A 32-year-old man comes to the physician complaining of excessive sleepiness for the past several months. He reports falling asleep while dealing with customers and had a near accident when he fell asleep while driving. The patient reports that he occasionally hears voices while falling asleep and finds himself "temporarily frozen" and unable to move upon awakening. Which of the following is the most appropriate treatment for this patient?
The human body has rhythmic fluctuations in its function on a circadian cycle. Circadian rhythm is controlled by:
Adrenocorticotropic hormone is the drug of choice in which of the following conditions?
All of the following factors are involved in altered patterns of hormone release except
Hormonal secretions are tightly controlled by the time of day due to an inbuilt biological clock in human body. This rhythmic secretion is controlled by:
A nondiabetic, nonhypertensive patient has occasional extra heartbeats. The doctor informed them it is benign, but the patient continues to seek investigations from doctor to doctor. This is a type of:
In which of the following conditions would the cortisol level be highest?
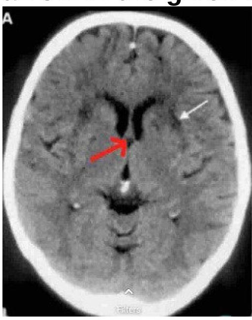
Identify the structure marked by a red arrow in the image.

Which factor best predicts response to light therapy in SAD?
In comparison to a normal healthy person, in the evening time, which of these will have an elevated ACTH as well as elevated Cortisol?
Explanation: ***Modafinil*** - The patient's symptoms of **excessive daytime sleepiness** (EDS), **hypnagogic hallucinations** (hearing voices while falling asleep), and **sleep paralysis** are classic signs of **narcolepsy**. - **Modafinil** is a **non-amphetamine stimulant** that promotes wakefulness and is a first-line treatment for narcolepsy, improving alertness and reducing EDS. *Melatonin* - **Melatonin** is a hormone involved in regulating the **sleep-wake cycle** and is primarily used for **insomnia**, **jet lag**, or **circadian rhythm disorders**. - It is not effective for treating the hallmark symptoms of narcolepsy, such as cataplexy or excessive daytime sleepiness. *Clonazepam* - **Clonazepam** is a **benzodiazepine** that acts as a central nervous system depressant, primarily used for **anxiety disorders**, seizures, and some sleep disorders like **REM sleep behavior disorder**. - While it can help with some parasomnias, it would worsen daytime sleepiness in a patient with narcolepsy and is not a primary treatment for its core symptoms. *Continuous positive airway pressure* - **Continuous positive airway pressure (CPAP)** is the standard treatment for **obstructive sleep apnea (OSA)**, a condition characterized by recurrent upper airway collapse during sleep. - Although OSA can cause excessive daytime sleepiness, the patient's additional symptoms of hypnagogic hallucinations and sleep paralysis are not typical of OSA, making narcolepsy and its specific treatments more appropriate.
Explanation: ***Suprachiasmatic nuclei*** - The **suprachiasmatic nuclei (SCN)**, located in the hypothalamus, are considered the primary **master clock** that regulates most **circadian rhythms** in the human body. - They receive light input directly from the retina, which helps to **synchronize** the internal clock with the external light-dark cycle. *Median eminence* - The median eminence is a structure at the base of the hypothalamus that serves as a **neurohemal organ**, where **hypothalamic releasing and inhibiting hormones** are secreted into the portal system to control anterior pituitary function. - It does not directly control circadian rhythm but plays a role in the **endocrine system's response** to circadian cues. *Paramedian nuclei* - The term "paramedian nuclei" can refer to various small nuclei located near the midline in different brain regions, such as the brainstem. - These nuclei are generally involved in various motor and sensory functions and do not serve as the **central pacemaker** for circadian rhythms. *Supraoptic nuclei* - The supraoptic nuclei are located in the hypothalamus and are primarily responsible for producing **vasopressin (ADH)** and **oxytocin**, which are then released from the posterior pituitary gland. - While they are important for fluid balance and social bonding, they are not directly involved in the **generation or regulation of circadian rhythms**.
Explanation: ***West syndrome*** - **Adrenocorticotropic hormone (ACTH)** is considered the drug of choice for West syndrome, also known as infantile spasms, due to its efficacy in reducing spasm frequency and improving neurodevelopmental outcomes. - **Steroid therapy**, including ACTH, is thought to work by modulating cortisol levels and neurotransmitter activity, suppressing the abnormal brain activity characteristic of these seizures. *Juvenile myoclonic epilepsy* - The drug of choice for juvenile myoclonic epilepsy is typically **valproate**, or newer antiepileptic drugs like levetiracetam or lamotrigine, known for their efficacy against myoclonic seizures. - ACTH is not used in this condition, as it is generally effective for specific types of **epileptic encephalopathies** and not generalized idiopathic epilepsies like JME. *Rolandic epilepsy* - **Rolandic epilepsy** (benign epilepsy with centrotemporal spikes) often resolves spontaneously and may not require treatment, but if seizures are frequent, drugs like gabapentin or carbamazepine are used. - ACTH has no established role in the treatment of Rolandic epilepsy, which is a **focal idiopathic epilepsy** with a good prognosis. *Lennox Gastaut syndrome* - While a severe epileptic encephalopathy, the initial management for **Lennox-Gastaut syndrome** (LGS) typically involves a combination of antiepileptic drugs such as valproate, lamotrigine, clobazam, or rufinamide. - ACTH may be considered as an adjunctive treatment in refractory cases of LGS, but it is not the **first-line drug of choice**, unlike in West syndrome where it holds a primary role.
Explanation: **Day time duties** - **Daytime duties** are part of normal diurnal rhythms and do not inherently alter the **circadian clock** or hormone release patterns. - While they coincide with certain hormone fluctuations, they are not a disruptive factor like the other options. *Travel across time zones* - **Travel across time zones** causes **jet lag**, disrupting the body's internal clock and desynchronizing **circadian rhythms**. - This desynchronization directly affects the timing and amount of various hormones released, such as **cortisol** and **melatonin**. *Aging* - **Aging** brings about natural changes in hormone production and release patterns, including decreases in **growth hormone**, **sex hormones**, and alterations in **cortisol** rhythms. - These changes are a physiological consequence of the aging process, leading to altered hormonal profiles. *Lights on throughout 24 hours of the day* - Prolonged exposure to **light at night** disrupts the natural **sleep-wake cycle** and suppresses **melatonin** production, a key hormone for regulating circadian rhythms. - This constant light exposure can significantly alter the release of numerous other hormones that follow a **diurnal pattern**.
Explanation: ***Suprachiasmatic nucleus*** - The **suprachiasmatic nucleus (SCN)**, located in the hypothalamus, is the primary pacemaker of the body's **circadian rhythms**, controlling the timing of hormonal secretions, sleep-wake cycles, and other daily oscillations. - It receives direct input from the **retina** about light-dark cycles, allowing it to synchronize the body's internal clock with the external environment. *Ventrolateral nucleus* - The **ventrolateral preoptic nucleus (VLPO)** is involved in **sleep regulation** and promoting non-REM sleep, but it does not act as the primary circadian pacemaker. - It receives input from the SCN and collaborates in regulating sleep, but its role is primarily inhibitory to wakefulness. *Supraoptic nucleus* - The **supraoptic nucleus** is primarily involved in the production and secretion of **vasopressin (ADH)** and **oxytocin**, which are neurohormones regulating fluid balance and social bonding, respectively. - It does not directly control the rhythmic aspect of general hormonal secretions or act as the central circadian clock. *Posterolateral nucleus* - This term is less commonly used in the context of circadian rhythm control; however, if referring to a thalamic nucleus, the **posterolateral nucleus** is generally associated with sensory processing, particularly somatosensory information. - It has no known role as a central pacemaker for hormonal secretions or circadian rhythms.
Explanation: ***Illness Anxiety Disorder*** - This condition is characterized by **preoccupation with having or acquiring a serious illness**, despite minimal or no somatic symptoms, or an excessive preoccupation if symptoms are present. - The patient's repeated seeking of investigations despite medical assurance of a benign condition aligns with the diagnostic criteria of **illness anxiety disorder**, where reassurance has little effect. *Depression* - While **depressive symptoms** (e.g., low mood, anhedonia) can coexist with health anxieties, the primary driver here is the fear of serious illness rather than pervasive sadness or loss of interest. - Patients with depression typically report a **generalized dysphoria** or lack of energy, which is not the central issue described. *Conversion disorder* - Involves **neurological symptoms** (e.g., paralysis, blindness, seizures) that are incompatible with recognized neurological conditions and are not intentionally produced. - The patient's concern is about a benign cardiac finding, not the sudden onset of **functional neurological deficits**. *Somatoform pain* - This term is older and has largely been replaced by **Somatic Symptom Disorder with predominant pain**, where psychological factors play a significant role in the onset, severity, exacerbation, or maintenance of pain. - The patient's main concern is about the **implication of a benign symptom** rather than experiencing overwhelming pain itself.
Explanation: ***Normal person in the early morning*** - Cortisol secretion follows a **circadian rhythm**, with levels naturally peaking in the early morning (typically between 6-8 AM) to prepare the body for the day's activities. - This **diurnal variation** is a key physiological characteristic of cortisol, regulated by the **hypothalamic-pituitary-adrenal (HPA) axis**. *Normal person after receiving dexamethasone* - **Dexamethasone** is a potent synthetic glucocorticoid that **suppresses ACTH secretion** via negative feedback, leading to a significant **reduction in endogenous cortisol production**. - This is the principle behind the **dexamethasone suppression test**, used to diagnose Cushing's syndrome (failure of suppression). *Normal person in the late evening* - Cortisol levels are typically at their **lowest point** in the late evening (around midnight to early morning hours) as part of the normal **circadian rhythm**. - This nadir reflects the body's decreased need for metabolic and stress response hormones during rest. *Addison's disease* - **Addison's disease** is characterized by **primary adrenal insufficiency**, meaning the adrenal glands are unable to produce sufficient amounts of cortisol. - Patients with Addison's disease have **chronically low cortisol levels** due to glandular damage, often accompanied by high ACTH levels.
Explanation: ***Fornix*** - The **fornix** is a C-shaped bundle of nerve fibers in the brain that acts as the primary efferent (output) pathway from the hippocampus. - On an axial CT image, the fornix is typically seen as a **thin, arching structure** located above the third ventricle and below the corpus callosum, which matches the position indicated by the red arrow. *Great vein of Galen* - The **Great cerebral vein of Galen** is a large midline vein located posterior to the third ventricle and pineal gland, draining into the straight sinus. - Its position is more posterior and inferior to the structure indicated by the red arrow. *Pineal gland* - The **pineal gland** is a small, endocrine gland located in the epithalamus, posterior to the third ventricle and often calcified, appearing bright on CT scans. - While it's in the general vicinity, the red arrow points anterior and superior to where the pineal gland would typically be visualized. *Falx cerebri* - The **falx cerebri** is a large, crescent-shaped fold of dura mater that dips into the longitudinal fissure between the cerebral hemispheres. - It would appear as a linear structure in the sagittal plane or as a midline divider in some axial cuts, distinct from the deep brain structure indicated by the arrow.
Explanation: ***Melatonin profile*** - Light therapy in SAD works primarily by **resetting the circadian rhythm**, which is closely tied to the **melatonin secretion pattern**. - An earlier timing of the **dim-light melatonin onset (DLMO)** in the evening (phase advance) or a delayed DLMO (phase delay) can be corrected by appropriately timed light exposure, thus predicting treatment response. *Depression severity* - While depression severity is a measure of the illness itself, it does not directly predict how well a patient will respond to a specific treatment modality like light therapy. - The underlying **biological mechanisms** responsive to light therapy are not solely determined by the degree of depressive symptoms. *Sleep pattern* - Sleep patterns are often disturbed in SAD, but they are a **symptom of the circadian dysregulation**, rather than a direct predictor of response to light therapy. - Improvements in sleep are a *consequence* of effective light therapy, not a prognostic factor. *Chronotype/Morningness-eveningness preference* - Chronotype indicates an individual's natural propensity to be a "morning person" or "evening person," reflecting their **intrinsic circadian rhythm**. - While related to circadian timing, it's a broader classification and **less precise** than the actual melatonin profile in predicting the specific timing needed for light therapy to correct phase abnormalities.
Explanation: **_Cushing's disease_** * In **Cushing's disease**, there is an **ACTH-producing pituitary adenoma** that leads to excessive ACTH secretion, which in turn stimulates the adrenal glands to produce high levels of cortisol. * This results in **chronically elevated cortisol levels** throughout the day, including the evening, and an inappropriately elevated ACTH due to increased production from the pituitary. *Addison's disease* * **Addison's disease** is characterized by **primary adrenal insufficiency**, meaning the adrenal glands cannot produce sufficient cortisol despite adequate ACTH stimulation. * While ACTH would be significantly **elevated** due to a lack of negative feedback from cortisol, the **cortisol levels would be low** or normal in response to the adrenal gland dysfunction. *Transient state after exercise (evening time)* * During and immediately after **intense exercise**, both ACTH and cortisol levels can transiently increase as part of the body's stress response. * However, these elevations are typically **transient** and would not represent a sustained, pathologically elevated state in the evening in the same way as Cushing's disease, and levels would usually normalize relatively quickly. *Normal healthy person (evening time)* * In a normal healthy person, ACTH and cortisol levels exhibit a **diurnal rhythm**, with the highest levels in the morning and the lowest levels in the late evening/night. * Therefore, in the evening, both **ACTH and cortisol levels would naturally be low** as part of the physiological circadian rhythm, not elevated.
Get full access to all questions, explanations, and performance tracking.
Start For Free