Best imaging modality for acute pulmonary embolism
During rounds, your senior was discussing the given image. Which of the following investigations does this image represent?

Identify the marked structure in the given image.

What is the investigation of choice for diagnosing a stress fracture?
The imaging modality primarily used in FAST (Focused Assessment with Sonography for Trauma) exam is:
Based on the provided image, which of the following is the correct diagnosis?

Gold standard investigation for breast carcinoma screening in a patient with silicone breast implants
To obtain adequate diagnostic imaging in a morbidly obese patient, what modification to X-ray technique is most important?
Under RNTCP, the target for case detection through quality sputum microscopy is at least:
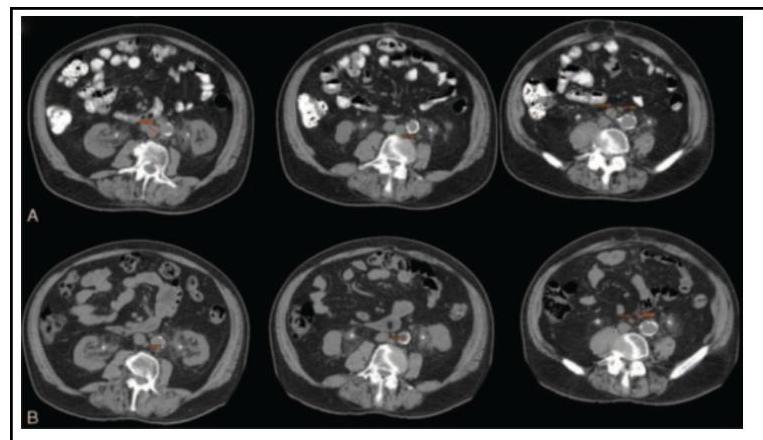
Which of the following is shown in the image below?

Explanation: ***CT pulmonary angiogram*** - This is the **gold standard** imaging modality for diagnosing acute pulmonary embolism due to its high sensitivity and specificity in visualizing pulmonary arteries. - It rapidly provides detailed images of the pulmonary vasculature, allowing for direct visualization of **thrombi**. *V/Q scan* - A **V/Q scan** measures ventilation and perfusion of the lungs and is less definitive than CTPA, especially in patients with pre-existing lung disease. - It is often considered when **CTPA is contraindicated**, such as in cases of severe renal impairment or contrast allergy. *Chest X-ray* - A **chest X-ray** is generally used to rule out other causes of chest pain and shortness of breath, such as pneumonia or pneumothorax, rather than to diagnose PE directly. - It has **low sensitivity and specificity** for pulmonary embolism, as findings are often non-specific or normal even in the presence of PE. *MRI* - **Magnetic resonance angiography (MRA)** can be used, but it is typically reserved for patients who cannot undergo CTPA or V/Q scan due to contraindications like **pregnancy** or **renal failure**. - It often takes longer to perform and has lower spatial resolution compared to CTPA for pulmonary artery visualization.
Explanation: ***CT scan*** - The image shows multiple **axial slices** with detailed cross-sectional anatomy of the abdomen, which is characteristic of a **Computed Tomography (CT) scan**. - CT scans provide excellent detail of both **soft tissues** and **bone structures** in cross-sectional format, which is the standard appearance of abdominal CT imaging. *X-ray* - Plain X-rays produce **2D projection images**, not the axial cross-sectional slices seen here. - While CT technology uses X-rays, in medical terminology **"X-ray"** refers to conventional radiographs, not cross-sectional imaging. *Contrast Dye study* - This is **not an imaging modality** but rather an enhancement technique used with various imaging methods. - **Contrast agents** improve visualization but don't define the type of investigation being performed. *Angiography* - Angiography is specifically designed to visualize **blood vessels**, often using contrast injection. - This image shows comprehensive **abdominal anatomy**, not the focused vascular imaging typical of angiographic studies.
Explanation: ***Coil*** - The marked structure appears to be a **cochlear implant's internal coil**, which is common in X-ray imaging of these devices. - The **cochlear implant internal coil** is crucial for transmitting processed sound signals via electromagnetic induction to the electrode array within the cochlea. *Electrode* - An **electrode array** is typically a thin, flexible wire with multiple contacts inserted into the cochlea, which is not what the arrow is pointing to directly. - While electrodes are part of a cochlear implant, the marked structure's shape and position are more consistent with the **internal coil** that connects to the electrode array. *Magnet* - A **magnet** is present in a cochlear implant system, typically in both the external processor and internal receiver, to hold these two components together through the skin. - Magnets usually appear as dense, circular structures in X-rays, often seen more anteriorly or superiorly to the coil for external component alignment. *Processor* - The **processor** for a cochlear implant is an external device worn behind the ear, not an implanted component visible on an X-ray. It processes sound and sends it to the internal coil. - The structures seen in the X-ray are **implanted components** of the cochlear implant, not the external sound processor.
Explanation: ***MRI*** - **Magnetic Resonance Imaging (MRI)** is the most sensitive and specific imaging modality for diagnosing **stress fractures**, especially in their early stages. - It can detect **bone marrow edema** and **periosteal reactions** indicative of stress injury before cortical changes are visible on plain radiographs. *X-ray* - **X-rays** are often the initial investigation, but they have low sensitivity for **stress fractures** in the early stages as bone changes may not be apparent for several weeks. - A positive X-ray for stress fracture typically shows a **sclerotic line** or **periosteal reaction**, but this indicates a more advanced injury. *CT scan* - **CT scans** provide excellent detail of **cortical bone** and can detect subtle fractures not seen on X-rays. - While more sensitive than X-rays, CT has **higher radiation exposure** and is generally less sensitive than MRI for early detection of **bone marrow edema** associated with stress injuries. *Bone scan* - **Bone scans** (scintigraphy) are highly sensitive for detecting increased **osteoblastic activity** associated with stress fractures. - However, they are **less specific** as various conditions can cause increased uptake, and they do not provide detailed anatomical information, making MRI superior for definitive diagnosis and staging.
Explanation: **USG** - **Focused Assessment with Sonography for Trauma (FAST)** exam specifically uses **ultrasound (USG)** to rapidly detect free fluid (blood) in pericardial, perihepatic, perisplenic, and pelvic spaces. - Its quick, non-invasive nature and portability make it ideal for **point-of-care assessment** in trauma settings. *X-ray* - While X-rays are useful in trauma for detecting **fractures** and some pneumothoraces, they are not the primary modality for detecting free fluid in the peritoneal or pericardial cavities during a FAST exam. - X-rays do not provide real-time, dynamic imaging of soft tissues and fluid accumulation as effectively as ultrasound. *CT* - **Computed Tomography (CT)** is a highly detailed imaging modality used in trauma for comprehensive assessment of injuries to organs, bones, and vessels. - However, it involves **radiation exposure**, takes longer to perform, and is typically reserved for hemodynamically stable patients after initial resuscitation and FAST exam. *MRI* - **Magnetic Resonance Imaging (MRI)** provides excellent soft tissue contrast, but its use in acute trauma is very limited due to its **long scan times**, high cost, and incompatibility with many metallic medical devices. - MRI is not suitable for rapid assessment of free fluid in hemodynamically unstable trauma patients.
Explanation: ***Unicornuate Uterus*** - The image distinctly shows **only one fallopian tube and one rudimentary uterine horn** on the right side, indicating a unicornuate uterus. - This malformation results from the **incomplete development of one Müllerian duct**, leading to a single, banana-shaped uterine cavity. *Uterus didelphys* - This condition involves **two completely separate uteri**, each with its own cervix and vagina. - The image does not show evidence of two distinct uterine bodies or cervices. *Bicornuate Uterus* - A bicornuate uterus is characterized by **two uterine horns that fuse caudally**, creating a heart-shaped appearance with a shared cervix. - The image clearly lacks the characteristic heart shape and shows only one functional horn. *Septate uterus* - A septate uterus has a **fibrous or muscular septum** dividing the uterine cavity, while the external uterine contour remains normal. - The image does not show a septum or a normal external uterine contour with an internal division; instead, it presents with a single underdeveloped horn.
Explanation: ***MRI*** - **MRI** is considered the **gold standard** for breast cancer screening in patients with silicone breast implants due to its superior ability to visualize breast tissue through the implant and detect subtle lesions. - It offers **high sensitivity** in detecting both implant rupture and early malignancies, often providing better clarity than mammography in augmented breasts where implants can obscure tissue. *Mammography* - While a standard screening tool, **mammography** can be limited in patients with silicone implants because the implants can **obscure adjacent breast tissue**, making detection of small masses challenging. - Special views (e.g., **Eklund views**) can be used, but sensitivity is still reduced compared to MRI in augmented breasts. *CT scan* - **CT scans** are not routinely used for primary breast cancer screening due to their use of **ionizing radiation** and lower sensitivity for detecting early breast lesions compared to MRI. - CT is more commonly used for **staging** advanced cancers or evaluating complex masses detected by other modalities. *USG* - **Ultrasound (USG)** is a valuable complementary tool, especially for evaluating palpable lumps or clarifying findings from mammography, but it is **operator-dependent** and has a lower overall sensitivity for general screening compared to MRI. - It is particularly useful for differentiating between **cystic and solid masses** and detecting implant ruptures but is not the gold standard for comprehensive screening in augmented breasts.
Explanation: ***Increase KVP*** - Increasing the **kilovoltage peak (KVP)** is essential for imaging morbidly obese patients because it increases the **penetrating power** of the X-ray beam, allowing adequate transmission through thick body tissues. - Higher KVP (typically 90-120 kVp range) ensures the X-ray beam can penetrate increased soft tissue thickness and reach the image receptor with sufficient intensity. - While higher KVP produces **longer scale (lower) contrast**, it is necessary for adequate **penetration** in obese patients - without sufficient KVP, the image would be underexposed and non-diagnostic. - In practice, both KVP and MAS are increased for obese patients, but **KVP increase is more critical** for penetration. *Increase MAS* - Increasing **milliampere-seconds (MAS)** increases the quantity of X-ray photons and image density (brightness), which is also helpful for obese patients. - However, MAS alone without adequate KVP cannot solve the penetration problem - the photons would still be too low energy to penetrate thick tissues effectively. - MAS increase without KVP increase would result in high patient dose with poor image quality. *Decrease KVP* - Decreasing KVP reduces **beam penetration**, which would be catastrophic for imaging an obese patient. - The X-ray beam would be absorbed by superficial tissues, resulting in a severely **underexposed** and non-diagnostic image. - While lower KVP produces higher contrast in theory, it is completely inappropriate for thick body parts. *Decrease MAS* - Decreasing MAS reduces the number of X-ray photons, resulting in an **underexposed, lighter** image. - This would make it even more difficult to obtain adequate imaging through increased body mass, resulting in a non-diagnostic radiograph with excessive quantum mottle.
Explanation: ***70%*** - The **Revised National Tuberculosis Control Programme (RNTCP)** aimed for a minimum of **70% case detection** by identifying infectious smear-positive TB cases. - This target ensures that a significant proportion of **tuberculosis cases** are diagnosed and brought under treatment, thereby reducing transmission. *95%* - While 95% is a very high target, it was not the initial or primary target set by RNTCP for sputum microscopy case detection. - Such a high rate is often an ideal goal for **treatment success** or **cure rates**, rather than initial case detection. *85%* - The **85% target** was set for the **treatment success rate** for smear-positive pulmonary TB cases under RNTCP, not for initial case detection. - Achieving this target ensures effective treatment outcomes and prevents the development of **drug resistance**. *60%* - A 60% detection rate would be considered **insufficient** for effective TB control, as it would leave a large number of infectious individuals undiagnosed. - This low target would not adequately address the public health burden of **tuberculosis**.
Explanation: ***Westermark sign*** - This image displays a **dilated pulmonary artery proximal to an area of oligemia**, specifically noted in the upper right lung field, as indicated by the arrow. This finding is characteristic of the **Westermark sign**, which is suggestive of a **pulmonary embolism**. - The Westermark sign represents **distal collapse of the pulmonary vasculature** due to a reduction in blood flow, making the lung parenchyma appear unusually lucent compared to adjacent normal lung fields. *Palla sign* - The Palla sign refers to a **dilated right descending pulmonary artery** (interlobar artery) on a chest X-ray. While it is also associated with pulmonary embolism, the image prominently shows oligemia, the defining feature of the Westermark sign, not solely an enlarged artery. - This sign indicates **increased pulmonary artery pressure** due to the embolus, but the key feature in the provided image is the reduced vascularity distally, not just the proximal vessel size. *Hampton hump* - A Hampton hump is a **wedge-shaped pleural-based opacity** with a rounded convex border facing the hilum. - It results from a **pulmonary infarction** due to a large pulmonary embolus and is not visible in this image. *Round pneumonia* - Round pneumonia is a **circular or oval-shaped consolidation** that is typically seen in children and appears as a mass-like lesion. - It is an infectious process with consolidation of lung tissue and does not involve vascular abnormalities like oligemia, which is clearly depicted in the image.
Get full access to all questions, explanations, and performance tracking.
Start For Free