A 50-year-old female presents with involuntary loss of urine on coughing or sneezing for 3 years with increasing frequency. Which of the following types of incontinence is the patient suffering from?
A newborn baby presented with a failure to pass meconium in the immediate postnatal period. The pediatrician also notices visible yet ineffective peristalsis, and abdominal distention. A radiological contrast enema demonstrated a narrow conical segment and a dilated proximal bowel. A diagnosis of Hirschsprung disease was made. Which of the following is a cause of the condition in the patient?
All are features of congenital megacolon except:
An elderly female presented with dribbling of urine only on coughing and straining. What type of urinary incontinence is she suffering from
Treatment in a 6-month-old child with acute watery diarrhea without signs of dehydration is:
Organic causes of constipation in infants include all of the following EXCEPT:
Chronic constipation in children is seen in all EXCEPT?
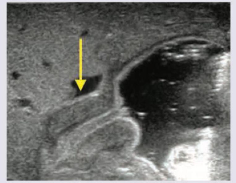
Neonate is brought at 3 weeks of age, with projectile vomiting. USG was performed and is shown below. When can the abdominal mass in this condition be best palpated?

Sandifer syndrome due to GERD in infants is confused with which of the following conditions?
What is the most common type of intussusception?
Explanation: ***Stress incontinence*** - This is characterized by **involuntary urine leakage** during activities that increase intra-abdominal pressure, such as **coughing, sneezing**, laughing, or exercising. - It often results from **weakening of the pelvic floor muscles** and urethral sphincter, frequently seen in women, especially after childbirth or with aging. *Functional incontinence* - This type involves **involuntary urine loss** due to the inability or unwillingness to reach the toilet in time, often related to **cognitive impairments** or **physical disabilities**. - The urinary tract itself is intact, but external factors prevent timely voiding. *Overflow incontinence* - This occurs when the **bladder does not empty completely** and urine leaks out when the bladder becomes overly full. - It is typically caused by **bladder outlet obstruction** (e.g., enlarged prostate in men) or impaired bladder muscle contraction. *Urgency incontinence* - This is defined by a **sudden, strong urge to urinate** followed by involuntary loss of urine, often before reaching a restroom. - It is caused by **involuntary detrusor muscle contractions** and is commonly associated with overactive bladder syndrome.
Explanation: ***Failure of migration of neural crest cells*** - Hirschsprung disease is characterized by the **absence of ganglion cells** (specifically **Auerbach's and Meissner's plexuses**) in the distal bowel. - This aganglionosis results from the **failure of neural crest cells to migrate** completely into the intestinal wall during embryonic development. *Persistence of embryonic structures in the bowel wall* - This mechanism is associated with conditions like **Meckel's diverticulum**, where a remnant of the **vitelline duct** persists. - It does not explain the absence of ganglion cells or the functional obstruction seen in Hirschsprung disease. *Congenital obstruction due to external factors* - This would involve conditions such as an **annular pancreas**, **bands**, or **malrotation with volvulus**, creating a physical barrier. - Hirschsprung disease is a **functional obstruction** due to neuromuscular dysfunction, not an external compression or blockage. *Abnormal peristalsis due to neural dysfunction* - While there is abnormal peristalsis, the underlying cause is not just **"neural dysfunction"** in a general sense, but specifically the **absence of entire ganglion cell plexuses** within the bowel wall. - This option is too broad and doesn't pinpoint the precise developmental defect.
Explanation: ***Large bulky stools*** - Patients with **congenital megacolon** (Hirschsprung disease) typically have difficulty passing stool, leading to small, pellet-like stools or significant constipation, not large bulky stools. - The absence of **ganglion cells** in the affected segment prevents proper relaxation and propulsion, resulting in stool retention and a narrow, spastic segment. *Pseudodiarrhoea* - **Pseudodiarrhoea** can occur in congenital megacolon when liquid stool bypasses the impaction, leading to overflow incontinence. - This symptom is often mistaken for true diarrhea but is characteristic of severe constipation. *Tight anal ring* - A **tight anal ring** on digital rectal examination is a classic finding in Hirschsprung disease due to the spastic, aganglionic segment extending down to the internal anal sphincter. - This spasticity prevents normal relaxation of the internal anal sphincter. *Failure to thrive* - **Failure to thrive** is a common complication of congenital megacolon due to chronic constipation, poor nutrient absorption secondary to bowel stasis, and recurrent enterocolitis. - Chronic poor feeding and malabsorption contribute to inadequate weight gain and growth.
Explanation: ***Stress incontinence*** - **Dribbling of urine** specifically with activities that increase intra-abdominal pressure like **coughing or straining** is the hallmark of stress incontinence. - This type of incontinence results from **weakness of the pelvic floor muscles** and/or intrinsic urethral sphincter deficiency. *Overflow incontinence* - This occurs when the bladder is **overfilled and unable to empty**, leading to constant dribbling or leakage. - Patients typically experience a **poor stream**, hesitancy, and a feeling of incomplete emptying, which are not described here. *Urge incontinence* - Characterized by a **sudden, strong urge to urinate** that is difficult to defer, often leading to involuntary leakage before reaching the toilet. - It is caused by **involuntary contractions of the detrusor muscle** and is not directly related to physical exertion like coughing. *Neurogenic bladder* - This refers to bladder dysfunction due to a **neurological condition** affecting bladder control, such as spinal cord injury or multiple sclerosis. - Symptoms can vary broadly (flaccid or spastic bladder) and are not limited to leakage with coughing alone.
Explanation: ***Mothers milk and household fluids*** - For a 6-month-old with **acute watery diarrhea** and **no signs of dehydration**, WHO Plan A management includes continued **breastfeeding (mother's milk)** for nutrition and hydration, along with **extra household fluids** like clean water. - **Note:** Ideally, **ORS should also be given** to prevent dehydration as per WHO guidelines, but among the given options, this is the most appropriate choice as it avoids unnecessary antibiotics. - This focuses on maintaining hydration and supporting recovery through adequate fluid and nutrient intake. *ORS and antibiotics* - While **ORS is actually recommended** in Plan A management (even without dehydration) to prevent progression, this option is incorrect because **antibiotics** are not indicated for acute watery diarrhea. - Most acute watery diarrhea cases are **viral** (rotavirus, norovirus) and self-limiting; antibiotics are reserved for specific bacterial infections with systemic features or bloody diarrhea. - The inclusion of antibiotics makes this option inappropriate. *Mothers milk and antibiotics* - While **mother's milk** is essential, **antibiotics** are unnecessary for uncomplicated acute watery diarrhea without dehydration. - Routine antibiotic use can lead to **antimicrobial resistance** and disrupt the intestinal microbiome, potentially prolonging diarrhea. *All of the options* - This is incorrect because **antibiotics** are not appropriate for routine acute watery diarrhea without signs of bacterial infection or systemic illness. - The correct management avoids unnecessary antibiotic use.
Explanation: ***Infantile dyschezia*** - This is a **functional condition** where infants strain and cry before passing a soft stool, due to a lack of coordination between relaxing the pelvic floor and increasing intra-abdominal pressure. It is not an organic cause of constipation. - The stool consistency in infantile dyschezia is typically **soft**, differentiating it from true constipation. *Hirschsprung's disease* - This is an **organic cause of constipation** due to the absence of **ganglion cells** in the distal colon, leading to a functional obstruction. - Infants typically present with **failure to pass meconium** within the first 24-48 hours of life, distended abdomen, and forceful expulsion of stool upon rectal examination. *Cystic fibrosis* - This is an **organic cause of constipation** in infants due to the production of thick, sticky intestinal secretions, often leading to **meconium ileus** at birth. - Constipation can also result from **pancreatic insufficiency**, which impairs fat digestion and absorption, leading to hard, dry stools later in infancy. *Hypothyroidism* - This is an **organic cause of constipation** because thyroid hormones are essential for normal gastrointestinal motility. - Infants with hypothyroidism often present with **decreased bowel movements**, lethargy, poor feeding, and prolonged jaundice.
Explanation: ***Jejunal polyp*** - A **jejunal polyp** is a rare benign or malignant growth in the jejunum and is not a common cause of chronic constipation in children. - While it might cause symptoms like **abdominal pain** or **bleeding**, it typically does not obstruct the large intestine enough to lead to chronic constipation. *Hypothyroidism* - **Hypothyroidism** in children can lead to chronic constipation due to **decreased gut motility** caused by reduced thyroid hormone levels. - Other symptoms may include **lethargy**, **poor feeding**, **cold intolerance**, and **developmental delay**. *Stricture* - An **intestinal stricture**, which is a narrowing of a segment of the intestine, can certainly cause chronic constipation in children by creating an **obstruction to stool passage**. - Strictures can be congenital or acquired due to **inflammation** (e.g., Crohn's disease), **surgery**, or **ischemia**. *Hirschsprung disease* - **Hirschsprung disease** is a congenital condition characterized by the **absence of ganglion cells** in the distal colon, leading to a functional obstruction and chronic constipation. - This results in a failure of relaxation of the affected bowel segment, causing stool to back up.
Explanation: ***During feeding*** - In **hypertrophic pyloric stenosis**, the characteristic **"olive" mass** formed by the thickened pylorus is most easily palpable **during feeding or immediately after vomiting**. - During this time, the infant’s abdominal muscles are relaxed, making palpation of the mass in the **epigastrium (right upper quadrant)** more successful. *In umbilical area* - The umbilical area is typically where **omphaloceles** or **umbilical hernias** are found, not the pyloric mass. - The pylorus is located much higher in the epigastric region, to the right of the midline. *In epigastric area* - While the pyloric mass is located in the **epigastric area**, palpation is more difficult when the infant is crying or agitated. - The question asks when it can be *best* palpated, emphasizing the conditions under which it is most detectable. *In Right upper quadrant* - The pylorus is indeed located in the **right upper quadrant/epigastrium**. - However, the optimal timing for palpation is during feeding or after vomiting, as the infant's abdomen is relaxed at that point.
Explanation: **Explanation:** **Sandifer syndrome** is a paroxysmal movement disorder associated with **Gastroesophageal Reflux Disease (GERD)** in infants and young children. It is characterized by abnormal posturing of the head, neck, and trunk (torticollis and opisthotonus) during or immediately after feeding. **Why Seizures is the correct answer:** The classic presentation involves sudden, repetitive episodes of arching the back and tilting the head to one side. These movements are often mistaken for **infantile spasms or focal seizures**. The underlying mechanism is a physiological response where the child assumes these positions to lengthen the esophagus and increase the lower esophageal sphincter pressure, thereby reducing the pain caused by acid reflux. Because the movements are episodic and paroxysmal, they frequently lead to unnecessary neurological workups (like EEGs) before the GI cause is identified. **Why other options are incorrect:** * **Recurrent vomiting:** While vomiting is a symptom of GERD, it is the *clinical manifestation* of the reflux itself, not a condition that the specific "posturing" of Sandifer syndrome is confused with. * **Acute otitis media & Sinusitis:** While chronic GERD can lead to ENT complications (like recurrent ear infections) due to micro-aspiration or Eustachian tube dysfunction, these conditions do not present with the paroxysmal motor movements that mimic neurological disorders. **High-Yield Clinical Pearls for NEET-PG:** * **Triad of Sandifer Syndrome:** GERD, Hiatus hernia (often present), and abnormal posturing (Torticollis/Opisthotonus). * **Diagnosis:** Primarily clinical; confirmed by pH monitoring or improvement with anti-reflux therapy (PPIs). * **Key Differentiator:** Unlike seizures, Sandifer syndrome episodes are strictly associated with feeding and are not accompanied by post-ictal confusion or abnormal EEG activity.
Explanation: **Explanation:** **Intussusception** is the most common cause of intestinal obstruction in infants aged 6 months to 3 years. It occurs when one segment of the intestine (the intussusceptum) telescopes into an adjacent segment (the intussuscipiens). **Why Ileocolic is the Correct Answer:** The **Ileocolic** type is the most common variety, accounting for approximately **80-90% of cases**. This occurs because the terminal ileum has a high concentration of lymphoid tissue (Peyer’s patches). Hypertrophy of these patches—often triggered by a viral prodrome (like Adenovirus)—acts as a "lead point," allowing the ileum to be pulled into the larger diameter of the cecum and ascending colon by peristalsis. **Analysis of Incorrect Options:** * **A. Multiple:** This refers to more than one site of telescoping. While it can occur in specific conditions like Peutz-Jeghers syndrome (due to multiple polyps), it is rare in the general pediatric population. * **B. Colocolic:** This involves the large bowel telescoping into itself. It is less common in children and, when seen in adults, is usually associated with a malignancy acting as a lead point. * **C. Ileoileal:** This involves the small bowel telescoping into itself. While it occurs, it is less frequent than ileocolic and is often transient or associated with Henoch-Schönlein Purpura (HSP). **High-Yield Clinical Pearls for NEET-PG:** * **Classic Triad:** Intermittent abdominal pain (drawing up of legs), "Sausage-shaped" mass on palpation, and **"Red currant jelly" stools**. * **Diagnosis:** **Ultrasonography** is the investigation of choice, showing the characteristic **"Target" or "Donut" sign**. * **Treatment:** Non-operative reduction using **Air or Hydrostatic (Barium/Saline) enema** is the first-line treatment if there are no signs of perforation or peritonitis. * **Lead Points:** In children >2 years, look for a pathological lead point like **Meckel’s diverticulum**.
Get full access to all questions, explanations, and performance tracking.
Start For Free