Hemolysis is predominantly intravascular in which of the following conditions?
An adult female presents with pallor and fatigue. Blood investigations show low hemoglobin ( Hb ), low serum iron, low ferritin, low transferrin saturation, and increased total iron-binding capacity (TIBC). What is the likely diagnosis?
Which of the following causes aplastic crisis in hereditary spherocytosis?
Which of the following conditions is the classic example of acute intravascular hemolysis triggered by oxidative stress?
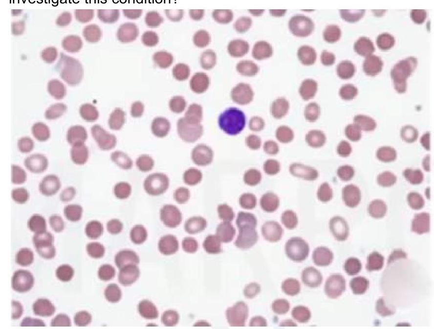
A child presents with intermittent jaundice and splenomegaly. There is a history of similar complaints in the elder brother. Peripheral smear shows the following finding. What is the most appropriate investigation for this condition?

A previously healthy child has sudden onset of red spots on body. There is a history of a preceding viral infection 1-4 weeks before the onset.
A 7-year-old boy presents with a palpable, non-blanching rash that started 3 days prior and involves the lower limbs and buttocks, following a previous viral upper respiratory tract infection. His blood pressure is normal, and kidney function tests are normal. What is the diagnosis?
Which of the following is not a characteristic of Fanconi's anemia?
A baby born at 34 weeks gestation weighs 3kg. Which of the following conditions is this child most likely to develop in the immediate postnatal period?
A 3-year-old child was brought to the emergency room with complaints of hematuria after accidental ingestion of naphthalene balls, which indicates:
Explanation: ***Paroxysmal nocturnal hemoglobinuria*** - **PNH** is characterized by a defect in the **PIG-A gene**, leading to a deficiency of **GPI-anchored proteins** like CD55 and CD59 on red blood cells [1]. - This deficiency makes the red blood cells susceptible to complement-mediated lysis, predominantly occurring **intravascularly** [1]. *Warm autoimmune hemolytic anemia* - This condition involves **IgG autoantibodies** binding to red blood cells, which are then primarily removed by **macrophages in the spleen** and liver (extravascular hemolysis) [2]. - The presence of **spherocytes** and a positive direct **antiglobulin test (DAT)** are characteristic [2]. *Cold autoimmune hemolytic anemia* - Involves **IgM autoantibodies** that bind to red blood cells at colder temperatures, often causing agglutination in the peripheral circulation. - While some complement activation and lysis can occur intravascularly, the primary mechanism involves **macrophages in the liver** clearing antibody-coated red cells (extravascular), or red cell destruction in the cooler acral areas. *Spherocytosis* - This is a condition of abnormal red blood cell shape due to defects in **cytoskeletal proteins** (e.g., spectrin, ankyrin), making them less deformable. - These rigid spherocytes are primarily trapped and destroyed by the **phagocytic cells in the spleen**, indicating an **extravascular hemolytic process** [2]. **References:** [1] Kumar V, Abbas AK, et al.. Robbins and Cotran Pathologic Basis of Disease. 9th ed. Red Blood Cell and Bleeding Disorders, pp. 650-651. [2] Cross SS. Underwood's Pathology: A Clinical Approach. 6th ed. Common Clinical Problems From Blood And Bone Marrow Disease, pp. 602-603.
Explanation: ***Iron Deficiency Anemia (IDA)*** - The unique constellation of **low hemoglobin**, **low serum iron**, **low ferritin**, **low transferrin saturation**, and **increased total iron-binding capacity (TIBC)** is the hallmark of Iron Deficiency Anemia. - **Ferritin** is a direct measure of iron stores, and its low level confirms depletion, while **increased TIBC** signifies the body's attempt to absorb more iron due to deficiency. *Anemia of Chronic Disease* - While also presenting with **low hemoglobin** and often **low serum iron**, Anemia of Chronic Disease is characterized by **normal or increased ferritin** (as ferritin is an acute phase reactant) and **decreased TIBC**. - There is a functional iron deficiency, but iron stores are typically adequate, and inflammation plays a central role. *Hemolytic Anemia* - Hemolytic anemia is characterized by the premature destruction of red blood cells, leading to **low hemoglobin** but typically **normal or elevated serum iron** and ferritin due to iron release from lysed red cells. - Key indicators, such as **elevated bilirubin**, **lactate dehydrogenase (LDH)**, and **reticulocytosis**, are absent in the given scenario. *Thalassemia* - Thalassemia is a genetic disorder causing defective hemoglobin synthesis, resulting in **microcytic hypochromic anemia** with **low hemoglobin**. - However, thalassemia typically presents with **normal to high serum iron** and ferritin levels, as iron absorption may be increased, and there's no primary iron deficiency. *Sideroblastic Anemia* - Sideroblastic anemia is characterized by defective heme synthesis with iron accumulation in mitochondria, forming characteristic ring sideroblasts on bone marrow examination. - Laboratory findings typically show **normal to increased serum iron**, **increased ferritin**, and **increased transferrin saturation**, distinguishing it from iron deficiency anemia.
Explanation: ***Parvovirus*** - **Parvovirus B19** specifically targets and destroys **erythroid precursors** in the bone marrow, leading to a temporary cessation of red blood cell production [1]. - In patients with conditions like **hereditary spherocytosis** who already have chronic hemolysis and increased erythropoiesis, this interruption can cause a sudden and severe drop in hemoglobin, known as an **aplastic crisis** [1]. *Poxvirus* - Poxviruses primarily cause **skin lesions** and systemic symptoms like fever and malaise, with diseases such as smallpox or molluscum contagiosum. - They are not known to directly cause **aplastic crisis** by targeting erythroid progenitors. *Adenovirus* - Adenoviruses commonly cause **respiratory tract infections**, gastroenteritis, and conjunctivitis. - While they can cause various symptoms, they are not typically associated with **aplastic crisis** in the context of hereditary spherocytosis. *Epstein-Barr virus* - **Epstein-Barr virus (EBV)** is known to cause **infectious mononucleosis** and is associated with certain lymphomas and nasopharyngeal carcinoma. - Although it can rarely cause **hemophagocytic lymphohistiocytosis** leading to pancytopenia, it does not typically induce **aplastic crisis** in hereditary spherocytosis by directly targeting erythroid precursors. **References:** [1] Kumar V, Abbas AK, et al.. Robbins and Cotran Pathologic Basis of Disease. 9th ed. Red Blood Cell and Bleeding Disorders, pp. 641-642.
Explanation: ***b and c*** - Intravascular hemolysis is commonly associated with both **Acute G6PD deficiency** and **Hereditary spherocytosis**, leading to destruction of red blood cells in the bloodstream [1]. - These conditions are characterized by **high levels of hemoglobinuria** and **low haptoglobin**, indicative of intravascular hemolysis. *Sickle cell ds* - Sickle cell disease primarily causes **extravascular hemolysis** due to splenic sequestration rather than **intravascular** destruction [3]. - The clinical features include **vaso-occlusive crises** and splenic infarction rather than hemolysis within the blood vessels. *Acute G6PD* - While acute G6PD deficiency can lead to hemolysis, it is typically **triggered by oxidative stress** rather than occurring continuously [2]. - The hemolysis in G6PD deficiency occurs more in an **extravascular** manner unless acute stress occurs, which can result in **acute intravascular hemolysis, marked by anemia, hemoglobinemia, and hemoglobinuria** [4]. *Hereditary spherocytosis* - This condition primarily causes **extravascular hemolysis** through the spleen, where abnormal spherocytes are destroyed [1]. - Although it leads to anemia, the hallmark of hereditary spherocytosis is the **spleen's role** in hemocyte destruction rather than intravascular hemolysis.
Explanation: ***Osmotic fragility test*** - The image shows **spherocytes** (dense, small red cells lacking central pallor), a hallmark of **hereditary spherocytosis**. The clinical picture of intermittent jaundice, splenomegaly, and a family history further supports this diagnosis. - The **osmotic fragility test** measures the red blood cell's susceptibility to hemolysis in hypotonic solutions and is the most appropriate test to confirm hereditary spherocytosis. *Coombs test* - The Coombs test (direct antiglobulin test) detects **antibodies on the surface of red blood cells** or in the serum. It is primarily used to diagnose **autoimmune hemolytic anemia**. - Hereditary spherocytosis is a membrane defect, not an immune-mediated condition, so the Coombs test would typically be negative. *G6PD deficiency testing* - **Glucose-6-phosphate dehydrogenase (G6PD) deficiency** leads to episodic hemolytic anemia triggered by oxidative stress (e.g., fava beans, certain drugs, infections). - While it causes episodic hemolysis and jaundice, the peripheral smear typically shows **Heinz bodies** and **bite cells** during hemolytic episodes, not spherocytes, and without specific triggers, it doesn't fit the clinical picture as well as hereditary spherocytosis. *Flow cytometry for PNH* - **Flow cytometry** is used to diagnose **paroxysmal nocturnal hemoglobinuria (PNH)** by detecting the absence of GPI-anchored proteins (e.g., CD55, CD59) on blood cells. - PNH is characterized by dark urine (hemoglobinuria), thrombosis, and bone marrow failure, and its peripheral smear does not typically show spherocytes.
Explanation: ***Idiopathic thrombocytopenic purpura (ITP)*** - This presentation, especially in a previously healthy child with a preceding viral infection 1-4 weeks prior, is highly characteristic of **acute ITP**, leading to **purpuric rash** (red spots). - The preceding viral infection often triggers an autoimmune response causing destruction of **platelets**, resulting in **thrombocytopenia**. *Dengue fever* - Dengue fever typically presents with **acute onset of fever**, **headache**, **myalgia**, and a rash that appears 3-4 days after fever onset, often with a shorter incubation period than 1-4 weeks. - While it can cause petechiae due to **thrombocytopenia**, the symptom constellation does not perfectly align with the scenario, particularly the sudden onset of spots without mention of fever or other acute symptoms. *Hemophilia A* - **Hemophilia A** is a **hereditary bleeding disorder** causing deficits in **Factor VIII**, leading to spontaneous bleeding into joints and muscles, and prolonged bleeding after trauma. - It does not present as sudden onset red spots (petechiae/purpura) following a viral infection but rather as larger **hematomas** or **hemarthroses**, and it's a chronic condition, not typically triggered by recent infection. *Thrombotic thrombocytopenic purpura (TTP)* - TTP is characterized by the **pentad of symptoms**: **fever**, **neurological symptoms**, **renal dysfunction**, **microangiopathic hemolytic anemia**, and **thrombocytopenia**. - While it involves thrombocytopenia and can cause purpura, the patient's presentation lacks the other severe systemic features typically associated with TTP, and it's less commonly triggered by a simple viral infection in children.
Explanation: ***Henoch-Schönlein purpura (IgA vasculitis)*** - The classic presentation of a **palpable, non-blanching purpuric rash** on the lower limbs and buttocks, especially after a viral upper respiratory infection in a child, is highly characteristic of Henoch-Schönlein purpura (HSP), now termed **IgA vasculitis**. - Although HSP can involve the kidneys, the **normal kidney function tests** and blood pressure here are consistent with early or mild disease, or prior to the development of renal manifestations which can occur later. - HSP is a **small vessel vasculitis** characterized by IgA immune complex deposition affecting skin, joints, GI tract, and kidneys. *Meningococcemia* - While meningococcemia can cause a **non-blanching rash**, it is typically accompanied by signs of severe illness such as **fever, altered mental status, and hemodynamic instability**, which are absent in this child. - The rash in meningococcemia often progresses rapidly to **petechiae and purpura**, but the distribution and association with a prior viral URI are less specific than in HSP. *Hemolytic uremic syndrome* - This condition involves the triad of **microangiopathic hemolytic anemia, thrombocytopenia, and acute kidney injury**, often following a diarrheal illness (e.g., E. coli O157:H7). - The patient's **normal kidney function tests** and the rash pattern are not consistent with HUS; rash in HUS is not typically a prominent feature. *Cutis marmorata* - This is a harmless, temporary phenomenon characterized by a **lace-like, reticulated reddish-blue discoloration of the skin** that occurs in response to cold exposure due to vasomotor instability. - Unlike the described rash, cutis marmorata **blanches with pressure** and is not a palpable purpuric rash associated with a systemic illness.
Explanation: ***Bone marrow failure in infancy*** - Fanconi anemia patients are typically **asymptomatic at birth** with normal blood counts. - **Progressive bone marrow failure** develops gradually, with median age of onset around **7 years** (range 5-10 years). - While subtle hematologic changes (macrocytosis, elevated HbF) may appear earlier, clinically significant **pancytopenia does not occur in infancy**. - This delayed hematologic presentation distinguishes Fanconi anemia from other congenital bone marrow failure syndromes. *Pancytopenia* - **Pancytopenia** is the hallmark hematologic feature of Fanconi anemia, but develops in **mid-childhood**, not infancy. - Results from progressive bone marrow failure affecting all three cell lines: **red blood cells, white blood cells, and platelets**. - Thrombocytopenia is often the first manifestation, followed by anemia and neutropenia. *Skeletal anomalies* - **Skeletal anomalies** are common congenital malformations present in approximately **60-75%** of patients. - Include **radial ray defects** (absent or hypoplastic thumbs, absent radius), **short stature**, and other limb abnormalities. - These are present from birth and often lead to early clinical suspicion. *Chromosome fragility* - **Chromosome fragility** is the **diagnostic hallmark** of Fanconi anemia due to defective DNA repair mechanisms. - Diagnostic test uses **diepoxybutane (DEB)** or **mitomycin C (MMC)** to induce DNA crosslinks, revealing increased chromosomal breaks and rearrangements. - This test is positive regardless of age or hematologic status.
Explanation: ***Anemia*** - Macrosomic babies (3kg at 34 weeks is **large for gestational age**) initially develop **polycythemia** due to chronic intrauterine hypoxia and increased erythropoiesis, but this is followed by rapid **hemolysis** and breakdown of excess red blood cells after birth, leading to anemia in the immediate postnatal period. - Among the given options, **anemia** is the most appropriate answer as it represents a recognized complication of LGA babies through the **polycythemia-hemolysis cycle**, even though **hypoglycemia** is statistically the most common immediate complication. *APH* - **Antepartum hemorrhage (APH)** is a maternal obstetric complication involving bleeding before delivery, not a condition that the baby itself develops or shows. - While APH can affect fetal growth and well-being, it is not a **neonatal condition** that the child would present with after birth. *Diabetes* - Although **maternal diabetes** is the most common cause of fetal macrosomia, the newborn does not develop diabetes itself in the immediate postnatal period. - Instead, these babies are at risk for **hypoglycemia**, **respiratory distress**, and **hyperbilirubinemia** due to fetal hyperinsulinemia, but not diabetes as a presenting condition. *None of the options* - This is incorrect because **anemia** is indeed a valid condition that macrosomic babies can develop through the described polycythemia-hemolysis mechanism. - While other complications like **hypoglycemia** and **birth trauma** are more common, anemia remains a recognized sequela among LGA babies in the immediate postnatal period.
Explanation: ***G6PD deficiency*** - Ingestion of naphthalene balls (mothballs) contains **naphthalene**, a potent oxidant known to trigger **hemolysis** in individuals with G6PD deficiency. - This hemolysis leads to the rapid destruction of red blood cells, causing **hemoglobinuria** which manifests as gross hematuria or **dark urine**. *Purpura* - Purpura refers to **purple skin lesions** resulting from bleeding under the skin, often associated with platelet disorders or vasculitis. - While naphthalene exposure can cause hemolysis, purpura is **not the primary or direct symptom** of naphthalene-induced hemolytic anemia. *Black water fever* - Black water fever is a severe complication of **malaria** (especially *Plasmodium falciparum*) characterized by widespread intravascular hemolysis and **dark brown/black urine** due to hemoglobinuria. - It is **caused by malarial infection**, not naphthalene ingestion, although both can present with dark urine due to hemolysis. *Hereditary spherocytosis* - This is an **inherited disorder** of red blood cell membranes, leading to fragile, spherical red blood cells that are prematurely destroyed in the spleen. - While it causes chronic hemolytic anemia, it is a **genetic condition** and not triggered by acute ingestion of oxidants like naphthalene.
Get full access to all questions, explanations, and performance tracking.
Start For Free