What will be the likely cause of death in a 4-year-old boy who tires easily, exhibits weakness in the pelvic and shoulder girdles, and calf muscle enlargement, with elevated serum creatine kinase levels, and a biopsy showing marked variation in muscle fiber size and shape, muscle fiber necrosis, myophagocytosis, regenerating fibers, and fibrosis?
What covers the binding sites for myosin heads on actin in skeletal muscles?
An electron microscopy of muscle biopsy shows 'parking lot' appearance. Which additional finding would confirm myotonic dystrophy?
Arrange the following parts of sarcomere from periphery to center. 1. Z line 2. M line 3. A band 4. H zone
In congenital dystrophic variety of epidermolysis bullosa, mutation is seen in the gene coding for:
Which of the following protein molecules is responsible for cell-to-cell adhesion?
Not a monomeric intermediate filament:
In response to changes in Ca2+ concentration, which of the following Ca2+ binding proteins can modify the activity of many enzymes & proteins?
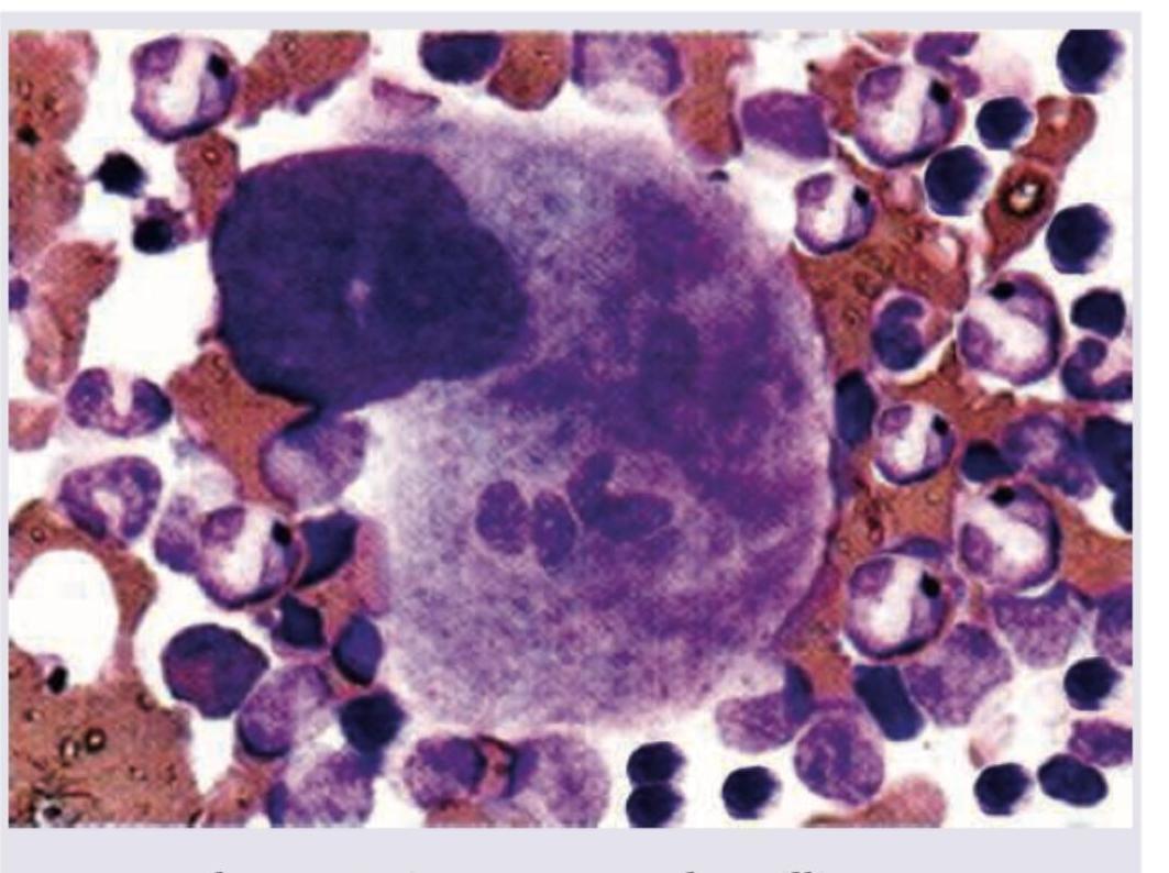
A macrophage engulfs different cells as shown in the image. This is known as?

A research team is developing a gene therapy approach using CRISPR-Cas9 to correct a point mutation causing sickle cell disease. They must decide between two strategies: (A) correcting the mutation in hematopoietic stem cells ex vivo, or (B) in vivo correction in bone marrow. Considering molecular physiology principles, what is the most significant advantage of strategy A over strategy B?
Explanation: ***Cardiomyopathy*** - In boys with **Duchenne muscular dystrophy (DMD)**, cardiomyopathy is a significant complication leading to **heart failure** and death. - The muscle biopsy findings support **muscular dystrophy** [1], and the patient's symptoms indicate weakening of the heart muscle over time. *End-stage renal disease* - Typically results from **chronic kidney conditions**, which are not indicated by the case presented. - The symptoms described, including **muscle weakness** and **fibrosis**, are not directly related to renal dysfunction. *Cerebrovascular disease* - Generally manifests as a sudden neurological deficit and is uncommon in **pediatric muscular conditions**. - There is no indication of **neurological symptoms** in this patient's presentation. *Pulmonary saddle embolism* - This condition typically presents with sudden **shortness of breath** or **chest pain**, neither of which is mentioned here. - The findings focus more on **muscle degeneration** rather than any acute pulmonary events. **References:** [1] Kumar V, Abbas AK, et al.. Robbins and Cotran Pathologic Basis of Disease. 9th ed. Peripheral Nerves and Skeletal Muscles, pp. 1244-1245.
Explanation: ***Tropomyosin*** - **Tropomyosin** is a two-stranded alpha-helical coiled coil protein that lies in the grooves of the **actin** filaments. - In a resting muscle, it physically blocks the **myosin-binding sites** on **actin**, preventing contraction. *Troponin* - **Troponin** is a complex of three proteins (troponin C, troponin I, and troponin T) that binds to **tropomyosin**. - It plays a crucial role in pulling **tropomyosin** away from the **myosin-binding sites** on **actin** when calcium binds to troponin C, initiating muscle contraction. *Calcium* - **Calcium ions (Ca2+)** do not directly cover the binding sites but rather bind to **troponin C**. - This binding causes a conformational change in **troponin**, which in turn shifts **tropomyosin** to expose the binding sites. *None of the above* - This option is incorrect because **tropomyosin** specifically performs the function of covering the myosin-binding sites on actin. - The other components (troponin and calcium) are involved in regulating the position of tropomyosin, not directly covering the sites themselves.
Explanation: ***Ring fibers*** - **Ring fibers** are a classic histopathological feature seen in **myotonic dystrophy**, characterized by peripheral myofibrils arranged circularly around a central core [1]. - The "parking lot" appearance on electron microscopy refers to collections of **sarcoplasmic reticulum** and **T-tubules**, which can be seen in various myopathies but are often prominent in myotonic dystrophy, complementing the presence of ring fibers [1]. *Ragged red fibers* - **Ragged red fibers** are characteristic of **mitochondrial myopathies**, indicating abnormal proliferation of mitochondria beneath the sarcolemma. - They are typically identified with **Gomori trichrome stain** and are not a feature of myotonic dystrophy. *Central cores* - **Central cores** are a hallmark of **central core disease**, a congenital myopathy, and are regions within muscle fibers where oxidative enzyme activity is absent. - These are not typically associated with myotonic dystrophy; rather, they suggest a different underlying genetic defect affecting muscle structure. *Nemaline rods* - **Nemaline rods** are rod-like inclusions observed in muscle fibers in **nemaline myopathy**, an inherited disorder often associated with mutations in genes encoding components of the thin filament. - They are distinct from the pathological findings in myotonic dystrophy and point to a specific type of congenital myopathy. **References:** [1] Cross SS. Underwood's Pathology: A Clinical Approach. 6th ed. Common Clinical Manifestations Of Central And Peripheral Nervous System Disease, pp. 732-733.
Explanation: ***1,3,4,2*** - The **Z line** is found at the **periphery** of the sarcomere, defining its boundaries and anchoring the **actin filaments**. - Moving inwards, the **A band** is next, representing the entire length of the **myosin filament**, which may also overlap with actin. - The **H zone** is located within the A band, comprising only **myosin filaments** without actin overlap. - Finally, the **M line** is at the **center** of the sarcomere, bisecting the H zone and anchoring the myosin filaments. *2,3,4,1* - This sequence is incorrect because the **M line** is at the **center** and the **Z line** is at the **periphery**, which is the reverse of the expected order for from periphery to center. - Such an arrangement would place the innermost structure first and outermost last, not reflecting the correct spatial organisation. *4,2,3,1* - This order is incorrect as the **H zone** and **M line** are more central, while the **Z line** is peripheral. - Placing structures like the H zone and M line at the beginning does not align with arrangement from periphery to center. *3,1,4,2* - This option is incorrect because the **A band** includes both actin and myosin filaments, while the **Z line** is at the periphery of the sarcomere. - The given order does not represent a progression from the periphery to the center of the sarcomere.
Explanation: ***Correct: Collagen type 7*** - **Dystrophic epidermolysis bullosa** is characterized by defects in **collagen type 7**, which forms anchoring fibrils that connect the epidermis to the underlying dermal tissue. - Mutations in the gene *COL7A1* lead to fragile skin that **blisters easily** in the **dermo-epidermal junction** below the lamina densa (sublamina densa level). - This distinguishes it from other EB subtypes by its **sub-basement membrane zone** blistering. *Incorrect: Laminin 4* - Mutations in **laminin 332** (formerly laminin 5), not laminin 4, are associated with **junctional epidermolysis bullosa**, a different subtype. - Junctional EB primarily affects the **lamina lucida** within the dermo-epidermal junction. *Incorrect: Keratin 14* - Mutations in **keratin 5** and **keratin 14** are responsible for **epidermolysis bullosa simplex**, which involves blistering within the **basal layer of the epidermis**. - In this form, blisters occur *intraepidermally* above the basement membrane zone. *Incorrect: Alpha 6 integrin* - Mutations in **alpha 6 beta 4 integrin** subunits are also associated with **junctional epidermolysis bullosa**, specifically affecting the assembly of **hemidesmosomes**. - These defects lead to blistering within the **lamina lucida**, similar to laminin 332 mutations.
Explanation: ***Cadherin*** - **Cadherins** are transmembrane proteins that mediate **direct cell-to-cell adhesion** in a calcium-dependent manner - They form **adherens junctions** and **desmosomes**, which are essential for maintaining tissue integrity - Cadherins on adjacent cells bind to each other (**homophilic binding**), creating strong cell-cell connections - Critical for **embryonic development**, tissue architecture, and **epithelial barrier function** *Fibronectin* - **Fibronectin** is an extracellular matrix glycoprotein that mediates **cell-to-ECM adhesion**, not direct cell-to-cell adhesion - It binds to **integrins** on the cell surface, facilitating cell attachment to the extracellular matrix - Important for cell migration, wound healing, and embryonic development - Does not directly connect cells to each other *Collagen* - **Collagen** is the most abundant structural protein providing **tensile strength** to connective tissues - Primarily functions as **extracellular scaffolding**, not as an adhesion molecule - Provides mechanical support but does not mediate cell-cell adhesion *Laminin* - **Laminins** are major components of the **basal lamina** (basement membrane) - Mediate **cell-to-basal lamina adhesion** through integrin receptors - Important for cell differentiation, migration, and tissue organization - Function in cell-to-ECM adhesion, not cell-to-cell adhesion
Explanation: ***Tubulin*** - **Tubulin** is the monomeric building block of **microtubules**, which are distinct from intermediate filaments. - Microtubules are involved in cell motility, intracellular transport, and maintaining cell shape, but they do not belong to the intermediate filament family. *Desmin* - **Desmin** is a type III **intermediate filament** that is primarily expressed in muscle cells. - It plays a crucial role in organizing the **sarcomeres** and providing structural integrity to muscle fibers. *Keratin* - **Keratin** is the most diverse family of **intermediate filaments** and is primarily found in epithelial cells. - It provides **mechanical strength** to cells and tissues, forming structures like hair, nails, and the outer layer of skin. *Vimentin* - **Vimentin** is a type III **intermediate filament** that is widely expressed in cells of **mesenchymal origin**, such as fibroblasts, endothelial cells, and leukocytes. - It contributes to cell shape, motility, and the integrity of the **cytoskeleton**.
Explanation: ***Calmodulin*** - **Calmodulin** is a highly conserved, 148-amino acid protein with four **calcium-binding EF-hand motifs**. - Upon binding to **calcium ions (Ca2+)**, it undergoes a conformational change that enables it to interact with and regulate the activity of a wide variety of enzymes and proteins, including **kinases, phosphatases, and ion channels**, mediating many Ca2+-dependent cellular processes. *Collagen* - **Collagen** is a major structural protein in the extracellular matrix, providing **tensile strength** to tissues. - Its primary function is structural support, rather than acting as a calcium-sensing regulatory protein for enzyme activity. *Kinesin* - **Kinesin** is a **motor protein** involved in intracellular transport, moving cargo along microtubules. - While its activity can be modulated, it is not primarily known as a calcium-binding protein that directly regulates a broad range of enzymes in response to calcium concentration changes. *Elastin* - **Elastin** is a highly elastic protein found in connective tissue, allowing tissues to **recoil after stretching**. - Like collagen, its main role is structural, contributing to the elasticity of tissues, rather than signaling or enzyme regulation via calcium binding.
Explanation: ***Emperipolesis*** - The image shows a large cell (likely a macrophage or megakaryocyte) containing **intact various blood cells** within its cytoplasm without signs of degeneration. - **Emperipolesis** is specifically defined as the **active penetration of one cell by another**, where both the engulfed and engulfing cells remain viable. *Phagocytosis* - **Phagocytosis** involves the ingestion and subsequent **destruction or degradation** of foreign particles, microorganisms, or cellular debris. - The cells within the macrophage in the image appear **morphologically intact** and not in a state of degradation. *Killing* - **Killing** implies the process by which a cell actively destroys another cell, often through mechanisms like **apoptosis or necrosis**. - There are **no morphological features** in the image to suggest that the engulfed cells are being actively killed or are undergoing degeneration. *Cytotoxicity* - **Cytotoxicity** refers to the ability of certain immune cells (e.g., cytotoxic T lymphocytes, NK cells) to **kill target cells**. - This process usually involves specific recognition and induction of target cell death, which is not what is depicted by the presence of intact cells within another cell.
Explanation: ***Strategy A allows for screening and selection of successfully edited cells before transplantation, minimizing off-target effects*** - **Ex vivo** correction allows scientists to perform **quality control** by screening the patient's cells for the desired **on-target** modification and ensuring no harmful **off-target** mutations exist. - This selection process ensures that only **genetically verified** hematopoietic stem cells are re-infused, providing a significant safety and efficacy profile compared to blind **in vivo** delivery. *Strategy A requires lower doses of viral vectors* - While the total volume might be smaller, the primary advantage is the **precision** and **safety** of editing, not merely the quantity of the vector used. - **In vivo** methods actually face greater challenges with **vector distribution** and immune clearance, but this is less critical than the ability to screen cells. *Strategy A produces faster clinical improvement* - The **ex vivo** process is time-consuming, involving **cell harvesting**, laboratory editing, and **myeloablative conditioning** before re-infusion. - Clinical improvement depends on the **engraftment** of edited cells and the turnover of red blood cells, which is not necessarily faster than **in vivo** methods. *Strategy A is less expensive to implement* - **Ex vivo** gene therapy is highly expensive due to the need for **specialized laboratory facilities**, intensive cell culture protocols, and prolonged patient **hospitalization**. - **In vivo** strategies are conceptually cheaper and easier to scale, but currently lack the **safety oversight** provided by laboratory screening.
Get full access to all questions, explanations, and performance tracking.
Start For Free