Which of the following statements about seminomas is false?
Which of the following is not seen in testicular carcinoma?
A young male presents with a testicular mass on the right side. The AFP is elevated while the HCG is normal. The most appropriate next step is
Seminoma corresponds to
Which of the following testicular tumors is not a germ cell neoplasm?
A 2-year-old child presents with a testicular lump and elevated AFP levels. What is the most likely diagnosis?
Which of the following is the ovarian counterpart of testicular seminoma?
Which of the following is the ovarian counterpart of testicular seminoma?
Identify the condition represented in the image of a testicular tumor.

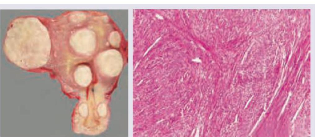
Hysterectomy specimen from a 40-year-old lady is shown along with histology slide. The diagnosis is:

Explanation: ***Schiller-Duval bodies are commonly seen*** - **Schiller-Duval bodies** are pathognomonic for **yolk sac tumors**, a different type of germ cell tumor, not seminomas [1]. - Their presence would indicate a diagnosis other than pure seminoma. *Serum HCG levels are elevated* - While most pure seminomas do not produce tumor markers, about 10-15% of seminomas have **elevated beta-HCG** due to the presence of **syncytiotrophoblast-like cells** [1]. - This elevation is typically less pronounced than in choriocarcinoma but still occurs [1]. *Spermatocytic seminomas are usually slow growing* - **Spermatocytic seminoma** is a rare subtype of seminoma that typically affects older men and is known for its **indolent, slow-growing** nature [1]. - It usually has an excellent prognosis and rarely metastasizes. *Most common type of germ cell tumor* - **Seminoma** is indeed the most common type of **testicular germ cell tumor**, accounting for approximately 50-60% of all germ cell neoplasms. - It typically affects men in their 30s and 40s. **References:** [1] Kumar V, Abbas AK, et al.. Robbins and Cotran Pathologic Basis of Disease. 9th ed. The Lower Urinary Tract and Male Genital System, pp. 979-982.
Explanation: ***Inguinal lymphadenopathy*** - **Testicular carcinoma** does NOT spread to inguinal lymph nodes under normal circumstances. - The testis has **lymphatic drainage to para-aortic/retroperitoneal lymph nodes**, bypassing the inguinal region. - **Inguinal lymphadenopathy** would only occur if there was prior inguinal surgery, scrotal skin involvement, or invasion of scrotal wall—very rare scenarios. - This is the key anatomical distinction that differentiates testicular tumor spread from scrotal pathology. *Epididymo-orchitis* - This is an **inflammatory/infectious condition** of the epididymis and testis, not a feature of testicular carcinoma. - It is an important **differential diagnosis** that can clinically mimic testicular cancer with swelling and discomfort. - While both conditions can present as a testicular mass, epididymo-orchitis is a **separate pathological entity**, not something "seen in" or caused by testicular carcinoma. - However, rarely, inflammation may coexist with an underlying tumor, making careful clinical assessment essential. *Hydrocele* - A **hydrocele** (fluid collection around the testis) can occur as a **secondary reactive phenomenon** in 10% of testicular tumors. - The presence of a hydrocele does NOT rule out underlying **testicular carcinoma**—careful palpation through the fluid and ultrasound evaluation are essential. - **New-onset hydrocele** in adults should raise suspicion for underlying testicular pathology. *Abdominal lump* - **Testicular carcinoma** frequently metastasizes to **retroperitoneal (para-aortic) lymph nodes**, which can enlarge and become palpable as an **abdominal mass**. - This is a common presentation in **advanced disease**, particularly with non-seminomatous germ cell tumors. - May be the presenting complaint in some patients before testicular symptoms are noticed.
Explanation: ***Radical Inguinal Orchidectomy*** - In a patient who already presents with a **testicular mass** and **elevated AFP** (suggesting non-seminomatous germ cell tumor), the most appropriate next step is **radical inguinal orchidectomy**. - This procedure is both **diagnostic and therapeutic**, providing tissue for histopathological confirmation while removing the primary tumor. - The standard management sequence is: clinical examination → scrotal USG → tumor markers → **orchidectomy** → staging imaging → further treatment based on histology and stage. - Since the mass is already identified and tumor markers are done, proceeding directly to orchidectomy is appropriate. *USG* - Scrotal **ultrasound** is typically the **first imaging modality** when a testicular mass is suspected or palpated. - However, in this scenario, the mass is already clinically identified and tumor markers (AFP) have been measured, suggesting that initial workup including USG has likely been completed. - USG would have been the appropriate answer if the question asked for the "first investigation" before tumor markers were done. *Biopsy* - Direct **biopsy** of a testicular mass is **contraindicated** due to the high risk of tumor cell spillage along the needle tract, which can alter staging and worsen prognosis. - Testicular cancer is diagnosed via **radical inguinal orchidectomy**, not biopsy. *Wait and Watch* - A **wait and watch** approach is inappropriate and dangerous in the presence of a **testicular mass with elevated AFP**, which strongly suggests malignancy (non-seminomatous germ cell tumor). - Delayed treatment can lead to disease progression, metastasis, and poorer outcomes.
Explanation: ***Dysgerminoma*** - **Dysgerminoma** is the ovarian equivalent of a testicular **seminoma**, both originating from **germ cells** and exhibiting similar histological features [1], [3]. - They tend to be sensitive to **radiotherapy** and **chemotherapy**, often presenting as solid, lobulated tumors. *Granulosa tumour* - **Granulosa cell tumors** are sex cord-stromal tumors, not germ cell tumors, and are characterized by **estrogen production**. - They do not share the same cellular origin or histological features with seminoma. *Choriocarcinoma* - **Choriocarcinoma** is a highly malignant germ cell tumor that differentiates towards trophoblastic tissue and produces **human chorionic gonadotropin (hCG)** [2], [5]. - While it is a type of germ cell tumor, it is distinct from seminoma/dysgerminoma due to its unique differentiation and aggressive nature [4]. *Luteal cyst* - A **luteal cyst** is a benign functional ovarian cyst that forms from the corpus luteum after ovulation, not a neoplastic germ cell tumor. - It is a physiological structure, distinct from cancerous growths like seminoma or dysgerminoma. **References:** [1] Kumar V, Abbas AK, et al.. Robbins and Cotran Pathologic Basis of Disease. 9th ed. The Endocrine System, pp. 1140-1141. [2] Kumar V, Abbas AK, et al.. Robbins and Cotran Pathologic Basis of Disease. 9th ed. The Lower Urinary Tract and Male Genital System, pp. 979-980. [3] Kumar V, Abbas AK, et al.. Robbins and Cotran Pathologic Basis of Disease. 9th ed. The Female Genital Tract, pp. 1034-1035. [4] Cross SS. Underwood's Pathology: A Clinical Approach. 6th ed. Common Clinical Problems From Diseases Of The Urinary And Male Genital Tracts, pp. 512-513. [5] Kumar V, Abbas AK, et al.. Robbins and Cotran Pathologic Basis of Disease. 9th ed. The Lower Urinary Tract and Male Genital System, pp. 980-982.
Explanation: ***Sertoli cell tumor*** - Sertoli cell tumors are classified as **sex-cord stromal tumors** [1][2], not germ cell neoplasms, and arise from **Sertoli cells** in the testis. - They are characterized by **hormonally active** properties and may lead to conditions like **gynecomastia** due to estrogen production. *Seminoma* - Seminomas are a type of **germ cell tumor** [2][3], derived from the germ cells in the testes, and typically present with **elevated AFP** and **hCG** levels. - Known for their **slow growth** and better prognosis compared to non-seminomatous germ cell tumors. *Yolk sac tumor* - Also a germ cell neoplasm [3], yolk sac tumors typically produce **alpha-fetoprotein (AFP)**, indicating their germinal origin. - Commonly occur in **younger males** and present as a **rapidly growing** tumor with a poor prognosis if not treated early. *Teratoma* - Teratomas are categorized as germ cell tumors [3] that can contain differentiated tissues and arise from **primitive germ cells**. - They are generally classified as either **mature** or **immature**, with the immature type being more aggressive and occurring primarily in **younger patients**. **References:** [1] Cross SS. Underwood's Pathology: A Clinical Approach. 6th ed. Common Clinical Problems From Diseases Of The Urinary And Male Genital Tracts, pp. 513-514. [2] Cross SS. Underwood's Pathology: A Clinical Approach. 6th ed. Common Clinical Problems From Diseases Of The Urinary And Male Genital Tracts, pp. 510-512. [3] Kumar V, Abbas AK, et al.. Robbins and Cotran Pathologic Basis of Disease. 9th ed. The Lower Urinary Tract and Male Genital System, pp. 979-980.
Explanation: ***Yolk sac tumor*** - This is the most common testicular tumor in children, especially prevalent before the age of 3, and is highly associated with **elevated alpha-fetoprotein (AFP)** levels. - Histologically, it is characterized by the presence of **Schiller-Duval bodies**, which are pathognomonic structures. *Choriocarcinoma* - This tumor is known for producing very high levels of **human chorionic gonadotropin (hCG)**, not AFP, and is rare in pure form in children. - It often metastasizes early and aggressively, typically presenting in older males. *Seminoma* - This is the most common testicular cancer in adult males, typically occurring in the third to fourth decades of life, making it highly unlikely in a 2-year-old. - Seminomas usually present with normal AFP levels, although some may have mildly elevated beta-hCG. *Teratoma* - While teratomas can occur in children, pure teratomas in prepubertal males are typically benign and usually do not cause elevated AFP, unless there are elements of other germ cell tumors such as yolk sac tumor within them. - Teratomas are characterized by the presence of tissues derived from all three germ layers.
Explanation: ***Dysgerminoma*** - **Dysgerminoma** is the **ovarian counterpart of testicular seminoma**, both originating from **primordial germ cells** and having a similar histological appearance [1], [3]. - These tumors are typically highly sensitive to **radiation therapy and chemotherapy**, and often present with elevated **lactate dehydrogenase (LDH)** [1]. *Endodermal sinus tumor* - An **endodermal sinus tumor** (yolk sac tumor) is another type of **germ cell tumor** but is characterized by **elevated alpha-fetoprotein (AFP)** and specific Schiller-Duval bodies histologically [3]. - It is not the ovarian equivalent of seminoma; its testicular counterpart is the **yolk sac tumor** of the testis [3]. *Dermoid* - A **dermoid cyst** (mature cystic teratoma) is a common **benign germ cell tumor** containing mature tissues from all three germ layers, such as hair, teeth, and sebaceous material. - It does not have a direct testicular counterpart that is referred to as "seminoma," as seminoma is a malignant germ cell tumor [3]. *Brenner's tumor* - **Brenner's tumor** is a type of **surface epithelial-stromal tumor** of the ovary, characterized by nests of transitional cell epithelium resembling bladder urothelium within a fibrous stroma. - It is not a germ cell tumor and therefore bears no resemblance or direct counterpart to testicular seminoma. **References:** [1] Kumar V, Abbas AK, et al.. Robbins and Cotran Pathologic Basis of Disease. 9th ed. The Female Genital Tract, pp. 1034-1035. [2] Kumar V, Abbas AK, et al.. Robbins and Cotran Pathologic Basis of Disease. 9th ed. The Endocrine System, pp. 1140-1141. [3] Kumar V, Abbas AK, et al.. Robbins and Cotran Pathologic Basis of Disease. 9th ed. The Lower Urinary Tract and Male Genital System, pp. 979-980.
Explanation: ***Dysgerminoma*** - **Dysgerminoma** is the most common malignant germ cell tumor of the ovary and is histologically identical to testicular **seminoma** [1]. - Both tumors arise from **primordial germ cells** and share similar morphology, including large, uniform cells with clear cytoplasm and prominent nucleoli, often arranged in nests and separated by fibrous septa with lymphocytic infiltration [1], [3]. *Dermoid* - **Dermoid cysts**, also known as mature cystic teratomas, are germ cell tumors composed of well-differentiated tissues from all three germ layers (ectoderm, mesoderm, endoderm) [2]. - They are typically benign and do not have a direct testicular counterpart that is histologically identical to seminoma. *Brenner tumor* - **Brenner tumors** are uncommon epithelial ovarian tumors characterized by nests of transitional epithelial cells resembling urothelium, separated by a fibrous stroma. - They are not germ cell tumors and do not have a testicular counterpart to seminoma. *Endodermal sinus tumor* - The **endodermal sinus tumor** (yolk sac tumor) is another type of malignant germ cell tumor of the ovary, but it is characterized by structures resembling the primitive yolk sac and the presence of **Schiller-Duval bodies**. - While it has a testicular counterpart, it is not histologically identical to seminoma; its testicular counterpart is also called a yolk sac tumor and is distinct from seminoma [3]. **References:** [1] Kumar V, Abbas AK, et al.. Robbins and Cotran Pathologic Basis of Disease. 9th ed. The Female Genital Tract, pp. 1034-1035. [2] Kumar V, Abbas AK, et al.. Robbins and Cotran Pathologic Basis of Disease. 9th ed. The Female Genital Tract, pp. 1035-1036. [3] Kumar V, Abbas AK, et al.. Robbins and Cotran Pathologic Basis of Disease. 9th ed. The Lower Urinary Tract and Male Genital System, pp. 979-980.
Explanation: ***Seminoma*** - Seminoma is a type of **germ cell tumor** that typically presents with a **painless testicular mass**, making it one of the common types of testicular cancer [1]. - This condition is characterized by the presence of **large, uniform cells** and is highly sensitive to **radiation therapy**, which aids in management [1]. *Non-seminoma* - Non-seminomas encompass a group of tumors including **embryonal carcinoma**, **choriocarcinoma**, and **yolk sac tumor**, which often present with more variable histological features [1]. - Generally considered more aggressive than seminomas, they may yield **higher levels of tumor markers** such as **AFP** or **hCG** [1]. *Teratoma* - Teratomas typically contain **multiple germ layers (ectoderm, mesoderm, and endoderm)**, often presenting with more complex histopathology compared to seminomas [1]. - They can occur in both children and adults, but in adults, they are often a component of a **non-seminomatous germ cell tumor** instead of a pure form [1,2]. *Germ cell differentiate tumor* - This term broadly refers to any tumor originating from **germ cells**, including both seminomas and non-seminomas, lacking specificity [1]. - It does not reflect the defined characteristics of seminoma and can encompass a range of histological types with diverse behaviors [1]. **References:** [1] Kumar V, Abbas AK, et al.. Robbins and Cotran Pathologic Basis of Disease. 9th ed. The Lower Urinary Tract and Male Genital System, pp. 979-982. [2] Cross SS. Underwood's Pathology: A Clinical Approach. 6th ed. Common Clinical Problems From Diseases Of The Urinary And Male Genital Tracts, pp. 512-513.
Explanation: ***Leiomyoma*** - Leiomyomas are **benign smooth muscle tumors** of the uterus, characterized by well-demarcated, whorled, and firm cut surfaces [1]. - Histologically, they show bundles of **smooth muscle cells** arranged in fascicles, with minimal atypia and low mitotic activity [1]. *Carcinoma endometrium* - Endometrial carcinoma typically presents as an **irregular, friable mass** originating from the endometrial lining, often with areas of necrosis or hemorrhage. - Histologically, it shows **glandular proliferation** with architectural complexity, nuclear atypia, and often invasion into the myometrium [2]. *Leiomyosarcoma* - Leiomyosarcomas are **malignant smooth muscle tumors** that are often poorly circumscribed, with areas of hemorrhage and necrosis [1]. - Histologically, they exhibit significant **nuclear atypia**, high mitotic activity (often >10 mitoses/10 HPF), and atypical mitoses [1]. *Endometriosis* - Endometriosis involves the presence of **endometrial glands and stroma outside the uterus**, often forming "chocolate cysts" in the ovaries or implants on peritoneal surfaces. - Histology would reveal **endometrial glands and stroma** surrounded by hemosiderin-laden macrophages, not a smooth muscle tumor. **References:** [1] Kumar V, Abbas AK, et al.. Robbins and Cotran Pathologic Basis of Disease. 9th ed. The Female Genital Tract, pp. 1024-1025. [2] Kumar V, Abbas AK, et al.. Robbins and Cotran Pathologic Basis of Disease. 9th ed. The Female Genital Tract, pp. 1020-1021.
Get full access to all questions, explanations, and performance tracking.
Start For Free