provide significant insights, but in cases of **specific malignancies** or certain lesions, it may not yield definitive diagnoses [1]. - Diagnostic challenges arise as **cellular architecture** or certain **nuclear features** may not be appreciated in FNAC samples [1]. *It spreads quickly via lymphatics* - This condition can indeed spread via lymphatics, making it **aggressive** in nature [1]. - **Lymphatic spread** is a common pathway for many head and neck conditions, particularly malignancies [1]. *Excellent prognosis is associated with this condition* - While some conditions may have favorable prognoses, many midline neck lesions can have **serious implications** depending on their nature [1]. - Prognosis often varies widely and may not always be classified as **excellent** based solely on initial presentation [1]. *Nuclear characteristics are used for the identification* - Nuclear morphology is critical for identifying various **neoplastic conditions**, aiding in differentiation from benign lesions [1][2]. - Many pathologies, especially those involving **malignancy**, rely heavily on **nuclear features** for accurate diagnosis [1][2]. **References:** [1] Kumar V, Abbas AK, et al.. Robbins and Cotran Pathologic Basis of Disease. 9th ed. The Endocrine System, pp. 1101-1102. [2] Kumar V, Abbas AK, et al.. Robbins and Cotran Pathologic Basis of Disease. 9th ed. The Endocrine System, pp. 1100-1101.
Explanation: ***Liver adenoma*** - Tc-labeled RBCs are primarily used to highlight a specific type of tissue or process. **Liver adenomas** do not typically show an affinity for **Tc-labeled RBCs**, as they are benign epithelial tumors with a different vascular composition. - While adenomas can be vascular, they do not inherently contain the **vascular pooling** or blood volume characteristics that would be specifically targeted by **Tc-labeled RBCs** for diagnostic imaging. *LV function* - **Tc-labeled RBCs** (or Tc-99m-pertechnetate) are commonly used in **gated blood pool imaging** (MUGA scan) to assess **left ventricular (LV) function**, including **ejection fraction** and wall motion abnormalities. - This technique directly visualizes the blood pool within the cardiac chambers, making it suitable for assessing functional parameters of the heart. *GI bleeding* - **Tc-labeled RBCs** are a standard imaging agent for detecting and localizing **active gastrointestinal (GI) bleeding**, especially when the bleeding rate is intermittent or slow. - The labeled RBCs extravasate at the site of hemorrhage, creating a 'hot spot' that can be identified over time. *Liver hemangioma* - **Tc-labeled RBCs** are highly effective in diagnosing **liver hemangiomas**, which are benign vascular tumors composed of large, dilated blood vessels. - These lesions show characteristic uptake and retention of **labeled RBCs** due to their slow blood flow and large intravascular space, appearing as early peripheral enhancement with subsequent centripetal filling.
Explanation: ***Muscle suspension technique*** - For congenital ptosis with **poor levator function** (typically <4 mm excursion), suspending the eyelid from the **frontalis muscle** is the preferred surgical approach. - This technique utilizes the forehead muscle to elevate the eyelid, compensating for the weak levator muscle. *Muscle advancement procedure* - This technique, generally **levator advancement** or **resection**, is indicated for ptosis with **good to fair levator function** (typically >5 mm excursion). - It involves strengthening the existing levator muscle, which would be ineffective in cases of poor function. *Conservative management* - **Conservative management** is generally reserved for **mild ptosis** or when surgical intervention is not immediately necessary, often involving observation. - It is **not appropriate** for congenital ptosis with poor levator function that often leads to **amblyopia** if left untreated. *Direct muscle repair* - Direct muscle repair is not a standard term for ptosis surgery; surgical procedures like **levator resection** or **aponeurotic repair** modify the levator muscle. - In cases of **poor levator function**, directly repairing or strengthening a severely compromised muscle is **unlikely to yield effective eyelid elevation**.
Explanation: **Breast cancer** - Liver metastases from **breast cancer** frequently present as **hypoechoic lesions** on ultrasound, due to the tumor's cellular composition and vascularity. - This appearance helps differentiate them from other more commonly echogenic or mixed metastatic patterns. *RCC* - **Renal cell carcinoma (RCC)** metastases to the liver often appear **hyperechoic** or **mixed echogenicity** on ultrasound due to their rich vascularity. - This is a distinct characteristic, different from the predominantly hypoechoic nature seen with breast cancer metastases. *Colon cancer* - Liver metastases from **colon cancer** are typically **echogenic** or **mixed echogenicity** on ultrasound, sometimes with a hypoechoic rim ("target sign"). - Their presentation is generally not purely hypoechoic, making them distinguishable from breast cancer metastases. *Mucinous adenocarcinoma* - Liver metastases from **mucinous adenocarcinoma** can be quite variable, but they often appear **complex**, possibly with **cystic components** or mixed echogenicity, rather than uniformly hypoechoic. - The mucin content can create a distinct internal architecture on ultrasound that differs from solid hypoechoic lesions.
Explanation: ***MRI STIR sequence*** - An **MRI STIR (Short Tau Inversion Recovery) sequence** is highly sensitive for detecting early inflammatory changes in the **sacroiliac joints** and spine, such as **bone marrow edema**, which is a hallmark of early ankylosing spondylitis. - It can identify disease activity and structural changes *before* they are visible on conventional X-rays, making it the earliest diagnostic tool. *CT scan* - While a **CT scan** provides excellent detailed images of bone, it is not as sensitive as MRI for detecting early inflammatory changes like **bone marrow edema** in the sacroiliac joints. - It involves significant **radiation exposure** and is typically used for more advanced structural assessment rather than early diagnosis. *Bone scan* - A **bone scan** (scintigraphy) shows areas of increased bone turnover but is **not specific** for ankylosing spondylitis and has lower spatial resolution compared to MRI. - It can indicate inflammation or increased metabolic activity but cannot differentiate specific causes or provide detailed anatomical information as effectively as MRI. *X-ray* - **X-rays** are often the initial imaging modality due to their accessibility, but they only show **structural changes** (like erosions, sclerosis, or fusion) in the sacroiliac joints and spine at a later stage of the disease. - Early inflammatory changes, such as **bone marrow edema**, are typically not visible on plain radiographs, leading to a delay in diagnosis compared to MRI.
Get full access to all questions, explanations, and performance tracking.
Start For Free