What is the term for the appearance of diverticulosis on a barium enema as depicted in the image?

Tear drop bladder is seen in which of the following conditions?
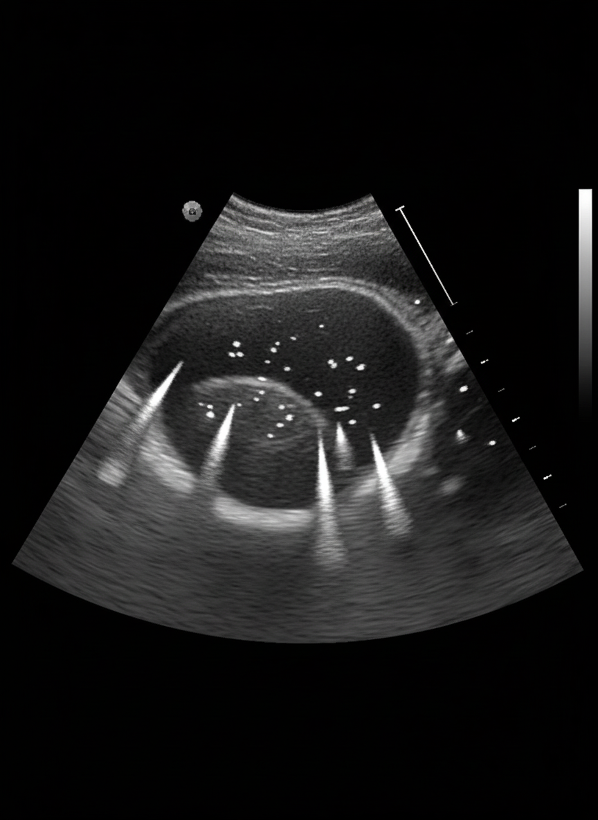
An incidental finding on ultrasound abdomen is suggestive of which of the following?

Which of the following parameters are used to estimate gestational age in the last trimester?
A 45-year-old male shows calcification on the right side of his abdomen in an AP view. In the lateral view, the calcification is seen to overlie the spine. What is the most likely diagnosis?
A 60-year-old male reports for denture adjustment. His OPG shows a 1 cm lytic area in the lower bicuspid region. What is the most probable diagnosis?
A 49-year-old computer technician receives irradiation to the pelvis for cervical cancer. Three months after irradiation, severe rectal proctitis may be shown by the presence of which of the following?
What condition is suggested by the below X-ray?

The 'bear paw' sign on imaging is characteristic of which condition?
Which of the following is hypointense (dark) on T2-weighted MRI?
Explanation: ***Saw tooth appearance*** - Diverticulosis on **barium enema** creates a characteristic **saw tooth pattern** due to **circular muscle hypertrophy** and **spasm** between diverticular outpouchings. - The alternating **indentations** and **bulges** along the colonic wall resemble the teeth of a saw, making this the classic radiological sign. *Cork screw appearance* - This describes the radiological appearance of **diffuse esophageal spasm** on barium swallow, not colonic diverticulosis. - Characterized by **tertiary contractions** creating a **corkscrew pattern** in the esophagus during swallowing. *Bird of prey appearance* - This sign is associated with **sigmoid volvulus** on plain abdominal X-ray, showing a **coffee bean sign**. - The **twisted sigmoid colon** creates a configuration resembling a **bird's beak** or **bird of prey**, not related to diverticulosis. *Claw sign* - This radiological sign is seen in **renal cysts** on IVP or in **intussusception** on contrast enemas. - Represents **mass effect** or **invagination** creating **claw-like indentations**, unrelated to diverticular disease.
Explanation: **Explanation:** The **"Tear drop bladder"** (or pear-shaped bladder) is a classic radiological sign where the urinary bladder is compressed from both sides, causing it to lose its normal rounded shape and appear elongated and narrow. **1. Underlying Medical Concept:** The bladder is a highly compliant organ located in the extraperitoneal space of the pelvis. Any process that causes **extrinsic compression** or symmetric accumulation of fluid, fat, or blood in the perivesical space (specifically the space of Retzius) will squeeze the bladder medially and superiorly, resulting in this characteristic shape. **2. Analysis of Options:** * **Pelvic Lipomatosis (Option B):** This is the most classic association. It is a benign condition characterized by the overgrowth of unencapsulated fat in the perivesical and perirectal spaces, which "squeezes" the bladder into a teardrop shape. * **Pelvic Abscess (Option A):** Large, bilateral, or diffuse pelvic collections (pus) can exert enough mass effect to compress the bladder. * **Bladder Rupture / Pelvic Hematoma (Option C):** In the context of trauma, a large **pelvic hematoma** (often associated with pelvic fractures) or extravasation of urine/blood into the perivesical space causes rapid compression, leading to the teardrop appearance. Since all three conditions involve extrinsic compression of the bladder, **Option D (All of the above)** is correct. **High-Yield Clinical Pearls for NEET-PG:** * **Other causes:** Inferior vena cava (IVC) obstruction, bilateral lymphadenopathy, and massive iliac artery aneurysms. * **Pelvic Lipomatosis association:** Often associated with **cystitis glandularis** and increased risk of bladder carcinoma. * **Imaging Modality:** Best visualized on **IVP (Intravenous Pyelogram)** or Contrast-enhanced CT. * **Differential Diagnosis:** Do not confuse with "Christmas tree bladder," which is seen in neurogenic bladder (detrusor-sphincter dyssynergia).
Explanation: ***Adenomyomatosis*** - Characteristic **comet-tail artifacts** on ultrasound due to **Rokitansky-Aschoff sinuses** filled with cholesterol crystals, making it a classic incidental finding. - Shows **focal or diffuse gallbladder wall thickening** with **hyperechoic foci** that create the pathognomonic comet-tail appearance on ultrasound. *Gallbladder stone* - Presents as **mobile hyperechoic structures** with **posterior acoustic shadowing**, not as wall thickening with comet-tail artifacts. - Typically **symptomatic** with biliary colic rather than being an incidental finding, and moves with patient positioning. *Gallbladder polyp* - Appears as **fixed hyperechoic lesions** attached to the gallbladder wall **without posterior shadowing**. - Does not demonstrate the characteristic **comet-tail artifacts** or **Rokitansky-Aschoff sinuses** seen in adenomyomatosis. *Xanthogranulomatous cholecystitis* - Shows **irregular wall thickening** with **hypoechoic intramural nodules** and loss of normal wall layering on ultrasound. - Usually presents with **severe symptoms** and **pericholecystic fluid**, making it less likely to be an incidental finding.
Explanation: **Explanation:** In obstetric ultrasonography, the parameters used to estimate gestational age (GA) change as the pregnancy progresses. By the **third trimester**, the accuracy of ultrasound for dating decreases significantly (margin of error ± 2–3 weeks). The most reliable estimation during this period is derived from a composite of multiple biometric measurements. **Why Option D is Correct:** The standard biometric parameters used in the late second and third trimesters include: 1. **Biparietal Diameter (BPD):** Measured at the level of the thalami and cavum septum pellucidum. 2. **Head Circumference (HC):** Often used alongside BPD. 3. **Abdominal Circumference (AC):** The most sensitive parameter for assessing fetal growth and nutrition (IUGR/Macrosomia). 4. **Femur Length (FL):** The most reliable long bone measurement for GA. **Why Other Options are Incorrect:** * **Crown-Rump Length (CRL):** This is the most accurate parameter for dating a pregnancy, but **only in the first trimester** (up to 13 weeks 6 days). After this, the fetus begins to curl/flex, making CRL measurements inaccurate. Since CRL is included in Options A, B, and C, they are incorrect for the third trimester. **High-Yield Clinical Pearls for NEET-PG:** * **Best parameter for 1st Trimester:** Crown-Rump Length (CRL). Accuracy: ± 3–5 days. * **Best parameter for 2nd Trimester:** Biparietal Diameter (BPD). * **Most sensitive parameter for IUGR:** Abdominal Circumference (AC). * **Transcerebellar Diameter:** A "gestational age independent" parameter; it remains reliable even in cases of IUGR or altered head shapes (dolichocephaly/brachycephaly). * **Rule of Thumb:** The earlier the ultrasound is performed, the more accurate the gestational age estimation.
Explanation: ### Explanation The key to solving this question lies in understanding the **retroperitoneal vs. intraperitoneal** anatomy as visualized on a lateral abdominal radiograph. **1. Why Renal Stones are Correct:** The kidneys are **retroperitoneal** structures located in the paravertebral gutters. On a lateral X-ray, retroperitoneal structures (like the kidneys and ureters) project **posteriorly**, often overlying or appearing just posterior to the anterior border of the vertebral bodies. Therefore, a calcification that overlies the spine on a lateral view is classically diagnostic of a renal or ureteric calculus. **2. Analysis of Incorrect Options:** * **Gallstones (A):** The gallbladder is an **intraperitoneal** organ located anteriorly. On a lateral view, gallstones appear **anterior to the spine**, usually in the space between the abdominal wall and the vertebral column. * **Calcified Mesenteric Nodes (B):** These are associated with the mesentery of the small bowel. They are highly mobile and typically appear **anterior to the spine** on a lateral view. They often have a characteristic "popcorn" appearance. * **Calcified Rib (D):** While ribs are posterior, a calcified costal cartilage or rib tip would typically follow the anatomical contour of the rib cage and would not specifically be described as "overlying the spine" in a way that mimics a visceral stone. **3. NEET-PG High-Yield Pearls:** * **Lateral View Rule:** * **Overlying/Posterior to spine:** Renal stones, Abdominal Aortic Aneurysm (calcified wall). * **Anterior to spine:** Gallstones, Pancreatic calcifications, Mesenteric lymph nodes. * **Phleboliths:** These are small calcifications in pelvic veins. They often have a **lucent center**, which helps distinguish them from ureteric stones (which are usually solid). * **Staghorn Calculi:** Most commonly composed of **Struvite** (Magnesium Ammonium Phosphate) and associated with Proteus infections.
Explanation: ### Explanation The correct answer is **D (Any one of the above)** because a solitary lytic lesion in the mandible of an elderly patient is a non-specific finding that can represent inflammatory, metabolic, or neoplastic processes. **1. Residual Cyst (Option A):** This is an inflammatory odontogenic cyst that remains in the jaw after the tooth has been extracted. Given the patient is 60 years old and seeking denture adjustment, it is highly probable he has missing teeth. A residual cyst appears as a well-defined unilocular radiolucency in an edentulous area. **2. Hyperparathyroidism (Option B):** Primary or secondary hyperparathyroidism leads to increased osteoclastic activity. This can manifest in the jaws as a **"Brown Tumor"** (osteitis fibrosa cystica), which appears as a well-demarcated lytic lesion. Other classic signs include the loss of *lamina dura* around tooth roots and a "salt and pepper" appearance of the skull. **3. Carcinoma of the Prostate (Option C):** While prostate cancer is typically osteoblastic (sclerotic), approximately 5-10% of cases can present as osteolytic or mixed lesions. In an elderly male, any new lytic bone lesion must be evaluated for metastatic disease. The mandible is a known, though less common, site for distant metastasis. ### Clinical Pearls for NEET-PG: * **Most common odontogenic cyst:** Radicular cyst (if the tooth is present) or Residual cyst (if the tooth is extracted). * **Brown Tumor:** Not a true neoplasm; it is a giant cell lesion associated with hyperparathyroidism. * **Metastasis to Jaws:** Most common primary sites are the breast (females) and lung/prostate (males). * **Radiographic Differential for Lytic Jaw Lesions:** Remember the mnemonic **M-A-C-H-O** (Metastasis/Myeloma, Ameloblastoma, Cystic lesions, Hemangioma, Odontogenic keratocyst).
Explanation: ### Explanation **Correct Option: A (Ulcers)** Radiation proctitis is a common complication following pelvic radiotherapy (e.g., for cervical or prostate cancer). It is divided into acute and chronic phases. **Acute radiation proctitis** occurs within weeks of treatment due to direct mucosal injury. However, the question specifies a **3-month** timeframe, which marks the transition to **chronic radiation proctitis**. The underlying pathophysiology involves **obliterative endarteritis** (ischemia) and submucosal fibrosis. This ischemia leads to mucosal friability and the formation of **discrete or confluent ulcers**, which are a hallmark finding on endoscopy/imaging during this period. **Analysis of Incorrect Options:** * **B. Strictures at anal verge:** While radiation can cause strictures due to fibrosis, they typically occur much later (usually 6–24 months post-irradiation) and are more common in the sigmoid colon or upper rectum rather than the anal verge itself. * **C. Mucosa prolapse:** This is generally a mechanical or structural issue related to pelvic floor dysfunction or chronic straining, not a direct pathological feature of radiation injury. * **D. Multiple telangiectasis and polypoid tumor:** Telangiectasias are common in chronic radiation proctitis (causing painless bleeding), but they are usually associated with mucosal atrophy, not "polypoid tumors." Radiation does not acutely cause tumors; secondary malignancies take years to develop. **NEET-PG High-Yield Pearls:** * **Pathology:** The "hallmark" of chronic radiation injury is **obliterative endarteritis** leading to tissue hypoxia. * **Timeline:** Acute (<3 months) is due to mucosal sloughing; Chronic (>3 months to years) is due to ischemia and fibrosis. * **Most Common Site:** The rectum is the most common site of injury in pelvic radiation due to its fixed position. * **Management:** Sucralfate enemas or Argon Plasma Coagulation (APC) are preferred for bleeding telangiectasias.
Explanation: ***Ulcerative colitis*** - X-ray shows classic **lead pipe colon** appearance with **loss of haustrations** and smooth, featureless bowel wall typical of ulcerative colitis. - Demonstrates **continuous involvement** from the rectum extending proximally, which is characteristic of ulcerative colitis. *Carcinoma colon* - Typically presents with **apple-core lesion** on barium enema showing circumferential narrowing with abrupt margins. - Shows **localized stricture** rather than the diffuse smooth appearance seen in this X-ray. *Crohn's disease* - Characterized by **skip lesions** with areas of normal bowel between affected segments, not continuous involvement. - Shows **cobblestone appearance** with deep ulcerations and **transmural inflammation**, contrasting with the smooth appearance here. *Whipple's disease* - Primarily affects the **small bowel**, not the colon, so would not produce these colonic X-ray findings. - Associated with **PAS-positive macrophages** and systemic symptoms like **arthritis** and **neurological manifestations**.
Explanation: **Explanation:** The **'Bear Paw' sign** is a classic radiological hallmark of **Xanthogranulomatous Pyelonephritis (XGP)**, typically seen on Contrast-Enhanced Computed Tomography (CECT). **1. Why Xanthogranulomatous Pyelonephritis (XGP) is correct:** XGP is a chronic, destructive granulomatous inflammation of the renal parenchyma, usually resulting from long-term urinary tract obstruction and infection (often *Proteus* or *E. coli*). On CT, the renal pelvis is contracted around a central obstructing calculus (often a **staghorn calculus**), while the calyces become markedly dilated and filled with low-attenuation inflammatory/lipid-laden material (xanthoma cells). This arrangement of multiple rounded, low-density areas surrounding a central calcification resembles the pads of a bear's paw. **2. Why other options are incorrect:** * **IgA Nephropathy & Glomerulonephritis:** These are medical renal diseases involving the glomeruli. Imaging typically shows non-specific findings such as increased cortical echogenicity or normal-sized to shrunken kidneys; they do not produce focal caliceal dilatation. * **Liver Lacerations:** These appear as linear or branching low-attenuation areas within the liver parenchyma on CT, often associated with subcapsular hematomas or hemoperitoneum, but do not form the "paw" configuration. **3. High-Yield Clinical Pearls for NEET-PG:** * **Triad of XGP:** Non-functioning kidney, staghorn calculus, and recurrent UTI. * **Pathology:** Characterized by **lipid-laden foamy macrophages** (Xanthoma cells). * **Key CT finding:** The kidney is usually enlarged, and the inflammatory process often crosses Gerota’s fascia to involve the psoas muscle or adjacent organs. * **Treatment:** Total nephrectomy is usually required.
Explanation: **Explanation:** In MRI, the signal intensity of a tissue depends on the concentration of mobile hydrogen protons and the relaxation times (T1 and T2). **1. Why Hard Calcification is the Correct Answer:** Hard calcifications (and cortical bone) contain a very low density of mobile protons. Furthermore, the rigid crystalline structure causes extremely rapid dephasing of the transverse magnetization. Because there are virtually no mobile protons to emit a signal, calcified structures appear **hypointense (black/dark)** on both T1 and T2-weighted sequences. This is a classic "signal void." **2. Analysis of Incorrect Options:** * **CSF (Cerebrospinal Fluid):** On T2-weighted images, free-moving water/fluid has a long relaxation time, appearing **hyperintense (bright white)**. This is the hallmark of T2 imaging ("H2O is bright on T2"). * **Fat:** Fat has a relatively high signal on standard T2-weighted spin-echo sequences (appearing **intermediate to bright**), though it is typically less bright than fluid. * **Edema:** Edema represents increased extracellular fluid in tissues. Similar to CSF, this increased water content results in a **hyperintense (bright)** signal on T2-weighted images, making it useful for identifying pathology. **3. NEET-PG High-Yield Pearls:** * **"Mnemonic":** On **T2**, **H2O** is **2** bright (White). * **Signal Voids:** Besides calcification, other structures that appear dark on all sequences include **air** (lungs/bowel gas), **cortical bone**, and **rapidly flowing blood** (flow voids). * **Exceptions:** While most calcifications are dark, certain patterns of mineralization (like manganese or surface area effects) can occasionally show T1 hyperintensity, but T2 remains characteristically dark.
Imaging of Liver
Practice Questions
Biliary Tract Imaging
Practice Questions
Pancreatic Imaging
Practice Questions
Spleen and Lymphatic System
Practice Questions
Gastrointestinal Tract Imaging
Practice Questions
Renal and Urinary Tract Imaging
Practice Questions
Adrenal Imaging
Practice Questions
Female Pelvic Imaging
Practice Questions
Male Pelvic Imaging
Practice Questions
Abdominal Trauma Imaging
Practice Questions
Acute Abdomen Imaging
Practice Questions
Imaging of Peritoneal Cavity and Retroperitoneum
Practice Questions
Get full access to all questions, explanations, and performance tracking.
Start For Free