What is the most common organ involved in retroperitoneal fibrosis?
What is the imaging of choice (IOC) for ureteric stone with acute colic?
The 'bird of prey' sign is seen in the radiographic barium examination of which condition?
Gas in the great vessels of a fetus indicates which of the following?
A 50-year-old male, a known case of ulcerative colitis, presents with acute onset abdominal distention and vomiting. What would be the next investigation?
What is the best investigation to detect pneumoperitoneum?
Which condition is characterized by the 'thumb printing' sign on imaging?
Which of the following radiographic signs is NOT typically seen in pneumoperitoneum?
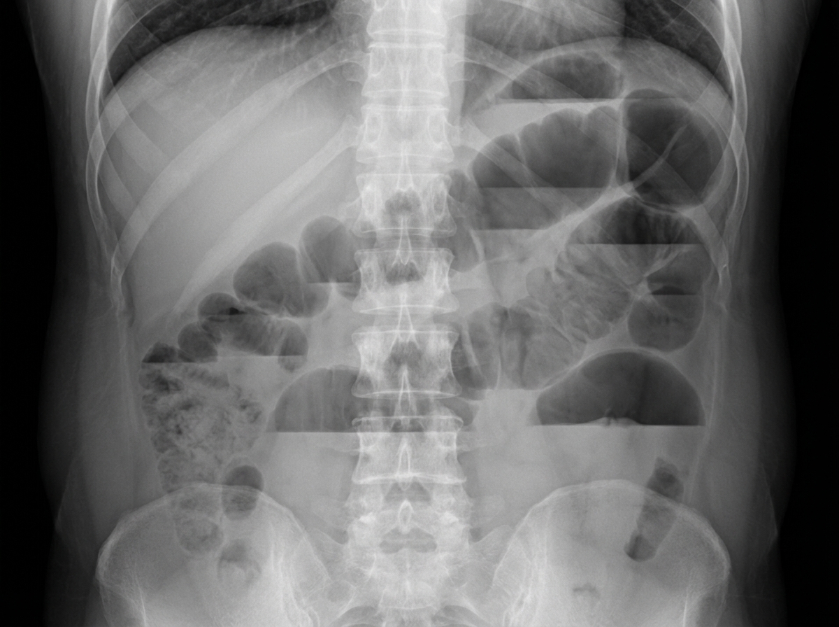
Which of the following is the most probable diagnosis based on the provided X-ray of the abdomen?

The 'spider leg' sign on an intravenous pyelogram (IVP) suggests which of the following conditions?
Explanation: **Explanation:** **Retroperitoneal Fibrosis (RPF)**, also known as Ormond’s disease, is characterized by the proliferation of aberrant fibro-inflammatory tissue in the retroperitoneum. **Why Ureter is the correct answer:** The fibrous plaque typically begins around the infrarenal aorta and expands laterally. The **ureters** are the most commonly involved structures because they lie in close proximity to the great vessels within the retroperitoneal space. The fibrosis characteristically encases the ureters and pulls them medially (**medial deviation of ureters**), leading to extrinsic compression and obstructive uropathy (hydronephrosis), which is the most frequent clinical presentation. **Analysis of Incorrect Options:** * **Aorta:** While the fibrosis often originates around the aorta (periaortitis), the aorta is a thick-walled, high-pressure vessel that is rarely compressed or functionally compromised by the plaque. * **Inferior Vena Cava (IVC):** The IVC can be involved and compressed, leading to lower limb edema or DVT, but this occurs less frequently than ureteric involvement. * **Sympathetic nerve plexus:** These nerves can be encased, potentially causing vague back pain, but they are not the primary "organ" of clinical concern or the most common site of involvement compared to the urinary tract. **High-Yield Clinical Pearls for NEET-PG:** * **Etiology:** 70% are idiopathic; 30% are secondary (drugs like Methysergide, Ergotamine; infections; or malignancy). * **IgG4-Related Disease:** Idiopathic RPF is now frequently recognized as part of the IgG4-related systemic disease spectrum. * **Radiological Sign:** Medial deviation of the middle third of the ureters on IVP (Intravenous Pyelogram). * **Treatment:** Corticosteroids are the first-line medical management; ureteric stenting or surgery (ureterolysis) may be required for obstruction.
Explanation: **Explanation:** **1. Why Non-Contrast CT (NCCT) is the Correct Answer:** Non-contrast CT of the Kidney, Ureter, and Bladder (NCCT KUB) is the **gold standard** and **Imaging of Choice (IOC)** for acute ureteric colic. Its superiority lies in its high sensitivity (95-97%) and specificity (96-98%). * **Medical Concept:** Almost all urinary stones (including uric acid stones, which are radiolucent on X-ray) appear **hyperdense (opaque)** on CT. NCCT can detect stones as small as 1-2 mm, determine their exact location, size, and Hounsfield Unit (density), and identify secondary signs of obstruction like hydroureteronephrosis or "stranding" of perinephric fat. **2. Why Other Options are Incorrect:** * **Ultrasound (USG):** While safe and radiation-free, USG is operator-dependent and often misses small ureteric stones, especially in the mid-ureter, due to overlying bowel gas. It is the IOC for pregnant women and children, but not the general population. * **X-ray KUB:** Approximately 10-15% of stones (uric acid, cysteine, or very small stones) are **radiolucent** and invisible on X-ray. It also cannot reliably distinguish between a phlebolith and a stone. * **Contrast CT:** Intravenous contrast is generally avoided in acute colic because the excreted contrast in the collecting system has high density, which can "mask" or hide the stone, making it difficult to visualize. **3. High-Yield Clinical Pearls for NEET-PG:** * **IOC for Urolithiasis in Pregnancy:** Ultrasound (MRI is second-line). * **Most common site for stone lodgment:** Vesicoureteric Junction (VUJ). * **Hardest stone on CT:** Calcium Oxalate Monohydrate (Highest HU). * **Softest stone on CT:** Uric acid (Lowest HU). * **Indication for IVP (Intravenous Pyelogram):** Now largely replaced by CT Urography; used to study the anatomy of the pelvicalyceal system.
Explanation: ### Explanation The **'bird of prey' sign** (also known as the 'bird's beak' sign) is a classic radiological finding in **sigmoid volvulus** during a barium enema examination. **1. Why Sigmoid Volvulus is correct:** Sigmoid volvulus occurs when the sigmoid colon twists around its mesentery. This torsion creates a high-grade mechanical obstruction. When barium contrast is introduced via the rectum, it flows up to the point of the twist but cannot pass through. The narrowing of the barium column at the site of the torsion tapers into a point, resembling the **beak of a bird** or a **bird of prey**. **2. Why the other options are incorrect:** * **Gastric volvulus:** Typically presents with the **'Upside-down stomach'** on X-ray or Borchardt's triad clinically. While a 'beak' can sometimes be seen at the GE junction, the term 'bird of prey' is classically reserved for sigmoid volvulus. * **Intussusception:** Characterized by the **'Coiled spring' appearance** or 'Cupola sign' on barium enema, and the 'Target' or 'Pseudokidney' sign on ultrasound. * **Cecal volvulus:** Usually shows a **'Coffee bean'** or 'Comma-shaped' air-filled loop in the mid-abdomen/RUQ on plain X-ray. On barium enema, it may show a 'beak' at the ascending colon, but the 'bird of prey' nomenclature specifically points to the sigmoid. **3. Clinical Pearls for NEET-PG:** * **Plain X-ray finding:** The most common sign for sigmoid volvulus is the **'Coffee bean sign'** (inverted U-shape). * **Predisposing factors:** Chronic constipation, high-fiber diet, and redundant sigmoid colon (common in the elderly). * **Management:** Sigmoidoscopic detorsion is the initial treatment of choice if there is no gangrene; otherwise, emergency surgery (Hartmann’s procedure) is required.
Explanation: **Explanation:** The presence of gas in the great vessels (aorta, vena cava, or heart) of a fetus is known as **Robert’s Sign**. This is a classic radiological sign of **intrauterine fetal death (IUFD)**. **Why the correct answer is right:** Robert’s Sign occurs due to the decomposition of fetal blood, which leads to the release of gases (primarily nitrogen) into the circulatory system. It is one of the earliest radiological signs of fetal demise, often appearing within 12 to 24 hours after death. It is best visualized on a plain X-ray or ultrasound as echogenic foci with shadowing within the fetal heart or large vessels. **Why the incorrect options are wrong:** * **Fetal distress (A):** This is a clinical state (often diagnosed via heart rate monitoring or Doppler) where the fetus is compromised but alive. Gas formation does not occur in a living fetus. * **Postmature fetus (B):** A fetus beyond 42 weeks gestation may show signs of placental insufficiency or meconium staining, but gas in the vessels is not a feature of postmaturity. * **Premature fetus (D):** Prematurity refers to early birth. While premature fetuses are at higher risk, the presence of intravascular gas specifically indicates death, not the gestational age. **High-Yield Clinical Pearls for NEET-PG:** Other radiological signs of fetal death include: 1. **Spalding’s Sign:** Overlapping of fetal skull bones due to loss of liquor and brain liquefaction (usually appears 4–7 days after death). 2. **Deuel’s Halo Sign:** Elevation of the fetal scalp fat due to edema, creating a "halo" appearance. 3. **Brakeman’s Sign:** Abnormal angulation or collapse of the fetal spine. 4. **Ultrasound (Gold Standard):** The definitive diagnosis of IUFD is the absence of fetal cardiac activity on real-time ultrasound.
Explanation: ### Explanation The clinical presentation of acute abdominal distention and vomiting in a patient with a known history of **Ulcerative Colitis (UC)** is highly suspicious for **Toxic Megacolon**, a life-threatening complication. **1. Why Abdominal X-ray is the Correct Answer:** An **Erect and Supine Abdominal X-ray** is the initial investigation of choice for suspected toxic megacolon or intestinal obstruction. In UC, it is used to measure the colonic diameter; a transverse colon diameter **>6 cm** (along with clinical signs of toxicity) confirms the diagnosis. It is also the fastest way to rule out **perforation** by looking for pneumoperitoneum (free air under the diaphragm). **2. Why Other Options are Incorrect:** * **Ultrasound (USG):** While useful for gallstones or ascites, USG is limited by bowel gas, which is abundant in distended loops, making it non-diagnostic for megacolon or obstruction. * **CT Scan:** Although CT is more sensitive for detecting complications like abscesses or subtle perforations, it is not the *first* step. The patient is often unstable, and a quick X-ray provides immediate actionable data. * **MRI Abdomen:** MRI is time-consuming, expensive, and has no role in the acute management of suspected bowel perforation or toxic megacolon. **3. NEET-PG High-Yield Pearls:** * **Toxic Megacolon Criteria:** Colonic dilatation >6 cm + Systemic toxicity (Fever, Tachycardia, Leukocytosis). * **Lead Pipe Appearance:** Seen on Barium Enema in chronic UC due to loss of haustrations (Note: Barium studies are **contraindicated** in acute phases due to perforation risk). * **Thumbprinting:** Radiographic sign on X-ray indicating mucosal edema/inflammation. * **Management:** Initial management is NPO, IV fluids, and steroids; if no improvement in 24-48 hours or if perforation occurs, emergency **Total Proctocolectomy** is indicated.
Explanation: **Explanation:** The detection of **pneumoperitoneum** (free intraperitoneal air) is a critical step in diagnosing hollow viscus perforation. **Why Plain X-ray Chest (Erect) is the correct answer:** While CT scan is the most *sensitive* overall, the **Erect Chest X-ray (CXR)** is considered the **best initial screening investigation** and the standard clinical answer for this question. The reasons are: 1. **Anatomy:** The highest point of the abdominal cavity in the erect position is the space under the diaphragm. 2. **Sensitivity:** An erect CXR can detect as little as **1–2 ml** of free air, which appears as a thin, radiolucent crescent under the right hemidiaphragm (subdiaphragmatic air). 3. **Comparison:** It is superior to an erect abdominal film because the X-ray beam is centered on the diaphragm, providing better tangential visualization of the air-fluid interface. **Analysis of Incorrect Options:** * **A. Plain X-ray abdomen, erect:** Less sensitive than CXR because the diaphragm is at the periphery of the film, leading to parallax error and poorer resolution of small amounts of air. * **B. Left lateral decubitus film:** This is the investigation of choice only if the patient is **too ill to stand**. Air is seen over the liver shadow. It requires the patient to lie on their left side for 10–20 minutes before the film. * **D. CT Scan:** This is the **most sensitive** investigation (detecting <1 ml of air), but it is not the "best" first-line screening tool due to cost, radiation, and lack of immediate availability in emergency settings. **High-Yield Clinical Pearls for NEET-PG:** * **Rigler’s Sign:** Seeing both sides of the bowel wall due to free air (indicates large pneumoperitoneum). * **Football Sign:** Large amount of air outlining the entire peritoneal cavity. * **Cupola Sign:** Air trapped under the central tendon of the diaphragm. * **False Positive:** Chilaiditi syndrome (interposition of colon between liver and diaphragm).
Explanation: ### Explanation **1. Correct Answer: Ischemic Colitis** The **'thumbprinting' sign** is a classic radiologic finding seen on plain abdominal X-rays or CT scans. It represents **focal submucosal edema and hemorrhage** caused by an acute vascular insult to the colon. On imaging, these areas of localized swelling bulge into the intestinal lumen, creating an appearance reminiscent of thumb indentations along the bowel wall. While most commonly associated with **Ischemic Colitis**, it can also be seen in other forms of severe colitis (e.g., ulcerative colitis, pseudomembranous colitis). **2. Analysis of Incorrect Options:** * **B. Colon Cancer:** Typically presents with the **'Apple-core' lesion** (annular constriction) on barium enema, representing a stenosing malignancy. * **C. Sigmoid Volvulus:** Characterized by the **'Coffee bean' sign** or 'Omega' sign on X-ray, representing a massively dilated sigmoid loop. On contrast enema, it shows a **'Bird’s beak' appearance**. * **D. Achalasia Cardiae:** A motility disorder of the esophagus. Barium swallow classically shows a **'Bird’s beak'** or 'Rat-tail' appearance at the lower esophageal sphincter. **3. NEET-PG High-Yield Pearls:** * **Ischemic Colitis Location:** Most common at "watershed areas" like **Griffith’s point** (splenic flexure) and **Sudek’s point** (rectosigmoid junction). * **CT Finding:** Beyond thumbprinting, CT may show "target sign" (mucosal enhancement with submucosal edema). * **Lead Pipe Colon:** Seen in chronic Ulcerative Colitis due to loss of haustrations. * **Stacked Coin Appearance:** Seen in small bowel intramural hemorrhage/hematoma.
Explanation: **Explanation:** **Pneumoperitoneum** refers to the presence of free air within the peritoneal cavity, usually signifying a perforated hollow viscus—a surgical emergency. **Why Tillaux Sign is the Correct Answer:** **Tillaux sign** is a clinical sign associated with **mesenteric cysts**. It refers to a zone of resonance (tympanity) found on percussion over the center of the cyst, surrounded by a zone of dullness. This occurs because the cyst displaces the air-filled bowel loops to the periphery. It is not a radiographic sign of free air. **Analysis of Incorrect Options (Radiographic Signs of Pneumoperitoneum):** * **Football Sign:** Seen on a supine radiograph when a large amount of free air collects under the anterior abdominal wall, outlining the entire peritoneal cavity in an oval shape resembling an American football. * **Rigler’s Sign (Double Wall Sign):** Occurs when air is present on both the inside (intraluminal) and outside (extraluminal) of the bowel wall, making the bowel wall clearly visible as a discrete line. * **Cupola Sign:** Refers to an arcuate lucency seen on a supine chest or abdominal X-ray, representing air trapped under the central tendon of the diaphragm (the "cupola"). **NEET-PG High-Yield Pearls:** * **Gold Standard/Most Sensitive View:** The **Upright (Erect) Chest X-ray** is the most sensitive plain film for detecting free air under the diaphragm (as little as 1–2 ml). * **Alternative View:** If the patient cannot stand, the **Left Lateral Decubitus** view is preferred (air collects over the liver shadow). * **Doge’s Cap Sign:** Another name for air in the Morison’s pouch. * **Falciform Ligament Sign:** Visualization of the falciform ligament due to free air outlining it on both sides.
Explanation: ***Multiple air-fluid levels, suggestive of adhesions and bands*** - **Multiple air-fluid levels** in a **stepladder pattern** on erect abdominal X-ray is the classic radiological finding of **small bowel obstruction**. - **Adhesions and bands** are the most common cause of small bowel obstruction, especially in patients with previous abdominal surgery. *Gas under the diaphragm, suggestive of peritonitis* - **Pneumoperitoneum** (gas under diaphragm) indicates **bowel perforation**, not bowel obstruction. - This finding would appear as **crescent-shaped radiolucency** beneath the diaphragm on erect chest X-ray or abdominal X-ray. *Bird beak appearance, suggestive of volvulus* - **Bird beak sign** is seen on **barium enema** or **CT scan**, showing the twisted bowel segment in **sigmoid volvulus**. - This finding is not typically visible on plain **abdominal X-ray** and represents a different pathophysiology than adhesive obstruction. *Normal X-ray, PA view* - A normal X-ray would not show **air-fluid levels** or other signs of bowel obstruction. - The presence of multiple air-fluid levels clearly indicates **pathological findings** inconsistent with a normal study.
Explanation: **Explanation:** The **'Spider leg' appearance** on an Intravenous Pyelogram (IVP) is a classic radiological sign of **Autosomal Dominant Polycystic Kidney Disease (ADPKD)**. This appearance occurs because multiple large, fluid-filled cysts within the renal parenchyma exert pressure on the collecting system. This leads to the **elongation, narrowing, and stretching** of the renal calyces, making them resemble the long, thin legs of a spider. **Analysis of Options:** * **Polycystic Kidney (Correct):** As explained, the bilateral enlargement of the kidneys by multiple cysts distorts the pelvicalyceal system into thin, elongated structures. * **Renal Stone:** Typically presents as a radiopaque shadow (on KUB) or a filling defect (on IVP). It may cause proximal dilatation but does not cause the characteristic stretching of calyces. * **Hypernephroma (Renal Cell Carcinoma):** Usually presents as a localized mass causing focal displacement or amputation of a single calyx (distortion), rather than the generalized "spider leg" stretching seen in polycystic disease. * **Hydronephrosis:** Characterized by the **ballooning or blunting** of the calyces (clubbing) due to obstruction, which is the morphological opposite of the thinned "spider legs." **High-Yield Clinical Pearls for NEET-PG:** * **Swiss Cheese Appearance:** The nephrogram phase of an IVP in ADPKD shows multiple radiolucent areas (cysts) against the enhancing parenchyma. * **ADPKD Associations:** Berry aneurysms (Circle of Willis), hepatic cysts (most common extra-renal site), and mitral valve prolapse. * **Imaging Choice:** While IVP shows the 'spider leg' sign, **Ultrasonography** is the screening modality of choice, and **CT/MRI** are more sensitive for characterization.
Imaging of Liver
Practice Questions
Biliary Tract Imaging
Practice Questions
Pancreatic Imaging
Practice Questions
Spleen and Lymphatic System
Practice Questions
Gastrointestinal Tract Imaging
Practice Questions
Renal and Urinary Tract Imaging
Practice Questions
Adrenal Imaging
Practice Questions
Female Pelvic Imaging
Practice Questions
Male Pelvic Imaging
Practice Questions
Abdominal Trauma Imaging
Practice Questions
Acute Abdomen Imaging
Practice Questions
Imaging of Peritoneal Cavity and Retroperitoneum
Practice Questions
Get full access to all questions, explanations, and performance tracking.
Start For Free