CT scan of a child with intellectual disability, recurrent seizures and hemangioma. Diagnosis is:

Which of the following diseases can lead to the position shown in the image?

Comment on the diagnosis in this 1-year-old child:

The MRI image shows a smooth brain surface with absence of normal gyri and sulci. What is the diagnosis?

A 7-year-old girl is easily distracted in class and exhibits poor scholastic performance. EEG shows? (AIIMS May 2014)

The EEG of an infant with early morning jerks shows?

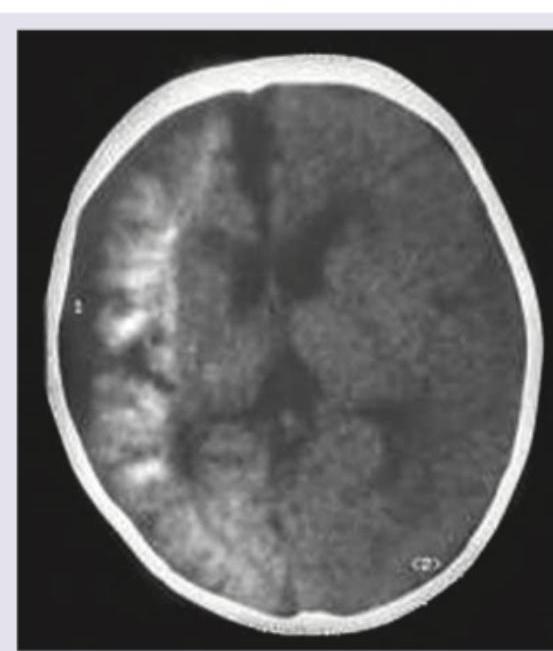
A 2-year-old epileptic child with developmental delay presents to emergency with fever for the last two days. NCCT shows:

Which reflex is being tested here?

Which of the following are tools commonly used in the evaluation of children with cerebral palsy for motor function and spasticity assessment? I. Gross Motor Function Classification System II. Medical Research Council System III. Modified Connors Scale (Connors-II) IV. Modified Ashworth Scale Select the correct answer using the code given below:
Which one of the following childhood epileptic disorders often needs long term treatment with antiepileptic drugs?
Explanation: ***Encephalofacial angiomatosis*** - This syndrome, also known as **Sturge-Weber syndrome**, is characterized by a classic triad of **facial cutaneous angioma (port-wine stain)**, **leptomeningeal angioma**, and **ocular involvement** (e.g., glaucoma). - Neurological manifestations typically include **seizures** and **intellectual disability**, while imaging like CT scans often reveal **gyriform calcifications** in the affected cerebral hemisphere (often described as "railroad track" calcifications). *Epilolia* - This term is a general and somewhat archaic description for a **convulsive disorder**, not a specific syndrome characterized by the presented clinical and imaging findings. - It lacks the specificity to explain the combination of **hemangioma**, intellectual disability, seizures, and the classic CT findings. *Louis-Bar syndrome* - Also known as **ataxia-telangiectasia**, this is a rare, neurodegenerative, inherited disease characterized by progressive **cerebellar ataxia**, **oculocutaneous telangiectasias**, and **immunodeficiency**. - The clinical presentation (especially the type of hemangioma and seizures) and typical imaging findings (cerebellar atrophy) are distinct from those described in the question. *Neuronal ceroid lipofuscinoses* - This is a group of **neurodegenerative lysosomal storage disorders** characterized by the intracellular accumulation of **lipopigment** in neurons and other cells. - The primary symptoms include **progressive intellectual and motor deterioration**, **seizures**, and **visual loss**, but they do not typically present with **hemangiomas** or the characteristic gyriform calcifications seen on CT.
Explanation: ***Kernicterus*** - The image shows an infant with **opisthotonus**, a severe form of **spasticity** characterized by extreme arching of the back and neck. This is a classic sign of severe **kernicterus**. - **Kernicterus** is a rare but serious neurological complication of **unconjugated hyperbilirubinemia**, where high levels of **bilirubin** cross the blood-brain barrier and deposit in the brain, particularly the basal ganglia. *Tetany* - **Tetany** is characterized by muscle spasms and cramps, often due to **hypocalcemia**, but typically presents as carpopedal spasm (Trousseau's sign) or facial twitching (Chvostek's sign), not generalized opisthotonus. - While it involves muscle rigidity, the specific arched-back posture seen in the image is not typical of tetany. *Measles* - **Measles** is a viral infection characterized by a distinctive maculopapular rash, fever, cough, coryza, and conjunctivitis. - It does not typically cause severe neurological symptoms like **opisthotonus** as a primary manifestation. *Pertussis* - **Pertussis** (whooping cough) is a bacterial respiratory infection characterized by severe paroxysmal cough followed by a characteristic "whooping" sound. - While severe cases can lead to complications such as seizures or encephalopathy, **opisthotonus** is not a common or defining feature of pertussis.
Explanation: ***Hydrocephalus*** - The image shows a significantly **enlarged head circumference** and prominent scalp veins, which are classic signs of increased intracranial pressure due to **hydrocephalus** in an infant. - In infants, open fontanelles and sutures allow for cranial expansion, leading to macrocephaly when cerebrospinal fluid (CSF) accumulates. *Hydranencephaly* - This condition involves the **near-total absence of cerebral hemispheres**, which are replaced by a fluid-filled sac. - While it causes macrocephaly, the image depicts a largely intact skull shape, suggesting fluid accumulation rather than complete cerebral agenesis. *Lissencephaly* - Characterized by a **smooth brain surface lacking gyri and sulci**, resulting in severe developmental delay and seizures. - It does not typically manifest with striking macrocephaly or prominent scalp veins in the same manner as hydrocephalus *Encephalocele* - An encephalocele is a **protrusion of brain tissue and/or meninges** through a defect in the skull. - It presents as a visible sac-like protrusion, typically from the back or front of the head, which is not seen in the provided image.
Explanation: ***Lissencephaly*** - The image clearly displays a **smooth brain surface** with a notable **absence of normal gyri and sulci** (brain folds), characteristic of lissencephaly - This "smooth brain" appearance is pathognomonic for **lissencephaly**, a severe neuronal migration disorder resulting from abnormal neuronal migration during fetal development (typically 12-16 weeks gestation) - Associated with severe developmental delay, seizures, and intellectual disability - Caused by mutations in genes like LIS1, DCX, and TUBA1A *Incorrect: Schizencephaly* - Characterized by **clefts or splits** extending from the ventricles to the cortical surface, lined by gray matter - Would show a clear **CSF-filled cleft**, not a smooth brain surface *Incorrect: Polymicrogyria* - Features **excessive small gyri** with abnormal cortical layering - Brain surface appears bumpy or irregular, not smooth *Incorrect: Pachygyria* - Shows **broad, thick gyri** with shallow sulci - Still has visible gyri and sulci, unlike the completely smooth appearance of lissencephaly
Explanation: ***Absence seizures*** - The clinical presentation of a young girl who is **easily distracted** and has **poor scholastic performance** is highly suggestive of absence seizures. These are brief episodes of impaired consciousness often mistaken for daydreaming. - The EEG image shows a characteristic **generalized 3-Hz spike-and-wave discharge** pattern, which is the hallmark of typical absence seizures. *Myoclonic seizures* - Myoclonic seizures involve **sudden, brief muscle jerks** or twitches, which are not described in the patient's presentation. - The EEG in myoclonic seizures typically shows **polyspike-and-wave discharges**, not the 3-Hz spike-and-wave pattern seen here. *Atonic seizures* - Atonic seizures, also known as **drop attacks**, cause a sudden loss of muscle tone leading to falls, which is not consistent with the described symptoms. - While EEG may show generalized spike-and-wave activity or diffuse slow waves during an atonic seizure, the 3-Hz rhythmic pattern is less typical for this seizure type. *Myoclonia* - Myoclonia refers to **involuntary, sudden muscle contractions**, which can be physiological (e.g., hiccups, sleep starts) or pathological. - While myoclonic seizures are a type of myoclonia, the term "myoclonia" alone is too general and does not specifically align with the classic EEG pattern and subtle clinical signs of absence seizures.
Explanation: ***Hypsarrhythmia*** - This EEG pattern is characterized by **chaotic, high-amplitude, irregular slow waves and spikes originating from multiple foci**. It is often seen in infants with infantile spasms, which manifest as **early morning jerks** or subtle head nods. - The provided image clearly shows a disorganised, high-amplitude, and multifocal discharge pattern consistent with hypsarrhythmia. *Burst and suppression pattern* - This pattern consists of alternating periods of **high-amplitude, fast activity (bursts)** and periods of **relative electrical inactivity (suppression)**. - It is typically associated with severe encephalopathy and some forms of epilepsy in infants, but not primarily with infantile spasms. *Periodic spike and wave pattern* - This pattern involves **repetitive, rhythmic sequences of a spike followed by a slow wave**, usually occurring every 1-3 seconds. - It is classically seen in **Lennox-Gastaut Syndrome**, a severe childhood epilepsy syndrome, rather than the early morning jerks characteristic of infantile spasms. *Rademecker complex* - Also known as **triphasic waves**, these are specific EEG abnormalities characterized by a typical three-phase morphology (positive-negative-positive or negative-positive-negative). - They are often associated with **metabolic encephalopathies**, particularly hepatic encephalopathy, and are not characteristic of infantile spasms.
Explanation: ***Lissencephaly*** - The image shows a **smooth brain surface** with **absent or reduced gyri and sulci**, which is characteristic of lissencephaly. - This condition is often associated with **developmental delay** and **epilepsy**, consistent with the child's presentation. *Subdural hemorrhage* - A subdural hemorrhage would appear as a **crescent-shaped collection of blood** between the dura mater and arachnoid mater. - The image does not demonstrate any such blood collection. *Arnold-Chiari malformation* - Arnold-Chiari malformation involves the downward displacement of the **cerebellar tonsils** into the foramen magnum. - While it can cause neurological symptoms, the primary finding in the image is a smooth cerebral cortex, not cerebellar displacement. *Schizencephaly* - Schizencephaly is characterized by **clefts or slits in the cerebral hemispheres** that extend from the pial surface to the ventricles. - The image shows a smooth brain surface rather than distinct full-thickness clefts.
Explanation: ***Hoffman reflex*** - The image shows the examiner flicking a patient's **distal phalanx of the middle finger**, which is the classic method for eliciting the Hoffman reflex. - A positive Hoffman sign involves **involuntary flexion of the thumb and index finger**, indicating a potential **upper motor neuron lesion** in the cervical spinal cord. *Brachioradialis reflex* - This reflex is elicited by striking the **distal radius**, about 2-3 inches above the wrist, with a reflex hammer. - The expected response is **flexion and supination** of the forearm, which is not what is shown in the image. *Finger flexor reflex* - The finger flexor reflex, or finger jerk reflex, is similar to the Hoffman but typically involves stimulating the palmar surface or the tips of all the fingers, leading to their flexion. - While related to finger flexion, the specific maneuver of flicking the middle finger's distal phalanx for involuntary thumb and index finger flexion is characteristic of the **Hoffman reflex**. *Supinator reflex* - The supinator reflex is another name for the **brachioradialis reflex**, as it involves the supinator muscle. - It is also elicited by striking the distal radius, leading to forearm flexion and supination, not the finger flick seen in the image.
Explanation: ***Correct: I and IV*** - The **Gross Motor Function Classification System (GMFCS)** is the gold standard tool to classify gross motor function in children with **cerebral palsy** based on self-initiated movement and functional limitations across five levels (I-V). - The **Modified Ashworth Scale** is the most widely used clinical tool for assessing **spasticity** and muscle tone in cerebral palsy, grading resistance to passive movement on a 0-4 scale. - These two tools directly address **motor function classification** and **spasticity assessment** as required in the question. *Incorrect: III and IV* - While the **Modified Ashworth Scale (IV)** is correctly identified for spasticity assessment, the **Modified Connors Scale (Connors-II)** is used exclusively for evaluating **Attention-Deficit/Hyperactivity Disorder (ADHD)**, not motor function or spasticity in cerebral palsy. *Incorrect: I and II* - The **GMFCS (I)** is correctly identified for motor function classification in cerebral palsy. - However, the **Medical Research Council (MRC) System** is primarily used for **muscle strength grading** (0-5 scale) in conditions like peripheral neuropathy, stroke, or myopathy—not for motor function classification or spasticity assessment specific to cerebral palsy. *Incorrect: II and III* - Both tools are inappropriate for the stated purpose: the **MRC System** assesses muscle strength (not CP-specific motor function classification), and the **Modified Connors Scale** evaluates ADHD symptoms. - Neither tool is standard for evaluating motor function or spasticity in cerebral palsy.
Explanation: ***Juvenile myoclonic epilepsy*** - This is a **genetic generalized epilepsy syndrome** that typically emerges during adolescence and often requires **lifelong treatment** with antiepileptic drugs due to a high risk of relapse if treatment is discontinued. - Characterized by **myoclonic jerks**, particularly in the morning, along with generalized tonic-clonic and absence seizures. *Febrile seizures* - These are **age-dependent seizures** that occur in association with fever and typically have a **benign prognosis**, rarely requiring long-term antiepileptic drug treatment. - They usually resolve spontaneously by **age 5-6 years**, and the risk of developing epilepsy is low unless there are complex features or underlying neurological conditions. *Benign rolandic epilepsy* - This is an **idiopathic focal epilepsy** of childhood that is characterized by seizures occurring primarily during sleep, with **motor or sensory symptoms** involving the face and mouth. - It has a very **favorable prognosis**, with spontaneous remission typically occurring by adolescence, and many children do not require antiepileptic drugs or only short-term treatment. *Benign neonatal seizures* - This refers to a group of self-limited epileptic syndromes that occur in the first few weeks of life, often with a **hereditary component**, but they typically **resolve spontaneously** within weeks or months. - **Long-term antiepileptic drug treatment** is generally not needed, and the **neurodevelopmental outcome is usually excellent**.
Seizure Disorders and Epilepsy
Practice Questions
Febrile Seizures
Practice Questions
Headache Disorders
Practice Questions
Cerebral Palsy
Practice Questions
Neural Tube Defects
Practice Questions
Neuromuscular Disorders
Practice Questions
Neurodegenerative Disorders
Practice Questions
CNS Infections
Practice Questions
Hydrocephalus
Practice Questions
Movement Disorders
Practice Questions
Traumatic Brain Injury
Practice Questions
Neuroimaging in Pediatrics
Practice Questions
Get full access to all questions, explanations, and performance tracking.
Start For Free