A 55-year-old male patient presents with hematuria and a mass in the left kidney on a CT scan, as shown below. What is the diagnosis?
Identify the investigation modality shown in the image.
Which of the following kidney stones best explains the findings in this X-ray KUB?

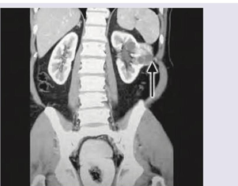
The following MRI image shows:

The following IVU shows:

The given IVU shows:

The radiographic findings are most consistent with:

What does the given CT abdomen show?

A 28-year-old male patient presents with colicky abdominal pain along with vomiting. X-ray abdomen shows:

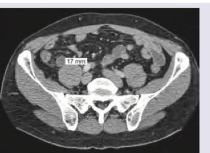
This young patient presented with acute right lower abdominal pain. What is the possible diagnosis?

Explanation: ***Renal angiomyolipoma*** - This is a benign renal tumor composed of three tissue types: blood vessels (**angio**), smooth muscle (**myo**), and fat (**lipoma**). The presence of macroscopic fat on a CT scan is a key diagnostic feature. - Patients can be asymptomatic or present with **hematuria** or flank pain, particularly if the tumor is large. There is a strong association with **tuberous sclerosis**. *Renal cell carcinoma* - This is the most common malignant kidney tumor in adults, often presenting with **hematuria**, flank pain, and a palpable mass (the classic triad). - On imaging, it typically appears as a heterogeneously enhancing solid mass and crucially, **lacks macroscopic fat**, which helps differentiate it from an angiomyolipoma. *Renal oncocytoma* - This is a benign epithelial tumor that can be difficult to distinguish from renal cell carcinoma on imaging alone. - It may show a characteristic **central stellate scar** on contrast-enhanced CT, but it does not contain significant fat tissue. *Renal cyst* - A simple renal cyst appears on CT as a well-defined, thin-walled, non-enhancing lesion filled with fluid of **water density**. - The image and description indicate a solid, **neovascular mass**, which is inconsistent with the avascular nature of a simple cyst.
Explanation: ***X-ray defecogram*** - This is a dynamic fluoroscopic study, also known as **evacuation proctography**, which visualizes the rectum and anal canal during the act of defecation. - The images show contrast material within the rectum and its expulsion, allowing for the assessment of anorectal angle, pelvic floor descent, and identification of pathologies like **rectocele**, **enterocele**, or **intussusception**. *Barium swallow* - A barium swallow is a radiographic study used to examine the **upper gastrointestinal tract**, specifically the pharynx, esophagus, and stomach. - The image clearly depicts the pelvic anatomy and rectum, not the upper GI tract. *MR defecogram* - While also a dynamic study of defecation, an MR defecogram utilizes **magnetic resonance imaging (MRI)**, which provides superior soft-tissue contrast and does not use ionizing radiation. - The image shown is a plain radiograph (X-ray), which has a different appearance compared to an MRI scan. *X-ray barium enema* - A barium enema is used to visualize the anatomy of the **entire large intestine** to detect structural abnormalities like polyps, tumors, or diverticula. - It is typically a static study of the colon's morphology, whereas a defecogram is a functional study focused on the dynamics of evacuation.
Explanation: ***Uric acid*** - The X-ray KUB image shows **radio-lucent stones** (stones that are not visible) within the kidneys, which is characteristic of **uric acid** stones. - Uric acid stones appear radio-lucent because they **do not contain calcium** and have a low atomic number, making them poorly visible on plain radiographs. *Xanthine* - **Xanthine stones** are also typically **radio-lucent** on X-ray, similar to uric acid stones. - However, they are much **rarer** than uric acid stones, often associated with genetic disorders of purine metabolism or allopurinol use. *Phosphate* - **Phosphate stones**, such as **calcium phosphate** and **magnesium ammonium phosphate (struvite)** stones, are typically **radio-opaque** and appear bright white on X-ray. - Struvite stones often grow large, forming **staghorn calculi**, which is not depicted as a radio-opaque lesion here. *Cystine* - **Cystine stones** are usually **faintly radio-opaque** or **semi-opaque** on X-ray, appearing less dense than calcium stones but more dense than uric acid stones. - They tend to form in acidic urine environments due to a genetic defect in amino acid transport.
Explanation: ***Hydronephrosis*** - The MRI image clearly shows **dilatation of the renal pelvis and calyces** in the left kidney, indicated by the arrow. This uniform distension is characteristic of hydronephrosis secondary to obstruction. - This condition results from an **obstruction of urine outflow**, leading to urine accumulation and subsequent swelling of the kidney's collecting system. *RCC* - **Renal cell carcinoma (RCC)** typically presents as a solid mass or lesion within the kidney parenchyma, which is not depicted in this image. - While an RCC could cause obstruction leading to hydronephrosis, the primary finding here is fluid distension, not a solid tumor. *Nephronophthisis* - **Nephronophthisis** is a genetic disorder characterized by **cysts primarily in the renal medulla** and progressive renal failure. It typically causes small, shrunken kidneys with numerous small cysts, not widespread pelvicalyceal dilation. - It usually manifests in childhood or adolescence with symptoms related to chronic kidney disease, which doesn't directly correspond to the imaging finding of marked collecting system dilation. *Polycystic kidney* - **Polycystic kidney disease** is characterized by the presence of **multiple cysts of varying sizes throughout the renal parenchyma**, leading to enlarged, distorted kidneys. - The image shows a single, dilated collecting system rather than numerous discrete cysts distributed throughout the kidney.
Explanation: ***Horseshoe kidney*** - The image shows both kidneys are **fused at their lower poles** across the midline, forming a "horseshoe" shape, which is a classic radiographic finding for this condition. - The **calyces and renal pelves are seen medially oriented**, supporting the diagnosis of a horseshoe kidney. *Hydronephrosis* - **Hydronephrosis** would appear as a dilation of the renal pelvis and calyces due to obstruction, which is not the primary finding here. - While a horseshoe kidney can be associated with hydronephrosis due to an abnormal ureteral course, the image clearly depicts the **fused renal parenchyma** rather than just dilation. *Polycystic kidney* - **Polycystic kidneys** are characterized by numerous cysts of varying sizes replacing normal renal parenchyma, which would present as enlarged, multi-cystic kidneys on imaging. - The image does not show multiple cysts replacing the renal tissue but rather a **fused, single-mass structure** in the lower abdomen. *Duplication of collecting system* - **Duplication of the collecting system** involves two ureters draining a single kidney, or a bifid renal pelvis, which would appear as double ureters or collecting systems on an IVU. - This condition does not present with the characteristic **fusion of the renal poles** across the midline as seen in the image.
Explanation: ***Horse shoe kidney*** - The IVU image clearly shows both kidneys are **fused at their lower poles**, forming a 'U' shape across the midline, characteristic of a **horseshoe kidney**. - This fusion often results in the kidneys lying lower in the abdomen and can cause anatomical variations in the **collecting system and vasculature**, as hinted by the lower position and altered calyces. *Hydronephrosis* - **Hydronephrosis** would manifest as **dilatation of the renal pelvis and calyces** due to urine outflow obstruction. - While horseshoe kidneys can be prone to hydronephrosis due to their abnormal anatomy, the primary finding here is the fusion, not significant dilatation. *Polycystic kidney* - **Polycystic kidney disease** would present with multiple **cysts replacing normal kidney parenchyma**, leading to enlarged, typically non-functioning kidneys. - The image does not show multiple fluid-filled sacs or significant renal enlargement typical of polycystic disease. *Duplication of collecting system* - A **duplication of the collecting system** (e.g., duplicate ureters) would show two distinct collecting systems draining from a single kidney. - The image shows a single collecting system for each kidney, albeit abnormally shaped due to the fusion, but not duplicated.
Explanation: ***Paralytic ileus*** - The image shows a **plain abdominal radiograph** revealing **diffusely dilated bowel loops** throughout the small and large intestines, with air-fluid levels, consistent with **paralytic ileus** (also known as adynamic ileus). - Paralytic ileus is a common cause of bowel dilation post-surgery, inflammation, or electrolyte disturbances, where **peristalsis ceases temporarily** without a mechanical obstruction. *Hyperkalemia* - **Hyperkalemia** is an electrolyte imbalance that can lead to significant cardiac dysfunction and muscle weakness, but it **does not directly cause generalized bowel dilation** visible on an X-ray. - While severe electrolyte imbalances can sometimes contribute to ileus, hyperkalemia itself is a metabolic derangement, not a radiographic finding. *Burst abdomen* - A **burst abdomen** (or wound dehiscence) refers to the **separation of abdominal wound edges**, typically after surgery, and is a clinical finding, often with evisceration. - It describes a **surgical complication of the abdominal wall** and is not reflected by the dilated bowel loops seen internally on this radiograph. *Malnutrition* - **Malnutrition** is a state of nutrient deficiency and can lead to various systemic problems, including muscle wasting and immune compromise. - While severe malnutrition can subtly affect bowel function over time, it is **not directly demonstrable as acute, diffuse bowel dilation** on a plain abdominal X-ray.
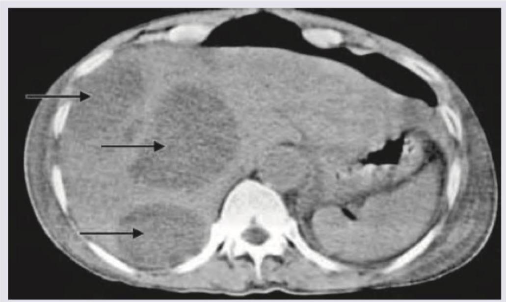
Explanation: ***Hydatid cyst*** - The image shows a large, **multiloculated cystic lesion** within the liver, typical of a hydatid cyst with **daughter cysts** (indicated by arrows). - The presence of **internal septations** and **daughter cysts** strongly suggests **Echinococcus granulosus infection**. - Classic imaging features include the "**water lily sign**" (floating membranes) and **wheel-spoke pattern** of septations. *Liver abscess* - A liver abscess typically appears as a **single or multiple fluid-filled cavities** with **rim enhancement** on contrast CT. - Usually associated with **fever, leukocytosis**, and may show **gas bubbles** if pyogenic. - Lacks the characteristic **daughter cyst** appearance and organized septations seen in hydatid disease. *Hepatic adenoma* - Hepatic adenomas are **solid, well-circumscribed lesions** that may contain **fat** and show **arterial phase enhancement**. - They can undergo **hemorrhage** but do not present as **multiloculated cysts** with daughter cysts. - Typically occur in women on **oral contraceptives**. *Hepatocellular carcinoma* - HCC is typically a **solid mass** with characteristic **arterial phase hyperenhancement** and **venous/delayed phase washout**. - May show **capsule appearance** and can invade vessels. - While large HCCs can have **necrotic areas**, they lack the classic "**daughter cyst**" appearance pathognomonic of hydatid disease.
Explanation: ***Small bowel obstruction*** - The X-ray image shows multiple **dilated loops of small bowel** with **air-fluid levels** and prominent **valvulae conniventes** (herringbone pattern), which are classic signs of small bowel obstruction. - The clinical presentation of **colicky abdominal pain** and **vomiting** is highly consistent with a small bowel obstruction. *Pseudo-obstruction* - Pseudo-obstruction, or Ogilvie's syndrome, primarily affects the **large bowel**, leading to colonic dilation without a mechanical obstruction. - While it can cause abdominal pain and vomiting, the X-ray findings would typically show marked dilation of the colon rather than predominantly small bowel loops. *Cancer colon* - Colon cancer, if it causes obstruction, typically presents as a **large bowel obstruction**, with colonic dilation proximal to the tumor. - While severe cases could lead to cecal dilation and subsequent small bowel obstruction, the primary radiographic findings would focus on the colon. *Paralytic ileus* - Paralytic ileus, or adynamic ileus, involves generalized bowel dilation (both small and large bowel) due to **impaired peristalsis**, without mechanical obstruction. - Although it causes abdominal pain and vomiting, it usually presents with more continuous, less colicky pain, and the X-ray often shows gas in the colon, which is typically absent or minimal in a complete small bowel obstruction.
Explanation: ***Acute appendicitis*** - The CT scan shows a dilated, **thickened appendix** measuring 17 mm in diameter, which is a classic finding for acute appendicitis. - The patient's presentation with acute right lower abdominal pain is highly consistent with this diagnosis. *Acute salpingo-oophoritis* - This condition involves inflammation of the **fallopian tubes and ovaries** due to infection, typically causing bilateral lower abdominal pain and fever. - The image does not show findings specific to salpingo-oophoritis, such as **tubo-ovarian abscess** or significant adnexal inflammation. *Ruptured ectopic pregnancy* - A ruptured ectopic pregnancy would typically present with severe lower abdominal pain, **vaginal bleeding**, and hemodynamic instability in a female patient, none of which are described. - Imaging would typically show **pelvic free fluid** and an adnexal mass, rather than an inflamed appendix. *Intestinal obstruction due to Meckel's diverticulum* - Intestinal obstruction would present with **abdominal distension**, vomiting, and changes in bowel habits, which are not mentioned in the patient's presentation. - While Meckel's diverticulum can cause obstruction, the primary finding on this CT is a **dilated appendix**, not bowel obstruction.
Imaging of Liver
Practice Questions
Biliary Tract Imaging
Practice Questions
Pancreatic Imaging
Practice Questions
Spleen and Lymphatic System
Practice Questions
Gastrointestinal Tract Imaging
Practice Questions
Renal and Urinary Tract Imaging
Practice Questions
Adrenal Imaging
Practice Questions
Female Pelvic Imaging
Practice Questions
Male Pelvic Imaging
Practice Questions
Abdominal Trauma Imaging
Practice Questions
Acute Abdomen Imaging
Practice Questions
Imaging of Peritoneal Cavity and Retroperitoneum
Practice Questions
Get full access to all questions, explanations, and performance tracking.
Start For Free