Which syndrome represents a subset of Carney complex?
How will you differentiate a mediastinal mass being a thymoma or acute lymphoblastic leukemia?
Invasive carcinoma differs from carcinoma in situ by:
Which of the following is the most characteristic ultrastructural feature of paraganglioma on electron microscopy?
Which of the following is a tumor marker?
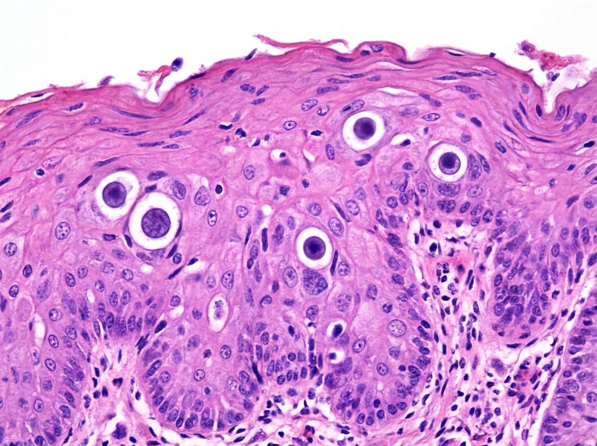
The lesion shown below is caused by:

The RET proto-oncogene is associated with which carcinoma?
Which of the following is not a benign neoplasm?
What are the characteristic features of a pleomorphic adenoma?
N-MYC amplification is associated with which tumor?
Explanation: **Explanation:** **Carney Complex** is an autosomal dominant familial multiple neoplasia syndrome characterized by cardiac and cutaneous myxomas, spotty skin pigmentation (lentigines), and endocrine overactivity. It is primarily caused by mutations in the **PRKAR1A gene** (Protein Kinase A type 1-alpha regulatory subunit) [1]. **Why Option A is Correct:** **NAME syndrome** (Nevi, Atrial myxoma, Myxoid neurofibroma, and Ephelides) and **LAMB syndrome** (Lentigines, Atrial myxoma, Mucocutaneous myxomas, and Blue nevi) are historical acronyms that describe the clinical subsets of Carney complex. They represent the same genetic entity with varying phenotypic expressions of myxomatous and pigmented lesions. **Why Other Options are Incorrect:** * **B. LEOPARD Syndrome:** Now known as Noonan syndrome with multiple lentigines, it is caused by PTPN11 mutations. While it features lentigines, it is associated with hypertrophic cardiomyopathy and deafness, not myxomas. * **C. MERRF Syndrome:** A mitochondrial disorder (Myoclonic Epilepsy with Ragged Red Fibers) characterized by myoclonus, ataxia, and seizures. * **D. Wilkie’s Syndrome:** Also known as Superior Mesenteric Artery (SMA) syndrome, it involves compression of the third part of the duodenum by the SMA. **High-Yield Clinical Pearls for NEET-PG:** * **Carney Complex vs. Carney Triad:** Do not confuse them. **Carney Triad** is non-hereditary and includes GIST, Pulmonary Chondroma, and Paraganglioma. * **Endocrine involvement:** The most common endocrine manifestation in Carney Complex is **PPNAD** (Primary Pigmented Nodular Adrenocortical Disease), leading to ACTH-independent Cushing syndrome [1]. * **Psammomatous Melanotic Schwannoma:** A highly specific tumor associated with this complex. **References:** [1] Kumar V, Abbas AK, et al.. Robbins and Cotran Pathologic Basis of Disease. 9th ed. The Endocrine System, pp. 1126-1127.
Explanation: ### Explanation The differentiation between a **Thymoma** and **T-cell Acute Lymphoblastic Leukemia/Lymphoma (T-ALL/LBL)** is a classic pathology challenge because both present as anterior mediastinal masses and contain a dense population of immature T-lymphocytes (thymocytes) [1]. **1. Why Cytokeratin is the Correct Answer:** * **Thymoma** is a neoplasm of the **thymic epithelial cells**. While it is often infiltrated by non-neoplastic T-cells, the diagnostic hallmark is the network of epithelial cells [1]. **Cytokeratin** is an intermediate filament specific to epithelial cells. Therefore, immunohistochemistry (IHC) for Cytokeratin will highlight the neoplastic epithelial meshwork in a thymoma, whereas it will be completely **negative** in T-ALL/LBL. **2. Why Other Options are Incorrect:** * **CD1a, CD3, and TdT:** These are all markers of **T-cell lineage and immaturity**. * **TdT** (Terminal deoxynucleotidyl transferase) is a marker for lymphoblasts. * **CD1a** is expressed by cortical thymocytes [2]. * **CD3** is a pan-T cell marker. * Because both Thymoma (due to the reactive background) and T-ALL (due to the malignant cells) are rich in immature T-cells, these three markers will be **positive in both conditions**, making them useless for differentiation. **3. NEET-PG High-Yield Pearls:** * **Thymoma Associations:** Most common anterior mediastinal mass [1]; strongly associated with **Myasthenia Gravis** (pure red cell aplasia and hypogammaglobulinemia are other associations) [2]. * **T-ALL Presentation:** Typically seen in adolescent males as a rapidly enlarging mediastinal mass with pleural effusion [1] (the "Starry Sky" appearance may be seen, though more classic in Burkitt’s). * **IHC Rule:** Always look for the **neoplastic component**. In thymoma, the epithelium is neoplastic; in lymphoma, the lymphocytes are neoplastic. Cytokeratin = Epithelium. **References:** [1] Kumar V, Abbas AK, et al.. Robbins and Cotran Pathologic Basis of Disease. 9th ed. Diseases of White Blood Cells, Lymph Nodes, Spleen, and Thymus, pp. 634-635. [2] Kumar V, Abbas AK, et al.. Robbins and Cotran Pathologic Basis of Disease. 9th ed. Diseases of White Blood Cells, Lymph Nodes, Spleen, and Thymus, p. 634.
Explanation: ### Explanation The fundamental distinction between **Carcinoma in Situ (CIS)** and **Invasive Carcinoma** lies in the relationship of the neoplastic cells to the **basement membrane** [1]. **Why Option C is Correct:** Carcinoma in situ is defined as a full-thickness dysplasia of the epithelium where the malignant cells have not yet penetrated the basement membrane [1]. Once the neoplastic cells secrete proteases (like Type IV Collagenases/Metalloproteinases) and breach the basement membrane to enter the underlying stroma, the lesion is classified as **Invasive Carcinoma** [2],[3]. This transition is the critical step that grants the tumor access to blood vessels and lymphatics, enabling metastasis [1],[2]. **Why Other Options are Incorrect:** * **Options A, B, and D (Abnormal nuclear morphology, Pleomorphism, and Mitoses):** These are all features of **Dysplasia** and **Anaplasia**. They are present in *both* carcinoma in situ and invasive carcinoma [1]. High-grade cytological features (large hyperchromatic nuclei, cellular variation in size/shape, and increased/atypical mitotic figures) are necessary to diagnose CIS in the first place; therefore, they cannot be used to differentiate it from invasive disease. **NEET-PG High-Yield Pearls:** * **Basement Membrane Composition:** Primarily composed of Type IV Collagen and Laminin. * **Key Enzyme:** Matrix Metalloproteinases (MMPs), specifically **MMP-2 and MMP-9** (gelatinases), are crucial for degrading Type IV collagen during invasion [3]. * **Clinical Significance:** CIS has a 100% cure rate with local excision because, without breaching the basement membrane, there is zero risk of distant metastasis [1]. * **Common Sites for CIS:** Cervix (CIN III), Skin (Bowen’s disease), and Bronchus. **References:** [1] Cross SS. Underwood's Pathology: A Clinical Approach. 6th ed. (Basic Pathology) introduces the student to key general principles of pathology, both as a medical science and as a clinical activity with a vital role in patient care. Part 2 (Disease Mechanisms) provides fundamental knowledge about the cellular and molecular processes involved in diseases, providing the rationale for their treatment. Part 3 (Systematic Pathology) deals in detail with specific diseases, with emphasis on the clinically important aspects., pp. 209-233. [2] Kumar V, Abbas AK, et al.. Robbins and Cotran Pathologic Basis of Disease. 9th ed. Neoplasia, pp. 314-315. [3] Cross SS. Underwood's Pathology: A Clinical Approach. 6th ed. (Basic Pathology) introduces the student to key general principles of pathology, both as a medical science and as a clinical activity with a vital role in patient care. Part 2 (Disease Mechanisms) provides fundamental knowledge about the cellular and molecular processes involved in diseases, providing the rationale for their treatment. Part 3 (Systematic Pathology) deals in detail with specific diseases, with emphasis on the clinically important aspects., pp. 232-233.
Explanation: ### Explanation **Correct Answer: D. Dense core neuroendocrine granules** **Concept:** Paragangliomas (and their adrenal counterpart, Pheochromocytoma) are tumors derived from **neural crest cells** [1]. Because they belong to the **APUD (Amine Precursor Uptake and Decarboxylation) system**, they are specialized for the synthesis, storage, and secretion of catecholamines. On electron microscopy (EM), the most characteristic feature is the presence of membrane-bound, **dense-core neuroendocrine granules** (also known as "Zellballen" granules) [2]. These granules contain catecholamines (epinephrine/norepinephrine) and proteins like chromogranin and synaptophysin. **Analysis of Incorrect Options:** * **A. Shrunken mitochondria:** This is not a specific diagnostic feature of paraganglioma. While mitochondrial changes can occur in cell injury (pyknosis), they do not characterize neuroendocrine tumors. (Note: *Abundant* mitochondria are seen in Oncocytomas, not shrunken ones). * **B. Large Golgi apparatus:** While active secretory cells have prominent Golgi bodies for packaging, it is the *final product* (the granules) that is the pathognomonic ultrastructural hallmark, not the apparatus itself. * **C. Frequent mitoses:** Mitotic figures are a feature of cellular proliferation and malignancy. However, in paragangliomas, even benign tumors show these granules, and mitosis is notoriously unreliable for predicting malignancy in these specific tumors [2]. **NEET-PG High-Yield Pearls:** * **Histology:** Classic **"Zellballen" pattern** (nests of chief cells surrounded by sustentacular cells). * **Staining:** Chief cells are positive for **Chromogranin/Synaptophysin**; Sustentacular cells are positive for **S-100**. * **Rule of 10s:** Traditionally associated with Pheochromocytoma (10% bilateral, 10% malignant, 10% extra-adrenal, 10% pediatric) [1]. * **Urinary Marker:** Vanillylmandellic acid (VMA) and metanephrines [2]. **References:** [1] Kumar V, Abbas AK, et al.. Robbins and Cotran Pathologic Basis of Disease. 9th ed. The Endocrine System, pp. 1137-1138. [2] Cross SS. Underwood's Pathology: A Clinical Approach. 6th ed. Common Clinical Problems From Liver And Biliary System Disease, pp. 419-420.
Explanation: **Explanation:** **Alkaline Phosphatase (ALP)** is the correct answer because it serves as a biochemical tumor marker in specific clinical contexts. While ALP is found in many tissues (liver, bone, intestine), certain isoenzymes are associated with malignancies [1]. Specifically, the **Placental-like ALP (Regan isoenzyme)** is a classic marker for **Seminoma** (germ cell tumors) and is also elevated in osteosarcomas and metastatic bone disease due to increased osteoblastic activity [1], [3]. **Analysis of Incorrect Options:** * **Acid Hydrolase (A):** These are lysosomal enzymes involved in intracellular digestion. While they are markers for lysosomal function, they are not used as diagnostic tumor markers in clinical oncology. * **Melatonin (C):** This is a hormone produced by the pineal gland that regulates sleep-wake cycles. It is not a marker for neoplastic growth. * **CPK-MB (D):** This is a cardiac-specific isoenzyme of Creatine Phosphokinase. It is a gold-standard biomarker for **Myocardial Infarction (MI)** and muscle injury, not for cancer. **High-Yield Clinical Pearls for NEET-PG:** * **Regan Isoenzyme:** A heat-stable ALP isoenzyme that mimics placental ALP; it is a classic example of an ectopic enzyme produced by tumors (e.g., lung cancer, gynecological cancers). * **Other Germ Cell Markers:** Always remember that while ALP is linked to Seminoma, **Alpha-fetoprotein (AFP)** is never elevated in pure seminomas (it indicates Yolk Sac components) [1], [2]. * **Prostate Specific Antigen (PSA):** The most commonly tested enzyme-based tumor marker for prostate cancer. * **LDH:** Another non-specific enzyme marker used to monitor the tumor burden in lymphomas and germ cell tumors. **References:** [1] Kumar V, Abbas AK, et al.. Robbins and Cotran Pathologic Basis of Disease. 9th ed. The Lower Urinary Tract and Male Genital System, pp. 980-982. [2] Cross SS. Underwood's Pathology: A Clinical Approach. 6th ed. (Basic Pathology) introduces the student to key general principles of pathology, both as a medical science and as a clinical activity with a vital role in patient care. Part 2 (Disease Mechanisms) provides fundamental knowledge about the cellular and molecular processes involved in diseases, providing the rationale for their treatment. Part 3 (Systematic Pathology) deals in detail with specific diseases, with emphasis on the clinically important aspects., pp. 254-255. [3] Cross SS. Underwood's Pathology: A Clinical Approach. 6th ed. Common Clinical Problems From Diseases Of The Urinary And Male Genital Tracts, pp. 501-502.
Explanation: ***HPV*** - **HPV** causes characteristic **koilocytes** with **perinuclear halos** and **pyknotic nuclei**, which are pathognomonic cytopathic effects seen in cervical dysplasia and condylomas. - Associated with **squamous cell carcinomas** and **adenocarcinomas** of the cervix, vulva, and other anogenital regions through oncogenic strains (16, 18). *HSV* - **HSV** produces **multinucleated giant cells** with **intranuclear inclusion bodies** (Cowdry A bodies) and **ground glass nuclei**. - Causes **vesicular lesions** that ulcerate, not the keratinizing lesions with koilocytes typical of HPV infection. *HIV* - **HIV** does not directly cause specific histologic lesions but predisposes to **opportunistic infections** and **malignancies**. - Associated with **Kaposi's sarcoma**, **lymphomas**, and **cervical cancer** (through HPV co-infection), but doesn't produce koilocytic changes. *EBV* - **EBV** causes **atypical lymphocytes** and is associated with **infectious mononucleosis** and certain **B-cell lymphomas**. - Produces **Reed-Sternberg-like cells** in lymphoid tissue, not squamous epithelial changes with perinuclear halos.
Explanation: **Explanation:** The **RET proto-oncogene**, located on chromosome 10q11.2, encodes a receptor tyrosine kinase involved in cell growth and differentiation. Gain-of-function mutations in RET are strongly associated with **Multiple Endocrine Neoplasia (MEN) syndromes**, specifically **MEN 2A and 2B**, as well as Familial Medullary Thyroid Carcinoma (FMTC) [1]. In these syndromes, the mutation leads to constitutive activation of the receptor, driving the development of Medullary Thyroid Carcinoma and Pheochromocytoma [2]. **Analysis of Options:** * **Hepatocellular Carcinoma:** Primarily associated with chronic HBV/HCV infections, aflatoxin exposure, and mutations in the **TP53** gene or **CTNNB1** (β-catenin). * **Testicular Carcinoma:** Most germ cell tumors are associated with an **isochromosome of the short arm of chromosome 12 [i(12p)]**. * **Breast Carcinoma:** Frequently linked to mutations in **BRCA1, BRCA2, TP53 (Li-Fraumeni)**, and amplification of the **HER2/neu** (ERBB2) oncogene [1]. **High-Yield Clinical Pearls for NEET-PG:** * **MEN 2A:** Characterized by Medullary Thyroid Carcinoma, Pheochromocytoma, and Parathyroid Hyperplasia [2]. * **MEN 2B:** Characterized by Medullary Thyroid Carcinoma, Pheochromocytoma, Mucosal Neuromas, and Marfanoid habitus [2]. * **Prophylactic Thyroidectomy:** In children identified with RET mutations, a prophylactic thyroidectomy is often indicated because Medullary Thyroid Carcinoma occurs in nearly 100% of these patients. * **Papillary Thyroid Carcinoma:** RET can also be involved via chromosomal rearrangement (**RET/PTC**), whereas point mutations are specific to the MEN 2/Medullary Thyroid Carcinoma pathway [2]. **References:** [1] Kumar V, Abbas AK, et al.. Robbins and Cotran Pathologic Basis of Disease. 9th ed. Neoplasia, p. 292. [2] Kumar V, Abbas AK, et al.. Robbins and Cotran Pathologic Basis of Disease. 9th ed. The Endocrine System, pp. 1097-1137.
Explanation: ### Explanation The nomenclature of tumors generally follows the rule where the suffix **"-oma"** denotes a benign neoplasm (e.g., Fibroma, Lipoma). However, there are several important exceptions where tumors ending in "-oma" are actually **highly malignant**. **Why Seminoma is the Correct Answer:** Seminoma is a **malignant** germ cell tumor of the testis [1]. Despite its benign-sounding name, it is the most common malignant testicular tumor in young men (ages 15–35). It is the male counterpart to the ovarian **Dysgerminoma**. Both are characterized by a "clear cell" appearance and are highly radiosensitive. **Analysis of Incorrect Options:** * **A. Chondroma:** A benign tumor of cartilage. If it were malignant, it would be termed a *Chondrosarcoma*. * **B. Leiomyoma:** A benign tumor of smooth muscle, most commonly found in the uterus (often referred to as "fibroids"). The malignant counterpart is *Leiomyosarcoma*. * **C. Papilloma:** A benign epithelial neoplasm producing finger-like or warty projections. **High-Yield Clinical Pearls for NEET-PG:** * **The "Malignant Omas":** Memorize this list of malignant tumors that sound benign: **Seminoma, Melanoma, Lymphoma, Mesothelioma, Glioma, and Hepatoma** (Hepatocellular Carcinoma). * **Teratoma Exception:** While most "-omas" are benign, a **Mature Teratoma** in females is usually benign (Dermoid cyst), but in post-pubertal males, all teratomas are considered **malignant** [2]. * **Tumor Marker:** Seminomas often show elevated **hCG** (in 10-15% of cases) but **never** produce Alpha-fetoprotein (AFP) [1]. If AFP is elevated, it indicates a non-seminomatous component (like Yolk Sac Tumor). **References:** [1] Kumar V, Abbas AK, et al.. Robbins and Cotran Pathologic Basis of Disease. 9th ed. The Lower Urinary Tract and Male Genital System, pp. 980-982. [2] Kumar V, Abbas AK, et al.. Robbins and Cotran Pathologic Basis of Disease. 9th ed. The Lower Urinary Tract and Male Genital System, pp. 982-983.
Explanation: **Explanation:** **Pleomorphic Adenoma (Mixed Tumor)** is the most common salivary gland tumor, typically involving the parotid gland. The term "pleomorphic" refers to its architectural diversity rather than cellular atypia. **Why Option C is Correct:** Pleomorphic adenoma is a **mixed tumor** because it contains both **epithelial/myoepithelial elements** and **mesenchymal-like stroma**. The characteristic histological hallmark is the presence of epithelial cells (forming ducts or sheets) embedded within a diverse stroma that can be **myxoid, hyaline, chondroid (cartilage-like), or even osseous**. The chondroid matrix is a result of the accumulation of mucoid material produced by myoepithelial cells. **Analysis of Incorrect Options:** * **Option A:** Describes **Warthin Tumor** (Papillary Cystadenoma Lymphomatosum), which features a double layer of oncocytic columnar cells over a dense lymphoid stroma with germinal centers. * **Option B:** While myoepithelial cells are a key component, the tumor is never "exclusively" myoepithelial; it must have an epithelial component and stroma to be a pleomorphic adenoma. * **Option D:** Describes **Mucoepidermoid Carcinoma**, the most common malignant salivary gland tumor, characterized by a mixture of squamous (epidermoid), mucus-secreting, and intermediate cells. **High-Yield NEET-PG Pearls:** * **Most common site:** Superficial lobe of the Parotid gland. * **Clinical presentation:** Slow-growing, painless, mobile, firm mass [1]. * **Genetic association:** Rearrangements of the **PLAG1** gene. * **Risk of Malignancy:** Long-standing tumors can transform into **Carcinoma ex pleomorphic adenoma** (indicated by sudden rapid growth) [1]. * **Surgical Note:** High recurrence rate if enucleated due to "pseudopods" (microscopic protrusions); hence, superficial parotidectomy is preferred [1]. **References:** [1] Kumar V, Abbas AK, et al.. Robbins and Cotran Pathologic Basis of Disease. 9th ed. Head and Neck, pp. 751-753.
Explanation: ### Explanation **Correct Answer: D. Neuroblastoma** **Mechanism and Concept:** The **MYC family** consists of proto-oncogenes that encode transcription factors involved in cell growth and proliferation. **N-MYC (MYCN)** amplification is a classic example of gene amplification in human cancer [1]. In **Neuroblastoma**, N-MYC is amplified in approximately 25–30% of cases. Cytogenetically, this amplification manifests as **Double Minute chromosomes (dms)** or **Homogeneously Staining Regions (HSRs)**. Importantly, N-MYC amplification is the most significant **poor prognostic indicator** in neuroblastoma, regardless of the clinical stage [1]. **Analysis of Incorrect Options:** * **A. Burkitt Lymphoma:** This is associated with the **C-MYC** oncogene, typically due to a **t(8;14)** translocation involving the IgH locus, not N-MYC amplification [3]. * **B. Squamous cell carcinoma lung:** While various genetic mutations occur, **L-MYC** amplification is more characteristically associated with Small Cell Carcinoma of the lung, not squamous cell carcinoma. * **C. Astrocytoma:** Higher-grade gliomas (like Glioblastoma) are more commonly associated with **EGFR** amplification or **IDH** mutations, rather than N-MYC [2]. **High-Yield Facts for NEET-PG:** * **MYC Family Associations:** * **C-MYC:** Burkitt Lymphoma [3]. * **N-MYC:** Neuroblastoma, Retinoblastoma. * **L-MYC:** Small Cell Carcinoma of the Lung. * **Neuroblastoma Markers:** Elevated urinary catecholamines (VMA/HVA) and Homer-Wright rosettes on histology. * **Prognosis:** In neuroblastoma, **N-MYC amplification = Poor prognosis**, whereas **TrkA expression** and **age <1 year** are associated with a favorable prognosis [1]. **References:** [1] Kumar V, Abbas AK, et al.. Robbins and Cotran Pathologic Basis of Disease. 9th ed. Diseases of Infancy and Childhood, pp. 486-487. [2] Kumar V, Abbas AK, et al.. Robbins and Cotran Pathologic Basis of Disease. 9th ed. Neoplasia, p. 292. [3] Kumar V, Abbas AK, et al.. Robbins and Cotran Pathologic Basis of Disease. 9th ed. Neoplasia, pp. 324-325.
Nomenclature and Classification of Tumors
Practice Questions
Characteristics of Benign and Malignant Neoplasms
Practice Questions
Molecular Basis of Cancer
Practice Questions
Carcinogenesis and Carcinogens
Practice Questions
Tumor Progression and Metastasis
Practice Questions
Tumor Markers
Practice Questions
Paraneoplastic Syndromes
Practice Questions
Genetic Basis of Cancer
Practice Questions
Tumor Immunity
Practice Questions
Cancer Epidemiology and Prevention
Practice Questions
Get full access to all questions, explanations, and performance tracking.
Start For Free