Enter your email to get your 85% OFF code and unlock the full NEET PG question bank on the app.
What is the next best step for a 22-year-old with a hepatic hemangioma on ultrasound?
A 7-year old boy presents with a right-sided hemangioma and left-sided focal seizures. The most likely diagnosis is:
Which skin lesion is associated with Sturge-Weber syndrome?

What is the most common orbital tumor in children?
Which of the following findings on colonoscopy is most consistent with angiodysplasia?
MRI scan of a child with intellectual disability, recurrent seizures and hemangioma. Diagnosis is?

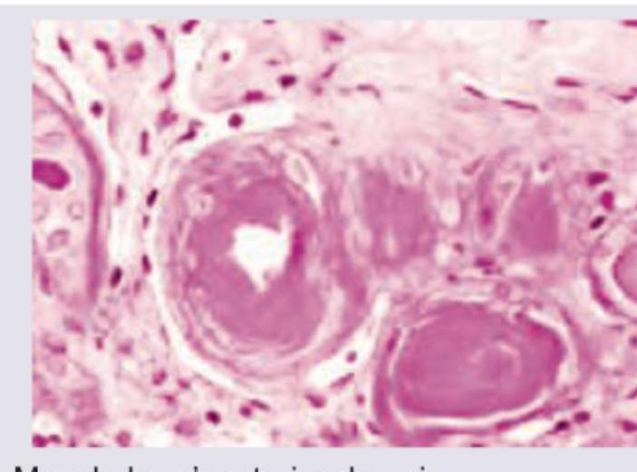
Monckeberg's calcific sclerosis primarily affects which layer of the medium-sized muscular arteries?
A red soft to firm swelling on the sternum shows proliferation of endothelial cells forming vascular channels on biopsy. What is the most likely diagnosis?
The histological image shows a blood vessel with characteristic changes. What is the most likely diagnosis?

Angiofibroma bleeds profusely because:
Get full access to all questions, explanations, and performance tracking.
Scan to download app