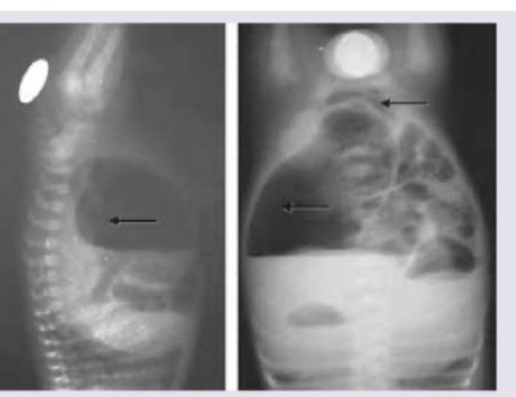
X-ray feature of pyloric stenosis is –
A 3-month-old with projectile vomiting and olive-shaped mass in abdomen is diagnosed with?
What is the classification of intelligence corresponding to an IQ score of 90-109?
Which one of the following life-threatening congenital anomalies in the newborn presents with polyhydramnios, aspiration pneumonia, excessive salivation and difficulty in passing a nasogastric tube?
Calcified canal is explored with all of the given instruments except:
What is indicated by the 'double bubble sign' on prenatal ultrasound?
A 3-month-old infant presents with an abdominal palpable mass and non-bilious vomiting. What is the most likely diagnosis?
A 24-day-old neonate presents with projectile vomiting and failure to gain weight. What is the most likely diagnosis?
A 1-week-old previously healthy infant presents to the emergency room with the acute onset of bilious vomiting. The abdominal plain film in the emergency department (A) and the barium enema done after admission (B) are shown. Which of the following is the most likely diagnosis for this patient?

Child has not passed stool by 2nd day of life. X-Ray study done shows:

Explanation: ***Single bubble appearance*** - Pyloric stenosis is characterized by an **enlarged stomach** due to the obstruction at the pylorus, which appears as a **single large air-filled bubble** on an X-ray. - The obstruction prevents gastric contents, including air, from passing into the duodenum, leading to gastric distension. *Multiple air fluid levels* - This finding is more typical of a **distal bowel obstruction**, where multiple loops of bowel are dilated and contain fluid. - Pyloric stenosis typically affects only the stomach, so multiple fluid levels in the small or large intestine would not be expected. *Triple bubble appearance* - This pattern is seen in **jejunal atresia** or other obstructions involving the duodenum and proximal jejunum. - It indicates air in the stomach, duodenum, and a third dilated loop of bowel. *Double bubble appearance* - This classic sign is indicative of **duodenal atresia** or an **annular pancreas**, where air is seen in the stomach and the dilated first part of the duodenum. - The obstruction is **distal to the pylorus** in the duodenum, allowing gastric contents to pass through the pylorus into the duodenum up to the point of obstruction, but no further.
Explanation: ***Pyloric stenosis*** - The classic triad of **projectile vomiting**, a palpable **olive-shaped mass** (hypertrophied pylorus), and age of presentation (2-8 weeks, though 3 months is still possible) are highly indicative of **pyloric stenosis**. - This condition involves thickening of the **pyloric muscle**, leading to gastric outlet obstruction and non-bilious emesis. *Hirschsprung disease* - This typically presents with **constipation**, **abdominal distension**, and failure to pass meconium, rather than projectile vomiting. - It results from the absence of **ganglion cells** in the distal colon, causing functional obstruction. *GERD* - While GERD can cause vomiting in infants, it is usually not **projectile** and is rarely associated with a palpable **olive-shaped mass**. - Infants with GERD typically respond to conservative measures like thickening feeds or acid suppressants. *Duodenal atresia* - This condition presents with **bilious vomiting** (as the obstruction is distal to the ampulla of Vater) usually within the first 24-48 hours of life. - An abdominal X-ray would show a **double bubble sign**, which is not mentioned in the presentation for pyloric stenosis.
Explanation: ***Average*** - An **IQ score** range of **90-109** is traditionally classified as **Average** intelligence. - This range represents the **mean** and surrounding **standard deviation** of IQ scores in the general population. *Below average* - This classification usually corresponds to IQ scores in the range of **70-79** or **80-89**, depending on the specific scale. - It does not represent the central tendency of the population's intelligence. *Slightly below average* - This category typically corresponds to IQ scores in the range of **80-89**. - It falls just below the average range but is not as low as the "below average" classification. *Above average* - This classification is typically assigned to IQ scores that are in the range of **110-119** or higher. - It signifies cognitive abilities that are greater than the majority of the population.
Explanation: ***Tracheo-esophageal fistula*** - This condition presents with **polyhydramnios** due to the fetus being unable to swallow amniotic fluid, **excessive salivation** from accumulated secretions in the blind-ending esophageal pouch, and difficulty passing a **nasogastric tube** because of the esophageal obstruction. - **Aspiration pneumonia** is a common complication as saliva and gastric contents can be aspirated into the lungs through the fistula. *Choanal atresia* - Characterized by **blocked nasal passages**, leading to **cyclical cyanosis** relieved by crying, but not typically associated with polyhydramnios or excessive salivation in this manner. - While it can cause respiratory distress, it does not involve esophageal obstruction or directly cause aspiration pneumonia from swallowed fluids. *Gastroschisis* - This is an **abdominal wall defect** where intestines protrude outside the body, unrelated to swallowing difficulties, polyhydramnios caused by inability to swallow, or excessive salivation. - It does not involve difficulty in passing a nasogastric tube or directly cause aspiration pneumonia. *Diaphragmatic hernia* - Involves **abdominal contents herniating into the chest cavity**, leading to **pulmonary hypoplasia** and respiratory distress. - It does not explain polyhydramnios due to impaired swallowing, excessive salivation, or the characteristic inability to pass a nasogastric tube.
Explanation: ***10 K file*** - **#10 K-files** are typically used for initial negotiation of **larger, more accessible canals**, not for exploring highly calcified or severely constricted canals. - Their larger diameter (0.10 mm) makes them too stiff and prone to ledge formation or perforation in extremely calcified areas. *6 K file* - **#6 K-files** are extremely small and flexible (0.06 mm in diameter), making them ideal for initial penetration through tight, calcified canal orifices. - Their fine tip and flexibility help in navigating complex anatomy and overcoming initial resistance without causing iatrogenic damage. *C+ file* - **C+ files** are specifically designed for calcified or severely curved canals due to their **stiffer shaft, non-cutting tip**, and improved resistance to buckling. - They are offered in multiple diameters, including very small sizes like 06 and 08, which are suitable for initial exploration of challenging canal anatomy. *Profinder* - **ProFinder files** are specialized stainless steel hand files with a **triangular cross-section** and non-cutting tip, designed for initial negotiation of difficult and calcified canals. - Their enhanced tip design and shaft stiffness facilitate easy insertion into tight orifices and help maintain the canal pathway.
Explanation: ***Duodenal atresia*** - The **double bubble sign** on prenatal ultrasound is pathognomonic for **duodenal atresia**, representing a dilated stomach and a dilated first part of the duodenum. - This congenital anomaly results from a failure of the **duodenal lumen** to recanalize during fetal development, leading to a complete obstruction. *Hirschsprung disease* - Characterized by the absence of **ganglion cells** in the distal colon, leading to functional obstruction, but it does not typically present as a **double bubble sign** on prenatal ultrasound. - While it can cause bowel dilation, it usually affects more distal portions of the bowel and presents with symptoms like **delayed meconium passage** postnatally. *Pyloric stenosis* - Involves hypertrophy of the **pyloric muscle**, leading to gastric outlet obstruction, but it typically presents in infancy with **non-bilious projectile vomiting** and an **olive-shaped mass**, not a double bubble sign antenatally. - The 'double bubble' is specific to obstructions *after* the pylorus, in the duodenum. *Esophageal atresia* - This condition involves a blind-ending esophagus and is often associated with a **tracheoesophageal fistula**, leading to symptoms like **frothing and bubbling at the mouth** and choking during feeds. - While it impacts feeding, it does not cause the characteristic appearance of a **dilated stomach** and duodenum seen in the double bubble sign.
Explanation: ***Hypertrophic pyloric stenosis*** - The classic presentation includes **projectile non-bilious vomiting** and a palpable **olive-shaped mass** in the epigastrium of an infant typically between 3 weeks and 6 months of age. - The vomiting is non-bilious because the obstruction is proximal to the ampulla of Vater. *Intussusception* - While it can present with an **abdominal mass** and vomiting, the vomiting is often **bilious** and the classic stool is **'currant jelly'**, which is not mentioned here. - It usually presents with sudden onset of severe, **colicky abdominal pain** and occurs more commonly in slightly older infants (6-12 months). *Tracheoesophageal fistula* - This condition presents at birth with symptoms such as **choking, coughing**, and **cyanosis** during feeding. - It usually causes respiratory distress and feeding difficulties from the first days of life, not a palpable abdominal mass and non-bilious vomiting at 3 months. *Duodenal atresia* - This is a congenital obstruction that typically presents with **bilious vomiting** (as the obstruction is distal to the ampulla of Vater) within the first 24-48 hours of life. - Imaging usually shows a **“double bubble” sign** on abdominal X-ray, and an abdominal mass is not typically palpable.
Explanation: ***Congenital Hypertrophic Pyloric Stenosis*** - The classic presentation includes **projectile, non-bilious vomiting** in a neonate around 2-8 weeks old, leading to **failure to thrive**. - An **olive-shaped mass** (hypertrophied pylorus) may be palpable in the epigastrium. *NEC* - **Necrotizing enterocolitis (NEC)** is an inflammatory disease of the intestine, primarily affecting premature infants. - Symptoms typically include **abdominal distension**, bloody stools, and lethargy, rather than projectile vomiting. *Duodenal atresia* - Presents with **bilious vomiting** within the first 24-48 hours of life due to an obstruction below the ampulla of Vater. - An X-ray would show a **"double bubble" sign**, which is not implied by the provided symptoms. *Hirschsprung's disease* - Characterized by **failure to pass meconium** within the first 24-48 hours and chronic constipation. - Vomiting, if present, is usually **bilious** and associated with abdominal distension, not projectile in nature.
Explanation: ***Malrotation with volvulus*** - The acute onset of **bilious vomiting** in a 1-week-old infant is a **surgical emergency** and highly suggestive of intestinal obstruction, with malrotation with volvulus being a critical consideration. - The barium enema image (B) shows the **ligament of Treitz** located to the right of the midline, indicating **intestinal malrotation** and a **corkscrew pattern** of the duodenum, which is pathognomonic for **midgut volvulus**. *Hypertrophic pyloric stenosis* - Typically presents with **non-bilious projectile vomiting** and palpable **pyloric olive mass**, usually appearing between 3 to 6 weeks of age, not at 1 week with bilious vomiting. - Imaging would reveal an **elongated, narrowed pyloric channel** (string sign) and thickened pyloric muscle, not the findings seen in the barium study. *Acute appendicitis* - This is an **extremely rare diagnosis** in a 1-week-old infant and typically presents with localized pain, fever, and leukocytosis, which are not the primary symptoms described. - Acute appendicitis would not explain the **bilious vomiting** or the specific findings on the barium study related to intestinal rotation. *Jejunal atresia* - Presents with bilious vomiting and abdominal distension, often diagnosed prenatally or shortly after birth due to proximal dilation and distal collapse of the bowel. - While it causes obstruction, the barium study in jejunal atresia would show a **blind-ending jejunum** and not the distinct malrotation and volvulus features (e.g., corkscrew sign, abnormal Treitz location).
Explanation: ***Duodenal atresia*** - The abdominal X-ray images display the classic **"double bubble sign"**, which is highly characteristic of duodenal atresia. This sign consists of two distinct air-filled loops, one representing the distended stomach and the other the dilated proximal duodenum, with no distal gas. - The clinical presentation of a neonate not passing stool by the second day of life, combined with the characteristic radiological findings, points directly to an **upper gastrointestinal obstruction** like duodenal atresia. *Cystic fibrosis* - While cystic fibrosis can cause **meconium ileus** leading to intestinal obstruction in newborns, it typically presents with diffuse intestinal distension rather than the localized "double bubble" pattern. - Meconium ileus on X-ray would show numerous dilated loops of small bowel with a **"ground-glass" appearance** due to trapped meconium, not the distinct two bubbles seen here. *CHPS* - **Congenital hypertrophic pyloric stenosis (CHPS)** typically manifests later, between 3-6 weeks of age, with projectile non-bilious vomiting, not as early as the second day of life with findings of intestinal obstruction on X-ray. - The X-ray findings in CHPS would show a **distended stomach but without the second bubble** representing a dilated duodenum often seen in duodenal atresia. *Anorectal malformation* - **Anorectal malformations** are lower gastrointestinal obstructions, meaning a significant portion of the bowel would be distended with gas, and the X-ray would not show the isolated "double bubble" sign. - Diagnosis is often made by physical examination demonstrating an **imperforate anus** or abnormal anal opening, in conjunction with plain abdominal radiographs that would show distal intestinal obstruction.
Get full access to all questions, explanations, and performance tracking.
Start For Free