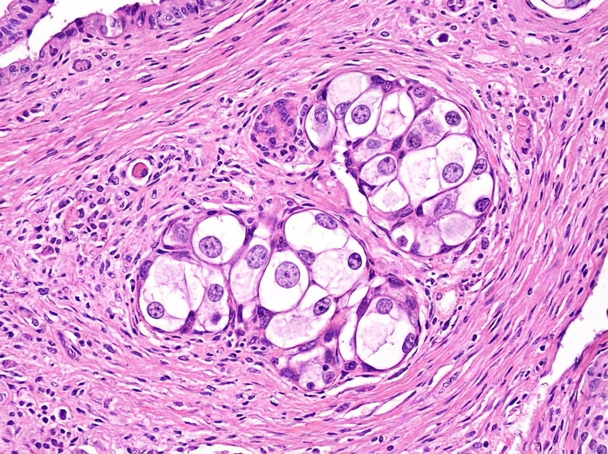
Most commonly, this tumor is due to carcinoma of which of the following organs?

Which of the following describes cells that are abnormal in appearance and may become premalignant?
What is the most common malignant neoplasm of infancy?
Which of the following tumours produces a marked elevation of Alpha fetoprotein?
Psammoma bodies are seen in all except?
Sarcoma botryoides is a type of?
Verrucous carcinoma is an:
What is the paraneoplastic syndrome associated with Hodgkin's disease?
Colon carcinoma is associated with all the following except:
Multiple cutaneous sebaceous adenomas are seen in which of the following conditions?
Explanation: ***Stomach*** - **Gastric adenocarcinoma** with **signet ring cells** is the most common primary source of **Krukenberg tumor**, accounting for 70-80% of cases. - The tumor characteristically shows **bilateral ovarian involvement** with **mucin-filled signet ring cells** and **cellular ovarian stroma**. *Breast* - While **breast carcinoma** can metastasize to the ovaries, it represents only 5-10% of **Krukenberg tumors**. - Breast metastases typically show **ductal or lobular patterns** rather than the classic **signet ring cell morphology**. *Colon* - **Colorectal adenocarcinoma** accounts for approximately 10-15% of ovarian metastases but rarely forms **Krukenberg tumors**. - Colonic metastases usually maintain **glandular architecture** without the characteristic **signet ring cell appearance**. *Uterus* - **Uterine carcinoma** rarely metastasizes to the ovaries and is not associated with **Krukenberg tumor formation**. - Uterine tumors typically spread by **direct extension** or **lymphatic spread** rather than **transcoelomic metastasis**.
Explanation: **Explanation:** **Dysplasia** is the correct answer as it refers to disordered growth and maturation of an epithelium [1]. It is characterized by a loss of architectural uniformity and cellular orientation. Dysplastic cells exhibit increased nuclear-to-cytoplasmic (N/C) ratio, hyperchromasia, and increased mitotic figures. Crucially, dysplasia is considered a **pre-malignant** condition; while it does not always progress to cancer and can be reversible if the stimulus is removed, it often precedes invasive carcinoma (Carcinoma in situ) [1][2]. **Analysis of Incorrect Options:** * **Aplasia:** Refers to the failure of an organ or tissue to develop or function. It is a developmental defect (e.g., Bone marrow aplasia), not a premalignant cellular change. * **Karyomegaly:** Simply means an enlarged nucleus. While seen in malignancy, it is a morphological feature rather than a clinical state of premalignancy. It can also occur in non-neoplastic conditions like viral infections or radiation. * **Pleomorphism:** This term describes variation in the size and shape of cells and their nuclei. While pleomorphism is a hallmark of both dysplasia and neoplasia (anaplasia), it is a descriptive morphological feature, not a clinical diagnosis of a premalignant state. **High-Yield Clinical Pearls for NEET-PG:** * **Reversibility:** Unlike neoplasia, mild to moderate dysplasia is potentially **reversible** if the inciting stimulus (e.g., smoking, chronic irritation) is removed [1]. * **Carcinoma in situ (CIS):** When dysplastic changes involve the full thickness of the epithelium but do not breach the basement membrane, it is termed CIS [1]. * **Grading:** Dysplasia is often graded as Low Grade (LSIL) or High Grade (HSIL), particularly in the cervix (CIN system), which dictates clinical management [2]. **References:** [1] Cross SS. Underwood's Pathology: A Clinical Approach. 6th ed. (Basic Pathology) introduces the student to key general principles of pathology, both as a medical science and as a clinical activity with a vital role in patient care. Part 2 (Disease Mechanisms) provides fundamental knowledge about the cellular and molecular processes involved in diseases, providing the rationale for their treatment. Part 3 (Systematic Pathology) deals in detail with specific diseases, with emphasis on the clinically important aspects., pp. 209-211. [2] Cross SS. Underwood's Pathology: A Clinical Approach. 6th ed. (Basic Pathology) introduces the student to key general principles of pathology, both as a medical science and as a clinical activity with a vital role in patient care. Part 2 (Disease Mechanisms) provides fundamental knowledge about the cellular and molecular processes involved in diseases, providing the rationale for their treatment. Part 3 (Systematic Pathology) deals in detail with specific diseases, with emphasis on the clinically important aspects., pp. 222-223.
Explanation: **Explanation:** **Neuroblastoma** is the most common extracranial solid malignant tumor of childhood and the **most common malignancy of infancy** (children under 1 year of age) [2]. It originates from primordial neural crest cells of the sympathetic nervous system, most commonly occurring in the adrenal medulla or the sympathetic chain [2], [3]. **Why the other options are incorrect:** * **Malignant Teratoma:** While teratomas are the most common germ cell tumors in neonates (specifically Sacrococcygeal teratomas), the majority are benign at birth [2]. * **Wilms’ Tumor (Nephroblastoma):** This is the most common primary renal tumor in children, but its peak incidence is between **2 to 5 years** of age, making it less common than neuroblastoma in the first year of life [1]. * **Hepatoblastoma:** This is the most common liver tumor in children, but its overall incidence is significantly lower than that of neuroblastoma [1]. **High-Yield Clinical Pearls for NEET-PG:** * **Genetic Marker:** Amplification of the **N-myc (MYCN)** oncogene is the most important prognostic factor (indicates poor prognosis) [5]. * **Diagnosis:** Characterized by elevated urinary catecholamine metabolites (**VMA and HVA**) [4]. * **Histopathology:** Shows **Homer-Wright rosettes** (cells arranged around a central fibrillar space). * **Clinical Sign:** Often presents as a firm, irregular abdominal mass that **crosses the midline** (unlike Wilms’ tumor, which usually does not cross the midline). * **Blueberry Muffin Baby:** This term refers to cutaneous metastases of neuroblastoma (or congenital infections) seen in infants [4]. **References:** [1] Cross SS. Underwood's Pathology: A Clinical Approach. 6th ed. (Basic Pathology) introduces the student to key general principles... Part 3 (Systematic Pathology), pp. 211-212. [2] Kumar V, Abbas AK, et al.. Robbins and Cotran Pathologic Basis of Disease. 9th ed. Diseases of Infancy and Childhood, pp. 483-484. [3] Cross SS. Underwood's Pathology: A Clinical Approach. 6th ed. Common Clinical Problems From Liver And Biliary System Disease, pp. 419-420. [4] Kumar V, Abbas AK, et al.. Robbins and Cotran Pathologic Basis of Disease. 9th ed. Diseases of Infancy and Childhood, p. 486. [5] Kumar V, Abbas AK, et al.. Robbins and Cotran Pathologic Basis of Disease. 9th ed. Diseases of Infancy and Childhood, pp. 486-487.
Explanation: **Explanation:** **Alpha-fetoprotein (AFP)** is a glycoprotein normally synthesized by the fetal liver and yolk sac. In adult pathology, it serves as a highly specific tumor marker for two primary conditions: **Hepatocellular Carcinoma (HCC)** and **Yolk Sac Tumors** (Endodermal Sinus Tumors) [1]. A marked elevation (often >500 ng/mL) is diagnostic of these malignancies in the appropriate clinical context [1]. **Analysis of Options:** * **Placental Alkaline Phosphatase (PLAP):** This is a characteristic marker for **Seminoma** (in males) and **Dysgerminoma** (in females). While useful for diagnosis, it does not correlate with AFP production. * **Human Placental Lactogen (hPL):** This is primarily produced by syncytiotrophoblasts. It is a marker for **Placental Site Trophoblastic Tumors (PSTT)**, not yolk sac-derived tumors. * **CA 125:** This is the classic marker for **Serous Cystadenocarcinoma of the ovary**. It is used for monitoring treatment response rather than primary diagnosis, as it can be elevated in various inflammatory peritoneal conditions. **High-Yield Clinical Pearls for NEET-PG:** * **Yolk Sac Tumor:** Look for **Schiller-Duval bodies** (glomeruloid structures) on histology; AFP is the definitive marker. * **Hepatocellular Carcinoma:** AFP levels correlate with tumor size; however, 20% of HCC cases may be AFP-negative [1]. * **Neural Tube Defects:** AFP is also elevated in maternal serum during pregnancy if the fetus has anencephaly or spina bifida. * **Triple Marker Test:** AFP is *decreased* in Down Syndrome (Trisomy 21). **References:** [1] Cross SS. Underwood's Pathology: A Clinical Approach. 6th ed. Common Clinical Problems From Liver And Biliary System Disease, pp. 398-400.
Explanation: **Explanation:** Psammoma bodies are characteristic microscopic findings consisting of **concentric, laminated calcified structures** [1]. They represent a form of **dystrophic calcification** occurring in areas of single-cell necrosis within papillary or whorled structures [1]. **1. Why Seminoma is the correct answer:** Seminoma is a germ cell tumor of the testis that typically presents with a "fried-egg" appearance (clear cytoplasm and central nuclei) and fibrous septae infiltrated with lymphocytes. It **does not** form papillary structures or psammoma bodies. Instead, if calcification occurs in the testis, it is usually diffuse (microlithiasis) rather than in the form of psammoma bodies. **2. Why the other options are incorrect:** * **Meningioma:** Specifically the psammomatous variant, these tumors exhibit characteristic whorled patterns of arachnoidal cells that undergo central necrosis and calcification. * **Papillary Carcinoma of the Thyroid:** This is the most common thyroid cancer [2]. Psammoma bodies are found in the cores of the papillae and are a high-yield diagnostic feature [2]. * **Papillary Serous Cystadenocarcinoma of the Ovary:** These tumors frequently show extensive psammoma body formation within the papillary fronds. **NEET-PG High-Yield Pearls:** To remember the common tumors associated with Psammoma bodies, use the mnemonic **"PSaMMoma"**: * **P:** **P**apillary CA of thyroid [2], **P**rolactinoma (rarely). * **S:** **S**erous cystadenocarcinoma of ovary, **S**omatostatinoma. * **M:** **M**eningioma, **M**esothelioma. * **M:** **M**embrane (Endometrial adenocarcinoma - specifically the serous type). *Note: Psammoma bodies are rare in follicular or medullary thyroid carcinoma; their presence strongly points toward the Papillary subtype [2].* **References:** [1] Cross SS. Underwood's Pathology: A Clinical Approach. 6th ed. (Basic Pathology) introduces the student to key general principles of pathology, both as a medical science and as a clinical activity with a vital role in patient care. Part 2 (Disease Mechanisms) provides fundamental knowledge about the cellular and molecular processes involved in diseases, providing the rationale for their treatment. Part 3 (Systematic Pathology) deals in detail with specific diseases, with emphasis on the clinically important aspects., pp. 134-135. [2] Kumar V, Abbas AK, et al.. Robbins and Cotran Pathologic Basis of Disease. 9th ed. The Endocrine System, p. 1099.
Explanation: ### Explanation **Correct Answer: B. Rhabdomyosarcoma** **Sarcoma botryoides** (also known as Embryonal Rhabdomyosarcoma - Botryoid variant) is a malignant tumor derived from primitive skeletal muscle cells (rhabdomyoblasts) [1]. The term "botryoides" is derived from the Greek word *botrys*, meaning "a cluster of grapes," which describes its characteristic macroscopic appearance [1]. It typically presents as soft, polypoid, friable masses protruding from mucosal-lined passages [2]. * **Mechanism:** It arises in hollow, mucosal-lined structures. In children, it is most commonly found in the **vagina** (infants/toddlers), **urinary bladder**, and sometimes the biliary tract [1]. * **Histopathology:** A hallmark feature is the **Cambium layer**, a dense zone of undifferentiated tumor cells situated immediately beneath the intact surface epithelium. **Why incorrect options are wrong:** * **A. Rhabdomyoma:** This is a rare *benign* tumor of skeletal muscle [3]. While it shares the same cell of origin, it does not exhibit the "grape-like" growth or the malignancy associated with Sarcoma botryoides. * **C. Lymphangioma:** This is a benign malformation of the lymphatic system (e.g., cystic hygroma), unrelated to skeletal muscle precursors [3]. * **D. Leiomyoma:** This is a benign tumor of *smooth muscle*, most commonly found in the uterus (fibroids). Sarcoma botryoides specifically involves striated (skeletal) muscle precursors. **High-Yield Clinical Pearls for NEET-PG:** * **Most common site:** Vagina in girls < 5 years old; Bladder in boys. * **Classic Presentation:** "Grape-like" mass protruding from the vagina in an infant [1]. * **Microscopic Marker:** Presence of **Desmin** and **Myogenin** (immunohistochemistry markers for skeletal muscle) [2]. * **Cytogenetics:** Embryonal rhabdomyosarcomas often show a loss of heterozygosity at 11p15.5. **References:** [1] Kumar V, Abbas AK, et al.. Robbins and Cotran Pathologic Basis of Disease. 9th ed. The Female Genital Tract, pp. 1004-1005. [2] Kumar V, Abbas AK, et al.. Robbins and Cotran Pathologic Basis of Disease. 9th ed. Bones, Joints, and Soft Tissue Tumors, pp. 1224-1225. [3] Kumar V, Abbas AK, et al.. Robbins and Cotran Pathologic Basis of Disease. 9th ed. Diseases of Infancy and Childhood, pp. 481-482.
Explanation: **Explanation:** **Verrucous carcinoma** is a distinct, low-grade variant of squamous cell carcinoma (SCC). The correct answer is **Option A** because this tumor is characterized by its **extremely well-differentiated** nature. Histologically, it consists of mature squamous epithelium with minimal cytologic atypia, lacking the nuclear pleomorphism and high mitotic figures seen in classic SCC. * **Why Option A is correct:** It grows as a slow-growing, exophytic, "wart-like" mass. While it is locally aggressive and can invade deep into underlying tissues (pushing border), it rarely metastasizes. * **Why Option B is incorrect:** Poorly differentiated SCC shows significant cellular atypia, frequent mitoses, and high metastatic potential, which is the exact opposite of the indolent nature of verrucous carcinoma. * **Why Option C is incorrect:** While it resembles a condyloma (wart) macroscopically, a condyloma is a benign lesion caused by HPV [1]. Verrucous carcinoma is a true malignancy, though some cases (especially in the anogenital region) are associated with HPV types 6 and 11. * **Why Option D is incorrect:** Adenocarcinoma arises from glandular epithelium. Verrucous carcinoma arises strictly from squamous epithelium. **High-Yield Pearls for NEET-PG:** * **Common Sites:** Oral cavity (often associated with smokeless tobacco/betel nut chewing—called **Ackerman’s tumor**), glans penis (Buschke-Löwenstein tumor), and the sole of the foot (Epithelioma cuniculatum). * **Morphology:** Characterized by a "shaggy," cauliflower-like appearance and a **"pushing" rather than "infiltrating" margin** of invasion. * **Clinical Note:** Biopsies must be deep; superficial biopsies often mistake it for simple hyperplasia or a benign wart due to the lack of cellular atypia [1]. **References:** [1] Kumar V, Abbas AK, et al.. Robbins and Cotran Pathologic Basis of Disease. 9th ed. The Female Genital Tract, pp. 1000-1002.
Explanation: **Explanation:** **Paraneoplastic Cerebellar Degeneration (PCD)** is a well-recognized neurological paraneoplastic syndrome associated with **Hodgkin’s Lymphoma**. The underlying mechanism is **immune-mediated**; the body produces "onconeural" antibodies (specifically **anti-Tr antibodies**) that cross-react with the Purkinje cells of the cerebellum. This leads to progressive ataxia, dysarthria, and nystagmus, often preceding the diagnosis of the lymphoma itself. **Analysis of Incorrect Options:** * **A. Nephrotic Syndrome:** While Hodgkin’s Lymphoma is classically associated with **Minimal Change Disease (MCD)**, it is considered a renal complication rather than the primary neurological paraneoplastic hallmark tested in this context. * **B. Retinopathy:** Cancer-associated retinopathy (CAR) is most commonly linked to **Small Cell Lung Cancer (SCLC)**, mediated by anti-recoverin antibodies. * **D. Acanthosis Nigricans:** This is a cutaneous paraneoplastic marker most strongly associated with **Gastrointestinal Adenocarcinomas** (especially Gastric Cancer), not lymphomas. **High-Yield Clinical Pearls for NEET-PG:** * **Hodgkin’s Lymphoma:** Associated with **Anti-Tr** antibodies (Cerebellar Degeneration) and **Minimal Change Disease** [1]. * **Small Cell Lung Cancer:** The "king" of paraneoplastic syndromes—associated with **SIADH, ACTH (Cushing’s), Lambert-Eaton Syndrome**, and **Anti-Hu** (Encephalomyelitis). * **Thymoma:** Classically associated with **Myasthenia Gravis**, Pure Red Cell Aplasia, and Hypogammaglobulinemia (Good Syndrome). * **Breast/Ovarian Cancer:** Associated with **Anti-Yo** antibodies causing cerebellar ataxia. **References:** [1] Cross SS. Underwood's Pathology: A Clinical Approach. 6th ed. Common Clinical Problems From Diseases Of The Urinary And Male Genital Tracts, pp. 556-557.
Explanation: ### Explanation The correct answer is **A. Rb**. **1. Why Rb is the correct answer:** The **Retinoblastoma (Rb) gene** is a tumor suppressor gene located on chromosome 13q14 [1]. While it is the "master switch" of the cell cycle, its mutations are classically associated with **Retinoblastoma** and **Osteosarcoma**. It is not a primary driver or a characteristic component of the established molecular pathways of colorectal carcinogenesis. **2. Why the other options are incorrect:** Colorectal cancer (CRC) typically develops through two distinct genetic pathways, both of which involve the other options: * **APC (Option C) and β-catenin (Option D):** These are part of the **Adenoma-Carcinoma Sequence** (Chromosomal Instability Pathway) [3]. The *APC* gene is a negative regulator of β-catenin. Loss of *APC* leads to the accumulation of β-catenin, which translocates to the nucleus and activates genes promoting cell proliferation [2]. This pathway accounts for ~80% of sporadic CRCs and is the hallmark of Familial Adenomatous Polyposis (FAP). * **Mismatch Repair (MMR) Genes (Option B):** These are involved in the **Microsatellite Instability (MSI) Pathway**. Mutations in genes like *MLH1* and *MSH2* lead to the accumulation of errors in repetitive DNA sequences. This pathway is characteristic of **Lynch Syndrome** (HNPCC) and about 15% of sporadic cases. **3. Clinical Pearls for NEET-PG:** * **APC Mutation:** Usually the "first hit" or earliest event in the classic adenoma-carcinoma sequence. * **DCC Gene:** (Deleted in Colon Cancer) is another high-yield gene associated with the late stages of colon cancer progression. * **K-RAS Mutation:** Follows *APC* loss and leads to the formation of a polyp (adenoma) [3]. * **p53 Mutation:** Often the final step leading to the transformation of an adenoma into a carcinoma. **References:** [1] Kumar V, Abbas AK, et al.. Robbins and Cotran Pathologic Basis of Disease. 9th ed. Neoplasia, pp. 298-300. [2] Kumar V, Abbas AK, et al.. Robbins and Cotran Pathologic Basis of Disease. 9th ed. Neoplasia, pp. 304-305. [3] Kumar V, Abbas AK, et al.. Robbins and Cotran Pathologic Basis of Disease. 9th ed. The Gastrointestinal Tract, p. 819.
Explanation: ### Explanation **Muir-Torre syndrome** is a phenotypic variant of **Lynch syndrome** (Hereditary Non-Polyposis Colorectal Cancer - HNPCC). It is characterized by the association of at least one **sebaceous gland tumor** (sebaceous adenoma, sebaceous carcinoma, or sebaceous epithelioma) and at least one internal malignancy (most commonly colorectal or genitourinary cancers) [1]. The underlying pathophysiology involves germline mutations in **DNA mismatch repair (MMR) genes**, most frequently **MSH2** (90%) and MLH1 [1]. #### Analysis of Options: * **Gardner’s Syndrome (Option A):** A variant of Familial Adenomatous Polyposis (FAP) characterized by intestinal polyps plus extraintestinal manifestations like **osteomas** (mandible), **epidermoid cysts**, and **desmoid tumors**. It is not typically associated with sebaceous adenomas. * **Turcot’s Syndrome (Option B):** Characterized by the association of intestinal polyposis with **Central Nervous System (CNS) tumors**. Specifically, FAP with Medulloblastoma or Lynch syndrome with Glioblastoma multiforme. * **Cowden Syndrome (Option C):** Part of the PTEN hamartoma tumor syndrome. It presents with multiple **trichilemmomas** (hair follicle tumors), oral papillomas, and an increased risk of breast, thyroid, and endometrial cancers. #### NEET-PG High-Yield Pearls: * **Muir-Torre Syndrome:** Think "Sebaceous tumors + Internal malignancy + MSH2 mutation." * **Sebaceous Adenoma:** This is the most specific cutaneous marker for Muir-Torre syndrome. * **Microsatellite Instability (MSI):** These patients exhibit MSI due to defective MMR genes [1]. * **Screening:** Patients presenting with a sebaceous adenoma should be screened for internal malignancies via colonoscopy and imaging. **References:** [1] Kumar V, Abbas AK, et al.. Robbins and Cotran Pathologic Basis of Disease. 9th ed. The Gastrointestinal Tract, p. 817.
Nomenclature and Classification of Tumors
Practice Questions
Characteristics of Benign and Malignant Neoplasms
Practice Questions
Molecular Basis of Cancer
Practice Questions
Carcinogenesis and Carcinogens
Practice Questions
Tumor Progression and Metastasis
Practice Questions
Tumor Markers
Practice Questions
Paraneoplastic Syndromes
Practice Questions
Genetic Basis of Cancer
Practice Questions
Tumor Immunity
Practice Questions
Cancer Epidemiology and Prevention
Practice Questions
Get full access to all questions, explanations, and performance tracking.
Start For Free