Elderly man with a long-standing mole on his face that is increasing in size and showing an irregular border. Diagnosis:
A patient's skin biopsy shows a box-shaped or square-shaped pattern of inflammatory infiltrate, as shown in the image. What is the most likely diagnosis?

Pautrier's microabscess is a histological feature of which disease?
All of the following are premalignant conditions except which of the following?
A male patient presented with a 0.3 cm nodule on the left nasolabial fold. A pathological examination revealed a basaloid appearance with peripheral palisading. What is the most likely diagnosis?

A 50-year-old HIV-positive patient presents with a painless, purple lesion on the skin. What is the most likely diagnosis?

A 18-year-old boy presents with tenderness, warmth over the bone, and fever, ESR and CRP levels. The radiograph is shown below. What is the most likely diagnosis?

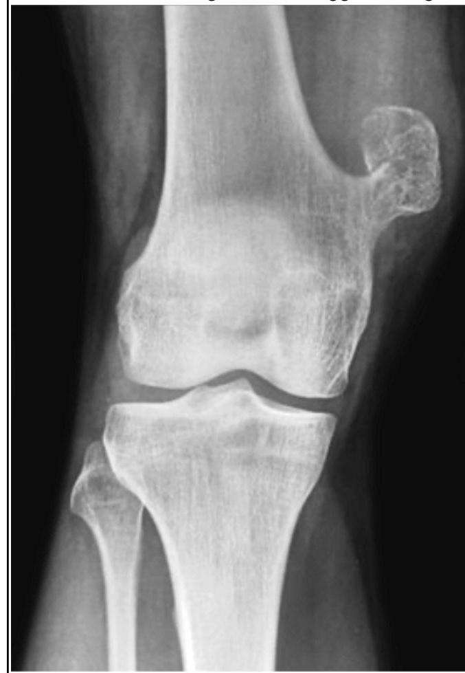
A 14 year old male presents with mushroom like tumor in the distal femur for past 2 years. Which of the following features suggest malignant transformation?

Which of the following statements about parotid tumors are correct? a) Pleomorphic adenoma is the most common variety b) Malignant disease is the most common variety c) Facial nerve involvement indicates malignancy d) Superficial parotidectomy is the treatment of choice
All of the following ovarian tumors usually occur bilaterally, except:
Explanation: ***Lentigo maligna*** - This type of melanoma commonly affects **elderly individuals** and presents as a **slowly enlarging, irregularly bordered, flat or slightly raised pigmented lesion** on sun-exposed areas like the face. - It often has a **long radial growth phase** before progressing to invasive lentigo maligna melanoma. *Superficial spreading melanoma* - While common, it typically presents on the **trunk or extremities** and has a faster growth rate compared to lentigo maligna. - It often appears as a **flat, asymmetrical lesion with varied colors and irregular borders**, but the age and location details point away from this. *Nodular melanoma* - This is an **aggressive form** that grows vertically from the start, presenting as a **dark, raised, often ulcerated nodule** and typically has a shorter history of rapid growth. - It lacks the characteristic long-standing, flat growth pattern described in the elderly patient's face. *Acral melanoma* - This rare type occurs on the **palms, soles, or under the nails (subungual)**, not typically on the face. - It often appears as a **pigmented streak or patch** in these acral locations.
Explanation: ***Lichen planus*** - The image shows a characteristic **"box-shaped" or "square-shaped" infiltrate** of lymphocytes at the dermal-epidermal junction, obscuring the basal layer. - Other features consistent with lichen planus include **hypergranulosis**, **sawtooth rete ridges**, and **Civatte bodies** (apoptotic keratinocytes) in the basal layer. *Lichen amyloidosis* - This condition is characterized by deposition of **amyloid material** in the papillary dermis, often associated with keratinocyte necrosis. - While it can present with pruritic papules similar to lichen planus, the histology specifically shows **amyloid deposits**, not the typical basal cell damage or band-like infiltrate seen in the image. *Morphea* - Morphea is a form of localized scleroderma, characterized by **thickening of collagen bundles** in the dermis and subcutaneous tissue, leading to hardened skin plaques. - Histologically, it involves **sclerosis** and homogenization of collagen, with a sparse inflammatory infiltrate, which is distinct from the dense band-like infiltrate and epidermal changes shown. *Lichen nitidus* - Lichen nitidus is characterized by **small, discrete granulomas** within the papillary dermis (the "ball-and-claw" appearance), with epithelial extensions embracing the inflammatory infiltrate. - It involves a more **localized inflammatory process** and distinct granulomatous appearance, rather than the broad, band-like infiltrate seen across the dermal-epidermal junction in this image.
Explanation: ***Mycosis fungoides*** - **Pautrier's microabscesses** (intraepidermal collections of neoplastic T-lymphocytes) are a characteristic histological hallmark of **mycosis fungoides**, a cutaneous T-cell lymphoma [1]. - These collections are typically seen in the **epidermis**, especially in the patch and plaque stages of the disease, reflecting the **epidermotropism** of the malignant T-cells [1]. *Sarcoidosis* - Characterized by **non-caseating granulomas** in various organs, including the skin. - **Pautrier's microabscesses** are not a feature of sarcoidosis. *Tuberculosis* - Identified by the presence of **caseating granulomas** composed of epithelioid cells, lymphocytes, and Langerhans giant cells. - It does not involve the formation of **intraepidermal microabscesses** of lymphocytes. *Pityriasis lichenoides chronica* - A benign inflammatory skin condition characterized by a **lymphocytic vasculitis** and interface dermatitis. - Histology shows a **wedge-shaped inflammatory infiltrate** in the dermis with interface changes, but not Pautrier's microabscesses. **References:** [1] Cross SS. Underwood's Pathology: A Clinical Approach. 6th ed. Common Clinical Problems From Diseases Of The Urinary And Male Genital Tracts, pp. 564-565.
Explanation: ***Pyoderma Gangrenosum*** - This is a **neutrophilic dermatosis** characterized by rapidly enlarging, painful ulcers with undermined, violaceous borders. It is an inflammatory condition, not premalignant. - While often associated with systemic diseases such as **inflammatory bowel disease** or **rheumatoid arthritis**, it does not inherently carry an increased risk of developing into skin cancer. *Bowen's Disease* - This is a form of **squamous cell carcinoma in situ**, meaning the cancerous cells are confined to the epidermis and have not yet invaded the dermis. - It is considered a **premalignant lesion** because it has the potential to progress to invasive squamous cell carcinoma if left untreated. *Actinic Keratosis* - These are **rough, scaly patches** on the skin caused by years of sun exposure, predominantly in fair-skinned individuals. - Actinic keratoses are considered **premalignant lesions** with a risk of transforming into invasive squamous cell carcinoma. *Xeroderma Pigmentosum* - This is a rare, **autosomal recessive genetic disorder** characterized by a defect in DNA repair mechanisms, specifically nucleotide excision repair. - Individuals with xeroderma pigmentosum have an extremely high risk of developing various **skin cancers** (basal cell carcinoma, squamous cell carcinoma, melanoma) at an early age due to their inability to repair UV-induced DNA damage.
Explanation: ***Basal cell carcinoma*** - The description of a **basaloid appearance with peripheral palisading** on pathological examination is a classic histological feature of basal cell carcinoma (BCC). - BCC commonly presents as a nodule on sun-exposed areas like the **nasolabial fold** and is the most common skin cancer. *Melanoma* - Melanoma is characterized by the **malignant proliferation of melanocytes** and histologically shows atypical melanocytes with pagetoid spread or nest formation. - While it can appear as a nodule, the described **basaloid appearance with peripheral palisading** is not characteristic of melanoma. *Squamous cell carcinoma* - Squamous cell carcinoma typically shows **atypical keratinocytes** with keratinization, intercellular bridges, and sometimes desmoplasia. - It usually presents as an **erythematous, scaly patch** or nodule, often with ulceration, and the described histology does not match. *Nevus* - A nevus (mole) is a benign proliferation of melanocytes, showing **uniform nests of melanocytes** with maturation as they descend into the dermis. - The term **basaloid appearance** refers to cells resembling basal keratinocytes, which is not typical for a nevus.
Explanation: ***Kaposi's sarcoma*** - The presentation of **painless, purple skin lesions** in an **HIV-positive patient** is highly characteristic of Kaposi's sarcoma. - This is a vascular tumor caused by **Human Herpesvirus 8 (HHV-8)**, often seen in immunocompromised individuals. *Malignant melanoma* - Malignant melanoma typically presents as a **dark, irregularly shaped lesion** with varying colors and often exhibits change in size, shape, or color over time (**ABCDEs of melanoma**). - While it can be purple or dark, the multiple, widespread nature and association with HIV points away from typical melanoma. *Squamous cell carcinoma* - Squamous cell carcinoma usually presents as a **red, scaly patch, nodule, or an open sore** that doesn't heal, often found in sun-exposed areas. - It is not typically described as a painless purple lesion, and while HIV patients have increased risk, the lesion morphology is more consistent with Kaposi's. *Basal cell carcinoma* - Basal cell carcinoma commonly appears as a **pearly or waxy bump**, a **flat, flesh-colored lesion**, or a **brown, scar-like lesion**, often with a rolled border and telangiectasias. - Unlike the description, it is not typically purple and painless, and while common, the clinical picture with HIV is not classic for BCC.
Explanation: ***Osteomyelitis*** - The clinical presentation of **fever, localized tenderness, and warmth** with elevated **ESR and CRP** levels in an 18-year-old is highly suggestive of **osteomyelitis**, an infection of the bone. - Radiographs in acute osteomyelitis may show soft tissue swelling, periosteal reaction, and areas of **bone destruction**, which can be subtle early in the infection. *Ewing's sarcoma* - This typically presents with local pain and swelling, and can also cause fever and elevated inflammatory markers. - However, characteristic radiographic findings such as an **"onion skin" periosteal reaction** or a **"moth-eaten" appearance** are not clearly visible here. *Osteosarcoma* - This is a primary malignant bone tumor often seen in adolescents, presenting with localized pain and swelling. - Radiographic features typically include a **Codman triangle**, **sunburst appearance**, or a **mixed lytic and blastic lesion**, which are not seen in this image. *Giant cell tumor* - Usually occurs in **young adults (20-40 years old)**, not typically in an 18-year-old, and presents with pain and swelling around the joint. - Radiographically, it is characterized by an **eccentric lytic lesion** in the **epiphysis or metaphysis** of long bones, often described as a **"soap bubble" appearance**, which is not depicted here.
Explanation: ***Cartilage thickness >2 cm*** - A **cartilage cap thickness greater than 2 cm** in an osteochondroma in an adult (or >3 cm in children) is a strong indicator of **malignant transformation** into a secondary peripheral **chondrosarcoma**. [2], [3] - **Key imaging finding:** Cartilage cap measured on MRI or CT scan - Other features suggesting malignant transformation include continued growth after skeletal maturity, new or increasing pain, cortical destruction, and new soft tissue mass. [2], [3] *Presence of cartilage cap* - All osteochondromas have a cartilage cap by definition - this is a normal feature, not a sign of malignancy. [1] - The **thickness** of the cap, not its presence, is what matters. *Location in metaphysis* - Osteochondromas typically arise from the metaphysis near the growth plate - this is a normal location. [3] - Location alone does not indicate malignant transformation. *Size less than 1 cm* - Small size suggests a benign, stable lesion. - Malignant transformation is suggested by **increasing size** and growth after skeletal maturity, not small size. [2] **References:** [1] Kumar V, Abbas AK, et al.. Robbins and Cotran Pathologic Basis of Disease. 9th ed. Bones, Joints, and Soft Tissue Tumors, p. 1202. [2] Cross SS. Underwood's Pathology: A Clinical Approach. 6th ed. Common Clinical Problems From Osteoarticular And Connective Tissue Disease, pp. 672-673. [3] Kumar V, Abbas AK, et al.. Robbins and Cotran Pathologic Basis of Disease. 9th ed. Bones, Joints, and Soft Tissue Tumors, pp. 1202-1204.
Explanation: ***Only statements a, c, and d are correct*** - **Pleomorphic adenoma** is indeed the most common parotid tumor (60-70% of all parotid tumors) - **Facial nerve involvement** is a strong clinical indicator of malignancy, as benign tumors typically displace rather than invade the nerve - **Superficial parotidectomy** with facial nerve preservation is the standard surgical treatment for most parotid tumors - Statement b is false: approximately **80% of parotid tumors are benign**, with malignant tumors representing only ~20% *Only statements a and c are correct* - While this correctly identifies that pleomorphic adenoma is most common and facial nerve involvement suggests malignancy, it incorrectly excludes statement d - Superficial parotidectomy is indeed the standard treatment for most parotid tumors *All statements are correct* - This is incorrect because statement b is false - Malignant disease is NOT the most common variety; benign tumors (especially pleomorphic adenomas) predominate *Only statements b and d are correct* - This is incorrect because statement b is false - Malignant disease represents only ~20% of parotid tumors, not the most common variety
Explanation: ***Dermoid cyst*** - Dermoid cysts (mature cystic teratomas) are typically **unilateral** in about 85-90% of cases, with only 10-15% being bilateral. - They arise from **totipotential germ cells** and are benign tumors containing mature tissues like hair, teeth, or bone. - This is the **most common ovarian tumor** with predominantly unilateral presentation. *Metastatic mass* - Ovarian metastases, particularly from **gastrointestinal primaries (Krukenberg tumors)** and breast cancer, frequently involve both ovaries in **70-80% of cases**. - The bilateral presentation is due to **transcoelomic spread** or lymphatic/hematogenous dissemination. *Dysgerminoma* - While individual dysgerminomas may present unilaterally at diagnosis, they have a **significant propensity for bilateral involvement** when considering: - **Microscopic involvement** of the contralateral ovary (occult disease) - **Synchronous** bilateral disease in 10-15% of cases - Association with **gonadal dysgenesis** where bilateral gonadoblastomas may give rise to dysgerminomas - Among malignant germ cell tumors, dysgerminoma has the **highest rate of bilaterality**. *Adenoma of ovary* - Epithelial ovarian tumors, particularly **serous cystadenomas**, present bilaterally in approximately **20% of cases**. - **Mucinous cystadenomas** are less frequently bilateral (5%), but serous tumors show notable bilateral tendency. - The term "adenoma" here likely refers to benign epithelial neoplasms with bilateral potential.
Get full access to all questions, explanations, and performance tracking.
Start For Free