Given the immunologic abnormalities of normal serum IgG, normal serum IgA, normal serum IgM, decreased T-cell function, and decreased parathyroid function, which clinical presentation is most likely?
Which one of the following statements is false regarding chronic granulomatous disease?
Which of the following statements about Wiskott-Aldrich syndrome is false?
A 6-month-old male infant presents with recurrent severe bacterial infections with encapsulated organisms (Streptococcus pneumoniae and Haemophilus influenzae). Laboratory findings reveal profound deficiency of all immunoglobulin classes (IgG, IgA, IgM) with absent mature B cells in peripheral blood. The most likely diagnosis is:
A child presented to the casualty department with fever, unconsciousness, and papilledema. What is the next step?
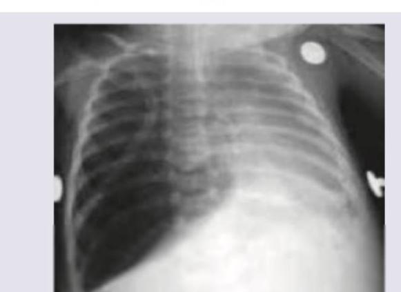
A 4-year-old admitted in ward with pneumonia. He develops sudden onset of breathlessness. What is the next step in management?

Which is true about an infant with failure to thrive and the following findings?

Which of the following are neonatal complications of maternal diabetes during pregnancy? I. Hyperbilirubinemia II. Hypocalcemia III. Cardiomyopathy IV. Hypoglycemia Select the correct answer using the code given below :
What is a characteristic feature of Systemic Juvenile Idiopathic Arthritis?
A child presents with delayed separation of the umbilical cord, leukocytosis, Down syndrome, and recurrent infections. What is the most likely diagnosis?
Explanation: ***A distinctive-appearing 8-month-old boy with an interrupted aortic arch, hypocalcemia, and cleft palate*** - This presentation is highly suggestive of **DiGeorge syndrome**, characterized by **thymic hypoplasia** (leading to decreased T-cell function) and **parathyroid hypoplasia** (causing hypocalcemia). - **Cardiac defects** (like an interrupted aortic arch) and **facial anomalies** (including cleft palate) are also classic features of this disorder, which involves a deletion on chromosome 22q11.2. *A 1-year-old boy with severe eczema, recurrent middle-ear infections, lymphopenia, and thrombocytopenia* - This clinical picture describes **Wiskott-Aldrich syndrome**, an X-linked disorder characterized by the triad of eczema, thrombocytopenia (with small platelets), and immunodeficiency leading to recurrent infections. - While it involves immunodeficiency and lymphopenia, it does not typically present with decreased parathyroid function. *A 9-year-old boy with an eczema-like rash and recurrent severe staphylococcal infections* - This presentation is characteristic of **hyper-IgE syndrome** (Job's syndrome), an immunodeficiency characterized by extremely elevated IgE levels, recurrent staphylococcal skin infections, and eczema. - The immunologic abnormalities described in the stem (normal Ig levels, decreased T-cell function, decreased parathyroid function) do not match the key features of hyper-IgE syndrome. *A 5-year-old boy who, after 3 months of age, developed recurrent otitis media, pneumonia, diarrhea, and sinusitis, often with simultaneous infections at two or more disparate sites* - This description is consistent with **X-linked agammaglobulinemia (XLA)**, where B-cell maturation is blocked, leading to a profound deficiency of all immunoglobulin classes. - The stem mentions normal serum IgG, IgA, and IgM, which rules out XLA.
Explanation: ### It is an autosomal dominant disease - The most common and severe form of chronic granulomatous disease (CGD) is inherited as an **X-linked recessive disorder**. - There are also autosomal recessive forms, but **never autosomal dominant inheritance**. *Recurrent staphylococcal infections are usual in this disease* - Patients with CGD are particularly susceptible to infections with **catalase-positive organisms** like *Staphylococcus aureus* because their phagocytes cannot effectively kill these microbes. - This is due to a defect in the **NADPH oxidase enzyme**, which impairs the production of reactive oxygen species essential for bacterial killing [1]. *Nitro blue tetrazolium test is useful for screening* - The **nitroblue tetrazolium (NBT) test** is a traditional screening method for CGD, as it detects the ability of phagocytes to produce a **respiratory burst** and reduce NBT dye [1]. - In CGD, the NBT dye remains yellow (unreduced) due to the absence or deficiency of NADPH oxidase activity. *It is characterized by abnormal bacterial phagocytosis* - CGD is characterized by **defective intracellular killing of phagocytosed bacteria and fungi**, not abnormal phagocytosis itself. - Phagocytes (neutrophils, macrophages) can engulf microbes normally, but they fail to produce the **oxidative burst** necessary to destroy them [1].
Explanation: ***Autosomal Recessive disorder*** - **Wiskott-Aldrich Syndrome (WAS)** is an **X-linked recessive disorder**, not autosomal recessive. This statement is therefore false, making it the correct answer to the question. - It is caused by mutations in the WAS gene, which encodes the Wiskott-Aldrich syndrome protein (WASp) and is located on the X chromosome. *Eczematous Rash* - Patients with Wiskott-Aldrich syndrome frequently present with severe and persistent **eczematous rash**, which is a key component of the clinical triad. - This rash is often recalcitrant to standard treatments and can be widespread. *Impaired platelet aggregation in response to agonist* - Patients with WAS exhibit **abnormal platelet function**, specifically **impaired aggregation** in response to various agonists. - This functional defect contributes to the bleeding diathesis seen in the syndrome, alongside reduced platelet count. *Thrombocytopenia* - **Thrombocytopenia**, characterized by a low platelet count, is a hallmark feature of Wiskott-Aldrich syndrome. - The platelets are also typically very small in size (**microthrombocytopenia**), which is a distinctive finding.
Explanation: ***X-linked agammaglobulinemia of Bruton*** - Characterized by a **severe deficiency of immunoglobulins**, leading to frequent bacterial infections in infants [1][2]. - The absence of mature B cells in the peripheral blood is a hallmark [1], along with a positive family history due to its **X-linked recessive inheritance** [2]. *Chronic granulomatous disease* - Presents with recurrent **bacterial and fungal infections** due to a defect in **immune response**, but not primarily characterized by low immunoglobulin levels. - Typically involves **catalase-positive organisms**, which differs from the broad antibody deficiency seen in the correct diagnosis. *Isolated IgA deficiency* - Commonly manifests with **sinus and respiratory infections**, but patients often have normal **IgG and IgM levels**. - It does not usually cause severe or recurrent infections in infants, differentiating it from the severe immunodeficiency seen in X-linked agammaglobulinemia. *DiGeorge's syndrome* - Associated with **congenital heart defects** and **thyroid issues**, along with T-cell deficiency, but typically presents with **low T-cell counts rather than low B cells or immunoglobulins**. - The immunological profile is distinct from that of X-linked agammaglobulinemia, where B cells are severely affected [1]. **References:** [1] Kumar V, Abbas AK, et al.. Robbins and Cotran Pathologic Basis of Disease. 9th ed. Diseases of the Immune System, pp. 248-249. [2] Cross SS. Underwood's Pathology: A Clinical Approach. 6th ed. (Basic Pathology) introduces the student to key general principles of pathology, both as a medical science and as a clinical activity with a vital role in patient care. Part 2 (Disease Mechanisms) provides fundamental knowledge about the cellular and molecular processes involved in diseases, providing the rationale for their treatment. Part 3 (Systematic Pathology) deals in detail with specific diseases, with emphasis on the clinically important aspects., pp. 165-166.
Explanation: **Intubation** - The presence of **unconsciousness** indicates a compromised airway and breathing, making immediate **airway management** and **ventilatory support** a priority. - Papilledema, fever, and unconsciousness suggest increased **intracranial pressure** which can lead to brainstem herniation and respiratory arrest, necessitating **controlled ventilation** to reduce CO2 and ICP. *Oxygenation* - While **oxygenation** is critical, it is often insufficient alone in an unconscious patient with a compromised airway. - **Intubation** ensures a patent airway and delivers controlled oxygenation and ventilation more effectively than oxygenation via mask in this situation. *CT scan* - A **CT scan** is a diagnostic tool, but it should only be performed after the patient is **stabilized** hemodynamically and respiratory-wise. - Transporting an **unconscious** patient with potential increased ICP for a CT scan without securing the airway carries significant risks. *All of the options* - While all listed steps are important in managing a child with these symptoms, **intubation** (airway and breathing stabilization) is the **most immediate and critical next step**. - The sequence of medical interventions follows the **ABC (Airway, Breathing, Circulation)** protocol, making airway management the top priority before diagnostics or other treatments.
Explanation: ***Emergency needle thoracostomy*** - This patient, a 4-year-old with pneumonia and sudden breathlessness, likely has a **tension pneumothorax**, which is a life-threatening emergency requiring immediate decompression. The chest X-ray shows a collapsed right lung and a mediastinal shift, consistent with tension pneumothorax. - An **emergency needle thoracostomy** (needle decompression) is the immediate life-saving procedure to relieve the pressure in a tension pneumothorax before more definitive treatment can be initiated. - Performed by inserting a large-bore needle (14-16G) into the **2nd intercostal space, mid-clavicular line** on the affected side. *Intercostal drainage tube insertion* - While an intercostal drainage tube (chest tube) is the definitive treatment for pneumothorax, it takes more time to insert and is not the immediate first step for a **tension pneumothorax** in an unstable patient. - The delay in performing needle decompression could be fatal in a rapidly deteriorating patient with tension pneumothorax. *Decrease mechanical ventilation setting* - Decreasing mechanical ventilation settings would not address the underlying pathology of a tension pneumothorax, which is trapped air causing lung collapse and mediastinal shift. - This action could further compromise the patient's respiratory status if the pneumothorax is severe and the patient is already hypoxemic. *Increase mechanical ventilation setting* - Increasing mechanical ventilation settings would likely worsen a **tension pneumothorax** by forcing more air into the pleural space and increasing intrathoracic pressure. - This would further compromise venous return to the heart and reduce cardiac output, rapidly leading to **cardiovascular collapse**.
Explanation: ***Increased urinary sodium*** - This image displays an infant with **ambiguous genitalia**, specifically severe clitoromegaly. This is a classic presentation of **congenital adrenal hyperplasia (CAH)** due to **21-hydroxylase deficiency**. - In salt-wasting CAH, deficient **aldosterone** production leads to **renal sodium loss**, resulting in increased urinary sodium, **hyponatremia**, and **hypotension**, contributing to failure to thrive. *Hypokalemia* - **Hypokalemia** is not typically seen in salt-wasting CAH; rather, **hyperkalemia** is more common due to the lack of aldosterone's mineralocorticoid effect, which normally promotes potassium excretion. - The absence of aldosterone causes sodium to be excreted and potassium to be retained. *Metabolic alkalosis* - **Metabolic alkalosis** is not characteristic of salt-wasting CAH; instead, these infants often develop **metabolic acidosis** due to the loss of sodium bicarbonate and impaired acid excretion. - The primary electrolyte disturbance points towards acidosis, not alkalosis. *Increased cortisol* - In 21-hydroxylase deficiency, the enzyme responsible for converting precursors to **cortisol** and aldosterone is deficient, leading to **decreased cortisol** production. - The adrenal glands instead shunt precursors towards androgen synthesis, causing **adrenal hyperplasia** and the virilization seen in the image.
Explanation: ***I, II and IV*** - This correctly identifies the three **most common and clinically significant neonatal complications** of maternal diabetes: **hyperbilirubinemia**, **hypocalcemia**, and **hypoglycemia**. - **Hypoglycemia** is the **most frequent complication** (25-50% of infants), occurring due to fetal hyperinsulinemia that persists after birth when maternal glucose supply is cut off. - **Hypocalcemia** occurs in 20-50% of cases due to impaired parathyroid hormone response, hypomagnesemia, and altered calcium-phosphorus metabolism. - **Hyperbilirubinemia** results from polycythemia (due to chronic intrauterine hypoxia), increased RBC breakdown, and impaired hepatic conjugation. *I, II and III* - While this includes **hyperbilirubinemia**, **hypocalcemia**, and **cardiomyopathy**, it inappropriately excludes **hypoglycemia**, which is the **most common and most critical** neonatal complication requiring immediate monitoring and management. - Omitting hypoglycemia makes this option medically incorrect as a primary answer. *II, III and IV* - This option excludes **hyperbilirubinemia**, which is a very common finding (occurs in up to 25% of infants of diabetic mothers) due to increased erythropoiesis and RBC destruction. - Fetal hyperinsulinemia drives increased oxygen consumption, leading to relative hypoxia and compensatory polycythemia. *I, III and IV* - This option misses **hypocalcemia**, which is one of the **classic metabolic complications** seen in 20-50% of infants of diabetic mothers. - Hypocalcemia typically presents in the first 24-72 hours of life and is exacerbated by concurrent **magnesium deficiency**, which impairs PTH secretion and action. **Note:** All four listed complications (I, II, III, and IV) are recognized complications of maternal diabetes. Hypertrophic cardiomyopathy occurs in 10-20% of cases but is generally less common than the metabolic triad of hypoglycemia, hypocalcemia, and hyperbilirubinemia, which require routine screening in all infants of diabetic mothers.
Explanation: ### Explanation **Systemic Juvenile Idiopathic Arthritis (sJIA)**, also known as Still’s disease, is a unique subtype of JIA characterized by prominent extra-articular features. **Why the correct answer is right:** In sJIA, the **Rheumatoid Factor (RF) is characteristically negative**. Unlike the polyarticular subtype (which can be RF positive), sJIA is considered an autoinflammatory disease rather than a classic autoimmune disease. Diagnosis is clinical, based on the presence of arthritis in one or more joints associated with (or preceded by) a fever of at least 2 weeks' duration that is daily ("quotidian") for at least 3 days, accompanied by features like an evanescent salmon-pink rash, lymphadenopathy, or serositis. **Analysis of Incorrect Options:** * **A. Uveitis is a feature:** This is incorrect for sJIA. Chronic anterior uveitis is a classic complication of **Oligoarticular JIA** (especially if ANA positive). Uveitis is very rare in the systemic subtype. * **B. It occurs after 16 years of age:** By definition, JIA must have an onset **before the age of 16**. If similar symptoms occur after 16, it is termed Adult-Onset Still’s Disease (AOSD). * **C. NSAIDs are contraindicated:** This is false. NSAIDs are often the **first-line** symptomatic treatment for pain and fever in JIA, though systemic steroids or biologics (IL-1 and IL-6 inhibitors) are usually required for definitive control. **High-Yield Clinical Pearls for NEET-PG:** * **Fever Pattern:** Classic "Quotidian" fever (spikes once daily, usually in the evening, returning to baseline). * **Laboratory Markers:** Marked leukocytosis, thrombocytosis, and highly elevated ESR/CRP. * **Ferritin:** Extremely high ferritin levels are common and can signal the onset of **Macrophage Activation Syndrome (MAS)**, a life-threatening complication of sJIA. * **Biologics of Choice:** Tocilizumab (IL-6 inhibitor) and Anakinra/Canakinumab (IL-1 inhibitors).
Explanation: ### Explanation **Correct Option: A. Leukocyte Adhesion Deficiency (LAD)** **Why it is correct:** Leukocyte Adhesion Deficiency (Type 1) is a primary immunodeficiency caused by a defect in the **CD18 subunit of $\beta_2$-integrins**. This defect prevents neutrophils from adhering to the vascular endothelium and migrating into tissues (diapedesis). * **Delayed separation of the umbilical cord:** This is the classic hallmark of LAD. Normally, neutrophils infiltrate the cord stump to facilitate its detachment; in LAD, the absence of neutrophils at the site leads to delayed separation (often >30 days). * **Leukocytosis:** Because neutrophils cannot leave the bloodstream to enter tissues, they accumulate in the blood, leading to persistent, marked neutrophilic leukocytosis. * **Recurrent Infections:** Patients suffer from skin and mucosal infections (e.g., omphalitis, periodontitis) characterized by a **lack of pus formation** despite high white cell counts. * **Association:** While not a primary feature, LAD has been documented in case reports involving children with Down syndrome. **Why other options are incorrect:** * **B. Neonatal Sepsis:** While sepsis causes leukocytosis and infections, it does not explain the specific anatomical delay in umbilical cord separation. * **C. Histiocytosis-X (Langerhans Cell Histiocytosis):** This typically presents with seborrheic-like skin rashes, lytic bone lesions, and hepatosplenomegaly, rather than a specific defect in cord separation or integrin function. **High-Yield Clinical Pearls for NEET-PG:** * **LAD Type 1:** Defect in **CD18** (Integrins). * **LAD Type 2:** Defect in **Sialyl-Lewis X** (Selectins); presents with short stature and intellectual disability. * **Key Triad:** Delayed cord separation + Recurrent "cold" infections (no pus) + Extreme neutrophilia. * **Diagnosis:** Confirmed by **Flow Cytometry** showing decreased expression of CD11/CD18.
Get full access to all questions, explanations, and performance tracking.
Start For Free