The most likely diagnosis in a newborn who had a radiopaque shadow with an air-fluid level in the chest along with hemivertebrae of the 6th thoracic vertebra on plain X-ray is –
Which of the following statements about Branchial cysts is true:
Which of the following is an acquired condition?
A 3-year-old child presents with respiratory distress and a history of recurrent respiratory infections. Based on the provided imaging, what is the most likely diagnosis?

Which one of the following life-threatening congenital anomalies in the newborn presents with polyhydramnios, aspiration pneumonia, excessive salivation and difficulty in passing a nasogastric tube?
Congenital cyanotic heart disease with pulmonary oligemia is seen with –
Pulmonary plethora in a child presenting with cyanosis, is seen in?
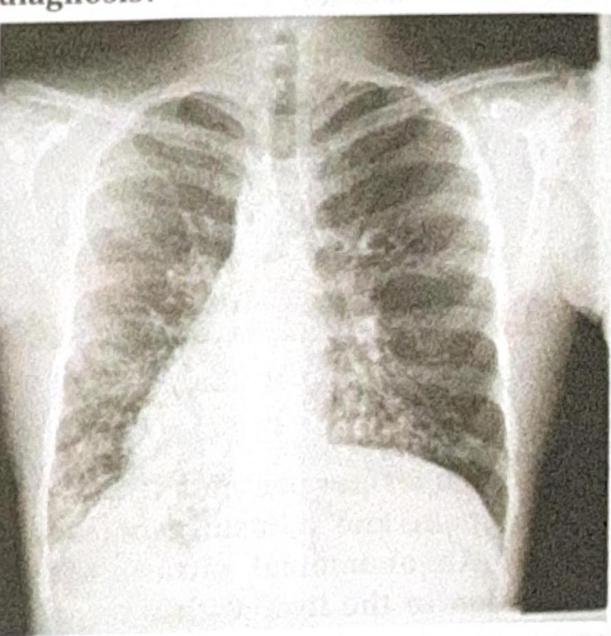
A patient presents with recurrent lung infections, and the chest X-ray provided shows a characteristic finding. What is the most likely diagnosis?

Identify the most likely diagnosis based on the chest X-ray findings in a patient with low-grade fever.

On CT chest, the 'halo sign' is particularly associated with which condition in immunocompromised patients?
Explanation: ***Oesophageal duplication cyst*** - The presence of a **radiopaque shadow with an air-fluid level** in the chest, coupled with **hemivertebrae of the 6th thoracic vertebra**, is highly suggestive of an esophageal duplication cyst due to their common developmental origin and intrathoracic location. - **Esophageal duplication cysts** are foregut anomalies that can present as cystic masses containing fluid, and their close association with vertebral anomalies like hemivertebrae points to a developmental error during embryogenesis affecting both structures. *Bronchogenic cyst* - While bronchogenic cysts are also foregut anomalies and can appear as **radiopaque shadows**, they typically do not present with an **air-fluid level** unless secondarily infected or communicating with the airway, and their association with vertebral anomalies is less direct. - These cysts usually present as a **well-circumscribed, non-communicating mass**, and an air-fluid level usually indicates rupture or infection. *Congenital diaphragmatic hernia* - A congenital diaphragmatic hernia involves the **displacement of abdominal contents into the chest cavity** through a defect in the diaphragm, which would manifest as multiple intestinal loops and air-filled structures in the chest. - While it can present with air-fluid levels (from bowel gas), it is not typically associated with **hemivertebrae**, and the radiopaque shadow would be less defined as a single cyst. *Staphylococcal pneumonia* - Staphylococcal pneumonia in a newborn can lead to **pneumatoceles (air-filled cysts)** that may contain air-fluid levels, but it is an infectious process that would be accompanied by signs of infection like fever and respiratory distress. - This condition is unlikely to present with an associated **vertebral anomaly** like hemivertebrae, which points to a congenital developmental abnormality rather than an acquired infectious cause.
Explanation: ***Most common site is lateral neck*** - **Branchial cleft cysts** typically present as a mass in the **lateral neck**, anterior to the sternocleidomastoid muscle. - They are congenital anomalies resulting from incomplete obliteration of the branchial clefts during embryonic development. *50-70% are seen in lungs* - This statement is incorrect; branchial cysts are **cervical anomalous masses** arising from the branchial apparatus, not primarily found in the lungs. - Lung lesions are more commonly associated with congenital pulmonary airway malformations or bronchogenic cysts, which differ in origin. *They are premalignant lesions* - Branchial cysts are generally **benign lesions** and do not typically transform into malignancy. - While rare cases of carcinoma arising within a branchial cleft cyst have been reported, they are not considered routinely premalignant. *Infection is uncommon in branchial cysts* - Conversely, infection is a **common complication** of branchial cysts, often leading to sudden enlargement, pain, and erythema. - The presence of internal fluid and epithelial lining makes them susceptible to bacterial colonization and subsequent abscess formation.
Explanation: ***Mastitis*** - **Mastitis** is an **inflammatory condition** of the breast, often caused by bacterial infection, particularly common during **lactation** [1]. - It is an **acquired condition** as it develops after birth due to external or internal factors, not present at birth. *Polymastia (supernumerary breasts)* - **Polymastia** is a **congenital condition** where additional breast tissue develops along the **milk line**. - This condition is present at birth and results from *embryological development anomalies*, not acquired later in life. *Polythelia (extra nipples)* - **Polythelia** refers to the presence of **accessory nipples** along the embryonic milk line and is a **congenital anomaly**. - Like polymastia, it is present from birth due to *developmental errors* and is not an acquired condition. *Amastia (absence of breast tissue)* - **Amastia** is a rare **congenital anomaly** characterized by the complete absence of breast tissue, nipple, and areola. - It is a **birth defect**, meaning it is present from birth and not an acquired condition.
Explanation: ***CPAM (Congenital Pulmonary Airway Malformation)*** - The imaging shows **cystic lesions** within the lung parenchyma, which are characteristic of CPAM. These lesions can cause **respiratory distress** and predispose to **recurrent infections**. - The age of the child (3 years old) and the history of recurrent respiratory infections are consistent with CPAM, as these malformations often manifest with symptoms in early childhood. *Lung abscess* - A lung abscess typically presents as a **cavity with an air-fluid level** and surrounding consolidation, usually in a single, well-defined area. - While recurrent infections can occur, the widespread cystic appearance on imaging makes an abscess less likely than CPAM. *Pyopneumothorax* - Pyopneumothorax is characterized by the presence of both **pus and air in the pleural space**, leading to a visible air-fluid level that occupies the pleural cavity. - The imaging does not show evidence of gas and fluid within the pleural space, nor the typical chest wall separation seen in pneumothorax. *CDH (Congenital Diaphragmatic Hernia)* - CDH involves the **herniation of abdominal contents** into the chest cavity, displacing lung tissue and often causing severe respiratory distress from birth due to pulmonary hypoplasia. - The images show cystic changes within the lung parenchyma, not abdominal organs in the chest, and the age of presentation makes a new diagnosis of uncorrected CDH less likely, as it usually presents as a neonatal emergency. *Pulmonary sequestration* - Pulmonary sequestration is a congenital malformation characterized by **non-functioning lung tissue with aberrant systemic arterial supply**, typically from the aorta. - While it can present with recurrent infections, the imaging typically shows a **solid or mixed solid-cystic mass**, often in the lower lobes with visible feeding vessels on contrast imaging, rather than the predominantly multicystic appearance seen in CPAM.
Explanation: ***Tracheo-esophageal fistula*** - This condition presents with **polyhydramnios** due to the fetus being unable to swallow amniotic fluid, **excessive salivation** from accumulated secretions in the blind-ending esophageal pouch, and difficulty passing a **nasogastric tube** because of the esophageal obstruction. - **Aspiration pneumonia** is a common complication as saliva and gastric contents can be aspirated into the lungs through the fistula. *Choanal atresia* - Characterized by **blocked nasal passages**, leading to **cyclical cyanosis** relieved by crying, but not typically associated with polyhydramnios or excessive salivation in this manner. - While it can cause respiratory distress, it does not involve esophageal obstruction or directly cause aspiration pneumonia from swallowed fluids. *Gastroschisis* - This is an **abdominal wall defect** where intestines protrude outside the body, unrelated to swallowing difficulties, polyhydramnios caused by inability to swallow, or excessive salivation. - It does not involve difficulty in passing a nasogastric tube or directly cause aspiration pneumonia. *Diaphragmatic hernia* - Involves **abdominal contents herniating into the chest cavity**, leading to **pulmonary hypoplasia** and respiratory distress. - It does not explain polyhydramnios due to impaired swallowing, excessive salivation, or the characteristic inability to pass a nasogastric tube.
Explanation: ***Tricuspid atresia*** - **Tricuspid atresia** is a **cyanotic congenital heart disease** where the tricuspid valve is absent, preventing blood flow from the right atrium to the right ventricle, leading to **pulmonary hypoperfusion** or **oligemia**. - Systemic venous return must shunt across an **atrial septal defect (ASD)** or **patent foramen ovale (PFO)** to the left atrium, mixing with oxygenated blood, resulting in cyanosis. - Chest X-ray characteristically shows **decreased pulmonary vascular markings** (oligemia). *VSD* - A **Ventricular Septal Defect (VSD)** typically causes a **left-to-right shunt**, leading to **pulmonary plethora (increased pulmonary blood flow)**, not oligemia. - While large VSDs can eventually lead to Eisenmenger syndrome with cyanosis, the initial presentation is usually characterized by increased pulmonary flow. *Hypoplastic left ventricle* - **Hypoplastic left heart syndrome (HLHS)** is a **cyanotic** condition, but it results in **pulmonary plethora (increased pulmonary blood flow)**, not oligemia. - All systemic venous return flows to the right ventricle, which pumps to both the pulmonary arteries (normal pathway) and to the systemic circulation via a **patent ductus arteriosus (PDA)**, resulting in normal or increased pulmonary blood flow. - The primary issue is a severely underdeveloped left side of the heart, which does not lead to pulmonary oligemia. *ASD* - An **Atrial Septal Defect (ASD)** usually causes a **left-to-right shunt**, leading to **pulmonary plethora (increased pulmonary blood flow)** and is typically an **acyanotic** heart condition. - Cyanosis only develops late if pulmonary hypertension leads to shunt reversal (Eisenmenger syndrome), which is not the primary presentation.
Explanation: ***Total Anomalous Pulmonary Venous Connection (TAPVC)*** - In **non-obstructed TAPVC**, all pulmonary veins drain anomalously into the right atrium (or its tributaries) instead of the left atrium. - This causes **complete mixing of oxygenated pulmonary venous blood with deoxygenated systemic venous blood** in the right atrium → **cyanosis**. - Since an obligatory **atrial septal defect (ASD)** allows blood to reach the left heart, and there is **increased volume load on the right heart**, there is **increased pulmonary blood flow → pulmonary plethora** on chest X-ray. - Key point: **Obstructed TAPVC** causes pulmonary venous congestion and oligemia, NOT plethora. *Coarctation of the aorta* - **Coarctation of the aorta** is an **acyanotic** congenital heart disease involving systemic outflow obstruction. - It does **not cause cyanosis** unless there is differential cyanosis (lower body only) with a PDA and pulmonary hypertension causing right-to-left shunt. - Does not cause pulmonary plethora. *Tetralogy of Fallot (TOF)* - **Tetralogy of Fallot** presents with **cyanosis** due to right-to-left shunting through a VSD. - However, it has **pulmonary oligemia (decreased pulmonary blood flow)** due to right ventricular outflow tract obstruction and pulmonary stenosis. - Chest X-ray shows **boot-shaped heart** with decreased pulmonary vascular markings, NOT plethora. *Tricuspid Atresia (TA)* - **Tricuspid atresia** causes **cyanosis** due to obligatory right-to-left shunting at the atrial level. - Pulmonary blood flow is typically **decreased or normal** (depending on presence of VSD/PDA), NOT increased. - Does not typically cause pulmonary plethora.
Explanation: ***Kartagener syndrome*** - This syndrome is a subgroup of **primary ciliary dyskinesia** and is characterized by the triad of **situs inversus** (dextrocardia as seen on the chest X-ray), **chronic sinusitis**, and **bronchiectasis**. - Recurrent lung infections are a common presentation due to impaired mucociliary clearance leading to bronchiectasis. *Cystic fibrosis* - While cystic fibrosis does present with **recurrent lung infections** and **bronchiectasis**, it is not typically associated with **situs inversus** or other malformations of organ placement. - Diagnosis is usually supported by a **positive sweat chloride test** and genetic testing for CFTR mutations. *DiGeorge syndrome* - This syndrome is characterized by **T-cell immunodeficiency**, **hypocalcemia**, and **congenital heart defects**. - Recurrent infections in DiGeorge syndrome are due to immunodeficiency, not primarily due to impaired ciliary function or situs inversus. *Down syndrome* - Down syndrome is a chromosomal disorder associated with intellectual disability, distinctive facial features, and an increased risk of several health problems, including **congenital heart disease** and **immune dysfunction**. - Recurrent lung infections can occur due to weakened immune function or structural airway abnormalities, but it does not cause situs inversus or primary ciliary dyskinesia.
Explanation: ***Miliary TB*** - The chest X-ray shows diffuse, small, uniformly distributed nodular opacities (2-3 mm in diameter) bilaterally, characteristic of "**millet seed**" pattern seen in **miliary tuberculosis**. - This pattern results from the hematogenous spread of *Mycobacterium tuberculosis* throughout the lungs, often presenting with **low-grade fever** and constitutional symptoms. *ILD* - **Interstitial lung disease (ILD)** typically shows reticular, nodular, or ground-glass opacities, sometimes with honeycombing, but the pattern is usually more heterogeneous and often basal or peripheral, unlike the uniform fine nodularity seen here. - While some ILDs can present with diffuse nodular patterns, the clinical context of **fever** and the classic "millet seed" appearance are more indicative of miliary TB. *Bronchopneumonia* - **Bronchopneumonia** presents as patchy, often ill-defined, multifocal areas of opacification or consolidation, usually distributed around the bronchi. - It does not typically cause the fine, diffuse, and uniform nodular pattern seen in this image, which represents widespread interstitial or alveolar involvement rather than primarily bronchial inflammation. *Consolidation* - **Consolidation** appears as a homogeneous opacification that obliterates vessels and airway walls, often with air bronchograms, typically confined to a lobe or segment. - The image shows diffuse nodular infiltrates rather than large, confluent areas of homogeneous opacification, making isolated consolidation an unlikely primary description.
Explanation: ***Invasive pulmonary aspergillosis*** - The **halo sign** on CT chest, characterized by a ground-glass opacity surrounding a nodule, is a classic radiographic finding in **invasive pulmonary aspergillosis**, especially in immunocompromised patients. - This sign represents hemorrhage around the fungal nodule and indicates active tissue invasion by *Aspergillus* species. *Pulmonary hydatid cyst* - Hydatid cysts are typically well-defined, thin-walled cystic lesions, often displaying the **water lily sign** if complicated by rupture, which is different from the halo sign. - These cysts are caused by the larval stage of *Echinococcus granulosus* and are not associated with a peripheral ground-glass opacity. *Round pneumonia* - Round pneumonia is a localized, **spherical consolidation** often seen in children, which does not typically exhibit the perilesional ground-glass opacity characteristic of the halo sign. - It usually represents bacterial infection and resolves with antibiotics, unlike the invasive fungal disease suggested by the halo sign. *Bronchiectasis* - Bronchiectasis is characterized by **irreversible dilation of the bronchi**, often appearing as "tram-track" opacities or "signet ring" signs on CT. - It is a chronic condition related to airway damage and mucus retention, and not associated with acute nodular lesions or the halo sign.
Get full access to all questions, explanations, and performance tracking.
Start For Free