A patient presented with right upper quadrant pain and dyspepsia. Ultrasound showed an edematous gallbladder wall. What is the most sensitive investigation to confirm the suspected diagnosis?
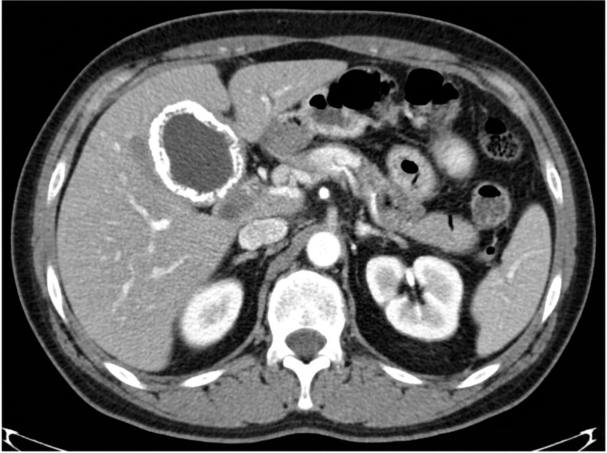
All of the following are true about an incidental finding in a 56-year-old female patient who underwent a CECT abdomen, except?

The 'stipple sign' in transitional cell carcinoma of the renal collecting system is best demonstrated by which imaging modality?
What are the differential diagnoses for right upper quadrant calcification?
What is the most common cause of malignant portal vein thrombosis?
Which of the following is NOT radioopaque?
The triad of vomiting, abdominal distension, and a "string of beads" sign on abdominal X-ray is typically suggestive of what condition?
What is the investigation of choice for evaluating a renal mass?
A hysterosalpingogram showing a congenital mullerian anomaly is depicted. What is the most likely diagnosis?

Which of the following is NOT a feature of papillary necrosis?
Explanation: **Explanation:** The clinical presentation of right upper quadrant pain, dyspepsia, and an edematous gallbladder wall on ultrasound strongly suggests **Acute Cholecystitis**. **Why HIDA Scan is the Correct Answer:** While Ultrasonography (USG) is the initial investigation of choice due to its availability and lack of radiation, the **Hepatobiliary iminodiacetic acid (HIDA) scan** is the **most sensitive (97%) and specific (90%)** investigation for confirming acute cholecystitis. * **Mechanism:** The HIDA scan (Cholescintigraphy) involves the intravenous injection of a radioactive tracer that is excreted by the liver into the bile. In a healthy individual, the tracer fills the gallbladder. * **Diagnostic Finding:** In acute cholecystitis, the cystic duct is typically obstructed by a stone. Therefore, the **non-visualization of the gallbladder** after 60 minutes (or up to 4 hours) despite visualization of the common bile duct and duodenum confirms the diagnosis. **Why Other Options are Incorrect:** * **CECT (A):** Useful for identifying complications like gangrene, perforation, or abscess, but it is less sensitive than USG or HIDA for early acute cholecystitis. * **MRI/MRCP (C):** Highly accurate for detecting choledocholithiasis (CBD stones) but is not the primary or most sensitive tool for confirming simple acute cholecystitis. * **ERCP (D):** An invasive procedure used primarily for therapeutic intervention (e.g., stone extraction from the CBD), not for diagnosing cholecystitis. **NEET-PG High-Yield Pearls:** * **IOC (Investigation of Choice):** USG Abdomen (shows wall thickening >4mm, pericholecystic fluid, and sonographic Murphy’s sign). * **Gold Standard/Most Sensitive:** HIDA Scan. * **Rim Sign on HIDA:** Increased tracer uptake in the liver parenchyma surrounding the gallbladder fossa; suggests gangrenous cholecystitis.
Explanation: ***Always denotes a benign etiology*** - **Porcelain gallbladder** is associated with an increased risk of **gallbladder carcinoma** (up to 25% malignancy risk). - The **calcified gallbladder wall** does not guarantee benign pathology and requires surgical evaluation. *May be seen on plain X-ray* - **Rim-like calcification** of the gallbladder wall can be visible on plain abdominal X-rays. - The **calcified wall** appears as a thin radiopaque outline around the gallbladder shadow. *More commonly diagnosed on CT* - **CECT** is more sensitive than plain X-ray for detecting **wall calcification** and associated complications. - CT provides better **soft tissue contrast** and can identify **gallbladder wall thickening** and other abnormalities. *It is an indication for cholecystectomy* - **Porcelain gallbladder** is a **relative indication** for prophylactic cholecystectomy due to malignancy risk. - **Elective laparoscopic cholecystectomy** is recommended to prevent progression to **gallbladder carcinoma**.
Explanation: **Explanation:** The **'Stipple Sign'** is a classic radiological feature of **Transitional Cell Carcinoma (TCC)** of the renal pelvis or ureter. It occurs when contrast material becomes trapped within the papillary projections or fronds of a cauliflower-like tumor. 1. **Why Intravenous Urography (IVU) is correct:** IVU (or IVP) is the traditional gold standard for visualizing the mucosal surface of the collecting system. As the contrast flows over the tumor, it fills the tiny interstices between the papillary fronds. When the tumor is viewed "en face" (head-on), these small pockets of contrast appear as multiple punctate radiopaque spots or "stippling" against the radiolucent mass. 2. **Why other options are incorrect:** * **Retrograde Pyeloureterography:** While it provides excellent detail of the collecting system, the high pressure and density of the injected contrast often obscure the subtle stippling effect, usually showing a simple filling defect instead. * **Radionuclide Scan:** This is a functional study (e.g., DTPA/MAG3) used to assess renal perfusion and drainage; it lacks the spatial resolution to identify mucosal surface patterns. * **Ultrasound Scan:** Ultrasound is useful for identifying a solid mass within a dilated collecting system but cannot demonstrate the specific contrast-trapping pattern required for the stipple sign. **Clinical Pearls for NEET-PG:** * **TCC Presentation:** Most common symptom is painless gross hematuria. * **Other IVU signs for TCC:** "Goblet sign" or "Bergman’s sign" (dilatation of the ureter distal to a tumor). * **Differential Diagnosis:** A "filling defect" in the renal pelvis can be TCC, a radiolucent stone (uric acid), a blood clot, or a sloughed papilla. The stipple sign specifically points toward the papillary nature of TCC.
Explanation: **Explanation:** Right Upper Quadrant (RUQ) calcifications are frequently encountered on plain abdominal radiographs (KUB). The correct answer is **"All of the above"** because various anatomical structures located in the RUQ can undergo calcification, necessitating a systematic approach to differential diagnosis. 1. **Gallstones (Cholelithiasis):** While only about 10-15% of gallstones are radiopaque (due to calcium carbonate or bilirubinate), they typically appear as faceted or laminated calcifications in the RUQ. 2. **Renal Stones (Nephrolithiasis):** Approximately 85-90% of renal stones are radiopaque (e.g., Calcium oxalate/phosphate). These are located more posteriorly and medially compared to gallstones. 3. **Vascular Calcifications:** Calcification of the abdominal aorta or the **renal artery** can appear in the RUQ. Atherosclerotic plaques often present as linear or "track-like" opacities. **Why other options are part of the whole:** Options A, B, and C are all common causes. In clinical practice, a lateral decubitus or lateral view X-ray helps differentiate them: gallstones move anteriorly, while renal stones remain posterior (overlying the spine). **High-Yield Clinical Pearls for NEET-PG:** * **Porcelain Gallbladder:** Intramural calcification of the gallbladder wall; associated with a high risk of gallbladder carcinoma. * **Mercedes-Benz Sign:** Radiolucent gas-filled clefts within a gallstone. * **Staghorn Calculus:** Large stone filling the renal pelvis and calyces, usually composed of struvite (Magnesium Ammonium Phosphate). * **Phleboliths:** Small, rounded venous calcifications with a lucent center, often seen in the pelvis but can occur in the RUQ (hemangiomas), helping differentiate them from ureteric stones.
Explanation: **Explanation:** **Hepatocellular Carcinoma (HCC)** is the most common cause of malignant portal vein thrombosis (PVT). This occurs due to the unique biological propensity of HCC for **angioinvasion**. HCC cells frequently invade the small branches of the portal vein, eventually extending into the main portal vein trunk. On imaging (Triphasic CT/MRI), malignant thrombus is characterized by expansion of the vessel lumen and "neovascularity" (the **"Thread and Streaks" sign**), where the thrombus itself shows arterial phase enhancement, mimicking the primary tumor. **Analysis of Incorrect Options:** * **Renal Cell Carcinoma (RCC):** While RCC is notorious for venous invasion, it characteristically involves the **Renal Vein** and extends into the **Inferior Vena Cava (IVC)**, rather than the portal system. * **Carcinoma of the Prostate:** This typically spreads via the Batson venous plexus to the spine or via lymphatics; it does not have a primary association with portal vein invasion. * **Carcinoma of the Colon:** While colorectal cancer frequently metastasizes to the liver via the portal vein, it rarely causes a direct malignant thrombus within the vein itself. It is more commonly associated with *bland* (non-malignant) thrombosis due to hypercoagulability. **High-Yield Clinical Pearls for NEET-PG:** * **Imaging Gold Standard:** Contrast-enhanced CT/MRI. A malignant thrombus will show **enhancement** (matching the HCC), whereas a bland thrombus will not. * **Doppler Ultrasound:** Malignant thrombi often show **pulsatile flow** (arterialization) within the thrombus. * **Bland vs. Malignant:** Bland thrombus is common in cirrhosis/portal hypertension; malignant thrombus is a hallmark of advanced HCC and significantly worsens the prognosis (BCLC Stage C).
Explanation: In radiology, the visibility of a urinary stone on a plain X-ray (KUB) depends on its **effective atomic number** and density compared to surrounding tissues. **Correct Answer: B. Uric acid** Uric acid stones are composed of organic compounds with low atomic numbers (Carbon, Nitrogen, Oxygen). Because they do not significantly attenuate X-ray beams, they are **radiolucent** on plain films. However, they are visible on Non-Contrast CT (NCCT), where they typically show low Hounsfield Units (400–600 HU). **Explanation of Incorrect Options:** * **A. Oxalate:** Calcium oxalate (monohydrate and dihydrate) is the most common type of urinary stone. Due to the high atomic number of Calcium, these stones are **highly radioopaque** and easily seen on X-ray. * **C. Cystine:** These stones contain sulfur atoms. While they are less dense than calcium stones, they are considered **faintly radioopaque** (often described as having a "ground-glass" appearance). They are NOT radiolucent. * **D. Mixed:** Most mixed stones contain a calcium component (e.g., calcium phosphate or oxalate), which renders the entire stone **radioopaque** on imaging. **NEET-PG High-Yield Pearls:** 1. **Mnemonic for Radiolucent Stones:** **"U S"** – **U**ric acid and **S**anthine (Xanthine). (Note: Indinavir stones are also radiolucent). 2. **Order of Opacity (Highest to Lowest):** Calcium Phosphate > Calcium Oxalate > Magnesium Ammonium Phosphate (Struvite) > Cystine > Uric Acid/Xanthine. 3. **Gold Standard Investigation:** NCCT (Non-Contrast Computed Tomography) is the investigation of choice for urolithiasis as it detects all stones except Indinavir stones. 4. **Struvite Stones:** Associated with Proteus infections and often form "Staghorn" calculi.
Explanation: **Explanation:** The clinical triad of vomiting, abdominal distension, and constipation/obstipation is the hallmark of **Small Bowel Obstruction (SBO)**. Radiologically, the **"string of beads" (or "string of pearls") sign** is highly specific for SBO. It occurs when the bowel loops are almost entirely filled with fluid, leaving only small bubbles of gas trapped between the valvulae conniventes (circular folds). On a horizontal beam or upright X-ray, these small gas bubbles appear as a row of translucent beads. **Analysis of Options:** * **Duodenal Atresia:** Characterized by the **"double bubble" sign** (gas in the stomach and proximal duodenum) and typically presents in neonates with bilious vomiting, not a string of beads. * **Large Bowel Obstruction:** Presents with peripheral bowel dilatation and the presence of haustrations (which do not cross the entire width of the bowel). It typically lacks the string of beads sign, which is specific to the valvulae conniventes of the small intestine. * **Gastric Volvulus:** Usually presents with **Borchardt’s triad** (epigastric pain, unproductive retching, and inability to pass a nasogastric tube). X-ray shows a single, massively dilated retrocardiac or epigastric air-fluid level. **High-Yield NEET-PG Pearls:** * **Step-ladder pattern:** Another classic sign of SBO, representing multiple air-fluid levels at different heights in dilated loops. * **Valvulae Conniventes (Plicae circulares):** These folds cross the **entire width** of the small bowel, helping differentiate it from the large bowel (haustra). * **Most common cause of SBO:** Post-operative adhesions (overall) and incarcerated hernias (worldwide in some regions).
Explanation: **Explanation:** The investigation of choice for evaluating a renal mass is a **Contrast-Enhanced Computed Tomography (CECT)** scan. CT is the gold standard because it provides superior anatomical detail, allowing for the characterization of the mass (solid vs. cystic), assessment of enhancement patterns (crucial for diagnosing Renal Cell Carcinoma), and staging (evaluation of local extension, lymphadenopathy, and venous involvement like renal vein or IVC thrombus). **Analysis of Options:** * **CT Scan (Correct):** It is highly sensitive and specific. A mass showing enhancement of >15–20 Hounsfield Units (HU) post-contrast is highly suggestive of malignancy (RCC). * **Plain X-ray (Incorrect):** It has very low sensitivity. It may only show indirect signs like an altered renal contour or incidental calcifications, but cannot characterize a mass. * **Intravenous Pyelogram (IVP) (Incorrect):** Historically used to visualize the collecting system, IVP is poor at evaluating parenchymal masses and has been largely replaced by CT Urography. * **Renal Scintigraphy (Incorrect):** Nuclear medicine (e.g., DMSA, DTPA) is used to assess renal function and scarring, not for the primary morphological evaluation of a suspected tumor. **High-Yield Clinical Pearls for NEET-PG:** * **Bosniak Classification:** Used on CT to categorize renal cysts (I and II are benign; III and IV require surgery). * **MRI:** Reserved for patients with contrast allergies, renal failure, or when evaluating the cephalad extent of an IVC thrombus. * **USG:** Usually the *initial* investigation (screening), but CT is the *investigation of choice* for definitive evaluation. * **Triphasic CT:** The protocol includes non-contrast, corticomedullary, and nephrographic phases for optimal lesion detection.
Explanation: ***Unicornuate uterus*** - HSG shows a **single banana-shaped uterine cavity** with **lateral deviation** to one side, distinguishing it from other anomalies. - Only **one fallopian tube** is visualized on HSG, as this represents incomplete development of one **Müllerian duct**. *Septate uterus* - HSG would show a **triangular-shaped fundal contour** with two separate cavities that converge at the cervix. - Both **fallopian tubes** are present and visible, unlike the single tube seen in unicornuate uterus. *Bicornuate uterus* - HSG demonstrates a **heart-shaped** or **Y-shaped** uterine cavity with an **obtuse angle** between the horns. - Both **uterine horns** and **fallopian tubes** are visualized, contrasting with the single cavity in unicornuate uterus. *Uterine didelphys* - HSG shows **two completely separate uterine cavities** with **two cervices** and often two vaginal canals. - Each cavity has its own **fallopian tube**, resulting in complete duplication rather than the single cavity of unicornuate uterus.
Explanation: **Explanation:** Renal Papillary Necrosis (RPN) is a condition characterized by ischemic necrosis of the renal papillae, most commonly associated with Diabetes Mellitus, Analgesic abuse, Sickle cell disease, and Pyelonephritis (Mnemonic: **POSTCARD**). **Why "Hyperdense Nephrogram" is the correct answer:** A hyperdense (or persistent) nephrogram is typically seen in conditions of acute tubular obstruction or stasis, such as **Acute Ureteral Obstruction** (e.g., stone), **Acute Tubular Necrosis (ATN)**, or **Contrast-induced Nephropathy**. It is not a feature of RPN. In RPN, the pathology involves the sloughing of papillae into the collecting system, leading to filling defects rather than a generalized increase in parenchymal density. **Analysis of Incorrect Options:** * **Egg in cup appearance:** This occurs in the "medullary" type of RPN where the central part of the papilla is necrotic, creating a cavity that fills with contrast, resembling an egg sitting in a cup-shaped calyx. * **Calyceal horns:** This refers to the extension of contrast into the tracks of the necrotic papilla, appearing as sharp, horn-like projections from the calyx. * **Ring shadows:** This is a classic sign seen on Intravenous Urography (IVU) when a sloughed papilla becomes detached and is surrounded by contrast medium in the calyx. **NEET-PG High-Yield Pearls:** * **Lobster Claw Sign:** Another name for the appearance of contrast tracking around a partially sloughed papilla. * **Ball-on-tee appearance:** Seen in the papillary type of RPN. * **Most common cause:** Diabetes Mellitus is the most frequent clinical association. * **Differential for Ring Shadows:** Sloughed papilla, non-opaque calculi, and blood clots.
Imaging of Liver
Practice Questions
Biliary Tract Imaging
Practice Questions
Pancreatic Imaging
Practice Questions
Spleen and Lymphatic System
Practice Questions
Gastrointestinal Tract Imaging
Practice Questions
Renal and Urinary Tract Imaging
Practice Questions
Adrenal Imaging
Practice Questions
Female Pelvic Imaging
Practice Questions
Male Pelvic Imaging
Practice Questions
Abdominal Trauma Imaging
Practice Questions
Acute Abdomen Imaging
Practice Questions
Imaging of Peritoneal Cavity and Retroperitoneum
Practice Questions
Get full access to all questions, explanations, and performance tracking.
Start For Free