Anterior Mediastinal nodes are included in which level of lymph nodes?
Which marker is used to differentiate a thymoma from acute lymphoblastic leukemia (ALL)?
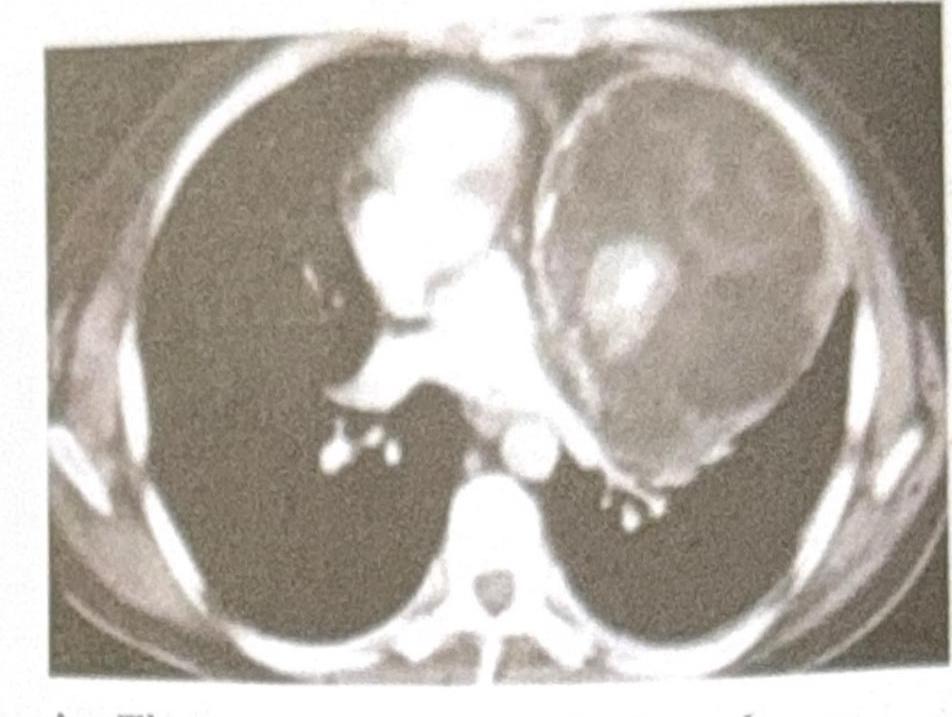
A 25-year-old male presents with chest pain and shortness of breath. A CT scan of the chest is performed, and the image provided shows a large, well-defined mass in the anterior mediastinum. The mass contains both cystic and solid components, along with areas of calcification. Based on the clinical presentation and imaging findings, what is the most likely diagnosis?

Which of the following is an anterior mediastinal tumor?
The most common tumor in the posterior mediastinum is:
Hamman's sign is seen in which of the following conditions?
Which of the following presents as mediastinal enlargement?
What is the most common tumor of the mediastinum?
The following are direct signs of lung collapse seen on a chest X-ray, which one of the following is NOT a direct sign?
Characteristic radiographic appearance of aortitis is:
Explanation: ***VI*** - Level VI lymph nodes are the **prevascular and retrotracheal nodes** located in the **anterior mediastinum** [1]. - According to the **IASLC (International Association for the Study of Lung Cancer)** lymph node mapping system, Level 6 nodes are specifically classified as anterior mediastinal nodes [1]. - These include nodes anterior to the superior vena cava and ascending aorta, and nodes between the trachea and esophagus [1]. *I* - Level I lymph nodes are located in the **low cervical, supraclavicular, and sternal notch** regions. - These are **extra-thoracic nodes** and not part of the mediastinal compartments. - They represent the highest mediastinal, supraclavicular, and sternal notch nodes [1]. *V* - Level V lymph nodes are the **subaortic (aortopulmonary window)** nodes [1]. - These are located in the space between the **aorta and pulmonary artery**, lateral to the ligamentum arteriosum [1]. - While mediastinal, they are specifically in the aortopulmonary window, not classified as anterior mediastinal. *VII* - Level VII lymph nodes are the **subcarinal nodes** located below the carina in the **middle mediastinum** [1]. - These nodes are positioned in the space beneath where the trachea bifurcates into the main bronchi [1]. - They are classified as middle mediastinal nodes, not anterior mediastinal nodes.
Explanation: ***Cytokeratin*** - **Thymomas** are epithelial tumors and express **cytokeratin**, which is a marker for epithelial cells, while **ALL** (Acute Lymphoblastic Leukemia) does not express this marker. - The presence of **cytokeratin** indicates a **thymic origin**, differentiating it from lymphoid neoplasms like **ALL**. *CD1a* - This marker is primarily associated with **Hodgkin's lymphoma** and some **T-cell neoplasms**, not thymomas [2]. - The lack of expression in **ALL** makes it an unsuitable differentiator for thymomas. *Tdt* - **Tdt** (Terminal deoxynucleotidyl transferase) is a marker typically found in lymphoid progenitor cells, especially in **ALL**. - Its presence would not indicate a **thymoma**, which does not express **Tdt**. *CD3* - While **CD3** is a marker of **T-cells** [2], it is not specific for thymomas, which can be **CD3-positive**, but it is also seen in various **lymphoid proliferations** including **ALL** [1]. - Therefore, it cannot be definitively used to distinguish between a thymoma and **ALL**. **References:** [1] Kumar V, Abbas AK, et al.. Robbins and Cotran Pathologic Basis of Disease. 9th ed. Diseases of White Blood Cells, Lymph Nodes, Spleen, and Thymus, pp. 599-600. [2] Kumar V, Abbas AK, et al.. Robbins and Cotran Pathologic Basis of Disease. 9th ed. Diseases of White Blood Cells, Lymph Nodes, Spleen, and Thymus, p. 598.
Explanation: ***Teratoma*** - The presence of a **well-defined anterior mediastinal mass** with **cystic and solid components** and **calcifications** is highly characteristic of a teratoma. - Teratomas are **germ cell tumors** containing tissues derived from all three embryonic germ layers, which explains their varied composition on imaging. *Thymoma* - While thymomas are common in the **anterior mediastinum**, they typically present as **solid masses** and calcifications are less common. - They are often associated with paraneoplastic syndromes like **myasthenia gravis**, which is not mentioned in this case. *Lymphoma* - Lymphoma in the anterior mediastinum often presents as a **lobulated, homogeneous mass**, and can be associated with **lymphadenopathy** elsewhere. - While it can be large, the specific features of cystic components and calcification are less typical for lymphoma. *Bronchogenic cyst* - Bronchogenic cysts are typically **unilocular, fluid-filled cystic lesions** and are usually found in the middle mediastinum or adjacent to the trachea/main bronchi. - They rarely contain significant solid components or calcifications, unlike the described mass.
Explanation: ***Thymoma*** - **Thymomas** originate from the **thymus gland**, which is located in the **anterior mediastinum** [1]. - They are the **most common primary tumor** of the anterior mediastinum in adults and can be associated with **myasthenia gravis** (30-50% of cases) [1]. - Thymoma is the classic anterior mediastinal tumor and the most frequent solid mass in this compartment [1]. *Lymphoma* - **Lymphoma** (particularly **Hodgkin lymphoma** and **primary mediastinal B-cell lymphoma**) is also a well-recognized **anterior mediastinal tumor** [1]. - It represents the second most common cause of anterior mediastinal masses, especially in younger patients [1]. - The mnemonic "4 T's" of anterior mediastinum includes "Terrible lymphoma" alongside Thymoma, Thyroid, and Teratoma [1]. - While both thymoma and lymphoma can occur in the anterior mediastinum, **thymoma is the most common primary tumor** in this location [1]. *Aortic aneurysm* - An **aortic aneurysm** is an abnormal dilatation of the **aorta**, which is situated in the **middle and posterior mediastinum**. - It is a vascular pathology, not a tumor, and does not arise from the anterior mediastinal compartment. *Bronchogenic cyst* - **Bronchogenic cysts** are congenital foregut malformations typically found in the **middle mediastinum**, often near the carina or main bronchi. - They are fluid-filled developmental anomalies, not solid tumors of the anterior compartment.
Explanation: ***Schwannoma*** - **Schwannomas** are **neurogenic tumors** that arise from the **nerve sheaths** and are the most common type of tumor found in the **posterior mediastinum**. - They account for about **20% of all mediastinal tumors** and usually present as a solitary, well-defined mass. *Lymphoma* - Lymphomas are more commonly found in the **anterior** or **middle mediastinum**, often presenting as multiple enlarged lymph nodes. - While they can occur in the posterior mediastinum, they are **not the most common primary tumor type** in this location. *Teratoma* - **Teratomas** are **germ cell tumors** and are predominantly found in the **anterior mediastinum**. - They contain tissue from all three germ layers and can be benign or malignant, often presenting with calcifications or fat. *Bronchogenic cyst* - **Bronchogenic cysts** are **congenital cysts** derived from abnormal budding of the tracheobronchial tree, usually located in the **middle mediastinum** or intraparenchymally. - While they can occasionally be found in the posterior mediastinum, they are developmental anomalies rather than primary tumor types and are less common than neurogenic tumors.
Explanation: ***Oesophageal perforation*** - **Hamman's sign** is a classic auscultatory finding of a crunching, rasping sound synchronous with the heartbeat, indicative of **mediastinal emphysema** (air in the mediastinum). - Oesophageal perforation allows air to escape into the mediastinum, leading to mediastinal emphysema and thus Hamman's sign. *Acute oesophagitis* - This condition involves inflammation of the oesophagus, often causing symptoms like **dysphagia** and **odynophagia**. - It typically does not involve air leakage into the mediastinum, and therefore, **Hamman's sign is not expected**. *Corrosive burns of oesophagus* - Corrosive injuries cause chemical burns to the oesophageal lining, leading to inflammation, strictures, or in severe cases, perforation. - While perforation is a possibility in severe cases, the primary presentation is typically related to direct tissue damage and inflammation, not consistently with **mediastinal emphysema** unless perforation has occurred. *Benign strictures of oesophagus* - Benign strictures are narrowings of the oesophagus, usually caused by chronic inflammation or reflux. - They primarily cause **dysphagia** due to mechanical obstruction and are not associated with **air leakage into the mediastinum** or Hamman's sign.
Explanation: ***Hodgkin lymphoma*** - **Hodgkin lymphoma** frequently presents with **mediastinal involvement**, particularly the **nodular sclerosis subtype**, leading to mediastinal enlargement [1]. - This enlargement is often detected on chest X-rays and can cause symptoms due to compression of nearby structures [1]. *T-cell Acute Lymphoblastic Leukemia* - While T-cell ALL can cause a **mediastinal mass**, it is a **leukemia** typically characterized by widespread bone marrow involvement and circulating blast cells, not primarily a solid mediastinal enlargement. - The mediastinal involvement is usually a manifestation of **thymic infiltration** by leukemic cells, but the primary disease is systemic. *Primary mediastinal large B-cell lymphoma* - This is a distinct subtype of **diffuse large B-cell lymphoma (DLBCL)** that **primarily arises in the mediastinum** and presents as a large mediastinal mass. - It is histologically and clinically distinct from Hodgkin lymphoma, though both can cause mediastinal enlargement [1]. *Chronic Myeloid Leukemia* - **CML** is a myeloproliferative neoplasm characterized by the **Philadelphia chromosome** and primarily affects the bone marrow and spleen. - While extramedullary hematopoiesis can occur, mediastinal enlargement is not a typical or common presentation of CML.
Explanation: ***Neurogenic tumor*** - **Neurogenic tumors** are the **most common primary tumors of the mediastinum** overall, accounting for approximately **35-40%** of all mediastinal masses. - They are the most common tumors of the **posterior mediastinum** and arise from nerve sheaths (e.g., **schwannomas, neurofibromas**) or sympathetic ganglia. - These tumors occur across all age groups, with higher prevalence when including both pediatric and adult populations. *Thymoma* - **Thymomas** are the most common primary tumor of the **anterior mediastinum** in adults, accounting for about **40-50%** of anterior mediastinal masses. - However, they represent only about **20-25%** of all mediastinal tumors overall. - Often associated with paraneoplastic syndromes like **myasthenia gravis** (30-50% of cases). *Lymphoma* - **Lymphoma** is a common mediastinal tumor, particularly **Hodgkin lymphoma** in young adults, accounting for approximately **15-20%** of mediastinal masses. - It often presents with bulky mediastinal masses and symptoms like **dyspnea, cough, or superior vena cava syndrome**. - While very common, it ranks second or third overall after neurogenic tumors. *Neuroblastic tumor* - **Neuroblastic tumors** (e.g., neuroblastoma, ganglioneuroblastoma) are a subset of neurogenic tumors more common in **children**. - They arise from the sympathetic nervous system and typically occur in the posterior mediastinum. - While important in pediatric populations, they are less common than all neurogenic tumors combined.
Explanation: ***Mediastinal shift*** - While mediastinal shift can occur with lung collapse, it is an **indirect sign** caused by the volume loss in the affected hemithorax, pulling the mediastinum towards the collapsed lung. - Direct signs refer to changes observed *within* the collapsed lung tissue itself, such as increased density or displaced structures, whereas mediastinal shift is a secondary effect. *Crowding of the vessels* - This is a **direct sign** of lung collapse, as the pulmonary vessels become compacted due to the loss of lung volume. - The vessels appear closer together and more prominent in the area of collapse. *Loss of aeration* - This is a **direct sign** of lung collapse, as air is expelled or resorbed from the affected lung tissue, leading to increased opacity. - The collapsed lung appears denser and whiter on the X-ray compared to normally aerated lung. *Displacement of the fissure* - This is a **direct sign** of lung collapse, as the interlobar fissures are pulled towards the collapsed lobe due to volume loss. - The displacement of the fissure indicates the location and extent of the collapse.
Explanation: ***Dilation of arch of aorta*** - Aortitis, particularly in the context of **Takayasu arteritis** or **syphilitic aortitis**, frequently causes inflammation and weakening of the aortic wall, leading to **aneurysmal dilation**, most commonly in the aortic arch. - This dilation is often visible on imaging as an enlarged, expanded segment of the aorta. *Calcification of ascending aorta* - While calcification can occur in the aorta, **ascending aortic calcification** is more commonly associated with **atherosclerosis** and degenerative changes rather than active vessel inflammation characteristic of aortitis. - Aortitis primarily involves inflammation and remodeling of the vessel wall. *Calcification of descending aorta* - **Descending aortic calcification** is also predominantly a hallmark of **atherosclerotic disease**, which involves plaque formation and hardening of the arteries. - It does not specifically indicate active inflammation of the aortic wall as seen in aortitis. *Enlargement of left atrium* - **Left atrial enlargement** is typically a consequence of **mitral valve disease**, **left ventricular dysfunction**, or **hypertension**, which lead to increased pressure or volume overload in the left atrium. - It is not a direct or characteristic radiographic finding associated with aortitis.
Get full access to all questions, explanations, and performance tracking.
Start For Free