True regarding malaria is:
In a rural clinic, a 3-year-old girl child is brought by her mother and is emaciated. Her hemoglobin was 5 g/dL. The girl also has edema over her knees and ankles with discrete rash on her knees, ankles and elbows. The most likely worm infestation causing these manifestations is:
Cylindrical helminths are -
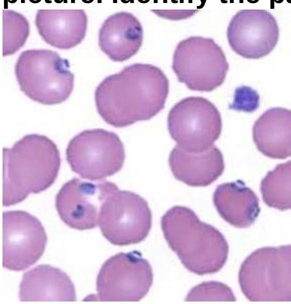
A 15-year-old boy presented with fever and chills for 3 days. On examination, he was found to have delayed skin pinch time and dry oral mucosa. Identify the pathogen involved based on the provided peripheral blood smear image.

A 15-year-old boy returned from a vacation to his relatives' village. He developed a severe headache and purulent nasal discharge and was diagnosed with primary amebic meningoencephalitis (PAM). He died 5 days later. Which is the most likely etiological agent?
An Egyptian fisherman develops lower abdominal pain and pain on urination, and reports seeing blood in his urine. Which of the following parasites is the most likely cause of urinary symptoms in this patient?
A child presented with perianal itching. The swab specimen is shown in the image. What is the diagnosis?

All are mosquito-borne diseases EXCEPT
Which of the following is the carrying agent for Lyme disease?
Which of the following infectious diseases is the most likely cause of granuloma formation?
Explanation: ***Persistent tissue phase seen in P. vivax*** - The **persistent tissue phase** (or **exoerythrocytic phase**) is unique to *Plasmodium vivax* and *P. ovale*, where parasites infect **liver cells** (hepatocytes) and form **hypnozoites**. - **Hypnozoites** are **dormant forms** that can remain in the liver for weeks to months and cause **relapses** after the initial infection. - While all *Plasmodium* species have an initial liver phase, only *P. vivax* and *P. ovale* have this **persistent/dormant** tissue phase. *Schizonts are infective to mosquitoes* - **Schizonts** are a developmental stage found inside **human red blood cells** or **liver cells** during asexual reproduction. They are not infective to mosquitoes. - The stages infective to mosquitoes are the **gametocytes**, which are taken up by the female *Anopheles* mosquito during a blood meal. *Trophozoites are infective to mosquitoes* - **Trophozoites** are the feeding stage of the parasite within **human red blood cells** and consume hemoglobin. They are not infective to mosquitoes. - Only **gametocytes** (sexual forms) can continue the life cycle within the mosquito vector. *Persistent tissue phase seen in P. falciparum* - While *Plasmodium falciparum* does have an initial **exoerythrocytic (liver) phase**, it does **not** form **hypnozoites**. - Therefore, *P. falciparum* does **not** have a **persistent/dormant** liver stage and does not cause true relapses, unlike *P. vivax* and *P. ovale*.
Explanation: ***Hookworm*** - **Hookworm infection** (Ancylostoma duodenale/Necator americanus) leads to chronic blood loss from the intestines, causing **microcytic hypochromic anemia** and **severe emaciation** due to persistent nutrient loss and malabsorption. - The combination of severe **anemia (Hb 5 g/dL)**, **emaciation**, and **edema** (due to **hypoalbuminemia**, a consequence of protein-losing enteropathy and poor nutrition) is highly characteristic of hookworm infestation in children. - The **discrete rash** on pressure points (knees, ankles, elbows) may represent **ground itch** (pruritic papulovesicular rash at larval penetration sites) or dermatitis secondary to malnutrition and edema. *Roundworm* - **Ascaris lumbricoides** can cause malnutrition and growth delays, but typically does not lead to the severe anemia and edema seen here unless there is a massive infestation leading to intestinal obstruction or biliary obstruction. - Its primary impact is often related to **nutrient competition** and mechanical obstruction, not significant blood loss. *Pinworm* - **Enterobius vermicularis** (pinworm) infection primarily causes **perianal itching**, especially at night. - It does not typically cause systemic symptoms like **severe anemia**, **emaciation**, or **edema**, as it does not feed on blood or cause significant nutrient malabsorption. *Whipworm* - **Trichuris trichiura** (whipworm) can cause chronic dysentery, **rectal prolapse**, and **anemia** in heavy infections due to blood loss. - While it can contribute to **growth retardation** and anemia, it is less likely to cause the profound emaciation and edema described compared to hookworm, especially with a hemoglobin level of 5 g/dL, which points strongly to major chronic blood loss.
Explanation: ***Roundworms*** - **Roundworms**, also known as **nematodes**, are characterized by their **cylindrical body shape**. - Their unsegmented, tapered bodies distinguish them from flatworms like tapeworms and flukes. *Tapeworms* - **Tapeworms**, or **cestodes**, have **flat, ribbon-like bodies** segmented into proglottids. - They are not cylindrical but rather dorsoventrally flattened. *Flukes* - **Flukes**, or **trematodes**, have **flat, leaf-shaped bodies**, which are not cylindrical. - Their morphology includes suckers for attachment and they are not segmented. *Hookworms* - **Hookworms** are a type of **roundworm** (nematode), which means they are cylindrical. However, "Roundworms" is a broader and more accurate classification for the general term "cylindrical helminths." - While hookworms are indeed cylindrical, the option "Roundworms" encompasses all such cylindrical helminths, making it a more general and appropriate answer.
Explanation: ***Plasmodium vivax*** - The image shows **enlarged red blood cells** infected with various stages of *Plasmodium vivax*, including trophozoites and schizonts displaying **ameboid forms**. - The presence of **Schüffner's dots**, though not distinctly visible in this specific resolution, is characteristic of *P. vivax* infection. - *P. vivax* preferentially infects **reticulocytes** and young red blood cells, leading to the characteristic RBC enlargement. *Babesia* - *Babesia* infection typically presents with **ring forms** in red blood cells that lack pigment and often form **tetrads** (Maltese cross appearance), which are not seen here. - While it can cause fever and chills, the morphology of the parasites in the image is inconsistent with *Babesia*. *Plasmodium falciparum* - *P. falciparum* characteristically presents with **multiple small ring forms** in a single red blood cell and **crescent-shaped gametocytes**. - It infects red blood cells of all ages, does not typically enlarge the red blood cells, and early trophozoites (*ring forms*) are the most common stage seen in peripheral blood, which differs from the image. *Salmonella typhi* - *Salmonella typhi* is a bacterium that causes **typhoid fever** and is a systemic infection. - It does not infect red blood cells or present with intraerythrocytic parasites on a peripheral blood smear; diagnosis is typically made by **blood culture**.
Explanation: ***Naegleria fowleri*** - This free-living amoeba is the causative agent of **Primary Amebic Meningoencephalitis (PAM)**, a rapidly fatal infection acquired through nasal exposure to contaminated warm freshwater. - The rapid progression from symptom onset (headache, purulent nasal discharge) to death within 5 days is characteristic of PAM caused by **_Naegleria fowleri_**. *Plasmodium falciparum* - This parasite causes **falciparum malaria**, which can lead to cerebral malaria, but its presentation involves cyclic fevers, chills, and typically a longer disease course and different diagnostic markers than PAM. - While it affects the brain, it does not cause purulent nasal discharge or the rapid, fulminant meningoencephalitis seen in PAM. *Entamoeba histolytica* - This amoeba causes **amebic dysentery** and, in rare cases, extraintestinal amebiasis like liver abscesses; it does not typically cause PAM. - Central nervous system involvement by _Entamoeba histolytica_ is usually secondary to systemic spread and manifests as abscesses, not a fulminant meningoencephalitis acquired via nasal passages. *Toxoplasma* - _Toxoplasma gondii_ causes toxoplasmosis, which can lead to toxoplasmic encephalitis, especially in immunocompromised individuals. - _Toxoplasma_ infection typically has a slower onset, different risk factors (e.g., raw meat, cat feces), and does not present with a rapid, purulent meningoencephalitis following swimming exposure.
Explanation: ***Schistosoma haematobium*** - The patient's presentation with **lower abdominal pain**, **dysuria**, and **hematuria** is highly characteristic of urinary schistosomiasis, caused by *Schistosoma haematobium*. - The patient's origin as an **Egyptian fisherman** places him in an **endemic area** where contact with contaminated fresh water containing the parasite's larval forms (cercariae) is common. *Clonorchis sinensis* - This parasite causes **clonorchiasis**, an infection primarily affecting the **biliary tract** and liver, leading to symptoms like cholangitis, cholecystitis, and hepatomegaly. - It is typically acquired by consuming **raw or undercooked freshwater fish**, but does not cause urinary symptoms. *Fasciola hepatica* - *Fasciola hepatica* causes **fascioliasis**, a **liver fluke infection** that primarily affects the **biliary ducts** leading to symptoms like right upper quadrant pain, fever, and jaundice. - It is acquired by ingesting **metacercariae on aquatic plants**, particularly watercress, and does not cause urinary manifestations. *Diphyllobothrium latum* - This is the **fish tapeworm**, which causes **diphyllobothriasis**, an intestinal infection. - Symptoms are usually mild or asymptomatic, but can include abdominal discomfort, nausea, and notably **vitamin B12 deficiency** leading to megaloblastic anemia, not urinary symptoms.
Explanation: ***Enterobius*** - The image shows **D-shaped** (plano-convex) and **transparent eggs**, which are characteristic of *Enterobius vermicularis* (**pinworm** or **threadworm**). - **Perianal itching**, especially at night, is the hallmark symptom due to the female worm migrating to the perianal region to lay eggs. *Ascaris* - *Ascaris lumbricoides* eggs are typically **round to oval**, with a thick, mamillated (bumpy) outer shell, or smooth in the case of decorticated eggs, which is different from the eggs pictured. - Infection with *Ascaris* can cause pulmonary symptoms (Loeffler's syndrome) and intestinal obstruction, but not typically perianal itching. *Trichiura* - *Trichuris trichiura* (**whipworm**) eggs are distinctly **barrel-shaped** with prominent **polar plugs** at each end, which is not seen in the image. - Whipworm infection is often associated with bloody diarrhea, rectal prolapse, and growth retardation, not primarily perianal itching. *Ancylostoma* - *Ancylostoma duodenale* and *Necator americanus* (hookworms) eggs are typically **oval** with a **thin shell** and segmented embryo (morula stage) within, which lacks the distinct D-shape and transparency of the pictured eggs. - Hookworm infection primarily causes iron-deficiency anemia and can lead to cutaneous larva migrans, not perianal itching as a primary symptom.
Explanation: ***Kala-azar*** - Kala-azar, or **visceral leishmaniasis**, is caused by **Leishmania parasites** and is transmitted by the bite of infected **sandflies** (Phlebotomus species). - Sandflies, though insects, are **distinct from mosquitoes** and belong to a different family (Psychodidae). - This is **NOT a mosquito-borne disease**. *Tularemia* - Tularemia, also known as **rabbit fever**, is a disease caused by the bacterium **Francisella tularensis**. - While primarily transmitted through contact with infected animals, **ticks**, and **deer flies**, mosquitoes can rarely transmit the disease. - It can be considered mosquito-borne in rare instances. *Yellow fever* - Yellow fever is a viral disease primarily transmitted to humans through the bites of infected **Aedes** and **Haemagogus** species mosquitoes. - These mosquitoes are prevalent in tropical and subtropical regions of Africa and South America. *Dengue fever* - Dengue fever is a viral infection transmitted to humans by the bite of infected female **Aedes aegypti** or **Aedes albopictus** mosquitoes. - These mosquitoes also transmit Zika, chikungunya, and yellow fever viruses.
Explanation: ***Ixodes scapularis ticks*** - *Ixodes scapularis* ticks (deer ticks) are the primary **vectors for Lyme disease** (caused by *Borrelia burgdorferi*) in North America [1]. - In Europe, *Ixodes ricinus* is the main vector for Lyme disease. - Lyme disease presents with characteristic **erythema migrans** rash, followed by potential neurological, cardiac, and arthritic complications [1]. - Lyme arthritis commonly affects large joints, particularly the **knee**, causing inflammatory arthritis [1]. *Anopheles* - **Anopheles mosquitoes** are the primary vectors for **malaria**, not Lyme disease [2]. - Malaria is caused by *Plasmodium* parasites and presents with fever, chills, and hemolytic anemia [2]. *Louse* - **Lice** are vectors for diseases such as **epidemic typhus** (caused by *Rickettsia prowazekii*) and **relapsing fever** (caused by *Borrelia recurrentis*) [3]. - They are not associated with the transmission of Lyme disease. *Rat flea* - **Rat fleas** (e.g., *Xenopsylla cheopis*) are the primary vectors for **bubonic plague** (caused by *Yersinia pestis*) and **murine typhus**. - These insects do not transmit Lyme disease. **References:** [1] Kumar V, Abbas AK, et al.. Robbins and Cotran Pathologic Basis of Disease. 9th ed. Infectious Diseases, pp. 389-390. [2] Kumar V, Abbas AK, et al.. Robbins and Cotran Pathologic Basis of Disease. 9th ed. Infectious Diseases, p. 400. [3] Kumar V, Abbas AK, et al.. Robbins and Cotran Pathologic Basis of Disease. 9th ed. Infectious Diseases, pp. 392-393.
Explanation: ***Leprosy*** - Leprosy is a classic example of a chronic infection that leads to **granuloma formation**, particularly in its tuberculoid and borderline tuberculoid forms [1]. - The immune response to *Mycobacterium leprae* involves the formation of **macrophage-rich granulomas** to contain the infection, often affecting the skin and nerves [2]. *Syphilis* - While syphilis can cause **gummas**, which are granulomatous lesions, these are typically seen in tertiary syphilis and are less characteristic of granuloma formation across all stages compared to leprosy [3]. - Gummas are often **necrotic** and can be widespread, but the primary pathology of syphilis involves vasculitis and inflammation rather than classic granulomatous tissue reaction. *Cat scratch disease* - Caused by *Bartonella henselae*, this infection typically leads to **lymphadenopathy** with **stellate microabscesses** and sometimes epithelioid granulomas, but the granulomas are usually less prominent and distinct than those seen in leprosy. - The histological features are dominated by **suppurative necrosis** within lymphoid tissue rather than well-formed, non-caseating granulomas. *Trench fever* - Trench fever, caused by *Bartonella quintana*, primarily presents with **fever**, **bone pain**, and a **maculopapular rash**. - It does not typically cause **granuloma formation**; the pathology is more related to bacteremia and inflammation of vascular endothelium. **References:** [1] Kumar V, Abbas AK, et al.. Robbins and Cotran Pathologic Basis of Disease. 9th ed. Infectious Diseases, pp. 385-386. [2] Cross SS. Underwood's Pathology: A Clinical Approach. 6th ed. Disorders Involving Inflammatory And Haemopoietic Cells, pp. 638-639. [3] Kumar V, Abbas AK, et al.. Robbins and Cotran Pathologic Basis of Disease. 9th ed. Infectious Diseases, p. 360.
Get full access to all questions, explanations, and performance tracking.
Start For Free