A female patient presents with hirsutism, amenorrhea, and obesity. What is the most likely diagnosis?
In a suspected case of ovarian cancer, imaging work-up is required for all of the following EXCEPT:
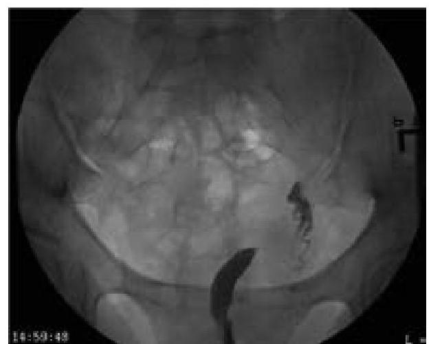
What type of uterine anomaly is shown in this X-ray HSG image?

Gold standard technique for diagnosis of endometriosis?
A woman with postmenopausal bleeding has thickened endometrium. Which approach is most suitable for evaluating malignancy risk?
Most common congenital uterine anomaly is?
When is Hysterosalpingography (HSG) ideally performed?
A patient with infertility has an ultrasound (USG) suggestive of a uterine anomaly. Which of the following is the best method to confirm the diagnosis?
In a woman complaining of AUB following image was seen in endoscopic examination of uterus. What will be the diagnosis?

Which of the following is FALSE regarding the diameters of the normal female pelvis?
Explanation: ***Polycystic Ovary Syndrome (PCOS)*** - **Hirsutism**, **amenorrhea** (or oligomenorrhea), and **obesity** are classic clinical features of PCOS, reflecting hyperandrogenism and insulin resistance [2]. - PCOS is a diagnosis of exclusion and involves chronic anovulation and polycystic ovaries on ultrasound [3], though these are not explicitly mentioned, the constellation of symptoms strongly points to it. *Androgen-secreting ovarian tumor* - While it can cause **hirsutism** and **amenorrhea**, the onset is typically **rapid** and severe, with very high androgen levels, and obesity is not a primary feature. - Ovarian tumors are generally less common than PCOS and may present with a palpable mass or specific imaging findings. *Congenital adrenal hyperplasia* - This genetic condition often presents in childhood or adolescence with varying degrees of **virilization** and menstrual irregularities due to enzyme deficiencies in cortisol synthesis [1]. - While it causes **hirsutism** and potentially **amenorrhea**, obesity is not a direct consequence, and the patient's age of presentation and specific symptom pattern are less typical for adult-onset CAH in this context. *Cushing's syndrome* - Characterized by **central obesity**, **moon facies**, **buffalo hump**, **striae**, and proximal muscle weakness due to chronic glucocorticoid excess. - Although it can cause **menstrual irregularities** and mild **hirsutism** [2], the overall clinical picture including the absence of other specific Cushingoid features makes it less likely than PCOS.
Explanation: ***Staging*** - **Clinical staging** for ovarian cancer is primarily surgical, meaning the definitive stage is determined during exploratory laparotomy rather than pre-operative imaging. - While imaging helps assess the extent of disease, the final **FIGO stage** relies on direct visualization and biopsy or resection of suspicious lesions during surgery. *Characterization of lesion* - Imaging modalities like **ultrasound**, **CT**, or **MRI** are crucial for determining features such as **cyst vs. solid**, size, septations, and presence of ascites, helping to differentiate benign from malignant masses. - This characterization guides the initial management plan, including the need for surgery or further investigations. *Assess resectability* - Imaging is essential to evaluate the **extent of tumor spread**, particularly to assess for widespread peritoneal carcinomatosis, bowel involvement, or distant metastases. - This information helps surgeons plan for optimal **cytoreductive surgery** and determine if a complete resection is feasible. *Detection of adnexal lesion* - The initial detection of an adnexal mass often occurs via imaging, typically **transvaginal ultrasound**, when a patient presents with symptoms or during a routine examination. - Imaging confirms the presence and location of the lesion, which is the first step in the diagnostic work-up for suspected ovarian cancer.
Explanation: ***Unicornuate uterus*** - The image shows a single, elongated uterine horn with a single fallopian tube arising from it, consistent with a **unicornuate uterus**. - This congenital anomaly results from the **failure of one Müllerian duct to develop**, leading to an abnormally shaped uterus. *Septate uterus* - A **septate uterus** would show a normal uterine fundus with an internal septum dividing the uterine cavity. - This image clearly depicts only **one rudimentary horn** and no visible septum. *Uterus didelphys* - **Uterus didelphys** involves two completely separate uteri, each with its own cervix and vagina. - The image does not show evidence of a **second, separate uterine structure**. *Bicornuate uterus* - A **bicornuate uterus** is characterized by two distinct uterine horns, which fuse at the cervix or lower uterine segment, creating a heart-shaped appearance of the fundus. - The image shows a **single, long horn** rather than two distinct horns.
Explanation: ***Laparoscopy*** - **Laparoscopy** allows for direct visualization of endometrial implants and enables **biopsy confirmation**, making it the gold standard. - This minimally invasive surgical procedure is crucial for diagnosing, staging, and often treating endometriosis simultaneously. *Ca 125 level* - **CA-125** is a serum marker that can be elevated in endometriosis, but it is **not specific** and can be raised in other conditions like ovarian cancer or physiologic states. - It is primarily used for monitoring treatment response or recurrence, rather than as a primary diagnostic tool. *Ultrasound* - **Transvaginal ultrasound (TVS)** can identify endometriomas (chocolate cysts) and deep infiltrating endometriosis, but it cannot reliably visualize small peritoneal implants. - While it's a good initial imaging modality, its sensitivity for diagnosing all forms of endometriosis is **limited**. *MRI* - **MRI** offers better soft tissue contrast than ultrasound and can identify deep infiltrating endometriosis and some peritoneal implants, especially those involving the bowel or bladder. - However, MRI is **more expensive** and less accessible, and it still cannot definitively rule out all small, superficial endometrial lesions without direct visualization.
Explanation: ***Endometrial biopsy*** - An **endometrial biopsy** directly obtains tissue samples from the endometrial lining, allowing for histological examination to definitively diagnose or rule out **endometrial hyperplasia** or **carcinoma**. - This is the **most suitable first-line approach** when postmenopausal bleeding is coupled with a thickened endometrium, as it directly assesses for **malignancy at a cellular level**. - It is **cost-effective, minimally invasive, and can be performed in an office setting** without anesthesia. *Transvaginal ultrasound* - While a **transvaginal ultrasound** can measure endometrial thickness and identify structural abnormalities, it cannot definitively differentiate between benign and malignant changes. - It serves as an initial screening tool but requires further investigation like a **biopsy** for definitive diagnosis in cases of thickened endometrium and postmenopausal bleeding. - An endometrial thickness >4-5 mm in postmenopausal women warrants tissue diagnosis. *Pap smear* - A **Pap smear** (Papanicolaou test) is used to screen for **cervical cancer** by collecting cells from the cervix. - It is not effective for detecting **endometrial pathologies** or cancer of the uterine lining. *Hysteroscopy* - **Hysteroscopy** allows for direct visualization of the uterine cavity and directed biopsies under direct vision, which is highly accurate for identifying focal lesions such as polyps or fibroids. - While it provides excellent diagnostic accuracy, it is **more invasive, expensive, and typically requires anesthesia**. - For initial evaluation of postmenopausal bleeding with diffuse endometrial thickening, **endometrial biopsy is preferred** as the first-line approach due to its accessibility, lower cost, and adequate sensitivity (>90% for detecting endometrial cancer).
Explanation: ***Septate uterus*** - A septate uterus is the most common congenital uterine anomaly, characterized by a **fibrous or muscular septum** dividing the uterine cavity. - This anomaly results from incomplete resorption of the **müllerian ducts** during development. *Bicornuate uterus* - A bicornuate uterus involves **two uterine horns** that are partially or completely separate, leading to a heart-shaped uterus. - While relatively common, it is **less prevalent** than the septate uterus. *Unicornuate uterus* - A unicornuate uterus is an anomaly where only **one side of the müllerian duct develops**, resulting in a uterus with only one horn and one fallopian tube. - This is a **rare anomaly** compared to septate and bicornuate uteri. *Arcuate uterus* - An arcuate uterus is considered a **mild variant of a normal uterus**, with a slight indentation in the fundus. - It often has **no clinical significance** and is less severe than other anomalies.
Explanation: ***Just after menstruation*** - HSG is ideally performed in the **early proliferative (follicular) phase**, typically **2-5 days after menstruation ends** or on **cycle days 7-10**. - At this time, the **endometrium is thin**, providing optimal visualization of the uterine cavity and tubal anatomy with minimal discomfort. - This timing avoids disrupting a **potential pregnancy**, as ovulation has not yet occurred and the likelihood of conception is minimal. - Performing the procedure after menstrual flow has ceased also reduces the risk of **infection** and ensures better image quality. *Between menstruation and ovulation* - This timeframe is too broad and vague, spanning approximately **14 days** (the entire follicular phase). - While it technically includes the correct timing, it also encompasses periods when HSG should **not** be performed, such as just before ovulation when fertilization may be imminent. - This option lacks the specificity required for proper clinical timing. *Just before ovulation* - Performing HSG just before ovulation (around day 12-14) carries a significant risk of **disrupting a potential pregnancy** if fertilization has occurred or is about to occur. - The **endometrium** is thicker at this stage in preparation for implantation, which can obscure findings and increase patient discomfort. - This timing also increases the risk of **flushing a fertilized egg** out of the fallopian tube. *At any time* - Performing HSG at any time is not advisable due to multiple risks, including the possibility of performing the procedure on a **pregnant woman**, which can cause harm. - The **uterine lining thickness** varies throughout the cycle, significantly affecting imaging quality and procedural comfort. - Timing during or near menses would result in blood obscuring the contrast and poor visualization.
Explanation: ***Hysteroscopy + Laparoscopy*** - This combination allows for a comprehensive evaluation: **hysteroscopy** visualizes the uterine cavity to confirm the type of anomaly (e.g., septum), while **laparoscopy** assesses the external uterine contour and overall pelvic anatomy. - It is considered the **gold standard** for diagnosing complex uterine anomalies as it provides the most detailed information for both diagnosis and surgical planning. *Hysterosalpingography (HSG)* - HSG can delineate the **uterine cavity morphology** and patency of fallopian tubes. - However, it is an **X-ray based test** and does not provide information about the external contour of the uterus, which is crucial for differentiating anomalies like a bicornuate from a septate uterus. *Transvaginal Sonography (TVS)* - While TVS is an excellent initial screening tool and can suggest a uterine anomaly, it often **lacks the definitive resolution** to precisely classify the anomaly, especially differentiating between septate and bicornuate uteri. - Its accuracy can be **operator-dependent** and limited in visualizing the external uterine contour. *Laparoscopy* - Laparoscopy alone provides an excellent view of the **external uterine contour** and pelvic organs. - However, it **does not visualize the internal uterine cavity**, which is essential for identifying and classifying anomalies such as a uterine septum.
Explanation: ***Leiomyoma*** - The image shows **well-circumscribed, smooth, rounded masses protruding into the uterine cavity**, which are characteristic of **submucous (intracavitary) leiomyomas (fibroids)** seen on hysteroscopy. - Submucous leiomyomas are benign smooth muscle tumors that project into the endometrial cavity and commonly cause **abnormal uterine bleeding (AUB)** due to increased endometrial surface area, distortion of the endometrial cavity, ulceration of overlying endometrium, and interference with normal uterine contractility. - On **hysteroscopic examination**, they appear as firm, pale, smooth-surfaced masses with overlying endometrium. *Adenomyosis* - Adenomyosis involves the presence of **endometrial tissue within the myometrium**, leading to diffuse uterine enlargement. - On hysteroscopy, it may show a **globally irregular endometrial surface** with small endometrial openings or cystic spaces, but not the discrete, well-circumscribed protruding masses seen in the image. - While it can cause AUB and dysmenorrhea, the appearance is distinctly different from submucous leiomyomas. *Ovarian neoplasm* - Ovarian neoplasms originate in the **ovaries**, which are separate from the uterus. - **Hysteroscopic examination** visualizes only the **endometrial cavity** and cannot directly visualize ovarian pathology. - Ovarian masses do not protrude into the uterine cavity. *Carcinoma of uterus* - Endometrial carcinoma typically presents on hysteroscopy as **irregular, friable, ulcerative, or fungating lesions** with abnormal vascularity and易出血 (easy bleeding). - The **smooth, well-defined, and rounded appearance** with intact overlying mucosa in the image is characteristic of benign leiomyomas, not malignant growths. - Uterine sarcomas are rare and would show more irregular, infiltrative features rather than well-circumscribed masses.
Explanation: ***Obstetric conjugate is calculated by adding 1.5 cm to diagonal conjugate*** - The **obstetric conjugate** is actually calculated by **subtracting 1.5 to 2 cm from the diagonal conjugate**, not adding, to estimate the shortest distance between the sacral promontory and the symphysis pubis. - This measurement is crucial as it represents the narrowest anteroposterior diameter through which the fetal head must pass during labor, making the incorrect calculation statement false. *Oblique diameter is the largest diameter of inlet* - The **transverse diameter** is generally considered the **largest diameter of the pelvic inlet** (around 13 cm), extending across the widest part of the pelvic brim. - While the **oblique diameter** is significant (around 12.5 cm), it is typically slightly shorter than the transverse diameter. *Obstetric conjugate indicates status of mid pelvis* - The **obstetric conjugate** specifically assesses the **pelvic inlet**, representing its anteroposterior dimension, not the midpelvis. - The **midpelvis** status is primarily evaluated by the **interspinous diameter**, which measures the distance between the ischial spines. *AP Diameter is the shortest diameter at brim* - The **anteroposterior (AP) diameter** of the brim, also known as the **obstetric conjugate**, is indeed often the **shortest diameter** of the pelvic inlet. - This diameter, typically around 11 cm, is clinically vital as it can sometimes limit the passage of the fetal head.
Get full access to all questions, explanations, and performance tracking.
Start For Free