Anterior Mediastinal nodes are included in which level of lymph nodes?
This 23-year-old man was involved in a motor vehicle accident. He presents with shortness of breath and chest pain. On examination, there is decreased breath sound on the right side and subcutaneous emphysema. Chest X-ray shows a deep, lucent right costophrenic angle. What is the diagnosis?
Blunt trauma to right side of chest, hyperresonance on right side on percussion, dyspnea, tachypnea. Heart rate-100, BP-120/80, best initial diagnostic step is
Which of the following statements regarding axillary lymph nodes is incorrect?
PA view of chest X-ray is given here. What is the diagnosis?

The following are direct signs of lung collapse seen on a chest X-ray, which one of the following is NOT a direct sign?
A 60-year-old woman presents with a history of smoking and cough. Chest X-ray shows a solitary pulmonary nodule. Which of the following is the most appropriate next step in management?
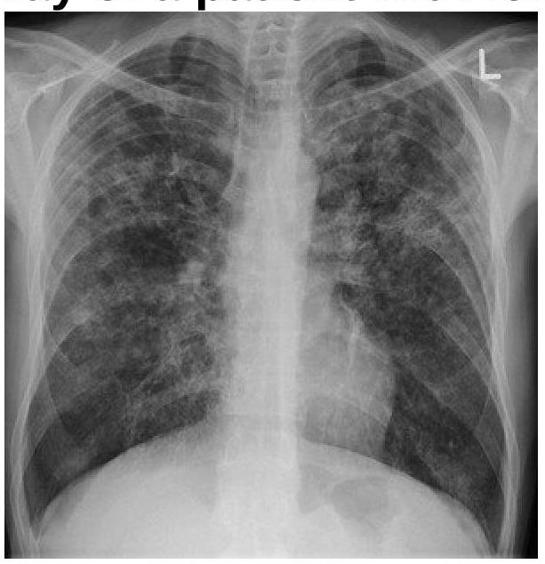
Identify the most likely diagnosis based on the chest X-ray findings in a patient with low-grade fever.

On CT chest, the 'halo sign' is particularly associated with which condition in immunocompromised patients?
A chest X-ray shows bilateral lung infiltrates. What is the next best investigation?
Explanation: ***VI*** - Level VI lymph nodes are the **prevascular and retrotracheal nodes** located in the **anterior mediastinum** [1]. - According to the **IASLC (International Association for the Study of Lung Cancer)** lymph node mapping system, Level 6 nodes are specifically classified as anterior mediastinal nodes [1]. - These include nodes anterior to the superior vena cava and ascending aorta, and nodes between the trachea and esophagus [1]. *I* - Level I lymph nodes are located in the **low cervical, supraclavicular, and sternal notch** regions. - These are **extra-thoracic nodes** and not part of the mediastinal compartments. - They represent the highest mediastinal, supraclavicular, and sternal notch nodes [1]. *V* - Level V lymph nodes are the **subaortic (aortopulmonary window)** nodes [1]. - These are located in the space between the **aorta and pulmonary artery**, lateral to the ligamentum arteriosum [1]. - While mediastinal, they are specifically in the aortopulmonary window, not classified as anterior mediastinal. *VII* - Level VII lymph nodes are the **subcarinal nodes** located below the carina in the **middle mediastinum** [1]. - These nodes are positioned in the space beneath where the trachea bifurcates into the main bronchi [1]. - They are classified as middle mediastinal nodes, not anterior mediastinal nodes.
Explanation: ***Pneumothorax*** - The combination of **shortness of breath**, **chest pain**, **decreased breath sounds** on the affected side, **subcutaneous emphysema**, and a **deep, lucent costophrenic angle** on X-ray (sulcus sign) are classic findings for a pneumothorax, where air accumulates in the pleural space. - The "deep sulcus" sign on a supine chest X-ray indicates air collecting in the **costophrenic recess**, a common presentation of pneumothorax in trauma patients. *Cardiac rupture* - **Cardiac rupture** typically presents with signs of **cardiac tamponade** (e.g., muffled heart sounds, hypotension, distended neck veins), which are not described. - While life-threatening, it doesn't cause decreased breath sounds or a deep costophrenic angle on CXR. *Diaphragmatic rupture* - **Diaphragmatic rupture** can cause shortness of breath and chest pain but would typically involve **herniation of abdominal contents** into the chest, which would be visible on X-ray and is not suggested by the "deep sulcus" sign. - Subcutaneous emphysema is also not a primary feature of diaphragmatic rupture. *Aortic dissection* - **Aortic dissection** causes severe, tearing **chest pain** often radiating to the back, and can lead to pulse deficits or neurological symptoms. - It does not typically cause decreased breath sounds, subcutaneous emphysema, or a deep costophrenic angle, but rather abnormalities in the **aortic contour** on imaging.
Explanation: ***Chest Xray*** - The symptoms (blunt chest trauma, dyspnea, tachypnea, hyperresonance on percussion) are highly suggestive of a **pneumothorax**. - A **Chest X-ray** is the **best initial diagnostic step** to confirm the diagnosis, determine its size, and rule out other life-threatening conditions like hemothorax or tension pneumothorax. *Needle decompression* - This is a **therapeutic intervention** for a **tension pneumothorax**, not a diagnostic step. - While the symptoms are concerning, without confirmation of a tension pneumothorax (e.g., severe hypotension, tracheal deviation, absent breath sounds), empirical needle decompression is not the first step. *O2 inhalation* - **Oxygen administration** is a supportive measure for dyspnea and hypoxemia but does not diagnose the underlying cause of the respiratory distress. - While often given immediately, it's not the primary diagnostic step to understand the chest injury. *IV fluids* - **Intravenous fluids** are used to manage hypovolemia or shock, which is not indicated by the patient's current stable blood pressure (120/80 mmHg). - There is no clinical evidence of significant blood loss or dehydration from the provided information to warrant IV fluids as the best initial step.
Explanation: ***Lateral group lies along lateral thoracic vessels*** - The **lateral group** of axillary lymph nodes is located along the **axillary vein**, receiving lymph primarily from the upper limb [1]. - The **lateral thoracic vessels** are associated with the central and posterior groups of axillary lymph nodes, not the lateral group. *Posterior group lies along subscapular vessels* - The **posterior (subscapular) group** of axillary lymph nodes is indeed located along the **subscapular vessels**. - This group receives lymph from the posterior wall of the trunk and the posterior shoulder region. *Apical group is terminal lymph nodes* - The **apical group** (also known as the subclavian group) is considered the **terminal lymph nodes** of the axilla. - Lymph from all other axillary nodes eventually drains into the apical group before continuing to the supraclavicular nodes and then into the subclavian lymphatic trunk [2]. *Apical group lies along axillary vessels* - The **apical group** of axillary lymph nodes is situated in the apex of the axilla, superior to the pectoralis minor muscle, and lies in close proximity to the **axillary vessels** [1]. - This location allows it to receive lymph from other axillary groups and drain into the supraclavicular lymph nodes.
Explanation: ***Right Pneumothorax with left tracheal shift*** - The image shows a large **radiolucency (black area) on the right side** of the chest, indicative of **air in the pleural space**, consistent with a **right-sided pneumothorax**. - The **trachea is shifted towards the left** (away from the pneumothorax), which is the **expected finding** in pneumothorax due to increased pressure in the right pleural space pushing mediastinal structures to the contralateral side. - In pneumothorax, the trachea and mediastinum shift **away from** the affected side due to the pressure effect of air accumulation in the pleural cavity. - This **contralateral tracheal deviation** is a classic radiological sign of pneumothorax and helps confirm the diagnosis. *Right Pneumothorax with right tracheal shift* - While the **right pneumothorax** is correctly identified, the tracheal shift direction is incorrect. - In pneumothorax, the trachea shifts **away from** the affected side (contralateral), not toward it (ipsilateral). - **Ipsilateral tracheal shift** would suggest volume loss (atelectasis) or lung collapse, not pneumothorax alone. *Left Pneumothorax with right tracheal shift* - The pneumothorax is clearly on the **right side**, not the left. - The radiolucency and absent lung markings are visible on the right hemithorax. - A left pneumothorax would show these findings on the left side. *Left Pneumothorax with left tracheal shift* - There is **no pneumothorax on the left side** of the chest. - The left lung shows normal vascular markings and no evidence of pleural air. - This combination would be medically implausible as it suggests pneumothorax with ipsilateral shift.
Explanation: ***Mediastinal shift*** - While mediastinal shift can occur with lung collapse, it is an **indirect sign** caused by the volume loss in the affected hemithorax, pulling the mediastinum towards the collapsed lung. - Direct signs refer to changes observed *within* the collapsed lung tissue itself, such as increased density or displaced structures, whereas mediastinal shift is a secondary effect. *Crowding of the vessels* - This is a **direct sign** of lung collapse, as the pulmonary vessels become compacted due to the loss of lung volume. - The vessels appear closer together and more prominent in the area of collapse. *Loss of aeration* - This is a **direct sign** of lung collapse, as air is expelled or resorbed from the affected lung tissue, leading to increased opacity. - The collapsed lung appears denser and whiter on the X-ray compared to normally aerated lung. *Displacement of the fissure* - This is a **direct sign** of lung collapse, as the interlobar fissures are pulled towards the collapsed lobe due to volume loss. - The displacement of the fissure indicates the location and extent of the collapse.
Explanation: ***CT scan of the chest*** - A **CT scan** provides a more detailed imaging of the nodule, allowing for better characterization of its size, shape, margins, and density (e.g., calcifications). - This information helps in determining the likelihood of **malignancy** and guiding further management decisions, such as surveillance or biopsy. *Sputum cytology* - **Sputum cytology** has a low diagnostic yield for solitary pulmonary nodules, especially if the nodule is not centrally located or cavitating. - It is more useful for diagnosing **central airway lesions** or widespread pulmonary infiltrates rather than discrete nodules. *Bronchoscopy* - **Bronchoscopy** is generally considered after a CT scan has provided more detailed information about the nodule's location and characteristics. - Its utility in diagnosing a **solitary pulmonary nodule** depends on the nodule's size and proximity to the bronchial tree; peripheral nodules may be difficult to reach. *PET scan* - A **PET scan** is typically used to assess the metabolic activity of a nodule and for staging once malignancy is suspected or confirmed. - It is usually performed **after a CT scan** to characterize the nodule's features, especially if the nodule is indeterminate after initial imaging.
Explanation: ***Miliary TB*** - The chest X-ray shows diffuse, small, uniformly distributed nodular opacities (2-3 mm in diameter) bilaterally, characteristic of "**millet seed**" pattern seen in **miliary tuberculosis**. - This pattern results from the hematogenous spread of *Mycobacterium tuberculosis* throughout the lungs, often presenting with **low-grade fever** and constitutional symptoms. *ILD* - **Interstitial lung disease (ILD)** typically shows reticular, nodular, or ground-glass opacities, sometimes with honeycombing, but the pattern is usually more heterogeneous and often basal or peripheral, unlike the uniform fine nodularity seen here. - While some ILDs can present with diffuse nodular patterns, the clinical context of **fever** and the classic "millet seed" appearance are more indicative of miliary TB. *Bronchopneumonia* - **Bronchopneumonia** presents as patchy, often ill-defined, multifocal areas of opacification or consolidation, usually distributed around the bronchi. - It does not typically cause the fine, diffuse, and uniform nodular pattern seen in this image, which represents widespread interstitial or alveolar involvement rather than primarily bronchial inflammation. *Consolidation* - **Consolidation** appears as a homogeneous opacification that obliterates vessels and airway walls, often with air bronchograms, typically confined to a lobe or segment. - The image shows diffuse nodular infiltrates rather than large, confluent areas of homogeneous opacification, making isolated consolidation an unlikely primary description.
Explanation: ***Invasive pulmonary aspergillosis*** - The **halo sign** on CT chest, characterized by a ground-glass opacity surrounding a nodule, is a classic radiographic finding in **invasive pulmonary aspergillosis**, especially in immunocompromised patients. - This sign represents hemorrhage around the fungal nodule and indicates active tissue invasion by *Aspergillus* species. *Pulmonary hydatid cyst* - Hydatid cysts are typically well-defined, thin-walled cystic lesions, often displaying the **water lily sign** if complicated by rupture, which is different from the halo sign. - These cysts are caused by the larval stage of *Echinococcus granulosus* and are not associated with a peripheral ground-glass opacity. *Round pneumonia* - Round pneumonia is a localized, **spherical consolidation** often seen in children, which does not typically exhibit the perilesional ground-glass opacity characteristic of the halo sign. - It usually represents bacterial infection and resolves with antibiotics, unlike the invasive fungal disease suggested by the halo sign. *Bronchiectasis* - Bronchiectasis is characterized by **irreversible dilation of the bronchi**, often appearing as "tram-track" opacities or "signet ring" signs on CT. - It is a chronic condition related to airway damage and mucus retention, and not associated with acute nodular lesions or the halo sign.
Explanation: ***CT*** - A **CT scan (preferably HRCT)** provides a more detailed view of the lung parenchyma, allowing for better characterization of the infiltrates (e.g., location, pattern, presence of nodules, ground-glass opacities, or consolidation). - This detailed imagery is crucial for narrowing down the differential diagnosis and guiding further diagnostic or therapeutic interventions. - **CT is the best next investigation** for characterizing bilateral lung infiltrates seen on chest X-ray. *Sputum examination* - While important for identifying infectious causes, **sputum examination** is often only productive in certain types of pneumonia or infections and might not directly clarify the morphology or distribution of the infiltrates as a CT scan would. - It might be a subsequent step once the nature of the infiltrate is better understood through imaging. *Bronchoscopy* - **Bronchoscopy** is an invasive procedure generally reserved for cases where less invasive methods have failed to yield a diagnosis or when specific findings from imaging (like a CT scan) suggest the need for direct visualization, lavage, or biopsy. - It's not typically the immediate next step after identifying bilateral infiltrates on a chest X-ray. *Echocardiography* - **Echocardiography** is useful for evaluating cardiac causes of bilateral infiltrates (such as pulmonary edema from heart failure). - However, it does not directly visualize or characterize the lung parenchymal infiltrates themselves, making CT more valuable as the next investigation.
Get full access to all questions, explanations, and performance tracking.
Start For Free