What is the T stage of a 2.5cm lung carcinoma, not involving the pleura?
A 40-year-old man has hemoptysis. CXR shows a coin lesion. Biopsy reveals nests of neuroendocrine cells with salt-and-pepper chromatin. What is the most likely diagnosis?
Which of the following is true? 1. BRCA1 is an oncogene 2. HER2neu is amplified only in a fraction of breast cancer 3. EGFR (+) is seen in non-small cell lung cancer 4. N-MYC is a tumor suppressor gene
Which type of lung tumor is most responsive to radiotherapy?
Which type of lung cancer is most commonly found in non-smokers?
In which type of lung carcinoma is the p53 mutation most commonly observed?
Which of the following is a characteristic of bronchoalveolar carcinoma?
Which of the following is not a characteristic of malignant lesions?
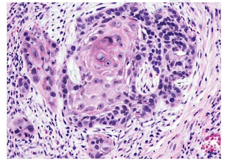
A male patient with hemoptysis. On examination, hilar mass was present. The histopathological image is shown below. Immunohistochemistry revealed that the cells were positive for p40. What is the diagnosis?

Which of the following conditions can produce hemothorax?
Explanation: ***T1c*** - A **2.5 cm lung carcinoma** without pleural involvement falls into the T1 category [1]. - According to the **TNM staging system (8th edition)** for lung cancer, a tumor between **2-3 cm is classified as T1c** [1]. *T1a* - This classification is reserved for tumors that are **1 cm or less** in greatest dimension. - The given tumor size of **2.5 cm is larger** than the T1a criteria. *T2* - A T2 tumor is generally defined by a size greater than **3 cm but less than or equal to 5 cm**, or has specific features like visceral pleural invasion or involvement of the main bronchus regardless of distance from the carina [1]. - Our tumor is **only 2.5 cm** and does not involve the pleura, excluding T2. *T1b* - This category applies to tumors that are **greater than 1 cm but equal to or less than 2 cm** in greatest dimension. - The 2.5 cm tumor size exceeds the criteria for **T1b**. **References:** [1] Kumar V, Abbas AK, et al.. Robbins and Cotran Pathologic Basis of Disease. 9th ed. The Lung, pp. 721-725.
Explanation: ***Carcinoid tumor*** - **Nests of neuroendocrine cells** with **salt-and-pepper chromatin** are classic histological features of a carcinoid tumor. - While presented as a **coin lesion** (solitary pulmonary nodule) [2], this type of neuroendocrine tumor typically has a more indolent course compared to other lung malignancies. *Squamous cell carcinoma* - Characterized by **keratinization** and **intercellular bridges**, not neuroendocrine differentiation. - Often presents as a **central mass** with cavitation and is strongly associated with smoking [1]. *Adenocarcinoma* - Grows in glandular patterns and produces **mucin**, usually found in the periphery of the lung. - Lacks the neuroendocrine features of salt-and-pepper chromatin or rosette formation. *Small cell carcinoma* - Consists of small, undifferentiated cells with **scant cytoplasm** and **absent nucleoli**, known for rapid growth. - Although also neuroendocrine, it presents with a much more aggressive clinical course and characteristic **oat cell morphology**, distinct from the well-differentiated nests seen in carcinoid.
Explanation: ***Correct Option: 2,3*** - **Statement 2 is TRUE**: HER2neu amplification occurs in only a fraction (~15-20%) of breast cancers, making it a specific subset requiring targeted therapy with trastuzumab (Herceptin) [1]. - **Statement 3 is TRUE**: EGFR (epidermal growth factor receptor) mutations or overexpression are commonly seen in non-small cell lung cancer (NSCLC) and serve as important therapeutic targets for tyrosine kinase inhibitors. *Incorrect Option: 1,3* - Statement 1 is **FALSE**: BRCA1 is a **tumor suppressor gene**, not an oncogene. It functions in DNA double-strand break repair, and loss-of-function mutations increase the risk of breast and ovarian cancers. - Statement 3 is TRUE, but the inclusion of the false statement about BRCA1 makes this option incorrect. *Incorrect Option: 1,2* - Statement 1 is **FALSE**: BRCA1 is a **tumor suppressor gene**, not an oncogene. - Statement 2 is TRUE [1], but the false classification of BRCA1 invalidates this option. *Incorrect Option: All of the options* - Statement 1 is **FALSE**: BRCA1 is a tumor suppressor gene, not an oncogene. - Statement 4 is **FALSE**: N-MYC is an **oncogene** that is amplified in neuroblastoma and other cancers, not a tumor suppressor gene. - Since two of the four statements are incorrect, "All of the options" cannot be true. **References:** [1] Kumar V, Abbas AK, et al.. Robbins and Cotran Pathologic Basis of Disease. 9th ed. The Breast, pp. 1059-1060.
Explanation: ***Small cell lung cancer (SCLC)*** - SCLC is **highly sensitive to chemotherapy and radiation therapy** [2] due to its rapid growth rate and proliferative nature. - While frequently presenting with metastatic disease, local control with **radiotherapy** combined with chemotherapy is crucial, especially in limited-stage disease, and leads to significant tumor shrinkage. *Squamous cell CA* - Squamous cell carcinoma (SCC) is generally **less sensitive** to radiation therapy compared to SCLC, though it is often included in treatment plans for local control. - It tends to grow slower than SCLC and is primarily associated with a **smoking history**. *Adeno CA* - Adenocarcinoma (Adeno CA) is the **most common type of non-small cell lung cancer (NSCLC)**, and its response to radiotherapy varies. - While radiation is used, particularly for **local control or palliation** [1], it is not as uniquely responsive as SCLC, and targeted therapies are often preferred for systemic treatment. *All types respond differently to treatment.* - While it is true that all tumors respond differently based on their histology and individual patient factors, this option does not identify the **most responsive type** as requested by the question. - This statement is a general truth but **lacks the specificity** needed to answer which specific type is most responsive to radiotherapy.
Explanation: ***Adenocarcinoma*** - It is the most common type of lung cancer among **non-smokers**, often associated with **lung scarring** and **asbestos exposure**. - Typically presents in the **peripheral** regions of the lungs and has a **glandular** pattern on histology. *Squamous cell carcinoma* - More commonly associated with **smoking** [1] and usually arises in the **central parts** of the lungs. - Known for cavitary lesions and often linked to chronic **lung disease** rather than non-smokers. *None of the above* - This oes not provide a definitive lung cancer type, which is **not relevant** when adenocarcinoma is the correct answer. - Fails to recognize the significant evidence linking adenocarcinoma as the predominant type in non-smokers. *Oat cell carcinoma* - This represents **small cell lung cancer**, which is strongly linked to **smoking** rather than being common in non-smokers [1]. - Often presents with **metastatic lesions** and is more aggressive, unlike adenocarcinoma.
Explanation: ***Small cell carcinoma*** - **Small cell lung carcinoma (SCLC)** has the highest frequency of **p53 mutations**, occurring in approximately **90-95%** of cases. - These mutations are associated with the **aggressive nature** and **poor prognosis** of SCLC, contributing to its rapid growth and early metastasis. *Adenocarcinoma* - **Adenocarcinoma** has p53 mutations in approximately **50-60%** of cases, which is less frequent than SCLC. - This subtype is more commonly associated with **EGFR mutations** and **ALK rearrangements**, particularly in non-smokers. *Squamous cell carcinoma (SCC)* - **Squamous cell carcinoma** shows p53 mutations in about **70-80%** of cases, but still lower than SCLC. - It is more strongly associated with **smoking** and often displays mutations in **CDKN2A** and **PIK3CA** pathways. *Large cell carcinoma* - **Large cell carcinoma** has variable p53 mutation rates, typically **40-60%** of cases. - This subtype is less well-characterized molecularly and represents a **diagnosis of exclusion** among lung cancers.
Explanation: ***Adenocarcinoma*** - Bronchoalveolar carcinoma is classified as a subtype of **adenocarcinoma**, specifically presenting as non-small cell lung cancer (NSCLC) [1]. - It is characterized by **lepidic growth pattern** in the alveolar structures, which preserves the architecture of the lung parenchyma. *Stromal invasion with desmoplasia* - Typically, bronchoalveolar carcinoma shows **minimal invasion**, contrasting with the extensive desmoplastic reaction seen in other types of lung cancer. - This type is more about growth patterns than typical invasive features associated with stromal changes. *Grows along pre-existing anatomical structures* - While some lung tumors may grow along bronchi, bronchoalveolar carcinoma primarily **grows along alveolar surfaces** rather than conforming to anatomical structures. - This growth pattern leads to its distinct histological features, differing from the infiltrative patterns of other cancers. *Preservation of Alveolar structure* - Although bronchoalveolar carcinoma does preserve some architecture, stating it relies solely on this aspect is misleading as this does not comprehensively define the tumor. - Its distinction lies in its subtype classification as an **adenocarcinoma** rather than merely structural preservation [1]. **References:** [1] Cross SS. Underwood's Pathology: A Clinical Approach. 6th ed. Common Clinical Problems From Respiratory Tract Disease, pp. 335-336.
Explanation: ***Pear-shaped*** - A **pear-shaped** morphology is not a typical characteristic of malignant lesions; they usually present with irregular, ill-defined, or infiltrative shapes [1] - This shape is often associated with benign lesions (e.g., fibroadenoma) or specific types of cysts [2] - Malignant tumors characteristically have **irregular, asymmetric, or spiculated** contours [3] *Absence of encapsulation* - Malignant lesions typically lack a well-defined fibrous capsule, allowing them to **invade surrounding tissues** [1] - This characteristic distinguishes them from most benign tumors, which are often encapsulated [2] - The absence of encapsulation is a hallmark feature of malignant behavior *Ulcerated borders* - Ulceration is a common feature of advanced malignant lesions, indicating rapid growth and tissue destruction [3] - This occurs as the tumor outgrows its blood supply or invades superficial layers, leading to tissue breakdown - Surface ulceration is particularly seen in malignant tumors of skin, GI tract, and mucosal surfaces *Ill-defined borders* - Malignant lesions frequently have **irregular or ill-defined borders** due to their invasive and infiltrative growth patterns [2] - This lack of clear demarcation makes complete surgical removal challenging - On imaging and gross examination, poorly defined margins are a key indicator of malignancy **References:** [1] Kumar V, Abbas AK, et al.. Robbins and Cotran Pathologic Basis of Disease. 9th ed. Neoplasia, pp. 276-278. [2] Kumar V, Abbas AK, et al.. Robbins and Cotran Pathologic Basis of Disease. 9th ed. Neoplasia, p. 280. [3] Cross SS. Underwood's Pathology: A Clinical Approach. 6th ed. (Basic Pathology) introduces the student to key general principles of pathology, both as a medical science and as a clinical activity with a vital role in patient care. Part 2 (Disease Mechanisms) provides fundamental knowledge about the cellular and molecular processes involved in diseases, providing the rationale for their treatment. Part 3 (Systematic Pathology) deals in detail with specific diseases, with emphasis on the clinically important aspects., pp. 204-206.
Explanation: ***Squamous cell carcinoma*** - The image displays features characteristic of **squamous cell carcinoma**, including nests of polygonal cells, prominent nucleoli, and areas of **keratinization** (forming keratin pearls) which are indicative of squamous differentiation [1]. - The positive immunohistochemistry staining for **p40** is a highly specific marker for squamous cell differentiation, further confirming the diagnosis in the context of a hilar mass and hemoptysis, which are common presentations for this type of lung cancer [2]. *Adenocarcinoma lung* - **Adenocarcinoma lung** typically presents with glandular differentiation, featuring structures like acini, tubules, or papillae, and often produces mucin, none of which are evident in the provided image [1]. - Immunohistochemically, adenocarcinoma would typically stain positive for **TTF-1** or **Napsin A**, and would be negative for p40. *Small cell carcinoma* - **Small cell carcinoma** shows small, round to oval cells with scant cytoplasm, finely granular chromatin (salt and pepper pattern), and frequent mitoses with extensive necrosis [3]. - These cells are much smaller than squamous cells and lack keratinization. IHC would show positivity for **synaptophysin, chromogranin, and CD56** (neuroendocrine markers), not p40 [3]. *Large cell carcinoma* - **Large cell carcinoma** is a diagnosis of exclusion showing undifferentiated large cells without glandular or squamous differentiation features. - It lacks the keratinization and intercellular bridges seen here, and would be **p40 negative** as it shows no squamous differentiation. **References:** [1] Kumar V, Abbas AK, et al.. Robbins and Cotran Pathologic Basis of Disease. 9th ed. The Lung, pp. 723-724. [2] Cross SS. Underwood's Pathology: A Clinical Approach. 6th ed. Common Clinical Problems From Respiratory Tract Disease, pp. 336-337. [3] Cross SS. Underwood's Pathology: A Clinical Approach. 6th ed. Common Clinical Problems From Respiratory Tract Disease, pp. 337-338.
Explanation: ***Malignancy*** - **Malignant pleural effusions** can be hemorrhagic due to tumor invasion of blood vessels and increased vascular fragility [1]. - Tumors frequently metastasize to the pleura, often leading to **hemothorax** due to friable microvasculature [1]. *Congestive heart failure* - Typically causes a **transudative pleural effusion** due to increased hydrostatic pressure, which is usually serous, not bloody [1]. - While fluid overload occurs, it does not directly lead to **blood accumulation** in the pleural space. *Myxoma* - A **benign cardiac tumor** that can embolize or cause constitutional symptoms, but it does not directly cause hemothorax. - Pleural effusions associated with myxomas are generally serous and related to **cardiac dysfunction**, not hemorrhage. *Rheumatoid arthritis* - Can cause **pleural effusions** (rheumatoid pleurisy), which are typically exudative and lymphocytosis-predominant [1]. - These effusions are rarely hemorrhagic and generally do not lead to **gross blood** in the pleural space.
Get full access to all questions, explanations, and performance tracking.
Start For Free