Enter your email to get your 85% OFF code and unlock the full NEET PG question bank on the app.
Which of the following is not a branch of the inferior mesenteric artery?
Best imaging modality for acute pulmonary embolism
Which finding is NOT associated with pulmonary embolism on CT angiography?
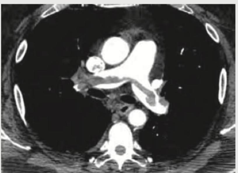
Comment on the diagnosis of the CT chest image shown below.

The CT thorax image shows:

Most specific finding of acute stroke on CT
What is the Investigation of Choice (IOC) for Acute Aortic Dissection?
Which is the best test to detect pulmonary embolism?
Which of the following is shown in the image below?

A 35-year-old male with history of 4 weeks of immobilization for fracture of femur develops sudden onset breathlessness and blood in sputum. CT angiography shows? (Recent NEET Pattem 2018-19)

Get full access to all questions, explanations, and performance tracking.
Scan to download app