A 22-year-old man complains about his inability to conceive a child. On physical examination, the patient is noted to be tall (6 ft, 5 in) and exhibits gynecomastia and testicular atrophy. Laboratory studies demonstrate increased serum levels of follicle-stimulating hormone. Cytogenetic studies reveal a chromosomal abnormality. What is the most common cause of this patient's chromosomal abnormality?
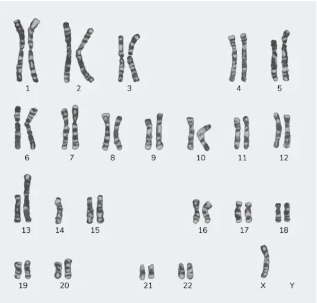
A 23-year-old female with a height of 4 feet has a karyotype as shown in the image below. Which among the following indicates the correct etiology?

An endocrinologist decided to give a 7 year old boy testosterone therapy and continued it till puberty. This therapy is likely to:
A child presents with short stature. His bone age is less than chronological age. The height of his parents is normal. What is the most likely diagnosis?
During evaluation of a child with Down syndrome, the following finding is noted. Identify?

A 10-year-old child presents with short stature. Physical examination reveals an upper segment to lower segment ratio of 0.8:1 and evidence of epiphyseal displacement in the spine on imaging. Which of the following conditions is the most likely diagnosis?
Which one of the following is an autosomal recessive disorder?
A 25-year-old man presents for a routine physical examination. The patient is tall (6 ft. 5 in) and on examination he was found to have an early diastolic murmur. His family pedigree is as given below. Which of the following is the mode of inheritance by which the disease is likely to be transmitted?

25-year-old man presents for a routine physical examination. The patient is tall and on examination, he was found to have an early diastolic murmur. His family pedigree is given below (image attached). Which of the following is the mode of inheritance by which the disease is likely to be transmitted?

On USG finding of cystic hygroma in fetus is suggestive of
Explanation: ***Failure of chromosome separation during gamete formation*** - The patient's symptoms (tall stature, gynecomastia, testicular atrophy, infertility, and elevated FSH) are classic for **Klinefelter syndrome**, which is characterized by a **47,XXY karyotype** [1]. - This extra X chromosome most commonly arises from **nondisjunction** (failure of homologous chromosomes or sister chromatids to separate) during **meiosis I** in the mother or, less frequently, during meiosis I or II in the father, or post-zygotic mitotic nondisjunction. *Chromosomal instability during cell division* - This typically refers to a general propensity for cells to acquire chromosomal aberrations, often seen in cancers or specific genetic syndromes like **Fanconi anemia** or **Bloom syndrome**. - While it can lead to chromosomal abnormalities, it is not the primary mechanism behind the specific 47,XXY aneuploidy seen in Klinefelter syndrome. *Chromosomal translocation during meiosis* - **Translocations** involve the exchange of genetic material between non-homologous chromosomes. - While translocations can cause genetic disorders, they result in a quantitative change in genetic material (e.g., partial trisomy or monosomy), not the extra whole sex chromosome characteristic of Klinefelter syndrome. *Structural rearrangement of chromosomes* - This is a broad category that includes deletions, duplications, inversions, and translocations, all of which alter the arrangement of genetic material within or between chromosomes. - While an extra chromosome is a type of chromosomal abnormality, the mechanism of nondisjunction leading to an entire extra chromosome (like an extra X) is a more specific and accurate description for the cause of **Klinefelter syndrome** [1], [2].
Explanation: **Turner syndrome** - The **karyotype shows 45,X**, meaning there is only one X chromosome and no second sex chromosome (Y or another X). This absence of a full second sex chromosome is the defining genetic characteristic of **Turner syndrome** [1]. - The clinical presentation of a **23-year-old female with a height of 4 feet (short stature)** is a classic sign of Turner syndrome, which results from the partial or complete monosomy of the X chromosome. Short stature in these patients is specifically linked to the haploinsufficiency of the SHOX gene [1]. *Klinefelter's syndrome* - This syndrome is characterized by the presence of an **extra X chromosome in males**, leading to a karyotype typically 47,XXY [2]. - While individuals with Klinefelter's syndrome may also have a variety of physical and developmental challenges, the patient's biological sex (female) and the specific karyotype shown **(45,X)** do not align with this condition. *Down syndrome* - Down syndrome is caused by a **trisomy of chromosome 21**, meaning there are three copies of chromosome 21 instead of the usual two [2]. - The provided karyotype clearly shows **two copies of chromosome 21** and a sex chromosome abnormality (45,X), making Down syndrome an incorrect diagnosis [1]. *Edward's syndrome* - Edward's syndrome is characterized by a **trisomy of chromosome 18**, meaning there are three copies of chromosome 18 [1]. - The presented karyotype shows **two copies of chromosome 18** and an abnormality in the sex chromosomes, ruling out Edward's syndrome. **References:** [1] Kumar V, Abbas AK, et al.. Robbins and Cotran Pathologic Basis of Disease. 9th ed. Genetic Disorders, pp. 171-177. [2] Cross SS. Underwood's Pathology: A Clinical Approach. 6th ed. (Basic Pathology) introduces the student to key general principles of pathology, both as a medical science and as a clinical activity with a vital role in patient care. Part 2 (Disease Mechanisms) provides fundamental knowledge about the cellular and molecular processes involved in diseases, providing the rationale for their treatment. Part 3 (Systematic Pathology) deals in detail with specific diseases, with emphasis on the clinically important aspects., pp. 92-93.
Explanation: Reduce adult stature - Early administration of testosterone, especially before puberty and continued through it, can lead to **premature epiphyseal plate fusion**. - This premature fusion limits the long bones from growing to their full potential, resulting in **shorter adult height**. *Increase adult stature* - While testosterone promotes initial growth spurts, prolonged exposure, particularly too early, leads to accelerated **bone maturation** and closure of growth plates. - This ultimately curtails the total growth period, preventing maximum height attainment. *Cause hypertrophy of penis* - Testosterone therapy in a 7-year-old boy would induce **precocious puberty**, leading to the development of secondary sexual characteristics, including penile enlargement. [1] - However, this is largely considered a side effect of early testosterone exposure and not its primary or most concerning impact on future growth. *Have no effect on adult stature* - Testosterone has a significant impact on bone growth and development, particularly by affecting the **epiphyseal growth plates**. - Therefore, administering testosterone during childhood inevitably influences the final adult stature, either by increasing or decreasing it depending on the timing and duration.
Explanation: ***Constitutional short stature*** - This condition is characterized by a **delayed bone age** compared to chronological age, indicating a delay in skeletal maturation. - Children with constitutional short stature typically have **normal parental height** and will eventually reach a normal adult height, although puberty and growth spurts are often delayed. *Malnutrition* - While malnutrition causes **short stature** and **delayed bone age**, it would also likely present with other signs of nutritional deficiency such as **weight loss** or failure to thrive. - The case does not mention any dietary issues or poor socioeconomic conditions typically associated with malnutrition. *Familial short stature* - In familial short stature, the child's height is typically proportional to the parents' height, indicating a strong genetic component to their shorter stature. - It is characterized by a **normal bone age** for chronological age, unlike the delayed bone age seen in this child. *Cretinism* - Cretinism, or congenital hypothyroidism, results in **severe growth retardation** and **delayed bone age**. - However, it is also associated with distinct features like **coarse facial features**, macroglossia, umbilical hernia, and severe developmental delays, which are not mentioned in this case.
Explanation: ***Simian crease*** - The image displays a **single palmar crease** (also known as a simian crease or transverse palmar crease), which is a common physical finding in individuals with **Down syndrome (Trisomy 21)**. - This crease runs straight across the palm, often replacing the usual two major palmar creases. *Kennedy crease* - This is **not a recognized medical term** for a palmar crease or any specific dermatological finding. - The feature shown in the image is a clearly defined, single transverse palmar crease. *Sydney line* - A **Sydney line** is another type of palmar crease abnormality where the proximal transverse crease extends across the entire palm, reaching the ulnar edge. - While it is a variation of palmar creases, the crease in the image appears as a single, bold transverse crease, more consistent with a **simian crease**. *Sandal gap* - A **sandal gap** refers to a wide space between the first and second toes, sometimes seen in newborns, including those with Down syndrome. - This finding relates to the **foot**, not the hand, and is not depicted in the provided image.
Explanation: ***Morquio syndrome*** - **Morquio syndrome**, a mucopolysaccharidosis (MPS IV), is characterized by severe disproportionate short stature with a short trunk and a **decreased upper segment (US) to lower segment (LS) ratio** (normal for age 10 is typically >1.0). - Patients often exhibit **platyspondyly**, **odontoid hypoplasia**, and atlantoaxial instability leading to **epiphyseal displacement in the spine**, which can cause neurological compression. *Achondroplasia* - Achondroplasia is a form of **disproportionate short stature** characterized by rhizomelic (proximal) shortening of the limbs, but it typically presents with a **normal trunk length**, not necessarily an altered US:LS ratio. - While it affects bone growth, spinal epiphyseal displacement is **not a characteristic feature**; instead, it causes a narrow foramen magnum and a lumbar lordosis. *Turner syndrome* - Turner syndrome causes **proportionate short stature** due to haploinsufficiency of genes on the X chromosome, and is associated with chromosomal abnormalities (45,X0). - It does not specifically present with a decreased US:LS ratio or epiphyseal displacement in the spine, but rather with features like a **webbed neck**, shield chest, and coarctation of the aorta. *Hypothyroidism* - Untreated congenital or childhood hypothyroidism leads to **proportionate dwarfism** and delayed bone age. - While it causes short stature, it typically does not result in a significantly altered US:LS ratio or epiphyseal displacement in the spine; rather, it manifests with symptoms like **lethargy**, constipation, and coarse hair.
Explanation: ***Albinism*** - **Albinism** is an **autosomal recessive disorder** characterized by a partial or complete lack of melanin pigment in the skin, hair, and eyes [1], [2]. - This condition is inherited when an individual receives **two copies of the defective gene**, one from each parent [1]. *Huntington's disease* - **Huntington's disease** is an **autosomal dominant disorder**, meaning only one copy of the mutated gene is sufficient to cause the disease. - It is characterized by progressive neurodegeneration, leading to uncontrolled movements, cognitive decline, and psychiatric problems. *Marfan's syndrome* - **Marfan's syndrome** is an **autosomal dominant disorder** affecting connective tissue, primarily impacting the skeletal, ocular, and cardiovascular systems. - It results from a mutation in the **FBN1 gene** which encodes for fibrillin-1, a component of elastic fibers. *Neurofibromatosis-1* - **Neurofibromatosis type 1 (NF1)** is an **autosomal dominant disorder** caused by a mutation in the NF1 gene, leading to the growth of tumors along nerves. - Clinical features include **café-au-lait spots**, neurofibromas, and Lisch nodules. **References:** [1] Kumar V, Abbas AK, et al.. Robbins and Cotran Pathologic Basis of Disease. 9th ed. Genetic Disorders, pp. 150-151. [2] Cross SS. Underwood's Pathology: A Clinical Approach. 6th ed. (Basic Pathology) introduces the student to key general principles of pathology, both as a medical science and as a clinical activity with a vital role in patient care. Part 2 (Disease Mechanisms) provides fundamental knowledge about the cellular and molecular processes involved in diseases, providing the rationale for their treatment. Part 3 (Systematic Pathology) deals in detail with specific diseases, with emphasis on the clinically important aspects., pp. 119-120.
Explanation: ***Autosomal dominant*** - The pedigree shows **affected individuals in every generation**, and transmission from an affected parent to approximately half of their children, which is characteristic of **autosomal dominant inheritance**. - The disease affects both males and females, and **affected fathers transmit the disease to both sons and daughters** (e.g., I-1 to II-1 and II-5), ruling out X-linked inheritance. *X linked dominant disorder* - This pattern would show affected fathers transmitting the trait to **all their daughters but no sons**, which is not seen here (e.g., father I-1 has an affected son II-1). - Also, affected mothers would transmit to half their sons and daughters, but the key discriminatory factor is the father-to-son transmission. *X-linked recessive* - X-linked recessive traits usually show **more males affected than females**, and affected sons are typically born to carrier mothers. - An affected father would **not transmit the disease to his sons**, but the pedigree clearly shows affected father I-1 transmitting to son II-1. *Autosomal recessive* - Autosomal recessive disorders typically **skip generations**, with affected individuals often born to unaffected carriers. - The pedigree shows **direct transmission** from affected parents to offspring in every generation, which is inconsistent with recessive inheritance.
Explanation: ***Autosomal Dominant*** - The pedigree shows that the disease appears in every generation, and affected individuals have at least one affected parent (e.g., I-1 passes it to II-1, II-5, II-8). This pattern is characteristic of **dominant inheritance**. - Both males and females are affected, and affected fathers can pass the trait to their sons (e.g., I-1 to II-1), ruling out X-linked inheritance and supporting an **autosomal dominant** mode. *Autosomal Recessive* - In autosomal recessive inheritance, affected individuals typically have **unaffected parents** (who are carriers), and the disease often skips generations. This is not observed in the provided pedigree. - While both males and females can be affected, the presence of affected individuals in every generation and vertical transmission makes recessive inheritance unlikely. *X-Linked Recessive* - X-linked recessive disorders typically show more affected males than females, and affected fathers **cannot pass the trait to their sons**. The pedigree clearly shows affected females and father-to-son transmission (I-1 to II-1 and potentially II-8 to III-6), ruling out this pattern. - Also, all daughters of an affected father would be carriers, and some an affected mother would have affected offspring. *X-Linked Dominant* - In X-linked dominant inheritance, all daughters of an affected father would be affected, and there is no male-to-male transmission. - The pedigree shows instances where affected fathers (like I-1) have unaffected daughters (e.g., II-2, II-4, II-6, II-7), and affected mothers (II-5, II-8) have unaffected children, which contradicts X-linked dominant inheritance.
Explanation: ***Turner's syndrome*** - **Cystic hygroma**, particularly in the nuchal region, is a classic and highly suggestive ultrasound finding for **Turner's syndrome (45,X)** in a fetus. - Turner's syndrome is characterized by the **partial or complete absence of an X chromosome** and is often associated with lymphatic abnormalities. *Klinefelter's syndrome* - **Klinefelter's syndrome (47,XXY)** is a chromosomal aneuploidy but is not typically associated with cystic hygroma in the fetal period. - Clinical features usually manifest later in life, including **hypogonadism** and **gynecomastia**. *Down's syndrome* - While **Down's syndrome (Trisomy 21)** can be associated with increased nuchal translucency, **cystic hygroma** is a less common and less specific finding compared to Turner's syndrome. - Other markers like **nasal bone hypoplasia**, **duodenal atresia**, and cardiac defects are more characteristic. *Marfan's syndrome* - **Marfan syndrome** is an **autosomal dominant connective tissue disorder** caused by a mutation in the *FBN1* gene. - It is not associated with cystic hygroma but typically presents with skeletal, cardiovascular (e.g., **aortic root dilation**), and ocular manifestations.
Get full access to all questions, explanations, and performance tracking.
Start For Free