A patient involved in a Road Traffic Accident (RTA) presents with: - Absent air entry on the left side of the chest. - Tenderness in the left lower chest wall. What is the next step in the Emergency Medicine Room (EMR) management?
Which structure is most likely injured in a 25-year-old man with a bullet wound in the neck, resulting in a tension pneumothorax and collapse of the right lung?
Which of the following statements about chest trauma is/are FALSE?
Investigation of choice for diagnosis of splenic rupture –
Most sensitive investigation for abdominal trauma in a hemodynamically stable patient is-
A patient of road traffic accident presents to the emergency with increasing restlessness and difficulty in breathing. The respiratory rate is 26 breaths/minute; there are distended neck veins; trachea is deviated to the right side with hyper-resonant note and absence of breath sounds on the left side. Which of the following statements are correct? 1. The most probable clinical diagnosis is left tension pneumothorax 2. Immediate chest decompression using wide bore cannula in left 2nd intercostal space is to be done 3. Immediate chest X-ray should be done to confirm the clinical diagnosis 4. Definitive chest tube insertion in left fifth intercostal space should be done
What is the primary imaging modality used for diagnosing urethral trauma?
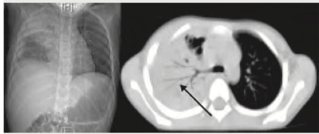
What does this CT chest image show?

A chest CT shows 'signet ring' sign. Which additional finding would best support bronchiectasis?
The flow of Barium across the mucosal surface is highly irregular and is seen in which of the following conditions?
Explanation: ***X-ray*** - In a **hemodynamically stable** patient with absent air entry and chest wall tenderness post-RTA, a **chest X-ray** is the most appropriate initial imaging in the EMR. - It quickly diagnoses conditions like **pneumothorax**, **hemothorax**, or **rib fractures** and guides management decisions. - **Important**: Clinical assessment for **tension pneumothorax** (hypotension, tracheal deviation, distended neck veins) must be done first. If tension pneumothorax is suspected, **immediate needle decompression** is required without waiting for imaging. - X-ray is **rapidly available** and provides crucial information for trauma management in stable patients. *FAST* - **Focused Assessment with Sonography for Trauma (FAST)** is primarily used to detect **intra-abdominal free fluid** (hemoperitoneum) or pericardial effusion in trauma. - While valuable in RTA evaluation, it is not the primary diagnostic tool for absent air entry in the chest. - FAST has limited sensitivity for **pneumothorax** and does not visualize **rib fractures** in detail. *DPL* - **Diagnostic Peritoneal Lavage (DPL)** is an invasive procedure used to detect **intra-abdominal injury** and hemorrhage. - It has largely been replaced by FAST and CT scans due to its invasive nature and lower specificity. - DPL provides **no information about chest injuries** and is irrelevant for evaluating absent air entry. *CT* - A **CT scan** (chest CT) provides highly detailed imaging and is excellent for diagnosing specific chest injuries. - However, it is **time-consuming**, requires patient transport, and is typically reserved for **stable patients** after initial X-ray assessment. - In the immediate EMR setting, X-ray is preferred for rapid decision-making, with CT used for further evaluation if needed.
Explanation: ***Cupula*** - The **cupula** (or cervical pleura) extends into the root of the neck, superior to the first rib, making it vulnerable to neck injuries [1]. - A penetrating injury to this region can directly damage the pleura, leading to **pneumothorax** and subsequent lung collapse [1]. *Costal pleura* - The **costal pleura** lines the inner surface of the thoracic wall and would primarily be affected by injuries directly to the chest wall, not the neck [1]. - Injury to this part of the pleura is less likely to result from a **neck wound** causing a pneumothorax unless the wound extended significantly downwards. *Right mainstem bronchus* - The **right mainstem bronchus** is located deep within the mediastinum and would typically require a much deeper and more centrally located injury to be affected. - While mainstem bronchial injuries can cause **pneumothorax**, a bullet wound in the neck is less likely to reach this structure without causing more extensive mediastinal damage. *Right upper lobe bronchus* - The **right upper lobe bronchus** is also situated within the mediastinum, deep to the pleura and lung parenchyma. - An isolated injury to this bronchus from a neck wound is unlikely; simpler, more superficial structures like the **cupula** are more probable targets.
Explanation: ***All of the options are false statements*** - All three statements (A, B, C) represent false or overgeneralized assertions about chest trauma management, making "All of the options" the correct identification that these are ALL false statements. - Proper chest trauma management requires individualized clinical judgment rather than absolute rules. *ECG done in all cases a/w sternal fracture - FALSE* - While sternal fractures can be associated with underlying cardiac injury (myocardial contusion, arrhythmias), **ECG is NOT routinely performed in ALL cases**. - ECG is indicated when there is clinical suspicion of cardiac injury (chest pain, arrhythmia, hemodynamic instability, or high-energy mechanism). - Many sternal fractures are isolated injuries without cardiac involvement, especially in stable patients. *Under water seal drainage in all cases a/w pneumothorax and X-ray chest investigation of choice - FALSE* - **Chest tube drainage is NOT required for all pneumothoraces**: Small (<20%), asymptomatic, stable pneumothoraces can be managed with observation and supplemental oxygen. - While **chest X-ray is the standard initial investigation**, **CT scan of the chest** is more sensitive for detecting pneumothorax and associated injuries in trauma settings, making it increasingly the investigation of choice in polytrauma. *Urgent surgery needed in all cases - FALSE* - The vast majority (85-90%) of chest trauma cases are **managed non-operatively** with supportive care, analgesia, chest physiotherapy, and monitoring. - **Thoracotomy is indicated** in specific situations: massive hemothorax (>1500 mL initial or >200 mL/hr ongoing), cardiac tamponade, great vessel injury, or major tracheobronchial disruption—not in all cases.
Explanation: **CT scan** - A **CT scan** with intravenous contrast is the investigation of choice for splenic rupture due to its high sensitivity and specificity in detecting **splenic injury**, **hematomas**, and **free intraperitoneal fluid**. - It provides detailed anatomical information, crucial for grading the injury and guiding management decisions, especially in hemodynamically stable patients. *MRI* - **MRI** offers excellent soft tissue contrast, but it is **time-consuming** and often **not readily available** in emergency settings for acute trauma. - It is typically reserved for more chronic or complex cases where detailed soft tissue characterization is not immediately needed in acute trauma. *Peritoneal lavage* - **Diagnostic peritoneal lavage (DPL)** is an **invasive procedure** that is less specific than imaging for diagnosing splenic rupture. - It detects the presence of **intraperitoneal bleeding** but does not localize the injury or provide information about the extent of organ damage. *Ultrasound* - **Ultrasound (FAST exam)** is a rapid, non-invasive tool for detecting **free fluid** in the abdomen but has limited sensitivity for directly visualizing the spleen or accurately grading splenic injuries. - While useful for rapid assessment of **hemodynamically unstable** patients, a **negative FAST exam does not rule out splenic injury**, especially in stable patients.
Explanation: ***CT Scan (Computed Tomography)*** - **CT scans** offer superior anatomical detail and can accurately detect organ damage, hemorrhage, and other injuries in **hemodynamically stable** patients with abdominal trauma. - It is considered the **most sensitive** and specific imaging modality for evaluating blunt and penetrating abdominal trauma when the patient can tolerate the study. *Ultrasonography (FAST)* - While effective for detecting **free fluid** (blood) in specific abdominal areas, **Focused Assessment with Sonography for Trauma (FAST)** has lower sensitivity for solid organ injuries or bowel perforations. - Its primary role is rapid assessment for **hemoperitoneum** to guide immediate management in unstable patients, not detailed injury characterization. *Diagnostic peritoneal lavage (DPL)* - **DPL** is an invasive procedure with high sensitivity for detecting **intraperitoneal bleeding**, but it does not identify specific organ injuries or retroperitoneal hemorrhage. - It is rarely used in hemodynamically stable patients due to its invasiveness and the availability of more detailed imaging techniques. *MRI (Magnetic Resonance Imaging)* - **MRI** provides excellent soft tissue contrast but is typically too **time-consuming** and less accessible in urgent trauma settings compared to CT. - It's generally not the first-line investigation for acute abdominal trauma due to motion artifacts and limited utility in detecting air or bone injuries.
Explanation: ***1, 2 and 4*** - The clinical presentation with **increasing restlessness**, **difficulty in breathing**, **distended neck veins**, **tracheal deviation away from the affected side** (to the right for a left-sided collection), **hyper-resonant note**, and **absent breath sounds on the left** is pathognomonic for **left tension pneumothorax** (Statement 1 is correct). - **Immediate needle decompression** with a wide-bore cannula in the **2nd intercostal space** along the mid-clavicular line on the affected side is a **life-saving intervention** that must be performed immediately (Statement 2 is correct). - After needle decompression, **definitive chest tube insertion** in the **5th intercostal space** (mid-axillary line) should be performed (Statement 4 is correct). - Statement 3 is **incorrect** because tension pneumothorax is a **clinical diagnosis** requiring immediate treatment without delaying for imaging, which could be fatal. *2, 3 and 4* - This combination is incorrect because Statement 3 is wrong. - **Immediate chest X-ray should NOT be done** for suspected tension pneumothorax as it is a **clinical emergency** requiring immediate decompression without delay for imaging. - Statement 1 (the correct diagnosis) is also missing from this option. *1, 2 and 3* - This combination is incorrect because Statement 3 is wrong. - **Delaying treatment to obtain imaging** can be **fatal** due to cardiovascular collapse from mediastinal shift and impaired venous return. - Statement 4 (definitive chest tube insertion) is also missing from this option. *1, 3 and 4* - This combination is incorrect because Statement 3 is wrong. - The diagnosis is **clinical**, and treatment (needle decompression - Statement 2) should be initiated immediately to prevent hemodynamic compromise and death. - Statement 2 (immediate needle decompression) is also missing from this option.
Explanation: ***Ascending urethrogram*** - An **ascending urethrogram** (also known as a retrograde urethrogram) is the **gold standard** for diagnosing urethral trauma. - It involves injecting contrast material directly into the urethra to visualize its integrity and identify any extravasation, strictures, or ruptures. *Descending urethrogram* - A descending urethrogram (or voiding cystourethrogram) is primarily used to evaluate the **bladder and urethra during urination**, often for vesicoureteral reflux or bladder neck dysfunction. - It is not the primary diagnostic tool for acute urethral trauma, as it requires the patient to void, which might be painful or difficult with an injured urethra. *USG* - **Ultrasound** (USG) can be used to assess the presence of peri-urethral hematomas or fluid collections but is generally **not sufficient to definitively diagnose urethral integrity** or the exact location and extent of a tear. - Its utility in urethral trauma is limited compared to direct contrast imaging of the urethra. *CT scan* - A **CT scan** of the pelvis can identify associated injuries, such as **pelvic fractures** or hematomas, that often accompany urethral trauma. - However, it is **less sensitive for direct visualization of the urethral lumen** and diagnosing the extent of a urethral injury compared to an ascending urethrogram.
Explanation: ***Segmental collapse*** - The CT image shows loss of lung volume in a specific segment, indicated by the **crowding of bronchi and vessels in the affected area**, which is suggestive of atelectasis or collapse. - The black arrow points to the collapsed segment, which appears as a **densified, airless region within the lung parenchyma**, consistent with segmental collapse. *Consolidation* - **Consolidation** typically presents as an area of increased opacification due to alveolar filling with exudate or fluid, but without significant loss of lung volume. - Unlike collapse, consolidation generally **retains the lung architecture** and does not show crowding of vessels and bronchi. *Pneumothorax* - A **pneumothorax** is characterized by the presence of air in the pleural space, which would appear as a dark, air-filled space between the lung and the chest wall. - This typically leads to a **collapsed lung that is displaced medially** and no longer touches the chest wall, which is not seen here. *Pleural effusion* - **Pleural effusion** is the accumulation of fluid in the pleural space, presenting as a homogenous, gravity-dependent opacity that obscures lung parenchyma. - It would typically cause **blunting of the costophrenic angles** and a meniscus sign, which are not the primary findings indicated by the arrow.
Explanation: ***Tramline shadowing*** - This refers to parallel opacities outlining dilated and thickened bronchial walls, which are a direct morphological correlate of **bronchiectasis**. - It is a classic radiological sign seen on chest X-rays and CT scans, representing the thickened bronchial walls viewed on edge. - This is the **most specific additional finding** for confirming bronchiectasis alongside the signet ring sign. *Ground glass opacity* - This describes a hazy increase in lung attenuation with preservation of bronchial and vascular margins, often seen in conditions like **pneumonitis**, **pulmonary edema**, or **alveolar hemorrhage**. - It does not specifically indicate bronchial dilation or thickening and is not characteristic of bronchiectasis. *Tree-in-bud pattern* - This pattern consists of centrilobular nodules with branching linear opacities, representing dilated and inspissated bronchioles filled with mucus or inflammatory material. - It is commonly **seen in bronchiectasis**, especially when complicated by infection, and indicates **endobronchial spread** (often mycobacterial infection or bacterial colonization). - However, tree-in-bud reflects **small airway involvement** rather than the larger bronchial dilation itself, making tramline shadowing a more direct indicator of bronchiectasis. *Honeycomb pattern* - This describes thick-walled cystic spaces grouped together with shared walls, typically associated with **end-stage interstitial lung disease** and pulmonary fibrosis. - It represents irreversible lung damage and architectural distortion, not the bronchial wall thickening and dilation seen in bronchiectasis.
Explanation: ***Candida esophagitis*** - **Candida esophagitis** often presents with a characteristic imaging finding called a "**shaggy esophagus**" on barium swallow studies. - This "shaggy" appearance is due to the irregular adherence of barium to the **candidal plaques and pseudomembranes** on the esophageal mucosa, leading to an irregular flow pattern. *Esophageal cancer* - Esophageal cancer typically appears as a **filling defect**, stricture, or focal irregularity with **shouldering** or mucosal nodularity on barium studies. - The barium flow would be obstructed or narrowed, but usually not described as "highly irregular" across the entire mucosal surface in the same diffuse manner as Candida. *Esophageal varices* - Esophageal varices appear as **snake-like** or **serpiginous filling defects** that are typically longitudinal and alter with respiration, giving a "rosary bead" appearance. - While they cause irregularities, the description of "highly irregular flow across the mucosal surface" is not the primary way varices are characterized on barium studies. *Reflux esophagitis* - Reflux esophagitis can show mild mucosal irregularities, thickening of folds, or strictures, especially in chronic cases. - However, the irregular barium flow from diffuse mucosal plaque adherence characteristic of Candida is not a typical finding in reflux esophagitis.
Get full access to all questions, explanations, and performance tracking.
Start For Free