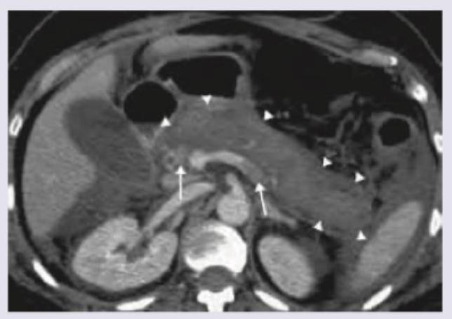
A 40-year-old alcoholic presents with severe epigastric pain and hemodynamic collapse. CT abdomen was performed after fluid resuscitation which shows: (Recent NEET Pattern 2016-17)

A 50-year-old man went for his annual medical check-up. CT scan is shown below. Diagnosis is?

The following image shows the presence of?

Identify the grade of vesico-ureteric reflux in the picture below?

An abdominal X-ray of a patient with ulcerative colitis shows peripheral placed bowel dilatations with loss of haustrations. The transverse colon diameter measures 7 cm. The image shown is characteristic of:

CT abdomen shows: (Recent NEET Pattern 2016-17)

The following image shows:

The following urinary bladder on MCU is diagnostic of:

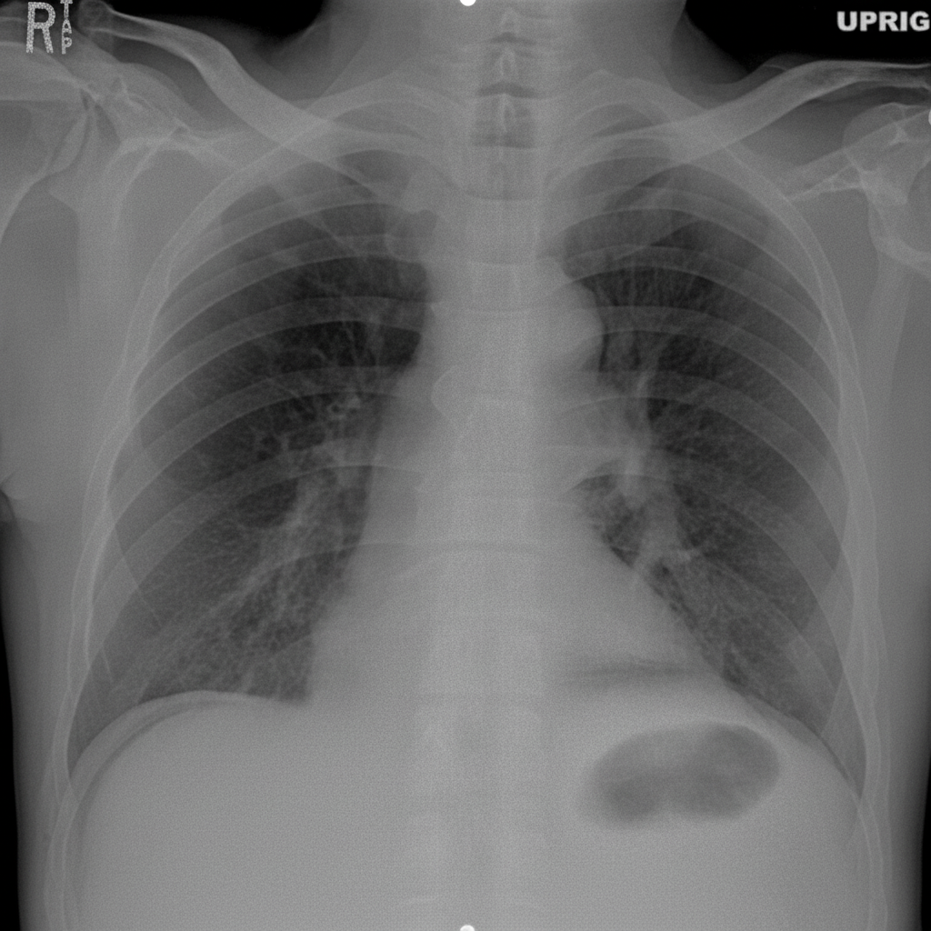
What does the X-ray film show?

A patient presents with abdominal pain, diarrhea and weight loss. He gives a history of taking treatment for pulmonary TB. What does the barium film of the patient show?

Explanation: ***Severe acute pancreatitis*** - The CT scan shows significant **peripancreatic fat stranding** and **fluid collections** (indicated by arrowheads), which are hallmark features of acute pancreatitis - The presence of **hemodynamic collapse** with extensive peripancreatic inflammatory changes indicates **severe acute pancreatitis** (previously called necrotizing pancreatitis) - Clinical context: **alcoholic patient** with severe epigastric pain and shock—classic presentation requiring ICU care - The **revised Atlanta classification** defines severe acute pancreatitis by the presence of organ failure (hemodynamic collapse = cardiovascular failure) *Acute pancreatitis* - While the CT undeniably shows acute pancreatitis, this option is **too non-specific** given the clinical severity - The presence of **hemodynamic collapse** (organ failure) by definition classifies this as **severe** acute pancreatitis, not simple acute pancreatitis - Missing the severity classification could lead to underestimation of disease gravity and inadequate management *Perforation peritonitis* - Would typically show **free intraperitoneal air** (pneumoperitoneum) on CT, which is absent here - The CT findings are specifically pancreatic: **peripancreatic inflammation and fluid collections**, not diffuse peritoneal contamination - While severe epigastric pain and collapse can occur with perforation, the imaging is diagnostic for pancreatic pathology *Pseudo-pancreatic cyst* - Pseudocyst is a **late complication** of acute pancreatitis, typically forming **4-6 weeks** after the initial attack - Represents a **mature, well-defined fluid collection** with a fibrous wall, not acute inflammatory changes - The patient's **acute presentation** with immediate pain and hemodynamic collapse, along with diffuse peripancreatic inflammatory changes (not a discrete encapsulated collection), excludes this diagnosis
Explanation: ***Renal angiomyolipoma*** - The CT scan shows a renal mass with areas of **macroscopic fat density**, which is the hallmark of an angiomyolipoma. - Angiomyolipomas are **benign renal tumors** composed of variable amounts of smooth muscle, vascular tissue, and mature adipose tissue. *Renal cell carcinoma* - While renal cell carcinoma can present as a solid renal mass, it typically does **not contain macroscopic fat**. - It usually enhances heterogeneously with contrast and may show areas of necrosis or hemorrhage, but the presence of fat rules out typical RCC. *Renal cyst* - Renal cysts are typically **simple fluid-filled structures** with very low attenuation values (close to water) and **do not contain solid components or fat**. - They also have thin, imperceptible walls and do not enhance with contrast. *Rhabdomyosarcoma* - Rhabdomyosarcomas are **malignant soft tissue tumors** rarely found in the kidney, and would appear as a solid, often heterogeneous mass on CT. - They do **not contain fat** and are aggressive tumors, often associated with a different patient demographic (e.g., children).
Explanation: ***Bladder stone*** - The image displays multiple **radiopaque densities** (stones) clustered within the pelvic cavity, specifically in the region where the urinary bladder is anatomically located. - The aggregation and rounded shapes are characteristic of **vesical calculi** (bladder stones). *Ureter stone* - **Ureteral stones** would typically appear as a single or a few stones following the course of the ureters, which are tubular structures extending from the kidneys to the bladder. - The diffuse, multi-focal collection seen in the image is not consistent with the typical presentation of a ureteric calculus. *Urethral stone* - A **urethral stone** would be located within the urethra, which is inferior to the bladder and would typically present as a single, elongated calculus in the distal urinary tract. - The location and multiple, scattered appearance in the image do not match a urethral stone. *Prostate calcification* - **Prostatic calcifications** are usually smaller, often punctate, and concentrated within the confines of the prostatic gland, typically inferior to the bladder neck. - The calcifications in the image are larger and more widely distributed, not confined to the typical anatomical borders of the prostate.
Explanation: ***Grade V*** - This image shows **severe dilation** and **tortuosity of the ureter**, along with **blunting of the renal calyces** and loss of papillary impressions, extending all the way to the renal pelvis. - Grade V VUR indicates the most severe form of reflux, with significant distortion of the pelvicalyceal system, often associated with **renal parenchymal damage**. *Grade II* - Grade II VUR involves reflux into the **ureter, renal pelvis, and calyces**, but with **no dilation** and normal calyces. - The image clearly displays significant dilation and blunting of calyces, which is beyond Grade II. *Grade III* - In Grade III VUR, there is reflux into the **ureter** and **pelvicalyceal system (renal pelvis and calyces)** with **mild to moderate dilation** and slight blunting of the calyces. - The marked tortuosity and severe dilation seen in the image exceed the characteristics of Grade III. *Grade IV* - Grade IV VUR is characterized by **moderate to severe dilation** and **tortuosity of the ureter** and pelvicalyceal system, with **moderate blunting** of the calyces. - While there is severe dilation and tortuosity, the extent of calycial blunting and loss of papillary impressions in the image is more consistent with Grade V.
Explanation: ***Toxic megacolon*** - The description of **peripheral placed bowel dilatations**, loss of haustrations, and large bowel dilatation with a transverse/ascending colon diameter >6cm are classic radiological signs of **toxic megacolon**. - This condition is often seen in patients with **ulcerative colitis (UC)** and can be triggered by factors like electrolyte abnormalities and narcotics, as mentioned in the question. *Intestinal pneumatosis* - This condition is characterized by the presence of **intramural bowel gas**, which means gas within the wall of the intestine. - While it can be a severe condition and is seen in some acute abdominal pathologies like necrotizing enterocolitis, it is not primarily described by the given features of lumenal dilatation and loss of haustrations. *Volvulus* - **Volvulus** refers to the twisting of a section of the bowel on its mesentery, leading to obstruction and potentially ischemia. - The radiological hallmark is often a **"coffee bean sign"** (in sigmoid volvulus) or a significantly dilated loop of bowel at the site of torsion, which is distinct from the diffuse peripheral dilatation and loss of haustrations described. *Ileus* - **Ileus** is a functional obstruction of the bowel due to the temporary arrest of intestinal peristalsis. - While it involves bowel dilatation, it typically affects both small and large bowel somewhat uniformly, and the description of **loss of haustrations** and specific diameter cutoffs for the transverse/ascending colon are more indicative of toxic megacolon.
Explanation: ***Diverticulosis*** - The image shows an out-pouching of the colonic wall (indicated by the white arrow), characteristic of a **diverticulum**. - **Diverticulosis** refers to the presence of multiple such diverticula, often seen in the colon on CT scans. *Hiatus hernia* - A hiatus hernia involves the protrusion of the **stomach** through the **esophageal hiatus** of the diaphragm into the chest cavity. - This image does not show any gastric organ extending above the diaphragm. *Gallstones* - Gallstones are calcified deposits found within the **gallbladder**, appearing as bright, high-density structures. - The structure indicated by the arrow is clearly an out-pouching of the bowel wall, not a calcified stone within the gallbladder. *Acute pancreatitis* - Acute pancreatitis is characterized by **inflammation of the pancreas**, often visible as pancreatic enlargement, peripancreatic fat stranding, and fluid collections. - The image does not show any signs suggestive of pancreatic inflammation or changes in the pancreas itself.
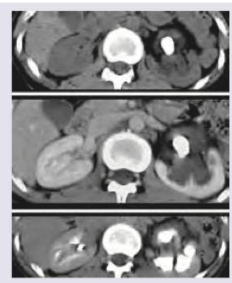
Explanation: ***Xanthogranulomatous pyelonephritis*** - The imaging shows an enlarged kidney with replacement of renal parenchyma by **hypodense mass lesions** and ill-defined contours, often described as a **"bear paw" sign** due to dilated calyces containing purulent material. - The presence of **calcifications** (staghorn calculus) and chronic inflammatory changes in the renal parenchyma further supports xanthogranulomatous pyelonephritis, a severe chronic infection often associated with **obstructive nephropathy**. *Splenic hematoma* - A splenic hematoma would appear as a **hypodense collection within the spleen**, potentially with surrounding active extravasation if acute, which is not depicted in the image (the visible pathology is renal). - The spleen appears distinct from the kidney pathology shown, and there are no characteristic features of a splenic injury. *Emphysematous pyelonephritis* - This condition is characterized by **gas formation within the renal parenchyma** and collecting system, appearing as hypodense areas with specific Hounsfield units corresponding to gas, which is not primarily seen here. - While both are severe kidney infections, the main features in the image point to chronic destruction rather than acute gas-forming infection. *Renal pelvic calculus* - A renal pelvic calculus would appear as a **bright, hyperdense structure within the renal pelvis or calyces**, distinct and well-defined. - While calcifications are present, they are part of a larger, destructive process involving the entire kidney parenchyma, which is more characteristic of xanthogranulomatous pyelonephritis rather than an isolated calculus.
Explanation: ***VUR (Vesicoureteral Reflux)*** - The image is a **micturating cystourethrogram (MCU)** showing the urinary bladder filled with contrast - The white arrows point to areas where **contrast material is refluxing from the bladder back into the ureters** - This retrograde flow of urine from the bladder into the ureters is **diagnostic of VUR** - VUR is graded from I to V based on the severity of reflux and associated ureteral/renal pelvic dilatation *Posterior urethral valve* - Would show a **dilated posterior urethra** with abrupt narrowing at the valve level - Typically seen as a **keyhole sign** on MCU in male children - May have secondary VUR but the primary finding would be urethral obstruction - Not the primary diagnosis in this image showing bilateral ureteral reflux *Bladder diverticulum* - Would appear as an **outpouching from the bladder wall** - Shows contrast-filled sac communicating with the bladder lumen - Does not show reflux into ureters as the primary finding - Not demonstrated in this MCU *Ureterocele* - Appears as a **cystic dilatation of the distal ureter** within the bladder - Seen as a **cobra head sign** or filling defect in the bladder - May cause obstruction but does not show retrograde reflux into ureters - Not the finding depicted in this image
Explanation: ***Perforated abdominal viscus*** - X-ray findings in perforated viscus include **free air under the diaphragm** (pneumoperitoneum) on erect chest/abdominal X-ray, which is the hallmark sign - **Rigler's sign** (both sides of bowel wall visible) and **football sign** (large amount of free air outlining abdominal organs) may be seen - Common causes include **perforated peptic ulcer**, perforated appendix, or bowel perforation from trauma or ischemia - This represents a **surgical emergency** requiring immediate intervention *Intestinal obstruction* - Shows **dilated bowel loops** with **air-fluid levels** on erect X-ray - **Absent or reduced gas in distal bowel** in complete obstruction - Does not typically show free intraperitoneal air unless there is associated perforation - Multiple air-fluid levels at different heights distinguish it from perforation *Pneumoperitoneum* - While pneumoperitoneum (free intraperitoneal air) is a **radiological finding**, it is not a diagnosis in itself - It is a **sign** that indicates perforation of a hollow viscus - "Perforated abdominal viscus" is the more complete clinical diagnosis that explains the cause of pneumoperitoneum *Right hydropneumothorax* - Shows **air-fluid level in the pleural space** (thoracic cavity, not abdominal) - Air appears as **radiolucency in upper part** with fluid level below in the pleural cavity - Caused by trauma, infection (empyema with gas-forming organisms), or iatrogenic causes - Would be seen in the **chest**, not abdomen, and would not show subdiaphragmatic free air
Explanation: ***Pulled up cecum*** - The image shows a **deformed and pulled-up cecum** (indicated by the arrow) which is characteristic of **intestinal tuberculosis (TB)**, especially when combined with a history of pulmonary TB, abdominal pain, diarrhea, and weight loss. - This appearance is due to **fibrosis and contracture** caused by chronic inflammation from Mycobacterium tuberculosis infection affecting the ileocecal region, leading to architectural distortion and shortening. *Saw tooth* - A "sawtooth" appearance is typically associated with **spasm** or **haustral changes** in the colon, which is not the primary finding or most specific sign for intestinal tuberculosis. - While irregular contours can be seen, the dominant feature here is the **distortion and displacement** of the cecum, not simple serrations. *Intestinal perforation* - Intestinal perforation would result in the extravasation of contrast material into the peritoneal cavity, which is **not seen** in this barium study. - Perforation is an acute, life-threatening condition, and its imaging findings are distinct from the chronic changes shown here. *Diverticulum formation* - **Diverticula** appear as small, pouch-like outpouchings from the bowel wall, which are **absent** in this image. - Diverticulosis is a common condition but does not explain the patient's symptoms or the specific cecal deformity shown, especially in the context of prior TB.
Imaging of Liver
Practice Questions
Biliary Tract Imaging
Practice Questions
Pancreatic Imaging
Practice Questions
Spleen and Lymphatic System
Practice Questions
Gastrointestinal Tract Imaging
Practice Questions
Renal and Urinary Tract Imaging
Practice Questions
Adrenal Imaging
Practice Questions
Female Pelvic Imaging
Practice Questions
Male Pelvic Imaging
Practice Questions
Abdominal Trauma Imaging
Practice Questions
Acute Abdomen Imaging
Practice Questions
Imaging of Peritoneal Cavity and Retroperitoneum
Practice Questions
Get full access to all questions, explanations, and performance tracking.
Start For Free