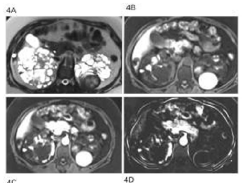
A 45-year-old patient presents with hypertension, hematuria, and flank pain. An MRI scan is performed, and the image provided shows multiple cystic lesions in both kidneys. What is the most likely diagnosis?

An 8 years old child suffering from recurrent attacks of polyuria since childhood presents to the pediatrics OPD. On examination, the child has short stature. Vitals and B.P. are normal. S. Creatinine - 6 mg/dL, HCO3 - 16 meq/L, S Na+ - 134 meq/L. On USG, bilateral small kidneys are seen. Diagnosis is:
Chromosomes associated with autosomal dominant polycystic kidney disease (ADPKD).
Baby born at 30 weeks to an 18-year-old primigravida weighing 2 kg, who died after 48 hours, with Apgar scores of 5 and 8 at 1 and 5 minutes, respectively. On autopsy, bilateral enlarged kidneys with multiple radially arranged cysts were found. Which of the following findings is expected to be associated with this?
A 40-year-old man with a known case of hypertension presented with multiple episodes of hematuria and loin pain. His elder brother passed away due to a stroke at the age of 40. What is the probable diagnosis based on the clinical presentation?

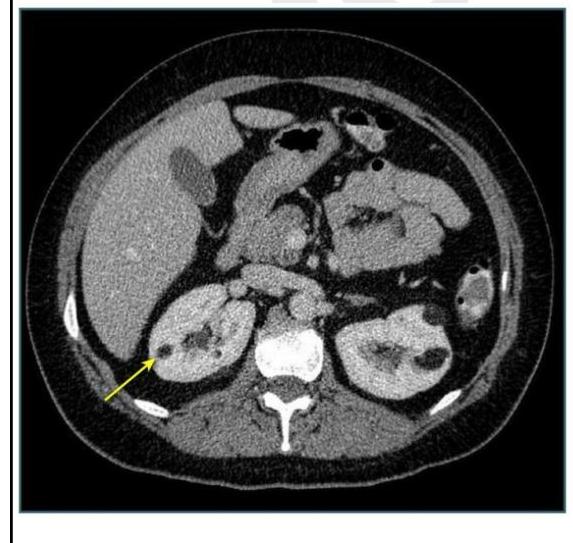
A 45-year-old patient presented with vague abdominal pain. On USG, he was found to have a renal cyst of Bosniak class III. CECT was done, as shown below. What imaging modality is shown?

All the following are features of Polycystic disease of kidneys EXCEPT:
IgA nephropathy is not associated with which of the following?
A 7 year old boy presented with generalized edema. Urine examination revealed marked albuminuria. Serum biochemical examinations showed hypoalbuminemia with hyperlipidemia. Kidney biopsy was undertaken. On light microscopic examination, the kidney appeared normal. Electron microscopic examination is most likely to reveal
Match List-I with List-II and select the correct answer using the code given below the Lists:

Explanation: ***Autosomal Dominant Polycystic Kidney Disease (ADPKD)*** - The presence of **hypertension, hematuria, and flank pain** in conjunction with an MRI showing **multiple bilateral renal cystic lesions** is highly characteristic of ADPKD. - ADPKD is a genetic disorder leading to the gradual enlargement of **cysts in both kidneys**, often accompanied by complications such as pain, bleeding into cysts, and eventually **renal failure**. *Renal cyst* - A **simple renal cyst** is typically a solitary, benign lesion and would not explain the **hypertension, hematuria, or multiple bilateral cysts** seen on imaging. - While common, a simple cyst usually causes no symptoms unless it becomes very large or ruptures. *Renal tumor* - A renal tumor, such as **renal cell carcinoma**, typically presents as a **solid mass** or a complex cystic mass, not multiple simple cysts bilaterally. - While it can cause hematuria, flank pain, and hypertension, the imaging description of **multiple cystic lesions in both kidneys** points away from a single tumor. *Chronic kidney disease with cystic degeneration* - While **chronic kidney disease (CKD)** can sometimes be associated with acquired renal cysts, especially in patients on dialysis, these cysts are typically **smaller, fewer in number**, and develop over a longer course than what is implied here. - This condition does not typically present with the extensive, bilateral cystic burden seen in ADPKD as the primary pathology. *Acquired cystic kidney disease* - **Acquired cystic kidney disease (ACKD)** typically develops in patients with **end-stage renal disease**, particularly those on **long-term dialysis**. - While it can present with bilateral renal cysts, it usually occurs in the context of **pre-existing chronic kidney disease**, and the patient would have a known history of renal dysfunction. - The clinical presentation here, with a 45-year-old presenting acutely with hypertension, hematuria, and flank pain without mention of dialysis or CKD history, favors **ADPKD** over ACKD.
Explanation: ***Nephronophthisis*** - This condition presents with **recurrent polyuria** (due to **vasopressin resistance**), **short stature**, and progressive **renal failure** (elevated creatinine and low HCO3 indicating acidosis), which are all classic features of nephronophthisis. - The finding of **bilateral small kidneys** on USG is consistent with nephronophthisis, as kidneys in this condition are typically small and echogenic due to interstitial fibrosis, despite sometimes having small cysts. *Reflux nephropathy* - While it can lead to **chronic kidney disease** and **short stature**, it is usually associated with a history of **recurrent urinary tract infections** and often presents with **renal scarring** and caliectasis, which are not mentioned. - In reflux nephropathy, the kidneys may be asymmetrical or have focal scarring, rather than uniformly small, and polyuria is not a primary symptom. *Medullary cystic kidney disease* - This condition is also characterized by **polyuria**, **renal failure**, and **small kidneys**, but it typically manifests in **adulthood**. - **Medullary cysts** are a prominent feature, but diagnosis is often later than early childhood. *Polycystic kidney disease* - **Autosomal dominant polycystic kidney disease (ADPKD)** usually presents in adulthood with **enlarged kidneys** and **hypertension**, not small kidneys and short stature in childhood. - **Autosomal recessive polycystic kidney disease (ARPKD)** presents in infancy or early childhood with **enlarged, echogenic kidneys** with macroscopic or microscopic cysts, which contradicts the finding of small kidneys in this case.
Explanation: ***4 and 16*** - **ADPKD** is primarily associated with mutations in two genes: **PKD1** on chromosome **16** and **PKD2** on chromosome **4** [1]. - Mutations in **PKD1** account for approximately 85% of cases and are associated with a more severe disease course, while mutations in **PKD2** lead to a milder phenotype [1]. *12 and 16* - While chromosome 16 is involved in ADPKD through the **PKD1** gene, chromosome 12 is not typically associated with the primary genes causing this condition. - No major genes for ADPKD have been identified on chromosome 12. *6 and 14* - Neither chromosome 6 nor chromosome 14 harbor the primary gene mutations **(PKD1 or PKD2)** responsible for autosomal dominant polycystic kidney disease. - These chromosomes are known to be associated with other genetic conditions but not ADPKD. *12 and 14* - Similar to the previous option, neither chromosome 12 nor chromosome 14 are linked to the major genetic causes of **ADPKD**. - The key genes **PKD1** and **PKD2** are specifically located on chromosomes 16 and 4, respectively.
Explanation: ***Hepatic cyst and fibrosis*** - The description of **bilateral enlarged kidneys with multiple radially arranged cysts** in a preterm infant is classic for **Autosomal Recessive Polycystic Kidney Disease (ARPKD)**. - **Hepatic cysts** and **congenital hepatic fibrosis** are highly characteristic extrarenal manifestations of ARPKD due to shared developmental origins of the kidney and liver bile ducts. - This is the most common and clinically significant association with ARPKD. *Congenital absence of ureter* - This condition is known as **renal agenesis** or **ureteral atresia**, which typically presents with absent or severely undeveloped kidneys, not enlarged cystic kidneys. - While it can lead to kidney failure, the anatomical findings described (enlarged, radially cystic kidneys) are inconsistent with a primary ureteral agenesis. *Congenital brain malformation* - While some genetic syndromes with renal involvement can have brain anomalies, **ARPKD** is not primarily associated with typical congenital brain malformations. - The primary systemic complications of ARPKD involve the **liver** and sometimes the **lungs** (due to oligohydramnios-induced pulmonary hypoplasia). *Congenital anorectal malformation* - This malformation is typically associated with various genetic syndromes or other developmental defects, but it is **not a characteristic finding** in ARPKD. - ARPKD's primary pathology is confined to the kidneys and liver. *Congenital cardiac malformation* - While cardiac anomalies are common congenital defects, they are **not specifically associated with ARPKD**. - ARPKD is primarily a disease of the kidneys and liver, with the main extrarenal manifestation being hepatic fibrosis and cysts.
Explanation: ***Autosomal dominant polycystic kidney disease*** - The patient's presentation with **pain**, **hematuria**, and **hypertension** is typical for **ADPKD**. The family history of a brother dying of a **stroke** at a young age suggests a genetic predisposition to vascular abnormalities, common in ADPKD. - **Cerebral aneurysms**, which can lead to stroke, are a known extranal manifestation of ADPKD, and early onset stroke in a sibling strengthens the diagnosis despite it not being the defining feature of ADPKD itself. *Renal cell carcinoma* - While **hematuria**, **loin pain**, and **hypertension** can be symptoms of renal cell carcinoma, the bilateral nature of the cysts seen in the image and the family history of **early stroke** make ADPKD a more probable diagnosis. - Renal cell carcinoma usually presents as a **unilateral** solid mass, not diffuse cystic changes in both kidneys. *Tuberculosis of the kidney* - Renal tuberculosis would present with symptoms like sterile pyuria, dysuria, and flank pain, but less commonly with the dramatic cystic changes and family history of stroke seen here. - The imaging would typically show cavitary lesions or hydronephrosis rather than widespread bilateral cysts. *Autosomal recessive polycystic kidney disease* - **ARPKD** typically presents in **infancy or childhood** with severe renal failure and liver involvement. - The patient's age (40 years) makes ARPKD highly unlikely, as individuals with this condition rarely survive into adulthood without significant medical intervention.
Explanation: ***CT scan*** - The image provided is an **axial view** showing internal organs with different densities, characteristic of a **Computed Tomography (CT) scan**. - A CT scan uses X-rays and computer processing to create detailed cross-sectional images of the body. *Contrast Dye study* - A contrast dye study typically refers to the **administration of a contrast agent** to enhance visibility of structures in imaging, it is not an imaging modality itself but an adjunct. - While a CECT (Contrast-Enhanced CT) was mentioned in the clinical scenario, "Contrast Dye study" alone doesn't describe the image type. *Angiography* - **Angiography** is a specialized imaging technique used to visualize blood vessels, typically involving the injection of contrast media. - The image provided shows **parenchymal structures** like the liver and kidneys, not just blood vessels, making angiography an unlikely description. *X-ray* - A general **X-ray** (radiograph) produces a 2D projection of internal structures and does not provide the detailed cross-sectional view seen in this image. - X-rays are typically less sensitive for soft tissue differentiation compared to a CT scan.
Explanation: ***Erythrocytosis*** - While other renal conditions like **renal cell carcinoma** can cause erythrocytosis due to increased **erythropoietin** production, it is generally **not a typical feature** of Polycystic Kidney Disease (PKD). - Patients with PKD usually have **normal or even low erythropoietin levels** despite compromised kidney function, and anemia is more common, particularly as **renal failure progresses**. *Renal failure* - **Progressive cyst growth** leads to replacement of normal kidney parenchyma, inevitably culminating in **end-stage renal disease** [1] in the majority of patients. - This is a hallmark feature, often necessitating **dialysis or transplant** later in life for individuals with autosomal dominant polycystic kidney disease (ADPKD) [2]. *Haematuria* - **Gross or microscopic hematuria** is a common symptom in PKD, often resulting from **cyst rupture** [1], bleeding into a cyst, or the passage of a calculus due to urinary stasis. - It can be a presenting symptom and can cause significant pain and anxiety for patients. *Hypertension* - **Hypertension** is an early and frequent complication of PKD, often preceding any significant decline in glomerular filtration rate. - It is primarily caused by activation of the **renin-angiotensin-aldosterone system (RAAS)** [3] due to arterial compression and ischemia from expanding cysts. **References:** [1] Kumar V, Abbas AK, et al.. Robbins and Cotran Pathologic Basis of Disease. 9th ed. The Kidney, pp. 951-955. [2] Cross SS. Underwood's Pathology: A Clinical Approach. 6th ed. Common Clinical Problems From Diseases Of The Urinary And Male Genital Tracts, pp. 544-545. [3] Cross SS. Underwood's Pathology: A Clinical Approach. 6th ed. Common Clinical Problems From Diseases Of The Urinary And Male Genital Tracts, pp. 520-521.
Explanation: ***Decreased complement level*** - IgA nephropathy is typically associated with **normal serum complement levels** (C3 and C4), which is an important distinguishing feature. - Unlike post-streptococcal glomerulonephritis or lupus nephritis where complement levels are **low/decreased**, IgA nephropathy does not cause systemic complement consumption. - While complement activation does occur locally in the glomerulus (via lectin and alternative pathways), it does not lead to a decrease in serum complement levels. *Focal mesangial proliferation* - This is a **common histological finding** in IgA nephropathy, reflecting the proliferative response to IgA deposition in the mesangium. - The mesangial cells proliferate in an attempt to clear the immune deposits. *Gross hematuria concurrent with upper respiratory infection* - This is a **classic clinical presentation** of IgA nephropathy, often referred to as **synpharyngitic hematuria**. - The episode of gross hematuria typically occurs **within 1-2 days** of the onset of an upper respiratory tract infection, distinguishing it from post-streptococcal glomerulonephritis where hematuria appears 1-3 weeks later. *Immunofluorescence deposits contain IgA and IgG* - The defining feature of IgA nephropathy on immunofluorescence is the **predominant deposition of IgA**, often accompanied by C3. - While IgA is the primary immunoglobulin, **IgG and IgM can also be present** in variable amounts, but IgA must be the dominant or co-dominant immunoglobulin for the diagnosis.
Explanation: ***Fusion of foot processes of the glomerular epithelial cells*** - The clinical presentation of generalized edema, marked albuminuria, hypoalbuminemia, and hyperlipidemia in a young child strongly indicates **minimal change disease** (MCD), which is the most common cause of **nephrotic syndrome** in children [1]. - While light microscopy is normal in MCD, electron microscopy characteristically reveals **effacement or fusion of the foot processes** of the podocytes, which leads to increased glomerular permeability to proteins [1]. *Rarefaction of glomerular basement membrane* - **Rarefaction** or thinning of the glomerular basement membrane is associated with **Alport syndrome** or diseases causing basement membrane injury, which typically present with progressive kidney disease and hematuria. - This finding is not characteristic of minimal change disease or the nephrotic syndrome described. *Deposition of electron dense material in the basement membrane* - The deposition of **electron-dense material** within the glomerular basement membrane is characteristic of immune complex-mediated diseases like **membranoproliferative glomerulonephritis** (MPGN) or **post-infectious glomerulonephritis**. - These conditions often present with hematuria and are not typically associated with normal light microscopy in the context of nephrotic syndrome. *Thin basement membrane* - A **thin basement membrane** is a defining feature of **thin basement membrane disease** (also known as benign familial hematuria). - This condition is primarily associated with **microscopic hematuria** and does not typically cause nephrotic range proteinuria or generalized edema. **References:** [1] Kumar V, Abbas AK, et al.. Robbins and Cotran Pathologic Basis of Disease. 9th ed. The Kidney, pp. 922-923.
Explanation: ***A→4 B→3 C→2 D→1*** - A **hamartoma** is a benign, focal malformation resembling a neoplasm, composed of mature cells and tissues normally found in the organ from which it arises, but growing in a disorganized mass. A **lymphatic cyst** (or lymphangioma/cystic hygroma), though often confused with a true neoplasm, is a congenital malformation of the lymphatic system, a type of hamartoma [1]. - **Polycystic kidney disease** is characterized by the formation of numerous cysts in the kidneys. One of the theories for its pathogenesis involves the failure of connections between collecting tubules and nephrons during renal development, leading to isolated segments that dilate to form cysts [2], [3]. - The **urachus** is an embryonic remnant of the allantois, connecting the fetal bladder to the umbilicus. If the urachus fails to involute completely after birth, it can persist as a patent or partially patent structure, leading to various **urachal anomalies**, including urachal cysts. - **Duplication** can lead to the formation of an **enterogenous cyst**, which is a congenital cyst lined by typical gastrointestinal mucosa. These cysts arise from developmental errors during embryogenesis where portions of the primitive gut tube become duplicated or sequestered. *A→3 B→4 C→1 D→2* - This option incorrectly associates hamartoma with polycystic kidney and duplication with urachal cysts. - **Polycystic kidney** is primarily due to defects in tubular connections, not hamartomas, and **urachal cysts** are remnants of vestigial structures, not duplications. *A→3 B→1 C→4 D→2* - This option incorrectly associates hamartoma with polycystic kidney and persistence of normal vestigial remnants with lymphatic cyst. - **Polycystic kidney** is not a hamartoma, and **lymphatic cysts** are not typical vestigial remnants but rather developmental malformations of the lymphatic system [1]. *A→2 B→4 C→1 D→3* - This option incorrectly associates hamartoma with urachal cysts and persistence of normal vestigial remnants with enterogenous cysts. - **Urachal cysts** are vestigial remnants, not hamartomas. **Enterogenous cysts** are a result of duplication, not persistence of normal vestigial remnants. **References:** [1] Kumar V, Abbas AK, et al.. Robbins and Cotran Pathologic Basis of Disease. 9th ed. Diseases of Infancy and Childhood, pp. 481-482. [2] Cross SS. Underwood's Pathology: A Clinical Approach. 6th ed. Common Clinical Problems From Diseases Of The Urinary And Male Genital Tracts, pp. 544-545. [3] Kumar V, Abbas AK, et al.. Robbins and Cotran Pathologic Basis of Disease. 9th ed. The Kidney, pp. 951-952.
Get full access to all questions, explanations, and performance tracking.
Start For Free