Earliest clinical sign of raised intracranial pressure is:
What is the imaging modality of choice for determining the etiology of subarachnoid hemorrhage?
All the following are indications for brain imaging in epilepsy, except:
A woman presenting with abrupt onset of "the worst headache of her life" Which is the best investigation?
An 85-year-old patient was brought to the ER, BP: 180/100, right hemiparesis was seen. What is the next best step in management?
Neurological complications of meningitis include all of the following except:
Investigation of choice in cerebral abscess is -
A previously healthy 45-year-old laborer suddenly develops acute lower back pain with right-leg pain and weakness of dorsiflexion of the right great toe. Which of the following is TRUE?
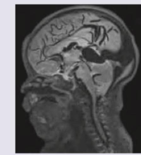
A 6 month infant was brought with complaints of a failure to gain weight and a large head. On examination, increased head circumference, bounding pulses and features of heart failure were noted. On cranial auscultation loud cranial bruit was heard. MRI head shows? (Recent NEET Pattern 2018-19)

A patient with suspected subarachnoid haemorrhage presents with blood isolated in the fourth ventricle on a CT scan. Aneurysmal rupture is likely to have resulted from which of the following?
Explanation: ***Altered behavior*** - The earliest clinical sign of **raised intracranial pressure (ICP)** is often subtle changes in **mental status** and **behavior**, such as **restlessness**, irritability, or confusion. [1] - These changes reflect the brain's initial response to increasing pressure before more overt neurological signs develop. [1] *Hypotension* - **Hypotension** is generally not an early sign of raised ICP and can even be a late finding, particularly if a **Cushing reflex (hypertension, bradycardia, irregular breathing)** is developing. - Decreased blood pressure is more often associated with **shock** or other causes of systemic instability. *Tachycardia* - **Tachycardia** is not an early indicator of raised ICP; in fact, the **Cushing reflex**, a late sign of severe ICP elevation, is characterized by **bradycardia**. [1] - Tachycardia might indicate other issues like **hypovolemia** or **anxiety**. *Dyspnea* - **Dyspnea (difficulty breathing)** is a significant but typically **late sign** of raised ICP, often indicating brainstem compression and disruption of respiratory centers. [1] - It would usually be preceded by alterations in consciousness and other neurological deficits.
Explanation: ***Four vessel DSA*** - **Four-vessel Digital Subtraction Angiography (DSA)** is considered the gold standard for identifying the source of subarachnoid hemorrhage (SAH). - It provides high-resolution images of the **cerebral vasculature**, enabling the detection of small aneurysms, arteriovenous malformations, or other vascular lesions. *Non-contrast CT* - **Non-contrast CT** is the imaging modality of choice for the initial diagnosis of SAH itself. - However, it primarily identifies the presence of blood and its location, but is not as effective in determining the **underlying cause** of the hemorrhage in many cases. *CECT* - **Contrast-enhanced CT (CECT)** can help identify some vascular abnormalities by highlighting vessels, but its sensitivity for detecting small aneurysms or complex vascular lesions is lower than DSA. - It is often used as an alternative or supplementary study when DSA is not immediately available or contraindicated. *MRI* - **MRI** is highly sensitive for detecting intraparenchymal and subtle SAH in later stages but is less effective than CT for acute blood detection, especially within the first few hours. - While MRA (Magnetic Resonance Angiography) can identify vascular lesions, its resolution and ability to detect smaller aneurysms are generally inferior to DSA.
Explanation: Address the indications for brain imaging in epilepsy based on clinical guidelines. ***Epilepsy starts after the age of 5 years*** - The recommendation for **brain imaging** is typically suggested for epilepsy onset after the age of **16 years** to rule out structural causes, rather than age 5 [2]. An onset at age 5 does not exclude the possibility of idiopathic epilepsy, which often does not require imaging [1]. - While it's a good practice to image any new onset epilepsy, age 5 by itself is not a specific indication that *demands* imaging beyond standard workup if no other red flags are present. *EEG shows a focal seizure source* - A **focal seizure source identified on EEG** strongly indicates a structural lesion in the brain that could be responsible for the seizures [2]. - **Brain imaging** (e.g., MRI) is essential to identify the underlying **structural abnormality**, such as a tumor, malformation, or scar tissue [2]. *Control of seizures is difficult* - Poorly controlled or **refractory seizures** warrant further investigation with brain imaging to look for an **underlying structural cause** that might be amenable to surgical intervention or require alternative therapies [2]. - This suggests the possibility of a lesion that is not responding to standard anti-epileptic drugs, necessitating a search for the **etiology of intractability** [3]. *Seizures have focal features clinically* - **Focal clinical features** (e.g., twitching of one limb, sensory disturbances on one side) strongly point to a specific area of the brain where the seizures originate [4]. - **Brain imaging** is crucial to identify any **structural lesion** (e.g., tumor, malformation, stroke) corresponding to the clinically localized area of seizure onset [2].
Explanation: ***NCCT of the head*** - A **non-contrast CT scan of the head** is the immediate and most appropriate first imaging study for a suspected **subarachnoid hemorrhage (SAH)**, often presenting as the "worst headache of her life" [1]. - It can rapidly detect blood in the **subarachnoid space** with high sensitivity, particularly within the first 6-12 hours of symptom onset [1], [2]. *Vessel carotid Doppler* - **Carotid Doppler ultrasound** is primarily used to assess **carotid artery stenosis** or dissection, which would not be the initial investigation for a sudden severe headache [2]. - It does not visualize intracranial blood or vascular abnormalities within the brain parenchyma or subarachnspace. *No imaging* - Given the severe, abrupt onset "worst headache of her life," **subarachnoid hemorrhage (SAH)** is a critical differential, making no imaging an inappropriate and potentially dangerous choice. - Delaying imaging could lead to severe neurological consequences if SAH is missed. *MRI* - While **MRI** can detect SAH, it is generally less accessible, takes more time to perform, and is less suitable for the initial rapid assessment of **acute SAH** compared to NCCT [3]. - **MRI** is often used for follow-up evaluation or when CT findings are equivocal, but not as the first-line emergency investigation.
Explanation: ***NCCT*** - A **non-contrast CT (NCCT) scan of the brain** is the most crucial initial step to differentiate between **ischemic stroke** and **hemorrhagic stroke** [1]. - This distinction is vital because management, especially the use of thrombolytics or anticoagulants, differs significantly based on stroke type [1]. *Reduce BP* - While blood pressure management is important in stroke, immediate and aggressive lowering of BP in acute ischemic stroke can **worsen cerebral perfusion** and **increase infarct size**. - In hemorrhagic stroke, BP control is often necessary, but the decision to lower BP and by how much depends on the cause and extent of the bleed, and this can only be determined after imaging [1]. *MRI* - **MRI** is more sensitive for detecting acute ischemic changes than CT, especially in the posterior fossa [1]. - However, **MRI is not typically the first-line imaging** in an emergency setting for an acute stroke due to its longer acquisition time and potential contraindications (e.g., pacemakers, metallic implants) [1]. *Aspirin 300mg and anticoagulants* - These medications are indicated for **ischemic stroke** (aspirin is an antiplatelet, anticoagulants may be used in specific cases like cardioembolic stroke). - Administering these agents in the event of a **hemorrhagic stroke** would be contraindicated and could significantly worsen the bleeding, leading to severe neurological damage or death [1].
Explanation: Cerebral hamartoma - A cerebral hamartoma is a benign, tumor-like malformation of abnormally organized mature brain tissue; it is a developmental anomaly and not a complication of meningitis. - Unlike the other options, it does not represent an inflammatory, infectious, or pressure-related sequela of meningeal infection. Increased intracranial pressure - Increased intracranial pressure (ICP) is a common and serious complication of meningitis due to cerebral edema, hydrocephalus, or vasodilation. - Elevated ICP can lead to herniation, neurological deficits, and even death if not managed promptly. Brain abscess - A brain abscess is a localized collection of pus within the brain parenchyma that can develop as a focal complication of bacterial meningitis, particularly in cases of hematogenous spread or direct extension of infection [1]. - This serious condition causes focal neurological deficits and requires aggressive treatment. Subdural effusions - Subdural effusions are accumulations of sterile or infected fluid in the subdural space, most commonly seen in infants and young children with bacterial meningitis. - While they can be asymptomatic, large effusions may cause increased ICP or focal neurological signs requiring drainage.
Explanation: ***MRI*** - **MRI with DWI (Diffusion-Weighted Imaging) and contrast** is the **investigation of choice** for cerebral abscess due to its superior sensitivity and specificity. - It can detect **early cerebritis stage** before frank abscess formation, which CT may miss. - MRI provides excellent **characterization of the abscess capsule**, showing smooth, thin, hyperintense rim on T1-weighted images with contrast. - **DWI sequences** show restricted diffusion in the pus-filled cavity (bright on DWI, dark on ADC), which helps differentiate abscess from other ring-enhancing lesions like tumors or cysts. - Superior for detecting **small or multiple abscesses**, posterior fossa lesions, and brainstem involvement. *CT Scan* - **CT with contrast** is widely used as the **initial investigation** in emergency settings due to rapid availability and ability to quickly identify ring-enhancing lesions. - It effectively shows location, size, edema, and mass effect, and is useful for surgical planning. - However, it is **less sensitive than MRI** for early-stage abscesses, small lesions, and differentiating abscess from other pathologies. *Plain X-ray* - **Plain skull X-ray** has no role in diagnosing cerebral abscesses as it cannot visualize brain parenchyma or intracranial fluid collections. - It only shows bone abnormalities or calcifications, which are not diagnostic of acute abscess. *Ultrasound* - **Transcranial ultrasound** has very limited utility in adults due to the skull barrier; it may be used in neonates through the fontanelle or for intraoperative guidance. - Cannot provide the detailed anatomical and pathological information required for diagnosis of cerebral abscess in typical clinical practice.
Explanation: ***The appearance of the foot drop indicates consideration for earlier surgical intervention if conservative management fails.*** - The sudden onset of **foot drop** (weakness of dorsiflexion of the great toe, indicating L5 nerve root compression) in the context of acute low back pain represents a **significant motor deficit**. - While **cauda equina syndrome** (bladder/bowel dysfunction, saddle anesthesia) is an absolute indication for emergency surgery, **progressive or severe motor deficits** like foot drop warrant closer monitoring and consideration for **earlier surgical intervention** if there is no improvement with conservative management. - The typical approach is a trial of **4-6 weeks of conservative management** first, but the presence of foot drop may shorten this window if weakness progresses or fails to improve, as prolonged nerve compression can lead to permanent damage. - This differs from purely sensory radiculopathy or mild motor weakness, where longer conservative management is more appropriate. *If the neurological signs fail to resolve within 1 week, lumbar laminectomy and excision of any herniated nucleus pulposus should be done.* - A **1-week timeline** is too aggressive for routine motor deficits including foot drop, unless there is **rapidly progressive weakness** or cauda equina syndrome. - Standard practice involves **4-6 weeks** of conservative management before considering surgery for most cases of radiculopathy with motor involvement. *Immediate treatment should include analgesics, muscle relaxants, and back strengthening exercises.* - While **analgesics** and **muscle relaxants** are appropriate for immediate symptom relief, **back strengthening exercises** should NOT be initiated in the acute, painful phase with neurological deficits. - Initial treatment focuses on **rest, pain control**, and avoiding activities that worsen symptoms, followed by gradual physical therapy and rehabilitation after the acute phase. *If the neurological signs resolve within 2 to 3 weeks but low back pain persists, the proper treatment would include fusion of affected lumbar vertebrae.* - **Lumbar fusion** is a major surgical procedure reserved for **spinal instability**, **severe degenerative disease**, failed prior surgeries, or intractable pain unresponsive to extensive conservative measures. - It is NOT the standard treatment for persistent mechanical back pain after resolution of neurological deficits—**physical therapy**, activity modification, and other conservative measures are tried first.
Explanation: ***Vein of Galen formation*** - The clinical presentation of **failure to thrive**, **macrocephaly**, **bounding pulses**, **heart failure**, and a **loud cranial bruit** in an infant is highly characteristic of a **Vein of Galen malformation (VOGM)**. The image would show a dilated vein of Galen. - VOGMs are high-flow arteriovenous malformations that can lead to significant hemodynamic stress on the heart and hydrocephalus due to obstruction of CSF pathways. *Arachnoid cyst* - While arachnoid cysts can cause **macrocephaly** and, less commonly, obstructive hydrocephalus, they generally do not present with **heart failure**, **bounding pulses**, or a **cranial bruit**. - MRI would show a CSF-filled cyst that follows CSF signal on all sequences and typically does not enhance. *Arnold-Chiari malformation* - Arnold-Chiari malformations involve downward displacement of cerebellar tonsils or vermis through the foramen magnum and are associated with hydrocephalus, but they do not typically cause **heart failure**, **bounding pulses**, or a **cranial bruit**. - Clinical features usually relate to brain stem compression or hydrocephalus, such as apnea, stridor, or feeding difficulties. *Dandy-Walker syndrome* - Dandy-Walker syndrome is characterized by hypoplasia of the cerebellar vermis and cystic dilation of the fourth ventricle, often leading to **hydrocephalus** and **macrocephaly**. - However, it does not explain the **bounding pulses**, **heart failure**, or **cranial bruit** seen in this patient, which point to a vascular anomaly.
Explanation: ***Basilar Artery Tip Aneurysm*** - Aneurysmal rupture at the **basilar artery tip** can directly lead to bleeding into the **fourth ventricle** due to its anatomical proximity to the brainstem and ventricular system. - The basilar artery bifurcates at the tip into the posterior cerebral arteries, lying anterior to the pons and close to the floor of the fourth ventricle. *Posterior Inferior Cerebellar Artery Aneurysm* - Rupture of a **PICA aneurysm** typically causes bleeding in the cerebellopontine angle cistern or directly into the fourth ventricle, but is less common for isolated intraventricular hemorrhage compared to basilar tip. - PICA supplies the posterior inferior cerebellum and lower brainstem, and its rupture is more often associated with posterior fossa hemorrhage. *Anterior Communicating Artery Aneurysm* - Rupture of an **anterior communicating artery (ACOM) aneurysm** commonly results in **interhemispheric hemorrhage** and often causes blood in the lateral ventricles. - Due to its anterior location, it is anatomically unlikely to cause isolated bleeding in the **fourth ventricle**. *Posterior Communicating Artery Aneurysm* - Rupture of a **posterior communicating artery (PCOM) aneurysm** typically leads to subarachnoid hemorrhage around the **chiasmatic cisterns** and sylvian fissures. - While it is part of the posterior circulation, its rupture is less likely to result in isolated fourth ventricular hemorrhage compared to a basilar tip aneurysm.
Get full access to all questions, explanations, and performance tracking.
Start For Free