A 62-year-old male presented with signs and symptoms of intestinal obstruction. Radiological image of the patient is given. What is the sign that is illustrated in the image?

What is the radiological sign that could best describe this image?

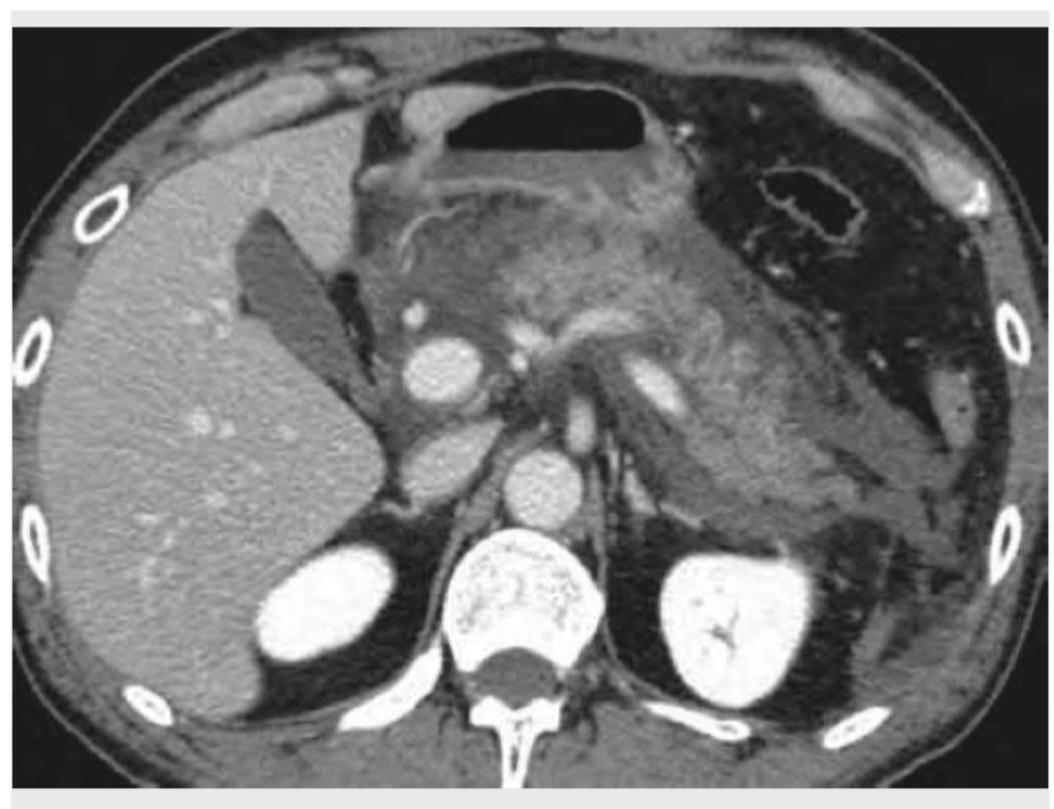
The given CT abdomen shows:

CECT abdomen of a patient with acute abdomen is given below. What is the diagnosis?

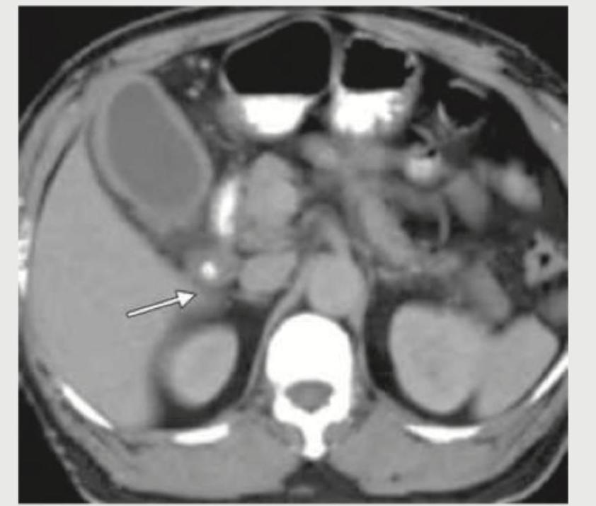
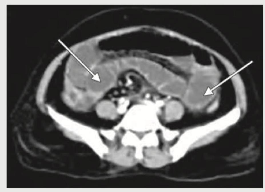
A 25-year-old patient underwent surgery for scoliosis correction. 5 days post-operatively he develops voluminous bilious vomiting. The given CT abdomen shows:

Identify the condition shown in the figure:

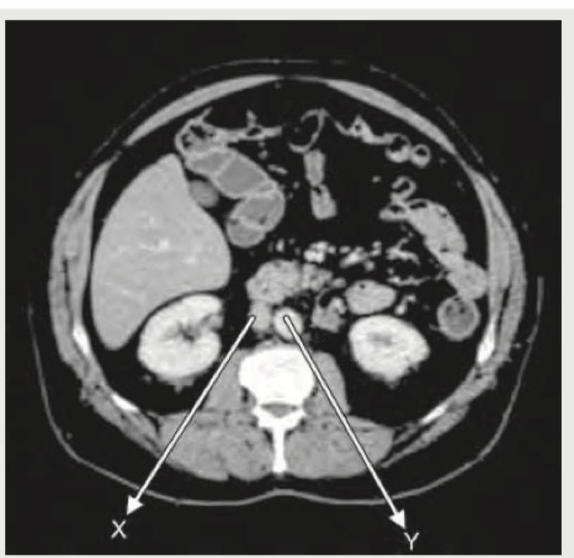
Which is correct about the CT abdomen shown?

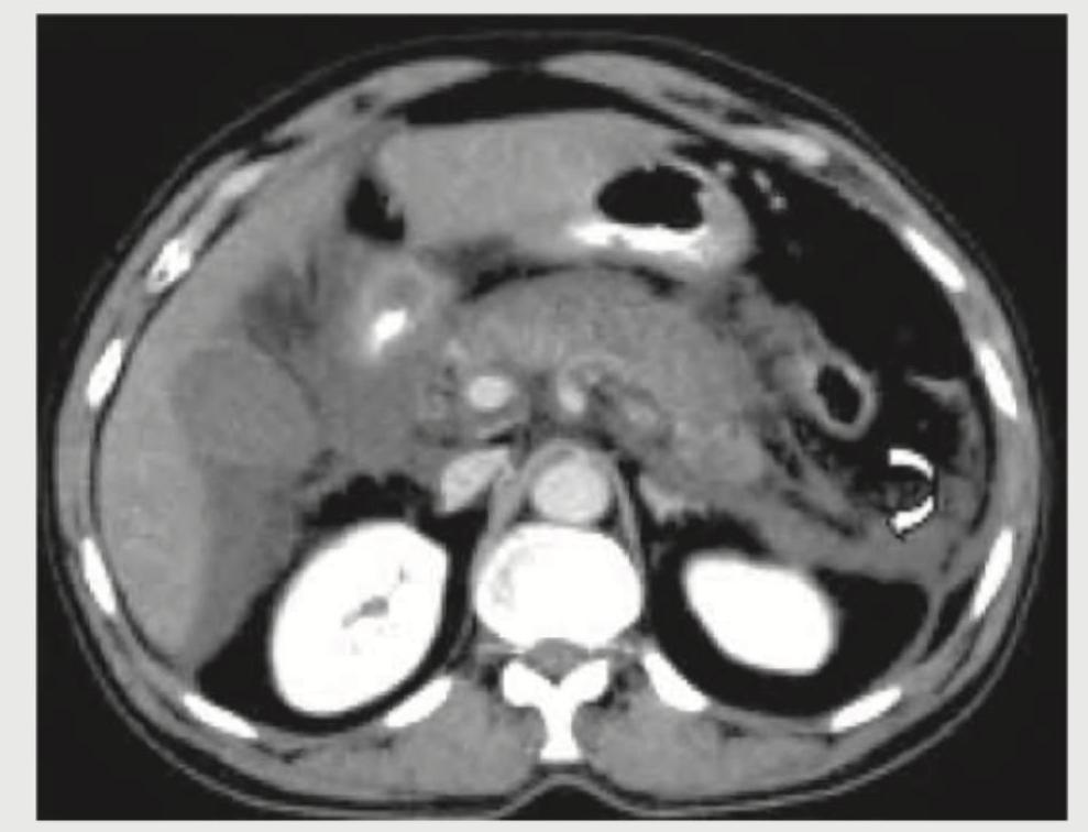
A 30-year-old male presents with acute abdomen. What is the diagnosis based on the CT abdomen given below?

Identify the lesion shown in the figure:

Which of these is best for imaging a lesion in the kidney of a 60-year-old man?

Explanation: ***Apple core sign*** - This sign, also known as the **"napkin ring" sign**, is characteristic of a **constricting colorectal carcinoma** seen on barium enema. - The lesion causes a sharp, irregular narrowing of the bowel lumen with overhanging edges, resembling an apple core after a bite has been taken. *Lead pipe sign* - The **"lead pipe" sign** refers to the loss of **haustral markings** and colonic shortening, giving the colon a smooth, rigid, and narrow appearance. - This finding is typically associated with **chronic ulcerative colitis**. *Saw tooth sign* - The **"saw tooth" sign** is characteristic of **diverticulosis**, where the muscular layers of the colon hypertrophy, creating a serrated appearance in the barium column. - This is due to the presence of sacculations and spiky muscular contractions. *Cobble stone* - The **"cobblestone" appearance** describes the irregular, nodular pattern of the mucosal surface of the colon due to **deep ulcerations** crisscrossing with **edematous mucosa**. - This finding is typically seen in **Crohn's disease**, particularly in the small bowel and colon.
Explanation: ***Cobra head sign*** - This sign is seen in the setting of a **ureterocele**, which is a cystic dilatation of the intravesical (within the bladder) portion of the ureter. - On intravenous urography (IVU) or retrograde pyelography, the dilated ureterocele appears as a filling defect within the bladder, outlined by contrast, creating the characteristic "cobra head" or "spring onion" appearance. *Rim sign* - The **rim sign** is typically associated with **renal calculi** (kidney stones). - It refers to a thin rim of soft tissue or gas surrounding a radiolucent stone, which can sometimes be seen on CT scans. *Fish hook bladder* - This term describes the shape of the bladder in cases of **benign prostatic hyperplasia (BPH)**. - Due to the enlarged prostate elevating and distorting the bladder base, the contrast-filled bladder appears elongated and curved, resembling a fish hook on a cystogram. *Soap bubble* - The "soap bubble" appearance is often used to describe **multiloculated cystic masses** or certain types of tumors, particularly in bone lesions (e.g., aneurysmal bone cyst, fibrous dysplasia). - It refers to multiple small, rounded lucencies giving a bubbly or multicystic appearance on imaging.
Explanation: ***Acute pancreatitis*** - The CT image reveals signs of acute pancreatitis, characterized by diffuse **enlargement and blurring of the pancreatic margins**, along with **peripancreatic fat stranding** and **fluid collections**, particularly around the tail of the pancreas. - These findings are indicative of **inflammation and edema** within and around the pancreas, consistent with an acute inflammatory process. *Acute hepatitis* - Acute hepatitis typically presents with **diffuse liver enlargement**, **edema**, and sometimes periportal edema or gallbladder wall thickening, which are not the primary findings here. - While the liver appears somewhat enlarged and heterogeneous, the extensive peripancreatic inflammation and fluid collections point away from primary liver pathology. *Acute cholecystitis* - Acute cholecystitis is characterized by **gallbladder wall thickening**, **pericholecystic fluid**, and sometimes gallstones, which are not visible or prominent enough to be the primary diagnosis in this image. - The pathology seen is clearly centered around the pancreas, not the gallbladder. *Pseudo-pancreatic cyst* - A pancreatic pseudocyst would appear as a **well-defined, encapsulated fluid collection**, often occurring weeks after an episode of acute pancreatitis. - In this image, the fluid collections are **ill-defined** and appear to be part of an acute inflammatory process with fat stranding rather than a mature, encapsulated pseudocyst.
Explanation: ***Acute pancreatitis*** - The CECT image shows **peripancreatic fat stranding** and **fluid collection** (highlighted by the arrow), which are classic signs of acute pancreatitis. - The pancreas itself appears **enlarged** and **edematous** with areas of inflammatory changes. *Renal colic* - Renal colic typically presents with a **calculus (kidney stone)** in the ureter or renal pelvis, possibly with **hydronephrosis**. - No such features are visible in the provided image; the kidneys appear unremarkable. *PUD perforation* - A perforated peptic ulcer would show **free air under the diaphragm** on an upright chest X-ray or **free intra-abdominal air** on CT. - The image does not demonstrate any free intra-abdominal air, and the stomach and duodenum do not show signs of perforation. *Rectus sheath hematoma* - A rectus sheath hematoma would present as a **well-defined, high-density collection within the rectus abdominis muscle** or between the muscle and its sheath. - This image shows diffuse retroperitoneal inflammation and fluid collection, not confined to the rectus sheath.
Explanation: ***SMA syndrome*** - The CT image shows significant **duodenal distention** proximal to the **superior mesenteric artery (SMA)**, characteristic of SMA syndrome. The arrow points to the **compressed third part of the duodenum** between the SMA and the aorta. - This condition is often seen post-scoliosis correction surgery due to rapid **spinal extension**, which can decrease the **aortomesenteric angle** and compress the duodenum, leading to **bilious vomiting**. *Paralytic ileus* - While ileus can cause vomiting and bowel distension, it typically involves **diffuse gaseous distension** of both small and large bowels without a discrete point of obstruction like the compressed duodenum seen here. - The clinical presentation of paralytic ileus post-operatively is more often characterized by generalized **absent bowel sounds** and abdominal distension, rather than specific bilious vomiting from high obstruction. *Pneumoperitoneum* - This refers to the presence of **free air in the abdominal cavity**, usually indicating a **visceral perforation**. - The provided CT image does not show any evidence of free air, and the presenting symptom of bilious vomiting is more indicative of obstruction. *Paravertebral abscess* - A paravertebral abscess would appear as a **fluid collection adjacent to the spine**, which is not depicted on this CT scan. - Clinical symptoms would likely include **fever, severe localized back pain**, and possibly neurological deficits, differing from the purely obstructive symptoms described.
Explanation: ***Pneumoperitoneum*** - The image clearly demonstrates **free air** (dark, lucent areas) within the abdominal cavity, particularly seen under the **diaphragm** and anteriorly, which is characteristic of pneumoperitoneum. - The arrow specifically points to a bright, calcific density, which could represent a **gallstone** but the primary and most striking finding is the free air, consistent with perforation. *Calculous cholecystitis* - This condition is characterized by **gallstones** (which may or may not be seen in the image, although a calcification is pointed to) accompanied by gallbladder wall thickening and pericholecystic fluid, which are not the predominant findings here. - While a stone is visible near the gallbladder, the presence of diffuse free air throughout the abdomen makes calculous cholecystitis an unlikely primary diagnosis unless it has led to **perforation**. *Acute pancreatitis* - Acute pancreatitis typically presents with **pancreatic enlargement**, inflammation, and often peripancreatic fluid collections or necrosis. - These findings are not primarily depicted, and there is no evidence of the characteristic inflammation surrounding the pancreas in the given image. *Liver abscess* - A liver abscess would appear as a **hypodense (darker) lesion** within the liver parenchyma, often with a rim of enhancement, indicating a collection of pus. - Such a focal lesion within the liver is not the main finding, and the presence of widespread free air points to a different pathology.
Explanation: ***X = Aorta: Y = Inferior vena cava*** - On a typical axial CT image, the **aorta (X)** is usually located to the **left and slightly posterior** of the inferior vena cava. It also has a **thicker, more defined wall** due to its muscular nature and higher pressure. - The **inferior vena cava (Y)** is positioned to the **right and anterior** to the aorta. It typically appears with a **thinner and more variable wall** as it is a low-pressure vessel. *X = Inferior vena cava : Y = Aorta* - This option incorrectly identifies the vessels. The **IVC** (Inferior Vena Cava) is generally located **to the right** of the vertebral body, while the **aorta** is typically found **to the left**. - The **aorta has thicker walls** and maintains a more circular shape, whereas the IVC's shape can distort depending on respiration and intravascular volume. *X = Aorta : Y = Superior mesenteric artery* - While X correctly identifies the aorta, Y incorrectly identifies the **superior mesenteric artery (SMA)**. The SMA is a smaller arterial branch that typically arises from the aorta more anteriorly and inferiorly, and is not the large vessel indicated by Y in this image. - The vessel at Y is too large and the wrong anatomical position to be the SMA, which is usually seen more anteriorly, often surrounded by mesenteric fat. *X = Superior mesenteric artery: Y = Aorta* - This option is incorrect because **X is too large** and in the wrong anatomical position to be the superior mesenteric artery. The SMA is a branch of the aorta, not the main vessel itself at this central location. - Y is also incorrectly identified as the aorta. As explained earlier, the **aorta is typically to the left** of the vertebral body and has a thicker wall, fitting the description for X.
Explanation: ***Pneumoperitoneum*** - The CT image clearly shows **free air (darker areas) within the abdominal cavity** above the liver and bowel loops, which is indicative of pneumoperitoneum. - This finding is consistent with **gas outside the bowel lumen** in the peritoneal space, often resulting from a perforated hollow viscus. *Toxic megacolon* - Toxic megacolon is characterized by **colonic dilation** (typically >6 cm) with signs of systemic toxicity, which is not primarily observed or highlighted here. - While it's a severe condition, the most striking feature in this CT image is the presence of **free intraperitoneal gas**, not diffuse colonic distension. *Perforation peritonitis* - **Perforation peritonitis** is a clinical diagnosis characterized by inflammation of the peritoneum due to a perforation. - While pneumoperitoneum often **causes perforation peritonitis**, the image itself directly depicts the presence of free air and not necessarily the inflammatory response or clinical state of peritonitis. The image solely focuses on the presence of gas. *Bowel obstruction* - Bowel obstruction would typically show **dilated bowel loops proximal to an obstruction point** and collapse beyond it, often with air-fluid levels. - This CT scan does not predominantly display dilated bowel loops or a clear transition point characteristic of a bowel obstruction; instead, the most prominent feature is **extraluminal air**.
Explanation: ***Rectus sheath hematoma*** - The abdominal X-ray (left image) shows a **large soft tissue mass** in the upper abdomen causing displacement of bowel loops. The CT scan (right image) demonstrates a **well-defined, high-attenuation lesion within the rectus sheath**, indicated by the arrow, consistent with a hematoma. - The appearance of a **fluid collection with high attenuation** on CT in the rectus sheath area, along with the mass effect seen on the plain film, is characteristic of a rectus sheath hematoma. *Small intestinal obstruction* - Small bowel obstruction typically presents with **dilated small bowel loops** and **air-fluid levels** on plain radiographs, which are not the primary finding here. - While there is some bowel gas displacement, the prominent finding is a soft tissue mass rather than classic obstructive patterns. *Large intestinal obstruction* - Large bowel obstruction involves **dilated large bowel loops**, often with **haustral folds**, and may present with a collapsed small bowel distal to the obstruction point. - The images do not show a pattern typical of dilated colon or specific features of large bowel obstruction. *Pneumoperitoneum* - Pneumoperitoneum refers to **free air in the peritoneal cavity**, often visible as air under the diaphragm on an upright chest X-ray or as free air outlining abdominal structures on supine films. - The provided images do not show evidence of free intraperitoneal air; instead, they demonstrate a contained soft tissue mass.
Explanation: ***Helical CT with contrast*** - **Helical CT with contrast** provides detailed anatomical imaging and information about vascularity, which is crucial for characterizing solid renal masses and distinguishing between benign and malignant lesions. - Given the patient's age and the appearance of the lesion (likely a solid mass based on context, potentially a renal cell carcinoma), contrast enhancement helps assess tumor extent, invasion, and metastatic disease. *USG* - **Ultrasound (USG)** is often the initial imaging modality for renal lesions due to its accessibility and lack of radiation. - However, it has limitations in fully characterizing solid masses and determining their exact nature or extent compared to CT or MRI. *Helical CT* - **Helical CT without contrast** is useful for identifying renal masses and detecting calcifications. - It lacks the ability to assess the vascularity of the lesion, which is vital for differentiating benign cysts from solid tumors, or characterizing the nature of a solid tumor. *MRI* - **MRI** is an excellent alternative to CT, especially in patients with renal insufficiency or contrast allergies. - While highly effective for characterizing renal masses, it is generally considered a second-line imaging option to CT with contrast for initial workup in most cases, or if CT findings are inconclusive.
Imaging of Liver
Practice Questions
Biliary Tract Imaging
Practice Questions
Pancreatic Imaging
Practice Questions
Spleen and Lymphatic System
Practice Questions
Gastrointestinal Tract Imaging
Practice Questions
Renal and Urinary Tract Imaging
Practice Questions
Adrenal Imaging
Practice Questions
Female Pelvic Imaging
Practice Questions
Male Pelvic Imaging
Practice Questions
Abdominal Trauma Imaging
Practice Questions
Acute Abdomen Imaging
Practice Questions
Imaging of Peritoneal Cavity and Retroperitoneum
Practice Questions
Get full access to all questions, explanations, and performance tracking.
Start For Free